JavaScript is disabled in your browser. Please enable JavaScript to view this website.
AB233122

Anti-CD47 antibody [EPR21794] - BSA and Azide free

Be the first to review this product! Submit a review

|

(1 Publication)

Rabbit Recombinant Monoclonal CD47 antibody. Carrier free. Suitable for WB, IHC-P and reacts with Human samples. Cited in 1 publication.

View Alternative Names

CD47, MER6, Leukocyte surface antigen CD47, Antigenic surface determinant protein OA3, Integrin-associated protein, Protein MER6, IAP

7 Images
Immunohistochemistry (Formalin/PFA-fixed paraffin-embedded sections) - Anti-CD47 antibody [EPR21794] - BSA and Azide free (AB233122)
  • IHC-P

Supplier Data

Immunohistochemistry (Formalin/PFA-fixed paraffin-embedded sections) - Anti-CD47 antibody [EPR21794] - BSA and Azide free (AB233122)

Immunohistochemical analysis of paraffin-embedded human liver tissue labeling CD47 with ab218810 at 1/2000 dilution, followed by Goat Anti-Rabbit IgG H&L (HRP) Ready to use. Membranous and weak cytoplasmic staining on sinus of human liver sinusoidal endothelial cells (PMID : 7998989). Counterstained with hematoxylin.

Secondary antibody only control : Used PBS instead of primary antibody, secondary antibody is Goat Anti-Rabbit IgG H&L (HRP) Ready to use.

This data was developed using the same antibody clone in a different buffer formulation containing PBS, BSA, glycerol, and sodium azide (ab218810).

Heat mediated antigen retrieval was performed with Tris/EDTA buffer pH 9.0 before commencing with IHC staining protocol.

Immunohistochemistry (Formalin/PFA-fixed paraffin-embedded sections) - Anti-CD47 antibody [EPR21794] - BSA and Azide free (AB233122)
  • IHC-P

Lab

Immunohistochemistry (Formalin/PFA-fixed paraffin-embedded sections) - Anti-CD47 antibody [EPR21794] - BSA and Azide free (AB233122)

This data was developed using ab218810, the same antibody clone in a different buffer formulation.

Immunohistochemical analysis of formalin fixed paraffin embedded human ovarian carcinoma labelling CD47 with ab218810 at a concentration of 1µg/ml. The immunostaining was performed on a Ventana DISCOVERY ULTRA (Roche Tissue Diagnostics) instrument with a OptiView DAB IHC Detection Kit. Heat mediated antigen retrieval was performed with DISCOVERY cell conditioning solution (CC1) 100°C, pH8.5 for 32mins.

ab218810 Anti-CD47 antibody [EPR21794] was incubated for 16mins at 37°C. Sections were counterstained with Hematoxylin II. Image inset shows absence of staining in secondary antibody only control.

Customers are encouraged to optimise antigen retrieval conditions, antibody concentration, incubation times and temperature for best results in their own IHC assay workflow (automated and manual)

Immunohistochemistry (Formalin/PFA-fixed paraffin-embedded sections) - Anti-CD47 antibody [EPR21794] - BSA and Azide free (AB233122)
  • IHC-P

Lab

Immunohistochemistry (Formalin/PFA-fixed paraffin-embedded sections) - Anti-CD47 antibody [EPR21794] - BSA and Azide free (AB233122)

This data was developed using ab218810, the same antibody clone in a different buffer formulation.

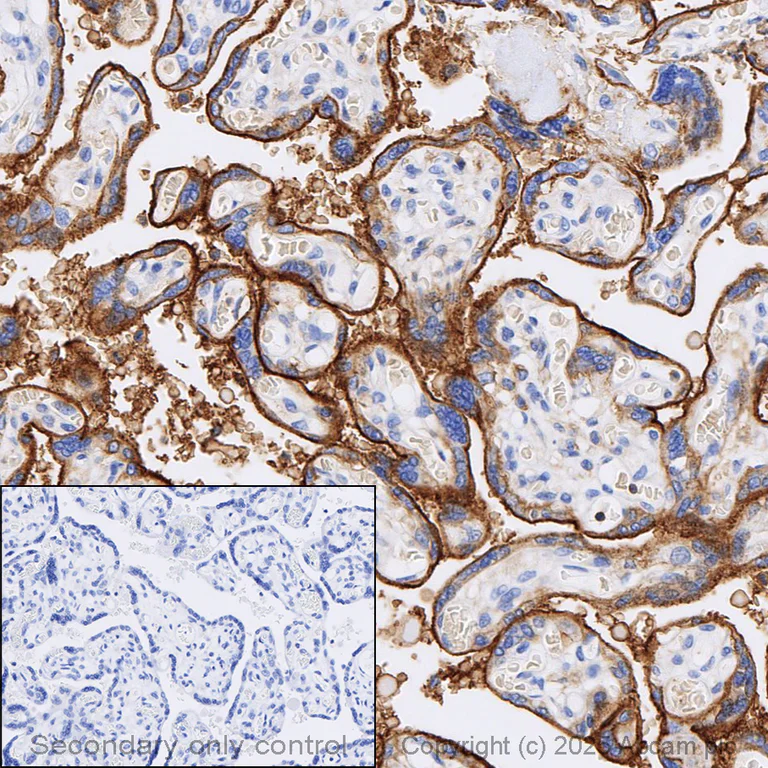
Immunohistochemical analysis of formalin fixed paraffin embedded human placenta labelling CD47 with ab218810 at a concentration of 1µg/ml. The immunostaining was performed on a Ventana DISCOVERY ULTRA (Roche Tissue Diagnostics) instrument with a OptiView DAB IHC Detection Kit. Heat mediated antigen retrieval was performed with DISCOVERY cell conditioning solution (CC1) 100°C, pH8.5 for 32mins.

ab218810 Anti-CD47 antibody [EPR21794] was incubated for 16mins at 37°C. Sections were counterstained with Hematoxylin II. Image inset shows absence of staining in secondary antibody only control.

Customers are encouraged to optimise antigen retrieval conditions, antibody concentration, incubation times and temperature for best results in their own IHC assay workflow (automated and manual)

Immunohistochemistry (Formalin/PFA-fixed paraffin-embedded sections) - Anti-CD47 antibody [EPR21794] - BSA and Azide free (AB233122)
  • IHC-P

Lab

Immunohistochemistry (Formalin/PFA-fixed paraffin-embedded sections) - Anti-CD47 antibody [EPR21794] - BSA and Azide free (AB233122)

This data was developed using ab218810, the same antibody clone in a different buffer formulation.

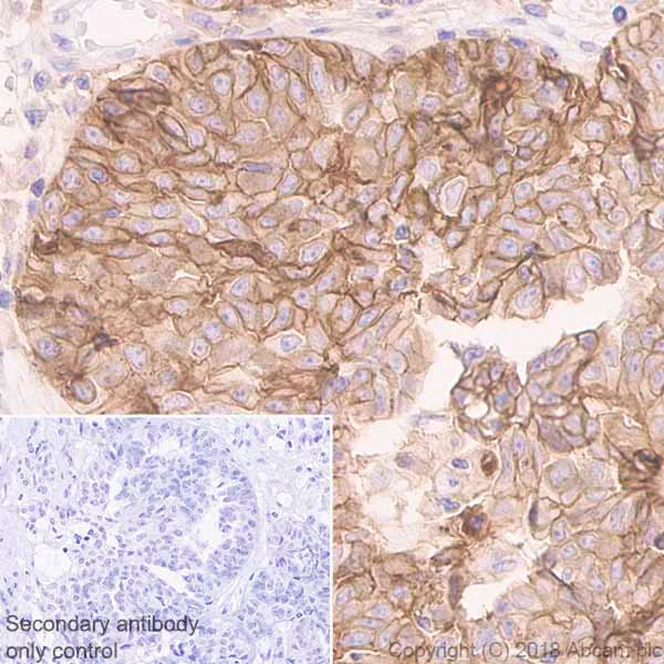
Immunohistochemical analysis of formalin fixed paraffin embedded human non small cell lung carcinoma labelling CD47 with ab218810 at a concentration of 1µg/ml. The immunostaining was performed on a Ventana DISCOVERY ULTRA (Roche Tissue Diagnostics) instrument with a OptiView DAB IHC Detection Kit. Heat mediated antigen retrieval was performed with DISCOVERY cell conditioning solution (CC1) 100°C, pH8.5 for 32mins.

ab218810 Anti-CD47 antibody [EPR21794] was incubated for 16mins at 37°C. Sections were counterstained with Hematoxylin II. Image inset shows absence of staining in secondary antibody only control.

Customers are encouraged to optimise antigen retrieval conditions, antibody concentration, incubation times and temperature for best results in their own IHC assay workflow (automated and manual)

Immunohistochemistry (Formalin/PFA-fixed paraffin-embedded sections) - Anti-CD47 antibody [EPR21794] - BSA and Azide free (AB233122)
  • IHC-P

Supplier Data

Immunohistochemistry (Formalin/PFA-fixed paraffin-embedded sections) - Anti-CD47 antibody [EPR21794] - BSA and Azide free (AB233122)

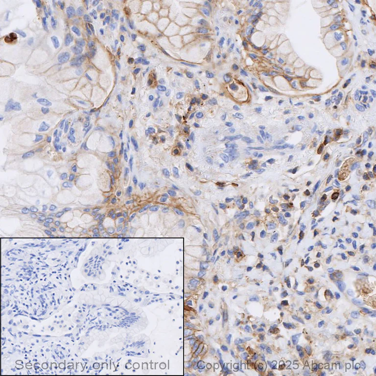
Immunohistochemical analysis of paraffin-embedded human placenta tissue labeling CD47 with ab218810 at 1/2000 dilution, followed by Goat Anti-Rabbit IgG H&L (HRP) Ready to use. Membranous staining on human placenta (PMID : 7998989). Counterstained with hematoxylin.

Secondary antibody only control : Used PBS instead of primary antibody, secondary antibody is Goat Anti-Rabbit IgG H&L (HRP) Ready to use.

This data was developed using the same antibody clone in a different buffer formulation containing PBS, BSA, glycerol, and sodium azide (ab218810).

Heat mediated antigen retrieval was performed with Tris/EDTA buffer pH 9.0 before commencing with IHC staining protocol.

Immunohistochemistry (Formalin/PFA-fixed paraffin-embedded sections) - Anti-CD47 antibody [EPR21794] - BSA and Azide free (AB233122)
  • IHC-P

Supplier Data

Immunohistochemistry (Formalin/PFA-fixed paraffin-embedded sections) - Anti-CD47 antibody [EPR21794] - BSA and Azide free (AB233122)

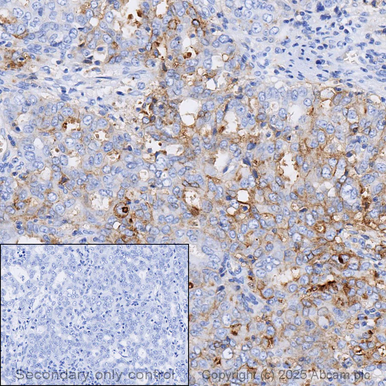
Immunohistochemical analysis of paraffin-embedded human ovary carcinoma tissue labeling CD47 with ab218810 at 1/2000 dilution, followed by Goat Anti-Rabbit IgG H&L (HRP) Ready to use. Membranous and weakly cytoplasmic staining in human ovary carcinoma (PMID : 7998989). Counterstained with hematoxylin.

Secondary antibody only control : Used PBS instead of primary antibody, secondary antibody is Goat Anti-Rabbit IgG H&L (HRP) Ready to use.

This data was developed using the same antibody clone in a different buffer formulation containing PBS, BSA, glycerol, and sodium azide (ab218810).

Heat mediated antigen retrieval was performed with Tris/EDTA buffer pH 9.0 before commencing with IHC staining protocol.

Western blot - Anti-CD47 antibody [EPR21794] - BSA and Azide free (AB233122)
  • WB

Lab

Western blot - Anti-CD47 antibody [EPR21794] - BSA and Azide free (AB233122)

This data was developed using the same antibody clone in a different buffer formulation (ab218810).

Lanes 1-4 : Merged signal (red and green). Green - ab218810 observed at 47-52 kDa. Red - loading control ab8245 observed at 36 kDa.

ab218810 Anti-CD47 antibody [EPR21794] was shown to specifically react with CD47 in wild-type HEK293T cells. Loss of signal was observed when knockout cell line ab266324 (knockout cell lysate ab257220) was used. Wild-type and CD47 knockout samples were subjected to SDS-PAGE. ab218810 and Anti-GAPDH antibody [6C5] - Loading Control (ab8245) were incubated overnight at 4°C at 1 in 500 dilution and 1 in 20000 dilution respectively. Blots were developed with Goat anti-Rabbit IgG H&L (IRDye® 800CW) preadsorbed (ab216773) and Goat anti-Mouse IgG H&L (IRDye® 680RD) preadsorbed (ab216776) secondary antibodies at 1 in 20000 dilution for 1 hour at room temperature before imaging.

All lanes:

Western blot - Anti-CD47 antibody [EPR21794] (<a href='/en-us/products/primary-antibodies/cd47-antibody-epr21794-ab218810'>ab218810</a>) at 1/500 dilution

Lane 1:

Wild-type HEK293T cell lysate at 20 µg

Lane 2:

CD47 knockout HEK293T cell lysate at 20 µg

Lane 2:

Western blot - Human CD47 knockout HEK-293T cell line (<a href='/en-us/products/cell-lines/human-cd47-knockout-hek-293t-cell-line-ab266324'>ab266324</a>)

Lane 3:

Jurkat cell lysate at 20 µg

Lane 4:

HepG2 cell lysate at 20 µg

Secondary

All lanes:

Western blot - Goat anti-Rabbit IgG H&L (IRDye® 800CW) preadsorbed (<a href='/en-us/products/secondary-antibodies/goat-rabbit-igg-h-l-irdye-800cw-preadsorbed-ab216773'>ab216773</a>) at 1/10000 dilution

Predicted band size: 35 kDa

Observed band size: 47-52 kDa

false

Key facts

Host species

Rabbit

Clonality

Monoclonal

Clone number

EPR21794

Isotype

IgG

Carrier free

Yes

Reacts with

Human

Applications

IHC-P, WB

applications

Immunogen

The exact immunogen used to generate this antibody is proprietary information.

Reactivity data

{ "title": "Reactivity Data", "filters": { "stats": ["", "Species", "Dilution Info", "Notes"], "tabs": { "all-applications": {"fullname" : "All Applications", "shortname": "All Applications"}, "WB" : {"fullname" : "Western blot", "shortname":"WB"}, "IHCP" : {"fullname" : "Immunohistochemistry (Formalin/PFA-fixed paraffin-embedded sections)", "shortname":"IHC-P"} }, "product-promise": { "all": "all", "testedAndGuaranteed": "tested", "guaranteed": "expected", "predicted": "predicted", "notRecommended": "not-recommended" } }, "values": { "Human": { "WB-species-checked": "testedAndGuaranteed", "WB-species-dilution-info": "", "WB-species-notes": "<p></p>", "IHCP-species-checked": "testedAndGuaranteed", "IHCP-species-dilution-info": "", "IHCP-species-notes": "<p></p>" } } }

Product details

ab233122 is the carrier-free version of ab218810.

Patented technology
Our RabMAb® technology is a patented hybridoma-based technology for making rabbit monoclonal antibodies. For details on our patents, please refer to RabMAb® patents.

What are the advantages of a recombinant monoclonal antibody?
This product is a recombinant monoclonal antibody, which offers several advantages including:

  • - High batch-to-batch consistency and reproducibility
  • - Improved sensitivity and specificity
  • - Long-term security of supply
  • - Animal-free batch production

For more information, read more on recombinant antibodies.

Conjugation ready
Our carrier-free antibodies are typically supplied in a PBS-only formulation, purified and free of BSA, sodium azide and glycerol. This conjugation-ready format is designed for use with fluorochromes, metal isotopes, oligonucleotides, and enzymes, which makes them ideal for antibody labelling, functional and cell-based assays, flow-based assays (e.g. mass cytometry) and Multiplex Imaging applications.

Use our conjugation kits for antibody conjugates that are ready-to-use in as little as 20 minutes with 1 minute hands-on-time and 100% antibody recovery: available for fluorescent dyes, HRP, biotin and gold.

Compatibility
This product is compatible with the Maxpar® Antibody Labeling Kit from Fluidigm, without the need for antibody preparation. Maxpar® is a trademark of Fluidigm Canada Inc.

Properties and storage information

Form
Liquid
Purification technique
Affinity purification Protein A
Storage buffer
pH: 7.2 - 7.4 Constituents: PBS
Shipped at conditions
Blue Ice
Appropriate short-term storage conditions
+4°C
Appropriate long-term storage conditions
+4°C
Storage information
Do Not Freeze

Supplementary information

This supplementary information is collated from multiple sources and compiled automatically.

CD47 also referred to as integrin-associated protein carries a molecular weight of approximately 50 kDa. This protein is broadly expressed across various cell types notably on erythrocytes leukocytes and endothelial cells. Its transmembrane glycoprotein structure allows it to perform various cellular functions. CD47 interacts with specific ligands prominently SIRPα which are present on immune cells such as macrophages and dendritic cells. The engagement of CD47 with these ligands plays a major role in cellular signaling processes.
Biological function summary

CD47 functions as a "don't eat me" signal inhibiting phagocytosis by binding to SIRPα on macrophages. This protein is also important for cell adhesion and migration and can modulate interactions with integrins. While not a part of a large complex CD47 associates with various cytoskeletal and membrane proteins to maintain cellular architecture and transmission of mechanical forces. Additionally its interaction with thrombospondins influences angiogenesis and nitric oxide signaling.

Pathways

CD47 is extensively involved in the regulation of the immune response and angiogenesis. The interaction between CD47 and SIRPα plays a part in the regulation of macrophage activity impacting the immune signaling pathway. CD47 also interacts with integrins allowing it to contribute to the angiogenesis pathway which is critical in the formation of new blood vessels. These interactions help coordinate complex cellular responses and maintain tissue homeostasis.

CD47 levels have associations with cancer and chronic inflammatory diseases. In cancer CD47 overexpression can allow tumor cells to evade the immune response by downregulating phagocytosis through SIRPα interaction. Therapeutically targeting CD47 using agents like anti-CD47 antibodies shows potential for enhancing anti-tumor immunity. Additionally CD47 is involved in atherosclerosis where its interaction with thrombospondin-1 contributes to disease pathogenesis by affecting nitric oxide signaling and vascular remodeling.

Product protocols

For this product, it's our understanding that no specific protocols are required. You can visit:

Target data

Adhesive protein that mediates cell-to-cell interactions (PubMed : 11509594, PubMed : 15383453). Acts as a receptor for thrombospondin THBS1 and as modulator of integrin signaling through the activation of heterotrimeric G proteins (PubMed : 19004835, PubMed : 7691831, PubMed : 8550562). Involved in signal transduction, cardiovascular homeostasis, inflammation, apoptosis, angiogenesis, cellular self-renewal, and immunoregulation (PubMed : 11509594, PubMed : 15383453, PubMed : 19004835, PubMed : 27742621, PubMed : 32679764, PubMed : 7691831, PubMed : 8550562). Plays a role in modulating pulmonary endothelin EDN1 signaling (PubMed : 27742621). Modulates nitrous oxide (NO) signaling, in response to THBS1, hence playing a role as a pressor agent, supporting blood pressure (By similarity). Plays an important role in memory formation and synaptic plasticity in the hippocampus (By similarity). Receptor for SIRPA, binding to which prevents maturation of immature dendritic cells and inhibits cytokine production by mature dendritic cells (PubMed : 11509594). Interaction with SIRPG mediates cell-cell adhesion, enhances superantigen-dependent T-cell-mediated proliferation and costimulates T-cell activation (PubMed : 15383453). Positively modulates FAS-dependent apoptosis in T-cells, perhaps by enhancing FAS clustering (By similarity). Plays a role in suppressing angiogenesis and may be involved in metabolic dysregulation during normal aging (PubMed : 32679764). In response to THBS1, negatively modulates wound healing (By similarity). Inhibits stem cell self-renewal, in response to THBS1, probably by regulation of the stem cell transcription factors POU5F1/OCT4, SOX2, MYC/c-Myc and KLF4 (By similarity). May play a role in membrane transport and/or integrin dependent signal transduction (PubMed : 7691831). May prevent premature elimination of red blood cells (By similarity).
See full target information CD47

Publications (1)

Recent publications for all applications. Explore the full list and refine your search

Physiological reports 13:e70580 PubMed40999314

2025

High-intensity interval training attenuates cardiac injury by targeting ferroptosis and endoplasmic reticulum-stress in male rats with heart failure.

Applications

Unspecified application

Species

Unspecified reactive species

Aida Sabouri,Abbasali Gaeini,Soheila Adeli,Alireza Ghardashi Afousi
View all publications

Product promise

We are committed to supporting your work with high-quality reagents, and we're here for you every step of the way. In the unlikely event that one of our products does not perform as expected, you're protected by our Product Promise.
For full details, please see our Terms & Conditions

Please note: All products are 'FOR RESEARCH USE ONLY. NOT FOR USE IN DIAGNOSTIC OR THERAPEUTIC PROCEDURES'.

For licensing inquiries, please contact partnerships@abcam.com