JavaScript is disabled in your browser. Please enable JavaScript to view this website.
AB284132

Anti-CD47 antibody [RM1014]

  • BOND RX™ Validated
  • 20ul selling size
  • RabMAb
  • Recombinant
  • KO Validated
  • What is this?

Be the first to review this product! Submit a review

|

(5 Publications)

Rabbit Recombinant Multiclonal CD47 antibody. Suitable for ICC/IF, Flow Cyt, WB, IHC-P and reacts with Human samples. Cited in 5 publications.

View Alternative Names

CD47, MER6, Leukocyte surface antigen CD47, Antigenic surface determinant protein OA3, Integrin-associated protein, Protein MER6, IAP

11 Images
Immunohistochemistry (Formalin/PFA-fixed paraffin-embedded sections) - Anti-CD47 antibody [RM1014] (AB284132)
  • IHC-P

Supplier Data

Immunohistochemistry (Formalin/PFA-fixed paraffin-embedded sections) - Anti-CD47 antibody [RM1014] (AB284132)

Immunohistochemical analysis of paraffin-embedded human ovarian carcinoma tissue labelling CD47 with ab284132 at 1/500 (0.924 μg/ml) followed by a ready to use LeicaDS9800 (BOND™ Polymer Refine Detection) was used. Positive staining on human ovarian carcinoma. The section was incubated with ab284132 for 30 mins at room temperature.The immunostaining was performed on a Leica Biosystems BOND® RX instrument. Counterstained with Hematoxylin.

Secondary antibody only control : Secondary antibody is a ready to use LeicaDS9800 (BOND™ Polymer Refine Detection).

Heat mediated antigen retrieval with Tris-EDTA buffer (pH 9.0, epitope retrieval solution2) for 20 mins.

Immunocytochemistry/ Immunofluorescence - Anti-CD47 antibody [RM1014] (AB284132)
  • ICC/IF

Supplier Data

Immunocytochemistry/ Immunofluorescence - Anti-CD47 antibody [RM1014] (AB284132)

Immunofluorescent analysis of 100% methanol-fixed, 0.1% Triton X-100 permeabilized Jurkat cells labelling CD47 with ab284132 at 1/50 dilution, followed by ab150081 Goat Anti-Rabbit IgG H&L (Alexa Fluor® 488) preadsorbed antibody at 1/1000 dilution (Green). Confocal image showing membranous staining in Jurkat cell line. Negative control : HepG2 (PMID : 25721088). ab195889 Anti-alpha Tubulin mouse monoclonal antibody - Microtubule Marker (Alexa Fluor® 594) was used to counterstain tubulin at 1/200 dilution (Red). The Nuclear counterstain was DAPI (Blue).

Secondary antibody only control : Secondary antibody is ab150081 Goat Anti-Rabbit IgG H&L (Alexa Fluor® 488) preadsorbed at 1/1000 dilution.

Immunohistochemistry (Formalin/PFA-fixed paraffin-embedded sections) - Anti-CD47 antibody [RM1014] (AB284132)
  • IHC-P

Supplier Data

Immunohistochemistry (Formalin/PFA-fixed paraffin-embedded sections) - Anti-CD47 antibody [RM1014] (AB284132)

Immunohistochemical analysis of paraffin-embedded human spleen tissue labelling CD47 with ab284132 at 1/500 followed by a ready to use LeicaDS9800 (BOND™ Polymer Refine Detection). Positive staining on human spleen. The section was incubated with ab284132 for 30 mins at room temperature. The immunostaining was performed on a Leica Biosystems BOND® RX instrument. Counterstained with Hematoxylin.

Secondary antibody only control : Secondary antibody is a ready to use LeicaDS9800 (BOND™ Polymer Refine Detection).

Heat mediated antigen retrieval with Tris-EDTA buffer (pH 9.0, epitope retrieval solution2) for 20 mins.

Flow Cytometry - Anti-CD47 antibody [RM1014] (AB284132)
  • Flow Cyt

Supplier Data

Flow Cytometry - Anti-CD47 antibody [RM1014] (AB284132)

Flow cytometric analysis of HepG2 (Human hepatocellular carcinoma epithelial cell, Left) / U-937 (Human histiocytic lymphoma monocyte, Right) cells labelling CD47 with ab284132 at 1/500 dilution (0.1μg) (Red) compared with a Rabbit monoclonal IgG (ab172730) (Black) isotype control and an unlabelled control (cells without incubation with primary antibody and secondary antibody) (Blue). Goat Anti-Rabbit IgG (Alexa Fluor® 488, ab150081) at 1/2000 dilution was used as the secondary antibody. Low expression control : HepG2 (PMID : 25721088, 30415063). Gated on viable cells.

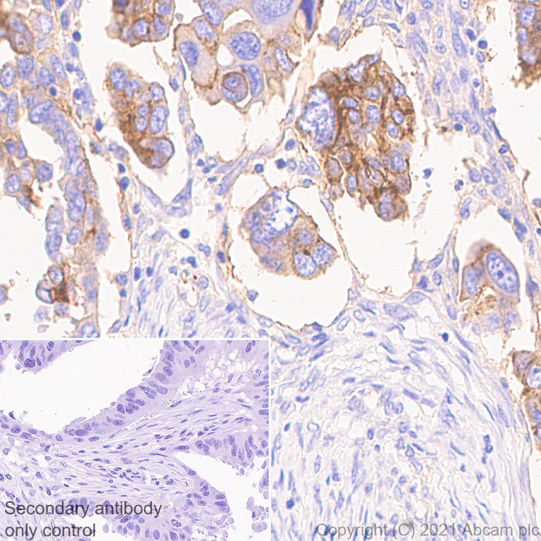
Immunohistochemistry (Formalin/PFA-fixed paraffin-embedded sections) - Anti-CD47 antibody [RM1014] (AB284132)
  • IHC-P

Supplier Data

Immunohistochemistry (Formalin/PFA-fixed paraffin-embedded sections) - Anti-CD47 antibody [RM1014] (AB284132)

Immunohistochemical analysis of paraffin-embedded human ovarian carcin tissue labelling CD47 with ab284132 at 1/500 followed by a ready to use LeicaDS9800 (BOND™Polymer Refine Detection) was used. Positive staining on human ovarian carcinoma. The section was incubated with ab284132 for 30 mins at room temperature.The immunostaining was performed on a Leica Biosystems BOND® RX instrument. Counterstained with Hematoxylin.

Secondary antibody only control : Secondary antibody is a ready to use LeicaDS9800 (BOND™ Polymer Refine Detection).

Heat mediated antigen retrieval with Tris-EDTA buffer (pH 9.0, epitope retrieval solution2) for 20 mins.

Immunohistochemistry (Formalin/PFA-fixed paraffin-embedded sections) - Anti-CD47 antibody [RM1014] (AB284132)
  • IHC-P

Supplier Data

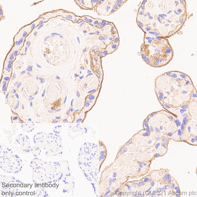
Immunohistochemistry (Formalin/PFA-fixed paraffin-embedded sections) - Anti-CD47 antibody [RM1014] (AB284132)

Immunohistochemical analysis of paraffin-embedded human placenta tissue labelling CD47 with ab284132 at 1/500 followed by a ready to use LeicaDS9800 (BOND™ Polymer Refine Detection). Positive staining on human placenta. The section was incubated with ab284132 for 30 mins at room temperature.The immunostaining was performed on a Leica Biosystems BOND® RX instrument. Counterstained with Hematoxylin.

Secondary antibody only control : Secondary antibody is a ready to use LeicaDS9800 (BOND™ Polymer Refine Detection).

Heat mediated antigen retrieval with Tris-EDTA buffer (pH 9.0, epitope retrieval solution2) for 20 mins.

Flow Cytometry - Anti-CD47 antibody [RM1014] (AB284132)
  • Flow Cyt

Supplier Data

Flow Cytometry - Anti-CD47 antibody [RM1014] (AB284132)

Flow cytometric analysis of HepG2 (Human hepatocellular carcinoma epithelial cell, Left) / Jurkat (Human T cell leukemia T lymphocyte, Right) cells labelling CD47 with ab284132 at 1/500 dilution (0.1μg) (Red) compared with a Rabbit monoclonal IgG (ab172730) (Black) isotype control and an unlabelled control (cells without incubation with primary antibody and secondary antibody) (Blue). Goat Anti-Rabbit IgG (Alexa Fluor® 488, ab150081) at 1/2000 dilution was used as the secondary antibody. Low expression control : HepG2 (PMID : 25721088, 30415063). Gated on viable cells.

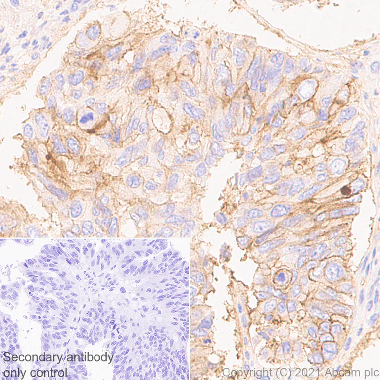
Immunohistochemistry (Formalin/PFA-fixed paraffin-embedded sections) - Anti-CD47 antibody [RM1014] (AB284132)
  • IHC-P

Supplier Data

Immunohistochemistry (Formalin/PFA-fixed paraffin-embedded sections) - Anti-CD47 antibody [RM1014] (AB284132)

Immunohistochemical analysis of paraffin-embedded human breast cancer tissue labelling CD47 with ab284132 at 1/500 followed by a ready to use LeicaDS9800 (BOND™Polymer Refine Detection). Positive staining on human breast cancer (PMID : 31528120). The section was incubated with ab284132 for 30 mins at room temperature.The immunostaining was performed on a Leica Biosystems BOND® RX instrument. Counterstained with Hematoxylin.

Secondary antibody only control : Secondary antibody is a ready to use LeicaDS9800 (BOND™ Polymer Refine Detection).

Heat mediated antigen retrieval with Tris-EDTA buffer (pH 9.0, epitope retrieval solution2) for 20 mins.

Western blot - Anti-CD47 antibody [RM1014] (AB284132)
  • WB

Supplier Data

Western blot - Anti-CD47 antibody [RM1014] (AB284132)

Blocking and diluting buffer and concentration was 5% NFDM/TBST.

We recommend that samples are not boiled after adding loading buffer as this may cause protein aggregates.

All lanes:

Western blot - Anti-CD47 antibody [RM1014] (ab284132) at 1/1000 dilution

Lane 1:

Human liver lysate at 20 µg

Lane 2:

Human ovary cancer lysate at 20 µg

Secondary

All lanes:

Western blot - Goat Anti-Rabbit IgG H&L (HRP) (<a href='/en-us/products/secondary-antibodies/goat-rabbit-igg-h-l-hrp-ab97051'>ab97051</a>) at 1/100000 dilution

false

Exposure time: 37s

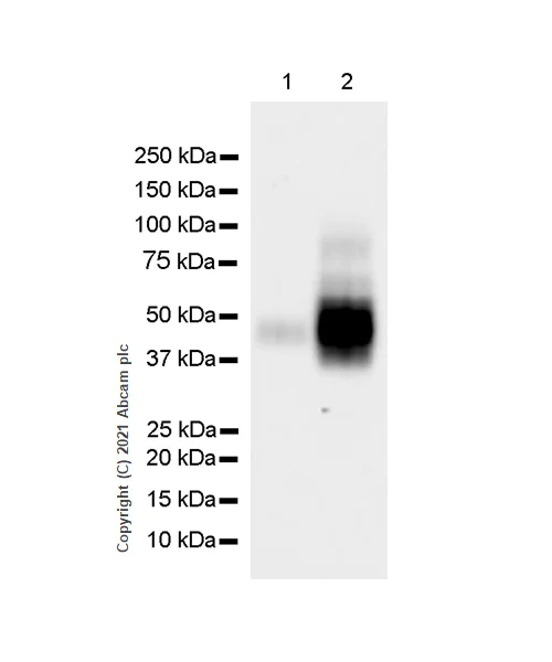
Western blot - Anti-CD47 antibody [RM1014] (AB284132)
  • WB

Supplier Data

Western blot - Anti-CD47 antibody [RM1014] (AB284132)

Blocking and diluting buffer and concentration was 5% NFDM/TBST.

Low expression control : HepG2 (PMID : 25721088, 30415063).

We recommend that samples are not boiled after adding loading buffer as this may cause protein aggregates.

The molecular mass observed is consistent with the literature (PMID 12393467, PMID 11034562).

All lanes:

Western blot - Anti-CD47 antibody [RM1014] (ab284132) at 1/1000 dilution

Lane 1:

Jurkat (Human T cell leukemia T lymphocyte) whole cell lysate 20ug

Lane 2:

U-937 (Human histiocytic lymphoma monocyte) whole cell lysate 20ug

Lane 3:

HepG2 (Human hepatocellular carcinoma epithelial cell) whole cell lysate 20ug

Secondary

All lanes:

Western blot - Goat Anti-Rabbit IgG H&L (HRP) (<a href='/en-us/products/secondary-antibodies/goat-rabbit-igg-h-l-hrp-ab97051'>ab97051</a>) at 1/100000 dilution

false

Exposure time: 37s

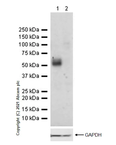
Western blot - Anti-CD47 antibody [RM1014] (AB284132)
  • WB

Supplier Data

Western blot - Anti-CD47 antibody [RM1014] (AB284132)

Blocking and diluting buffer and concentration was 5% NFDM/TBST.

We recommend that samples are not boiled after adding loading buffer as this may cause protein aggregates.

All lanes:

Western blot - Anti-CD47 antibody [RM1014] (ab284132) at 1/1000 dilution

Lane 1:

Wild-type HEK-293T (Human embryonic kidney epithelial cell, ab255449) whole cell lysate at 20 µg

Lane 2:

CD47 knockout HEK-293T (<a href='/en-us/products/cell-lines/human-cd47-knockout-hek-293t-cell-line-ab266324'>ab266324</a>) whole cell lysate at 20 µg

Secondary

All lanes:

Western blot - Goat Anti-Rabbit IgG H&L (HRP) (<a href='/en-us/products/secondary-antibodies/goat-rabbit-igg-h-l-hrp-ab97051'>ab97051</a>) at 1/100000 dilution

false

Exposure time: 37s

  • Carrier free

    Anti-CD47 antibody [RM1014] - BSA and Azide free

Key facts

Host species

Rabbit

Clonality

Multiclonal

Clone number

RM1014

Isotype

IgG

Carrier free

No

Reacts with

Human

Applications

IHC-P, Flow Cyt, ICC/IF, WB

applications

Immunogen

This product was produced with the following immunogens:

The exact immunogen used to generate this antibody is proprietary information.

The exact immunogen used to generate this antibody is proprietary information.

Reactivity data

{ "title": "Reactivity Data", "filters": { "stats": ["", "Species", "Dilution Info", "Notes"], "tabs": { "all-applications": {"fullname" : "All Applications", "shortname": "All Applications"}, "ICCIF" : {"fullname" : "Immunocytochemistry/ Immunofluorescence", "shortname":"ICC/IF"}, "IP" : {"fullname" : "Immunoprecipitation", "shortname":"IP"}, "FlowCyt" : {"fullname" : "Flow Cytometry", "shortname":"Flow Cyt"}, "WB" : {"fullname" : "Western blot", "shortname":"WB"}, "IHCP" : {"fullname" : "Immunohistochemistry (Formalin/PFA-fixed paraffin-embedded sections)", "shortname":"IHC-P"} }, "product-promise": { "all": "all", "testedAndGuaranteed": "tested", "guaranteed": "expected", "predicted": "predicted", "notRecommended": "not-recommended" } }, "values": { "Human": { "ICCIF-species-checked": "testedAndGuaranteed", "ICCIF-species-dilution-info": "1/50", "ICCIF-species-notes": "<p></p>", "IP-species-checked": "notRecommended", "IP-species-dilution-info": "", "IP-species-notes": "<p></p>", "FlowCyt-species-checked": "testedAndGuaranteed", "FlowCyt-species-dilution-info": "1/500", "FlowCyt-species-notes": "<p></p>", "WB-species-checked": "testedAndGuaranteed", "WB-species-dilution-info": "1/1000", "WB-species-notes": "<p></p>", "IHCP-species-checked": "testedAndGuaranteed", "IHCP-species-dilution-info": "1/500", "IHCP-species-notes": "<p></p>" }, "Mouse": { "ICCIF-species-checked": "notRecommended", "ICCIF-species-dilution-info": "", "ICCIF-species-notes": "<p></p>", "IP-species-checked": "notRecommended", "IP-species-dilution-info": "", "IP-species-notes": "<p></p>", "FlowCyt-species-checked": "notRecommended", "FlowCyt-species-dilution-info": "", "FlowCyt-species-notes": "<p></p>", "WB-species-checked": "notRecommended", "WB-species-dilution-info": "", "WB-species-notes": "<p></p>", "IHCP-species-checked": "notRecommended", "IHCP-species-dilution-info": "", "IHCP-species-notes": "<p></p>" }, "Rat": { "ICCIF-species-checked": "notRecommended", "ICCIF-species-dilution-info": "", "ICCIF-species-notes": "", "IP-species-checked": "notRecommended", "IP-species-dilution-info": "", "IP-species-notes": "", "FlowCyt-species-checked": "notRecommended", "FlowCyt-species-dilution-info": "", "FlowCyt-species-notes": "", "WB-species-checked": "notRecommended", "WB-species-dilution-info": "", "WB-species-notes": "<p></p>", "IHCP-species-checked": "notRecommended", "IHCP-species-dilution-info": "", "IHCP-species-notes": "<p></p>" } } }

Product details

What are recombinant multiclonals?
Recombinant multiclonals are a mixture of recombinant antibodies co-expressed from a library of heavy and light chains. They offer several advantages including:

  • - The sensitivity of polyclonal antibodies by recognising multiple epitopes
  • - High batch-to-batch consistency and reproducibility
  • - Improved sensitivity and specificity
  • - Long-term security of supply
  • - Animal-free batch production

View our range of recombinant multiclonal antibodies.

Patented technology
Our RabMAb® technology is a patented hybridoma-based technology for making rabbit monoclonal antibodies. For details on our patents, please refer to RabMAb® patents.

Properties and storage information

Form
Liquid
Purification technique
Affinity purification Protein A
Storage buffer
pH: 7.2 - 7.4 Preservative: 0.01% Sodium azide Constituents: PBS, 40% Glycerol (glycerin, glycerine), 0.05% BSA
Shipped at conditions
Blue Ice
Appropriate short-term storage duration
1-2 weeks
Appropriate short-term storage conditions
+4°C
Appropriate long-term storage conditions
-20°C
Aliquoting information
Upon delivery aliquot
Storage information
Avoid freeze / thaw cycle

Supplementary information

This supplementary information is collated from multiple sources and compiled automatically.

CD47 also referred to as integrin-associated protein carries a molecular weight of approximately 50 kDa. This protein is broadly expressed across various cell types notably on erythrocytes leukocytes and endothelial cells. Its transmembrane glycoprotein structure allows it to perform various cellular functions. CD47 interacts with specific ligands prominently SIRPα which are present on immune cells such as macrophages and dendritic cells. The engagement of CD47 with these ligands plays a major role in cellular signaling processes.
Biological function summary

CD47 functions as a "don't eat me" signal inhibiting phagocytosis by binding to SIRPα on macrophages. This protein is also important for cell adhesion and migration and can modulate interactions with integrins. While not a part of a large complex CD47 associates with various cytoskeletal and membrane proteins to maintain cellular architecture and transmission of mechanical forces. Additionally its interaction with thrombospondins influences angiogenesis and nitric oxide signaling.

Pathways

CD47 is extensively involved in the regulation of the immune response and angiogenesis. The interaction between CD47 and SIRPα plays a part in the regulation of macrophage activity impacting the immune signaling pathway. CD47 also interacts with integrins allowing it to contribute to the angiogenesis pathway which is critical in the formation of new blood vessels. These interactions help coordinate complex cellular responses and maintain tissue homeostasis.

CD47 levels have associations with cancer and chronic inflammatory diseases. In cancer CD47 overexpression can allow tumor cells to evade the immune response by downregulating phagocytosis through SIRPα interaction. Therapeutically targeting CD47 using agents like anti-CD47 antibodies shows potential for enhancing anti-tumor immunity. Additionally CD47 is involved in atherosclerosis where its interaction with thrombospondin-1 contributes to disease pathogenesis by affecting nitric oxide signaling and vascular remodeling.

Product protocols

For this product, it's our understanding that no specific protocols are required. You can visit:

Target data

Adhesive protein that mediates cell-to-cell interactions (PubMed : 11509594, PubMed : 15383453). Acts as a receptor for thrombospondin THBS1 and as modulator of integrin signaling through the activation of heterotrimeric G proteins (PubMed : 19004835, PubMed : 7691831, PubMed : 8550562). Involved in signal transduction, cardiovascular homeostasis, inflammation, apoptosis, angiogenesis, cellular self-renewal, and immunoregulation (PubMed : 11509594, PubMed : 15383453, PubMed : 19004835, PubMed : 27742621, PubMed : 32679764, PubMed : 7691831, PubMed : 8550562). Plays a role in modulating pulmonary endothelin EDN1 signaling (PubMed : 27742621). Modulates nitrous oxide (NO) signaling, in response to THBS1, hence playing a role as a pressor agent, supporting blood pressure (By similarity). Plays an important role in memory formation and synaptic plasticity in the hippocampus (By similarity). Receptor for SIRPA, binding to which prevents maturation of immature dendritic cells and inhibits cytokine production by mature dendritic cells (PubMed : 11509594). Interaction with SIRPG mediates cell-cell adhesion, enhances superantigen-dependent T-cell-mediated proliferation and costimulates T-cell activation (PubMed : 15383453). Positively modulates FAS-dependent apoptosis in T-cells, perhaps by enhancing FAS clustering (By similarity). Plays a role in suppressing angiogenesis and may be involved in metabolic dysregulation during normal aging (PubMed : 32679764). In response to THBS1, negatively modulates wound healing (By similarity). Inhibits stem cell self-renewal, in response to THBS1, probably by regulation of the stem cell transcription factors POU5F1/OCT4, SOX2, MYC/c-Myc and KLF4 (By similarity). May play a role in membrane transport and/or integrin dependent signal transduction (PubMed : 7691831). May prevent premature elimination of red blood cells (By similarity).
See full target information CD47

Publications (5)

Recent publications for all applications. Explore the full list and refine your search

Translational oncology 52:102240 PubMed39667226

2024

AFP shields hepatocellular carcinoma from macrophage phagocytosis by regulating HuR-mediated CD47 translocation in cellular membrane.

Applications

Unspecified application

Species

Unspecified reactive species

Yinglian Pan,Qiushi Yin,Zhaoliang Wang,Gang Wu,Kun Liu,Xiaowei Li,Jinchen Liu,Jiangzheng Zeng,Bo Lin,Wei Li,Mingyue Zhu,Mengsen Li

Theranostics 14:892-910 PubMed38169544

2024

Reciprocal interactions between malignant cells and macrophages enhance cancer stemness and M2 polarization in HBV-associated hepatocellular carcinoma.

Applications

Unspecified application

Species

Unspecified reactive species

Qingyang Zhang,Yu-Man Tsui,Vanilla Xin Zhang,Anna Jingyi Lu,Joyce Man-Fong Lee,Eva Lee,Gary Cheuk-Hang Cheung,Po-Man Li,Elaine Tin-Yan Cheung,Nam-Hung Chia,Irene Lai-Oi Lo,Albert Chi-Yan Chan,Tan-To Cheung,Irene Oi-Lin Ng,Daniel Wai-Hung Ho

Molecular therapy oncolytics 31:100747 PubMed38046893

2023

Dual blockade of CD47 and CD24 signaling using a novel bispecific antibody fusion protein enhances macrophage immunotherapy.

Applications

Unspecified application

Species

Unspecified reactive species

Yun Yang,He Wu,Yan Yang,Yan Kang,Runjia He,Bei Zhou,Huaizu Guo,Jing Zhang,Jianqin Li,Chunpo Ge,Tianyun Wang

Nature communications 14:6569 PubMed37848444

2023

Phagocytosis-initiated tumor hybrid cells acquire a c-Myc-mediated quasi-polarization state for immunoevasion and distant dissemination.

Applications

Unspecified application

Species

Unspecified reactive species

Chih-Wei Chou,Chia-Nung Hung,Cheryl Hsiang-Ling Chiu,Xi Tan,Meizhen Chen,Chien-Chin Chen,Moawiz Saeed,Che-Wei Hsu,Michael A Liss,Chiou-Miin Wang,Zhao Lai,Nathaniel Alvarez,Pawel A Osmulski,Maria E Gaczynska,Li-Ling Lin,Veronica Ortega,Nameer B Kirma,Kexin Xu,Zhijie Liu,Addanki P Kumar,Josephine A Taverna,Gopalrao V N Velagaleti,Chun-Liang Chen,Zhao Zhang,Tim Hui-Ming Huang

Frontiers in immunology 14:1185985 PubMed37334368

2023

Abrine, an IDO1 inhibitor, suppresses the immune escape and enhances the immunotherapy of anti-PD-1 antibody in hepatocellular carcinoma.

Applications

Unspecified application

Species

Unspecified reactive species

Xiaowei Liang,Hongwei Gao,Jian Xiao,Shan Han,Jia He,Renyikun Yuan,Shilin Yang,Chun Yao
View all publications

Product promise

We are committed to supporting your work with high-quality reagents, and we're here for you every step of the way. In the unlikely event that one of our products does not perform as expected, you're protected by our Product Promise.
For full details, please see our Terms & Conditions

Please note: All products are 'FOR RESEARCH USE ONLY. NOT FOR USE IN DIAGNOSTIC OR THERAPEUTIC PROCEDURES'.

For licensing inquiries, please contact partnerships@abcam.com