JavaScript is disabled in your browser. Please enable JavaScript to view this website.
AB193349

Anti-CD63 antibody [MX-49.129.5]

0

(2 Reviews)

|

(120 Publications)

Anti-CD63 antibody [MX-49.129.5] (ab193349) is a mouse monoclonal antibody detecting CD63 in Western Blot, Flow Cytometry (Intra), Flow Cytometry, IHC-P, ICC/IF. Suitable for Human.

- Over 90 publications

View Alternative Names

CD63, MLA1, TSPAN30, CD63 antigen, Granulophysin, Lysosomal-associated membrane protein 3, Lysosome integral membrane protein 1, Melanoma-associated antigen ME491, OMA81H, Ocular melanoma-associated antigen, Tetraspanin-30, LAMP-3, Limp1, Tspan-30

7 Images
Immunocytochemistry/ Immunofluorescence - Anti-CD63 antibody [MX-49.129.5] (AB193349)
  • ICC/IF

Supplier Data

Immunocytochemistry/ Immunofluorescence - Anti-CD63 antibody [MX-49.129.5] (AB193349)

Immunofluorescent analysis of 4% paraformaldehyde-fixed, 0.1% Triton X-100 permeabilized SK-MEL-28 (Human malignant melanoma) cells labelling CD63 with ab193349 at 1/50 dilution, followed by Goat Anti-Mouse IgG H&L (Alexa Fluor® 488) (ab150113) secondary antibody at 1/1000 dilution (green). Confocal image showing cytoplasmic staining in SK-MEL-28 cell line. The nuclear counter stain is DAPI (blue).

CD63 is also detected with Rabbit monoclonal Anti-CD63 antibody [EPR22458-280] (ab252919) at 1/100 dilution, followed by Goat Anti-Rabbit IgG H&L (Alexa Fluor® 594) (ab150080) secondary antibody at 1/500 dilution (red).
The negative controls are as follows :
-ve control 1 : ab193349 at 1/50 dilution, followed by Goat Anti-Rabbit IgG H&L (Alexa Fluor® 594) (ab150080) secondary antibody at 1/500 dilution.
-ve control 2 : Anti-CD63 antibody [EPR22458-280] (ab252919) at 1/100 dilution, followed by Goat Anti-Mouse IgG H&L (Alexa Fluor® 488) (Alexa Fluor® 488) (ab150113) secondary antibody at 1/1000 dilution.

Immunohistochemistry (Formalin/PFA-fixed paraffin-embedded sections) - Anti-CD63 antibody [MX-49.129.5] (AB193349)
  • IHC-P

Supplier Data

Immunohistochemistry (Formalin/PFA-fixed paraffin-embedded sections) - Anti-CD63 antibody [MX-49.129.5] (AB193349)

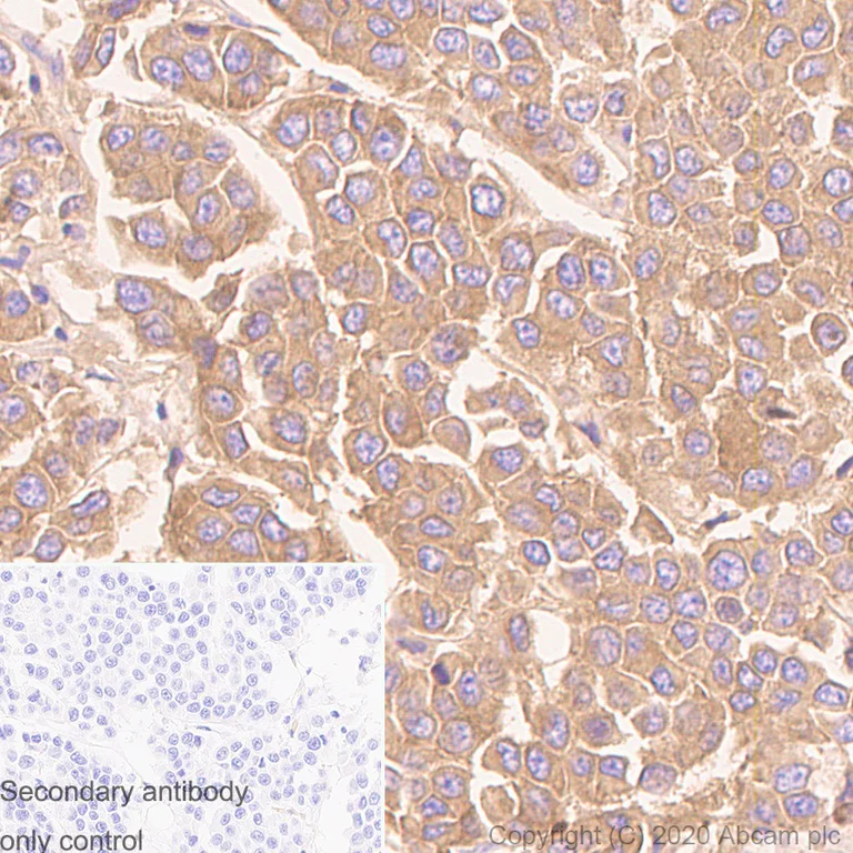
Immunohistochemical analysis of paraffin-embedded human melanoma tissue labelling CD63 with ab193349 at 1/5000 dilution, followed by Goat Anti-Mouse IgG H&L (HRP polymer) (ab214879) at the supplied dilution. Cytoplasmic staining on human melanoma is observed. Counter stained with Hematoxylin. Heat mediated antigen retrieval with Citrate buffer (pH 6.0, epitope retrieval solution 1) was performed for 20 mins, before the section was incubated with ab193349 for 30 mins at room temperature. The immunostaining was performed on a Leica Biosystems BOND® RX instrument.

Secondary antibody only control : Used PBS instead of primary antibody.

Immunohistochemistry (Formalin/PFA-fixed paraffin-embedded sections) - Anti-CD63 antibody [MX-49.129.5] (AB193349)
  • IHC-P

Supplier Data

Immunohistochemistry (Formalin/PFA-fixed paraffin-embedded sections) - Anti-CD63 antibody [MX-49.129.5] (AB193349)

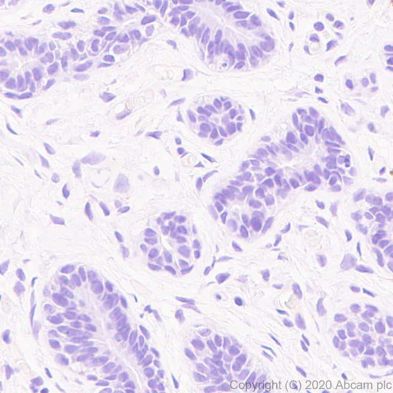
Negative control staining using ab193349. Immunohistochemical analysis of paraffin-embedded human breast tissue labelling CD63 with ab193349 at 1/5000 dilution, followed by Goat Anti-Mouse IgG H&L (HRP polymer) (ab214879) at the supplied dilution. No staining on human breast is observed, as expected (PMID : 22957045). Counter stained with Hematoxylin. Heat mediated antigen retrieval with Citrate buffer (pH 6.0, epitope retrieval solution 1) was performed for 20 mins, before the section was incubated with ab193349 for 30 mins at room temperature. The immunostaining was performed on a Leica Biosystems BOND® RX instrument.

Flow Cytometry - Anti-CD63 antibody [MX-49.129.5] (AB193349)
  • Flow Cyt

Supplier Data

Flow Cytometry - Anti-CD63 antibody [MX-49.129.5] (AB193349)

Flow cytometric analysis of SK-MEL-28 (Human malignant melanoma) cell line labelling CD63 with ab193349 at 1/1000 dilution (red) compared with a Mouse monoclonal IgG (black) and an unlabelled control (cells without incubation with primary antibody and secondary antibody) (blue). Goat Anti-Mouse IgG H&L (Alexa Fluor® 488, ab150113) at 1/2000 dilution was used as the secondary antibody.

Gated on viable cells.

Flow Cytometry (Intracellular) - Anti-CD63 antibody [MX-49.129.5] (AB193349)
  • Flow Cyt (Intra)

Supplier Data

Flow Cytometry (Intracellular) - Anti-CD63 antibody [MX-49.129.5] (AB193349)

Flow cytometric (intracellular) analysis of 4% paraformaldehyde-fixed, 90% methanol permeabilised SK-MEL-28 (Human malignant melanoma) cell line labelling CD63 with ab193349 at 1/1000 dilution (red) compared with a Mouse monoclonal IgG (black) and an unlabelled control (cells without incubation with primary antibody and secondary antibody) (blue). Goat Anti-Mouse IgG H&L (Alexa Fluor® 488, ab150113) at 1/2000 dilution was used as the secondary antibody.

Flow Cytometry - Anti-CD63 antibody [MX-49.129.5] (AB193349)
  • Flow Cyt

Supplier Data

Flow Cytometry - Anti-CD63 antibody [MX-49.129.5] (AB193349)

Flow cytometric analysis of human peripheral blood mononuclear cells (PBMC) labeling CD63 with ab193349 at 1/1000 dilution (right), compared with a Mouse monoclonal IgG (left). Goat anti mouse IgG (Alexa Fluor® 488, ab150113), at 1/2000 dilution was used as the secondary antibody.

Cells were stained with mouse IgG or ab193349, then stained with anti-CD14 conjugated to Alexa Fluor® 647. Gated on viable cells.

Western blot - Anti-CD63 antibody [MX-49.129.5] (AB193349)
  • WB

Supplier Data

Western blot - Anti-CD63 antibody [MX-49.129.5] (AB193349)

Blocking and diluting buffer and concentration : 5% NFDM/TBST.

CD63 can undergo glycosylation as shown in lane 1 and 2 (PMID : 9890706, 28740179).
Samples are non-boiled as boiling may cause protein aggregates.

All lanes:

Western blot - Anti-CD63 antibody [MX-49.129.5] (ab193349) at 1/1000 dilution

Lane 1:

HUVEC (human umbilical vein endothelial cell), whole cell lysate at 40 µg

Lane 2:

HL-60 (human Acute Promyelocytic Leukemia promyeloblast), whole cell lysate at 40 µg

Secondary

All lanes:

Peroxidase-Conjugated Goat anti-Mouse IgG (H+L) at 1/10000 dilution

false

Exposure time: 59s

  • 578 PE

    PE Anti-CD63 antibody [MX-49.129.5]

  • Carrier free

    Anti-CD63 antibody [MX-49.129.5] - BSA and Azide free

Key facts

Host species

Mouse

Clonality

Monoclonal

Clone number

MX-49.129.5

Isotype

IgG1

Light chain type

kappa

Carrier free

No

Reacts with

Human

Applications

IHC-P, Flow Cyt, WB, ICC/IF, Flow Cyt (Intra)

applications

Immunogen

The exact immunogen used to generate this antibody is proprietary information.

Reactivity data

{ "title": "Reactivity Data", "filters": { "stats": ["", "Species", "Dilution Info", "Notes"], "tabs": { "all-applications": {"fullname" : "All Applications", "shortname": "All Applications"}, "IHCP" : {"fullname" : "Immunohistochemistry (Formalin/PFA-fixed paraffin-embedded sections)", "shortname":"IHC-P"}, "ICCIF" : {"fullname" : "Immunocytochemistry/ Immunofluorescence", "shortname":"ICC/IF"}, "FlowCyt" : {"fullname" : "Flow Cytometry", "shortname":"Flow Cyt"}, "WB" : {"fullname" : "Western blot", "shortname":"WB"}, "FlowCytIntra" : {"fullname" : "Flow Cytometry (Intracellular)", "shortname":"Flow Cyt (Intra)"} }, "product-promise": { "all": "all", "testedAndGuaranteed": "tested", "guaranteed": "expected", "predicted": "predicted", "notRecommended": "not-recommended" } }, "values": { "Human": { "IHCP-species-checked": "testedAndGuaranteed", "IHCP-species-dilution-info": "1/5000", "IHCP-species-notes": "<p></p> Perform heat-mediated antigen retrieval with citrate buffer pH 6 before commencing with IHC staining protocol.", "ICCIF-species-checked": "testedAndGuaranteed", "ICCIF-species-dilution-info": "1/50", "ICCIF-species-notes": "<p></p>", "FlowCyt-species-checked": "testedAndGuaranteed", "FlowCyt-species-dilution-info": "1/500", "FlowCyt-species-notes": "<p></p>", "WB-species-checked": "testedAndGuaranteed", "WB-species-dilution-info": "1/1000", "WB-species-notes": "<p></p>", "FlowCytIntra-species-checked": "testedAndGuaranteed", "FlowCytIntra-species-dilution-info": "1/1000", "FlowCytIntra-species-notes": "<p></p>" }, "Mouse": { "IHCP-species-checked": "notRecommended", "IHCP-species-dilution-info": "1/5000", "IHCP-species-notes": "<p></p> Perform heat-mediated antigen retrieval with citrate buffer pH 6 before commencing with IHC staining protocol.", "ICCIF-species-checked": "notRecommended", "ICCIF-species-dilution-info": "1/50", "ICCIF-species-notes": "<p></p>", "FlowCyt-species-checked": "notRecommended", "FlowCyt-species-dilution-info": "1/500", "FlowCyt-species-notes": "<p></p>", "WB-species-checked": "notRecommended", "WB-species-dilution-info": "1/1000", "WB-species-notes": "<p></p>", "FlowCytIntra-species-checked": "notRecommended", "FlowCytIntra-species-dilution-info": "", "FlowCytIntra-species-notes": "" }, "Rat": { "IHCP-species-checked": "notRecommended", "IHCP-species-dilution-info": "1/5000", "IHCP-species-notes": "<p></p> Perform heat-mediated antigen retrieval with citrate buffer pH 6 before commencing with IHC staining protocol.", "ICCIF-species-checked": "notRecommended", "ICCIF-species-dilution-info": "", "ICCIF-species-notes": "", "FlowCyt-species-checked": "notRecommended", "FlowCyt-species-dilution-info": "", "FlowCyt-species-notes": "", "WB-species-checked": "notRecommended", "WB-species-dilution-info": "", "WB-species-notes": "", "FlowCytIntra-species-checked": "notRecommended", "FlowCytIntra-species-dilution-info": "", "FlowCytIntra-species-notes": "" } } }

Product details

What is this antibody validated in?
Anti-CD63 antibody [MX-49.129.5] (ab193349) is a mouse recombinant monoclonal antibody and is validated for use in Western Blot (WB), Flow Cytometry (Intra), Flow Cytometry (Flow Cyt), Immunohistochemistry (IHC-P), Immunocytochemistry/immunofluorescence (ICC/IF) in Human samples.

What is the molecular weight of CD63?
Anti-CD63 [MX-49.129.5] (ab193349) specifically detects a band for CD63 (UniProt: P08962) at a molecular weight of 25kDa.

Trusted by the scientific community
Anti-CD63 [MX-49.129.5] (ab193349) was first used in a scientific publication in 2014 and has been cited over 90 times in peer-reviewed journals.

Other related products
We have a range of other formats of antibody clone [MX-49.129.5] also available for your convenience: ab193349, PE - ab205540, Carrier free - ab213092

What are the advantages of a recombinant monoclonal antibody?
This product is a recombinant monoclonal antibody, which offers several advantages including:

  • - High batch-to-batch consistency and reproducibility
  • - Improved sensitivity and specificity
  • - Long-term security of supply
  • - Animal-free batch production

For more information, read more on recombinant antibodies.

Properties and storage information

Form
Liquid
Purification technique
Affinity purification Protein A
Storage buffer
pH: 7.2 - 7.4 Preservative: 0.01% Sodium azide Constituents: PBS, 40% Glycerol (glycerin, glycerine), 0.05% BSA
Shipped at conditions
Blue Ice
Appropriate short-term storage duration
1-2 weeks
Appropriate short-term storage conditions
+4°C
Appropriate long-term storage conditions
-20°C
Aliquoting information
Upon delivery aliquot
Storage information
Avoid freeze / thaw cycle

Supplementary information

This supplementary information is collated from multiple sources and compiled automatically.

CD63 is a protein commonly known as LAMP-3 a member of the tetraspanin family with a molecular weight of approximately 25-65 kDa depending on post-translational modifications such as glycosylation. It resides mainly on the membrane of intracellular vesicles such as lysosomes and platelets. CD63 also appears on the surface of activated cells particularly in immune cells. Researchers often use CD63 as a marker in assays including CD63 western blot techniques due to its distinct expression patterns.
Biological function summary

CD63 participates in various cellular processes including membrane trafficking cell adhesion and signal transduction. It associates with integrins and other tetraspanins forming complexes that influence cellular adhesion and migration. Through its role in exosome formation CD63 contributes significantly to intercellular communication by facilitating the transfer of proteins lipids and RNA between cells.

Pathways

CD63 plays a role in pathways linked to cell proliferation and migration and immune response regulation. Within the integrin-mediated signaling pathway CD63 interacts with proteins such as integrins to promote cell adhesion and migration. CD63 also links to vesicle trafficking pathways collaborating with proteins involved in exocytosis and endocytosis which affect cell membrane restructuring and intracellular transport.

CD63 shows connections with cancer and immune system disorders. Its role in promoting cell adhesion and migration links it with cancer metastasis including melanoma and breast cancer where CD63 expression levels often rise. Additionally CD63 associates with allergic reactions due to its involvement in histamine release where it impacts immune proteins like FcεRI which participate in allergy pathogenesis.

Product protocols

For this product, it's our understanding that no specific protocols are required. You can visit:

Target data

The protein expressed by gene CD63 functions as a cell surface receptor for TIMP1 and is involved in the activation of various cellular signaling cascades. It plays a role in the activation of ITGB1 and integrin signaling, which leads to the activation of AKT, FAK/PTK2, and MAP kinases, promoting cell survival, actin cytoskeleton reorganization, and cell adhesion, spreading, and migration through the activation of AKT and FAK/PTK2. Additionally, it participates in VEGFA signaling by regulating the internalization of KDR/VEGFR2. CD63 is involved in intracellular vesicular transport processes and is essential for the normal trafficking of the PMEL luminal domain, crucial for melanocyte development and maturation. It also contributes to leukocyte adhesion onto endothelial cells by regulating SELP trafficking. CD63 may play a role in mast cell degranulation in response to Ms4a2/FceRI stimulation, but not in response to other stimuli. This supplementary information is collated from multiple sources and compiled automatically.
See full target information CD63

Publications (120)

Recent publications for all applications. Explore the full list and refine your search

EBioMedicine 119:105884 PubMed40803203

2025

Tumour extracellular vesicle surface Protein-mRNA integration assay for early detection of epithelial ovarian cancer.

Applications

Unspecified application

Species

Unspecified reactive species

Ying-Tzu Yen,Chen Zhao,Tian Gao,Jacqueline Ziqian Yang,Ning Kang,Jiahui Pu,Lei Qiu,Qixin Hu,Hyoyong Kim,Anmin Wang,Junseok Lee,Ryan Y Zhang,Na Liu,Yue Ma,You-Ren Ji,Yong Ju,Lynn L Zheng,James Lee-South,Vivian X Zuo,Audrey Qian,Aaron Kwan,Yating Zhang,Shenghua Zhang,Zhili Wang,Jing Ren,Huaichao Liu,Zihan Wang,Yang Yue,Jina Kim,Jennifer Sun,Gabriella A DiBernardo,Laura B James-Allan,Ying Chen,Weipei Zhu,Guoyun Wang,Renjun Pei,Sanaz Memarzadeh,Sungyong You,Bobbie J Rimel,Kate Lawrenson,Beth Y Karlan,Myung Shin Sim,Shaohua Lu,Jipeng Wan,Na Sun,Hsian-Rong Tseng,Yazhen Zhu

iScience 28:112862 PubMed40612503

2025

Syndecan-1-mediated loading of VEGF-A into small extracellular vesicles facilitates peritubular capillary repair during AKI-to-CKD transition.

Applications

Unspecified application

Species

Unspecified reactive species

Xin Zhong,Tao-Tao Tang,Yue Zhang,Ding-Ding Xue,An-Ran Shen,Ning Li,Min Wu,Bi-Cheng Liu,Lin-Li Lv

Journal of nanobiotechnology 23:278 PubMed40189497

2025

Small extracellular vesicle-based one-step high-throughput microfluidic platform for epithelial ovarian cancer diagnosis.

Applications

Unspecified application

Species

Unspecified reactive species

Yu Wu,Chao Wang,Yuhan Guo,Yunhong Zhang,Xue Zhang,Pan Wang,Wei Yue,Xin Zhu,Zhaofei Liu,Yu Zhang,Hongyan Guo,Lin Han,Mo Li

Diabetes, obesity & metabolism 27:1153-1163 PubMed39632777

2024

Islet-derived exosomal miR-204 accelerates insulin resistance in skeletal muscle by suppressing sirtuin 1: An in vivo study in a mouse model of high-fat diet-induced obesity.

Applications

Unspecified application

Species

Unspecified reactive species

Xuehan Yang,Hao Han,Sushan Wang,Fei Teng,Xiaoyan Lv,Meishuang Zhang,Ying Zhang,Wei Li,Ming Zhang,Li Chen,Siwei Zhang

Journal of nanobiotechnology 22:563 PubMed39272146

2024

Circ_0001947 encapsulated by small extracellular vesicles promotes gastric cancer progression and anti-PD-1 resistance by modulating CD8 T cell exhaustion.

Applications

Unspecified application

Species

Unspecified reactive species

Bingyu Wang,Wenbo Liu,Mingming Zhang,Yong Li,Hongyue Tang,Yingying Wang,Chao Song,Buyun Song,Bibo Tan

Journal of extracellular vesicles 13:e12482 PubMed39105261

2024

Expression of the αVβ3 integrin affects prostate cancer sEV cargo and density and promotes sEV pro-tumorigenic activity in vivo through a GPI-anchored receptor, NgR2.

Applications

Unspecified application

Species

Unspecified reactive species

Cecilia E Verrillo,Fabio Quaglia,Christopher D Shields,Stephen Lin,Andrew V Kossenkov,Hsin-Yao Tang,David Speicher,Nicole M Naranjo,Anna Testa,William K Kelly,Qin Liu,Benjamin Leiby,Luca Musante,Khalid Sossey-Alaoui,Navneet Dogra,Tzu-Yi Chen,Dario C Altieri,Lucia R Languino

Metabolic brain disease 39:1335-1351 PubMed39088109

2024

Exosomal MicroRNAs modulate the cognitive function in fasudil treated APPswe/PSEN1dE9 transgenic (APP/PS1) mice model of Alzheimer's disease.

Applications

Unspecified application

Species

Unspecified reactive species

Yuqing Yan,Ye Gao,Gajendra Kumar,Qingli Fang,Hailong Yan,Nianping Zhang,Yuna Zhang,Lijuan Song,Jiehui Li,Yucheng Zheng,Nan Zhang,Peijun Zhang,Cungen Ma

BMC cardiovascular disorders 24:365 PubMed39014329

2024

M1 macrophage-derived exosomes inhibit cardiomyocyte proliferation through delivering miR-155.

Applications

Unspecified application

Species

Unspecified reactive species

Xiaoqing He,Shan Liu,Zhanyu Zhang,Qirui Liu,Juan Dong,Zhifeng Lin,Junhao Chen,Lihuan Li,Weihua Liu,Shaojun Liu,Shiming Liu

Cancer biology & therapy 25:2364433 PubMed38926911

2024

Neuroendocrine gene subsets are uniquely dysregulated in prostate adenocarcinoma.

Applications

Unspecified application

Species

Unspecified reactive species

Nicole M Naranjo,Anne Kennedy,Anna Testa,Cecilia E Verrillo,Adrian D Altieri,Rhonda Kean,D Craig Hooper,Jindan Yu,Jonathan Zhao,Oliver Abinader,Maxwell W Pickles,Adam Hawkins,William K Kelly,Ramkrishna Mitra,Lucia R Languino

Cell reports. Medicine 5:101588 PubMed38781961

2024

Bone transport induces the release of factors with multi-tissue regenerative potential for diabetic wound healing in rats and patients.

Applications

Unspecified application

Species

Unspecified reactive species

Jing Xie,Xuhua Liu,Biaoliang Wu,Bochong Chen,Qiancheng Song,Yuan Guan,Yuanxun Gong,Chengliang Yang,Jinbo Lin,Mingfeng Huang,Xinyu Tan,Ruijun Lai,Xiaozhen Lin,Sheng Zhang,Xiaoling Xie,Xiaoli Chen,Chunyuan Zhang,Mei Yang,Huijiao Nong,Xiaoyang Zhao,Laixin Xia,Weijie Zhou,Guozhi Xiao,Qing Jiang,Weiguo Zou,Di Chen,Di Lu,Jia Liu,Xiaochun Bai
View all publications

Product promise

We are committed to supporting your work with high-quality reagents, and we're here for you every step of the way. In the unlikely event that one of our products does not perform as expected, you're protected by our Product Promise.
For full details, please see our Terms & Conditions

Please note: All products are 'FOR RESEARCH USE ONLY. NOT FOR USE IN DIAGNOSTIC OR THERAPEUTIC PROCEDURES'.

For licensing inquiries, please contact partnerships@abcam.com