JavaScript is disabled in your browser. Please enable JavaScript to view this website.
AB256823

Anti-CD62P antibody [EPR22850-190] - BSA and Azide free

5

(1 Review)

|

(0 Publication)

Rabbit Recombinant Monoclonal CD62P antibody. Carrier free. Suitable for WB, IHC-P and reacts with Mouse, Human samples.

View Alternative Names

CD62P, GMRP, GRMP, SELP, P-selectin, CD62 antigen-like family member P, Granule membrane protein 140, Leukocyte-endothelial cell adhesion molecule 3, Platelet activation dependent granule-external membrane protein, GMP-140, LECAM3, PADGEM

3 Images
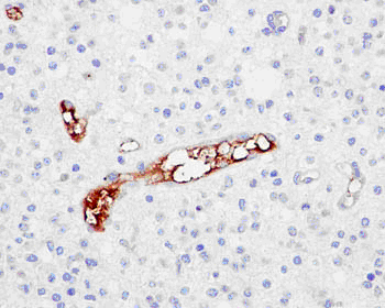
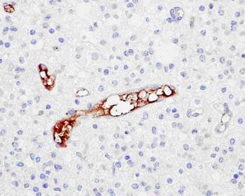
Immunohistochemistry (Formalin/PFA-fixed paraffin-embedded sections) - Anti-CD62P antibody [EPR22850-190] - BSA and Azide free (AB256823)
  • IHC-P

Unknown

Immunohistochemistry (Formalin/PFA-fixed paraffin-embedded sections) - Anti-CD62P antibody [EPR22850-190] - BSA and Azide free (AB256823)

Immunohistochemical analysis of paraffin-embedded Human stomach tissue labeling CD62P with ab255822 at 1/500 dilution (1.178 ug/ml) followed by a ready to use Rabbit specific IHC polymer detection kit HRP/DAB (ab209101). Positive staining in blood vessels of human stomach (PMID : 2472431). The section was incubated with ab255822 for 15 mins at RT. The immunostaining was performed on a Leica Biosystems BOND®RX instrument. Counterstained with Hematoxylin.

Secondary antibody only control : Secondary antibody is a ready to use Rabbit specific IHC polymer detection kit HRP/DAB (ab209101)

Heat mediated antigen retrieval with Tris-EDTA buffer (pH 9.0, epitope retrieval solution 2) for 20 mins.

This data was developed using the same antibody clone in a different buffer formulation containing PBS, BSA, glycerol, and sodium azide (ab255822).

Immunohistochemistry (Formalin/PFA-fixed paraffin-embedded sections) - Anti-CD62P antibody [EPR22850-190] - BSA and Azide free (AB256823)
  • IHC-P

Unknown

Immunohistochemistry (Formalin/PFA-fixed paraffin-embedded sections) - Anti-CD62P antibody [EPR22850-190] - BSA and Azide free (AB256823)

Immunohistochemical analysis of paraffin-embedded Mouse spleen tissue labeling CD62P with ab255822 at 1/100 dilution (5.89 ug/ml) followed by a ready to use Rabbit specific IHC polymer detection kit HRP/DAB (ab209101). Positive staining in megakaryocytes and platelets of mouse spleen (PMID : 2472431). The section was incubated with ab255822 for 15 mins at RT. The immunostaining was performed on a Leica Biosystems BOND®RX instrument. Counterstained with Hematoxylin.

Secondary antibody only control : Secondary antibody is a ready to use Rabbit specific IHC polymer detection kit HRP/DAB (ab209101)

Heat mediated antigen retrieval with Tris-EDTA buffer (pH 9.0, epitope retrieval solution 2) for 20 mins.

Heat mediated antigen retrieval with Tris-EDTA buffer (pH 9.0, epitope retrieval solution 2) for 20 mins.

This data was developed using the same antibody clone in a different buffer formulation containing PBS, BSA, glycerol, and sodium azide (ab255822).

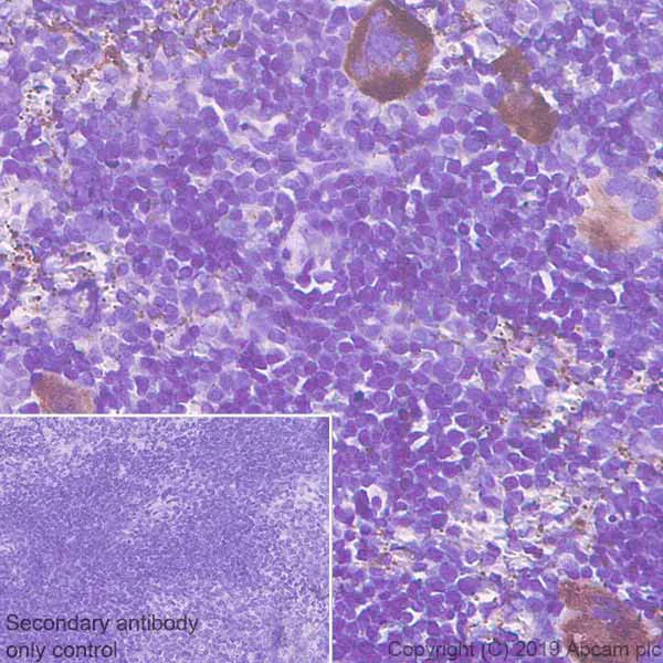
Immunohistochemistry (Formalin/PFA-fixed paraffin-embedded sections) - Anti-CD62P antibody [EPR22850-190] - BSA and Azide free (AB256823)
  • IHC-P

Unknown

Immunohistochemistry (Formalin/PFA-fixed paraffin-embedded sections) - Anti-CD62P antibody [EPR22850-190] - BSA and Azide free (AB256823)

Immunohistochemical analysis of paraffin-embedded Human spleen tissue labeling CD62P with ab255822 at 1/500 dilution (1.178 ug/ml) followed by a ready to use Rabbit specific IHC polymer detection kit HRP/DAB (ab209101). Positive staining in platelets of human spleen (PMID : 2472431). The section was incubated with ab255822 for 15 mins at RT. The immunostaining was performed on a Leica Biosystems BOND®RX instrument. Counterstained with Hematoxylin.

Secondary antibody only control : Secondary antibody is a ready to use Rabbit specific IHC polymer detection kit HRP/DAB (ab209101)

Heat mediated antigen retrieval with Tris-EDTA buffer (pH 9.0, epitope retrieval solution 2) for 20 mins.

This data was developed using the same antibody clone in a different buffer formulation containing PBS, BSA, glycerol, and sodium azide (ab255822).

Key facts

Host species

Rabbit

Clonality

Monoclonal

Clone number

EPR22850-190

Isotype

IgG

Carrier free

Yes

Reacts with

Mouse, Human

Applications

IHC-P, WB

applications

Immunogen

The exact immunogen used to generate this antibody is proprietary information.

Reactivity data

{ "title": "Reactivity Data", "filters": { "stats": ["", "Species", "Dilution Info", "Notes"], "tabs": { "all-applications": {"fullname" : "All Applications", "shortname": "All Applications"}, "IP" : {"fullname" : "Immunoprecipitation", "shortname":"IP"}, "FlowCyt" : {"fullname" : "Flow Cytometry", "shortname":"Flow Cyt"}, "WB" : {"fullname" : "Western blot", "shortname":"WB"}, "ICCIF" : {"fullname" : "Immunocytochemistry/ Immunofluorescence", "shortname":"ICC/IF"}, "IHCP" : {"fullname" : "Immunohistochemistry (Formalin/PFA-fixed paraffin-embedded sections)", "shortname":"IHC-P"} }, "product-promise": { "all": "all", "testedAndGuaranteed": "tested", "guaranteed": "expected", "predicted": "predicted", "notRecommended": "not-recommended" } }, "values": { "Human": { "IP-species-checked": "notRecommended", "IP-species-dilution-info": "", "IP-species-notes": "<p></p>", "FlowCyt-species-checked": "notRecommended", "FlowCyt-species-dilution-info": "", "FlowCyt-species-notes": "<p></p>", "WB-species-checked": "testedAndGuaranteed", "WB-species-dilution-info": "", "WB-species-notes": "<p></p>", "ICCIF-species-checked": "notRecommended", "ICCIF-species-dilution-info": "", "ICCIF-species-notes": "<p></p>", "IHCP-species-checked": "testedAndGuaranteed", "IHCP-species-dilution-info": "", "IHCP-species-notes": "<p>Heat mediated antigen retrieval with Tris-EDTA buffer (pH 9.0, epitope retrieval solution 2) for 20 mins.</p>" }, "Mouse": { "IP-species-checked": "notRecommended", "IP-species-dilution-info": "", "IP-species-notes": "<p></p>", "FlowCyt-species-checked": "notRecommended", "FlowCyt-species-dilution-info": "", "FlowCyt-species-notes": "<p></p>", "WB-species-checked": "testedAndGuaranteed", "WB-species-dilution-info": "", "WB-species-notes": "<p></p>", "ICCIF-species-checked": "notRecommended", "ICCIF-species-dilution-info": "", "ICCIF-species-notes": "<p></p>", "IHCP-species-checked": "testedAndGuaranteed", "IHCP-species-dilution-info": "", "IHCP-species-notes": "<p>Heat mediated antigen retrieval with Tris-EDTA buffer (pH 9.0, epitope retrieval solution 2) for 20 mins.</p>" } } }

Product details

ab256823 is the carrier-free version of ab255822.

Patented technology
Our RabMAb® technology is a patented hybridoma-based technology for making rabbit monoclonal antibodies. For details on our patents, please refer to RabMAb® patents.

What are the advantages of a recombinant monoclonal antibody?
This product is a recombinant monoclonal antibody, which offers several advantages including:

  • - High batch-to-batch consistency and reproducibility
  • - Improved sensitivity and specificity
  • - Long-term security of supply
  • - Animal-free batch production

For more information, read more on recombinant antibodies.

Conjugation ready
Our carrier-free antibodies are typically supplied in a PBS-only formulation, purified and free of BSA, sodium azide and glycerol. This conjugation-ready format is designed for use with fluorochromes, metal isotopes, oligonucleotides, and enzymes, which makes them ideal for antibody labelling, functional and cell-based assays, flow-based assays (e.g. mass cytometry) and Multiplex Imaging applications.

Use our conjugation kits for antibody conjugates that are ready-to-use in as little as 20 minutes with 1 minute hands-on-time and 100% antibody recovery: available for fluorescent dyes, HRP, biotin and gold.

Compatibility
This product is compatible with the Maxpar® Antibody Labeling Kit from Fluidigm, without the need for antibody preparation. Maxpar® is a trademark of Fluidigm Canada Inc.

Properties and storage information

Form
Liquid
Purification technique
Affinity purification Protein A
Storage buffer
pH: 7.2 - 7.4 Constituents: PBS
Shipped at conditions
Blue Ice
Appropriate short-term storage conditions
+4°C
Appropriate long-term storage conditions
+4°C
Storage information
Do Not Freeze

Supplementary information

This supplementary information is collated from multiple sources and compiled automatically.

CD62P also known as P-selectin is a cell adhesion molecule expressed on the surface of activated endothelial cells and platelets. It is a type of protein with a known molecular weight of approximately 140 kDa. P-selectin plays a mechanical role in mediating leukocyte rolling on the endothelium which is an initial step in the inflammatory response. This protein is rapidly translocated to the plasma membrane upon platelet activation and is stored in alpha granules of platelets and Weibel-Palade bodies of endothelial cells.
Biological function summary

P-selectin is critical in the recruitment of leukocytes to sites of tissue injury and infection. It facilitates the adhesion of leukocytes to the vascular endothelium by binding to its ligand PSGL-1 on the leukocyte surface. This interaction supports the transition of leukocytes from the circulation to the site of inflammation. P-selectin is also involved in thrombus formation as it contributes to the interactions between platelets leukocytes and endothelium in the vascular wall. It acts as part of a dynamic complex in the regulation of the innate immune response and hemostasis.

Pathways

CD62P plays an important role in both the inflammatory and coagulation pathways. It is an important mediator in the leukocyte adhesion cascade influencing leukocyte tethering and rolling on activated endothelium. The interaction of P-selectin with PSGL-1 initiates the signaling pathways that lead to firm adhesion and extravasation of leukocytes. In the coagulation pathway P-selectin enhances interactions between platelets and leukocytes which support thrombus formation. Its regulation and activity are tightly linked with other proteins such as E-selectin and L-selectin in coordinating vascular and systemic inflammatory responses.

Altered expression of CD62P is associated with various inflammatory conditions and cardiovascular diseases. In thrombosis increased levels of P-selectin enhance platelet aggregation and stability of the thrombus contributing to pathological clot formation. Similarly in atherosclerosis P-selectin facilitates the recruitment of monocytes to the vessel wall promoting plaque development. The protein's function relates to interactions with key inflammatory mediators and its dysregulation is often observed in conditions like chronic inflammatory diseases and acute myocardial infarction.

Product protocols

For this product, it's our understanding that no specific protocols are required. You can visit:

Target data

Ca(2+)-dependent receptor for myeloid cells that binds to carbohydrates on neutrophils and monocytes. Mediates the interaction of activated endothelial cells or platelets with leukocytes. The ligand recognized is sialyl-Lewis X. Mediates rapid rolling of leukocyte rolling over vascular surfaces during the initial steps in inflammation through interaction with SELPLG. Mediates cell-cell interactions and cell adhesion via the interaction with integrin alpha-IIb/beta3 (ITGA2B : ITGB3) and integrin alpha-V/beta-3 (ITGAV : ITGB3) (PubMed : 37184585).
See full target information SELP

Product promise

We are committed to supporting your work with high-quality reagents, and we're here for you every step of the way. In the unlikely event that one of our products does not perform as expected, you're protected by our Product Promise.
For full details, please see our Terms & Conditions

Please note: All products are 'FOR RESEARCH USE ONLY. NOT FOR USE IN DIAGNOSTIC OR THERAPEUTIC PROCEDURES'.

For licensing inquiries, please contact partnerships@abcam.com