JavaScript is disabled in your browser. Please enable JavaScript to view this website.
AB229446

Anti-CD46 antibody [EPR4014] - Low endotoxin, Azide free

Be the first to review this product! Submit a review

|

(1 Publication)

Rabbit Recombinant Monoclonal CD46 antibody. Carrier free. Suitable for IHC-P, WB and reacts with Human samples. Cited in 1 publication.

View Alternative Names

CD46, MCP, MIC10, Membrane cofactor protein, TLX, Trophoblast leukocyte common antigen

9 Images
Immunohistochemistry (Formalin/PFA-fixed paraffin-embedded sections) - Anti-CD46 antibody [EPR4014] - Low endotoxin, Azide free (AB229446)
  • IHC-P

Unknown

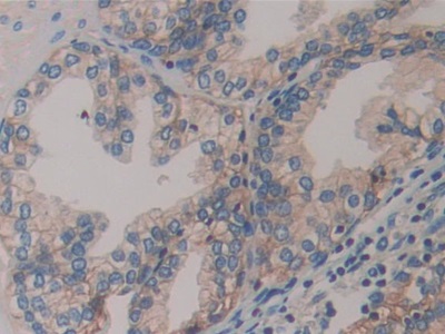
Immunohistochemistry (Formalin/PFA-fixed paraffin-embedded sections) - Anti-CD46 antibody [EPR4014] - Low endotoxin, Azide free (AB229446)

ab108307, at 1/500 dilution, staining CD46 in paraffin-embedded human kidney tissue.

This data was developed using the same antibody clone in a different buffer formulation containing PBS, BSA, glycerol, and sodium azide (ab108307).

Perform heat mediated antigen retrieval via the pressure cooker method before commencing with IHC staining protocol.

Immunohistochemistry (Formalin/PFA-fixed paraffin-embedded sections) - Anti-CD46 antibody [EPR4014] - Low endotoxin, Azide free (AB229446)
  • IHC-P

Unknown

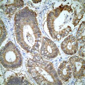
Immunohistochemistry (Formalin/PFA-fixed paraffin-embedded sections) - Anti-CD46 antibody [EPR4014] - Low endotoxin, Azide free (AB229446)

ab108307 showing positive staining in human colonic adenocarcinoma tissue.

This data was developed using the same antibody clone in a different buffer formulation containing PBS, BSA, glycerol, and sodium azide (ab108307).

Perform heat mediated antigen retrieval via the pressure cooker method before commencing with IHC staining protocol.

Immunohistochemistry (Formalin/PFA-fixed paraffin-embedded sections) - Anti-CD46 antibody [EPR4014] - Low endotoxin, Azide free (AB229446)
  • IHC-P

Unknown

Immunohistochemistry (Formalin/PFA-fixed paraffin-embedded sections) - Anti-CD46 antibody [EPR4014] - Low endotoxin, Azide free (AB229446)

This IHC data was generated using the same anti-CD46 antibody clone EPR4014 in a different buffer formulation (cat# ab108307).

ab108307 at 1/500 dilution staining CD46 in paraffin-embedded human tonsil tissue.

Perform heat mediated antigen retrieval via the pressure cooker method before commencing with IHC staining protocol.

Immunohistochemistry (Formalin/PFA-fixed paraffin-embedded sections) - Anti-CD46 antibody [EPR4014] - Low endotoxin, Azide free (AB229446)
  • IHC-P

Unknown

Immunohistochemistry (Formalin/PFA-fixed paraffin-embedded sections) - Anti-CD46 antibody [EPR4014] - Low endotoxin, Azide free (AB229446)

ab108307 showing positive staining in human normal breast tissue.

This data was developed using the same antibody clone in a different buffer formulation containing PBS, BSA, glycerol, and sodium azide (ab108307).

Perform heat mediated antigen retrieval via the pressure cooker method before commencing with IHC staining protocol.

Immunohistochemistry (Formalin/PFA-fixed paraffin-embedded sections) - Anti-CD46 antibody [EPR4014] - Low endotoxin, Azide free (AB229446)
  • IHC-P

Unknown

Immunohistochemistry (Formalin/PFA-fixed paraffin-embedded sections) - Anti-CD46 antibody [EPR4014] - Low endotoxin, Azide free (AB229446)

ab108307 showing positive staining in human normal placenta tissue.

This data was developed using the same antibody clone in a different buffer formulation containing PBS, BSA, glycerol, and sodium azide (ab108307).

Perform heat mediated antigen retrieval via the pressure cooker method before commencing with IHC staining protocol.

Immunohistochemistry (Formalin/PFA-fixed paraffin-embedded sections) - Anti-CD46 antibody [EPR4014] - Low endotoxin, Azide free (AB229446)
  • IHC-P

Unknown

Immunohistochemistry (Formalin/PFA-fixed paraffin-embedded sections) - Anti-CD46 antibody [EPR4014] - Low endotoxin, Azide free (AB229446)

ab108307 showing positive staining in human normal uterus tissue.

This data was developed using the same antibody clone in a different buffer formulation containing PBS, BSA, glycerol, and sodium azide (ab108307).

Perform heat mediated antigen retrieval via the pressure cooker method before commencing with IHC staining protocol.

Immunohistochemistry (Formalin/PFA-fixed paraffin-embedded sections) - Anti-CD46 antibody [EPR4014] - Low endotoxin, Azide free (AB229446)
  • IHC-P

Unknown

Immunohistochemistry (Formalin/PFA-fixed paraffin-embedded sections) - Anti-CD46 antibody [EPR4014] - Low endotoxin, Azide free (AB229446)

ab108307 showing positive staining in human breast carcinoma tissue.

This data was developed using the same antibody clone in a different buffer formulation containing PBS, BSA, glycerol, and sodium azide (ab108307).

Perform heat mediated antigen retrieval via the pressure cooker method before commencing with IHC staining protocol.

Immunohistochemistry (Formalin/PFA-fixed paraffin-embedded sections) - Anti-CD46 antibody [EPR4014] - Low endotoxin, Azide free (AB229446)
  • IHC-P

Unknown

Immunohistochemistry (Formalin/PFA-fixed paraffin-embedded sections) - Anti-CD46 antibody [EPR4014] - Low endotoxin, Azide free (AB229446)

ab108307 showing positive staining in human thyroid gland carcinoma tissue.

This data was developed using the same antibody clone in a different buffer formulation containing PBS, BSA, glycerol, and sodium azide (ab108307).

Perform heat mediated antigen retrieval via the pressure cooker method before commencing with IHC staining protocol.

Western blot - Anti-CD46 antibody [EPR4014] - Low endotoxin, Azide free (AB229446)
  • WB

Lab

Western blot - Anti-CD46 antibody [EPR4014] - Low endotoxin, Azide free (AB229446)

This WB data was generated using the same anti-CD46 antibody clone, EPR4014, in a different buffer formulation (cat# ab108307).

Lane 1 : Wild-type HAP1 cell lysate (20 μg)
Lane 2 : CD46 knockout HAP1 cell lysate (20 μg)
Lane 3 : HeLa cell lysate (20 μg)
Lane 4 : K562 cell lysate (20 μg)
Lanes 1 - 4 : Merged signal (red and green). Green - ab108307 observed at 50-70 kDa. Red - loading control, ab8245, observed at 37 kDa.
ab108307 was shown to specifically react with when CD46 knockout samples were used. Wild-type and CD46 knockout samples were subjected to SDS-PAGE. ab108307 and ab8245 (loading control to GAPDH) were diluted 1/1000 and 1/10 000 respectively and incubated overnight at 4°C. Blots were developed with Goat anti-Rabbit IgG H&L (IRDye® 800CW) preadsorbed (ab216773) and Goat anti-Mouse IgG H&L (IRDye® 680RD) preadsorbed (ab216776) secondary antibodies at 1/10 000 dilution for 1 h at room temperature before imaging.

All lanes:

Western blot - Anti-CD46 antibody [EPR4014] (<a href='/en-us/products/primary-antibodies/cd46-antibody-epr4014-ab108307'>ab108307</a>)

Predicted band size: 44 kDa

false

Key facts

Host species

Rabbit

Clonality

Monoclonal

Clone number

EPR4014

Isotype

IgG

Carrier free

Yes

Reacts with

Human

Applications

WB, IHC-P

applications

Immunogen

The exact immunogen used to generate this antibody is proprietary information.

Reactivity data

{ "title": "Reactivity Data", "filters": { "stats": ["", "Species", "Dilution Info", "Notes"], "tabs": { "all-applications": {"fullname" : "All Applications", "shortname": "All Applications"}, "IHCP" : {"fullname" : "Immunohistochemistry (Formalin/PFA-fixed paraffin-embedded sections)", "shortname":"IHC-P"}, "IP" : {"fullname" : "Immunoprecipitation", "shortname":"IP"}, "FlowCyt" : {"fullname" : "Flow Cytometry", "shortname":"Flow Cyt"}, "WB" : {"fullname" : "Western blot", "shortname":"WB"} }, "product-promise": { "all": "all", "testedAndGuaranteed": "tested", "guaranteed": "expected", "predicted": "predicted", "notRecommended": "not-recommended" } }, "values": { "Human": { "IHCP-species-checked": "testedAndGuaranteed", "IHCP-species-dilution-info": "", "IHCP-species-notes": "<p></p>", "IP-species-checked": "notRecommended", "IP-species-dilution-info": "", "IP-species-notes": "<p></p>", "FlowCyt-species-checked": "notRecommended", "FlowCyt-species-dilution-info": "", "FlowCyt-species-notes": "<p></p>", "WB-species-checked": "testedAndGuaranteed", "WB-species-dilution-info": "", "WB-species-notes": "<p></p>" }, "Rabbit": { "IHCP-species-checked": "predicted", "IHCP-species-dilution-info": "", "IHCP-species-notes": "", "IP-species-checked": "notRecommended", "IP-species-dilution-info": "", "IP-species-notes": "", "FlowCyt-species-checked": "notRecommended", "FlowCyt-species-dilution-info": "", "FlowCyt-species-notes": "", "WB-species-checked": "predicted", "WB-species-dilution-info": "", "WB-species-notes": "" } } }

Product details

ab229446 is the carrier-free version of ab108307.

Species reactivity
Mouse, Rat: We have preliminary internal testing data to indicate this antibody may not react with these species.
Please contact us for more information.

Conjugation ready
Our carrier-free antibodies are typically supplied in a PBS-only formulation, purified and free of BSA, sodium azide and glycerol. This conjugation-ready format is designed for use with fluorochromes, metal isotopes, oligonucleotides, and enzymes, which makes them ideal for antibody labelling, functional and cell-based assays, flow-based assays (e.g. mass cytometry) and Multiplex Imaging applications.

Use our conjugation kits for antibody conjugates that are ready-to-use in as little as 20 minutes with 1 minute hands-on-time and 100% antibody recovery: available for fluorescent dyes, HRP, biotin and gold.

What does low endotoxin mean?
Our low endotoxin, azide-free formats have low endotoxin level (1 EU/mg, determined by the TAL assay) and are free from azide, to achieve consistent experimental results in functional assays.

Properties and storage information

Form
Liquid
Purification technique
Affinity purification Protein A
Storage buffer
pH: 7.2 - 7.4 Constituents: PBS
Shipped at conditions
Blue Ice
Appropriate short-term storage conditions
+4°C
Appropriate long-term storage conditions
+4°C
Storage information
Do Not Freeze

Supplementary information

This supplementary information is collated from multiple sources and compiled automatically.

CD46 also known as membrane cofactor protein (MCP) is a type I membrane protein with a molecular weight around 50-70 kDa due to glycosylation variability. This protein serves as a regulatory component in the complement system which protects host cells from damage by complement components. CD46 is widely expressed on almost all nucleated human cells. It plays a role in inactivating C3b and C4b components of the complement cascade preventing autologous complement-mediated damage. The gene coding for CD46 is located on chromosome 1q32 a region known for encoding several complement regulatory proteins.
Biological function summary

Beyond its complement regulatory role CD46 acts in immune response modulation and reproduction. It forms a part of a protein complex that involves members such as decay-accelerating factor and complement receptor 1. CD46 also engages in intracellular signaling that affects T cell function and differentiation. In the reproductive context it participates in sperm-oocyte fusion and has a role in trophoblast fusion during placental formation.

Pathways

CD46 integrates into various signaling pathways including the complement and T cell receptor signaling pathways. In the complement pathway CD46 interacts with C3b and factor I promoting cleavage and inactivation of C3b leading to pathway regulation. Involvement in the T cell receptor pathway hints that CD46 signaling protects against overactive immune responses by promoting a switch to a regulatory T cell phenotype which can modulate immunity and prevent autoimmunity.

CD46 has connections with autoimmune conditions and infectious diseases. For instance alterations in CD46 expression or function can contribute to atypical hemolytic uremic syndrome where dysregulation of the complement pathway occurs. Additionally certain pathogens like Neisseria gonorrhoeae utilize CD46 as a receptor for infection. CD46’s interaction with proteins such as C3b connects it directly to complement-related conditions highlighting its importance in maintaining immune system balance.

Product protocols

For this product, it's our understanding that no specific protocols are required. You can visit:

Target data

Acts as a cofactor for complement factor I, a serine protease which protects autologous cells against complement-mediated injury by cleaving C3b and C4b deposited on host tissue. May be involved in the fusion of the spermatozoa with the oocyte during fertilization. Also acts as a costimulatory factor for T-cells which induces the differentiation of CD4+ into T-regulatory 1 cells. T-regulatory 1 cells suppress immune responses by secreting interleukin-10, and therefore are thought to prevent autoimmunity.. (Microbial infection) A number of viral and bacterial pathogens seem to bind MCP in order to exploit its immune regulation property and directly induce an immunosuppressive phenotype in T-cells.. (Microbial infection) Acts as a receptor for Adenovirus subgroup B2 and Ad3.. (Microbial infection) Acts as a receptor for cultured Measles virus.. (Microbial infection) Acts as a receptor for Herpesvirus 6/HHV-6.. (Microbial infection) May act as a receptor for pathogenic bacteria Neisseria and Streptococcus pyogenes (PubMed : 11260136, PubMed : 11971006, PubMed : 7708671, PubMed : 9379894).
See full target information CD46

Publications (1)

Recent publications for all applications. Explore the full list and refine your search

Immunity 55:2369-2385.e10 PubMed36370712

2022

The transcription factor IRF2 drives interferon-mediated CD8 T cell exhaustion to restrict anti-tumor immunity.

Applications

Unspecified application

Species

Unspecified reactive species

Sabelo Lukhele,Diala Abd Rabbo,Mengdi Guo,Jian Shen,Heidi J Elsaesser,Rene Quevedo,Madeleine Carew,Ramy Gadalla,Laura M Snell,Lawanya Mahesh,M Teresa Ciudad,Bryan E Snow,Annick You-Ten,Jillian Haight,Andrew Wakeham,Pamela S Ohashi,Tak W Mak,Weiguo Cui,Tracy L McGaha,David G Brooks
View all publications

Product promise

We are committed to supporting your work with high-quality reagents, and we're here for you every step of the way. In the unlikely event that one of our products does not perform as expected, you're protected by our Product Promise.
For full details, please see our Terms & Conditions

Please note: All products are 'FOR RESEARCH USE ONLY. NOT FOR USE IN DIAGNOSTIC OR THERAPEUTIC PROCEDURES'.

For licensing inquiries, please contact partnerships@abcam.com