JavaScript is disabled in your browser. Please enable JavaScript to view this website.
AB109217

Anti-CD6/T12 antibody [EPR4057]

Be the first to review this product! Submit a review

|

(4 Publications)

Rabbit Recombinant Monoclonal CD6/T12 antibody. Suitable for IHC-P, IP, WB, ICC/IF, Flow Cyt (Intra) and reacts with Human samples. Cited in 4 publications.

View Alternative Names

CD6, T-cell differentiation antigen CD6, T12, TP120

12 Images
Flow Cytometry (Intracellular) - Anti-CD6/T12 antibody [EPR4057] (AB109217)
  • Flow Cyt (Intra)

Unknown

Flow Cytometry (Intracellular) - Anti-CD6/T12 antibody [EPR4057] (AB109217)

Intracellular Flow Cytometry analysis of HuT-78 (Human Sezary syndrome cutaneous T lymphocyte) cells, labeling CD6/T12 with Purified ab109217 at 1/20 dilution (10μg/ml) (Red). Cells were fixed with 4% Paraformaldehyde and permeabilised with 90% Methanol. A Goat anti rabbit IgG (Alexa Fluorr® 488, ab150077) secondary antibody was used at 1/2000. Isotype control - Rabbit monoclonal IgG (Black). Unlabeled control - Cell without incubation with primary antibody and secondary antibody (Blue).

Immunohistochemistry (Formalin/PFA-fixed paraffin-embedded sections) - Anti-CD6/T12 antibody [EPR4057] (AB109217)
  • IHC-P

Unknown

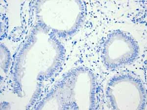
Immunohistochemistry (Formalin/PFA-fixed paraffin-embedded sections) - Anti-CD6/T12 antibody [EPR4057] (AB109217)

Unpurified ab109217 showing negative staining in Normal uterus tissue.

Perform heat mediated antigen retrieval with citrate buffer pH 6 before commencing with IHC staining protocol.

Immunohistochemistry (Formalin/PFA-fixed paraffin-embedded sections) - Anti-CD6/T12 antibody [EPR4057] (AB109217)
  • IHC-P

Unknown

Immunohistochemistry (Formalin/PFA-fixed paraffin-embedded sections) - Anti-CD6/T12 antibody [EPR4057] (AB109217)

Unpurified ab109217, at a 1/100 dilution, staining CD6/T12 in paraffin embedded Human lymphocytes infiltrating colon tissue by Immunohistochemistry.

Perform heat mediated antigen retrieval with citrate buffer pH 6 before commencing with IHC staining protocol.

Immunocytochemistry/ Immunofluorescence - Anti-CD6/T12 antibody [EPR4057] (AB109217)
  • ICC/IF

Unknown

Immunocytochemistry/ Immunofluorescence - Anti-CD6/T12 antibody [EPR4057] (AB109217)

Immunocytochemistry/Immunofluorescence analysis of Human PBMC (Human primary peripheral blood mononuclear cell) cells labeling CD6/T12 with Purified ab109217 at 1 : 50 dilution (2.3 μg/ml). Cells were fixed in 4% Paraformaldehyde and permeabilized with 0.1% tritonX-100. Cells were counterstained with ab195889 Anti-alpha Tubulin antibody [DM1A] - Microtubule Marker (Alexa Fluor® 594) 1 : 200 (2.5 μg/ml). Goat anti rabbit IgG (Alexa Fluor® 488, ab150077) was used as the secondary antibody at 1 : 1000 (2 μg/ml) dilution. DAPI (blue) was used as nuclear counterstain. PBS instead of the primary antibody was used as the secondary antibody only control.

Immunohistochemistry (Formalin/PFA-fixed paraffin-embedded sections) - Anti-CD6/T12 antibody [EPR4057] (AB109217)
  • IHC-P

Unknown

Immunohistochemistry (Formalin/PFA-fixed paraffin-embedded sections) - Anti-CD6/T12 antibody [EPR4057] (AB109217)

Unpurified ab109217, at a 1/100 dilution, staining CD6/T12 in paraffin embedded Human tonsil tissue by Immunohistochemistry.

Perform heat mediated antigen retrieval with citrate buffer pH 6 before commencing with IHC staining protocol.

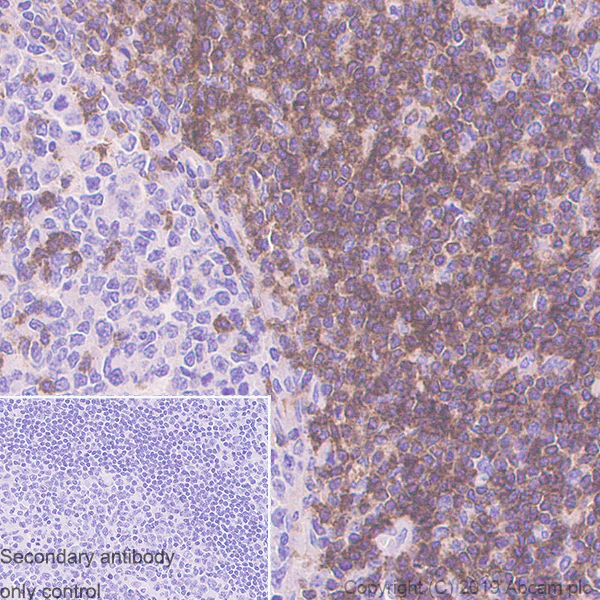
Immunohistochemistry (Formalin/PFA-fixed paraffin-embedded sections) - Anti-CD6/T12 antibody [EPR4057] (AB109217)
  • IHC-P

Unknown

Immunohistochemistry (Formalin/PFA-fixed paraffin-embedded sections) - Anti-CD6/T12 antibody [EPR4057] (AB109217)

Immunohistochemistry (Formalin/PFA-fixed paraffin-embedded sections) analysis of human tonsil tissue sections labeling CD6/T12 with purified ab109217 at 1/1000 dilution (0.115 μg/mL). Heat mediated antigen retrieval was performed using Bond™ Epitope Retrieval Solution 2 (pH 9.0). Rabbit specific IHC polymer detection kit HRP/DAB (ab209101) was used as the secondary antibody. Negative control : PBS instead of the primary antibody. Hematoxylin was used as a counterstain.
The immunostaining was performed on a Leica Biosystems BOND® RX instrument.

Immunoprecipitation - Anti-CD6/T12 antibody [EPR4057] (AB109217)
  • IP

Unknown

Immunoprecipitation - Anti-CD6/T12 antibody [EPR4057] (AB109217)

Purified ab109217 at 1 : 20 dilution (0.6μg) immunoprecipitating CD6/T12 in HuT-78 whole cell lysate.
Lane 1 (input) : HuT-78 (Human Sezary syndrome cutaneous T lymphocyte) whole cell lysate 10μg
Lane 2 (+) : ab109217 + HuT-78 whole cell lysate.
Lane 3 (-) : Rabbit monoclonal IgG (ab172730) instead of ab109217 in HuT-78 whole cell lysate.
Blocking Buffer and concentration : 5% NFDM/TBST.
Diluting buffer and concentration : 5% NFDM/TBST.
Observed band size : 105-130 kDa

All lanes:

Immunoprecipitation - Anti-CD6/T12 antibody [EPR4057] (ab109217)

Predicted band size: 72 kDa

false

Western blot - Anti-CD6/T12 antibody [EPR4057] (AB109217)
  • WB

Unknown

Western blot - Anti-CD6/T12 antibody [EPR4057] (AB109217)

The molecular weight of CD6 ranges from 105 to 130 kDa depending on its degree of phosphorylation (PMID : 17601777).

Blocking/Diluting buffer : 5% NFDM/TBST

All lanes:

Western blot - Anti-CD6/T12 antibody [EPR4057] (ab109217) at 1/5000 dilution

All lanes:

HuT-78 (Human Sezary syndrome cutaneous T lymphocyte) whole cell lysate at 15 µg

Secondary

All lanes:

Western blot - Goat Anti-Rabbit IgG H&L (HRP) (<a href='/en-us/products/secondary-antibodies/goat-rabbit-igg-h-l-hrp-ab97051'>ab97051</a>) at 1/20000 dilution

Predicted band size: 72 kDa

Observed band size: 105-130 kDa

false

Immunohistochemistry (Formalin/PFA-fixed paraffin-embedded sections) - Anti-CD6/T12 antibody [EPR4057] (AB109217)
  • IHC-P

Unknown

Immunohistochemistry (Formalin/PFA-fixed paraffin-embedded sections) - Anti-CD6/T12 antibody [EPR4057] (AB109217)

Unpurified ab109217 showing negative staining in Normal brain tissue.

Perform heat mediated antigen retrieval with citrate buffer pH 6 before commencing with IHC staining protocol.

Immunohistochemistry (Formalin/PFA-fixed paraffin-embedded sections) - Anti-CD6/T12 antibody [EPR4057] (AB109217)
  • IHC-P

Unknown

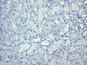
Immunohistochemistry (Formalin/PFA-fixed paraffin-embedded sections) - Anti-CD6/T12 antibody [EPR4057] (AB109217)

Unpurified ab109217 showing negative staining in Normal kidney tissue.

Perform heat mediated antigen retrieval with citrate buffer pH 6 before commencing with IHC staining protocol.

Immunohistochemistry (Formalin/PFA-fixed paraffin-embedded sections) - Anti-CD6/T12 antibody [EPR4057] (AB109217)
  • IHC-P

Unknown

Immunohistochemistry (Formalin/PFA-fixed paraffin-embedded sections) - Anti-CD6/T12 antibody [EPR4057] (AB109217)

Unpurified ab109217 showing negative staining in Skeletal muscle tissue.

Perform heat mediated antigen retrieval with citrate buffer pH 6 before commencing with IHC staining protocol.

Western blot - Anti-CD6/T12 antibody [EPR4057] (AB109217)
  • WB

Unknown

Western blot - Anti-CD6/T12 antibody [EPR4057] (AB109217)

All lanes:

Western blot - Anti-CD6/T12 antibody [EPR4057] (ab109217) at 1/1000 dilution

Lane 1:

Jurkat lysates at 10 µg

Lane 2:

Human tonsil lysates at 10 µg

Lane 3:

PBMC lysates at 10 µg

Lane 4:

HuT-78 lysates at 10 µg

Secondary

All lanes:

HRP labelled goat anti-rabbit at 1/2000 dilution

Predicted band size: 72 kDa

Observed band size: 90-130 kDa

false

  • Carrier free

    Anti-CD6/T12 antibody [EPR4057] - BSA and Azide free

  • 578 PE

    PE Anti-CD6 / T12 antibody [EPR4057]

  • HRP

    HRP Anti-CD6 / T12 antibody [EPR4057]

  • 617 Alexa Fluor® 594

    Alexa Fluor® 594 Anti-CD6 / T12 antibody [EPR4057]

  • 519 Alexa Fluor® 488

    Alexa Fluor® 488 Anti-CD6 / T12 antibody [EPR4057]

  • 665 Alexa Fluor® 647

    Alexa Fluor® 647 Anti-CD6 / T12 antibody [EPR4057]

  • 565 Alexa Fluor® 555

    Alexa Fluor® 555 Anti-CD6 / T12 antibody [EPR4057]

  • 660 APC

    APC Anti-CD6 / T12 antibody [EPR4057]

  • 603 Alexa Fluor® 568

    Alexa Fluor® 568 Anti-CD6 / T12 antibody [EPR4057]

  • 775 Alexa Fluor® 750

    Alexa Fluor® 750 Anti-CD6/T12 antibody [EPR4057]

Key facts

Host species

Rabbit

Clonality

Monoclonal

Clone number

EPR4057

Isotype

IgG

Carrier free

No

Reacts with

Human

Applications

IHC-P, ICC/IF, WB, IP, Flow Cyt (Intra)

applications

Immunogen

The exact immunogen used to generate this antibody is proprietary information.

Reactivity data

{ "title": "Reactivity Data", "filters": { "stats": ["", "Species", "Dilution Info", "Notes"], "tabs": { "all-applications": {"fullname" : "All Applications", "shortname": "All Applications"}, "IHCP" : {"fullname" : "Immunohistochemistry (Formalin/PFA-fixed paraffin-embedded sections)", "shortname":"IHC-P"}, "IP" : {"fullname" : "Immunoprecipitation", "shortname":"IP"}, "WB" : {"fullname" : "Western blot", "shortname":"WB"}, "ICCIF" : {"fullname" : "Immunocytochemistry/ Immunofluorescence", "shortname":"ICC/IF"}, "FlowCytIntra" : {"fullname" : "Flow Cytometry (Intracellular)", "shortname":"Flow Cyt (Intra)"} }, "product-promise": { "all": "all", "testedAndGuaranteed": "tested", "guaranteed": "expected", "predicted": "predicted", "notRecommended": "not-recommended" } }, "values": { "Human": { "IHCP-species-checked": "testedAndGuaranteed", "IHCP-species-dilution-info": "1/1000", "IHCP-species-notes": "<p><strong>For unpurified use at 1/100 - 1/250.</strong></p> Perform heat-mediated antigen retrieval with citrate buffer pH 6 before commencing with IHC staining protocol.", "IP-species-checked": "testedAndGuaranteed", "IP-species-dilution-info": "1/20", "IP-species-notes": "<p><strong>For unpurified use at 1/10 - 1/100.</strong></p>", "WB-species-checked": "testedAndGuaranteed", "WB-species-dilution-info": "1/5000", "WB-species-notes": "<p><strong>For unpurified use at 1/1000 - 1/10000.</strong></p>", "ICCIF-species-checked": "testedAndGuaranteed", "ICCIF-species-dilution-info": "1/50", "ICCIF-species-notes": "<p><strong>For unpurified use at 1/100 - 1/250.</strong></p>", "FlowCytIntra-species-checked": "testedAndGuaranteed", "FlowCytIntra-species-dilution-info": "1/20", "FlowCytIntra-species-notes": "<p></p>" } } }

Product details

Species reactivity
Mouse, Rat: We have preliminary internal testing data to indicate this antibody may not react with these species.
Please contact us for more information.

Patented technology
Our RabMAb® technology is a patented hybridoma-based technology for making rabbit monoclonal antibodies. For details on our patents, please refer to RabMAb® patents.

What are the advantages of a recombinant monoclonal antibody?
This product is a recombinant monoclonal antibody, which offers several advantages including:

  • - High batch-to-batch consistency and reproducibility
  • - Improved sensitivity and specificity
  • - Long-term security of supply
  • - Animal-free batch production

For more information, read more on recombinant antibodies.

Properties and storage information

Form
Liquid
Purification technique
Affinity purification Protein A
Storage buffer
pH: 7.2 - 7.4 Preservative: 0.01% Sodium azide Constituents: PBS, 40% Glycerol (glycerin, glycerine), 0.05% BSA
Shipped at conditions
Blue Ice
Appropriate short-term storage duration
1-2 weeks
Appropriate short-term storage conditions
+4°C
Appropriate long-term storage conditions
-20°C
Aliquoting information
Upon delivery aliquot
Storage information
Avoid freeze / thaw cycle

Supplementary information

This supplementary information is collated from multiple sources and compiled automatically.

CD6 also known as T12 is a glycoprotein expressed on T cells and some subsets of B cells. The protein has a molecular mass of approximately 105-130 kDa. CD6 is primarily located on the surface of thymocytes mature T lymphocytes and on some B cell lines. It plays an important role in the immunological synapse serving as a receptor that aids in cell-to-cell communication during immune responses. The CD6 protein is also detectable in immune tissues including the spleen and lymph nodes.
Biological function summary

CD6 functions involve T cell maturation and proliferation. The protein is part of the lymphocyte activation complex contributing to the modulation of T cell receptor (TCR) signaling. It interacts with other cell surface proteins such as CD3 and CD28 to influence the response of T cells to antigens. CD6 potentially modulates the threshold for T cell activation favoring the adjustment of immune responses to various antigens.

Pathways

CD6 participates in the signaling pathways that regulate adaptive immune responses. It is involved in the T cell receptor (TCR) signaling pathway essential for T cell activation and differentiation. CD6 interacts with proteins like LCK and ZAP-70 which are pivotal for the TCR signaling cascade. Additionally CD6's role in immune synapse formation connects it to the modulation of cytokine production and immune cell communication.

CD6 associates with autoimmune diseases and multiple sclerosis. The protein's involvement in T cell activation and immune regulation makes it a candidate for studies targeting autoimmune pathologies. Autoimmune disorders such as rheumatoid arthritis have shown links with CD6's activity as its deregulation can lead to inappropriate immune responses. Additionally CD6's interaction with proteins like CD166 has implications in the pathogenesis of these disorders indicating a potential target for therapeutic interventions.

Product protocols

For this product, it's our understanding that no specific protocols are required. You can visit:

Target data

Cell adhesion molecule that mediates cell-cell contacts and regulates T-cell responses via its interaction with ALCAM/CD166 (PubMed : 15048703, PubMed : 15294938, PubMed : 16352806, PubMed : 16914752, PubMed : 24584089, PubMed : 24945728). Contributes to signaling cascades triggered by activation of the TCR/CD3 complex (PubMed : 24584089). Functions as a costimulatory molecule; promotes T-cell activation and proliferation (PubMed : 15294938, PubMed : 16352806, PubMed : 16914752). Contributes to the formation and maturation of the immunological synapse (PubMed : 15294938, PubMed : 16352806). Functions as a calcium-dependent pattern receptor that binds and aggregates both Gram-positive and Gram-negative bacteria. Binds both lipopolysaccharide (LPS) from Gram-negative bacteria and lipoteichoic acid from Gram-positive bacteria (PubMed : 17601777). LPS binding leads to the activation of signaling cascades and down-stream MAP kinases (PubMed : 17601777). Mediates activation of the inflammatory response and the secretion of pro-inflammatory cytokines in response to LPS (PubMed : 17601777).
See full target information T-cell differentiation antigen CD6

Publications (4)

Recent publications for all applications. Explore the full list and refine your search

mBio 16:e0327424 PubMed39679679

2024

Inhibition and evasion of neutrophil microbicidal responses by .

Applications

Unspecified application

Species

Unspecified reactive species

Hannah E Hanford,Christopher T D Price,Silvia Uriarte,Yousef Abu Kwaik

Analytical cellular pathology (Amsterdam) 2023:4024887 PubMed37621743

2023

Mesenchymal Stem Cell-Derived Exosomal miRNA-222-3p Increases Th1/Th2 Ratio and Promotes Apoptosis of Acute Myeloid Leukemia Cells.

Applications

Unspecified application

Species

Unspecified reactive species

Yuan Yuan,Shengfen Tan,Huanhuan Wang,Junfeng Zhu,Jiajia Li,Pingping Zhang,Meng Wang,Feng Zhang

Communications biology 6:133 PubMed36726025

2023

Extracellular vesicle-derived circCEBPZOS attenuates postmyocardial infarction remodeling by promoting angiogenesis via the miR-1178-3p/PDPK1 axis.

Applications

Unspecified application

Species

Unspecified reactive species

Ling Yu,Yubin Liang,Minzhou Zhang,Phillip C Yang,Aleksander Hinek,Shuai Mao

Frontiers in immunology 13:967944 PubMed36159854

2022

Intrahepatic activated leukocyte cell adhesion molecule induces CD6CD4 T cell infiltration in autoimmune hepatitis.

Applications

Unspecified application

Species

Unspecified reactive species

Qiwei Qian,Nana Cui,Bingyuan Huang,Yudong Zhao,Qiaoyan Liu,Mingli Hu,Bo Li,Qixia Wang,Qi Miao,Zhengrui You,Xiong Ma,Ruqi Tang
View all publications

Product promise

We are committed to supporting your work with high-quality reagents, and we're here for you every step of the way. In the unlikely event that one of our products does not perform as expected, you're protected by our Product Promise.
For full details, please see our Terms & Conditions

Please note: All products are 'FOR RESEARCH USE ONLY. NOT FOR USE IN DIAGNOSTIC OR THERAPEUTIC PROCEDURES'.

For licensing inquiries, please contact partnerships@abcam.com