JavaScript is disabled in your browser. Please enable JavaScript to view this website.
AB319105

Anti-CD62E antibody [EPR28605-81]

  • BOND RX™ Validated
  • 20ul selling size
  • Recombinant
  • RabMAb
  • What is this?

Be the first to review this product! Submit a review

|

(0 Publication)

Rabbit Recombinant Monoclonal CD62E antibody. Suitable for IHC-P, ICC/IF, WB and reacts with Transfected cell line - Human, Human, Mouse samples.

View Alternative Names

CD62E, ELAM1, SELE, E-selectin, CD62 antigen-like family member E, Endothelial leukocyte adhesion molecule 1, Leukocyte-endothelial cell adhesion molecule 2, ELAM-1, LECAM2

14 Images
Immunocytochemistry/ Immunofluorescence - Anti-CD62E antibody [EPR28605-81] (AB319105)
  • ICC/IF

Supplier Data

Immunocytochemistry/ Immunofluorescence - Anti-CD62E antibody [EPR28605-81] (AB319105)

Immunofluorescent analysis of 4% Paraformaldehyde-fixed, 0.1% TritonX-100 permeabilized HUVEC (human umbilical vein endothelial cell) cells labelling CD62E with ab319105 at 1/50 (10.16 ug/ml) dilution, followed by ab150081 Goat Anti-Rabbit IgG H&L (Alexa Fluor® 488) preadsorbed antibody at 1/1000 2 ug/ml dilution (Green).

Confocal image showing positive staining in HUVEC treated with IL-lbeta at 20ng/ml for 4 hours (shown in green). The counterstain was observed in magenta. Nuclear DNA was labelled with DAPI (shown in blue). Image was taken with a confocal microscope (Leica-Microsystems, TCS SP8).

ab195889 Anti-alpha Tubulin mouse monoclonal antibody - Microtubule Marker (Alexa Fluor® 594) was used to counterstain tubulin at 1/200 2.5ug/ml dilution (Magenta). The Nuclear counterstain was DAPI (Blue).

Secondary antibody only control : Secondary antibody is ab150081 Goat Anti-Rabbit IgG H&L (Alexa Fluor® 488) preadsorbed at 1/1000 2 ug/ml dilution.

Immunohistochemistry (Formalin/PFA-fixed paraffin-embedded sections) - Anti-CD62E antibody [EPR28605-81] (AB319105)
  • IHC-P

Supplier Data

Immunohistochemistry (Formalin/PFA-fixed paraffin-embedded sections) - Anti-CD62E antibody [EPR28605-81] (AB319105)

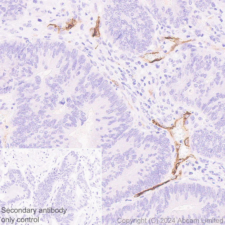
Immunohistochemical analysis of paraffin-embedded Human colon carcinoma tissue labeling CD62E with ab319105 at 1/100 (5.08 ug/ml) dilution, followed by a ready to use LeicaDS9800 (Bond™ Polymer Refine Detection).

Positive staining on blood vessel of human colon carcinoma. The section was incubated with ab319105 for 30 mins at room temperature.
The immunostaining was performed on a Leica Biosystems BOND® RX instrument

Counterstained with Hematoxylin.

Secondary antibody only control : Secondary antibody is a ready to use LeicaDS9800 (Bond™ Polymer Refine Detection).

Heat mediated antigen retrieval was performed with Tris-EDTA buffer (pH 9.0, Epitope Retrieval Solution2) for 20 mins

Immunohistochemistry (Formalin/PFA-fixed paraffin-embedded sections) - Anti-CD62E antibody [EPR28605-81] (AB319105)
  • IHC-P

Supplier Data

Immunohistochemistry (Formalin/PFA-fixed paraffin-embedded sections) - Anti-CD62E antibody [EPR28605-81] (AB319105)

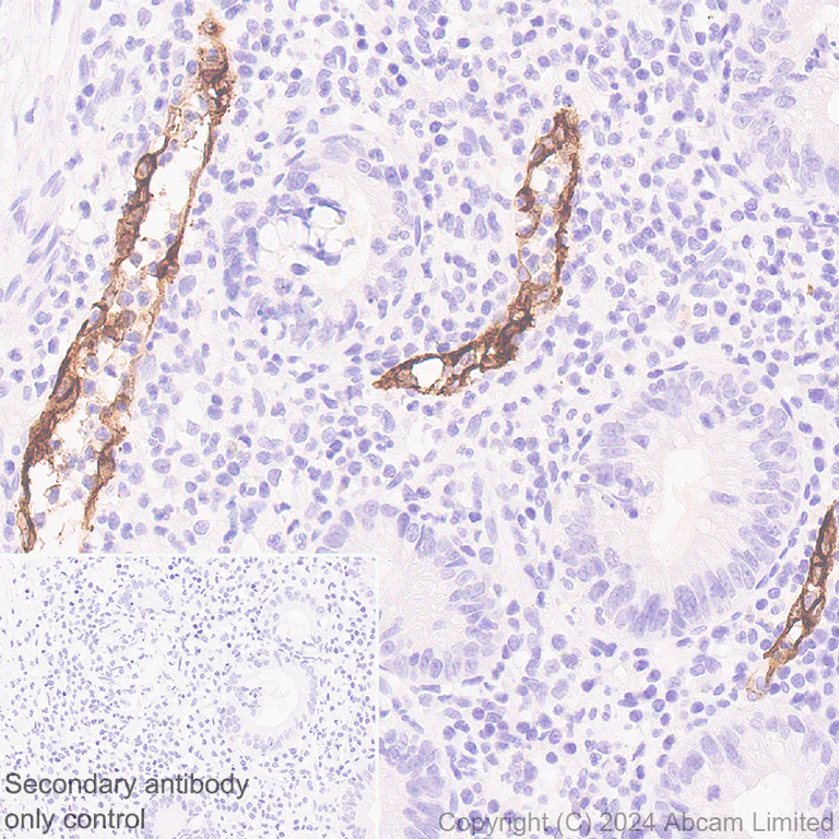
Immunohistochemical analysis of paraffin-embedded Human tonsil tissue labeling CD62E with ab319105 at 1/100 (5.08 ug/ml) dilution, followed by a ready to use LeicaDS9800 (Bond™ Polymer Refine Detection).

Positive staining on blood vessel of human tonsil. The section was incubated with ab319105 for 30 mins at room temperature.
The immunostaining was performed on a Leica Biosystems BOND® RX instrument

Counterstained with Hematoxylin.

Secondary antibody only control : Secondary antibody is a ready to use LeicaDS9800 (Bond™ Polymer Refine Detection).

Heat mediated antigen retrieval was performed with Tris-EDTA buffer (pH 9.0, Epitope Retrieval Solution2) for 20 mins

Immunohistochemistry (Formalin/PFA-fixed paraffin-embedded sections) - Anti-CD62E antibody [EPR28605-81] (AB319105)
  • IHC-P

Supplier Data

Immunohistochemistry (Formalin/PFA-fixed paraffin-embedded sections) - Anti-CD62E antibody [EPR28605-81] (AB319105)

Immunohistochemical analysis of paraffin-embedded (A) HEK-293T (human embryonic kidney epithelial cell) transfected with a human CD62E expression vector containing a Myc-His tag. (B) HEK-293T transfected with a human CD62L expression vector containing a Myc-His tag. (C) HEK-293T transfected with a human CD62P expression vector containing a Myc-His tag. (D) HEK-293T transfected with empty vector containing a Myc-His tag. tissue labeling CD62E with ab319105 at 1/2000 (0.254 ug/ml) dilution, followed by a ready to use LeicaDS9800 (Bond™ Polymer Refine Detection).

Positive staining on HEK-293T transfected with a Myc-His-tagged human CD62E construct (image A). No staining on HEK-293T transfected with a Myc-His-tagged human CD62L construct (image B), human CD62P construct (image C). No staining on HEK-293T transfected with empty plasmid (image D). The section was incubated with ab319105 for 30 mins at room temperature.
The immunostaining was performed on a Leica Biosystems BOND® RX instrument

Counterstained with Hematoxylin.

Secondary antibody only control : Secondary antibody is a ready to use LeicaDS9800 (Bond™ Polymer Refine Detection).

Heat mediated antigen retrieval was performed with Tris-EDTA buffer (pH 9.0, Epitope Retrieval Solution2) for 20 mins

Immunohistochemistry (Formalin/PFA-fixed paraffin-embedded sections) - Anti-CD62E antibody [EPR28605-81] (AB319105)
  • IHC-P

Supplier Data

Immunohistochemistry (Formalin/PFA-fixed paraffin-embedded sections) - Anti-CD62E antibody [EPR28605-81] (AB319105)

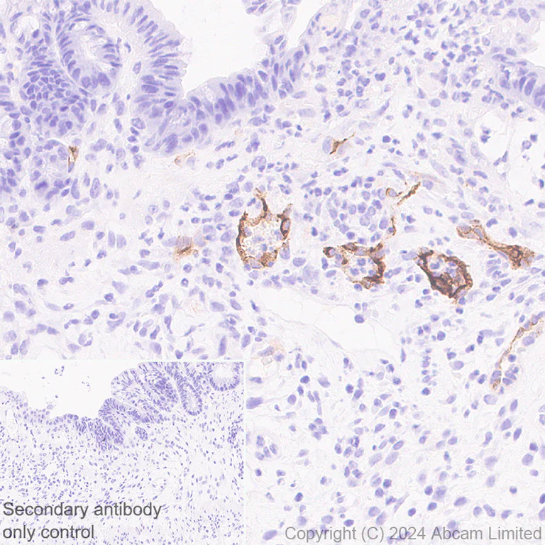
Immunohistochemical analysis of paraffin-embedded Human epityphlon tissue labeling CD62E with ab319105 at 1/100 (5.08 ug/ml) dilution, followed by a ready to use LeicaDS9800 (Bond™ Polymer Refine Detection).

Positive staining on blood vessel of human epityphlon. The section was incubated with ab319105 for 30 mins at room temperature.
The immunostaining was performed on a Leica Biosystems BOND® RX instrument

Counterstained with Hematoxylin.

Secondary antibody only control : Secondary antibody is a ready to use LeicaDS9800 (Bond™ Polymer Refine Detection).

Heat mediated antigen retrieval was performed with Tris-EDTA buffer (pH 9.0, Epitope Retrieval Solution2) for 20 mins

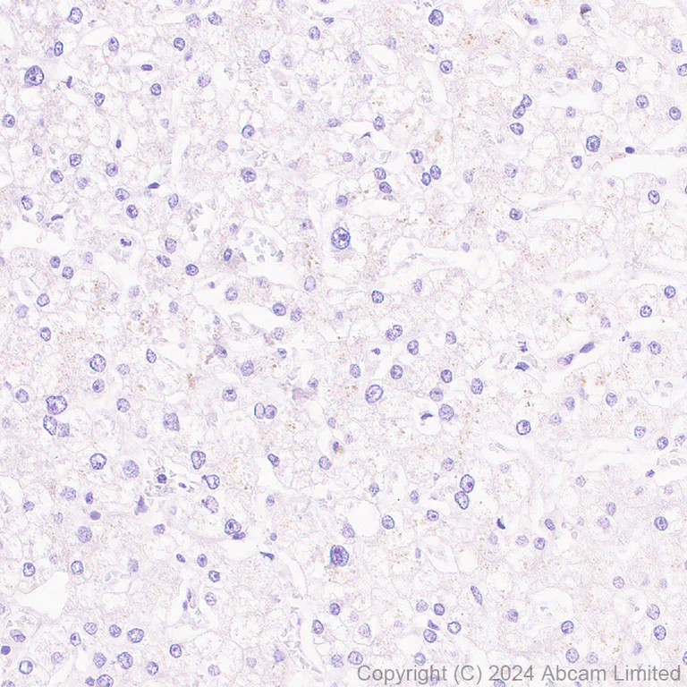
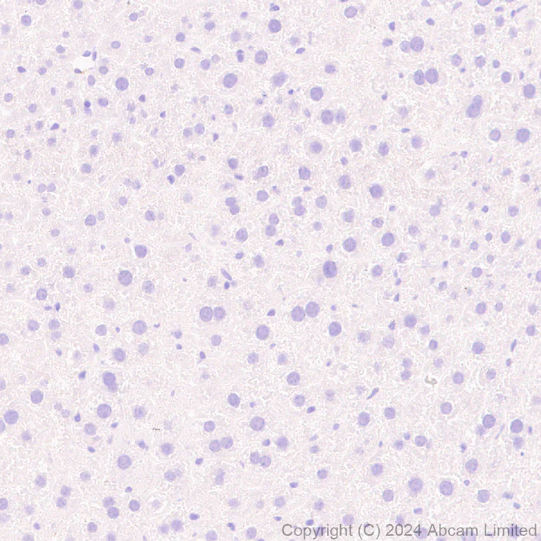
Immunohistochemistry (Formalin/PFA-fixed paraffin-embedded sections) - Anti-CD62E antibody [EPR28605-81] (AB319105)
  • IHC-P

Supplier Data

Immunohistochemistry (Formalin/PFA-fixed paraffin-embedded sections) - Anti-CD62E antibody [EPR28605-81] (AB319105)

Immunohistochemical analysis of paraffin-embedded Human liver tissue labeling CD62E with ab319105 at 1/100 (5.08 ug/ml) dilution, followed by a ready to use LeicaDS9800 (Bond™ Polymer Refine Detection).

Negative control : no staining on human liver. The section was incubated with ab319105 for 30 mins at room temperature.
The immunostaining was performed on a Leica Biosystems BOND® RX instrument

Counterstained with Hematoxylin.

Secondary antibody only control : Secondary antibody is a ready to use LeicaDS9800 (Bond™ Polymer Refine Detection).

Heat mediated antigen retrieval was performed with Tris-EDTA buffer (pH 9.0, Epitope Retrieval Solution2) for 20 mins

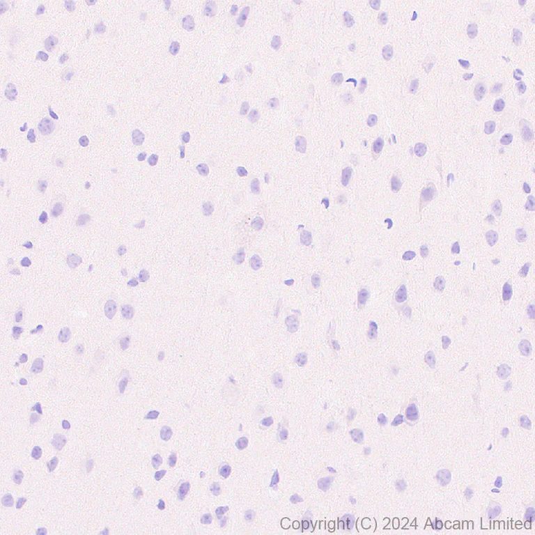
Immunohistochemistry (Formalin/PFA-fixed paraffin-embedded sections) - Anti-CD62E antibody [EPR28605-81] (AB319105)
  • IHC-P

Supplier Data

Immunohistochemistry (Formalin/PFA-fixed paraffin-embedded sections) - Anti-CD62E antibody [EPR28605-81] (AB319105)

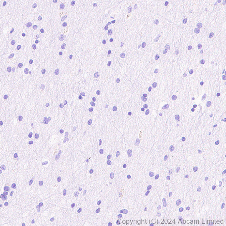
Immunohistochemical analysis of paraffin-embedded Human cerebrum tissue labeling CD62E with ab319105 at 1/100 (5.08 ug/ml) dilution, followed by a ready to use LeicaDS9800 (Bond™ Polymer Refine Detection).

Negative control : no staining on human cerebrum. The section was incubated with ab319105 for 30 mins at room temperature.
The immunostaining was performed on a Leica Biosystems BOND® RX instrument

Counterstained with Hematoxylin.

Secondary antibody only control : Secondary antibody is a ready to use LeicaDS9800 (Bond™ Polymer Refine Detection).

Heat mediated antigen retrieval was performed with Tris-EDTA buffer (pH 9.0, Epitope Retrieval Solution2) for 20 mins

Immunohistochemistry (Formalin/PFA-fixed paraffin-embedded sections) - Anti-CD62E antibody [EPR28605-81] (AB319105)
  • IHC-P

Supplier Data

Immunohistochemistry (Formalin/PFA-fixed paraffin-embedded sections) - Anti-CD62E antibody [EPR28605-81] (AB319105)

Immunohistochemical analysis of paraffin-embedded Mouse cerebrum tissue labeling CD62E with ab319105 at 1/100 (5.08 ug/ml) dilution, followed by a ready to use LeicaDS9800 (Bond™ Polymer Refine Detection).

Negative control : no staining on mouse cerebrum. The section was incubated with ab319105 for 30 mins at room temperature.
The immunostaining was performed on a Leica Biosystems BOND® RX instrument

Counterstained with Hematoxylin.

Secondary antibody only control : Secondary antibody is a ready to use LeicaDS9800 (Bond™ Polymer Refine Detection).

Heat mediated antigen retrieval was performed with Tris-EDTA buffer (pH 9.0, Epitope Retrieval Solution2) for 20 mins

Immunohistochemistry (Formalin/PFA-fixed paraffin-embedded sections) - Anti-CD62E antibody [EPR28605-81] (AB319105)
  • IHC-P

Supplier Data

Immunohistochemistry (Formalin/PFA-fixed paraffin-embedded sections) - Anti-CD62E antibody [EPR28605-81] (AB319105)

Immunohistochemical analysis of paraffin-embedded Mouse liver tissue labeling CD62E with ab319105 at 1/100 (5.08 ug/ml) dilution, followed by a ready to use LeicaDS9800 (Bond™ Polymer Refine Detection).

Negative control : no staining on mouse liver. The section was incubated with ab319105 for 30 mins at room temperature.
The immunostaining was performed on a Leica Biosystems BOND® RX instrument

Counterstained with Hematoxylin.

Secondary antibody only control : Secondary antibody is a ready to use LeicaDS9800 (Bond™ Polymer Refine Detection).

Heat mediated antigen retrieval was performed with Tris-EDTA buffer (pH 9.0, Epitope Retrieval Solution2) for 20 mins

Immunohistochemistry (Formalin/PFA-fixed paraffin-embedded sections) - Anti-CD62E antibody [EPR28605-81] (AB319105)
  • IHC-P

Supplier Data

Immunohistochemistry (Formalin/PFA-fixed paraffin-embedded sections) - Anti-CD62E antibody [EPR28605-81] (AB319105)

Immunohistochemical analysis of paraffin-embedded Mouse crohn's disease model tissue labeling CD62E with ab319105 at 1/100 (5.08 ug/ml) dilution, followed by a ready to use LeicaDS9800 (Bond™ Polymer Refine Detection).

Positive staining on blood vessel of mouse crohn's disease model. The section was incubated with ab319105 for 30 mins at room temperature.
The immunostaining was performed on a Leica Biosystems BOND® RX instrument

Counterstained with Hematoxylin.

Secondary antibody only control : Secondary antibody is a ready to use LeicaDS9800 (Bond™ Polymer Refine Detection).

Heat mediated antigen retrieval was performed with Tris-EDTA buffer (pH 9.0, Epitope Retrieval Solution2) for 20 mins

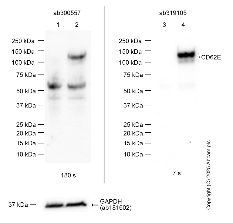
Western blot - Anti-CD62E antibody [EPR28605-81] (AB319105)
  • WB

Lab

Western blot - Anti-CD62E antibody [EPR28605-81] (AB319105)

Exposure time : Lane 1-2 : 180 seconds; Lane 3-4 : 7 seconds

In Western blot, Anti-GAPDH antibody [EPR16891] - Loading Control (ab181602) staining at 1/1000000 dilution.

ab319105 is more sensitive than ab300557 in WB testing.

Lanes 1 - 2:

Anti-CD62E antibody [EPR25616-62] (<a href='/en-us/products/primary-antibodies/cd62e-antibody-epr25616-62-ab300557'>ab300557</a>) at 1/1000 dilution

Lanes 3 - 4:

Western blot - Anti-CD62E antibody [EPR28605-81] (ab319105) at 1/1000 dilution

Lanes 1 and 3:

Untreated HUVEC (human umbilical vein endothelial cell) whole cell lysate at 20 µg

Lanes 2 and 4:

HUVEC treated with 20ng/ml IL-lbeta for 4h whole cell lysate at 20 µg

Secondary

All lanes:

Western blot - Goat Anti-Rabbit IgG H&L (HRP) (<a href='/en-us/products/secondary-antibodies/goat-rabbit-igg-h-l-hrp-ab97051'>ab97051</a>) at 1/20000 dilution

false

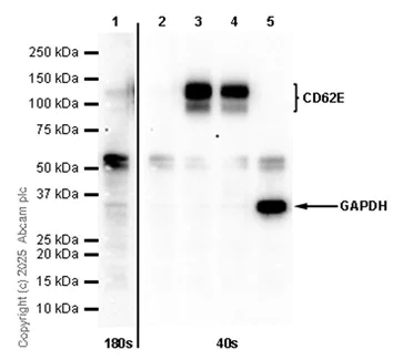
Western blot - Anti-CD62E antibody [EPR28605-81] (AB319105)
  • WB

Lab

Western blot - Anti-CD62E antibody [EPR28605-81] (AB319105)

Blocking and diluting buffer and concentration : 5% NFDM/TBST.

Exposure Time Lane 1 : 180s, Lane 2 : 40s

Compared with ab300557, ab319105 and ab322206 have higher sensitivity, we recommend ab319105 and ab322206 as an alternative for testing CD62E in western blot.

Lanes 1 - 2:

Anti-CD62E antibody [EPR25616-62] (<a href='/en-us/products/primary-antibodies/cd62e-antibody-epr25616-62-ab300557'>ab300557</a>) at 1/1000 dilution

Lane 3:

Western blot - Anti-CD62E antibody [EPR28605-81] (ab319105) at 1/1000 dilution

Lane 4:

Western blot - Anti-CD62E antibody [RM2070] (<a href='/en-us/products/primary-antibodies/cd62e-antibody-rm2070-ab322206'>ab322206</a>) at 1/1000 dilution

All lanes:

HUVEC (human umbilical vein endothelial cell) treated with 20ng/ml IL- lbeta for 4h whole cell lysate at 20 µg

Secondary

All lanes:

Western blot - Goat Anti-Rabbit IgG H&L (HRP) (<a href='/en-us/products/secondary-antibodies/goat-rabbit-igg-h-l-hrp-ab97051'>ab97051</a>) at 1/20000 dilution

Observed band size: 100 kDa,115 kDa

false

Western blot - Anti-CD62E antibody [EPR28605-81] (AB319105)
  • WB

Supplier Data

Western blot - Anti-CD62E antibody [EPR28605-81] (AB319105)

Blocking and diluting buffer and concentration : 5% NFDM/TBST.

The molecular weight observed is consistent with what has been described in the literature (PMID : 7589110).

In Western blot, Anti-GAPDH antibody [EPR16891] - Loading Control (ab181602) staining at 1/200000 dilution.

All lanes:

Western blot - Anti-CD62E antibody [EPR28605-81] (ab319105) at 1/1000 dilution

Lane 1:

Untreated HUVEC (human umbilical vein endothelial cell) whole cell lysate at 30 µg

Lane 2:

HUVEC treated with 20ng/ml IL-lbeta for 4h whole cell lysate at 30 µg

Secondary

All lanes:

Western blot - Goat Anti-Rabbit IgG H&L (HRP) (<a href='/en-us/products/secondary-antibodies/goat-rabbit-igg-h-l-hrp-ab97051'>ab97051</a>) at 1/20000 dilution

Observed band size: 100 kDa,115 kDa,36 kDa

false

Exposure time: 125s

Western blot - Anti-CD62E antibody [EPR28605-81] (AB319105)
  • WB

Supplier Data

Western blot - Anti-CD62E antibody [EPR28605-81] (AB319105)

Blocking and diluting buffer and concentration : 5% NFDM/TBST.

The molecular weight observed is consistent with what has been described in the literature (PMID : 7589110).

Negative control : Neuro-2a.

In Western blot, Anti-GAPDH antibody [EPR16891] - Loading Control (ab181602) staining at 1/200000 dilution.

All lanes:

Western blot - Anti-CD62E antibody [EPR28605-81] (ab319105) at 1/1000 dilution

Lane 1:

CT26.WT (mouse colorectal carcinoma fibroblast) whole cell lysate at 20 µg

Lane 2:

Neuro-2a (mouse neuroblastoma neuroblast) whole cell lysate at 20 µg

Secondary

All lanes:

Western blot - Goat Anti-Rabbit IgG H&L (HRP) (<a href='/en-us/products/secondary-antibodies/goat-rabbit-igg-h-l-hrp-ab97051'>ab97051</a>) at 1/20000 dilution

Observed band size: 100 kDa,115 kDa,36 kDa

false

Exposure time: 59s

  • Carrier free

    Anti-CD62E antibody [EPR28605-81] - BSA and Azide free

Key facts

Host species

Rabbit

Clonality

Monoclonal

Clone number

EPR28605-81

Isotype

IgG

Carrier free

No

Reacts with

Human, Mouse

Applications

IHC-P, WB, ICC/IF

applications

Immunogen

The exact immunogen used to generate this antibody is proprietary information.

Reactivity data

{ "title": "Reactivity Data", "filters": { "stats": ["", "Species", "Dilution Info", "Notes"], "tabs": { "all-applications": {"fullname" : "All Applications", "shortname": "All Applications"}, "IHCP" : {"fullname" : "Immunohistochemistry (Formalin/PFA-fixed paraffin-embedded sections)", "shortname":"IHC-P"}, "ICCIF" : {"fullname" : "Immunocytochemistry/ Immunofluorescence", "shortname":"ICC/IF"}, "WB" : {"fullname" : "Western blot", "shortname":"WB"} }, "product-promise": { "all": "all", "testedAndGuaranteed": "tested", "guaranteed": "expected", "predicted": "predicted", "notRecommended": "not-recommended" } }, "values": { "Human": { "IHCP-species-checked": "testedAndGuaranteed", "IHCP-species-dilution-info": "1/100", "IHCP-species-notes": "<p></p> Perform heat-mediated antigen retrieval with Tris/EDTA buffer pH 9.0 before commencing with IHC staining protocol.", "ICCIF-species-checked": "testedAndGuaranteed", "ICCIF-species-dilution-info": "1/50", "ICCIF-species-notes": "<p></p>", "WB-species-checked": "testedAndGuaranteed", "WB-species-dilution-info": "1/1000", "WB-species-notes": "<p></p>" }, "Mouse": { "IHCP-species-checked": "testedAndGuaranteed", "IHCP-species-dilution-info": "1/100", "IHCP-species-notes": "<p></p> Perform heat-mediated antigen retrieval with Tris/EDTA buffer pH 9.0 before commencing with IHC staining protocol.", "ICCIF-species-checked": "guaranteed", "ICCIF-species-dilution-info": "", "ICCIF-species-notes": "", "WB-species-checked": "guaranteed", "WB-species-dilution-info": "", "WB-species-notes": "" }, "Transfected cell line - Human": { "IHCP-species-checked": "testedAndGuaranteed", "IHCP-species-dilution-info": "1/2000", "IHCP-species-notes": "<p></p> Perform heat-mediated antigen retrieval with Tris/EDTA buffer pH 9.0 before commencing with IHC staining protocol.", "ICCIF-species-checked": "notRecommended", "ICCIF-species-dilution-info": "", "ICCIF-species-notes": "", "WB-species-checked": "notRecommended", "WB-species-dilution-info": "", "WB-species-notes": "" } } }

Product details

Patented technology
Our RabMAb® technology is a patented hybridoma-based technology for making rabbit monoclonal antibodies. For details on our patents, please refer to RabMAb® patents.

What are the advantages of a recombinant monoclonal antibody?
This product is a recombinant monoclonal antibody, which offers several advantages including:

  • - High batch-to-batch consistency and reproducibility
  • - Improved sensitivity and specificity
  • - Long-term security of supply
  • - Animal-free batch production

For more information, read more on recombinant antibodies.

Properties and storage information

Form
Liquid
Purification technique
Affinity purification Protein A
Storage buffer
pH: 7.2 - 7.4 Preservative: 0.01% Sodium azide Constituents: PBS, 40% Glycerol (glycerin, glycerine), 0.05% BSA
Shipped at conditions
Blue Ice
Appropriate short-term storage duration
1-2 weeks
Appropriate short-term storage conditions
+4°C
Appropriate long-term storage conditions
-20°C
Aliquoting information
Upon delivery aliquot
Storage information
Avoid freeze / thaw cycle

Supplementary information

This supplementary information is collated from multiple sources and compiled automatically.

CD62E also known as E-selectin or ELAM-1 is a cell adhesion molecule with a mass of approximately 115 kDa. It is present mainly on endothelial cells activated by cytokines. As a transmembrane glycoprotein E-selectin plays a mechanical role in mediating the tethering and rolling of leukocytes on the vascular endothelium during the inflammatory response. This function is important in directing leukocytes to sites of tissue damage or infection.
Biological function summary

E-selectin facilitates leukocyte adhesion by binding specific carbohydrate ligands on the surface of circulating immune cells. This binding is critical in the cascade of events that leads to leukocyte extravasation into tissues. E-selectin does not work in isolation rather forming part of a complex interaction with other cell adhesion molecules such as P-selectin and L-selectin. These interactions ensure precise control of cellular traffic during inflammatory responses.

Pathways

CD62E engages in the inflammatory signaling pathways including the NF-kB pathway. This pathway modulates the expression of E-selectin in response to pro-inflammatory cytokines like interleukin-1 and tumor necrosis factor-alpha. CD62E interacts with integrins on leukocytes and has downstream effects on cellular processes involved in immune response. Its cooperation with proteins like ICAM-1 and VCAM-1 further integrates it into a network of adhesion molecules maintaining vascular stability and immune surveillance.

E-selectin expression is highly relevant in inflammatory diseases such as rheumatoid arthritis and atherosclerosis. These disorders involve chronic inflammation where the persistent activation of endothelial cells and overexpression of E-selectin contribute to pathology. The link with ICAM-1 in these settings suggests a mutual regulation between cell adhesion molecules enhancing leukocyte recruitment to inflamed tissues. This makes E-selectin not only a marker of endothelial activation but also a potential therapeutic target for modulating leukocyte adhesion in inflammatory diseases.

Product protocols

For this product, it's our understanding that no specific protocols are required. You can visit:

Target data

Cell-surface glycoprotein having a role in immunoadhesion. Mediates in the adhesion of blood neutrophils in cytokine-activated endothelium through interaction with SELPLG/PSGL1. May have a role in capillary morphogenesis.
See full target information SELE

Product promise

We are committed to supporting your work with high-quality reagents, and we're here for you every step of the way. In the unlikely event that one of our products does not perform as expected, you're protected by our Product Promise.
For full details, please see our Terms & Conditions

Please note: All products are 'FOR RESEARCH USE ONLY. NOT FOR USE IN DIAGNOSTIC OR THERAPEUTIC PROCEDURES'.

For licensing inquiries, please contact partnerships@abcam.com