JavaScript is disabled in your browser. Please enable JavaScript to view this website.
AB323268

Anti-CD5L/CT-2 antibody [EPR29363-540]

  • BOND RX™ Validated
  • Recombinant
  • 20ul selling size
  • RabMAb
  • Advanced Validation
  • What is this?

Be the first to review this product! Submit a review

|

(0 Publication)

Rabbit Recombinant Monoclonal CD5L/CT-2 antibody. Suitable for mIHC, IHC-P, WB and reacts with Human samples.

View Alternative Names

API6, UNQ203/PRO229, CD5L, CD5 antigen-like, Apoptosis inhibitor expressed by macrophages, CT-2, IgM-associated peptide, SP-alpha, hAIM

10 Images
Immunohistochemistry (Formalin/PFA-fixed paraffin-embedded sections) - Anti-CD5L/CT-2 antibody [EPR29363-540] (AB323268)
  • IHC-P

Supplier Data

Immunohistochemistry (Formalin/PFA-fixed paraffin-embedded sections) - Anti-CD5L/CT-2 antibody [EPR29363-540] (AB323268)

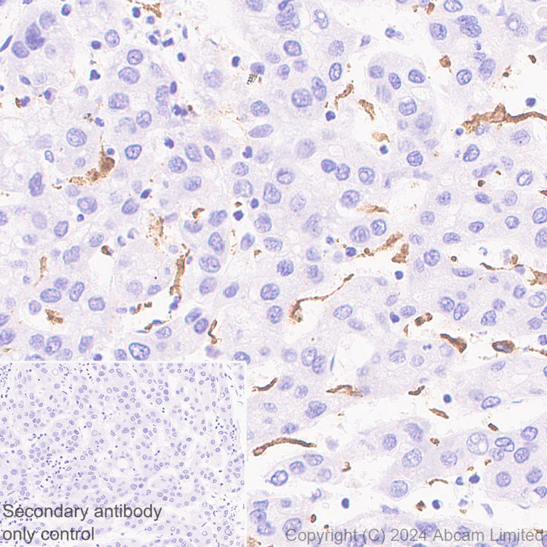
Immunohistochemical analysis of paraffin-embedded Human liver tissue labeling CD5L/CT-2 with ab323268 at 1/2000 (0.246 ug/ml) dilution, followed by a ready to use LeicaDS9800 (Bond™ Polymer Refine Detection).

Positive staining on kupffer cells of human liver. The section was incubated with ab323268 for 30 mins at room temperature.
The immunostaining was performed on a Leica Biosystems BOND® RX instrument. Incubate slides with 3% Hydrogen Peroxide for 10 mins at room temperature after secondary antibody incubation to reduce the background.

Counterstained with Hematoxylin.

Secondary antibody only control : Secondary antibody is a ready to use LeicaDS9800 (Bond™ Polymer Refine Detection).

Heat mediated antigen retrieval was performed with Tris-EDTA buffer (pH 9.0, Epitope Retrieval Solution2) for 20 mins

Multiplex immunohistochemistry - Anti-CD5L/CT-2 antibody [EPR29363-540] (AB323268)
  • mIHC

Lab

Multiplex immunohistochemistry - Anti-CD5L/CT-2 antibody [EPR29363-540] (AB323268)

Multiplex immunohistochemistry analysis of formalin/PFA-fixed paraffin-embedded human liver cancer tissue staining CD5L with ab323268 at a 1/2000 dilution (0.246 μg/ml) and CD68 with ab213363 at 1/500 dilution (1.26 μg/ml), followed by a ready to use secondary antibody Opal Polymer HRP Ms + Rb.

Panel A : merged staining of anti-CD5L (green; Opal™520) and anti-CD68 (magenta; Opal™690) on human liver cancer.
Panel B : anti-CD5L staining Kupffer cells in human liver cancer.
Panel C : anti-CD68 staining Kupffer cells in human liver cancer.
Panel D : Nuclear DNA was labeled with DAPI (shown in blue).

The section was incubated in three rounds of staining : in the order of ab323268 and ab213363 for 30 mins at room temperature. Each round was followed by a separate fluorescent tyramide signal amplification system.

Heat mediated antigen retrieval with Tris-EDTA buffer (pH 9.0, epitope retrieval solution2) for 20 mins.

Multiplex immunohistochemistry - Anti-CD5L/CT-2 antibody [EPR29363-540] (AB323268)
  • mIHC

Lab

Multiplex immunohistochemistry - Anti-CD5L/CT-2 antibody [EPR29363-540] (AB323268)

Multiplex immunohistochemistry analysis of formalin/PFA-fixed paraffin-embedded human spleen tissue staining CD5L with ab323268 at a 1/2000 dilution (0.246 μg/ml) and CD68 with ab213363 at 1/500 dilution (1.26 μg/ml), followed by a ready to use secondary antibody Opal Polymer HRP Ms + Rb.

Panel A : merged staining of anti-CD5L (green; Opal™520) and anti-CD68 (magenta; Opal™690) on human spleen.
Panel B : anti-CD5L staining Kupffer cells in human spleen.
Panel C : anti-CD68 staining Kupffer cells in human spleen.
Panel D : Nuclear DNA was labeled with DAPI (shown in blue).

The section was incubated in three rounds of staining : in the order of ab323268 and ab213363 for 30 mins at room temperature. Each round was followed by a separate fluorescent tyramide signal amplification system.

Heat mediated antigen retrieval with Tris-EDTA buffer (pH 9.0, epitope retrieval solution2) for 20 mins.

Multiplex immunohistochemistry - Anti-CD5L/CT-2 antibody [EPR29363-540] (AB323268)
  • mIHC

Lab

Multiplex immunohistochemistry - Anti-CD5L/CT-2 antibody [EPR29363-540] (AB323268)

Multiplex immunohistochemistry analysis of formalin/PFA-fixed paraffin-embedded human liver tissue staining CD5L with ab323268 at a 1/2000 dilution (0.246 μg/ml) and CD68 with ab213363 at 1/500 dilution (1.26 μg/ml), followed by a ready to use secondary antibody Opal Polymer HRP Ms + Rb.

Panel A : merged staining of anti-CD5L (green; Opal™520) and anti-CD68 (magenta; Opal™690) on human liver.
Panel B : anti-CD5L staining Kupffer cells in human liver.
Panel C : anti-CD68 staining Kupffer cells in human liver.
Panel D : Nuclear DNA was labeled with DAPI (shown in blue).

The section was incubated in three rounds of staining : in the order of ab323268 and ab213363 for 30 mins at room temperature. Each round was followed by a separate fluorescent tyramide signal amplification system.

Heat mediated antigen retrieval with Tris-EDTA buffer (pH 9.0, epitope retrieval solution2) for 20 mins.

Immunohistochemistry (Formalin/PFA-fixed paraffin-embedded sections) - Anti-CD5L/CT-2 antibody [EPR29363-540] (AB323268)
  • IHC-P

Supplier Data

Immunohistochemistry (Formalin/PFA-fixed paraffin-embedded sections) - Anti-CD5L/CT-2 antibody [EPR29363-540] (AB323268)

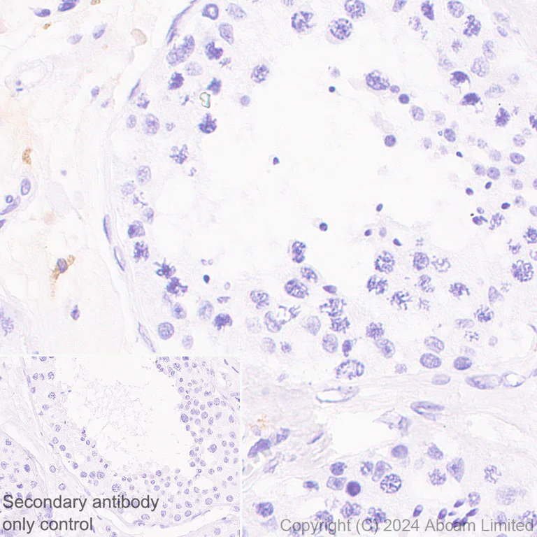
Immunohistochemical analysis of paraffin-embedded Human testis tissue labeling CD5L/CT-2 with ab323268 at 1/2000 (0.246 ug/ml) dilution, followed by a ready to use LeicaDS9800 (Bond™ Polymer Refine Detection).

Low expression : weak staining on some scattered cells in human testis. The section was incubated with ab323268 for 30 mins at room temperature.
The immunostaining was performed on a Leica Biosystems BOND® RX instrument. Incubate slides with 3% Hydrogen Peroxide for 10 mins at room temperature after secondary antibody incubation to reduce the background.

Counterstained with Hematoxylin.

Secondary antibody only control : Secondary antibody is a ready to use LeicaDS9800 (Bond™ Polymer Refine Detection).

Heat mediated antigen retrieval was performed with Tris-EDTA buffer (pH 9.0, Epitope Retrieval Solution2) for 20 mins

Immunohistochemistry (Formalin/PFA-fixed paraffin-embedded sections) - Anti-CD5L/CT-2 antibody [EPR29363-540] (AB323268)
  • IHC-P

Supplier Data

Immunohistochemistry (Formalin/PFA-fixed paraffin-embedded sections) - Anti-CD5L/CT-2 antibody [EPR29363-540] (AB323268)

Immunohistochemical analysis of paraffin-embedded Human skeletal muscle tissue labeling CD5L/CT-2 with ab323268 at 1/2000 (0.246 ug/ml) dilution, followed by a ready to use LeicaDS9800 (Bond™ Polymer Refine Detection).

Low expression : no staining on human skeletal muscle. The section was incubated with ab323268 for 30 mins at room temperature.
The immunostaining was performed on a Leica Biosystems BOND® RX instrument. Incubate slides with 3% Hydrogen Peroxide for 10 mins at room temperature after secondary antibody incubation to reduce the background.

Secondary antibody only control : Secondary antibody is a ready to use LeicaDS9800 (Bond™ Polymer Refine Detection).

Immunohistochemistry (Formalin/PFA-fixed paraffin-embedded sections) - Anti-CD5L/CT-2 antibody [EPR29363-540] (AB323268)
  • IHC-P

Supplier Data

Immunohistochemistry (Formalin/PFA-fixed paraffin-embedded sections) - Anti-CD5L/CT-2 antibody [EPR29363-540] (AB323268)

Immunohistochemical analysis of paraffin-embedded Human spleen tissue labeling CD5L/CT-2 with ab323268 at 1/2000 (0.246 ug/ml) dilution, followed by a ready to use LeicaDS9800 (Bond™ Polymer Refine Detection).

Positive staining on human spleen. The section was incubated with ab323268 for 30 mins at room temperature.
The immunostaining was performed on a Leica Biosystems BOND® RX instrument. Incubate slides with 3% Hydrogen Peroxide for 10 mins at room temperature after secondary antibody incubation to reduce the background.

Counterstained with Hematoxylin.

Secondary antibody only control : Secondary antibody is a ready to use LeicaDS9800 (Bond™ Polymer Refine Detection).

Heat mediated antigen retrieval was performed with Tris-EDTA buffer (pH 9.0, Epitope Retrieval Solution2) for 20 mins

Immunohistochemistry (Formalin/PFA-fixed paraffin-embedded sections) - Anti-CD5L/CT-2 antibody [EPR29363-540] (AB323268)
  • IHC-P

Supplier Data

Immunohistochemistry (Formalin/PFA-fixed paraffin-embedded sections) - Anti-CD5L/CT-2 antibody [EPR29363-540] (AB323268)

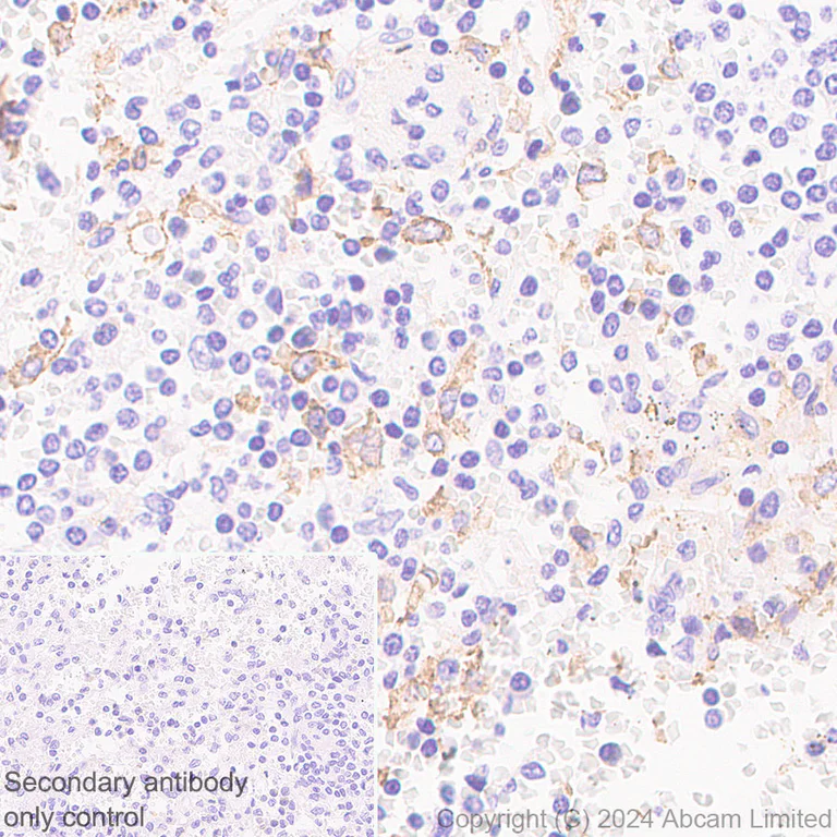
Immunohistochemical analysis of paraffin-embedded Hepatocellular carcinoma tissue labeling CD5L/CT-2 with ab323268 at 1/2000 (0.246 ug/ml) dilution, followed by a ready to use LeicaDS9800 (Bond™ Polymer Refine Detection).

Positive staining on immune cells of hepatocellular carcinoma. The section was incubated with ab323268 for 30 mins at room temperature.
The immunostaining was performed on a Leica Biosystems BOND® RX instrument. Incubate slides with 3% Hydrogen Peroxide for 10 mins at room temperature after secondary antibody incubation to reduce the background.

Counterstained with Hematoxylin.

Secondary antibody only control : Secondary antibody is a ready to use LeicaDS9800 (Bond™ Polymer Refine Detection).

Heat mediated antigen retrieval was performed with Tris-EDTA buffer (pH 9.0, Epitope Retrieval Solution2) for 20 mins

Western blot - Anti-CD5L/CT-2 antibody [EPR29363-540] (AB323268)
  • WB

Supplier Data

Western blot - Anti-CD5L/CT-2 antibody [EPR29363-540] (AB323268)

Blocking and diluting buffer and concentration : 5% NFDM/TBST.

Low expression : testis (PMID : 10651944)

In Western blot, Anti-GAPDH antibody [EPR16891] - Loading Control (ab181602) staining at 1/200000 dilution.

All lanes:

Western blot - Anti-CD5L/CT-2 antibody [EPR29363-540] (ab323268) at 1/1000 dilution

Lane 1:

Human lung tissue lysate at 40 µg

Lane 2:

Human plasma lysate at 40 µg

Lane 3:

Human testis tissue lysate at 40 µg

Secondary

All lanes:

Goat Anti-Rabbit IgG (HRP) with minimal cross-reactivity with human IgG at 1/2000 dilution

Observed band size: 38 kDa,36 kDa

false

Exposure time: 1s

Western blot - Anti-CD5L/CT-2 antibody [EPR29363-540] (AB323268)
  • WB

Supplier Data

Western blot - Anti-CD5L/CT-2 antibody [EPR29363-540] (AB323268)

Blocking and diluting buffer and concentration : 5% NFDM/TBST.

Low expression : cerebellum, skeletal muscle (PMID : 10651944)

In Western blot, Anti-GAPDH antibody [EPR16891] - Loading Control (ab181602) staining at 1/200000 dilution.

All lanes:

Western blot - Anti-CD5L/CT-2 antibody [EPR29363-540] (ab323268) at 1/1000 dilution

Lane 1:

Human cerebellum tissue lysate at 20 µg

Lane 2:

Human liver tissue lysate at 20 µg

Lane 3:

Human skeletal muscle tissue lysate at 20 µg

Lane 4:

Human spleen tissue lysate at 20 µg

Secondary

All lanes:

Goat Anti-Rabbit IgG (HRP) with minimal cross-reactivity with human IgG at 1/2000 dilution

Observed band size: 38 kDa,36 kDa

false

Exposure time: 6s

Key facts

Host species

Rabbit

Clonality

Monoclonal

Clone number

EPR29363-540

Isotype

IgG

Carrier free

No

Reacts with

Human

Applications

mIHC, WB, IHC-P

applications

Immunogen

The exact immunogen used to generate this antibody is proprietary information.

Reactivity data

{ "title": "Reactivity Data", "filters": { "stats": ["", "Species", "Dilution Info", "Notes"], "tabs": { "all-applications": {"fullname" : "All Applications", "shortname": "All Applications"}, "mIHC" : {"fullname" : "Multiplex immunohistochemistry", "shortname":"mIHC"}, "IHCP" : {"fullname" : "Immunohistochemistry (Formalin/PFA-fixed paraffin-embedded sections)", "shortname":"IHC-P"}, "WB" : {"fullname" : "Western blot", "shortname":"WB"}, "FlowCyt" : {"fullname" : "Flow Cytometry", "shortname":"Flow Cyt"} }, "product-promise": { "all": "all", "testedAndGuaranteed": "tested", "guaranteed": "expected", "predicted": "predicted", "notRecommended": "not-recommended" } }, "values": { "Human": { "mIHC-species-checked": "testedAndGuaranteed", "mIHC-species-dilution-info": "1/2000", "mIHC-species-notes": "<p></p> Perform heat-mediated antigen retrieval with Tris/EDTA buffer pH 9.0 before commencing with IHC staining protocol.", "IHCP-species-checked": "testedAndGuaranteed", "IHCP-species-dilution-info": "1/2000", "IHCP-species-notes": "<p></p> Perform heat-mediated antigen retrieval with Tris/EDTA buffer pH 9.0 before commencing with IHC staining protocol.", "WB-species-checked": "testedAndGuaranteed", "WB-species-dilution-info": "1/1000", "WB-species-notes": "<p></p>", "FlowCyt-species-checked": "notRecommended", "FlowCyt-species-dilution-info": "", "FlowCyt-species-notes": "<p></p>" } } }

Product details

Patented technology
Our RabMAb® technology is a patented hybridoma-based technology for making rabbit monoclonal antibodies. For details on our patents, please refer to RabMAb® patents.

What are the advantages of a recombinant monoclonal antibody?
This product is a recombinant monoclonal antibody, which offers several advantages including:

  • - High batch-to-batch consistency and reproducibility
  • - Improved sensitivity and specificity
  • - Long-term security of supply
  • - Animal-free batch production

For more information, read more on recombinant antibodies.

Properties and storage information

Form
Liquid
Purification technique
Affinity purification Protein A
Storage buffer
pH: 7.2 - 7.4 Preservative: 0.01% Sodium azide Constituents: PBS, 40% Glycerol (glycerin, glycerine), 0.05% BSA
Shipped at conditions
Blue Ice
Appropriate short-term storage duration
1-2 weeks
Appropriate short-term storage conditions
+4°C
Appropriate long-term storage conditions
-20°C
Aliquoting information
Upon delivery aliquot
Storage information
Avoid freeze / thaw cycle

Product protocols

For this product, it's our understanding that no specific protocols are required. You can visit:

Target data

Secreted protein that acts as a key regulator of lipid synthesis : mainly expressed by macrophages in lymphoid and inflamed tissues and regulates mechanisms in inflammatory responses, such as infection or atherosclerosis. Able to inhibit lipid droplet size in adipocytes. Following incorporation into mature adipocytes via CD36-mediated endocytosis, associates with cytosolic FASN, inhibiting fatty acid synthase activity and leading to lipolysis, the degradation of triacylglycerols into glycerol and free fatty acids (FFA). CD5L-induced lipolysis occurs with progression of obesity : participates in obesity-associated inflammation following recruitment of inflammatory macrophages into adipose tissues, a cause of insulin resistance and obesity-related metabolic disease. Regulation of intracellular lipids mediated by CD5L has a direct effect on transcription regulation mediated by nuclear receptors ROR-gamma (RORC). Acts as a key regulator of metabolic switch in T-helper Th17 cells. Regulates the expression of pro-inflammatory genes in Th17 cells by altering the lipid content and limiting synthesis of cholesterol ligand of RORC, the master transcription factor of Th17-cell differentiation. CD5L is mainly present in non-pathogenic Th17 cells, where it decreases the content of polyunsaturated fatty acyls (PUFA), affecting two metabolic proteins MSMO1 and CYP51A1, which synthesize ligands of RORC, limiting RORC activity and expression of pro-inflammatory genes. Participates in obesity-associated autoimmunity via its association with IgM, interfering with the binding of IgM to Fcalpha/mu receptor and enhancing the development of long-lived plasma cells that produce high-affinity IgG autoantibodies (By similarity). Also acts as an inhibitor of apoptosis in macrophages : promotes macrophage survival from the apoptotic effects of oxidized lipids in case of atherosclerosis (PubMed : 24295828). Involved in early response to microbial infection against various pathogens by acting as a pattern recognition receptor and by promoting autophagy (PubMed : 16030018, PubMed : 24223991, PubMed : 24583716, PubMed : 25713983).
See full target information CD5L

Product promise

We are committed to supporting your work with high-quality reagents, and we're here for you every step of the way. In the unlikely event that one of our products does not perform as expected, you're protected by our Product Promise.
For full details, please see our Terms & Conditions

Please note: All products are 'FOR RESEARCH USE ONLY. NOT FOR USE IN DIAGNOSTIC OR THERAPEUTIC PROCEDURES'.

For licensing inquiries, please contact partnerships@abcam.com