JavaScript is disabled in your browser. Please enable JavaScript to view this website.
AB182135

Anti-P-Selectin (CD62P) antibody [EPR2146(2)]

Be the first to review this product! Submit a review

|

(6 Publications)

Rabbit Recombinant Monoclonal CD62P antibody. Suitable for IHC-P, IP, WB and reacts with Human samples. Cited in 6 publications.

View Alternative Names

CD62P, GMRP, GRMP, SELP, P-selectin, CD62 antigen-like family member P, Granule membrane protein 140, Leukocyte-endothelial cell adhesion molecule 3, Platelet activation dependent granule-external membrane protein, GMP-140, LECAM3, PADGEM

5 Images
Immunohistochemistry (Formalin/PFA-fixed paraffin-embedded sections) - Anti-P-Selectin (CD62P) antibody [EPR2146(2)] (AB182135)
  • IHC-P

Unknown

Immunohistochemistry (Formalin/PFA-fixed paraffin-embedded sections) - Anti-P-Selectin (CD62P) antibody [EPR2146(2)] (AB182135)

Immunohistochemical analysis of paraffin-embedded Human spleen tissue labeling CD62P with ab182135 at 1/500 dilution followed by pre-diluted HRP-conjugated secondary antibody and counter-stained with Hematoxylin.

Perform heat mediated antigen retrieval with citrate buffer pH 6 before commencing with IHC staining protocol.

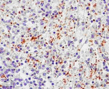
Immunohistochemistry (Formalin/PFA-fixed paraffin-embedded sections) - Anti-P-Selectin (CD62P) antibody [EPR2146(2)] (AB182135)
  • IHC-P

Supplier Data

Immunohistochemistry (Formalin/PFA-fixed paraffin-embedded sections) - Anti-P-Selectin (CD62P) antibody [EPR2146(2)] (AB182135)

Immunohistochemical analysis of paraffin-embedded Human gliocytoma tissue labeling CD62P with ab182135 at 1/500 dilution followed by pre-diluted HRP-conjugated secondary antibody and counter-stained with Hematoxylin.

Perform heat mediated antigen retrieval with citrate buffer pH 6 before commencing with IHC staining protocol.

Immunoprecipitation - Anti-P-Selectin (CD62P) antibody [EPR2146(2)] (AB182135)
  • IP

Supplier Data

Immunoprecipitation - Anti-P-Selectin (CD62P) antibody [EPR2146(2)] (AB182135)

Western blot analysis of immunoprecipitation pellet from Human plasma immunoprecipitated using ab182135 at 1/30 dilution. Secondary antibody Goat Anti-Rabbit IgG, (H+L), Peroxidase conjugated at 1/1000.

All lanes:

Immunoprecipitation - Anti-P-Selectin (CD62P) antibody [EPR2146(2)] (ab182135)

Predicted band size: 30 kDa,90 kDa

false

Western blot - Anti-P-Selectin (CD62P) antibody [EPR2146(2)] (AB182135)
  • WB

Supplier Data

Western blot - Anti-P-Selectin (CD62P) antibody [EPR2146(2)] (AB182135)

All lanes:

Western blot - Anti-P-Selectin (CD62P) antibody [EPR2146(2)] (ab182135) at 1/10000 dilution

All lanes:

Human plasma lysate at 20 µg

Secondary

All lanes:

Goat Anti-Rabbit IgG, (H+L), Peroxidase conjugated at 1/1000 dilution

Predicted band size: 90 kDa

false

Western blot - Anti-P-Selectin (CD62P) antibody [EPR2146(2)] (AB182135)
  • WB

Supplier Data

Western blot - Anti-P-Selectin (CD62P) antibody [EPR2146(2)] (AB182135)

All lanes:

Western blot - Anti-P-Selectin (CD62P) antibody [EPR2146(2)] (ab182135) at 1/2000 dilution

Lane 1:

Human fetal liver lysate at 20 µg

Lane 2:

Human placenta lysate at 20 µg

Secondary

All lanes:

Goat Anti-Rabbit IgG, (H+L), HRP at 1/1000 dilution

false

  • Carrier free

    Anti-P-Selectin (CD62P) antibody [EPR2146(2)] - BSA and Azide free

Key facts

Host species

Rabbit

Clonality

Monoclonal

Clone number

EPR2146(2)

Isotype

IgG

Carrier free

No

Reacts with

Human

Applications

WB, IP, IHC-P

applications

Immunogen

The exact immunogen used to generate this antibody is proprietary information.

Reactivity data

{ "title": "Reactivity Data", "filters": { "stats": ["", "Species", "Dilution Info", "Notes"], "tabs": { "all-applications": {"fullname" : "All Applications", "shortname": "All Applications"}, "IHCP" : {"fullname" : "Immunohistochemistry (Formalin/PFA-fixed paraffin-embedded sections)", "shortname":"IHC-P"}, "ICCIF" : {"fullname" : "Immunocytochemistry/ Immunofluorescence", "shortname":"ICC/IF"}, "IP" : {"fullname" : "Immunoprecipitation", "shortname":"IP"}, "FlowCyt" : {"fullname" : "Flow Cytometry", "shortname":"Flow Cyt"}, "WB" : {"fullname" : "Western blot", "shortname":"WB"} }, "product-promise": { "all": "all", "testedAndGuaranteed": "tested", "guaranteed": "expected", "predicted": "predicted", "notRecommended": "not-recommended" } }, "values": { "Human": { "IHCP-species-checked": "testedAndGuaranteed", "IHCP-species-dilution-info": "1/500", "IHCP-species-notes": "<p></p> Perform heat-mediated antigen retrieval with citrate buffer pH 6 before commencing with IHC staining protocol.", "ICCIF-species-checked": "notRecommended", "ICCIF-species-dilution-info": "", "ICCIF-species-notes": "<p></p>", "IP-species-checked": "testedAndGuaranteed", "IP-species-dilution-info": "1/30", "IP-species-notes": "<p></p>", "FlowCyt-species-checked": "notRecommended", "FlowCyt-species-dilution-info": "", "FlowCyt-species-notes": "<p></p>", "WB-species-checked": "testedAndGuaranteed", "WB-species-dilution-info": "1/1000 - 1/10000", "WB-species-notes": "<p></p>" } } }

Product details

Patented technology
Our RabMAb® technology is a patented hybridoma-based technology for making rabbit monoclonal antibodies. For details on our patents, please refer to RabMAb® patents.

What are the advantages of a recombinant monoclonal antibody?
This product is a recombinant monoclonal antibody, which offers several advantages including:

  • - High batch-to-batch consistency and reproducibility
  • - Improved sensitivity and specificity
  • - Long-term security of supply
  • - Animal-free batch production

For more information, read more on recombinant antibodies.

Properties and storage information

Form
Liquid
Purification technique
Affinity purification Protein A
Storage buffer
Preservative: 0.01% Sodium azide Constituents: PBS, 40% Glycerol (glycerin, glycerine), 0.05% BSA
Shipped at conditions
Blue Ice
Appropriate short-term storage duration
1-2 weeks
Appropriate short-term storage conditions
+4°C
Appropriate long-term storage conditions
-20°C
Aliquoting information
Upon delivery aliquot
Storage information
Avoid freeze / thaw cycle

Supplementary information

This supplementary information is collated from multiple sources and compiled automatically.

CD62P also known as P-selectin is a cell adhesion molecule expressed on the surface of activated endothelial cells and platelets. It is a type of protein with a known molecular weight of approximately 140 kDa. P-selectin plays a mechanical role in mediating leukocyte rolling on the endothelium which is an initial step in the inflammatory response. This protein is rapidly translocated to the plasma membrane upon platelet activation and is stored in alpha granules of platelets and Weibel-Palade bodies of endothelial cells.
Biological function summary

P-selectin is critical in the recruitment of leukocytes to sites of tissue injury and infection. It facilitates the adhesion of leukocytes to the vascular endothelium by binding to its ligand PSGL-1 on the leukocyte surface. This interaction supports the transition of leukocytes from the circulation to the site of inflammation. P-selectin is also involved in thrombus formation as it contributes to the interactions between platelets leukocytes and endothelium in the vascular wall. It acts as part of a dynamic complex in the regulation of the innate immune response and hemostasis.

Pathways

CD62P plays an important role in both the inflammatory and coagulation pathways. It is an important mediator in the leukocyte adhesion cascade influencing leukocyte tethering and rolling on activated endothelium. The interaction of P-selectin with PSGL-1 initiates the signaling pathways that lead to firm adhesion and extravasation of leukocytes. In the coagulation pathway P-selectin enhances interactions between platelets and leukocytes which support thrombus formation. Its regulation and activity are tightly linked with other proteins such as E-selectin and L-selectin in coordinating vascular and systemic inflammatory responses.

Altered expression of CD62P is associated with various inflammatory conditions and cardiovascular diseases. In thrombosis increased levels of P-selectin enhance platelet aggregation and stability of the thrombus contributing to pathological clot formation. Similarly in atherosclerosis P-selectin facilitates the recruitment of monocytes to the vessel wall promoting plaque development. The protein's function relates to interactions with key inflammatory mediators and its dysregulation is often observed in conditions like chronic inflammatory diseases and acute myocardial infarction.

Product protocols

For this product, it's our understanding that no specific protocols are required. You can visit:

Target data

Ca(2+)-dependent receptor for myeloid cells that binds to carbohydrates on neutrophils and monocytes. Mediates the interaction of activated endothelial cells or platelets with leukocytes. The ligand recognized is sialyl-Lewis X. Mediates rapid rolling of leukocyte rolling over vascular surfaces during the initial steps in inflammation through interaction with SELPLG. Mediates cell-cell interactions and cell adhesion via the interaction with integrin alpha-IIb/beta3 (ITGA2B : ITGB3) and integrin alpha-V/beta-3 (ITGAV : ITGB3) (PubMed : 37184585).
See full target information SELP

Publications (6)

Recent publications for all applications. Explore the full list and refine your search

Open life sciences 20:20220912 PubMed40226362

2025

AKAP12, mediated by transcription factor 21, inhibits cell proliferation, metastasis, and glycolysis in lung squamous cell carcinoma.

Applications

Unspecified application

Species

Unspecified reactive species

Juan Chen,Hehe Liao,Kaibin Wang,Tan Yan,Shaofei Ma,Guodong Bai

Drug delivery and translational research 15:3098-3118 PubMed39873880

2025

Platelet membrane-modified exosomes targeting plaques to activate autophagy in vascular smooth muscle cells for atherosclerotic therapy.

Applications

Unspecified application

Species

Unspecified reactive species

Yu Jiang,Zhi-Yao Wei,Zhi-Feng Song,Miao Yu,Ji Huang,Hai-Yan Qian

Cells 13: PubMed38201247

2024

Understanding -Associated Infective Endocarditis: Examining Heart Valve and Vegetation Appearance and the Role of Neutrophilic Leukocytes.

Applications

Unspecified application

Species

Unspecified reactive species

Kristians Meidrops,Valerija Groma,Niks Ricards Goldins,Lauma Apine,Sandra Skuja,Simons Svirskis,Dita Gudra,Davids Fridmanis,Peteris Stradins

Journal of inflammation research 16:827-843 PubMed36876153

2023

The , and Genes Associated with Atherosclerosis May Be Potential Diagnostic Biomarkers for Psoriasis.

Applications

Unspecified application

Species

Unspecified reactive species

Shougang Liu,Fanghua Liu,Zeqiao Zhang,Zhe Zhuang,Xiuqing Yuan,Yongfeng Chen

Journal of thrombosis and haemostasis : JTH 20:729-741 PubMed34846792

2021

A peptide from the staphylococcal protein Efb binds P-selectin and inhibits the interaction of platelets with leukocytes.

Applications

Unspecified application

Species

Unspecified reactive species

Stuart Wallis,Nina Wolska,Hanna Englert,Mareike Posner,Abhishek Upadhyay,Thomas Renné,Ian Eggleston,Stefan Bagby,Giordano Pula

Journal of cell communication and signaling 15:421-432 PubMed34080128

2021

Aneurysm severity is suppressed by deletion of CCN4.

Applications

Unspecified application

Species

Unspecified reactive species

Helen Williams,Kerry S Wadey,Aleksandra Frankow,Hazel C Blythe,Tessa Forbes,Jason L Johnson,Sarah J George
View all publications

Product promise

We are committed to supporting your work with high-quality reagents, and we're here for you every step of the way. In the unlikely event that one of our products does not perform as expected, you're protected by our Product Promise.
For full details, please see our Terms & Conditions

Please note: All products are 'FOR RESEARCH USE ONLY. NOT FOR USE IN DIAGNOSTIC OR THERAPEUTIC PROCEDURES'.

For licensing inquiries, please contact partnerships@abcam.com