JavaScript is disabled in your browser. Please enable JavaScript to view this website.
AB213007

Anti-CD6/T12 antibody [3F7B5] - BSA and Azide free

Be the first to review this product! Submit a review

|

(1 Publication)

Mouse Monoclonal CD6/T12 antibody. Carrier free. Suitable for IHC-P, ICC, Flow Cyt and reacts with Human samples. Cited in 1 publication. Immunogen corresponding to Cell preparation containing T-cell differentiation antigen CD6 protein.

View Alternative Names

CD6, T-cell differentiation antigen CD6, T12, TP120

4 Images
Immunohistochemistry (Formalin/PFA-fixed paraffin-embedded sections) - Anti-CD6/T12 antibody [3F7B5] - BSA and Azide free (AB213007)
  • IHC-P

Supplier Data

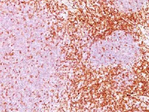
Immunohistochemistry (Formalin/PFA-fixed paraffin-embedded sections) - Anti-CD6/T12 antibody [3F7B5] - BSA and Azide free (AB213007)

Immunohistochemical analysis of formalix-fixed, paraffin-embedded Human tonsil tissue, labeling CD6/T12 using ab213007 at 1 μg/mL.

Immunocytochemistry - Anti-CD6/T12 antibody [3F7B5] - BSA and Azide free (AB213007)
  • ICC

Unknown

Immunocytochemistry - Anti-CD6/T12 antibody [3F7B5] - BSA and Azide free (AB213007)

Immunofluorescence staining of MOLT-4 cells labeling CD6/T12 with ab213007 followed by goat anti-Mouse IgG conjugated to CF488 (green). Nuclei are stained with Reddot.

Immunohistochemistry (Formalin/PFA-fixed paraffin-embedded sections) - Anti-CD6/T12 antibody [3F7B5] - BSA and Azide free (AB213007)
  • IHC-P

Supplier Data

Immunohistochemistry (Formalin/PFA-fixed paraffin-embedded sections) - Anti-CD6/T12 antibody [3F7B5] - BSA and Azide free (AB213007)

Immunohistochemical analysis of formalix-fixed, paraffin-embedded Human tonsil tissue, labeling CD6/T12 using ab213007 at 1 μg/mL.

Flow Cytometry - Anti-CD6/T12 antibody [3F7B5] - BSA and Azide free (AB213007)
  • Flow Cyt

Unknown

Flow Cytometry - Anti-CD6/T12 antibody [3F7B5] - BSA and Azide free (AB213007)

This image was produced using ab193341, the same clone but in a different formulation. Flow Cytometric analysis of MOLT-4 (human lymphoblastic leukemia cell line) cells staining CD6/T12 using ab213007 at 2ug/million cells, followed by goat anti-Mouse IgG-CF488 (Blue); Isotype control (Red).

Key facts

Host species

Mouse

Clonality

Monoclonal

Clone number

3F7B5

Isotype

IgG1

Carrier free

Yes

Reacts with

Human

Applications

IHC-P, ICC, Flow Cyt

applications

Immunogen

Cell preparation containing T-cell differentiation antigen CD6 protein. The exact immunogen used to generate this antibody is proprietary information.

P30203

Reactivity data

{ "title": "Reactivity Data", "filters": { "stats": ["", "Species", "Dilution Info", "Notes"], "tabs": { "all-applications": {"fullname" : "All Applications", "shortname": "All Applications"}, "IHCP" : {"fullname" : "Immunohistochemistry (Formalin/PFA-fixed paraffin-embedded sections)", "shortname":"IHC-P"}, "ICC" : {"fullname" : "Immunocytochemistry", "shortname":"ICC"}, "FlowCyt" : {"fullname" : "Flow Cytometry", "shortname":"Flow Cyt"} }, "product-promise": { "all": "all", "testedAndGuaranteed": "tested", "guaranteed": "expected", "predicted": "predicted", "notRecommended": "not-recommended" } }, "values": { "Human": { "IHCP-species-checked": "testedAndGuaranteed", "IHCP-species-dilution-info": "1-2 µg/mL", "IHCP-species-notes": "<p>Primary incubation for 30 minutes at room temperature.</p>", "ICC-species-checked": "testedAndGuaranteed", "ICC-species-dilution-info": "1-2 µg/mL", "ICC-species-notes": "<p></p>", "FlowCyt-species-checked": "testedAndGuaranteed", "FlowCyt-species-dilution-info": "1-2 µg for 10^6 Cells", "FlowCyt-species-notes": "<p></p>" } } }

Properties and storage information

Form
Liquid
Purification technique
Affinity purification Protein G
Purification notes
ab213007 was purified from Bioreactor Concentrate by Protein A/G.
Storage buffer
pH: 7.2 - 7.4 Constituents: PBS
Shipped at conditions
Blue Ice
Appropriate short-term storage duration
1-2 weeks
Appropriate short-term storage conditions
+4°C
Appropriate long-term storage conditions
-20°C
Aliquoting information
Upon delivery aliquot
Storage information
Avoid freeze / thaw cycle

Supplementary information

This supplementary information is collated from multiple sources and compiled automatically.

CD6 also known as T12 is a glycoprotein expressed on T cells and some subsets of B cells. The protein has a molecular mass of approximately 105-130 kDa. CD6 is primarily located on the surface of thymocytes mature T lymphocytes and on some B cell lines. It plays an important role in the immunological synapse serving as a receptor that aids in cell-to-cell communication during immune responses. The CD6 protein is also detectable in immune tissues including the spleen and lymph nodes.
Biological function summary

CD6 functions involve T cell maturation and proliferation. The protein is part of the lymphocyte activation complex contributing to the modulation of T cell receptor (TCR) signaling. It interacts with other cell surface proteins such as CD3 and CD28 to influence the response of T cells to antigens. CD6 potentially modulates the threshold for T cell activation favoring the adjustment of immune responses to various antigens.

Pathways

CD6 participates in the signaling pathways that regulate adaptive immune responses. It is involved in the T cell receptor (TCR) signaling pathway essential for T cell activation and differentiation. CD6 interacts with proteins like LCK and ZAP-70 which are pivotal for the TCR signaling cascade. Additionally CD6's role in immune synapse formation connects it to the modulation of cytokine production and immune cell communication.

CD6 associates with autoimmune diseases and multiple sclerosis. The protein's involvement in T cell activation and immune regulation makes it a candidate for studies targeting autoimmune pathologies. Autoimmune disorders such as rheumatoid arthritis have shown links with CD6's activity as its deregulation can lead to inappropriate immune responses. Additionally CD6's interaction with proteins like CD166 has implications in the pathogenesis of these disorders indicating a potential target for therapeutic interventions.

Product protocols

For this product, it's our understanding that no specific protocols are required. You can visit:

Target data

Cell adhesion molecule that mediates cell-cell contacts and regulates T-cell responses via its interaction with ALCAM/CD166 (PubMed : 15048703, PubMed : 15294938, PubMed : 16352806, PubMed : 16914752, PubMed : 24584089, PubMed : 24945728). Contributes to signaling cascades triggered by activation of the TCR/CD3 complex (PubMed : 24584089). Functions as a costimulatory molecule; promotes T-cell activation and proliferation (PubMed : 15294938, PubMed : 16352806, PubMed : 16914752). Contributes to the formation and maturation of the immunological synapse (PubMed : 15294938, PubMed : 16352806). Functions as a calcium-dependent pattern receptor that binds and aggregates both Gram-positive and Gram-negative bacteria. Binds both lipopolysaccharide (LPS) from Gram-negative bacteria and lipoteichoic acid from Gram-positive bacteria (PubMed : 17601777). LPS binding leads to the activation of signaling cascades and down-stream MAP kinases (PubMed : 17601777). Mediates activation of the inflammatory response and the secretion of pro-inflammatory cytokines in response to LPS (PubMed : 17601777).
See full target information T-cell differentiation antigen CD6

Publications (1)

Recent publications for all applications. Explore the full list and refine your search

Cell reports methods 3:100595 PubMed37741277

2023

Dual-modality imaging of immunofluorescence and imaging mass cytometry for whole-slide imaging and accurate segmentation.

Applications

Unspecified application

Species

Unspecified reactive species

Eun Na Kim,Phyllis Zixuan Chen,Dario Bressan,Monika Tripathi,Ahmad Miremadi,Massimiliano di Pietro,Lisa M Coussens,Gregory J Hannon,Rebecca C Fitzgerald,Lizhe Zhuang,Young Hwan Chang
View all publications

Product promise

We are committed to supporting your work with high-quality reagents, and we're here for you every step of the way. In the unlikely event that one of our products does not perform as expected, you're protected by our Product Promise.
For full details, please see our Terms & Conditions

Please note: All products are 'FOR RESEARCH USE ONLY. NOT FOR USE IN DIAGNOSTIC OR THERAPEUTIC PROCEDURES'.

For licensing inquiries, please contact partnerships@abcam.com