JavaScript is disabled in your browser. Please enable JavaScript to view this website.
AB234013

Anti-CD59 antibody [MACIF/629]

Be the first to review this product! Submit a review

|

(0 Publication)

Mouse Monoclonal CD59 antibody. Suitable for IHC-P and reacts with Human samples. Immunogen corresponding to Recombinant Full Length Protein corresponding to Human CD59.

View Alternative Names

CD59, MIC11, MIN1, MIN2, MIN3, MSK21, CD59 glycoprotein, 1F5 antigen, 20 kDa homologous restriction factor, MAC-inhibitory protein, MEM43 antigen, Membrane attack complex inhibition factor, Membrane inhibitor of reactive lysis, Protectin, HRF-20, HRF20, MAC-IP, MACIF, MIRL

2 Images
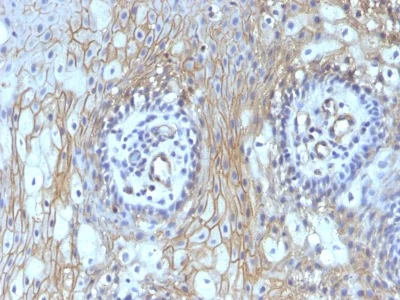
Immunohistochemistry (Formalin/PFA-fixed paraffin-embedded sections) - Anti-CD59 antibody [MACIF/629] (AB234013)
  • IHC-P

Supplier Data

Immunohistochemistry (Formalin/PFA-fixed paraffin-embedded sections) - Anti-CD59 antibody [MACIF/629] (AB234013)

Formalin-fixed, paraffin-embedded human tonsil tissue stained for CD59 using ab234013 at 2 μg/ml in immunohistochemical analysis.

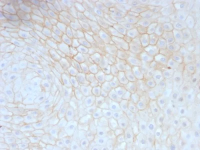
Immunohistochemistry (Formalin/PFA-fixed paraffin-embedded sections) - Anti-CD59 antibody [MACIF/629] (AB234013)
  • IHC-P

Supplier Data

Immunohistochemistry (Formalin/PFA-fixed paraffin-embedded sections) - Anti-CD59 antibody [MACIF/629] (AB234013)

Formalin-fixed, paraffin-embedded human tongue tissue stained for CD59 using ab234013 at 2 μg/ml in immunohistochemical analysis.

Key facts

Host species

Mouse

Clonality

Monoclonal

Clone number

MACIF/629

Isotype

IgG1

Light chain type

kappa

Carrier free

No

Reacts with

Human

Applications

IHC-P

applications

Immunogen

Recombinant Full Length Protein corresponding to Human CD59.

P13987

Reactivity data

{ "title": "Reactivity Data", "filters": { "stats": ["", "Species", "Dilution Info", "Notes"], "tabs": { "all-applications": {"fullname" : "All Applications", "shortname": "All Applications"}, "IHCP" : {"fullname" : "Immunohistochemistry (Formalin/PFA-fixed paraffin-embedded sections)", "shortname":"IHC-P"} }, "product-promise": { "all": "all", "testedAndGuaranteed": "tested", "guaranteed": "expected", "predicted": "predicted", "notRecommended": "not-recommended" } }, "values": { "Human": { "IHCP-species-checked": "testedAndGuaranteed", "IHCP-species-dilution-info": "1-2 µg/mL", "IHCP-species-notes": "<p>Primary incubation for 30 minutes at room temperature.</p> Perform heat-mediated antigen retrieval with citrate buffer pH 6 before commencing with IHC staining protocol." } } }

You may be interested in:

AB263893

Human CD59 ELISA Kit

0

0 Reviews

View product

We recommend this product because it’s often used in the same experiment or related research.

We advise that you always check the datasheet to ensure it fits your experiments, or contact ourtechnical teamfor help.

Properties and storage information

Form
Liquid
Purification technique
Affinity purification Protein G
Purification notes
Purified from Bioreactor Concentrate.
Storage buffer
Preservative: 0.05% Sodium azide Constituents: PBS, 0.05% BSA
Shipped at conditions
Blue Ice
Appropriate short-term storage duration
1-2 weeks
Appropriate short-term storage conditions
+4°C
Appropriate long-term storage conditions
-20°C
Aliquoting information
Upon delivery aliquot
Storage information
Avoid freeze / thaw cycle

Supplementary information

This supplementary information is collated from multiple sources and compiled automatically.

CD59 also known as protectin is a protein with a molecular mass of approximately 18-25 kDa. It is widely expressed on the surface of many human cells including red blood cells and various types of leukocytes. CD59 serves as an inhibitor of the complement membrane attack complex (MAC) preventing cell lysis caused by terminal complement proteins. Through this mechanism it regulates complement activation and maintains cell integrity by halting the formation of MAC.
Biological function summary

One important feature of CD59 is its role as a glycosylphosphatidylinositol (GPI)-anchored protein involved in safeguarding cells from complement-mediated damage. It does not exist within a larger complex but functions at the cell surface to inhibit the assembly of complement components C5b-9 which form the MAC. This ability to inhibit MAC is essential in maintaining self-tissue from unintended damage during immune responses.

Pathways

CD59 participates in the regulation of the complement cascade specifically within the terminal pathway. The complement system serves as a bridge between innate and adaptive immunity contributing to processes like opsonization and cell lysis. CD59's inhibitory action directly impacts pathways that utilize terminal components such as C5b. Effective CD59 function prevents excessive complement activation ensuring that an immune response does not damage host tissues. It links closely with other complement regulatory proteins like CD55 which also mitigate complement cascade activation.

Deficiencies or malfunctions in CD59 have notable implications. Paroxysmal nocturnal hemoglobinuria (PNH) is a disorder where lack of CD59 expression on blood cells leads to their increased destruction due to unregulated complement activity. Furthermore CD59's dysfunction or inadequacy also associates with atypical hemolytic uremic syndrome (aHUS) which involves mutant complement regulatory proteins causing overactivation of the complement system. These associations highlight the importance of CD59 in both maintaining cellular health and preventing pathophysiological conditions related to complement overactivity.

Product protocols

For this product, it's our understanding that no specific protocols are required. You can visit:

Target data

Potent inhibitor of the complement membrane attack complex (MAC) action. Acts by binding to the C8 and/or C9 complements of the assembling MAC, thereby preventing incorporation of the multiple copies of C9 required for complete formation of the osmolytic pore. This inhibitor appears to be species-specific. Involved in signal transduction for T-cell activation complexed to a protein tyrosine kinase.. The soluble form from urine retains its specific complement binding activity, but exhibits greatly reduced ability to inhibit MAC assembly on cell membranes.
See full target information CD59

Product promise

We are committed to supporting your work with high-quality reagents, and we're here for you every step of the way. In the unlikely event that one of our products does not perform as expected, you're protected by our Product Promise.
For full details, please see our Terms & Conditions

Associated Products

Select an associated product type
Alternative Version
Primary Antibodies

AB213087

Anti-CD59 antibody [MACIF/629] - BSA and Azide free

primary-antibodies

cd59-antibody-macif-629-bsa-and-azide-free-ab213087

0

(0 reviews)

Please note: All products are 'FOR RESEARCH USE ONLY. NOT FOR USE IN DIAGNOSTIC OR THERAPEUTIC PROCEDURES'.

For licensing inquiries, please contact partnerships@abcam.com