JavaScript is disabled in your browser. Please enable JavaScript to view this website.
AB16699

Anti-CD5 antibody [SP19]

  • BOND RX™ Validated
  • RabMAb
  • Recombinant
  • 20ul selling size
  • What is this?

Be the first to review this product! Submit a review

|

(2 Publications)

Anti-CD5 antibody [SP19] (ab16699) is a rabbit monoclonal antibody detecting CD5 in IHC-P. Suitable for Human.

- Biophysical QC for unrivalled batch-batch consistency
- Trusted since 2005

View Alternative Names

CD5, LEU1, T-cell surface glycoprotein CD5, Lymphocyte antigen T1/Leu-1

1 Images
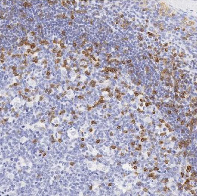
Immunohistochemistry (Formalin/PFA-fixed paraffin-embedded sections) - Anti-CD5 antibody [SP19] (AB16699)
  • IHC-P

Supplier Data

Immunohistochemistry (Formalin/PFA-fixed paraffin-embedded sections) - Anti-CD5 antibody [SP19] (AB16699)

Immunohistochemical analysis of paraffin-embedded Human tonsil labeling CD5 with ab16699 at 1/50 (3 μg/ml). The section was pre-treated using heat mediated antigen retrieval with sodium citrate buffer (pH 6.0, epitope retrieval solution 1) for 20 mins. The section was then incubated with ab16699 for 15 mins at room temperature and detected using an HRP conjugated compact polymer system. The immunostaining was performed on a Leica Biosystems BOND® RX instrument. DAB was used as the chromogen. Counterstained with Hematoxylin and mounted with DPX.

  • Carrier free

    Anti-CD5 antibody [SP19] - BSA and Azide free

  • Biotin

    Biotin Anti-CD5 [SP19]

Key facts

Host species

Rabbit

Clonality

Monoclonal

Clone number

SP19

Isotype

IgG

Carrier free

No

Reacts with

Human

Applications

IHC-P

applications

Immunogen

The exact immunogen used to generate this antibody is proprietary information.

Epitope

Ab16699 reacts with an epitope located in the intracellular region of CD5.

Reactivity data

{ "title": "Reactivity Data", "filters": { "stats": ["", "Species", "Dilution Info", "Notes"], "tabs": { "all-applications": {"fullname" : "All Applications", "shortname": "All Applications"}, "IHCP" : {"fullname" : "Immunohistochemistry (Formalin/PFA-fixed paraffin-embedded sections)", "shortname":"IHC-P"} }, "product-promise": { "all": "all", "testedAndGuaranteed": "tested", "guaranteed": "expected", "predicted": "predicted", "notRecommended": "not-recommended" } }, "values": { "Human": { "IHCP-species-checked": "testedAndGuaranteed", "IHCP-species-dilution-info": "1/50", "IHCP-species-notes": "<p></p> Perform heat-mediated antigen retrieval before commencing with IHC staining protocol." } } }

Product details

What is this antibody validated in?
Anti-CD5 antibody [SP19] (ab16699) is a rabbit recombinant monoclonal antibody and is validated for use in Immunohistochemistry (IHC-P) in Human samples.

Collaboration
Anti-CD5 [SP19] (ab16699) is a clone from the portfolio of Spring Bioscience (Roche) SP clones which have been optimised for immunohistochemistry (IHC).

Trial sizes available!
Test your antibody or perform pre-screening before committing to a larger quantity. Sold in 10µl. Discover our selection of trial-size antibodies.

Other related products
We have a range of other formats of antibody clone [SP19] also available for your convenience: ab16699, ab238631, Carrier free - ab239796, ab279487, Biotin - ab318315

What are the advantages of a recombinant monoclonal antibody?
This product is a recombinant monoclonal antibody, which offers several advantages including:

  • - High batch-to-batch consistency and reproducibility
  • - Improved sensitivity and specificity
  • - Long-term security of supply
  • - Animal-free batch production

For more information, read more on recombinant antibodies.

Properties and storage information

Form
Liquid
Purification technique
Affinity purification Protein A
Storage buffer
pH: 7.2 - 7.4 Preservative: 0.1% Sodium azide Constituents: PBS, 1% BSA
Shipped at conditions
Blue Ice
Appropriate short-term storage conditions
+4°C
Appropriate long-term storage conditions
-20°C
Aliquoting information
Upon delivery aliquot
Storage information
Avoid freeze / thaw cycle|Do Not Freeze

Supplementary information

This supplementary information is collated from multiple sources and compiled automatically.

CD5 also known as T1 or Leu-1 is a glycoprotein with a molecular mass of approximately 67 kDa. It is expressed mainly on the surface of T cells and a subset of B cells. CD5 plays a major role in the regulation of immune responses. It functions by modulating T-cell receptor (TCR) signaling often acting as a negative regulator to prevent excessive immune activation. Researchers often utilize CD5 antibodies such as those conjugated with PerCP for immunohistochemistry (IHC) to study this protein's expression and distribution.
Biological function summary

CD5 is essential in the immune system's ability to maintain tolerance to self-antigens thereby preventing autoimmune responses. CD5 forms part of a receptor complex on the cell surface that interacts with ligands and other receptors to fine-tune immune cell signaling. Its localization and function in T cells relate closely to its ability to modulate signaling pathways essential for cell survival and proliferation. This modulation is important for ensuring that immune responses are appropriate to the stimuli encountered.

Pathways

CD5 is involved in signal transduction processes important for immune tolerance and modulation. It intersects with pathways like the T cell receptor (TCR) signaling pathway and the NF-kB signaling pathway. These pathways involve interaction with proteins like Zap70 a tyrosine kinase related to TCR signaling and the downstream activation of transcription factors that regulate immune responses. The protein CRIS1 also appears in some pathway interactions highlighting the interconnected nature of immune regulatory proteins.

CD5 has significant associations with autoimmune diseases such as systemic lupus erythematosus (SLE) where its modulatory role can affect autoantibody production. Additionally CD5 in conjunction with proteins like OX19 correlates with certain lymphoproliferative disorders including chronic lymphocytic leukemia (CLL). In these disorders the expression and function of CD5 may impact disease progression and patient response to therapy making it a potential target for intervention in immune-related conditions.

Product protocols

For this product, it's our understanding that no specific protocols are required. You can visit:

Target data

Lymphoid-specific receptor expressed by all T-cells and in a subset of B-cells known as B1a cells. Plays a role in the regulation of TCR and BCR signaling, thymocyte selection, T-cell effector differentiation and immune tolerance. Acts by interacting with several ligands expressed on B-cells such as CD5L or CD72 and thereby plays an important role in contact-mediated, T-dependent B-cell activation and in the maintenance of regulatory T and B-cell homeostasis. Functions as a negative regulator of TCR signaling during thymocyte development by associating with several signaling proteins including LCK, CD3Z chain, PI3K or CBL (PubMed : 1384049, PubMed : 1385158). Mechanistically, co-engagement of CD3 with CD5 enhances phosphorylated CBL recruitment leading to increased VAV1 phosphorylation and degradation (PubMed : 23376399). Modulates B-cell biology through ERK1/2 activation in a Ca(2+)-dependent pathway via the non-selective Ca(2+) channel TRPC1, leading to IL-10 production (PubMed : 27499044).
See full target information CD5

Publications (2)

Recent publications for all applications. Explore the full list and refine your search

Experimental biology and medicine (Maywood, N.J.) 248:1469-1478 PubMed36847415

2023

Identification and validation of hub genes in CD5-positive diffuse large B-cell lymphoma.

Applications

Unspecified application

Species

Unspecified reactive species

Ming Yang,Xingjian Niu,Xudong Yang,Yutian Sun,Wenjia Su,Jing Zhang,Qianjiang Wu,Yiran Wang,Qingyuan Zhang,Hongfei Ji

Pathology research international 2011:340763 PubMed21660262

2011

Synchronous Presence of Nasopharyngeal Carcinoma and Marginal Zone (MALT-Type) B-Cell Lymphoma in the Pharynx.

Applications

Unspecified application

Species

Unspecified reactive species

Triantafyllia Koletsa,Georgios Petrakis,Georgia Karayannopoulou,Dimitrios Pappas,Konstantinos Markou,Georgios Karkavelas,Ioannis Kostopoulos
View all publications

Product promise

We are committed to supporting your work with high-quality reagents, and we're here for you every step of the way. In the unlikely event that one of our products does not perform as expected, you're protected by our Product Promise.
For full details, please see our Terms & Conditions

Please note: All products are 'FOR RESEARCH USE ONLY. NOT FOR USE IN DIAGNOSTIC OR THERAPEUTIC PROCEDURES'.

For licensing inquiries, please contact partnerships@abcam.com