JavaScript is disabled in your browser. Please enable JavaScript to view this website.
AB33945

Anti-CD45RC antibody [MRC OX-22]

5

(1 Review)

|

(4 Publications)

Mouse Monoclonal CD45 antibody. Suitable for Flow Cyt, IHC-P, IHC-Fr and reacts with Rat, Human samples. Cited in 4 publications.

View Alternative Names

CD45, Receptor-type tyrosine-protein phosphatase C, Leukocyte common antigen, T200, L-CA, Ptprc

3 Images
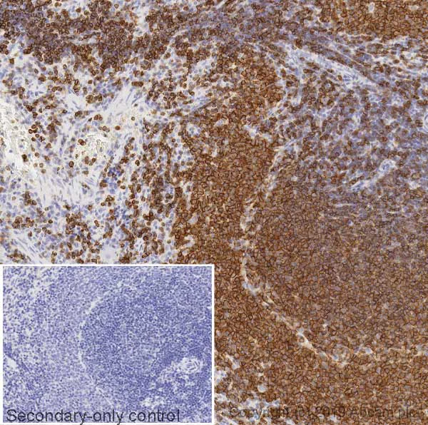
Immunohistochemistry (Formalin/PFA-fixed paraffin-embedded sections) - Anti-CD45RC antibody [MRC OX-22] (AB33945)
  • IHC-P

Lab

Immunohistochemistry (Formalin/PFA-fixed paraffin-embedded sections) - Anti-CD45RC antibody [MRC OX-22] (AB33945)

IHC image of CD45RC staining in a section of formalin-fixed paraffin-embedded normal rat spleen performed on a Leica BOND™ system using the standard Protocol F. The section was pre-treated using heat mediated antigen retrieval with sodium citrate buffer (pH6, epitope retrieval solution 1) for 20mins. The section was then incubated with ab33945, 1μg/ml, for 15 mins at room temperature and detected using an HRP conjugated compact polymer system. DAB was used as the chromogen. The section was then counterstained with hematoxylin and mounted with DPX.

The inset secondary-only control image is taken from an identical assay without primary antibody.

For other IHC staining systems (automated and non-automated) customers should optimize variable parameters such as antigen retrieval conditions, primary antibody concentration and antibody incubation times

Immunohistochemistry (Frozen sections) - Anti-CD45RC antibody [MRC OX-22] (AB33945)
  • IHC-Fr

Unknown

Immunohistochemistry (Frozen sections) - Anti-CD45RC antibody [MRC OX-22] (AB33945)

IHC image of CD45RC staining in a section of frozen normal rat spleen*.

The section was fixed using 10% formaldehyde in 1XPBS for 10 minutes. No antigen retrieval step was performed prior to staining.

Non-specific protein-protein interactions were blocked using TBS containing 0.025% (v/v) Triton X-100, 0.3M (w/v) glycine and 3% (w/v) BSA for 1 hour at room temperature. The section was then incubated with ab33945 (1µg/ml dilution) in TBS containing 0.025% (v/v) Triton X-100 and 3% (w/v) BSA overnight at +4°C. The section was then incubated with ab150119 ((Goat polyclonal Secondary Antibody to Mouse IgG - H&L (Alexa Fluor® 647) (shown in red) and DAPI (staining nuclear DNA) (shown in blue) for 1 hour at room temperature. The section was then mounted using Fluoromount®.

Image was taken with a confocal microscope (Leica-Microsystems, TCS SP8).

The DAPI only control (no antibody) inset shows no autofluorescence, demonstrating that any Alexa Fluor® 647 signal is derived directly from bound ab33945.

For other IHC staining systems (automated and non-automated), customers should optimize variable parameters such as antigen retrieval conditions, antibody concentrations and incubation times.

*Tissue obtained from Charles River.

Flow Cytometry - Anti-CD45RC antibody [MRC OX-22] (AB33945)
  • Flow Cyt

Lab

Flow Cytometry - Anti-CD45RC antibody [MRC OX-22] (AB33945)

Flow cytometry staining of Lewis rat splenocytes with ab33945 (right) or mouse IgG1κ (ab170190) isotype (left). Cells were incubated for 30 min on ice in 1x PBS containing 10 % rat serum to block FC receptors and non-specific protein-protein interaction followed by the antibody (ab33945) or mouse IgG1κ (ab170190) isotype (1x106 in 100 μl; at 0.2 μg/ml) for 30 min on ice.

The secondary antibody Goat anti-mouse IgG H&L (Alexa Fluor ® 488, pre-adsorbed) (ab150117) was used at 1/2000 dilution for 30 min on ice.

The cells were simultaneously stained with CD3 APC.

Acquisition of >30000 events were collected using a 50 mW Blue laser (488nm) and 530/30 bandpass filter. Events were gated on live single cells.

Key facts

Host species

Mouse

Clonality

Monoclonal

Clone number

MRC OX-22

Isotype

IgG1

Light chain type

kappa

Carrier free

No

Reacts with

Rat, Human

Applications

IHC-P, IHC-Fr, Flow Cyt

applications

Immunogen

The exact immunogen used to generate this antibody is proprietary information.

Reactivity data

{ "title": "Reactivity Data", "filters": { "stats": ["", "Species", "Dilution Info", "Notes"], "tabs": { "all-applications": {"fullname" : "All Applications", "shortname": "All Applications"}, "FlowCyt" : {"fullname" : "Flow Cytometry", "shortname":"Flow Cyt"}, "IHCP" : {"fullname" : "Immunohistochemistry (Formalin/PFA-fixed paraffin-embedded sections)", "shortname":"IHC-P"}, "IHCFr" : {"fullname" : "Immunohistochemistry (Frozen sections)", "shortname":"IHC-Fr"} }, "product-promise": { "all": "all", "testedAndGuaranteed": "tested", "guaranteed": "expected", "predicted": "predicted", "notRecommended": "not-recommended" } }, "values": { "Human": { "FlowCyt-species-checked": "guaranteed", "FlowCyt-species-dilution-info": "", "FlowCyt-species-notes": "", "IHCP-species-checked": "guaranteed", "IHCP-species-dilution-info": "", "IHCP-species-notes": "", "IHCFr-species-checked": "testedAndGuaranteed", "IHCFr-species-dilution-info": "1 mg/mL", "IHCFr-species-notes": "<p>This product gave a positive signal in HeLa cells fixed with 10% formaldehyde (10 min).</p>" }, "Rat": { "FlowCyt-species-checked": "testedAndGuaranteed", "FlowCyt-species-dilution-info": "", "FlowCyt-species-notes": "<p></p>", "IHCP-species-checked": "testedAndGuaranteed", "IHCP-species-dilution-info": "1 µg/mL", "IHCP-species-notes": "<p></p> Perform heat-mediated antigen retrieval with citrate buffer pH 6 before commencing with IHC staining protocol.", "IHCFr-species-checked": "guaranteed", "IHCFr-species-dilution-info": "", "IHCFr-species-notes": "" } } }

Product details

Want a custom formulation?
This antibody clone is manufactured by Abcam. If you require a custom buffer formulation or conjugation for your experiments, please contact orders@abcam.com

Properties and storage information

Form
Liquid
Purification technique
Affinity purification
Storage buffer
Preservative: 0.02% Sodium azide Constituents: PBS
Shipped at conditions
Blue Ice
Appropriate short-term storage duration
1-2 weeks
Appropriate short-term storage conditions
+4°C
Appropriate long-term storage conditions
-20°C
Aliquoting information
Upon delivery aliquot
Storage information
Avoid freeze / thaw cycle

Supplementary information

This supplementary information is collated from multiple sources and compiled automatically.

CD45RC also known as PTPRC isoform 14125 or CD45 plays an essential mechanical role as a protein tyrosine phosphatase. This approximately 180-240 kDa transmembrane protein modulates antigen receptor signaling in lymphocytes. CD45RC is expressed on various immune cells including T cells B cells and natural killer cells with expression levels varying between subsets of these cells. The CD45RC isoform arises from alternative splicing leading to different molecular forms that can affect immune cell signaling.
Biological function summary

CD45RC impacts cell signaling by regulating the threshold of activation in T and B cells. It is a member of the receptor-type protein tyrosine phosphatase family and functions to maintain immune homeostasis. CD45RC does not typically function alone; it interacts with other cell surface molecules to facilitate signal transduction. By dephosphorylating specific kinases it fine-tunes the immune response preventing overreaction and facilitating a rapid appropriate response to antigens.

Pathways

CD45RC modulates pathways involved in lymphocyte activation. One key pathway is the T-cell receptor signaling pathway where it controls the activity of Src family kinases which play a significant part in the early activation of T cells. Another important pathway is the B-cell receptor signaling pathway. CD45RC's action with the BCR complex ensures precise regulation of B cell responses. Its activity is closely related to proteins such as Lck and Fyn which are involved in the signaling cascades initiated by receptor engagement.

CD45RC has implications in autoimmune diseases and certain leukemias. Its altered expression or function can lead to improper immune system regulation which may contribute to autoimmune conditions like rheumatoid arthritis where an overactive immune response targets the body’s own tissues. In some leukemias aberrant CD45RC expression can affect leukemia progression by modulating leukemia cell signaling and interactions within the bone marrow niche. This relationship of CD45RC with disease-related proteins like Lck highlights its potential as a therapeutic target in conditions of immune dysregulation.

Product protocols

For this product, it's our understanding that no specific protocols are required. You can visit:

Target data

Protein tyrosine-protein phosphatase required for T-cell activation through the antigen receptor. Acts as a positive regulator of T-cell coactivation upon binding to DPP4. The first PTPase domain has enzymatic activity, while the second one seems to affect the substrate specificity of the first one. Upon T-cell activation, recruits and dephosphorylates SKAP1 and FYN (By similarity). Dephosphorylates LYN, and thereby modulates LYN activity (By similarity).
See full target information Ptprc

Publications (4)

Recent publications for all applications. Explore the full list and refine your search

Circulation journal : official journal of the Japa 78:1197-205 PubMed24599045

2014

Blocking the receptor for advanced glycation end product activation attenuates autoimmune myocarditis.

Applications

Unspecified application

Species

Unspecified reactive species

Woo-In Yang,Dajeong Lee,Da Lyung Lee,Sung-Yu Hong,Sang-Hak Lee,Seok-Min Kang,Dong-Hoon Choi,Yangsoo Jang,Se Hoon Kim,Sungha Park

The journal of histochemistry and cytochemistry : official journal of the Histochemistry Society 43:313-20 PubMed7868861

1995

Immunohistochemical detection of T-cell subsets and other leukocytes in paraffin-embedded rat and mouse tissues with monoclonal antibodies.

Applications

Unspecified application

Species

Unspecified reactive species

J L Whiteland,S M Nicholls,C Shimeld,D L Easty,N A Williams,T J Hill

The Journal of experimental medicine 163:774-86 PubMed2936864

1986

T cells that help B cell responses to soluble antigen are distinguishable from those producing interleukin 2 on mitogenic or allogeneic stimulation.

Applications

Unspecified application

Species

Unspecified reactive species

R P Arthur,D Mason

The Journal of experimental medicine 158:795-810 PubMed6224884

1983

MRC OX-22, a monoclonal antibody that labels a new subset of T lymphocytes and reacts with the high molecular weight form of the leukocyte-common antigen.

Applications

Unspecified application

Species

Unspecified reactive species

G P Spickett,M R Brandon,D W Mason,A F Williams,G R Woollett
View all publications

Product promise

We are committed to supporting your work with high-quality reagents, and we're here for you every step of the way. In the unlikely event that one of our products does not perform as expected, you're protected by our Product Promise.
For full details, please see our Terms & Conditions

Please note: All products are 'FOR RESEARCH USE ONLY. NOT FOR USE IN DIAGNOSTIC OR THERAPEUTIC PROCEDURES'.

For licensing inquiries, please contact partnerships@abcam.com