JavaScript is disabled in your browser. Please enable JavaScript to view this website.
AB275392

Anti-CD58 antibody [EPR24012-147]

Be the first to review this product! Submit a review

|

(0 Publication)

Rabbit Recombinant Monoclonal CD58 antibody. Suitable for IP, Flow Cyt, WB and reacts with Human samples.

View Alternative Names

CD58, LFA3, Lymphocyte function-associated antigen 3, Ag3, Surface glycoprotein LFA-3

8 Images
Flow Cytometry - Anti-CD58 antibody [EPR24012-147] (AB275392)
  • Flow Cyt

Unknown

Flow Cytometry - Anti-CD58 antibody [EPR24012-147] (AB275392)

Flow cytometric analysis of Human peripheral blood mononuclear (PBMC) cells labelling CD58 with ab275392 at 1/500 dilution (0.1ug) (Right) compared with a Rabbit monoclonal IgG (ab172730) isotype control (Left).

Goat anti rabbit IgG (Alexa Fluor® 488, ab150077) at 1/2000 dilution was used as the secondary antibody.

Gated on viable cells.

Flow Cytometry - Anti-CD58 antibody [EPR24012-147] (AB275392)
  • Flow Cyt

Lab

Flow Cytometry - Anti-CD58 antibody [EPR24012-147] (AB275392)

Flow cytometry staining of human peripheral blood mononuclear cells (PBMCs) with ab275392 (right) or Recombinant Rabbit IgG, monoclonal [EPR25A] - Isotype Control (left). PBMCs were incubated for 30 min on ice in 1x PBS containing 10 µg/ml human IgG and 10 % normal goat serum to block FC receptors and non-specific protein-protein interaction followed by the antibody ab275392 or Recombinant Rabbit IgG, monoclonal [EPR25A] - Isotype Control (1x 106 in 100 µl at 1 μg/ml (1/2,300)) for 30min on ice. The cells were simultaneously stained with CD56.

The secondary antibody Goat Anti-Rabbit IgG H&L (Alexa Fluor® 488) preadsorbed was incubated at 1/4000 for 30min on ice

Acquisition of >30000 events were collected using a 50 mW Blue laser (488nm) and 525/40 bandpass filter. Events were gated on live cells.

Western blot - Anti-CD58 antibody [EPR24012-147] (AB275392)
  • WB

Lab

Western blot - Anti-CD58 antibody [EPR24012-147] (AB275392)

Western blot : Anti-CD58 antibody [EPR24012-147] ab275392 staining at 1/1000 dilution, shown in green; Mouse anti GAPDH (ab8245) loading control staining at 1/20,000 dilution, shown in magenta. A band was observed at 55-70 kDa in Wild-type Raji cell lysates with no signal observed at this size in CD58 knockout Raji cell line. To generate this image, samples were run on an SDS-PAGE gel then transferred onto a nitrocellulose membrane. Membranes were blocked in 3pc Milk in TBS-0.1 % Tween® 20 (TBS-T) before incubation with primary antibodies overnight at 4 °C. Blots were washed four times in TBS-T, incubated with secondary antibodies for 1 h at room temperature, washed again four times then imaged. Secondary antibodies used were Goat anti-Rabbit 800CW & Goat anti-Mouse 680RD at 1/20,000 dilution.

All lanes:

Western blot - Anti-CD58 antibody [EPR24012-147] (ab275392) at 1/1000 dilution

Lane 1:

Wild-type Raji at 20 µg

Lane 2:

Western blot - Human CD58 knockout Raji cell line (<a href='/en-us/products/cell-lines/human-cd58-knockout-raji-cell-line-ab290422'>ab290422</a>) at 20 µg

Lane 3:

Wild-type HeLa at 20 µg

Lane 4:

CD58 knockout HeLa cells at 20 µg

Secondary

Lanes 1 - 4:

Goat anti-Rabbit 800CW at 1/20000 dilution

Lanes 1 - 4:

Goat anti-Mouse 680RD at 1/20000 dilution

Predicted band size: 28 kDa,52-60 kDa

Observed band size: 55-70 kDa,37 kDa

false

Flow Cytometry - Anti-CD58 antibody [EPR24012-147] (AB275392)
  • Flow Cyt

Unknown

Flow Cytometry - Anti-CD58 antibody [EPR24012-147] (AB275392)

Flow cytometric analysis of A-204 (Human muscle rhabdomyosarcoma, Left) / Jurkat (Human T cell leukemia T lymphocyte, Right) cells labelling CD58 with ab275392 at 1/500 dilution (0.1ug) (Red) compared with a Rabbit monoclonal IgG (ab172730) isotype control (Black) and an unlabelled control (cells without incubation with primary antibody and secondary antibody) (Blue).

Goat anti rabbit IgG (Alexa Fluor® 488, ab150077) at 1/2000 dilution was used as the secondary antibody.

Low expression control : A-204.

Gated on viable cells.

Immunoprecipitation - Anti-CD58 antibody [EPR24012-147] (AB275392)
  • IP

Unknown

Immunoprecipitation - Anti-CD58 antibody [EPR24012-147] (AB275392)

CD58 was immunoprecipitated from 0.35 mg Raji (human Burkitt's lymphoma B lymphocyte) whole cell lysate with ab275392 at 1/30 dilution (2ug in 0.35mg lysates). Western blot was performed on the immunoprecipitate using ab275392 at 1/1000 dilution. VeriBlot for IP Detection Reagent (HRP)(ab131366) was used at 1/5000 dilution.

Lane 1 : Raji (human Burkitt's lymphoma B lymphocyte) whole cell lysate 10 ug

Lane 2 : 275392 IP in Raji whole cell lysate

Lane 3 : Rabbit monoclonal IgG (ab172730) instead of ab275392 in Raji whole cell lysate

Blocking and dilution buffer and concentration : 5% NFDM/TBST.

Exposure time : 15 seconds.

This blot was developed using a higher sensitivity ECL substrate.

All lanes:

Immunoprecipitation - Anti-CD58 antibody [EPR24012-147] (ab275392)

Predicted band size: 28 kDa

Observed band size: 55-70 kDa

false

Western blot - Anti-CD58 antibody [EPR24012-147] (AB275392)
  • WB

Lab

Western blot - Anti-CD58 antibody [EPR24012-147] (AB275392)

Blocking and diluting buffer and concentration : 5% NFDM/TBST.

The molecular weight observed is consistent with what has been described in the literature (PMID : 26039213, 3309127, 19268704).

Low expression : A-204 (PMID : 26039213).

Exposure times : Lane 1 : 37 seconds; Lanes 2-3 : 15 seconds; Lanes 4-5 : 70 seconds.

All lanes:

Western blot - Anti-CD58 antibody [EPR24012-147] (ab275392) at 1/1000 dilution

Lane 1:

Raji (human Burkitt's lymphoma B lymphocyte) whole cell lysate at 40 µg

Lane 2:

A-204 (human muscle rhabdomyosarcoma) whole cell lysate at 40 µg

Lane 3:

K-562 (human chronic myelogenous leukemia lymphoblast) whole cell lysate at 40 µg

Lane 4:

Jurkat (human t cell leukemia t lymphocyte) whole cell lysate at 20 µg

Lane 5:

TT (human thyroid carcinoma epithelial cell) whole cell lysate at 20 µg

Secondary

All lanes:

Goat Anti-Rabbit IgG, (H+L), Peroxidase conjugated (<a href='/en-us/products/secondary-antibodies/goat-rabbit-igg-h-l-hrp-ab97051'>ab97051</a>) at 1/50000 dilution

Predicted band size: 28 kDa

Observed band size: 55-70 kDa

false

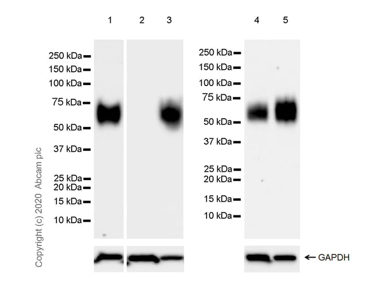
Western blot - Anti-CD58 antibody [EPR24012-147] (AB275392)
  • WB

Lab

Western blot - Anti-CD58 antibody [EPR24012-147] (AB275392)

False colour image of Western blot : Anti-CD58 antibody [EPR24012-147] staining at 1/1000 dilution, shown in green; Mouse anti-GAPDH antibody [6C5] (ab8245) loading control staining at 1/20000 dilution, shown in red. In Western blot, ab275392 was shown to bind specifically to CD58. A band was observed at 55 kDa in wild-type HeLa cell lysates with no signal observed at this size in CD58 knockout cell line ab265947 (knockout cell lysate ab257880). To generate this image, wild-type and CD58 knockout HeLa cell lysates were analysed. First, samples were run on an SDS-PAGE gel then transferred onto a nitrocellulose membrane. Membranes were blocked in 3 % milk in TBS-0.1 % Tween® 20 (TBS-T) before incubation with primary antibodies overnight at 4 °C. Blots were washed four times in TBS-T, incubated with secondary antibodies for 1 h at room temperature, washed again four times then imaged.Secondary antibodies used were Goat anti-Rabbit IgG H&L (IRDye® 800CW) preabsorbed (ab216773) and Goat anti-Mouse IgG H&L (IRDye® 680RD) preabsorbed (ab216776) at 1/20000 dilution.

All lanes:

Western blot - Anti-CD58 antibody [EPR24012-147] (ab275392) at 1/1000 dilution

Lane 1:

Wild-type HeLa cell lysate at 20 µg

Lane 2:

CD58 knockout HeLa cell lysate at 20 µg

Lane 2:

Western blot - Human CD58 knockout HeLa cell lysate (<a href='/en-us/products/cell-lysates/human-cd58-knockout-hela-cell-lysate-ab257880'>ab257880</a>)

Lane 2:

Western blot - Human CD58 knockout HeLa cell line (<a href='/en-us/products/cell-lines/human-cd58-knockout-hela-cell-line-ab265947'>ab265947</a>)

Lane 3:

Raji cell lysate at 20 µg

Lane 4:

SH-SY5Y cell lysate at 20 µg

Predicted band size: 28 kDa

Observed band size: 55 kDa

false

Western blot - Anti-CD58 antibody [EPR24012-147] (AB275392)
  • WB

Lab

Western blot - Anti-CD58 antibody [EPR24012-147] (AB275392)

Blocking and diluting buffer and concentration : 5% NFDM/TBST.

The molecular weight observed is consistent with what has been described in the literature (PMID : 26039213, 3309127, 19268704).

Exposure time : 3 minutes.

All lanes:

Western blot - Anti-CD58 antibody [EPR24012-147] (ab275392) at 1/1000 dilution

Lane 1:

Human kidney tissue lysate at 20 µg

Lane 2:

Human placenta tissue lysate at 20 µg

Secondary

All lanes:

VeriBlot for IP secondary antibody(HRP)(<a href='/en-us/products/reagents/veriblot-for-ip-detection-reagent-hrp-ab131366'>ab131366</a>) at 1/1000 dilution

Predicted band size: 28 kDa

Observed band size: 55-70 kDa

false

  • Carrier free

    Anti-CD58 antibody [EPR24012-147] - BSA and Azide free

  • 519 Alexa Fluor® 488

    Alexa Fluor® 488 Anti-CD58 antibody [EPR24012-147]

  • 578 PE

    PE Anti-CD58 antibody [EPR24012-147]

  • 665 Alexa Fluor® 647

    Alexa Fluor® 647 Anti-CD58 antibody [EPR24012-147]

Key facts

Host species

Rabbit

Clonality

Monoclonal

Clone number

EPR24012-147

Isotype

IgG

Carrier free

No

Reacts with

Human

Applications

WB, IP, Flow Cyt

applications

Immunogen

The exact immunogen used to generate this antibody is proprietary information.

Reactivity data

{ "title": "Reactivity Data", "filters": { "stats": ["", "Species", "Dilution Info", "Notes"], "tabs": { "all-applications": {"fullname" : "All Applications", "shortname": "All Applications"}, "ICCIF" : {"fullname" : "Immunocytochemistry/ Immunofluorescence", "shortname":"ICC/IF"}, "IP" : {"fullname" : "Immunoprecipitation", "shortname":"IP"}, "FlowCyt" : {"fullname" : "Flow Cytometry", "shortname":"Flow Cyt"}, "WB" : {"fullname" : "Western blot", "shortname":"WB"}, "IHCP" : {"fullname" : "Immunohistochemistry (Formalin/PFA-fixed paraffin-embedded sections)", "shortname":"IHC-P"} }, "product-promise": { "all": "all", "testedAndGuaranteed": "tested", "guaranteed": "expected", "predicted": "predicted", "notRecommended": "not-recommended" } }, "values": { "Human": { "ICCIF-species-checked": "notRecommended", "ICCIF-species-dilution-info": "", "ICCIF-species-notes": "<p></p>", "IP-species-checked": "testedAndGuaranteed", "IP-species-dilution-info": "1/30", "IP-species-notes": "<p></p>", "FlowCyt-species-checked": "testedAndGuaranteed", "FlowCyt-species-dilution-info": "1/500", "FlowCyt-species-notes": "<p></p>", "WB-species-checked": "testedAndGuaranteed", "WB-species-dilution-info": "1/1000", "WB-species-notes": "<p></p>", "IHCP-species-checked": "notRecommended", "IHCP-species-dilution-info": "", "IHCP-species-notes": "<p></p>" }, "Mouse": { "ICCIF-species-checked": "notRecommended", "ICCIF-species-dilution-info": "", "ICCIF-species-notes": "", "IP-species-checked": "notRecommended", "IP-species-dilution-info": "", "IP-species-notes": "", "FlowCyt-species-checked": "notRecommended", "FlowCyt-species-dilution-info": "", "FlowCyt-species-notes": "", "WB-species-checked": "notRecommended", "WB-species-dilution-info": "1/1000", "WB-species-notes": "<p></p>", "IHCP-species-checked": "notRecommended", "IHCP-species-dilution-info": "", "IHCP-species-notes": "<p></p>" }, "Rat": { "ICCIF-species-checked": "notRecommended", "ICCIF-species-dilution-info": "", "ICCIF-species-notes": "", "IP-species-checked": "notRecommended", "IP-species-dilution-info": "", "IP-species-notes": "", "FlowCyt-species-checked": "notRecommended", "FlowCyt-species-dilution-info": "", "FlowCyt-species-notes": "", "WB-species-checked": "notRecommended", "WB-species-dilution-info": "1/1000", "WB-species-notes": "<p></p>", "IHCP-species-checked": "notRecommended", "IHCP-species-dilution-info": "", "IHCP-species-notes": "<p></p>" } } }

Product details

Patented technology
Our RabMAb® technology is a patented hybridoma-based technology for making rabbit monoclonal antibodies. For details on our patents, please refer to RabMAb® patents.

What are the advantages of a recombinant monoclonal antibody?
This product is a recombinant monoclonal antibody, which offers several advantages including:

  • - High batch-to-batch consistency and reproducibility
  • - Improved sensitivity and specificity
  • - Long-term security of supply
  • - Animal-free batch production

For more information, read more on recombinant antibodies.

Properties and storage information

Form
Liquid
Purification technique
Affinity purification Protein A
Storage buffer
Preservative: 0.01% Sodium azide Constituents: 59.94% PBS, 40% Glycerol (glycerin, glycerine), 0.05% BSA
Shipped at conditions
Blue Ice
Appropriate short-term storage duration
1-2 weeks
Appropriate short-term storage conditions
+4°C
Appropriate long-term storage conditions
-20°C
Aliquoting information
Upon delivery aliquot
Storage information
Avoid freeze / thaw cycle

Supplementary information

This supplementary information is collated from multiple sources and compiled automatically.

CD58 also known as lymphocyte function-associated antigen 3 (LFA-3) is a glycoprotein with a molecular mass of approximately 60 kDa. It is present on the surface of various cell types including antigen-presenting cells epithelial cells and some other leukocytes. This protein serves as a ligand for CD2 which is expressed on T cells and natural killer cells. Through its interaction with CD2 CD58 mediates cell adhesion and plays a role in immunological synapse formation which is essential for effective immune responses.
Biological function summary

Lymphocyte function-associated antigen 3 acts as a significant participant in the immune system. It plays a role in T cell activation and facilitates interactions between T cells and antigen-presenting cells. CD58 forms part of a complex network of cell surface proteins that enhances immune surveillance and response. Its role highlights its importance in adaptive immunity by promoting cell-to-cell communication and activation.

Pathways

CD58 participates in the cell adhesion pathways. It interacts closely with CD2 which is involved in the activation and signaling of T cells. Through this interaction CD58 plays roles in pathways like T cell receptor signaling and immune response. It enhances cell-cell adhesion helping T cells maintain their position during immune surveillance and activation.

CD58 relates to conditions such as autoimmune diseases and certain cancers. In autoimmune disorders aberrant expression or function of CD58 may contribute to inappropriate immune activation leading to tissue damage. In cancer CD58 alterations can affect tumor immune evasion influencing how the immune system recognizes and attacks cancer cells. In multiple sclerosis an autoimmune disease the interaction between CD58 and CD2 has been studied providing insights into its role in disease mechanisms.

Product protocols

For this product, it's our understanding that no specific protocols are required. You can visit:

Target data

Ligand of the T-lymphocyte CD2 glycoprotein. This interaction is important in mediating thymocyte interactions with thymic epithelial cells, antigen-independent and -dependent interactions of T-lymphocytes with target cells and antigen-presenting cells and the T-lymphocyte rosetting with erythrocytes. In addition, the LFA-3/CD2 interaction may prime response by both the CD2+ and LFA-3+ cells.
See full target information CD58

Product promise

We are committed to supporting your work with high-quality reagents, and we're here for you every step of the way. In the unlikely event that one of our products does not perform as expected, you're protected by our Product Promise.
For full details, please see our Terms & Conditions

Please note: All products are 'FOR RESEARCH USE ONLY. NOT FOR USE IN DIAGNOSTIC OR THERAPEUTIC PROCEDURES'.

For licensing inquiries, please contact partnerships@abcam.com