JavaScript is disabled in your browser. Please enable JavaScript to view this website.
AB216130

Anti-CD63 antibody - Late Endosome Marker

Be the first to review this product! Submit a review

|

(202 Publications)

Anti-CD63 antibody - Late Endosome Marker (ab216130) is a rabbit polyclonal antibody detecting CD63 in Western Blot, IHC-P. Suitable for Human, Mouse.

- Over 130 publications

View Alternative Names

CD63, MLA1, TSPAN30, CD63 antigen, Granulophysin, Lysosomal-associated membrane protein 3, Lysosome integral membrane protein 1, Melanoma-associated antigen ME491, OMA81H, Ocular melanoma-associated antigen, Tetraspanin-30, LAMP-3, Limp1, Tspan-30

2 Images
Western blot - Anti-CD63 antibody - Late Endosome Marker (AB216130)
  • WB

Supplier Data

Western blot - Anti-CD63 antibody - Late Endosome Marker (AB216130)

Reducing 12% SDS-PAGE

All lanes:

Western blot - Anti-CD63 antibody - Late Endosome Marker (ab216130) at 1/200 dilution

Lane 1:

NIH/3T3 (Mouse embryo fibroblast cell line) cell lysate at 40 µg

Lane 2:

K562 (Human chronic myelogenous leukemia cell line from bone marrow cell lysate at 40 µg

Lane 3:

HEK-293T (Human epithelial cell line from embryonic kidney transformed with large T antigen) cell lysate at 40 µg

Predicted band size: 26 kDa

true

Exposure time: 20s

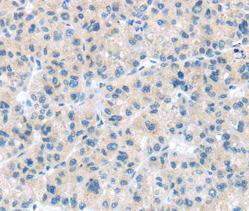
Immunohistochemistry (Formalin/PFA-fixed paraffin-embedded sections) - Anti-CD63 antibody - Late Endosome Marker (AB216130)
  • IHC-P

Supplier Data

Immunohistochemistry (Formalin/PFA-fixed paraffin-embedded sections) - Anti-CD63 antibody - Late Endosome Marker (AB216130)

Paraffin-embedded human liver cancer tissue stained for CD63 with ab216130 at a 1/25 dilution in immunohistochemical analysis.

Heat mediated antigen retrieval step in citrate buffer was performed. The sample was then blocked and incubated with the antibody for 1.5 hours at 22°C. An HRP conjugated goat anti-rabbit antibody was used as the secondary antibody.

Key facts

Host species

Rabbit

Clonality

Polyclonal

Isotype

IgG

Carrier free

No

Reacts with

Mouse, Human

Applications

IHC-P, WB

applications

Immunogen

Synthetic Peptide within Human CD63. The exact immunogen used to generate this antibody is proprietary information.

P08962

Reactivity data

{ "title": "Reactivity Data", "filters": { "stats": ["", "Species", "Dilution Info", "Notes"], "tabs": { "all-applications": {"fullname" : "All Applications", "shortname": "All Applications"}, "WB" : {"fullname" : "Western blot", "shortname":"WB"}, "IHCP" : {"fullname" : "Immunohistochemistry (Formalin/PFA-fixed paraffin-embedded sections)", "shortname":"IHC-P"} }, "product-promise": { "all": "all", "testedAndGuaranteed": "tested", "guaranteed": "expected", "predicted": "predicted", "notRecommended": "not-recommended" } }, "values": { "Human": { "WB-species-checked": "testedAndGuaranteed", "WB-species-dilution-info": "1/200 - 1/2000", "WB-species-notes": "<p>The observed molecular weight of CD63 may vary in the range of 25-65. This is due to a number of post translational modifications, post translation cleavages, relative charges, and other experimental factors, and therefore there really is no consensus molecular weight.</p>", "IHCP-species-checked": "testedAndGuaranteed", "IHCP-species-dilution-info": "1/25 - 1/100", "IHCP-species-notes": "<p></p>" }, "Mouse": { "WB-species-checked": "testedAndGuaranteed", "WB-species-dilution-info": "1/200 - 1/2000", "WB-species-notes": "<p>The observed molecular weight of CD63 may vary in the range of 25-65. This is due to a number of post translational modifications, post translation cleavages, relative charges, and other experimental factors, and therefore there really is no consensus molecular weight.</p>", "IHCP-species-checked": "guaranteed", "IHCP-species-dilution-info": "", "IHCP-species-notes": "" } } }

Product details

What is this antibody validated in?
Anti-CD63 antibody - Late Endosome Marker (ab216130) is a rabbit polyclonal antibody and is validated for use in Western Blot (WB), Immunohistochemistry (IHC-P) in Human, Mouse samples.

What is the molecular weight of CD63?
Anti-CD63 - Late Endosome Marker (ab216130) specifically detects a band for CD63 (UniProt: P08962) at a molecular weight of 26kDa.

Trusted by the scientific community
Anti-CD63 - Late Endosome Marker (ab216130) was first used in a scientific publication in 2016 and has been cited over 130 times in peer-reviewed journals.

Properties and storage information

Form
Liquid
Purification technique
Affinity purification Immunogen
Storage buffer
pH: 7.4 Preservative: 0.05% Sodium azide Constituents: PBS, 40% Glycerol (glycerin, glycerine)
Shipped at conditions
Blue Ice
Appropriate short-term storage duration
1-2 weeks
Appropriate short-term storage conditions
+4°C
Appropriate long-term storage conditions
-20°C
Aliquoting information
Upon delivery aliquot
Storage information
Avoid freeze / thaw cycle

Supplementary information

This supplementary information is collated from multiple sources and compiled automatically.

CD63 is a protein commonly known as LAMP-3 a member of the tetraspanin family with a molecular weight of approximately 25-65 kDa depending on post-translational modifications such as glycosylation. It resides mainly on the membrane of intracellular vesicles such as lysosomes and platelets. CD63 also appears on the surface of activated cells particularly in immune cells. Researchers often use CD63 as a marker in assays including CD63 western blot techniques due to its distinct expression patterns.
Biological function summary

CD63 participates in various cellular processes including membrane trafficking cell adhesion and signal transduction. It associates with integrins and other tetraspanins forming complexes that influence cellular adhesion and migration. Through its role in exosome formation CD63 contributes significantly to intercellular communication by facilitating the transfer of proteins lipids and RNA between cells.

Pathways

CD63 plays a role in pathways linked to cell proliferation and migration and immune response regulation. Within the integrin-mediated signaling pathway CD63 interacts with proteins such as integrins to promote cell adhesion and migration. CD63 also links to vesicle trafficking pathways collaborating with proteins involved in exocytosis and endocytosis which affect cell membrane restructuring and intracellular transport.

CD63 shows connections with cancer and immune system disorders. Its role in promoting cell adhesion and migration links it with cancer metastasis including melanoma and breast cancer where CD63 expression levels often rise. Additionally CD63 associates with allergic reactions due to its involvement in histamine release where it impacts immune proteins like FcεRI which participate in allergy pathogenesis.

Product protocols

For this product, it's our understanding that no specific protocols are required. You can visit:

Target data

The protein expressed by gene CD63 functions as a cell surface receptor for TIMP1 and is involved in the activation of various cellular signaling cascades. It plays a role in the activation of ITGB1 and integrin signaling, which leads to the activation of AKT, FAK/PTK2, and MAP kinases, promoting cell survival, actin cytoskeleton reorganization, and cell adhesion, spreading, and migration through the activation of AKT and FAK/PTK2. Additionally, it participates in VEGFA signaling by regulating the internalization of KDR/VEGFR2. CD63 is involved in intracellular vesicular transport processes and is essential for the normal trafficking of the PMEL luminal domain, crucial for melanocyte development and maturation. It also contributes to leukocyte adhesion onto endothelial cells by regulating SELP trafficking. CD63 may play a role in mast cell degranulation in response to Ms4a2/FceRI stimulation, but not in response to other stimuli. This supplementary information is collated from multiple sources and compiled automatically.
See full target information CD63

Publications (202)

Recent publications for all applications. Explore the full list and refine your search

International journal of molecular sciences 26: PubMed41009720

2025

p.N370S Mutation Influences the Morphology and Lipid Composition of Extracellular Vesicles in Blood Plasma from Patients with Parkinson's Disease.

Applications

Unspecified application

Species

Unspecified reactive species

Tatiana S Usenko,Alena E Kopytova,Artem D Izyumchenko,Darya G Kulabukhova,Artemiy S Silantyev,Victoria D Kazakova,Katerina S Basharova,Anastasia I Bezrukova,Luiza A Garaeva,Evgeny B Pichkur,Alexandra V Artynyuk,Irina V Miliukhina,Alla A Timofeeva,Valentina V Miroshnikova,Stanislav N Naryzhny,Anton K Emelyanov,Natalya B Zakharzhevskaya,Andrey L Konevega,Tatiana A Shtam,Sofya N Pchelina

Biology 14: PubMed40723426

2025

Exploring the Potential of Extracellular Vesicles from Atlantic Cod ( L.) Serum and Mucus for Wound Healing In Vitro.

Applications

Unspecified application

Species

Unspecified reactive species

Stefania D'Alessio,Igor Kraev,Bergljót Magnadóttir,Sigrun Lange

Pharmaceutics 17: PubMed40284489

2025

Multi-Omics Analysis of the Immune Effect of the Engineered Exosome Drug Delivery System in Inducing Macrophage Apoptosis.

Applications

Unspecified application

Species

Unspecified reactive species

Wei Xiang,Zhoujun Zhu,Qisong Shang,Parhat Yasin,Yuanyuan Wu,Xinghua Song

Scientific reports 15:9192 PubMed40097471

2025

Seminal plasma exosome derived miR-26-5p can regulate decidual macrophage polarization via PTEN / PI3K / AKT signaling pathway.

Applications

Unspecified application

Species

Unspecified reactive species

Yan Zhang,Xiaolin Chen,Jie Li,Xin Chen,Jing Zhao,Qing Liu,Xiaoling Li,Xinyu Wang,Zhuoni Xiao

Antioxidants (Basel, Switzerland) 14: PubMed39857411

2025

Exercise-Intervened Circulating Extracellular Vesicles Alleviate Oxidative Stress in Cerebral Microvascular Endothelial Cells Under Hypertensive Plus Hypoxic Conditions.

Applications

Unspecified application

Species

Unspecified reactive species

Smara Sigdel,Shuzhen Chen,Gideon Udoh,Jinju Wang

Stem cell research & therapy 15:493 PubMed39707562

2024

Small extracellular vesicles derived from umbilical cord mesenchymal stem cells alleviate radiation-induced cardiac organoid injury.

Applications

Unspecified application

Species

Unspecified reactive species

Hu Cao,Liang Yue,Jingyuan Shao,Fanxuan Kong,Shenghua Liu,Hongyu Huai,Zhichao He,Zhuang Mao,Yuefeng Yang,Yingxia Tan,Hua Wang

ACS applied materials & interfaces 16:67235-67245 PubMed39582356

2024

Magnetic Iron Oxide Nanoparticles Enhance Exosome Production by Upregulating Exosome Transport and Secretion Pathways.

Applications

Unspecified application

Species

Unspecified reactive species

Xiaoyue Yang,Zhongchao Yi,Ying Liang,Sheng Tong

Biology 13: PubMed39336161

2024

Low Magnetic Field Exposure Alters Prostate Cancer Cell Properties.

Applications

Unspecified application

Species

Unspecified reactive species

Sigrun Lange,Jameel M Inal,Igor Kraev,Dafydd Alwyn Dart,Pinar Uysal-Onganer

Frontiers in microbiology 15:1399632 PubMed39282564

2024

Exendin-4-enriched exosomes from hUCMSCs alleviate diabetic nephropathy via gut microbiota and immune modulation.

Applications

Unspecified application

Species

Unspecified reactive species

Liping Wang,Aihua Liang,Jukai Huang

Journal of nanobiotechnology 22:493 PubMed39160590

2024

Advancing osteoarthritis therapy with GMOCS hydrogel-loaded BMSCs-exos.

Applications

Unspecified application

Species

Unspecified reactive species

Renyi Zhou,Jiarong Guo,Zhe Jin
View all publications

Product promise

We are committed to supporting your work with high-quality reagents, and we're here for you every step of the way. In the unlikely event that one of our products does not perform as expected, you're protected by our Product Promise.
For full details, please see our Terms & Conditions

Please note: All products are 'FOR RESEARCH USE ONLY. NOT FOR USE IN DIAGNOSTIC OR THERAPEUTIC PROCEDURES'.

For licensing inquiries, please contact partnerships@abcam.com