JavaScript is disabled in your browser. Please enable JavaScript to view this website.
AB193378

Anti-CD5 antibody [CD5/54/F6]

Be the first to review this product! Submit a review

|

(2 Publications)

Mouse Monoclonal CD5 antibody. Suitable for IHC-P and reacts with Human samples. Cited in 2 publications. Immunogen corresponding to Synthetic Peptide within Human CD5.

View Alternative Names

CD5, LEU1, T-cell surface glycoprotein CD5, Lymphocyte antigen T1/Leu-1

1 Images
Immunohistochemistry (Formalin/PFA-fixed paraffin-embedded sections) - Anti-CD5 antibody [CD5/54/F6] (AB193378)
  • IHC-P

Supplier Data

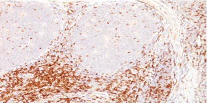
Immunohistochemistry (Formalin/PFA-fixed paraffin-embedded sections) - Anti-CD5 antibody [CD5/54/F6] (AB193378)

Immunohistochemical analysis of formalin-fixed paraffin-embedded Human tonsil tissue labeling CD5 with ab193378 at 1 μg/ml.

Key facts

Host species

Mouse

Clonality

Monoclonal

Clone number

CD5/54/F6

Isotype

IgG1

Light chain type

kappa

Carrier free

No

Reacts with

Human

Applications

IHC-P

applications

Immunogen

Synthetic Peptide within Human CD5. The exact immunogen used to generate this antibody is proprietary information.

P06127

Specificity

ab193378 is very useful in differentiating among mature small lymphoid cell malignancies. It can also be used in distinguishing thymic carcinoma (+) from thymoma (-). It does not react with granulocytes or monocytes.

Reactivity data

{ "title": "Reactivity Data", "filters": { "stats": ["", "Species", "Dilution Info", "Notes"], "tabs": { "all-applications": {"fullname" : "All Applications", "shortname": "All Applications"}, "IHCP" : {"fullname" : "Immunohistochemistry (Formalin/PFA-fixed paraffin-embedded sections)", "shortname":"IHC-P"} }, "product-promise": { "all": "all", "testedAndGuaranteed": "tested", "guaranteed": "expected", "predicted": "predicted", "notRecommended": "not-recommended" } }, "values": { "Human": { "IHCP-species-checked": "testedAndGuaranteed", "IHCP-species-dilution-info": "0.5-1 µg/mL", "IHCP-species-notes": "<p></p> Perform heat-mediated antigen retrieval with citrate buffer pH 6 before commencing with IHC staining protocol." } } }

Properties and storage information

Form
Liquid
Purification technique
Affinity purification Protein G
Storage buffer
pH: 7.2 - 7.4 Preservative: 0.05% Sodium azide Constituents: PBS, 0.05% BSA
Shipped at conditions
Blue Ice
Appropriate short-term storage duration
1-2 weeks
Appropriate short-term storage conditions
+4°C
Appropriate long-term storage conditions
-20°C
Aliquoting information
Upon delivery aliquot
Storage information
Avoid freeze / thaw cycle

Supplementary information

This supplementary information is collated from multiple sources and compiled automatically.

CD5 also known as T1 or Leu-1 is a glycoprotein with a molecular mass of approximately 67 kDa. It is expressed mainly on the surface of T cells and a subset of B cells. CD5 plays a major role in the regulation of immune responses. It functions by modulating T-cell receptor (TCR) signaling often acting as a negative regulator to prevent excessive immune activation. Researchers often utilize CD5 antibodies such as those conjugated with PerCP for immunohistochemistry (IHC) to study this protein's expression and distribution.
Biological function summary

CD5 is essential in the immune system's ability to maintain tolerance to self-antigens thereby preventing autoimmune responses. CD5 forms part of a receptor complex on the cell surface that interacts with ligands and other receptors to fine-tune immune cell signaling. Its localization and function in T cells relate closely to its ability to modulate signaling pathways essential for cell survival and proliferation. This modulation is important for ensuring that immune responses are appropriate to the stimuli encountered.

Pathways

CD5 is involved in signal transduction processes important for immune tolerance and modulation. It intersects with pathways like the T cell receptor (TCR) signaling pathway and the NF-kB signaling pathway. These pathways involve interaction with proteins like Zap70 a tyrosine kinase related to TCR signaling and the downstream activation of transcription factors that regulate immune responses. The protein CRIS1 also appears in some pathway interactions highlighting the interconnected nature of immune regulatory proteins.

CD5 has significant associations with autoimmune diseases such as systemic lupus erythematosus (SLE) where its modulatory role can affect autoantibody production. Additionally CD5 in conjunction with proteins like OX19 correlates with certain lymphoproliferative disorders including chronic lymphocytic leukemia (CLL). In these disorders the expression and function of CD5 may impact disease progression and patient response to therapy making it a potential target for intervention in immune-related conditions.

Product protocols

For this product, it's our understanding that no specific protocols are required. You can visit:

Target data

Lymphoid-specific receptor expressed by all T-cells and in a subset of B-cells known as B1a cells. Plays a role in the regulation of TCR and BCR signaling, thymocyte selection, T-cell effector differentiation and immune tolerance. Acts by interacting with several ligands expressed on B-cells such as CD5L or CD72 and thereby plays an important role in contact-mediated, T-dependent B-cell activation and in the maintenance of regulatory T and B-cell homeostasis. Functions as a negative regulator of TCR signaling during thymocyte development by associating with several signaling proteins including LCK, CD3Z chain, PI3K or CBL (PubMed : 1384049, PubMed : 1385158). Mechanistically, co-engagement of CD3 with CD5 enhances phosphorylated CBL recruitment leading to increased VAV1 phosphorylation and degradation (PubMed : 23376399). Modulates B-cell biology through ERK1/2 activation in a Ca(2+)-dependent pathway via the non-selective Ca(2+) channel TRPC1, leading to IL-10 production (PubMed : 27499044).
See full target information CD5

Publications (2)

Recent publications for all applications. Explore the full list and refine your search

Circulation. Heart failure 16:e010294 PubMed37465947

2023

Inhibition of Pyk2 Improves Cx43 Intercalated Disc Localization, Infarct Size, and Cardiac Function in Rats With Heart Failure.

Applications

Unspecified application

Species

Unspecified reactive species

Li Zheng,Gaelle Spagnol,Devashri R Gandhi,Kanika Sharma,Vikas Kumar,Kaushik P Patel,Paul L Sorgen

Cancers 13: PubMed34638404

2021

Towards a Better Characterisation of Leukemic Cells in Chronic Lymphocytic Leukaemia: Cell-Size Heterogeneity Reflects Their Activation Status and Migratory Abilities.

Applications

Unspecified application

Species

Unspecified reactive species

Gayane Manukyan,Zuzana Mikulkova,Peter Turcsanyi,Jakub Savara,Markéta Trajerová,Zuzana Kubova,Tomas Papajik,Eva Kriegova
View all publications

Product promise

We are committed to supporting your work with high-quality reagents, and we're here for you every step of the way. In the unlikely event that one of our products does not perform as expected, you're protected by our Product Promise.
For full details, please see our Terms & Conditions

Please note: All products are 'FOR RESEARCH USE ONLY. NOT FOR USE IN DIAGNOSTIC OR THERAPEUTIC PROCEDURES'.

For licensing inquiries, please contact partnerships@abcam.com