JavaScript is disabled in your browser. Please enable JavaScript to view this website.
AB193341

Anti-CD6/T12 antibody [3F7B5]

Be the first to review this product! Submit a review

|

(1 Publication)

Mouse Monoclonal CD6/T12 antibody. Suitable for IHC-P, ICC, Flow Cyt and reacts with Human samples. Cited in 1 publication. Immunogen corresponding to Cell preparation containing T-cell differentiation antigen CD6 protein.

View Alternative Names

CD6, T-cell differentiation antigen CD6, T12, TP120

4 Images
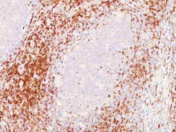
Immunohistochemistry (Formalin/PFA-fixed paraffin-embedded sections) - Anti-CD6/T12 antibody [3F7B5] (AB193341)
  • IHC-P

Supplier Data

Immunohistochemistry (Formalin/PFA-fixed paraffin-embedded sections) - Anti-CD6/T12 antibody [3F7B5] (AB193341)

Immunohistochemical analysis of formalin fixed paraffin embedded human tonsil labeling CD6/T12 with ab193341 at 0.5 μg/mL.

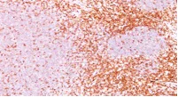
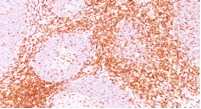
Immunohistochemistry (Formalin/PFA-fixed paraffin-embedded sections) - Anti-CD6/T12 antibody [3F7B5] (AB193341)
  • IHC-P

Supplier Data

Immunohistochemistry (Formalin/PFA-fixed paraffin-embedded sections) - Anti-CD6/T12 antibody [3F7B5] (AB193341)

Immunohistochemical analysis of formalin fixed paraffin embedded human tonsil labeling CD6/T12 with ab193341 at 0.5 μg/mL.

Flow Cytometry - Anti-CD6/T12 antibody [3F7B5] (AB193341)
  • Flow Cyt

Unknown

Flow Cytometry - Anti-CD6/T12 antibody [3F7B5] (AB193341)

Flow Cytometry analysis of MOLT-4 cells labelling Cd6 with ab193341 followed by a goat anti-Mouse IgG-CF488 (blue); isotype control (red)

Immunocytochemistry - Anti-CD6/T12 antibody [3F7B5] (AB193341)
  • ICC

Unknown

Immunocytochemistry - Anti-CD6/T12 antibody [3F7B5] (AB193341)

Immunofluorescence staining of MOLT-4 cells using ab193341 followed by goat anti-Mouse IgG conjugated to CF488 (green). Nuclei are stained with Reddot.

Key facts

Host species

Mouse

Clonality

Monoclonal

Clone number

3F7B5

Isotype

IgG1

Light chain type

kappa

Carrier free

No

Reacts with

Human

Applications

ICC, IHC-P, Flow Cyt

applications

Immunogen

Cell preparation containing T-cell differentiation antigen CD6 protein. The exact immunogen used to generate this antibody is proprietary information.

P30203

Reactivity data

{ "title": "Reactivity Data", "filters": { "stats": ["", "Species", "Dilution Info", "Notes"], "tabs": { "all-applications": {"fullname" : "All Applications", "shortname": "All Applications"}, "IHCP" : {"fullname" : "Immunohistochemistry (Formalin/PFA-fixed paraffin-embedded sections)", "shortname":"IHC-P"}, "ICC" : {"fullname" : "Immunocytochemistry", "shortname":"ICC"}, "FlowCyt" : {"fullname" : "Flow Cytometry", "shortname":"Flow Cyt"} }, "product-promise": { "all": "all", "testedAndGuaranteed": "tested", "guaranteed": "expected", "predicted": "predicted", "notRecommended": "not-recommended" } }, "values": { "Human": { "IHCP-species-checked": "testedAndGuaranteed", "IHCP-species-dilution-info": "1-2 µg/mL", "IHCP-species-notes": "<p></p> Perform heat-mediated antigen retrieval with citrate buffer pH 6 before commencing with IHC staining protocol.", "ICC-species-checked": "testedAndGuaranteed", "ICC-species-dilution-info": "1-2 µg/mL", "ICC-species-notes": "<p></p>", "FlowCyt-species-checked": "testedAndGuaranteed", "FlowCyt-species-dilution-info": "1-2 µg for 10^6 Cells", "FlowCyt-species-notes": "<p></p>" } } }

Properties and storage information

Form
Liquid
Purification technique
Affinity purification Protein G
Storage buffer
pH: 7.2 - 7.4 Preservative: 0.05% Sodium azide Constituents: PBS, 0.05% BSA
Shipped at conditions
Blue Ice
Appropriate short-term storage duration
1-2 weeks
Appropriate short-term storage conditions
+4°C
Appropriate long-term storage conditions
-20°C
Aliquoting information
Upon delivery aliquot
Storage information
Avoid freeze / thaw cycle

Supplementary information

This supplementary information is collated from multiple sources and compiled automatically.

CD6 also known as T12 is a glycoprotein expressed on T cells and some subsets of B cells. The protein has a molecular mass of approximately 105-130 kDa. CD6 is primarily located on the surface of thymocytes mature T lymphocytes and on some B cell lines. It plays an important role in the immunological synapse serving as a receptor that aids in cell-to-cell communication during immune responses. The CD6 protein is also detectable in immune tissues including the spleen and lymph nodes.
Biological function summary

CD6 functions involve T cell maturation and proliferation. The protein is part of the lymphocyte activation complex contributing to the modulation of T cell receptor (TCR) signaling. It interacts with other cell surface proteins such as CD3 and CD28 to influence the response of T cells to antigens. CD6 potentially modulates the threshold for T cell activation favoring the adjustment of immune responses to various antigens.

Pathways

CD6 participates in the signaling pathways that regulate adaptive immune responses. It is involved in the T cell receptor (TCR) signaling pathway essential for T cell activation and differentiation. CD6 interacts with proteins like LCK and ZAP-70 which are pivotal for the TCR signaling cascade. Additionally CD6's role in immune synapse formation connects it to the modulation of cytokine production and immune cell communication.

CD6 associates with autoimmune diseases and multiple sclerosis. The protein's involvement in T cell activation and immune regulation makes it a candidate for studies targeting autoimmune pathologies. Autoimmune disorders such as rheumatoid arthritis have shown links with CD6's activity as its deregulation can lead to inappropriate immune responses. Additionally CD6's interaction with proteins like CD166 has implications in the pathogenesis of these disorders indicating a potential target for therapeutic interventions.

Product protocols

For this product, it's our understanding that no specific protocols are required. You can visit:

Target data

Cell adhesion molecule that mediates cell-cell contacts and regulates T-cell responses via its interaction with ALCAM/CD166 (PubMed : 15048703, PubMed : 15294938, PubMed : 16352806, PubMed : 16914752, PubMed : 24584089, PubMed : 24945728). Contributes to signaling cascades triggered by activation of the TCR/CD3 complex (PubMed : 24584089). Functions as a costimulatory molecule; promotes T-cell activation and proliferation (PubMed : 15294938, PubMed : 16352806, PubMed : 16914752). Contributes to the formation and maturation of the immunological synapse (PubMed : 15294938, PubMed : 16352806). Functions as a calcium-dependent pattern receptor that binds and aggregates both Gram-positive and Gram-negative bacteria. Binds both lipopolysaccharide (LPS) from Gram-negative bacteria and lipoteichoic acid from Gram-positive bacteria (PubMed : 17601777). LPS binding leads to the activation of signaling cascades and down-stream MAP kinases (PubMed : 17601777). Mediates activation of the inflammatory response and the secretion of pro-inflammatory cytokines in response to LPS (PubMed : 17601777).
See full target information T-cell differentiation antigen CD6

Publications (1)

Recent publications for all applications. Explore the full list and refine your search

PloS one 10:e0140499 PubMed26460738

2015

Differential Regulation of Gene and Protein Expression by Zinc Oxide Nanoparticles in Hen's Ovarian Granulosa Cells: Specific Roles of Nanoparticles.

Applications

Unspecified application

Species

Unspecified reactive species

Yong Zhao,Lan Li,Peng-Fei Zhang,Wei Shen,Jing Liu,Fen-Fang Yang,Hong-Bo Liu,Zhi-Hui Hao
View all publications

Product promise

We are committed to supporting your work with high-quality reagents, and we're here for you every step of the way. In the unlikely event that one of our products does not perform as expected, you're protected by our Product Promise.
For full details, please see our Terms & Conditions

Please note: All products are 'FOR RESEARCH USE ONLY. NOT FOR USE IN DIAGNOSTIC OR THERAPEUTIC PROCEDURES'.

For licensing inquiries, please contact partnerships@abcam.com