JavaScript is disabled in your browser. Please enable JavaScript to view this website.
AB45406

Anti-CD5L/CT-2 antibody

Be the first to review this product! Submit a review

|

(1 Publication)

Rabbit Polyclonal CD5L/CT-2 antibody. Suitable for WB, IHC-P and reacts with Human samples. Cited in 1 publication. Immunogen corresponding to Synthetic Peptide within Human CD5L.

View Alternative Names

API6, UNQ203/PRO229, CD5L, CD5 antigen-like, Apoptosis inhibitor expressed by macrophages, CT-2, IgM-associated peptide, SP-alpha, hAIM

2 Images
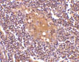
Immunohistochemistry (Formalin/PFA-fixed paraffin-embedded sections) - Anti-CD5L/CT-2 antibody (AB45406)
  • IHC-P

Unknown

Immunohistochemistry (Formalin/PFA-fixed paraffin-embedded sections) - Anti-CD5L/CT-2 antibody (AB45406)

ab45406 at 10μg/ml staining CD5L/CT-2 in human lymph nodes by IHC

Western blot - Anti-CD5L/CT-2 antibody (AB45406)
  • WB

Unknown

Western blot - Anti-CD5L/CT-2 antibody (AB45406)

Lane 1:

Western blot - Anti-CD5L/CT-2 antibody (ab45406) at 0.5 µg/mL

Lane 2:

Western blot - Anti-CD5L/CT-2 antibody (ab45406) at 1 µg/mL

Lane 3:

Western blot - Anti-CD5L/CT-2 antibody (ab45406) at 2 µg/mL

All lanes:

Raji cell lysate at 15 µg

Secondary

All lanes:

anti-rabbit HRP

Predicted band size: 38 kDa

Observed band size: 40 kDa

false

Key facts

Host species

Rabbit

Clonality

Polyclonal

Isotype

IgG

Carrier free

No

Reacts with

Human

Applications

IHC-P, WB

applications

Immunogen

Synthetic Peptide within Human CD5L. The exact immunogen used to generate this antibody is proprietary information.

O43866

Specificity

This antibody is specific for CD5L / CT-2.

Reactivity data

{ "title": "Reactivity Data", "filters": { "stats": ["", "Species", "Dilution Info", "Notes"], "tabs": { "all-applications": {"fullname" : "All Applications", "shortname": "All Applications"}, "WB" : {"fullname" : "Western blot", "shortname":"WB"}, "IHCP" : {"fullname" : "Immunohistochemistry (Formalin/PFA-fixed paraffin-embedded sections)", "shortname":"IHC-P"} }, "product-promise": { "all": "all", "testedAndGuaranteed": "tested", "guaranteed": "expected", "predicted": "predicted", "notRecommended": "not-recommended" } }, "values": { "Human": { "WB-species-checked": "testedAndGuaranteed", "WB-species-dilution-info": "0.5-1 µg/mL", "WB-species-notes": "<p></p>", "IHCP-species-checked": "testedAndGuaranteed", "IHCP-species-dilution-info": "10 µg/mL", "IHCP-species-notes": "<p></p>" } } }

Properties and storage information

Form
Liquid
Purification technique
Affinity purification Immunogen
Storage buffer
pH: 7.2 Preservative: 0.02% Sodium azide Constituents: PBS
Shipped at conditions
Blue Ice
Appropriate short-term storage conditions
+4°C
Appropriate long-term storage conditions
+4°C

Supplementary information

This supplementary information is collated from multiple sources and compiled automatically.

CD5L also known as CT-2 or CD5 antigen-like is a secreted glycoprotein with a molecular mass of approximately 50 kDa. This protein expresses mainly in liver and to a lesser extent in spleen lymph nodes and other immune-related tissues. The CD5L protein acts as a scavenger receptor cysteine-rich (SRCR) superfamily member which participates in pathogen recognition and clearance. Researchers often measure CD5L levels using CD5L ELISA kits providing quantitative analysis of this biomarker in various biological samples.
Biological function summary

CD5L influences several immune processes modulating macrophage function and lipid metabolism. It plays a role within a complex system transforming macrophages into an anti-inflammatory phenotype. This helps the clearance of apoptotic cells and prevents tissue damage during inflammation. CD5L also impacts cholesterol homeostasis contributing to lipid clearance and influencing foam cell formation which serves a significant role in atherosclerosis development.

Pathways

This protein integrates into the lipid metabolism pathway and the immune regulation pathway. Within the lipid metabolism pathway interaction with proteins such as apolipoprotein AI demonstrates its role in controlling cholesterol and triglyceride levels. In the immune regulation pathway CD5L collaborates with other immune-related proteins including CD36 and TLR2 to regulate immune response and inflammation affecting macrophage activation and phagocytosis.

CD5L associates with atherosclerosis and systemic lupus erythematosus (SLE). Researchers link elevated CD5L levels with atherosclerosis due to its ability to drive macrophage transformation into foam cells linking it with cardiovascular diseases. In systemic lupus erythematosus CD5L interacts with protein serum amyloid A (SAA) exacerbating the inflammatory processes associated with autoimmune disorders. Understanding CD5L's role may provide insights for developing therapeutic strategies for these conditions.

Product protocols

For this product, it's our understanding that no specific protocols are required. You can visit:

Target data

Secreted protein that acts as a key regulator of lipid synthesis : mainly expressed by macrophages in lymphoid and inflamed tissues and regulates mechanisms in inflammatory responses, such as infection or atherosclerosis. Able to inhibit lipid droplet size in adipocytes. Following incorporation into mature adipocytes via CD36-mediated endocytosis, associates with cytosolic FASN, inhibiting fatty acid synthase activity and leading to lipolysis, the degradation of triacylglycerols into glycerol and free fatty acids (FFA). CD5L-induced lipolysis occurs with progression of obesity : participates in obesity-associated inflammation following recruitment of inflammatory macrophages into adipose tissues, a cause of insulin resistance and obesity-related metabolic disease. Regulation of intracellular lipids mediated by CD5L has a direct effect on transcription regulation mediated by nuclear receptors ROR-gamma (RORC). Acts as a key regulator of metabolic switch in T-helper Th17 cells. Regulates the expression of pro-inflammatory genes in Th17 cells by altering the lipid content and limiting synthesis of cholesterol ligand of RORC, the master transcription factor of Th17-cell differentiation. CD5L is mainly present in non-pathogenic Th17 cells, where it decreases the content of polyunsaturated fatty acyls (PUFA), affecting two metabolic proteins MSMO1 and CYP51A1, which synthesize ligands of RORC, limiting RORC activity and expression of pro-inflammatory genes. Participates in obesity-associated autoimmunity via its association with IgM, interfering with the binding of IgM to Fcalpha/mu receptor and enhancing the development of long-lived plasma cells that produce high-affinity IgG autoantibodies (By similarity). Also acts as an inhibitor of apoptosis in macrophages : promotes macrophage survival from the apoptotic effects of oxidized lipids in case of atherosclerosis (PubMed : 24295828). Involved in early response to microbial infection against various pathogens by acting as a pattern recognition receptor and by promoting autophagy (PubMed : 16030018, PubMed : 24223991, PubMed : 24583716, PubMed : 25713983).
See full target information CD5L

Publications (1)

Recent publications for all applications. Explore the full list and refine your search

Nature 642:508-518 PubMed40240608

2025

Perturbing LSD1 and WNT rewires transcription to synergistically induce AML differentiation.

Applications

Unspecified application

Species

Unspecified reactive species

Amir Hosseini,Abhinav Dhall,Nemo Ikonen,Natalia Sikora,Sylvain Nguyen,Yuqi Shen,Maria Luisa Jurgensen Amaral,Alan Jiao,Felice Wallner,Philipp Sergeev,Yuhua Lim,Yuanqin Yang,Binje Vick,Kimihito Cojin Kawabata,Ari Melnick,Paresh Vyas,Bing Ren,Irmela Jeremias,Bethan Psaila,Caroline A Heckman,M Andrés Blanco,Yang Shi
View all publications

Product promise

We are committed to supporting your work with high-quality reagents, and we're here for you every step of the way. In the unlikely event that one of our products does not perform as expected, you're protected by our Product Promise.
For full details, please see our Terms & Conditions

Please note: All products are 'FOR RESEARCH USE ONLY. NOT FOR USE IN DIAGNOSTIC OR THERAPEUTIC PROCEDURES'.

For licensing inquiries, please contact partnerships@abcam.com