JavaScript is disabled in your browser. Please enable JavaScript to view this website.
AB45408

Anti-CD5L/CT-2 antibody

Be the first to review this product! Submit a review

|

(18 Publications)

Anti-CD5L/CT-2 antibody (ab45408) is a rabbit polyclonal antibody detecting CD5L/CT-2 in Western Blot, IHC-P, ICC/IF. Suitable for Human, Mouse.

- Over 10 publications
- Trusted since 2006

View Alternative Names

API6, UNQ203/PRO229, CD5L, CD5 antigen-like, Apoptosis inhibitor expressed by macrophages, CT-2, IgM-associated peptide, SP-alpha, hAIM

3 Images
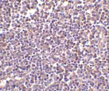
Immunohistochemistry (Formalin/PFA-fixed paraffin-embedded sections) - Anti-CD5L/CT-2 antibody (AB45408)
  • IHC-P

Unknown

Immunohistochemistry (Formalin/PFA-fixed paraffin-embedded sections) - Anti-CD5L/CT-2 antibody (AB45408)

ab45408 at 2μg/ml staining CD5L/CT-2 in human lymph node tissue by IHC

Immunocytochemistry/ Immunofluorescence - Anti-CD5L/CT-2 antibody (AB45408)
  • ICC/IF

Unknown

Immunocytochemistry/ Immunofluorescence - Anti-CD5L/CT-2 antibody (AB45408)

Immunofluorescence of AIM in Human Lymph Node cells using ab45408 at 20 ug/ml.

Western blot - Anti-CD5L/CT-2 antibody (AB45408)
  • WB

Unknown

Western blot - Anti-CD5L/CT-2 antibody (AB45408)

Lane 1:

Western blot - Anti-CD5L/CT-2 antibody (ab45408) at 1 µg/mL

Lane 2:

Western blot - Anti-CD5L/CT-2 antibody (ab45408) at 2 µg/mL

Lane 3:

Western blot - Anti-CD5L/CT-2 antibody (ab45408) at 4 µg/mL

All lanes:

human lymph node tissue lysate

Predicted band size: 38 kDa

Observed band size: 46 kDa

false

Key facts

Host species

Rabbit

Clonality

Polyclonal

Isotype

IgG

Carrier free

No

Reacts with

Human, Mouse

Applications

ICC/IF, IHC-P, WB

applications

Immunogen

The exact immunogen used to generate this antibody is proprietary information.

Reactivity data

{ "title": "Reactivity Data", "filters": { "stats": ["", "Species", "Dilution Info", "Notes"], "tabs": { "all-applications": {"fullname" : "All Applications", "shortname": "All Applications"}, "WB" : {"fullname" : "Western blot", "shortname":"WB"}, "IHCP" : {"fullname" : "Immunohistochemistry (Formalin/PFA-fixed paraffin-embedded sections)", "shortname":"IHC-P"}, "ICCIF" : {"fullname" : "Immunocytochemistry/ Immunofluorescence", "shortname":"ICC/IF"} }, "product-promise": { "all": "all", "testedAndGuaranteed": "tested", "guaranteed": "expected", "predicted": "predicted", "notRecommended": "not-recommended" } }, "values": { "Human": { "WB-species-checked": "testedAndGuaranteed", "WB-species-dilution-info": "1-2 µg/mL", "WB-species-notes": "<p></p>", "IHCP-species-checked": "testedAndGuaranteed", "IHCP-species-dilution-info": "2 µg/mL", "IHCP-species-notes": "<p></p>", "ICCIF-species-checked": "testedAndGuaranteed", "ICCIF-species-dilution-info": "20 µg/mL", "ICCIF-species-notes": "<p></p>" }, "Mouse": { "WB-species-checked": "guaranteed", "WB-species-dilution-info": "1-2 µg/mL", "WB-species-notes": "<p></p>", "IHCP-species-checked": "guaranteed", "IHCP-species-dilution-info": "2 µg/mL", "IHCP-species-notes": "<p></p>", "ICCIF-species-checked": "guaranteed", "ICCIF-species-dilution-info": "20 µg/mL", "ICCIF-species-notes": "<p></p>" } } }

Product details

What is this antibody validated in?
Anti-CD5L/CT-2 antibody (ab45408) is a rabbit polyclonal antibody and is validated for use in Western Blot (WB), Immunohistochemistry (IHC-P), Immunocytochemistry/immunofluorescence (ICC/IF) in Human, Mouse samples.

What is the molecular weight of CD5L/CT-2?
Anti-CD5L/CT-2 (ab45408) specifically detects a band for CD5L/CT-2 (UniProt: O43866) at a molecular weight of 38kDa.

Trusted by the scientific community
Anti-CD5L/CT-2 (ab45408) was first used in a scientific publication in 2006 and has been cited over 10 times in peer-reviewed journals.

Properties and storage information

Form
Liquid
Purification technique
Affinity purification Immunogen
Storage buffer
pH: 7.2 Preservative: 0.02% Sodium azide Constituents: PBS
Shipped at conditions
Blue Ice
Appropriate short-term storage conditions
+4°C
Appropriate long-term storage conditions
+4°C

Supplementary information

This supplementary information is collated from multiple sources and compiled automatically.

CD5L also known as CT-2 or CD5 antigen-like is a secreted glycoprotein with a molecular mass of approximately 50 kDa. This protein expresses mainly in liver and to a lesser extent in spleen lymph nodes and other immune-related tissues. The CD5L protein acts as a scavenger receptor cysteine-rich (SRCR) superfamily member which participates in pathogen recognition and clearance. Researchers often measure CD5L levels using CD5L ELISA kits providing quantitative analysis of this biomarker in various biological samples.
Biological function summary

CD5L influences several immune processes modulating macrophage function and lipid metabolism. It plays a role within a complex system transforming macrophages into an anti-inflammatory phenotype. This helps the clearance of apoptotic cells and prevents tissue damage during inflammation. CD5L also impacts cholesterol homeostasis contributing to lipid clearance and influencing foam cell formation which serves a significant role in atherosclerosis development.

Pathways

This protein integrates into the lipid metabolism pathway and the immune regulation pathway. Within the lipid metabolism pathway interaction with proteins such as apolipoprotein AI demonstrates its role in controlling cholesterol and triglyceride levels. In the immune regulation pathway CD5L collaborates with other immune-related proteins including CD36 and TLR2 to regulate immune response and inflammation affecting macrophage activation and phagocytosis.

CD5L associates with atherosclerosis and systemic lupus erythematosus (SLE). Researchers link elevated CD5L levels with atherosclerosis due to its ability to drive macrophage transformation into foam cells linking it with cardiovascular diseases. In systemic lupus erythematosus CD5L interacts with protein serum amyloid A (SAA) exacerbating the inflammatory processes associated with autoimmune disorders. Understanding CD5L's role may provide insights for developing therapeutic strategies for these conditions.

Product protocols

For this product, it's our understanding that no specific protocols are required. You can visit:

Target data

Secreted protein that acts as a key regulator of lipid synthesis : mainly expressed by macrophages in lymphoid and inflamed tissues and regulates mechanisms in inflammatory responses, such as infection or atherosclerosis. Able to inhibit lipid droplet size in adipocytes. Following incorporation into mature adipocytes via CD36-mediated endocytosis, associates with cytosolic FASN, inhibiting fatty acid synthase activity and leading to lipolysis, the degradation of triacylglycerols into glycerol and free fatty acids (FFA). CD5L-induced lipolysis occurs with progression of obesity : participates in obesity-associated inflammation following recruitment of inflammatory macrophages into adipose tissues, a cause of insulin resistance and obesity-related metabolic disease. Regulation of intracellular lipids mediated by CD5L has a direct effect on transcription regulation mediated by nuclear receptors ROR-gamma (RORC). Acts as a key regulator of metabolic switch in T-helper Th17 cells. Regulates the expression of pro-inflammatory genes in Th17 cells by altering the lipid content and limiting synthesis of cholesterol ligand of RORC, the master transcription factor of Th17-cell differentiation. CD5L is mainly present in non-pathogenic Th17 cells, where it decreases the content of polyunsaturated fatty acyls (PUFA), affecting two metabolic proteins MSMO1 and CYP51A1, which synthesize ligands of RORC, limiting RORC activity and expression of pro-inflammatory genes. Participates in obesity-associated autoimmunity via its association with IgM, interfering with the binding of IgM to Fcalpha/mu receptor and enhancing the development of long-lived plasma cells that produce high-affinity IgG autoantibodies (By similarity). Also acts as an inhibitor of apoptosis in macrophages : promotes macrophage survival from the apoptotic effects of oxidized lipids in case of atherosclerosis (PubMed : 24295828). Involved in early response to microbial infection against various pathogens by acting as a pattern recognition receptor and by promoting autophagy (PubMed : 16030018, PubMed : 24223991, PubMed : 24583716, PubMed : 25713983).
See full target information CD5L

Publications (18)

Recent publications for all applications. Explore the full list and refine your search

Journal of cell communication and signaling 19:e70048 PubMed41040887

2025

Targeting the PI3K/Akt/NF-κB axis: Cluster of differentiation 5-like-mediated immunometabolic regulation of macrophage polarization in abdominal aortic aneurysm.

Applications

Unspecified application

Species

Unspecified reactive species

Hemoren Yi,Nan Liu,Zhengyang Wu,Lei Li,Tingting Li,Qixiang Liu,Man Duan,Taihu Wan

International journal of molecular sciences 26: PubMed40565155

2025

Proteomic Profiling Identifies MARCO in Extracellular Vesicles, as a Potential Biomarker for Leishmaniasis in HIV Co-Infection.

Applications

Unspecified application

Species

Unspecified reactive species

Inês Costa,Ana Isabel Pinto,Sofia Esteves,Cátia Caldas,Hugo Osório,Nuno Santarém,Carmen Fernandez-Becerra,Anabela Cordeiro-da-Silva

Nature cardiovascular research 3:356-371 PubMed39196121

2024

Kupffer cells dictate hepatic responses to the atherogenic dyslipidemic insult.

Applications

Unspecified application

Species

Unspecified reactive species

Giada Di Nunzio,Sanna Hellberg,Yuyang Zhang,Osman Ahmed,Jiawen Wang,Xueming Zhang,Hanna M Björck,Veronika Chizh,Ruby Schipper,Hanna Aulin,Roy Francis,Linn Fagerberg,Anton Gisterå,Jari Metso,Valentina Manfé,Anders Franco-Cereceda,Per Eriksson,Matti Jauhiainen,Carolina E Hagberg,Peder S Olofsson,Stephen G Malin

BMC cancer 23:549 PubMed37322434

2023

Characterization and clinical verification of immune-related genes in hepatocellular carcinoma to aid prognosis evaluation and immunotherapy.

Applications

Unspecified application

Species

Unspecified reactive species

Jialin Qu,Fenghao Sun,Yichen Hou,Haoran Qi,Xiaorong Sun,Ligang Xing

International journal of molecular sciences 24: PubMed36982564

2023

Characterization and Proteomic Analysis of Plasma EVs Recovered from Healthy and Diseased Dogs with Canine Leishmaniosis.

Applications

Unspecified application

Species

Unspecified reactive species

Sofia Esteves,Clara Lima,Inês Costa,Hugo Osório,Carmen Fernandez-Becerra,Nuno Santarém,Anabela Cordeiro-da-Silva

Chinese medical journal 136:556-564 PubMed36939243

2023

Role of CD5 molecular-like on hepatocellular carcinoma.

Applications

Unspecified application

Species

Unspecified reactive species

Zhaowei Gao,Xianan Wu,Lan Yang,Chong Liu,Xi Wang,Huiping Wang,Ke Dong

Molecular & cellular proteomics : MCP 21:100406 PubMed36030044

2022

Mass Spectrometry Identification of Biomarkers in Extracellular Vesicles From Plasmodium vivax Liver Hypnozoite Infections.

Applications

Unspecified application

Species

Unspecified reactive species

Melisa Gualdrón-López,Miriam Díaz-Varela,Gigliola Zanghi,Iris Aparici-Herraiz,Ryan W J Steel,Carola Schäfer,Pol Cuscó,Vorada Chuenchob,Niwat Kangwangransan,Zachary P Billman,Tayla M Olsen,Juan R González,Wanlapa Roobsoong,Jetsumon Sattabongkot,Sean C Murphy,Sebastian A Mikolajczak,Eva Borràs,Eduard Sabidó,Carmen Fernandez-Becerra,Erika L Flannery,Stefan H I Kappe,Hernando A Del Portillo

Scientific reports 12:13344 PubMed35922474

2022

Extracellular vesicles derived from GMSCs stimulated with TNF-α and IFN-α promote M2 macrophage polarization via enhanced CD73 and CD5L expression.

Applications

Unspecified application

Species

Unspecified reactive species

Yukari Watanabe,Takao Fukuda,Chikako Hayashi,Yuki Nakao,Masaaki Toyoda,Kentaro Kawakami,Takanori Shinjo,Misaki Iwashita,Hiroaki Yamato,Karen Yotsumoto,Takaharu Taketomi,Takeshi Uchiumi,Terukazu Sanui,Fusanori Nishimura

Frontiers in cell and developmental biology 10:812244 PubMed35652104

2022

Validation of Effective Extracellular Vesicles Isolation Methods Adapted to Field Studies in Malaria Endemic Regions.

Applications

Unspecified application

Species

Unspecified reactive species

Matteo Zoia,Bibin Yesodha Subramanian,Klara Kristin Eriksson,Meera Sruthi Ravi,Shekoofeh Yaghmaei,Isabelle Fellay,Brigitte Scolari,Michael Walch,Pierre-Yves Mantel

Frontiers in endocrinology 12:830691 PubMed35185790

2022

Proteomic Analysis of the Alterations in Follicular Fluid Proteins During Oocyte Maturation in Humans.

Applications

Unspecified application

Species

Unspecified reactive species

Chong Wang,Xiaoyang Fei,Hongyan Zhang,Wenjing Zhou,Zhaojun Cheng,Ying Feng
View all publications

Product promise

We are committed to supporting your work with high-quality reagents, and we're here for you every step of the way. In the unlikely event that one of our products does not perform as expected, you're protected by our Product Promise.
For full details, please see our Terms & Conditions

Please note: All products are 'FOR RESEARCH USE ONLY. NOT FOR USE IN DIAGNOSTIC OR THERAPEUTIC PROCEDURES'.

For licensing inquiries, please contact partnerships@abcam.com