JavaScript is disabled in your browser. Please enable JavaScript to view this website.
AB79520

Anti-CD59 antibody [p282 (H19)]

4

(3 Reviews)

|

(1 Publication)

Mouse Monoclonal CD59 antibody. Suitable for IHC-P, Flow Cyt and reacts with Human, Baboon samples. Cited in 1 publication. Immunogen corresponding to Full Length Protein corresponding to Human CD59.

View Alternative Names

CD59, MIC11, MIN1, MIN2, MIN3, MSK21, CD59 glycoprotein, 1F5 antigen, 20 kDa homologous restriction factor, MAC-inhibitory protein, MEM43 antigen, Membrane attack complex inhibition factor, Membrane inhibitor of reactive lysis, Protectin, HRF-20, HRF20, MAC-IP, MACIF, MIRL

2 Images
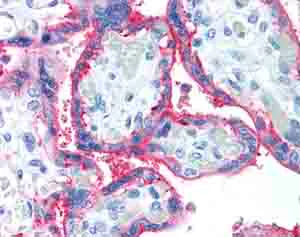
Immunohistochemistry (Formalin/PFA-fixed paraffin-embedded sections) - Anti-CD59 antibody [p282 (H19)] (AB79520)
  • IHC-P

Unknown

Immunohistochemistry (Formalin/PFA-fixed paraffin-embedded sections) - Anti-CD59 antibody [p282 (H19)] (AB79520)

Paraffin embedded human placenta tissue stained for CD59 using ab79520 at 10 μg/ml in immunohistochemical analysis.

Flow Cytometry - Anti-CD59 antibody [p282 (H19)] (AB79520)
  • Flow Cyt

Unknown

Flow Cytometry - Anti-CD59 antibody [p282 (H19)] (AB79520)

Overlay histogram showing Jurkat cells stained with ab79520 (red line). The cells were fixed with 4% paraformaldehyde (10 min) and then permeabilized with 0.1% PBS-Tween for 20 min. The cells were then incubated in 1x PBS / 10% normal goat serum / 0.3M glycine to block non-specific protein-protein interactions followed by the antibody (ab79520, 0.5μg/1x106 cells) for 30 min at 22°C. The secondary antibody used was DyLight® 488 goat anti-mouse IgG (H+L) (ab96879) at 1/500 dilution for 30 min at 22°C. Isotype control antibody (black line) was mouse IgG2a [ICIGG2A] (ab91361, 1μg/1x106 cells) used under the same conditions. Acquisition of >5,000 events was performed. This antibody gave a positive signal in Jurkat cells fixed with 80% methanol (5 min)/permeabilized with 0.1% PBS-Tween for 20 min used under the same conditions.

Key facts

Host species

Mouse

Clonality

Monoclonal

Clone number

p282 (H19)

Isotype

IgG2a

Light chain type

kappa

Carrier free

No

Reacts with

Human, Baboon

Applications

IHC-P, Flow Cyt

applications

Immunogen

Full Length Protein corresponding to Human CD59. The exact immunogen used to generate this antibody is proprietary information.

P13987

Reactivity data

{ "title": "Reactivity Data", "filters": { "stats": ["", "Species", "Dilution Info", "Notes"], "tabs": { "all-applications": {"fullname" : "All Applications", "shortname": "All Applications"}, "IHCP" : {"fullname" : "Immunohistochemistry (Formalin/PFA-fixed paraffin-embedded sections)", "shortname":"IHC-P"}, "FlowCyt" : {"fullname" : "Flow Cytometry", "shortname":"Flow Cyt"} }, "product-promise": { "all": "all", "testedAndGuaranteed": "tested", "guaranteed": "expected", "predicted": "predicted", "notRecommended": "not-recommended" } }, "values": { "Human": { "IHCP-species-checked": "testedAndGuaranteed", "IHCP-species-dilution-info": "10 µg/mL", "IHCP-species-notes": "<p></p>", "FlowCyt-species-checked": "testedAndGuaranteed", "FlowCyt-species-dilution-info": "2 µg for 10^6 Cells", "FlowCyt-species-notes": "<p><a href='/en-us/products/primary-antibodies/mouse-igg2c-kappa-monoclonal-18c8bc7ad10-isotype-control-ab170191'>ab170191</a> - Mouse monoclonal IgG2a, is suitable for use as an isotype control with this antibody.</p>" }, "Baboon": { "IHCP-species-checked": "guaranteed", "IHCP-species-dilution-info": "10 µg/mL", "IHCP-species-notes": "<p></p>", "FlowCyt-species-checked": "guaranteed", "FlowCyt-species-dilution-info": "2 µg for 10^6 Cells", "FlowCyt-species-notes": "<p><a href='/en-us/products/primary-antibodies/mouse-igg2c-kappa-monoclonal-18c8bc7ad10-isotype-control-ab170191'>ab170191</a> - Mouse monoclonal IgG2a, is suitable for use as an isotype control with this antibody.</p>" } } }

Properties and storage information

Form
Liquid
Purification technique
Affinity purification Protein A
Storage buffer
pH: 7.2 Preservative: 0.09% Sodium azide Constituents: PBS
Shipped at conditions
Blue Ice
Appropriate short-term storage duration
1-2 weeks
Appropriate short-term storage conditions
+4°C
Appropriate long-term storage conditions
-20°C
Storage information
Avoid freeze / thaw cycle

Supplementary information

This supplementary information is collated from multiple sources and compiled automatically.

CD59 also known as protectin is a protein with a molecular mass of approximately 18-25 kDa. It is widely expressed on the surface of many human cells including red blood cells and various types of leukocytes. CD59 serves as an inhibitor of the complement membrane attack complex (MAC) preventing cell lysis caused by terminal complement proteins. Through this mechanism it regulates complement activation and maintains cell integrity by halting the formation of MAC.
Biological function summary

One important feature of CD59 is its role as a glycosylphosphatidylinositol (GPI)-anchored protein involved in safeguarding cells from complement-mediated damage. It does not exist within a larger complex but functions at the cell surface to inhibit the assembly of complement components C5b-9 which form the MAC. This ability to inhibit MAC is essential in maintaining self-tissue from unintended damage during immune responses.

Pathways

CD59 participates in the regulation of the complement cascade specifically within the terminal pathway. The complement system serves as a bridge between innate and adaptive immunity contributing to processes like opsonization and cell lysis. CD59's inhibitory action directly impacts pathways that utilize terminal components such as C5b. Effective CD59 function prevents excessive complement activation ensuring that an immune response does not damage host tissues. It links closely with other complement regulatory proteins like CD55 which also mitigate complement cascade activation.

Deficiencies or malfunctions in CD59 have notable implications. Paroxysmal nocturnal hemoglobinuria (PNH) is a disorder where lack of CD59 expression on blood cells leads to their increased destruction due to unregulated complement activity. Furthermore CD59's dysfunction or inadequacy also associates with atypical hemolytic uremic syndrome (aHUS) which involves mutant complement regulatory proteins causing overactivation of the complement system. These associations highlight the importance of CD59 in both maintaining cellular health and preventing pathophysiological conditions related to complement overactivity.

Product protocols

For this product, it's our understanding that no specific protocols are required. You can visit:

Target data

Potent inhibitor of the complement membrane attack complex (MAC) action. Acts by binding to the C8 and/or C9 complements of the assembling MAC, thereby preventing incorporation of the multiple copies of C9 required for complete formation of the osmolytic pore. This inhibitor appears to be species-specific. Involved in signal transduction for T-cell activation complexed to a protein tyrosine kinase.. The soluble form from urine retains its specific complement binding activity, but exhibits greatly reduced ability to inhibit MAC assembly on cell membranes.
See full target information CD59

Publications (1)

Recent publications for all applications. Explore the full list and refine your search

The Journal of general virology 98:2725-2730 PubMed29068273

2017

CD59 association with infectious bronchitis virus particles protects against antibody-dependent complement-mediated lysis.

Applications

Unspecified application

Species

Unspecified reactive species

Yanquan Wei,Yanhong Ji,Huichen Guo,Xiaoying Zhi,Shichong Han,Yun Zhang,Yuan Gao,Yanyan Chang,Dan Yan,Kangyu Li,Ding Xiang Liu,Shiqi Sun
View all publications

Product promise

We are committed to supporting your work with high-quality reagents, and we're here for you every step of the way. In the unlikely event that one of our products does not perform as expected, you're protected by our Product Promise.
For full details, please see our Terms & Conditions

Please note: All products are 'FOR RESEARCH USE ONLY. NOT FOR USE IN DIAGNOSTIC OR THERAPEUTIC PROCEDURES'.

For licensing inquiries, please contact partnerships@abcam.com