JavaScript is disabled in your browser. Please enable JavaScript to view this website.
AB254204

Anti-CD62L antibody [EPR17012-35] - BSA and Azide free

Be the first to review this product! Submit a review

|

(0 Publication)

Rabbit Recombinant Monoclonal CD62L antibody. Carrier free. Suitable for Flow Cyt, WB and reacts with Mouse samples.

View Alternative Names

CD62L, Lnhr, Ly-22, Ly22, Sell, L-selectin, CD62 antigen-like family member L, Leukocyte adhesion molecule 1, Leukocyte-endothelial cell adhesion molecule 1, Lymph node homing receptor, Lymphocyte antigen 22, Lymphocyte surface MEL-14 antigen, LAM-1, LECAM1

3 Images
Flow Cytometry - Anti-CD62L antibody [EPR17012-35] - BSA and Azide free (AB254204)
  • Flow Cyt

Unknown

Flow Cytometry - Anti-CD62L antibody [EPR17012-35] - BSA and Azide free (AB254204)

Flow cytometric analysis of mouse splenocytes labeling CD62L with ab253241 at 1/60 (Right panel) compared with a Rabbit monoclonal IgG (ab172730) (Left panel). Goat anti rabbit IgG (Alexa Fluor® 488, ab150077), at 1/2000 dilution was used as the secondary antibody.

Cells were stained with rabbit IgG (Left) or anti-CD62L RabMab (Right). Then stained with Alexa Fluor® 647-conjugated anti-CD4 and BV421-conjugated anti-CD44. While CD4+ splenocytes express CD62L and CD44, their expressions are mutually exclusive.

Gated on viable CD4+ T cells.

This data was developed using the same antibody clone in a different buffer formulation containing PBS, BSA, glycerol, and sodium azide (ab253241).

Western blot - Anti-CD62L antibody [EPR17012-35] - BSA and Azide free (AB254204)
  • WB

Supplier Data

Western blot - Anti-CD62L antibody [EPR17012-35] - BSA and Azide free (AB254204)

This data was developed using the same antibody clone in a different buffer formulation (ab253241).

The expression profile and molecular weight observed is consistent with what has been described in the literature (PMID : 12165530).

Blocking/Dilution buffer : 5% NFDM/TBST.

All lanes:

Western blot - Anti-CD62L antibody [EPR17012-35] (<a href='/en-us/products/primary-antibodies/cd62l-antibody-epr17012-35-ab253241'>ab253241</a>) at 1/1000 dilution

Lane 1:

Mouse serum at 20 µg

Lane 2:

Mouse lymph node lysate at 20 µg

Secondary

All lanes:

Western blot - Goat Anti-Rabbit IgG H&L (HRP) (<a href='/en-us/products/secondary-antibodies/goat-rabbit-igg-h-l-hrp-ab97051'>ab97051</a>) at 1/100000 dilution

Predicted band size: 42 kDa

Observed band size: 75-100 kDa

false

Exposure time: 136s

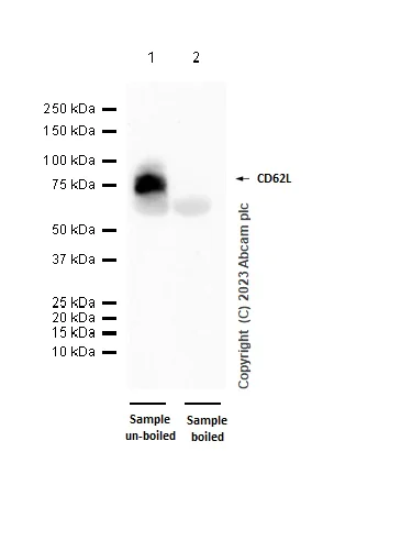
Western blot - Anti-CD62L antibody [EPR17012-35] - BSA and Azide free (AB254204)
  • WB

Supplier Data

Western blot - Anti-CD62L antibody [EPR17012-35] - BSA and Azide free (AB254204)

This data was developed using the same antibody clone in a different buffer formulation (ab253241).

For better using this antibody, we recommend not to boil your sample.

Blocking and diluting buffer : 5% NFDM /TBST.

Lanes 1 - 2:

Western blot - Anti-CD62L antibody [EPR17012-35] (<a href='/en-us/products/primary-antibodies/cd62l-antibody-epr17012-35-ab253241'>ab253241</a>) at 1/1000 dilution

Lanes 1 - 2:

Western blot - Anti-CD62L antibody [EPR17012-35] - BSA and Azide free (ab254204) at 1/1000 dilution

Lane 1:

Mouse serum unboiled at 20 µg

Lane 2:

Mouse serum boiled at 20 µg

Secondary

All lanes:

Western blot - Goat Anti-Rabbit IgG H&L (HRP) (<a href='/en-us/products/secondary-antibodies/goat-rabbit-igg-h-l-hrp-ab97051'>ab97051</a>) at 1/20000 dilution

Observed band size: 75 kDa

false

Exposure time: 20s

Key facts

Host species

Rabbit

Clonality

Monoclonal

Clone number

EPR17012-35

Isotype

IgG

Carrier free

Yes

Reacts with

Mouse

Applications

Flow Cyt, WB

applications

Immunogen

The exact immunogen used to generate this antibody is proprietary information.

Reactivity data

{ "title": "Reactivity Data", "filters": { "stats": ["", "Species", "Dilution Info", "Notes"], "tabs": { "all-applications": {"fullname" : "All Applications", "shortname": "All Applications"}, "IP" : {"fullname" : "Immunoprecipitation", "shortname":"IP"}, "FlowCyt" : {"fullname" : "Flow Cytometry", "shortname":"Flow Cyt"}, "WB" : {"fullname" : "Western blot", "shortname":"WB"}, "IHCP" : {"fullname" : "Immunohistochemistry (Formalin/PFA-fixed paraffin-embedded sections)", "shortname":"IHC-P"}, "ICCIF" : {"fullname" : "Immunocytochemistry/ Immunofluorescence", "shortname":"ICC/IF"}, "IHCFr" : {"fullname" : "Immunohistochemistry (Frozen sections)", "shortname":"IHC-Fr"} }, "product-promise": { "all": "all", "testedAndGuaranteed": "tested", "guaranteed": "expected", "predicted": "predicted", "notRecommended": "not-recommended" } }, "values": { "Mouse": { "IP-species-checked": "notRecommended", "IP-species-dilution-info": "", "IP-species-notes": "<p></p>", "FlowCyt-species-checked": "testedAndGuaranteed", "FlowCyt-species-dilution-info": "", "FlowCyt-species-notes": "<p></p>", "WB-species-checked": "guaranteed", "WB-species-dilution-info": "", "WB-species-notes": "<p></p>", "IHCP-species-checked": "notRecommended", "IHCP-species-dilution-info": "", "IHCP-species-notes": "<p></p>", "ICCIF-species-checked": "notRecommended", "ICCIF-species-dilution-info": "", "ICCIF-species-notes": "<p></p>", "IHCFr-species-checked": "notRecommended", "IHCFr-species-dilution-info": "", "IHCFr-species-notes": "<p></p>" } } }

Product details

ab254204 is the carrier-free version of ab253241.

Patented technology
Our RabMAb® technology is a patented hybridoma-based technology for making rabbit monoclonal antibodies. For details on our patents, please refer to RabMAb® patents.

What are the advantages of a recombinant monoclonal antibody?
This product is a recombinant monoclonal antibody, which offers several advantages including:

  • - High batch-to-batch consistency and reproducibility
  • - Improved sensitivity and specificity
  • - Long-term security of supply
  • - Animal-free batch production

For more information, read more on recombinant antibodies.

Conjugation ready
Our carrier-free antibodies are typically supplied in a PBS-only formulation, purified and free of BSA, sodium azide and glycerol. This conjugation-ready format is designed for use with fluorochromes, metal isotopes, oligonucleotides, and enzymes, which makes them ideal for antibody labelling, functional and cell-based assays, flow-based assays (e.g. mass cytometry) and Multiplex Imaging applications.

Use our conjugation kits for antibody conjugates that are ready-to-use in as little as 20 minutes with 1 minute hands-on-time and 100% antibody recovery: available for fluorescent dyes, HRP, biotin and gold.

Compatibility
This product is compatible with the Maxpar® Antibody Labeling Kit from Fluidigm, without the need for antibody preparation. Maxpar® is a trademark of Fluidigm Canada Inc.

Properties and storage information

Form
Liquid
Purification technique
Affinity purification Protein A
Storage buffer
pH: 7.2 - 7.4 Constituents: PBS
Shipped at conditions
Blue Ice
Appropriate short-term storage conditions
+4°C
Appropriate long-term storage conditions
+4°C
Storage information
Do Not Freeze

Supplementary information

This supplementary information is collated from multiple sources and compiled automatically.

CD62L also known as L-selectin is a cell adhesion molecule with a mass of approximately 74 kDa. It is part of the L-selectin family and is found on the surface of leukocytes including T cells B cells neutrophils and monocytes. Mouse models frequently study CD62L under the name "MEL-14". CD62L plays an important role in mediating the adhesion and rolling of leukocytes on blood vessel endothelial cells during the immune response. Its structure allows it to interact specifically with carbohydrates on endothelial cells facilitating the initial steps of leukocyte extravasation into tissues.
Biological function summary

CD62L is involved in the migration of leukocytes into lymphoid tissues and sites of inflammation. It is not known to be part of a larger protein complex; rather it functions independently on the cell membrane. CD62L also assists in the homing of naive lymphocytes to peripheral lymph nodes. The molecule regulates how immune cells enter tissues through high endothelial venules acting as a critical entry point for leukocyte trafficking.

Pathways

CD62L contributes significantly to the immune trafficking pathway and leukocyte adhesion cascade. It works closely with other adhesion molecules like CD44 and CD54 (ICAM-1) which are important within the context of cellular responses during inflammation. CD62L's function in these pathways ensures that immune cells are properly directed to areas where they are needed most whether that is secondary lymphoid organs or inflamed tissues.

CD62L expression and function have been associated with inflammatory conditions and certain immune-related pathologies such as multiple sclerosis and rheumatoid arthritis. Altered CD62L expression can affect lymphocyte homing potentially playing a role in the pathogenesis of these conditions. The role of CD62L is also linked to proteins like CD44 which can modulate cell interactions and have overlapping functions in disease mechanisms influencing disease progression or resolution.

Product protocols

For this product, it's our understanding that no specific protocols are required. You can visit:

Target data

Calcium-dependent lectin that mediates cell adhesion by binding to glycoproteins on neighboring cells. Mediates the adherence of lymphocytes to endothelial cells of high endothelial venules in peripheral lymph nodes (PubMed : 1693096). Promotes initial tethering and rolling of leukocytes in endothelia (By similarity).
See full target information Sell

Product promise

We are committed to supporting your work with high-quality reagents, and we're here for you every step of the way. In the unlikely event that one of our products does not perform as expected, you're protected by our Product Promise.
For full details, please see our Terms & Conditions

Please note: All products are 'FOR RESEARCH USE ONLY. NOT FOR USE IN DIAGNOSTIC OR THERAPEUTIC PROCEDURES'.

For licensing inquiries, please contact partnerships@abcam.com