JavaScript is disabled in your browser. Please enable JavaScript to view this website.
AB220187

Anti-CD57 antibody [NK/804]

Be the first to review this product! Submit a review

|

(2 Publications)

Mouse Monoclonal CD57 antibody. Suitable for IHC-P and reacts with Human samples. Cited in 2 publications.

View Alternative Names

HKN1, LEU7

1 Images
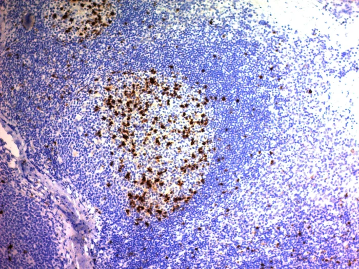
Immunohistochemistry (Formalin/PFA-fixed paraffin-embedded sections) - Anti-CD57 antibody [NK/804] (AB220187)
  • IHC-P

Supplier Data

Immunohistochemistry (Formalin/PFA-fixed paraffin-embedded sections) - Anti-CD57 antibody [NK/804] (AB220187)

Immunohistochemistry (Formalin/PFA-fixed paraffin-embedded sections) analysis of human tonsil tissue labelling B3GAT1 with ab220187 at 4 μg/mL for 30 minutes at room temperature. Staining of formalin-fixed tissues requires heating tissue sections in 10mM Tris with 1mM EDTA, pH 9.0, for 45 min at 95°C followed by cooling at room temperature for 20 minutes.

Key facts

Host species

Mouse

Clonality

Monoclonal

Clone number

NK/804

Isotype

IgM

Light chain type

kappa

Carrier free

No

Reacts with

Human

Applications

IHC-P

applications

Reactivity data

{ "title": "Reactivity Data", "filters": { "stats": ["", "Species", "Dilution Info", "Notes"], "tabs": { "all-applications": {"fullname" : "All Applications", "shortname": "All Applications"}, "IHCP" : {"fullname" : "Immunohistochemistry (Formalin/PFA-fixed paraffin-embedded sections)", "shortname":"IHC-P"} }, "product-promise": { "all": "all", "testedAndGuaranteed": "tested", "guaranteed": "expected", "predicted": "predicted", "notRecommended": "not-recommended" } }, "values": { "Human": { "IHCP-species-checked": "testedAndGuaranteed", "IHCP-species-dilution-info": "2-4 µg/mL", "IHCP-species-notes": "<p>for 30 minutes at RT</p> Perform heat-mediated antigen retrieval with Tris/EDTA buffer pH 9.0 before commencing with IHC staining protocol." }, "Rat": { "IHCP-species-checked": "notRecommended", "IHCP-species-dilution-info": "2-4 µg/mL", "IHCP-species-notes": "<p>for 30 minutes at RT</p> Perform heat-mediated antigen retrieval with Tris/EDTA buffer pH 9.0 before commencing with IHC staining protocol." } } }

Properties and storage information

Form
Liquid
Purification notes
ab220187 is purified from Bioreactor Concentrate.
Storage buffer
pH: 7.2 - 7.4 Preservative: 0.05% Sodium azide Constituents: 99% PBS, 0.05% BSA
Shipped at conditions
Blue Ice
Appropriate short-term storage duration
1-2 weeks
Appropriate short-term storage conditions
+4°C
Appropriate long-term storage conditions
-20°C
Aliquoting information
Upon delivery aliquot
Storage information
Avoid freeze / thaw cycle

Supplementary information

This supplementary information is collated from multiple sources and compiled automatically.

CD57 also known as HNK-1 is a glycoprotein with a molecular weight of approximately 110 to 150 kDa. It is a marker expressed on the surface of natural killer (NK) cells T lymphocytes and some subsets of CD8+ T cells. Besides you can find this marker in neural tissue. As a surface marker CD57 is used in human immunohistochemistry (IHC) studies to identify cell populations in immune responses and has significant utility in the characterization of lymphocyte subsets.
Biological function summary

CD57 plays a role in immune regulation and cell-mediated cytotoxicity. CD57+ cells which are often mature or post-activation states in NK cells and T lymphocytes are less proliferative but have enhanced cytotoxic abilities. These cells contribute to the immune surveillance against viral infections and tumor cells. CD57 does not belong to any well-known protein complexes but can cooperate with other surface markers to modulate immune functions.

Pathways

CD57+ cell populations participate in the immune system pathways related to cell-mediated immunity and cytotoxic response. The presence of CD57 is often associated with the downregulation of proliferative pathways and the enhancement of cytotoxic pathways. It shows functional overlap with proteins such as CD16 and NKG2D which also play roles in mediating the cytotoxic activity of NK cells.

CD57 is connected to chronic infections and certain autoimmune conditions. In chronic viral infections like HIV CD57+ T cells show a state of replicative senescence where their persistent expression links to disease progression. In autoimmune disorders like rheumatoid arthritis CD57+ T cells are found in the inflamed tissues. This protein works alongside CD8 in conditions of immune dysfunction providing insights into immune status and disease activity.

Product protocols

For this product, it's our understanding that no specific protocols are required. You can visit:

Publications (2)

Recent publications for all applications. Explore the full list and refine your search

Clinical and translational medicine 12:e723 PubMed35184398

2022

Single-cell RNA sequencing reveals the multi-cellular ecosystem in different radiological components of pulmonary part-solid nodules.

Applications

Unspecified application

Species

Unspecified reactive species

Yanmeng Li,Xiao Li,Haiming Chen,Kunkun Sun,Hao Li,Ying Zhou,Jun Wang,Fan Bai,Fan Yang

Science advances 5:eaax5851 PubMed31633026

2019

MIBI-TOF: A multiplexed imaging platform relates cellular phenotypes and tissue structure.

Applications

Mass Cytometry

Species

Unspecified reactive species

Leeat Keren,Marc Bosse,Steve Thompson,Tyler Risom,Kausalia Vijayaragavan,Erin McCaffrey,Diana Marquez,Roshan Angoshtari,Noah F Greenwald,Harris Fienberg,Jennifer Wang,Neeraja Kambham,David Kirkwood,Garry Nolan,Thomas J Montine,Stephen J Galli,Robert West,Sean C Bendall,Michael Angelo
View all publications

Product promise

We are committed to supporting your work with high-quality reagents, and we're here for you every step of the way. In the unlikely event that one of our products does not perform as expected, you're protected by our Product Promise.
For full details, please see our Terms & Conditions

Associated Products

Select an associated product type
Alternative Product
Primary Antibodies

AB199156

Anti-B3GAT1 antibody

primary-antibodies

b3gat1-antibody-ab199156

0

(0 reviews)

Alternative Product
Primary Antibodies

AB203123

Anti-B3GAT1 antibody - N-terminal

primary-antibodies

b3gat1-antibody-n-terminal-ab203123

0

(0 reviews)

Alternative Product
Primary Antibodies

AB212403

Anti-CD57 antibody [HNK-1 or Leu-7] - BSA and Azide free

primary-antibodies

cd57-antibody-hnk-1-or-leu-7-bsa-and-azide-free-ab212403

5

(1 reviews)

Alternative Product
Primary Antibodies

AB212405

Anti-CD57 antibody [NK-1] - BSA and Azide free

primary-antibodies

cd57-antibody-nk-1-bsa-and-azide-free-ab212405

5

(2 reviews)

Alternative Product
Primary Antibodies

AB82749

Anti-CD57 antibody [NK1], prediluted

primary-antibodies

cd57-antibody-nk1-prediluted-ab82749

0

(0 reviews)

Alternative Version
Primary Antibodies

AB212408

Anti-CD57 antibody [NK/804] - BSA and Azide free

primary-antibodies

cd57-antibody-nk-804-bsa-and-azide-free-ab212408

0

(0 reviews)

Please note: All products are 'FOR RESEARCH USE ONLY. NOT FOR USE IN DIAGNOSTIC OR THERAPEUTIC PROCEDURES'.

For licensing inquiries, please contact partnerships@abcam.com