JavaScript is disabled in your browser. Please enable JavaScript to view this website.
AB252919

Anti-CD63 antibody [EPR22458-280]

Be the first to review this product! Submit a review

|

(7 Publications)

Rabbit Recombinant Monoclonal CD63 antibody. Suitable for Flow Cyt (Intra), ICC/IF, IHC-P and reacts with Human samples. Cited in 7 publications.

View Alternative Names

CD63, MLA1, TSPAN30, CD63 antigen, Granulophysin, Lysosomal-associated membrane protein 3, Lysosome integral membrane protein 1, Melanoma-associated antigen ME491, OMA81H, Ocular melanoma-associated antigen, Tetraspanin-30, LAMP-3, Limp1, Tspan-30

7 Images
Flow Cytometry - Anti-CD63 antibody [EPR22458-280] (AB252919)
  • Flow Cyt

Unknown

Flow Cytometry - Anti-CD63 antibody [EPR22458-280] (AB252919)

Flow cytometric analysis of SK-MEL-28 (human malignant melanoma cell line) cells labeling CD63 with ab252919 at 1/60 (red) compared with a Rabbit monoclonal IgG Isotype control (ab172730) (black) and an unlabelled control (cells without incubation with primary antibody and secondary antibody) (blue). Goat Anti-Rabbit IgG H&L (Alexa Fluor® 488) (ab150077), at 1/2000 dilution was used as the secondary antibody.

Left panel : No fixation/permeabilization; Gated on viable cells for surface CD63 staining.

Right panel : 4% paraformadehyde fixation / 90% methanol permeabilization.

Immunocytochemistry/ Immunofluorescence - Anti-CD63 antibody [EPR22458-280] (AB252919)
  • ICC/IF

Unknown

Immunocytochemistry/ Immunofluorescence - Anti-CD63 antibody [EPR22458-280] (AB252919)

Immunofluorescent analysis of 4% paraformaldehyde-fixed, 0.1% Triton X-100 permeabilized SK-MEL-28 (human malignant melanoma cell line) cells labeling CD63 with ab252919 at 1/1000 dilution, followed by Goat Anti-Rabbit IgG H&L (Alexa Fluor® 488) (ab150077) secondary antibody at 1/1000 dilution (green). Confocal image showing lysosome/endosomes co-staining in SK-MEL-28 cell line. The nuclear counterstain is DAPI (blue). Lysosomes/endosomes are detected with Anti-LAMP1 antibody [H4A3] (ab25630) at 1/200 dilution, followed by Goat Anti-Mouse IgG H&L (Alexa Fluor® 594) preadsorbed (ab150120) (red).

Secondary antibody only control : Used PBS instead of primary antibody, followed by Goat Anti-Rabbit IgG H&L (Alexa Fluor® 488) (ab150077) secondary antibody at 1/1000 dilution.

Immunocytochemistry/ Immunofluorescence - Anti-CD63 antibody [EPR22458-280] (AB252919)
  • ICC/IF

Unknown

Immunocytochemistry/ Immunofluorescence - Anti-CD63 antibody [EPR22458-280] (AB252919)

Immunofluorescent analysis of 4% paraformaldehyde-fixed, 0.1% Triton X-100 permeabilized SK-MEL-28 (human malignant melanoma cell line) cells labeling CD63 with ab252919 at 1/1000 dilution, followed by Goat Anti-Rabbit IgG H&L (Alexa Fluor® 488) (ab150077) secondary antibody at 1/1000 dilution (green). Confocal image showing cytoplasmic and membranous staining in SK-MEL-28 cell line. The nuclear counterstain is DAPI (blue). Tubulin is detected with Anti-alpha Tubulin antibody [DM1A] - Microtubule Marker (Alexa Fluor® 594) (ab195889) at 1/200 dilution (red).

Secondary antibody only control : Used PBS instead of primary antibody, followed by Goat Anti-Rabbit IgG H&L (Alexa Fluor® 488) (ab150077) secondary antibody at 1/1000 dilution.

Flow Cytometry (Intracellular) - Anti-CD63 antibody [EPR22458-280] (AB252919)
  • Flow Cyt (Intra)

Unknown

Flow Cytometry (Intracellular) - Anti-CD63 antibody [EPR22458-280] (AB252919)

Flow cytometric analysis of human peripheral blood mononuclear cells labeling CD63 with ab252919 at 1/60 (right) compared with a Rabbit IgG, monoclonal [EPR25A] - Isotype Control (ab172730) (left). Goat Anti-Rabbit IgG Fc (Alexa Fluor® 488) preadsorbed (ab150097), at 1/5000 dilution was used as the secondary antibody.

Cells were stained with rabbit IgG (Left) or ab252919 (Right). Then stained with anti-CD14 conjugated to Alexa Fluor® 647.

Gated on viable cells.

Immunohistochemistry (Formalin/PFA-fixed paraffin-embedded sections) - Anti-CD63 antibody [EPR22458-280] (AB252919)
  • IHC-P

Unknown

Immunohistochemistry (Formalin/PFA-fixed paraffin-embedded sections) - Anti-CD63 antibody [EPR22458-280] (AB252919)

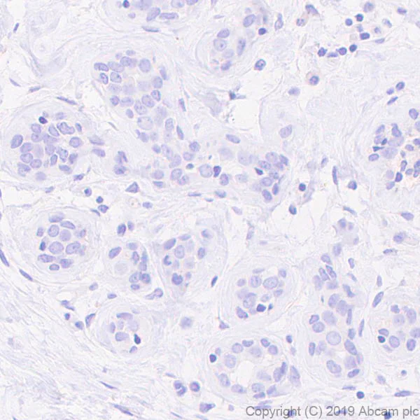
Immunohistochemical analysis of paraffin-embedded human breast tissue labeling CD63 with ab252919 at 1/500 dilution, followed by Goat Anti-Rabbit IgG H&L (HRP) ready to use. Counter stained with hematoxylin.
Secondary antibody only control : Used PBS instead of primary antibody, secondary antibody is Goat Anti-Rabbit IgG H&L (HRP) ready to use.

Negative control : No staining on normal epithelial cells and stromal cells in human breast (PMID : 22957045).

Heat mediated antigen retrieval using ab93684 (Tris/EDTA buffer, pH 9.0).

Immunohistochemistry (Formalin/PFA-fixed paraffin-embedded sections) - Anti-CD63 antibody [EPR22458-280] (AB252919)
  • IHC-P

Supplier Data

Immunohistochemistry (Formalin/PFA-fixed paraffin-embedded sections) - Anti-CD63 antibody [EPR22458-280] (AB252919)

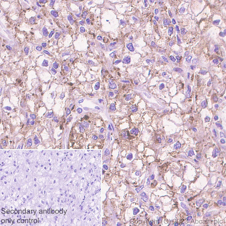
Immunohistochemical analysis of paraffin-embedded human clear cell renal cell carcinoma tissue labeling CD63 with ab252919 at 1/4000 dilution, followed by Rabbit specific IHC polymer detection kit HRP/DAB (ab209101), Ready to use. Counter stained with hematoxylin. Secondary antibody only control : Used PBS instead of primary antibody, secondary antibody is Rabbit specific IHC polymer detection kit HRP/DAB (ab209101). Heat mediated antigen retrieval was performed with Tris-EDTA buffer (pH 9.0, Epitope Retrieval Solution2) for 20 mins. Positive staining on human clear cell renal cell carcinoma. The section was incubated with ab252919 for 30 mins at room temperature. The immunostaining was performed on a Leica Biosystems BOND® RX instrument.

Immunohistochemistry (Formalin/PFA-fixed paraffin-embedded sections) - Anti-CD63 antibody [EPR22458-280] (AB252919)
  • IHC-P

Unknown

Immunohistochemistry (Formalin/PFA-fixed paraffin-embedded sections) - Anti-CD63 antibody [EPR22458-280] (AB252919)

Immunohistochemical analysis of paraffin-embedded human melanoma tissue labeling CD63 with ab252919 at 1/2000 dilution, followed by Rabbit specific IHC polymer detection kit HRP/DAB (ab209101). Cytoplasmic staining on human melanoma (PMID : 22425483) is observed. Counter stained with hematoxylin.
Secondary antibody only control : Used PBS instead of primary antibody, secondary antibody is Rabbit specific IHC polymer detection kit HRP/DAB (ab209101).

Heat mediated antigen retrieval with Tris-EDTA buffer (pH 9.0, epitope retrieval solution 2) for 20 minutes.

The section was incubated with ab252919 for 30 minutes at RT.

The immunostaining was performed on a Leica Biosystems BOND® RX instrument.

  • Carrier free

    Anti-CD63 antibody [EPR22458-280] - BSA and Azide free

  • 519 Alexa Fluor® 488

    Alexa Fluor® 488 Anti-CD63 antibody [EPR22458-280]

  • 578 PE

    PE Anti-CD63 antibody [EPR22458-280]

Key facts

Host species

Rabbit

Clonality

Monoclonal

Clone number

EPR22458-280

Isotype

IgG

Carrier free

No

Reacts with

Human

Applications

ICC/IF, IHC-P, Flow Cyt (Intra)

applications

Immunogen

The exact immunogen used to generate this antibody is proprietary information.

Reactivity data

{ "title": "Reactivity Data", "filters": { "stats": ["", "Species", "Dilution Info", "Notes"], "tabs": { "all-applications": {"fullname" : "All Applications", "shortname": "All Applications"}, "IP" : {"fullname" : "Immunoprecipitation", "shortname":"IP"}, "FlowCytIntra" : {"fullname" : "Flow Cytometry (Intracellular)", "shortname":"Flow Cyt (Intra)"}, "WB" : {"fullname" : "Western blot", "shortname":"WB"}, "ICCIF" : {"fullname" : "Immunocytochemistry/ Immunofluorescence", "shortname":"ICC/IF"}, "IHCP" : {"fullname" : "Immunohistochemistry (Formalin/PFA-fixed paraffin-embedded sections)", "shortname":"IHC-P"} }, "product-promise": { "all": "all", "testedAndGuaranteed": "tested", "guaranteed": "expected", "predicted": "predicted", "notRecommended": "not-recommended" } }, "values": { "Human": { "IP-species-checked": "notRecommended", "IP-species-dilution-info": "", "IP-species-notes": "<p></p>", "FlowCytIntra-species-checked": "testedAndGuaranteed", "FlowCytIntra-species-dilution-info": "1/60", "FlowCytIntra-species-notes": "<p></p>", "WB-species-checked": "notRecommended", "WB-species-dilution-info": "", "WB-species-notes": "<p></p>", "ICCIF-species-checked": "testedAndGuaranteed", "ICCIF-species-dilution-info": "1/1000", "ICCIF-species-notes": "<p></p>", "IHCP-species-checked": "testedAndGuaranteed", "IHCP-species-dilution-info": "1/2000", "IHCP-species-notes": "<p></p>" } } }

Product details

Patented technology
Our RabMAb® technology is a patented hybridoma-based technology for making rabbit monoclonal antibodies. For details on our patents, please refer to RabMAb® patents.

What are the advantages of a recombinant monoclonal antibody?
This product is a recombinant monoclonal antibody, which offers several advantages including:

  • - High batch-to-batch consistency and reproducibility
  • - Improved sensitivity and specificity
  • - Long-term security of supply
  • - Animal-free batch production

For more information, read more on recombinant antibodies.

Properties and storage information

Form
Liquid
Purification technique
Affinity purification Protein A
Storage buffer
pH: 7.2 - 7.4 Preservative: 0.01% Sodium azide Constituents: PBS, 40% Glycerol (glycerin, glycerine), 0.05% BSA
Shipped at conditions
Blue Ice
Appropriate short-term storage duration
1-2 weeks
Appropriate short-term storage conditions
+4°C
Appropriate long-term storage conditions
-20°C
Aliquoting information
Upon delivery aliquot
Storage information
Avoid freeze / thaw cycle

Supplementary information

This supplementary information is collated from multiple sources and compiled automatically.

CD63 is a protein commonly known as LAMP-3 a member of the tetraspanin family with a molecular weight of approximately 25-65 kDa depending on post-translational modifications such as glycosylation. It resides mainly on the membrane of intracellular vesicles such as lysosomes and platelets. CD63 also appears on the surface of activated cells particularly in immune cells. Researchers often use CD63 as a marker in assays including CD63 western blot techniques due to its distinct expression patterns.
Biological function summary

CD63 participates in various cellular processes including membrane trafficking cell adhesion and signal transduction. It associates with integrins and other tetraspanins forming complexes that influence cellular adhesion and migration. Through its role in exosome formation CD63 contributes significantly to intercellular communication by facilitating the transfer of proteins lipids and RNA between cells.

Pathways

CD63 plays a role in pathways linked to cell proliferation and migration and immune response regulation. Within the integrin-mediated signaling pathway CD63 interacts with proteins such as integrins to promote cell adhesion and migration. CD63 also links to vesicle trafficking pathways collaborating with proteins involved in exocytosis and endocytosis which affect cell membrane restructuring and intracellular transport.

CD63 shows connections with cancer and immune system disorders. Its role in promoting cell adhesion and migration links it with cancer metastasis including melanoma and breast cancer where CD63 expression levels often rise. Additionally CD63 associates with allergic reactions due to its involvement in histamine release where it impacts immune proteins like FcεRI which participate in allergy pathogenesis.

Product protocols

For this product, it's our understanding that no specific protocols are required. You can visit:

Target data

The protein expressed by gene CD63 functions as a cell surface receptor for TIMP1 and is involved in the activation of various cellular signaling cascades. It plays a role in the activation of ITGB1 and integrin signaling, which leads to the activation of AKT, FAK/PTK2, and MAP kinases, promoting cell survival, actin cytoskeleton reorganization, and cell adhesion, spreading, and migration through the activation of AKT and FAK/PTK2. Additionally, it participates in VEGFA signaling by regulating the internalization of KDR/VEGFR2. CD63 is involved in intracellular vesicular transport processes and is essential for the normal trafficking of the PMEL luminal domain, crucial for melanocyte development and maturation. It also contributes to leukocyte adhesion onto endothelial cells by regulating SELP trafficking. CD63 may play a role in mast cell degranulation in response to Ms4a2/FceRI stimulation, but not in response to other stimuli. This supplementary information is collated from multiple sources and compiled automatically.
See full target information CD63

Publications (7)

Recent publications for all applications. Explore the full list and refine your search

Research and practice in thrombosis and haemostasis 9:103016 PubMed40994889

2025

Optimization of a Western blot protocol for the detection of low levels of tissue factor in human cells.

Applications

Unspecified application

Species

Unspecified reactive species

Megan V Perkins,Ana T A Sachetto,Nigel Mackman

American journal of translational research 15:3203-3216 PubMed37303669

2023

Mesenchymal stem cell-derived exosomes ameliorate TGF-β1-induced endometrial fibrosis by altering their miRNA profile.

Applications

Unspecified application

Species

Unspecified reactive species

Limei Zhou,Lan Dong,Hengxing Li,Hua Liu,Jing Yang,Zhixin Huang

Oncogene 42:1802-1820 PubMed37046045

2023

Exosomal circSPIRE1 mediates glycosylation of E-cadherin to suppress metastasis of renal cell carcinoma.

Applications

Unspecified application

Species

Unspecified reactive species

Guannan Shu,Xuanxuan Lu,Yihui Pan,Junjie Cen,Kangbo Huang,Mi Zhou,Jun Lu,Jiaqi Dong,Hui Han,Wei Chen,Juan Lin,Junhang Luo,Jiaxing Zhang

FASEB journal : official publication of the Federation of American Societies for Experimental Biology 37:e22733 PubMed36723877

2023

Human umbilical cord mesenchymal stem cells-derived exosomal circDLGAP4 promotes angiogenesis after cerebral ischemia-reperfusion injury by regulating miR-320/KLF5 axis.

Applications

Unspecified application

Species

Unspecified reactive species

Jie Feng,Wei He,Jian Xia,Qing Huang,Jie Yang,Wen-Ping Gu,Ning Zhang,Yun-Hai Liu

Renal failure 45:2121929 PubMed36695327

2023

Expression of urinary exosomal miRNA-615-3p and miRNA-3147 in diabetic kidney disease and their association with inflammation and fibrosis.

Applications

Unspecified application

Species

Unspecified reactive species

Jiaxin Wang,Yiying Tao,Fan Zhao,Tong Liu,Xiahong Shen,Ling Zhou

Clinical and experimental allergy : journal of the British Society for Allergy and Clinical Immunology 52:324-333 PubMed34570395

2021

Hypersensitivity may be involved in severe COVID-19.

Applications

Unspecified application

Species

Unspecified reactive species

Cuiyan Tan,Xiaobin Zheng,Fengfei Sun,Jianzhong He,Honglei Shi,Meizhu Chen,Changli Tu,Yiying Huang,Zhenguo Wang,Yingjian Liang,Jian Wu,Ye Liu,Jing Liu,Jin Huang

Journal of translational medicine 19:326 PubMed34332599

2021

Extracellular vesicle-derived AEBP1 mRNA as a novel candidate biomarker for diabetic kidney disease.

Applications

Unspecified application

Species

Unspecified reactive species

Yiying Tao,Xing Wei,Yue Yue,Jiaxin Wang,Jianzhong Li,Lei Shen,Guoyuan Lu,Yang He,Shidi Zhao,Fan Zhao,Zhen Weng,Xiahong Shen,Ling Zhou
View all publications

Product promise

We are committed to supporting your work with high-quality reagents, and we're here for you every step of the way. In the unlikely event that one of our products does not perform as expected, you're protected by our Product Promise.
For full details, please see our Terms & Conditions

Please note: All products are 'FOR RESEARCH USE ONLY. NOT FOR USE IN DIAGNOSTIC OR THERAPEUTIC PROCEDURES'.

For licensing inquiries, please contact partnerships@abcam.com