JavaScript is disabled in your browser. Please enable JavaScript to view this website.
AB255822

Anti-P-Selectin (CD62P) antibody [EPR22850-190]

Be the first to review this product! Submit a review

|

(12 Publications)

Anti-CD62P antibody [EPR22850-190] (ab255822) is a rabbit monoclonal antibody detecting CD62P in Western Blot, IHC-P. Suitable for Human, Mouse.

- Biophysical QC for unrivalled batch-batch consistency

View Alternative Names

CD62P, GMRP, GRMP, SELP, P-selectin, CD62 antigen-like family member P, Granule membrane protein 140, Leukocyte-endothelial cell adhesion molecule 3, Platelet activation dependent granule-external membrane protein, GMP-140, LECAM3, PADGEM

5 Images
Immunohistochemistry (Formalin/PFA-fixed paraffin-embedded sections) - Anti-P-Selectin (CD62P) antibody [EPR22850-190] (AB255822)
  • IHC-P

Unknown

Immunohistochemistry (Formalin/PFA-fixed paraffin-embedded sections) - Anti-P-Selectin (CD62P) antibody [EPR22850-190] (AB255822)

Immunohistochemical analysis of paraffin-embedded Human spleen tissue labeling CD62P with ab255822 at 1/500 dilution (1.178 ug/ml) followed by a ready to use Rabbit specific IHC polymer detection kit HRP/DAB (ab209101). Positive staining in platelets of human spleen (PMID : 2472431). The section was incubated with ab255822 for 15 mins at RT. The immunostaining was performed on a Leica Biosystems BOND®RX instrument. Counterstained with Hematoxylin.

Secondary antibody only control : Secondary antibody is a ready to use Rabbit specific IHC polymer detection kit HRP/DAB (ab209101)

Heat mediated antigen retrieval with Tris-EDTA buffer (pH 9.0, epitope retrieval solution 2) for 20 mins.

Immunohistochemistry (Formalin/PFA-fixed paraffin-embedded sections) - Anti-P-Selectin (CD62P) antibody [EPR22850-190] (AB255822)
  • IHC-P

Unknown

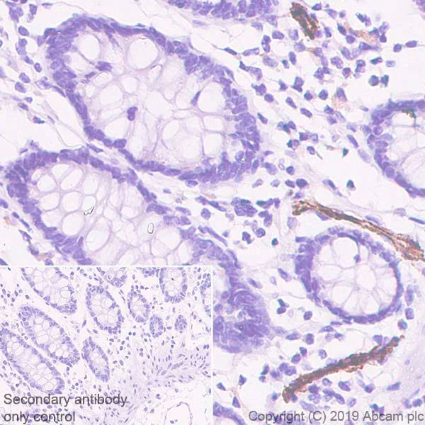
Immunohistochemistry (Formalin/PFA-fixed paraffin-embedded sections) - Anti-P-Selectin (CD62P) antibody [EPR22850-190] (AB255822)

Immunohistochemical analysis of paraffin-embedded Human stomach tissue labeling CD62P with ab255822 at 1/500 dilution (1.178 ug/ml) followed by a ready to use Rabbit specific IHC polymer detection kit HRP/DAB (ab209101). Positive staining in blood vessels of human stomach (PMID : 2472431). The section was incubated with ab255822 for 15 mins at RT. The immunostaining was performed on a Leica Biosystems BOND®RX instrument. Counterstained with Hematoxylin.

Secondary antibody only control : Secondary antibody is a ready to use Rabbit specific IHC polymer detection kit HRP/DAB (ab209101).

Heat mediated antigen retrieval with Tris-EDTA buffer (pH 9.0, epitope retrieval solution 2) for 20 mins.

Immunohistochemistry (Formalin/PFA-fixed paraffin-embedded sections) - Anti-P-Selectin (CD62P) antibody [EPR22850-190] (AB255822)
  • IHC-P

Unknown

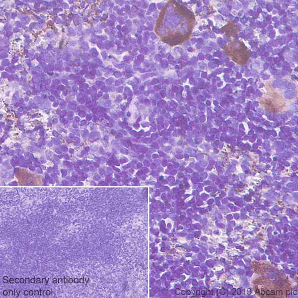
Immunohistochemistry (Formalin/PFA-fixed paraffin-embedded sections) - Anti-P-Selectin (CD62P) antibody [EPR22850-190] (AB255822)

Immunohistochemical analysis of paraffin-embedded Mouse spleen tissue labeling CD62P with ab255822 at 1/100 dilution (5.89 ug/ml) followed by a ready to use Rabbit specific IHC polymer detection kit HRP/DAB (ab209101). Positive staining in megakaryocytes and platelets of mouse spleen (PMID : 2472431). The section was incubated with ab255822 for 15 mins at RT. The immunostaining was performed on a Leica Biosystems BOND&~153;,RX instrument. Counterstained with Hematoxylin.

Secondary antibody only control : Secondary antibody is a ready to use Rabbit specific IHC polymer detection kit HRP/DAB (ab209101)

Heat mediated antigen retrieval with Tris-EDTA buffer (pH 9.0, epitope retrieval solution 2) for 20 mins.

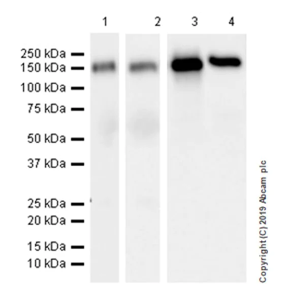
Western blot - Anti-P-Selectin (CD62P) antibody [EPR22850-190] (AB255822)
  • WB

Lab

Western blot - Anti-P-Selectin (CD62P) antibody [EPR22850-190] (AB255822)

Blocking and Dilution Buffer and concentration : 5% NFDM/TBST.

The expression profile/ molecular weight observed is consistent with what has been described in the literature (PMID : 24945938).

Exposure time : Lane 1 : 15 seconds; Lanes 2-4 : 8 seconds.

All lanes:

Western blot - Anti-P-Selectin (CD62P) antibody [EPR22850-190] (ab255822) at 1/1000 dilution

Lane 1:

Human serum at 20 µg

Lane 2:

Human plasma at 20 µg

Lane 3:

Human lung lysate at 20 µg

Lane 4:

Mouse platelet at 20 µg

Secondary

All lanes:

Western blot - Goat Anti-Rabbit IgG H&L (HRP) (<a href='/en-us/products/secondary-antibodies/goat-rabbit-igg-h-l-hrp-ab97051'>ab97051</a>) at 1/2000 dilution

Predicted band size: 90 kDa

Observed band size: 140 kDa

false

Western blot - Anti-P-Selectin (CD62P) antibody [EPR22850-190] (AB255822)
  • WB

Lab

Western blot - Anti-P-Selectin (CD62P) antibody [EPR22850-190] (AB255822)

Blocking and Dilution Buffer and concentration : 5% NFDM/TBST.

140KDa and 90KDa respectively represent glycosylated form and non-glycosylated form. The expression profile/ molecular weight observed is consistent with what has been described in the literature (PMID : 24945938). Negative control : HEK-293 (PMID : 7693674).

Exposure time : 26 seconds

All lanes:

Western blot - Anti-P-Selectin (CD62P) antibody [EPR22850-190] (ab255822) at 1/1000 dilution

Lane 1:

HUVEC (human umbilical vein endothelial cell) whole cell lysate at 20 µg

Lane 2:

HEK-293 (human embryonic kidney epithelial cell) whole cell lysate at 20 µg

Secondary

All lanes:

Western blot - Goat Anti-Rabbit IgG H&L (HRP) (<a href='/en-us/products/secondary-antibodies/goat-rabbit-igg-h-l-hrp-ab97051'>ab97051</a>) at 1/1000 dilution

Predicted band size: 90 kDa

Observed band size: 140 kDa,90 kDa

false

  • Carrier free

    Anti-P-Selectin (CD62P) antibody [EPR22850-190] - BSA and Azide free

Key facts

Host species

Rabbit

Clonality

Monoclonal

Clone number

EPR22850-190

Isotype

IgG

Carrier free

No

Reacts with

Mouse, Human

Applications

IHC-P, WB

applications

Immunogen

The exact immunogen used to generate this antibody is proprietary information.

Reactivity data

{ "title": "Reactivity Data", "filters": { "stats": ["", "Species", "Dilution Info", "Notes"], "tabs": { "all-applications": {"fullname" : "All Applications", "shortname": "All Applications"}, "IP" : {"fullname" : "Immunoprecipitation", "shortname":"IP"}, "FlowCyt" : {"fullname" : "Flow Cytometry", "shortname":"Flow Cyt"}, "WB" : {"fullname" : "Western blot", "shortname":"WB"}, "ICCIF" : {"fullname" : "Immunocytochemistry/ Immunofluorescence", "shortname":"ICC/IF"}, "IHCP" : {"fullname" : "Immunohistochemistry (Formalin/PFA-fixed paraffin-embedded sections)", "shortname":"IHC-P"} }, "product-promise": { "all": "all", "testedAndGuaranteed": "tested", "guaranteed": "expected", "predicted": "predicted", "notRecommended": "not-recommended" } }, "values": { "Human": { "IP-species-checked": "notRecommended", "IP-species-dilution-info": "", "IP-species-notes": "<p></p>", "FlowCyt-species-checked": "notRecommended", "FlowCyt-species-dilution-info": "", "FlowCyt-species-notes": "<p></p>", "WB-species-checked": "testedAndGuaranteed", "WB-species-dilution-info": "1/1000", "WB-species-notes": "<p></p>", "ICCIF-species-checked": "notRecommended", "ICCIF-species-dilution-info": "", "ICCIF-species-notes": "<p></p>", "IHCP-species-checked": "testedAndGuaranteed", "IHCP-species-dilution-info": "1/500", "IHCP-species-notes": "<p>Heat mediated antigen retrieval with Tris-EDTA buffer (pH 9.0, epitope retrieval solution 2) for 20 mins.</p> Perform heat-mediated antigen retrieval with Tris/EDTA buffer pH 9.0 before commencing with IHC staining protocol." }, "Mouse": { "IP-species-checked": "notRecommended", "IP-species-dilution-info": "", "IP-species-notes": "", "FlowCyt-species-checked": "notRecommended", "FlowCyt-species-dilution-info": "", "FlowCyt-species-notes": "", "WB-species-checked": "testedAndGuaranteed", "WB-species-dilution-info": "1/1000", "WB-species-notes": "<p></p>", "ICCIF-species-checked": "notRecommended", "ICCIF-species-dilution-info": "", "ICCIF-species-notes": "", "IHCP-species-checked": "testedAndGuaranteed", "IHCP-species-dilution-info": "1/500", "IHCP-species-notes": "<p>Heat mediated antigen retrieval with Tris-EDTA buffer (pH 9.0, epitope retrieval solution 2) for 20 mins.</p> Perform heat-mediated antigen retrieval with Tris/EDTA buffer pH 9.0 before commencing with IHC staining protocol." } } }

Product details

What is this antibody validated in?
Anti-CD62P antibody [EPR22850-190] (ab255822) is a rabbit recombinant monoclonal antibody and is validated for use in Western Blot (WB), Immunohistochemistry (IHC-P) in Human, Mouse samples.

Trial sizes available!
Test your antibody or perform pre-screening before committing to a larger quantity. Sold in 10µl. Discover our selection of trial-size antibodies.

Other related products
We have a range of other formats of antibody clone [EPR22850-190] also available for your convenience: ab255822, Carrier free - ab256823

Patented technology
Our RabMAb® technology is a patented hybridoma-based technology for making rabbit monoclonal antibodies. For details on our patents, please refer to RabMAb® patents.

What are the advantages of a recombinant monoclonal antibody?
This product is a recombinant monoclonal antibody, which offers several advantages including:

  • - High batch-to-batch consistency and reproducibility
  • - Improved sensitivity and specificity
  • - Long-term security of supply
  • - Animal-free batch production

For more information, read more on recombinant antibodies.

Properties and storage information

Form
Liquid
Purification technique
Affinity purification Protein A
Storage buffer
pH: 7.2 - 7.4 Preservative: 0.01% Sodium azide Constituents: PBS, 40% Glycerol (glycerin, glycerine), 0.05% BSA
Shipped at conditions
Blue Ice
Appropriate short-term storage duration
1-2 weeks
Appropriate short-term storage conditions
+4°C
Appropriate long-term storage conditions
-20°C
Aliquoting information
Upon delivery aliquot
Storage information
Avoid freeze / thaw cycle

Supplementary information

This supplementary information is collated from multiple sources and compiled automatically.

CD62P also known as P-selectin is a cell adhesion molecule expressed on the surface of activated endothelial cells and platelets. It is a type of protein with a known molecular weight of approximately 140 kDa. P-selectin plays a mechanical role in mediating leukocyte rolling on the endothelium which is an initial step in the inflammatory response. This protein is rapidly translocated to the plasma membrane upon platelet activation and is stored in alpha granules of platelets and Weibel-Palade bodies of endothelial cells.
Biological function summary

P-selectin is critical in the recruitment of leukocytes to sites of tissue injury and infection. It facilitates the adhesion of leukocytes to the vascular endothelium by binding to its ligand PSGL-1 on the leukocyte surface. This interaction supports the transition of leukocytes from the circulation to the site of inflammation. P-selectin is also involved in thrombus formation as it contributes to the interactions between platelets leukocytes and endothelium in the vascular wall. It acts as part of a dynamic complex in the regulation of the innate immune response and hemostasis.

Pathways

CD62P plays an important role in both the inflammatory and coagulation pathways. It is an important mediator in the leukocyte adhesion cascade influencing leukocyte tethering and rolling on activated endothelium. The interaction of P-selectin with PSGL-1 initiates the signaling pathways that lead to firm adhesion and extravasation of leukocytes. In the coagulation pathway P-selectin enhances interactions between platelets and leukocytes which support thrombus formation. Its regulation and activity are tightly linked with other proteins such as E-selectin and L-selectin in coordinating vascular and systemic inflammatory responses.

Altered expression of CD62P is associated with various inflammatory conditions and cardiovascular diseases. In thrombosis increased levels of P-selectin enhance platelet aggregation and stability of the thrombus contributing to pathological clot formation. Similarly in atherosclerosis P-selectin facilitates the recruitment of monocytes to the vessel wall promoting plaque development. The protein's function relates to interactions with key inflammatory mediators and its dysregulation is often observed in conditions like chronic inflammatory diseases and acute myocardial infarction.

Product protocols

For this product, it's our understanding that no specific protocols are required. You can visit:

Target data

Ca(2+)-dependent receptor for myeloid cells that binds to carbohydrates on neutrophils and monocytes. Mediates the interaction of activated endothelial cells or platelets with leukocytes. The ligand recognized is sialyl-Lewis X. Mediates rapid rolling of leukocyte rolling over vascular surfaces during the initial steps in inflammation through interaction with SELPLG. Mediates cell-cell interactions and cell adhesion via the interaction with integrin alpha-IIb/beta3 (ITGA2B : ITGB3) and integrin alpha-V/beta-3 (ITGAV : ITGB3) (PubMed : 37184585).
See full target information SELP

Publications (12)

Recent publications for all applications. Explore the full list and refine your search

Science advances 11:eadw5133 PubMed40737399

2025

Biomimetic targeted self-adaptive nanodrug for inflammation optimization and AT2 cell modulation in precise ARDS therapy.

Applications

Unspecified application

Species

Unspecified reactive species

Cheng Chen,Danfeng He,Xilan Li,Zelin Ou,Hong Wang,Zhinan Shou,Li Wang,Zhengwei Mao,Xiaolan Qi,Jun Deng

Journal of translational medicine 23:841 PubMed40713829

2025

Platelet membrane-coated nanoparticles inhibit platelet activation and neutrophil extracellular traps formation in acute lung injury.

Applications

Unspecified application

Species

Unspecified reactive species

Xingyu Li,Zhaoxia Tang,Liangjian Kuang,Yongjian Wu,Xi Huang

Journal of biomedical science 31:87 PubMed39237980

2024

Neuroprotective effects of intranasal extracellular vesicles from human platelet concentrates supernatants in traumatic brain injury and Parkinson's disease models.

Applications

Unspecified application

Species

Unspecified reactive species

Liling Delila,Ouada Nebie,Nhi Thao Ngoc Le,Kelly Timmerman,Deng-Yao Lee,Yu-Wen Wu,Ming-Li Chou,Luc Buée,Szu-Yi Chou,David Blum,David Devos,Thierry Burnouf

Nature communications 15:7560 PubMed39215014

2024

AI-powered omics-based drug pair discovery for pyroptosis therapy targeting triple-negative breast cancer.

Applications

Unspecified application

Species

Unspecified reactive species

Boshu Ouyang,Caihua Shan,Shun Shen,Xinnan Dai,Qingwang Chen,Xiaomin Su,Yongbin Cao,Xifeng Qin,Ying He,Siyu Wang,Ruizhe Xu,Ruining Hu,Leming Shi,Tun Lu,Wuli Yang,Shaojun Peng,Jun Zhang,Jianxin Wang,Dongsheng Li,Zhiqing Pang

British journal of cancer 131:271-282 PubMed38862740

2024

Tumour cell-derived serglycin promotes IL-8 secretion of CAFs in gastric cancer.

Applications

Unspecified application

Species

Unspecified reactive species

Xiang Li,Guiping Xie,Jia Chen,Yaohui Wang,Jing Zhai,Lizong Shen

Aging cell 23:e14050 PubMed38098255

2023

Viral uptake and pathophysiology of the lung endothelial cells in age-associated severe SARS-CoV-2 infection models.

Applications

Unspecified application

Species

Unspecified reactive species

Takuya Tsumita,Ryo Takeda,Nako Maishi,Yasuhiro Hida,Michihito Sasaki,Yasuko Orba,Akihiko Sato,Shinsuke Toba,Wataru Ito,Takahito Teshirogi,Yuya Sakurai,Tomohiro Iba,Hisamichi Naito,Hitoshi Ando,Haruhisa Watanabe,Amane Mizuno,Toshiki Nakanishi,Aya Matsuda,Ren Zixiao,Ji-Won Lee,Tadahiro Iimura,Hirofumi Sawa,Kyoko Hida

Cancer science 115:648-659 PubMed38096871

2023

Oral bacterium Streptococcus mutans promotes tumor metastasis through thrombosis formation.

Applications

Unspecified application

Species

Unspecified reactive species

Li Yu,Yuying Hong,Nako Maishi,Aya Yanagawa Matsuda,Yasuhiro Hida,Akira Hasebe,Yoshimasa Kitagawa,Kyoko Hida

Journal of nanobiotechnology 20:249 PubMed35642036

2022

Targeted delivery of fat extract by platelet membrane-cloaked nanocarriers for the treatment of ischemic stroke.

Applications

Unspecified application

Species

Unspecified reactive species

Cheng Wang,Xuewei Yang,Yixu Jiang,Lin Qi,Deli Zhuge,Tongtong Xu,Yiyan Guo,Mingwu Deng,Wenjie Zhang,Dongyan Tian,Qingqing Yin,Li Li,Zhijun Zhang,Yongting Wang,Guo-Yuan Yang,Yijie Chen,Yaohui Tang

Nature communications 13:2762 PubMed35589797

2022

The phosphatase PTEN links platelets with immune regulatory functions of mouse T follicular helper cells.

Applications

Unspecified application

Species

Unspecified reactive species

Xue Chen,Yanyan Xu,Qidi Chen,Heng Zhang,Yu Zeng,Yan Geng,Lei Shen,Fubin Li,Lei Chen,Guo-Qiang Chen,Chuanxin Huang,Junling Liu

Frontiers in bioengineering and biotechnology 10:885105 PubMed35646869

2022

Regulating Acidosis and Relieving Hypoxia by Platelet Membrane-Coated Nanoparticle for Enhancing Tumor Chemotherapy.

Applications

Unspecified application

Species

Unspecified reactive species

Xingyu Luo,Jian Cao,Jianming Yu,Dongqing Dai,Wei Jiang,Yahui Feng,Yong Hu
View all publications

Product promise

We are committed to supporting your work with high-quality reagents, and we're here for you every step of the way. In the unlikely event that one of our products does not perform as expected, you're protected by our Product Promise.
For full details, please see our Terms & Conditions

Please note: All products are 'FOR RESEARCH USE ONLY. NOT FOR USE IN DIAGNOSTIC OR THERAPEUTIC PROCEDURES'.

For licensing inquiries, please contact partnerships@abcam.com