JavaScript is disabled in your browser. Please enable JavaScript to view this website.
AB248625

Anti-CD59 antibody [EPR6425(2)] - BSA and Azide free

Be the first to review this product! Submit a review

|

(1 Publication)

Rabbit Recombinant Monoclonal CD59 antibody. Carrier free. Suitable for IHC-P, WB and reacts with Human samples. Cited in 1 publication.

View Alternative Names

CD59, MIC11, MIN1, MIN2, MIN3, MSK21, CD59 glycoprotein, 1F5 antigen, 20 kDa homologous restriction factor, MAC-inhibitory protein, MEM43 antigen, Membrane attack complex inhibition factor, Membrane inhibitor of reactive lysis, Protectin, HRF-20, HRF20, MAC-IP, MACIF, MIRL

4 Images
Immunohistochemistry (Formalin/PFA-fixed paraffin-embedded sections) - Anti-CD59 antibody [EPR6425(2)] - BSA and Azide free (AB248625)
  • IHC-P

Unknown

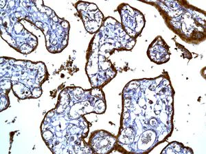
Immunohistochemistry (Formalin/PFA-fixed paraffin-embedded sections) - Anti-CD59 antibody [EPR6425(2)] - BSA and Azide free (AB248625)

This data was developed using ab133707, the same antibody clone in a different buffer formulation.

Immunohistochemical analysis of CD59 in paraffin embedded Human placenta tissue labelled with ab133707 at a 1/100 dilution.

Perform heat mediated antigen retrieval with citrate buffer pH 6 before commencing with IHC staining protocol.

Immunohistochemistry (Formalin/PFA-fixed paraffin-embedded sections) - Anti-CD59 antibody [EPR6425(2)] - BSA and Azide free (AB248625)
  • IHC-P

Unknown

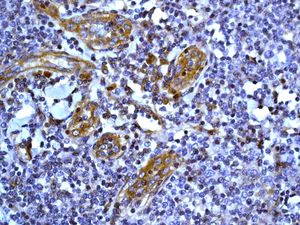
Immunohistochemistry (Formalin/PFA-fixed paraffin-embedded sections) - Anti-CD59 antibody [EPR6425(2)] - BSA and Azide free (AB248625)

This data was developed using ab133707, the same antibody clone in a different buffer formulation.

Immunohistochemical analysis of CD59 in paraffin embedded Human tonsil tissue labelled with ab133707 at a 1/100 dilution.

Perform heat mediated antigen retrieval with citrate buffer pH 6 before commencing with IHC staining protocol.

Western blot - Anti-CD59 antibody [EPR6425(2)] - BSA and Azide free (AB248625)
  • WB

Lab

Western blot - Anti-CD59 antibody [EPR6425(2)] - BSA and Azide free (AB248625)

This data was developed using ab133707, the same antibody clone in a different buffer formulation.

Lane 1 : Wild-type HAP1 whole cell lysate (40 μg)

Lane 2 : CD59 knockout HAP1 whole cell lysate (40 μg)

Lanes 1 - 2 : Merged signal (red and green). Green - ab133707 observed at 14 kDa. Red - loading control, ab9484, observed at 37 kDa.

ab133707 was shown to specifically react with CD59 in wild-type HAP1 cells as signal was lost in CD59 knockout cells. Wild-type and CD59 knockout samples were subjected to SDS-PAGE. ab133707 and ab9484 (Mouse anti-GAPDH loading control) were incubated overnight at 4°C at 1/1000 dilution and 1/20000 dilution respectively. Blots were developed with Goat anti-Rabbit IgG H&L (IRDye® 800CW) preabsorbed ab216773 and Goat anti-Mouse IgG H&L (IRDye® 680RD) preabsorbed ab216776 secondary antibodies at 1/20000 dilution for 1 hour at room temperature before imaging.

All lanes:

Western blot - Anti-CD59 antibody [EPR6425(2)] (<a href='/en-us/products/primary-antibodies/cd59-antibody-epr64252-ab133707'>ab133707</a>)

Predicted band size: 14 kDa

false

Western blot - Anti-CD59 antibody [EPR6425(2)] - BSA and Azide free (AB248625)
  • WB

Unknown

Western blot - Anti-CD59 antibody [EPR6425(2)] - BSA and Azide free (AB248625)

This data was developed using ab133707, the same antibody clone in a different buffer formulation.

All lanes:

Western blot - Anti-CD59 antibody [EPR6425(2)] - BSA and Azide free (ab248625) at 1/1000 dilution

Lane 1:

HUVEC cell lysate at 10 µg

Lane 2:

BxPC-3 cell lysate at 10 µg

Secondary

All lanes:

Goat anti-rabbit HRP conjugated antibody at 1/2000 dilution

Predicted band size: 14 kDa

false

Key facts

Host species

Rabbit

Clonality

Monoclonal

Clone number

EPR6425(2)

Isotype

IgG

Carrier free

Yes

Reacts with

Human

Applications

WB, IHC-P

applications

Immunogen

The exact immunogen used to generate this antibody is proprietary information.

Reactivity data

{ "title": "Reactivity Data", "filters": { "stats": ["", "Species", "Dilution Info", "Notes"], "tabs": { "all-applications": {"fullname" : "All Applications", "shortname": "All Applications"}, "IHCP" : {"fullname" : "Immunohistochemistry (Formalin/PFA-fixed paraffin-embedded sections)", "shortname":"IHC-P"}, "ICCIF" : {"fullname" : "Immunocytochemistry/ Immunofluorescence", "shortname":"ICC/IF"}, "IP" : {"fullname" : "Immunoprecipitation", "shortname":"IP"}, "FlowCyt" : {"fullname" : "Flow Cytometry", "shortname":"Flow Cyt"}, "WB" : {"fullname" : "Western blot", "shortname":"WB"} }, "product-promise": { "all": "all", "testedAndGuaranteed": "tested", "guaranteed": "expected", "predicted": "predicted", "notRecommended": "not-recommended" } }, "values": { "Human": { "IHCP-species-checked": "testedAndGuaranteed", "IHCP-species-dilution-info": "", "IHCP-species-notes": "<p></p>", "ICCIF-species-checked": "notRecommended", "ICCIF-species-dilution-info": "", "ICCIF-species-notes": "<p></p>", "IP-species-checked": "notRecommended", "IP-species-dilution-info": "", "IP-species-notes": "<p></p>", "FlowCyt-species-checked": "notRecommended", "FlowCyt-species-dilution-info": "", "FlowCyt-species-notes": "<p></p>", "WB-species-checked": "testedAndGuaranteed", "WB-species-dilution-info": "", "WB-species-notes": "<p></p>" } } }

Product details

ab248625 is the carrier-free version of ab133707.

Species reactivity
Mouse, Rat: We have preliminary internal testing data to indicate this antibody may not react with these species.
Please contact us for more information.

Patented technology
Our RabMAb® technology is a patented hybridoma-based technology for making rabbit monoclonal antibodies. For details on our patents, please refer to RabMAb® patents.

What are the advantages of a recombinant monoclonal antibody?
This product is a recombinant monoclonal antibody, which offers several advantages including:

  • - High batch-to-batch consistency and reproducibility
  • - Improved sensitivity and specificity
  • - Long-term security of supply
  • - Animal-free batch production

For more information, read more on recombinant antibodies.

Conjugation ready
Our carrier-free antibodies are typically supplied in a PBS-only formulation, purified and free of BSA, sodium azide and glycerol. This conjugation-ready format is designed for use with fluorochromes, metal isotopes, oligonucleotides, and enzymes, which makes them ideal for antibody labelling, functional and cell-based assays, flow-based assays (e.g. mass cytometry) and Multiplex Imaging applications.

Use our conjugation kits for antibody conjugates that are ready-to-use in as little as 20 minutes with 1 minute hands-on-time and 100% antibody recovery: available for fluorescent dyes, HRP, biotin and gold.

Compatibility
This product is compatible with the Maxpar® Antibody Labeling Kit from Fluidigm, without the need for antibody preparation. Maxpar® is a trademark of Fluidigm Canada Inc.

Properties and storage information

Form
Liquid
Purification technique
Affinity purification Protein A
Storage buffer
pH: 7.2 - 7.4 Constituents: PBS
Shipped at conditions
Blue Ice
Appropriate short-term storage conditions
+4°C
Appropriate long-term storage conditions
+4°C
Storage information
Do Not Freeze

Supplementary information

This supplementary information is collated from multiple sources and compiled automatically.

CD59 also known as protectin is a protein with a molecular mass of approximately 18-25 kDa. It is widely expressed on the surface of many human cells including red blood cells and various types of leukocytes. CD59 serves as an inhibitor of the complement membrane attack complex (MAC) preventing cell lysis caused by terminal complement proteins. Through this mechanism it regulates complement activation and maintains cell integrity by halting the formation of MAC.
Biological function summary

One important feature of CD59 is its role as a glycosylphosphatidylinositol (GPI)-anchored protein involved in safeguarding cells from complement-mediated damage. It does not exist within a larger complex but functions at the cell surface to inhibit the assembly of complement components C5b-9 which form the MAC. This ability to inhibit MAC is essential in maintaining self-tissue from unintended damage during immune responses.

Pathways

CD59 participates in the regulation of the complement cascade specifically within the terminal pathway. The complement system serves as a bridge between innate and adaptive immunity contributing to processes like opsonization and cell lysis. CD59's inhibitory action directly impacts pathways that utilize terminal components such as C5b. Effective CD59 function prevents excessive complement activation ensuring that an immune response does not damage host tissues. It links closely with other complement regulatory proteins like CD55 which also mitigate complement cascade activation.

Deficiencies or malfunctions in CD59 have notable implications. Paroxysmal nocturnal hemoglobinuria (PNH) is a disorder where lack of CD59 expression on blood cells leads to their increased destruction due to unregulated complement activity. Furthermore CD59's dysfunction or inadequacy also associates with atypical hemolytic uremic syndrome (aHUS) which involves mutant complement regulatory proteins causing overactivation of the complement system. These associations highlight the importance of CD59 in both maintaining cellular health and preventing pathophysiological conditions related to complement overactivity.

Product protocols

For this product, it's our understanding that no specific protocols are required. You can visit:

Target data

Potent inhibitor of the complement membrane attack complex (MAC) action. Acts by binding to the C8 and/or C9 complements of the assembling MAC, thereby preventing incorporation of the multiple copies of C9 required for complete formation of the osmolytic pore. This inhibitor appears to be species-specific. Involved in signal transduction for T-cell activation complexed to a protein tyrosine kinase.. The soluble form from urine retains its specific complement binding activity, but exhibits greatly reduced ability to inhibit MAC assembly on cell membranes.
See full target information CD59

Publications (1)

Recent publications for all applications. Explore the full list and refine your search

Immunity, inflammation and disease 10:e727 PubMed36301031

2022

Forkhead box M1 recruits FoxP3 Treg cells to induce immune escape in hilar cholangiocarcinoma.

Applications

Unspecified application

Species

Unspecified reactive species

Kai Ma,Zhaowei Sun,Xueliang Li,Jingyun Guo,Qinlei Wang,Mujian Teng
View all publications

Product promise

We are committed to supporting your work with high-quality reagents, and we're here for you every step of the way. In the unlikely event that one of our products does not perform as expected, you're protected by our Product Promise.
For full details, please see our Terms & Conditions

Please note: All products are 'FOR RESEARCH USE ONLY. NOT FOR USE IN DIAGNOSTIC OR THERAPEUTIC PROCEDURES'.

For licensing inquiries, please contact partnerships@abcam.com