JavaScript is disabled in your browser. Please enable JavaScript to view this website.
AB300121

Anti-CD5 antibody [EPR26534-47] (BSA and Azide free)

Be the first to review this product! Submit a review

|

(0 Publication)

Rabbit Recombinant Monoclonal CD5 antibody. Carrier free. Suitable for IHC-P, ICC/IF, Flow Cyt and reacts with Mouse samples.

View Alternative Names

CD5, Ly-1, Cd5, T-cell surface glycoprotein CD5, Lymphocyte antigen 1, Lyt-1

4 Images
Immunocytochemistry/ Immunofluorescence - Anti-CD5 antibody [EPR26534-47] (BSA and Azide free) (AB300121)
  • ICC/IF

Supplier Data

Immunocytochemistry/ Immunofluorescence - Anti-CD5 antibody [EPR26534-47] (BSA and Azide free) (AB300121)

Immunofluorescent analysis of 4% Paraformaldehyde-fixed, 0.1% TritonX-100 permeilized mouse splenocytes cells lebelling CD5 with ab300120 at 1/50 (8.92 µg/ml) dilution, followed by ab150081 Goat Anti-Rabbit IgG H&L (Alexa Fluor® 488) preadsorbed antibody at 1/1000 (2µg/mL) dilution (Green). Confocal image showing membrane staining in subsets of mouse splenocytes. ab195889 Anti-alpha Tubulin mouse monoclonal antibody - Microtubule Marker (Alexa Fluor® 594) was used to counterstain tubulin at 1/200 (2.5µg/ml) dilution (Red). The Nuclear counterstain was DAPI (Blue). Secondary antibody only control : Secondary antibody is ab150081 Goat Anti-Rabbit IgG H&L (Alexa Fluor® 488) preadsorbed at 1/1000 (2µg/mL) dilution.

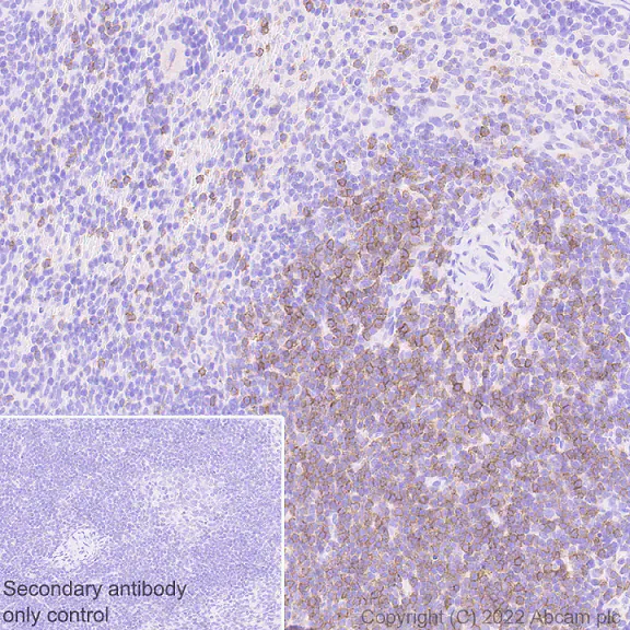
Immunohistochemistry (Formalin/PFA-fixed paraffin-embedded sections) - Anti-CD5 antibody [EPR26534-47] (BSA and Azide free) (AB300121)
  • IHC-P

Supplier Data

Immunohistochemistry (Formalin/PFA-fixed paraffin-embedded sections) - Anti-CD5 antibody [EPR26534-47] (BSA and Azide free) (AB300121)

Immunohistochemical analysis of paraffin-embedded mouse spleen tissue labelling CD5 with ab300120 at 1/50 (4.46 µg/ml) followed by a ready to use rabbit specific IHC polymer detection kit HRP/DAB (ab209101). Membranous staining on mouse spleen. The section was incubated with ab300120 for 30 mins at room temperature. The immunostaining was performed on a Leica Biosystems BOND® RX instrument. Counterstained with Hematoxylin. Secondary antibody only control : PBS was used instead of ab300120 followed by ready to use secondary antibody rabbit specific IHC polymer detection kit HRP/DAB (ab209101). Heat mediated antigen retrieval with Tris-EDTA buffer (pH 9.0, epitope retrieval solution2) for 20 mins.

Flow Cytometry - Anti-CD5 antibody [EPR26534-47] (BSA and Azide free) (AB300121)
  • Flow Cyt

Supplier Data

Flow Cytometry - Anti-CD5 antibody [EPR26534-47] (BSA and Azide free) (AB300121)

Flow cytometric analysis of mouse splenocytes cells labelling CD5 with ab300120 at 1/500 dilution (0.1µg)/ Right compared with a rabbit monoclonal IgG (ab172730) / Left isotype control. Goat Anti-Rabbit IgG (Alexa Fluor® 488, ab150081) at 1/2000 dilution was used as the secondary antibody. Gated on viable cells. Cells were stained with rabbit IgG or ab300120, then stained with anti-CD3 conjugated to Alexa Fluor® 647.

Immunohistochemistry (Formalin/PFA-fixed paraffin-embedded sections) - Anti-CD5 antibody [EPR26534-47] (BSA and Azide free) (AB300121)
  • IHC-P

Supplier Data

Immunohistochemistry (Formalin/PFA-fixed paraffin-embedded sections) - Anti-CD5 antibody [EPR26534-47] (BSA and Azide free) (AB300121)

Immunohistochemical analysis of paraffin-embedded mouse skeletal muscle tissue labelling CD5 with ab300120 at 1/50 (4.46 µg/ml) followed by a ready to use Rabbit specific IHC polymer detection kit HRP/DAB (ab209101). No staining on mouse skeletal muscle. The section was incubated with ab300120 for 30 mins at room temperature. The immunostaining was performed on a Leica Biosystems BOND® RX instrument Counterstained with Hematoxylin. Secondary antibody only control : PBS was used instead of ab300120 followed by secondary antibody rabbit specific IHC polymer detection kit HRP/DAB (ab209101). Heat mediated antigen retrieval with Tris-EDTA buffer (pH 9.0, epitope retrieval solution2) for 20 mins.

Key facts

Host species

Rabbit

Clonality

Monoclonal

Clone number

EPR26534-47

Isotype

IgG

Carrier free

Yes

Reacts with

Mouse

Applications

Flow Cyt, IHC-P, ICC/IF

applications

Immunogen

The exact immunogen used to generate this antibody is proprietary information.

Reactivity data

{ "title": "Reactivity Data", "filters": { "stats": ["", "Species", "Dilution Info", "Notes"], "tabs": { "all-applications": {"fullname" : "All Applications", "shortname": "All Applications"}, "WB" : {"fullname" : "Western blot", "shortname":"WB"}, "IHCP" : {"fullname" : "Immunohistochemistry (Formalin/PFA-fixed paraffin-embedded sections)", "shortname":"IHC-P"}, "ICCIF" : {"fullname" : "Immunocytochemistry/ Immunofluorescence", "shortname":"ICC/IF"}, "FlowCyt" : {"fullname" : "Flow Cytometry", "shortname":"Flow Cyt"}, "IP" : {"fullname" : "Immunoprecipitation", "shortname":"IP"} }, "product-promise": { "all": "all", "testedAndGuaranteed": "tested", "guaranteed": "expected", "predicted": "predicted", "notRecommended": "not-recommended" } }, "values": { "Human": { "WB-species-checked": "notRecommended", "WB-species-dilution-info": "", "WB-species-notes": "<p></p>", "IHCP-species-checked": "notRecommended", "IHCP-species-dilution-info": "", "IHCP-species-notes": "<p></p>", "ICCIF-species-checked": "notRecommended", "ICCIF-species-dilution-info": "", "ICCIF-species-notes": "", "FlowCyt-species-checked": "notRecommended", "FlowCyt-species-dilution-info": "", "FlowCyt-species-notes": "", "IP-species-checked": "notRecommended", "IP-species-dilution-info": "", "IP-species-notes": "" }, "Mouse": { "WB-species-checked": "notRecommended", "WB-species-dilution-info": "", "WB-species-notes": "<p></p>", "IHCP-species-checked": "testedAndGuaranteed", "IHCP-species-dilution-info": "", "IHCP-species-notes": "<p></p>", "ICCIF-species-checked": "testedAndGuaranteed", "ICCIF-species-dilution-info": "", "ICCIF-species-notes": "<p></p>", "FlowCyt-species-checked": "testedAndGuaranteed", "FlowCyt-species-dilution-info": "", "FlowCyt-species-notes": "<p></p>", "IP-species-checked": "notRecommended", "IP-species-dilution-info": "", "IP-species-notes": "<p></p>" }, "Rat": { "WB-species-checked": "notRecommended", "WB-species-dilution-info": "", "WB-species-notes": "<p></p>", "IHCP-species-checked": "notRecommended", "IHCP-species-dilution-info": "", "IHCP-species-notes": "<p></p>", "ICCIF-species-checked": "notRecommended", "ICCIF-species-dilution-info": "", "ICCIF-species-notes": "", "FlowCyt-species-checked": "notRecommended", "FlowCyt-species-dilution-info": "", "FlowCyt-species-notes": "", "IP-species-checked": "notRecommended", "IP-species-dilution-info": "", "IP-species-notes": "" } } }

Product details

Conjugation ready
Our carrier-free antibodies are typically supplied in a PBS-only formulation, purified and free of BSA, sodium azide and glycerol. This conjugation-ready format is designed for use with fluorochromes, metal isotopes, oligonucleotides, and enzymes, which makes them ideal for antibody labelling, functional and cell-based assays, flow-based assays (e.g. mass cytometry) and Multiplex Imaging applications.

Use our conjugation kits for antibody conjugates that are ready-to-use in as little as 20 minutes with 1 minute hands-on-time and 100% antibody recovery: available for fluorescent dyes, HRP, biotin and gold.

Patented technology
Our RabMAb® technology is a patented hybridoma-based technology for making rabbit monoclonal antibodies. For details on our patents, please refer to RabMAb® patents.

Compatibility
This product is compatible with the Maxpar® Antibody Labeling Kit from Fluidigm, without the need for antibody preparation. Maxpar® is a trademark of Fluidigm Canada Inc.

What are the advantages of a recombinant monoclonal antibody?
This product is a recombinant monoclonal antibody, which offers several advantages including:

  • - High batch-to-batch consistency and reproducibility
  • - Improved sensitivity and specificity
  • - Long-term security of supply
  • - Animal-free batch production

For more information, read more on recombinant antibodies.

Properties and storage information

Form
Liquid
Purification technique
Affinity purification Protein A
Storage buffer
pH: 7.2 - 7.4 Constituents: PBS
Shipped at conditions
Blue Ice
Appropriate short-term storage conditions
+4°C
Appropriate long-term storage conditions
+4°C
Aliquoting information
Upon delivery aliquot

Supplementary information

This supplementary information is collated from multiple sources and compiled automatically.

CD5 also known as T1 or Leu-1 is a glycoprotein with a molecular mass of approximately 67 kDa. It is expressed mainly on the surface of T cells and a subset of B cells. CD5 plays a major role in the regulation of immune responses. It functions by modulating T-cell receptor (TCR) signaling often acting as a negative regulator to prevent excessive immune activation. Researchers often utilize CD5 antibodies such as those conjugated with PerCP for immunohistochemistry (IHC) to study this protein's expression and distribution.
Biological function summary

CD5 is essential in the immune system's ability to maintain tolerance to self-antigens thereby preventing autoimmune responses. CD5 forms part of a receptor complex on the cell surface that interacts with ligands and other receptors to fine-tune immune cell signaling. Its localization and function in T cells relate closely to its ability to modulate signaling pathways essential for cell survival and proliferation. This modulation is important for ensuring that immune responses are appropriate to the stimuli encountered.

Pathways

CD5 is involved in signal transduction processes important for immune tolerance and modulation. It intersects with pathways like the T cell receptor (TCR) signaling pathway and the NF-kB signaling pathway. These pathways involve interaction with proteins like Zap70 a tyrosine kinase related to TCR signaling and the downstream activation of transcription factors that regulate immune responses. The protein CRIS1 also appears in some pathway interactions highlighting the interconnected nature of immune regulatory proteins.

CD5 has significant associations with autoimmune diseases such as systemic lupus erythematosus (SLE) where its modulatory role can affect autoantibody production. Additionally CD5 in conjunction with proteins like OX19 correlates with certain lymphoproliferative disorders including chronic lymphocytic leukemia (CLL). In these disorders the expression and function of CD5 may impact disease progression and patient response to therapy making it a potential target for intervention in immune-related conditions.

Product protocols

For this product, it's our understanding that no specific protocols are required. You can visit:

Target data

Lymphoid-specific receptor expressed by all T-cells and in a subset of B-cells known as B1a cells. Plays a role in the regulation of TCR and BCR signaling, thymocyte selection, T-cell effector differentiation and immune tolerance (PubMed : 35720357). Acts by interacting with several ligands expressed on B-cells such as CD5L or CD72 and thereby plays an important role in contact-mediated, T-dependent B-cell activation and in the maintenance of regulatory T and B-cell homeostasis (PubMed : 24950378, PubMed : 9064341, PubMed : 9723705). Functions as a negative regulator of TCR signaling during thymocyte development by associating with several signaling proteins including LCK, CD3Z chain, PI3K or CBL (PubMed : 11157848). Mechanistically, co-engagement of CD3 with CD5 enhances phosphorylated CBL recruitment leading to increased VAV1 phosphorylation and degradation (By similarity). Modulates B-cell biology through ERK1/2 activation in a Ca(2+)-dependent pathway via the non-selective Ca(2+) channel TRPC1, leading to IL-10 production (By similarity).
See full target information Cd5

Product promise

We are committed to supporting your work with high-quality reagents, and we're here for you every step of the way. In the unlikely event that one of our products does not perform as expected, you're protected by our Product Promise.
For full details, please see our Terms & Conditions

Please note: All products are 'FOR RESEARCH USE ONLY. NOT FOR USE IN DIAGNOSTIC OR THERAPEUTIC PROCEDURES'.

For licensing inquiries, please contact partnerships@abcam.com