JavaScript is disabled in your browser. Please enable JavaScript to view this website.
AB284138

Anti-CD47 antibody [RM1014] - BSA and Azide free

  • BOND RX™ Validated
  • RabMAb
  • Recombinant
  • KO Validated
  • What is this?

Be the first to review this product! Submit a review

|

(0 Publication)

Rabbit Recombinant Multiclonal CD47 antibody. Carrier free. Suitable for ICC/IF, Flow Cyt, WB, IHC-P and reacts with Human samples.

View Alternative Names

CD47, MER6, Leukocyte surface antigen CD47, Antigenic surface determinant protein OA3, Integrin-associated protein, Protein MER6, IAP

11 Images
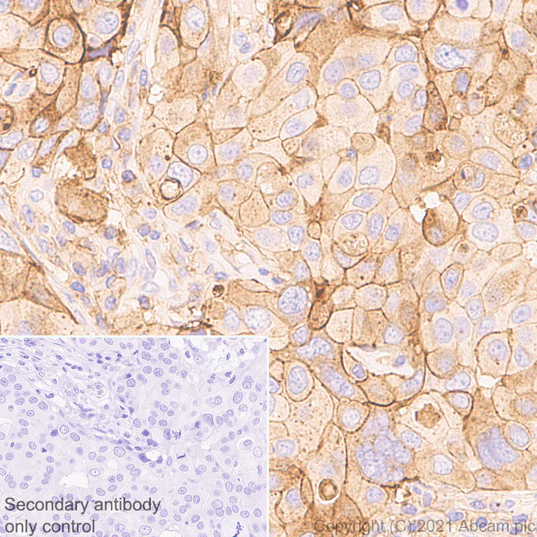
Immunohistochemistry (Formalin/PFA-fixed paraffin-embedded sections) - Anti-CD47 antibody [RM1014] - BSA and Azide free (AB284138)
  • IHC-P

Supplier Data

Immunohistochemistry (Formalin/PFA-fixed paraffin-embedded sections) - Anti-CD47 antibody [RM1014] - BSA and Azide free (AB284138)

This data was developed using ab284132, the same antibody clone in a different buffer formulation.

Immunohistochemical analysis of paraffin-embedded human spleen tissue labelling CD47 with ab284132 at 1/500 followed by a ready to use LeicaDS9800 (BOND™ Polymer Refine Detection). Positive staining on human spleen. The section was incubated with ab284132 for 30 mins at room temperature. The immunostaining was performed on a Leica Biosystems BOND® RX instrument. Counterstained with Hematoxylin.

Secondary antibody only control : Secondary antibody is a ready to use LeicaDS9800 (BOND™ Polymer Refine Detection).

Heat mediated antigen retrieval with Tris-EDTA buffer (pH 9.0, epitope retrieval solution2) for 20 mins.

Immunohistochemistry (Formalin/PFA-fixed paraffin-embedded sections) - Anti-CD47 antibody [RM1014] - BSA and Azide free (AB284138)
  • IHC-P

Supplier Data

Immunohistochemistry (Formalin/PFA-fixed paraffin-embedded sections) - Anti-CD47 antibody [RM1014] - BSA and Azide free (AB284138)

This data was developed using ab284132, the same antibody clone in a different buffer formulation.

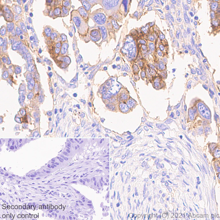
Immunohistochemical analysis of paraffin-embedded human placenta tissue labelling CD47 with ab284132 at 1/500 followed by a ready to use LeicaDS9800 (BOND™ Polymer Refine Detection). Positive staining on human placenta. The section was incubated with ab284132 for 30 mins at room temperature. The immunostaining was performed on a Leica Biosystems BOND® RX instrument. Counterstained with Hematoxylin.

Secondary antibody only control : Secondary antibody is a ready to use LeicaDS9800 (BOND™ Polymer Refine Detection).

Heat mediated antigen retrieval with Tris-EDTA buffer (pH 9.0, epitope retrieval solution2) for 20 mins.

Flow Cytometry - Anti-CD47 antibody [RM1014] - BSA and Azide free (AB284138)
  • Flow Cyt

Supplier Data

Flow Cytometry - Anti-CD47 antibody [RM1014] - BSA and Azide free (AB284138)

This data was developed using ab284132, the same antibody clone in a different buffer formulation.

Flow cytometric analysis of HepG2 (Human hepatocellular carcinoma epithelial cell, Left) / Jurkat (Human T cell leukemia T lymphocyte, Right) cells labelling CD47 with ab284132 at 1/500 dilution (0.1μg) (Red) compared with a Rabbit monoclonal IgG (ab172730) (Black) isotype control and an unlabelled control (cells without incubation with primary antibody and secondary antibody) (Blue). Goat Anti-Rabbit IgG (Alexa Fluor® 488, ab150081) at 1/2000 dilution was used as the secondary antibody. Low expression control : HepG2 (PMID : 25721088, 30415063). Gated on viable cells.

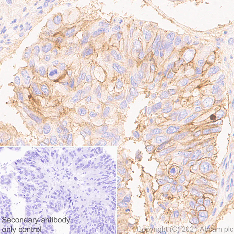
Immunohistochemistry (Formalin/PFA-fixed paraffin-embedded sections) - Anti-CD47 antibody [RM1014] - BSA and Azide free (AB284138)
  • IHC-P

Supplier Data

Immunohistochemistry (Formalin/PFA-fixed paraffin-embedded sections) - Anti-CD47 antibody [RM1014] - BSA and Azide free (AB284138)

This data was developed using ab284132, the same antibody clone in a different buffer formulation.

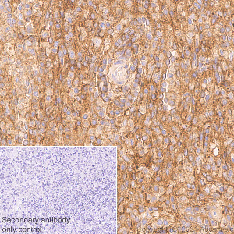
Immunohistochemical analysis of paraffin-embedded human breast cancer tissue labelling CD47 with ab284132 at 1/500 followed by a ready to use LeicaDS9800 (BOND™Polymer Refine Detection). Positive staining on human breast cancer (PMID : 31528120). The section was incubated with ab284132 for 30 mins at room temperature. The immunostaining was performed on a Leica Biosystems BOND® RX instrument. Counterstained with Hematoxylin.

Secondary antibody only control : Secondary antibody is a ready to use LeicaDS9800 (BOND™ Polymer Refine Detection).

Heat mediated antigen retrieval with Tris-EDTA buffer (pH 9.0, epitope retrieval solution2) for 20 mins.

Immunocytochemistry/ Immunofluorescence - Anti-CD47 antibody [RM1014] - BSA and Azide free (AB284138)
  • ICC/IF

Supplier Data

Immunocytochemistry/ Immunofluorescence - Anti-CD47 antibody [RM1014] - BSA and Azide free (AB284138)

This data was developed using ab284132, the same antibody clone in a different buffer formulation.

Immunofluorescent analysis of 100% methanol-fixed, 0.1% Triton X-100 permeabilized Jurkat cells labelling CD47 with ab284132 at 1/50 dilution, followed by ab150081 Goat Anti-Rabbit IgG H&L (Alexa Fluor® 488) preadsorbed antibody at 1/1000 dilution (Green). Confocal image showing membranous staining in Jurkat cell line. Negative control : HepG2 (PMID : 25721088). ab195889 Anti-alpha Tubulin mouse monoclonal antibody - Microtubule Marker (Alexa Fluor® 594) was used to counterstain tubulin at 1/200 dilution (Red). The Nuclear counterstain was DAPI (Blue).

Secondary antibody only control : Secondary antibody is ab150081 Goat Anti-Rabbit IgG H&L (Alexa Fluor® 488) preadsorbed at 1/1000 dilution.

Immunohistochemistry (Formalin/PFA-fixed paraffin-embedded sections) - Anti-CD47 antibody [RM1014] - BSA and Azide free (AB284138)
  • IHC-P

Supplier Data

Immunohistochemistry (Formalin/PFA-fixed paraffin-embedded sections) - Anti-CD47 antibody [RM1014] - BSA and Azide free (AB284138)

This data was developed using ab284132, the same antibody clone in a different buffer formulation.

Immunohistochemical analysis of paraffin-embedded human spleen tissue labelling CD47 with ab284132 at 1/500 followed by a ready to use LeicaDS9800 (BOND™ Polymer Refine Detection). Positive staining on human spleen. The section was incubated with ab284132 for 30 mins at room temperature. The immunostaining was performed on a Leica Biosystems BOND® RX instrument. Counterstained with Hematoxylin.

Secondary antibody only control : Secondary antibody is a ready to use LeicaDS9800 (BOND™ Polymer Refine Detection).

Heat mediated antigen retrieval with Tris-EDTA buffer (pH 9.0, epitope retrieval solution2) for 20 mins.

Flow Cytometry - Anti-CD47 antibody [RM1014] - BSA and Azide free (AB284138)
  • Flow Cyt

Supplier Data

Flow Cytometry - Anti-CD47 antibody [RM1014] - BSA and Azide free (AB284138)

This data was developed using ab284132, the same antibody clone in a different buffer formulation.

Flow cytometric analysis of HepG2 (Human hepatocellular carcinoma epithelial cell, Left) / U-937 (Human histiocytic lymphoma monocyte, Right) cells labelling CD47 with ab284132 at 1/500 dilution (0.1μg) (Red) compared with a Rabbit monoclonal IgG (ab172730) (Black) isotype control and an unlabelled control (cells without incubation with primary antibody and secondary antibody) (Blue). Goat Anti-Rabbit IgG (Alexa Fluor® 488, ab150081) at 1/2000 dilution was used as the secondary antibody. Low expression control : HepG2 (PMID : 25721088, 30415063). Gated on viable cells.

Immunohistochemistry (Formalin/PFA-fixed paraffin-embedded sections) - Anti-CD47 antibody [RM1014] - BSA and Azide free (AB284138)
  • IHC-P

Supplier Data

Immunohistochemistry (Formalin/PFA-fixed paraffin-embedded sections) - Anti-CD47 antibody [RM1014] - BSA and Azide free (AB284138)

This data was developed using ab284132, the same antibody clone in a different buffer formulation.

Immunohistochemical analysis of paraffin-embedded human spleen tissue labelling CD47 with ab284132 at 1/500 followed by a ready to use LeicaDS9800 (BOND™ Polymer Refine Detection). Positive staining on human spleen. The section was incubated with ab284132 for 30 mins at room temperature. The immunostaining was performed on a Leica Biosystems BOND® RX instrument. Counterstained with Hematoxylin.

Secondary antibody only control : Secondary antibody is a ready to use LeicaDS9800 (BOND™ Polymer Refine Detection).

Heat mediated antigen retrieval with Tris-EDTA buffer (pH 9.0, epitope retrieval solution2) for 20 mins.

Western blot - Anti-CD47 antibody [RM1014] - BSA and Azide free (AB284138)
  • WB

Supplier Data

Western blot - Anti-CD47 antibody [RM1014] - BSA and Azide free (AB284138)

This data was developed using ab284132, the same antibody clone in a different buffer formulation.

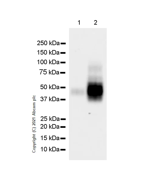
Blocking and diluting buffer and concentration was 5% NFDM/TBST.

We recommend that samples are not boiled after adding loading buffer as this may cause protein aggregates.

All lanes:

Western blot - Anti-CD47 antibody [RM1014] (<a href='/en-us/products/primary-antibodies/cd47-antibody-rm1014-ab284132'>ab284132</a>) at 1/1000 dilution

Lane 1:

Human liver lysate at 20 µg

Lane 2:

Human ovary cancer lysate at 20 µg

Secondary

All lanes:

Western blot - Goat Anti-Rabbit IgG H&L (HRP) (<a href='/en-us/products/secondary-antibodies/goat-rabbit-igg-h-l-hrp-ab97051'>ab97051</a>) at 1/100000 dilution

false

Exposure time: 37s

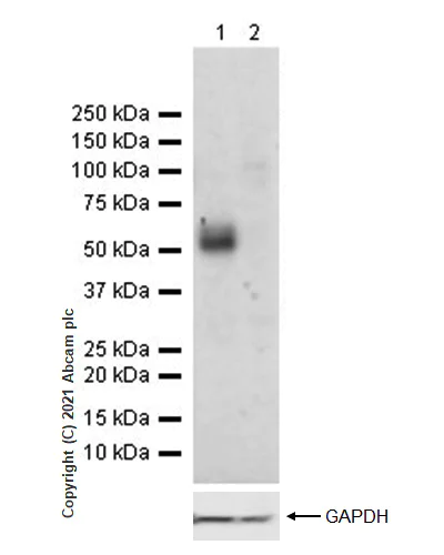
Western blot - Anti-CD47 antibody [RM1014] - BSA and Azide free (AB284138)
  • WB

Supplier Data

Western blot - Anti-CD47 antibody [RM1014] - BSA and Azide free (AB284138)

This data was developed using ab284132, the same antibody clone in a different buffer formulation.

Blocking and diluting buffer and concentration was 5% NFDM/TBST.

Low expression control : HepG2 (PMID : 25721088, 30415063).

We recommend that samples are not boiled after adding loading buffer as this may cause protein aggregates.

The molecular mass observed is consistent with the literature (PMID 12393467, PMID 11034562).

All lanes:

Western blot - Anti-CD47 antibody [RM1014] (<a href='/en-us/products/primary-antibodies/cd47-antibody-rm1014-ab284132'>ab284132</a>) at 1/1000 dilution

Lane 1:

Jurkat (Human T cell leukemia T lymphocyte) whole cell lysate 20ug

Lane 2:

U-937 (Human histiocytic lymphoma monocyte) whole cell lysate 20ug

Lane 3:

HepG2 (Human hepatocellular carcinoma epithelial cell) whole cell lysate 20ug

Secondary

All lanes:

Western blot - Goat Anti-Rabbit IgG H&L (HRP) (<a href='/en-us/products/secondary-antibodies/goat-rabbit-igg-h-l-hrp-ab97051'>ab97051</a>) at 1/100000 dilution

false

Exposure time: 37s

Western blot - Anti-CD47 antibody [RM1014] - BSA and Azide free (AB284138)
  • WB

Supplier Data

Western blot - Anti-CD47 antibody [RM1014] - BSA and Azide free (AB284138)

This data was developed using ab284132, the same antibody clone in a different buffer formulation.

Blocking and diluting buffer and concentration was 5% NFDM/TBST.

We recommend that samples are not boiled after adding loading buffer as this may cause protein aggregates.

All lanes:

Western blot - Anti-CD47 antibody [RM1014] (<a href='/en-us/products/primary-antibodies/cd47-antibody-rm1014-ab284132'>ab284132</a>) at 1/1000 dilution

Lane 1:

Wild-type HEK-293T (Human embryonic kidney epithelial cell, ab255449) whole cell lysate at 20 µg

Lane 2:

CD47 knockout HEK-293T (<a href='/en-us/products/cell-lines/human-cd47-knockout-hek-293t-cell-line-ab266324'>ab266324</a>) whole cell lysate at 20 µg

Secondary

All lanes:

Western blot - Goat Anti-Rabbit IgG H&L (HRP) (<a href='/en-us/products/secondary-antibodies/goat-rabbit-igg-h-l-hrp-ab97051'>ab97051</a>) at 1/100000 dilution

false

Exposure time: 37s

Key facts

Host species

Rabbit

Clonality

Multiclonal

Clone number

RM1014

Isotype

IgG

Carrier free

Yes

Reacts with

Human

Applications

Flow Cyt, WB, ICC/IF, IHC-P

applications

Immunogen

This product was produced with the following immunogens:

The exact immunogen used to generate this antibody is proprietary information.

The exact immunogen used to generate this antibody is proprietary information.

Reactivity data

{ "title": "Reactivity Data", "filters": { "stats": ["", "Species", "Dilution Info", "Notes"], "tabs": { "all-applications": {"fullname" : "All Applications", "shortname": "All Applications"}, "ICCIF" : {"fullname" : "Immunocytochemistry/ Immunofluorescence", "shortname":"ICC/IF"}, "IP" : {"fullname" : "Immunoprecipitation", "shortname":"IP"}, "FlowCyt" : {"fullname" : "Flow Cytometry", "shortname":"Flow Cyt"}, "WB" : {"fullname" : "Western blot", "shortname":"WB"}, "IHCP" : {"fullname" : "Immunohistochemistry (Formalin/PFA-fixed paraffin-embedded sections)", "shortname":"IHC-P"} }, "product-promise": { "all": "all", "testedAndGuaranteed": "tested", "guaranteed": "expected", "predicted": "predicted", "notRecommended": "not-recommended" } }, "values": { "Human": { "ICCIF-species-checked": "testedAndGuaranteed", "ICCIF-species-dilution-info": "", "ICCIF-species-notes": "<p></p>", "IP-species-checked": "notRecommended", "IP-species-dilution-info": "", "IP-species-notes": "<p></p>", "FlowCyt-species-checked": "testedAndGuaranteed", "FlowCyt-species-dilution-info": "", "FlowCyt-species-notes": "<p></p>", "WB-species-checked": "testedAndGuaranteed", "WB-species-dilution-info": "", "WB-species-notes": "<p></p>", "IHCP-species-checked": "testedAndGuaranteed", "IHCP-species-dilution-info": "", "IHCP-species-notes": "<p></p>" }, "Mouse": { "ICCIF-species-checked": "notRecommended", "ICCIF-species-dilution-info": "", "ICCIF-species-notes": "<p></p>", "IP-species-checked": "notRecommended", "IP-species-dilution-info": "", "IP-species-notes": "<p></p>", "FlowCyt-species-checked": "notRecommended", "FlowCyt-species-dilution-info": "", "FlowCyt-species-notes": "<p></p>", "WB-species-checked": "notRecommended", "WB-species-dilution-info": "", "WB-species-notes": "<p></p>", "IHCP-species-checked": "notRecommended", "IHCP-species-dilution-info": "", "IHCP-species-notes": "<p></p>" }, "Rat": { "ICCIF-species-checked": "notRecommended", "ICCIF-species-dilution-info": "", "ICCIF-species-notes": "", "IP-species-checked": "notRecommended", "IP-species-dilution-info": "", "IP-species-notes": "", "FlowCyt-species-checked": "notRecommended", "FlowCyt-species-dilution-info": "", "FlowCyt-species-notes": "", "WB-species-checked": "notRecommended", "WB-species-dilution-info": "", "WB-species-notes": "<p></p>", "IHCP-species-checked": "notRecommended", "IHCP-species-dilution-info": "", "IHCP-species-notes": "<p></p>" } } }

Product details

What are recombinant multiclonals?
Recombinant multiclonals are a mixture of recombinant antibodies co-expressed from a library of heavy and light chains. They offer several advantages including:

  • - The sensitivity of polyclonal antibodies by recognising multiple epitopes
  • - High batch-to-batch consistency and reproducibility
  • - Improved sensitivity and specificity
  • - Long-term security of supply
  • - Animal-free batch production

View our range of recombinant multiclonal antibodies.

Patented technology
Our RabMAb® technology is a patented hybridoma-based technology for making rabbit monoclonal antibodies. For details on our patents, please refer to RabMAb® patents.

Conjugation ready
Our carrier-free antibodies are typically supplied in a PBS-only formulation, purified and free of BSA, sodium azide and glycerol. This conjugation-ready format is designed for use with fluorochromes, metal isotopes, oligonucleotides, and enzymes, which makes them ideal for antibody labelling, functional and cell-based assays, flow-based assays (e.g. mass cytometry) and Multiplex Imaging applications.

Use our conjugation kits for antibody conjugates that are ready-to-use in as little as 20 minutes with 1 minute hands-on-time and 100% antibody recovery: available for fluorescent dyes, HRP, biotin and gold.

Compatibility
This product is compatible with the Maxpar® Antibody Labeling Kit from Fluidigm, without the need for antibody preparation. Maxpar® is a trademark of Fluidigm Canada Inc.

Properties and storage information

Form
Liquid
Purification technique
Affinity purification Protein A
Storage buffer
pH: 7.2 - 7.4 Constituents: PBS
Shipped at conditions
Blue Ice
Appropriate short-term storage conditions
+4°C
Appropriate long-term storage conditions
+4°C

Supplementary information

This supplementary information is collated from multiple sources and compiled automatically.

CD47 also referred to as integrin-associated protein carries a molecular weight of approximately 50 kDa. This protein is broadly expressed across various cell types notably on erythrocytes leukocytes and endothelial cells. Its transmembrane glycoprotein structure allows it to perform various cellular functions. CD47 interacts with specific ligands prominently SIRPα which are present on immune cells such as macrophages and dendritic cells. The engagement of CD47 with these ligands plays a major role in cellular signaling processes.
Biological function summary

CD47 functions as a "don't eat me" signal inhibiting phagocytosis by binding to SIRPα on macrophages. This protein is also important for cell adhesion and migration and can modulate interactions with integrins. While not a part of a large complex CD47 associates with various cytoskeletal and membrane proteins to maintain cellular architecture and transmission of mechanical forces. Additionally its interaction with thrombospondins influences angiogenesis and nitric oxide signaling.

Pathways

CD47 is extensively involved in the regulation of the immune response and angiogenesis. The interaction between CD47 and SIRPα plays a part in the regulation of macrophage activity impacting the immune signaling pathway. CD47 also interacts with integrins allowing it to contribute to the angiogenesis pathway which is critical in the formation of new blood vessels. These interactions help coordinate complex cellular responses and maintain tissue homeostasis.

CD47 levels have associations with cancer and chronic inflammatory diseases. In cancer CD47 overexpression can allow tumor cells to evade the immune response by downregulating phagocytosis through SIRPα interaction. Therapeutically targeting CD47 using agents like anti-CD47 antibodies shows potential for enhancing anti-tumor immunity. Additionally CD47 is involved in atherosclerosis where its interaction with thrombospondin-1 contributes to disease pathogenesis by affecting nitric oxide signaling and vascular remodeling.

Product protocols

For this product, it's our understanding that no specific protocols are required. You can visit:

Target data

Adhesive protein that mediates cell-to-cell interactions (PubMed : 11509594, PubMed : 15383453). Acts as a receptor for thrombospondin THBS1 and as modulator of integrin signaling through the activation of heterotrimeric G proteins (PubMed : 19004835, PubMed : 7691831, PubMed : 8550562). Involved in signal transduction, cardiovascular homeostasis, inflammation, apoptosis, angiogenesis, cellular self-renewal, and immunoregulation (PubMed : 11509594, PubMed : 15383453, PubMed : 19004835, PubMed : 27742621, PubMed : 32679764, PubMed : 7691831, PubMed : 8550562). Plays a role in modulating pulmonary endothelin EDN1 signaling (PubMed : 27742621). Modulates nitrous oxide (NO) signaling, in response to THBS1, hence playing a role as a pressor agent, supporting blood pressure (By similarity). Plays an important role in memory formation and synaptic plasticity in the hippocampus (By similarity). Receptor for SIRPA, binding to which prevents maturation of immature dendritic cells and inhibits cytokine production by mature dendritic cells (PubMed : 11509594). Interaction with SIRPG mediates cell-cell adhesion, enhances superantigen-dependent T-cell-mediated proliferation and costimulates T-cell activation (PubMed : 15383453). Positively modulates FAS-dependent apoptosis in T-cells, perhaps by enhancing FAS clustering (By similarity). Plays a role in suppressing angiogenesis and may be involved in metabolic dysregulation during normal aging (PubMed : 32679764). In response to THBS1, negatively modulates wound healing (By similarity). Inhibits stem cell self-renewal, in response to THBS1, probably by regulation of the stem cell transcription factors POU5F1/OCT4, SOX2, MYC/c-Myc and KLF4 (By similarity). May play a role in membrane transport and/or integrin dependent signal transduction (PubMed : 7691831). May prevent premature elimination of red blood cells (By similarity).
See full target information CD47

Product promise

We are committed to supporting your work with high-quality reagents, and we're here for you every step of the way. In the unlikely event that one of our products does not perform as expected, you're protected by our Product Promise.
For full details, please see our Terms & Conditions

Please note: All products are 'FOR RESEARCH USE ONLY. NOT FOR USE IN DIAGNOSTIC OR THERAPEUTIC PROCEDURES'.

For licensing inquiries, please contact partnerships@abcam.com