JavaScript is disabled in your browser. Please enable JavaScript to view this website.
AB134049

Anti-CD48 antibody [EPR4108]

Be the first to review this product! Submit a review

|

(4 Publications)

Rabbit Recombinant Monoclonal CD48 antibody. Suitable for IP, WB, IHC-P and reacts with Human samples. Cited in 4 publications.

View Alternative Names

CD48, BCM1, BLAST1, CD48 antigen, B-lymphocyte activation marker BLAST-1, BCM1 surface antigen, Leukocyte antigen MEM-102, SLAM family member 2, Signaling lymphocytic activation molecule 2, TCT.1, SLAMF2

4 Images
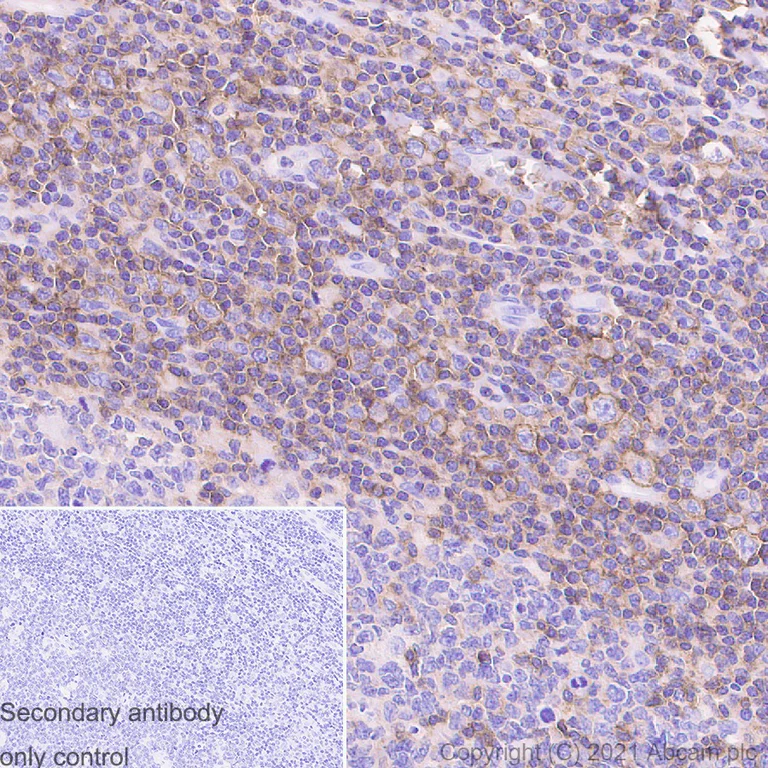
Immunohistochemistry (Formalin/PFA-fixed paraffin-embedded sections) - Anti-CD48 antibody [EPR4108] (AB134049)
  • IHC-P

Supplier Data

Immunohistochemistry (Formalin/PFA-fixed paraffin-embedded sections) - Anti-CD48 antibody [EPR4108] (AB134049)

Immunohistochemistry (Formalin/PFA-fixed paraffin-embedded sections) analysis of human tonsil tissue sections labeling CD48 with Purified ab134049 at 1 : 5000 dilution (0.37 µg/ml). Heat mediated antigen retrieval was performed using Heat mediated antigen retrieval using Bond™ Epitope Retrieval Solution 2 (pH 9.0) . Tissue was counterstained with Hematoxylin. Rabbit specific IHC polymer detection kit HRP/DAB (ab209101) secondary antibody was used. PBS instead of the primary antibody was used as the negative control.

Immunohistochemistry (Formalin/PFA-fixed paraffin-embedded sections) - Anti-CD48 antibody [EPR4108] (AB134049)
  • IHC-P

Supplier Data

Immunohistochemistry (Formalin/PFA-fixed paraffin-embedded sections) - Anti-CD48 antibody [EPR4108] (AB134049)

Immunohistochemistry (Formalin/PFA-fixed paraffin-embedded sections) analysis of human colon tissue sections labeling CD48 with Purified ab134049 at 1 : 5000 dilution (0.37 µg/ml). Heat mediated antigen retrieval was performed using Heat mediated antigen retrieval using Bond™ Epitope Retrieval Solution 2 (pH 9.0) . Tissue was counterstained with Hematoxylin. Rabbit specific IHC polymer detection kit HRP/DAB (ab209101) secondary antibody was used. PBS instead of the primary antibody was used as the negative control.

Western blot - Anti-CD48 antibody [EPR4108] (AB134049)
  • WB

Unknown

Western blot - Anti-CD48 antibody [EPR4108] (AB134049)

CD48 exists as highly glycosylated protein on the cell surface. The molecule weight observed is consistent with what has been described in the literature (PMID : 24626474, 1383383, 10429668)

All lanes:

Western blot - Anti-CD48 antibody [EPR4108] (ab134049) at 1/5000 dilution

Lane 1:

Raji (Human Burkitt's lymphoma B lymphocyte) whole cell lysate at 20 µg

Lane 2:

Ramos (Human Burkitt's lymphoma B lymphocyte) whole cell lysate at 20 µg

Lane 3:

NAMALWA (Human Burkitt's lymphoma B lymphocyte) whole cell lysate at 20 µg

Secondary

All lanes:

Western blot - Goat Anti-Rabbit IgG H&L (HRP) (<a href='/en-us/products/secondary-antibodies/goat-rabbit-igg-h-l-hrp-ab97051'>ab97051</a>) at 1/100000 dilution

Predicted band size: 28 kDa

Observed band size: 40-47 kDa

false

Immunoprecipitation - Anti-CD48 antibody [EPR4108] (AB134049)
  • IP

Lab

Immunoprecipitation - Anti-CD48 antibody [EPR4108] (AB134049)

CD48 was immunoprecipitated from 0.35 mg Raji (Human Burkitt's lymphoma B lymphocyte) whole cell lysate 10 μg with 134049 at 1/100 dilution. VeriBlot for IP Detection Reagent (HRP)(ab131366) was used at 1/5000 dilution.

Lane 1 : Raji (Human Burkitt's lymphoma B lymphocyte) whole cell lysate 10 μg

Lane 2 : ab134049 IP in Raji whole cell lysate

Lane 3 : Rabbit monoclonal IgG (ab172730) instead of ab134049 in Raji whole cell lysate

Blocking and dilution buffer and concentration : 5% NFDM/TBST.

All lanes:

Immunoprecipitation - Anti-CD48 antibody [EPR4108] (ab134049)

Predicted band size: 28 kDa

Observed band size: 43 kDa

false

  • Carrier free

    Anti-CD48 antibody [EPR4108] - BSA and Azide free

Key facts

Host species

Rabbit

Clonality

Monoclonal

Clone number

EPR4108

Isotype

IgG

Carrier free

No

Reacts with

Human

Applications

WB, IHC-P, IP

applications

Immunogen

The exact immunogen used to generate this antibody is proprietary information.

Reactivity data

{ "title": "Reactivity Data", "filters": { "stats": ["", "Species", "Dilution Info", "Notes"], "tabs": { "all-applications": {"fullname" : "All Applications", "shortname": "All Applications"}, "IP" : {"fullname" : "Immunoprecipitation", "shortname":"IP"}, "FlowCyt" : {"fullname" : "Flow Cytometry", "shortname":"Flow Cyt"}, "WB" : {"fullname" : "Western blot", "shortname":"WB"}, "IHCP" : {"fullname" : "Immunohistochemistry (Formalin/PFA-fixed paraffin-embedded sections)", "shortname":"IHC-P"} }, "product-promise": { "all": "all", "testedAndGuaranteed": "tested", "guaranteed": "expected", "predicted": "predicted", "notRecommended": "not-recommended" } }, "values": { "Human": { "IP-species-checked": "testedAndGuaranteed", "IP-species-dilution-info": "1/10 - 1/100", "IP-species-notes": "<p></p>", "FlowCyt-species-checked": "notRecommended", "FlowCyt-species-dilution-info": "", "FlowCyt-species-notes": "<p></p>", "WB-species-checked": "testedAndGuaranteed", "WB-species-dilution-info": "1/5000", "WB-species-notes": "<p>For unpurified format use 1/1000 - 1/10000</p>", "IHCP-species-checked": "testedAndGuaranteed", "IHCP-species-dilution-info": "1/5000", "IHCP-species-notes": "<p>For unpurified format use 1/100 - 1/250</p>" } } }

Product details

Patented technology
Our RabMAb® technology is a patented hybridoma-based technology for making rabbit monoclonal antibodies. For details on our patents, please refer to RabMAb® patents.

What are the advantages of a recombinant monoclonal antibody?
This product is a recombinant monoclonal antibody, which offers several advantages including:

  • - High batch-to-batch consistency and reproducibility
  • - Improved sensitivity and specificity
  • - Long-term security of supply
  • - Animal-free batch production

For more information, read more on recombinant antibodies.

Properties and storage information

Form
Liquid
Purification technique
Affinity purification Protein A
Storage buffer
pH: 7.2 - 7.4 Preservative: 0.01% Sodium azide Constituents: PBS, 40% Glycerol (glycerin, glycerine), 0.05% BSA
Shipped at conditions
Blue Ice
Appropriate short-term storage conditions
+4°C
Appropriate long-term storage conditions
-20°C
Storage information
Stable for 12 months at -20°C

Supplementary information

This supplementary information is collated from multiple sources and compiled automatically.

CD48 also known as SLAMF2 or B-lymphocyte activation marker BLAST-1 is a glycosylphosphatidylinositol (GPI)-anchored protein with a molecular mass approximately 45-70 kDa depending on glycosylation. It is expressed on the surface of various immune cells like T cells B cells and natural killer (NK) cells. CD48 does not possess an intracellular signaling domain but engages in extracellular interactions with other proteins affecting immune cell activities.
Biological function summary

CD48 serves as a co-stimulatory molecule involved in immune response modulation. It interacts with 2B4 (CD244) a member of the signaling lymphocyte activation molecule (SLAM) family to form a receptor-ligand complex. This interaction can result in enhanced T cell and NK cell responses. CD48's presence on activated hematopoietic and non-hematopoietic cells highlights its role in cell-to-cell communication.

Pathways

CD48 participates in SLAM family receptor signaling and natural killer cell-mediated cytotoxicity. In the SLAM pathway CD48 enhances communication and regulation between T cells and NK cells. This communication also relates to the roles of CD244 linking it to downstream signaling pathways that influence immune cell function. These pathways illustrate the critical network CD48 is part of which impacts various immune responses.

CD48 is involved in autoimmune conditions like rheumatoid arthritis and immunological cancers such as lymphoma. In rheumatoid arthritis CD48 along with CD244 modulates immune responses which can exacerbate inflammation. In lymphoma abnormal CD48 expression can contribute to tumor progression and immune evasion indicating its potential as a therapeutic target.

Product protocols

For this product, it's our understanding that no specific protocols are required. You can visit:

Target data

Glycosylphosphatidylinositol (GPI)-anchored cell surface glycoprotein that interacts via its N-terminal immunoglobulin domain with cell surface receptors including CD244/2B4 or CD2 to regulate immune cell function and activation (PubMed : 12007789, PubMed : 19494291, PubMed : 27249817, PubMed : 9841922). Participates in T-cell signaling transduction by associating with CD2 and efficiently bringing the Src family protein kinase LCK and LAT to the TCR/CD3 complex (PubMed : 19494291). In turn, promotes LCK phosphorylation and subsequent activation (PubMed : 12007789). Induces the phosphorylation of the cytoplasmic immunoreceptortyrosine switch motifs (ITSMs) of CD244 initiating a series of signaling events that leads to the generation of the immunological synapse and the directed release of cytolytic granules containing perforin and granzymes by T-lymphocytes and NK-cells (PubMed : 27249817).
See full target information CD48

Publications (4)

Recent publications for all applications. Explore the full list and refine your search

International immunopharmacology 115:109702 PubMed37724952

2023

Thymosin β4 preserves vascular smooth muscle phenotype in atherosclerosis via regulation of low density lipoprotein related protein 1 (LRP1).

Applications

Unspecified application

Species

Unspecified reactive species

Sonali Munshaw,Andia N Redpath,Benjamin T Pike,Nicola Smart

Annals of allergy, asthma & immunology : official publication of the American College of Allergy, Asthma, & Immunology 130:245-253.e9 PubMed36280100

2022

Patients with coronavirus disease 2019 characterized by dysregulated levels of membrane and soluble cluster of differentiation 48.

Applications

Unspecified application

Species

Unspecified reactive species

Hadas Pahima,Ilan Zaffran,Eli Ben-Chetrit,Amir Jarjoui,Pratibha Gaur,Maria Laura Manca,Dana Reichmann,Efrat Orenbuch-Harroch,Ekaterini Tiligada,Ilaria Puxeddu,Carl Zinner,Alexandar Tzankov,Francesca Levi-Schaffer

International archives of allergy and immunology 182:962-970 PubMed33910197

2021

CD48 Expression on Eosinophils in Nasal Polyps of Chronic Rhinosinusitis Patients.

Applications

Unspecified application

Species

Unspecified reactive species

Yara Zoabi,Fidan Rahimli Alekberli,Yael Minai-Fleminger,Ron Eliashar,Francesca Levi-Schaffer

Leukemia & lymphoma 62:937-943 PubMed33225787

2020

AML1-ETO inhibits acute myeloid leukemia immune escape by CD48.

Applications

Unspecified application

Species

Unspecified reactive species

Zhiding Wang,Wei Guan,Mengzhen Wang,Jinghong Chen,Linlin Zhang,Yang Xiao,Lixin Wang,Yonghui Li,Li Yu
View all publications

Product promise

We are committed to supporting your work with high-quality reagents, and we're here for you every step of the way. In the unlikely event that one of our products does not perform as expected, you're protected by our Product Promise.
For full details, please see our Terms & Conditions

Please note: All products are 'FOR RESEARCH USE ONLY. NOT FOR USE IN DIAGNOSTIC OR THERAPEUTIC PROCEDURES'.

For licensing inquiries, please contact partnerships@abcam.com