JavaScript is disabled in your browser. Please enable JavaScript to view this website.
AB315108

Anti-CD63 antibody [RM1095]

  • BOND RX™ Validated
  • 20ul selling size
  • RabMAb
  • Recombinant
  • What is this?

Be the first to review this product! Submit a review

|

(15 Publications)

Anti-CD63 antibody [RM1095] (ab315108) is a rabbit recombinant multiclonal antibody detecting CD63 in Western Blot, Flow Cytometry, IP, IHC-P, ICC/IF. Suitable for Human, Mouse.

- Biophysical QC for unrivalled batch-batch consistency

View Alternative Names

CD63, MLA1, TSPAN30, CD63 antigen, Granulophysin, Lysosomal-associated membrane protein 3, Lysosome integral membrane protein 1, Melanoma-associated antigen ME491, OMA81H, Ocular melanoma-associated antigen, Tetraspanin-30, LAMP-3, Limp1, Tspan-30

10 Images
Immunohistochemistry (Formalin/PFA-fixed paraffin-embedded sections) - Anti-CD63 antibody [RM1095] (AB315108)
  • IHC-P

Supplier Data

Immunohistochemistry (Formalin/PFA-fixed paraffin-embedded sections) - Anti-CD63 antibody [RM1095] (AB315108)

Immunohistochemical analysis of paraffin-embedded Human breast tissue labeling CD63 with ab315108 at 1/5000 (0.105 ug/ml) dilution, followed by a ready to use LeicaDS9800 (Bond™ Polymer Refine Detection).

Low expression tissue : no staining on the breast epithelial cells, positive staining on the stromal immune cells in human breast. The section was incubated with ab315108 for 30 mins at room temperature. The immunostaining was performed on a Leica Biosystems BOND® RX instrument Counterstained with Hematoxylin.

Secondary antibody only control : Secondary antibody is a ready to use LeicaDS9800 (Bond™ Polymer Refine Detection).

Heat mediated antigen retrieval was performed with Tris-EDTA buffer (pH 9.0, Epitope Retrieval Solution2) for 20 mins

Immunohistochemistry (Formalin/PFA-fixed paraffin-embedded sections) - Anti-CD63 antibody [RM1095] (AB315108)
  • IHC-P

Supplier Data

Immunohistochemistry (Formalin/PFA-fixed paraffin-embedded sections) - Anti-CD63 antibody [RM1095] (AB315108)

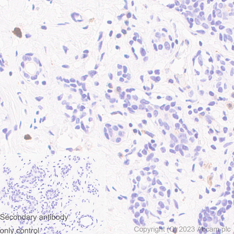
Immunohistochemical analysis of paraffin-embedded Human skeletal muscle tissue labeling CD63 with ab315108 at 1/5000 (0.105 ug/ml) dilution, followed by a ready to use LeicaDS9800 (Bond™ Polymer Refine Detection).

Low expression tissue : no staining on human skeletal muscle cells, but weak staining on the immune cells. The section was incubated with ab315108 for 30 mins at room temperature. The immunostaining was performed on a Leica Biosystems BOND® RX instrument Counterstained with Hematoxylin.

Secondary antibody only control : Secondary antibody is a ready to use LeicaDS9800 (Bond™ Polymer Refine Detection).

Heat mediated antigen retrieval was performed with Tris-EDTA buffer (pH 9.0, Epitope Retrieval Solution2) for 20 mins

Immunohistochemistry (Formalin/PFA-fixed paraffin-embedded sections) - Anti-CD63 antibody [RM1095] (AB315108)
  • IHC-P

Supplier Data

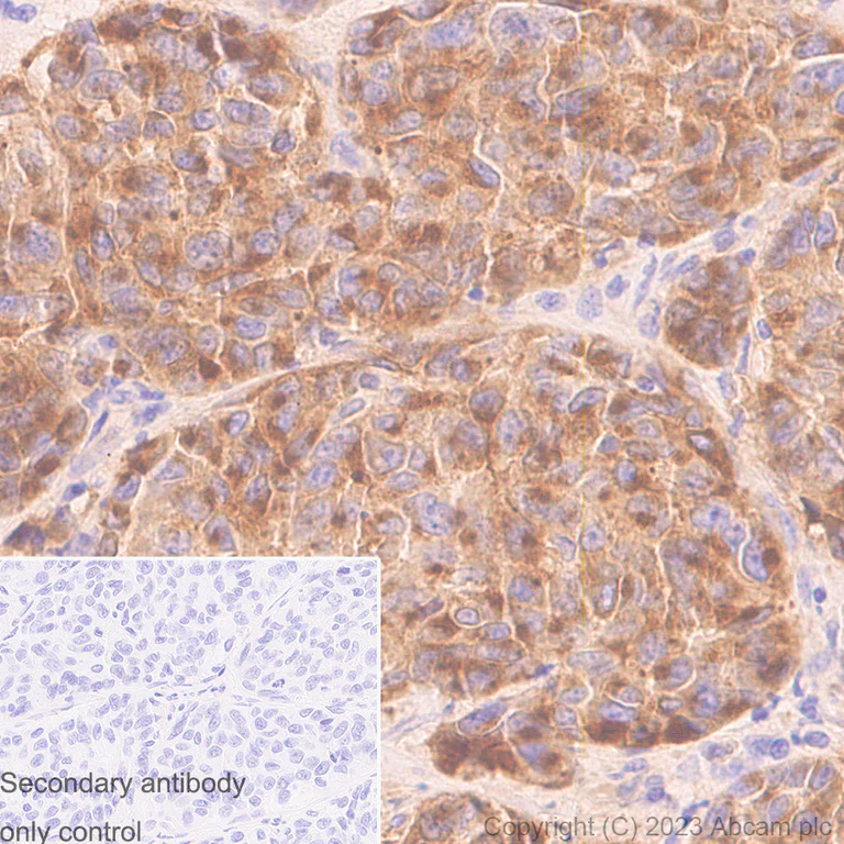
Immunohistochemistry (Formalin/PFA-fixed paraffin-embedded sections) - Anti-CD63 antibody [RM1095] (AB315108)

Immunohistochemical analysis of paraffin-embedded Human melanoma tissue labeling CD63 with ab315108 at 1/5000 (0.105 ug/ml) dilution, followed by a ready to use LeicaDS9800 (Bond™ Polymer Refine Detection).

Positive staining on human melanoma. The section was incubated with ab315108 for 30 mins at room temperature. The immunostaining was performed on a Leica Biosystems BOND® RX instrument Counterstained with Hematoxylin.

Secondary antibody only control : Secondary antibody is a ready to use LeicaDS9800 (Bond™ Polymer Refine Detection).

Heat mediated antigen retrieval was performed with Tris-EDTA buffer (pH 9.0, Epitope Retrieval Solution2) for 20 mins

Immunohistochemistry (Formalin/PFA-fixed paraffin-embedded sections) - Anti-CD63 antibody [RM1095] (AB315108)
  • IHC-P

Supplier Data

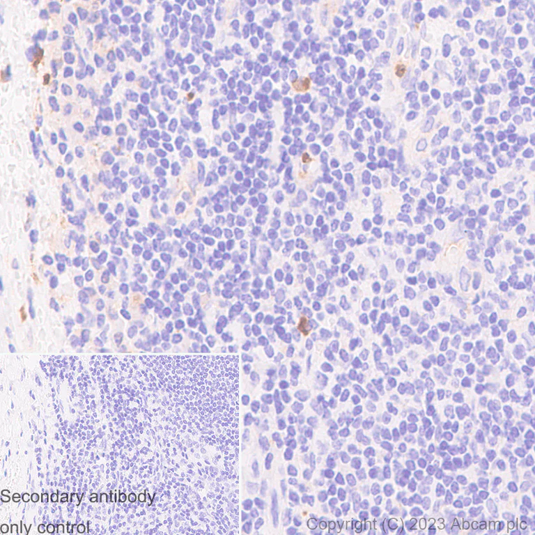
Immunohistochemistry (Formalin/PFA-fixed paraffin-embedded sections) - Anti-CD63 antibody [RM1095] (AB315108)

Immunohistochemical analysis of paraffin-embedded Human tonsil tissue labeling CD63 with ab315108 at 1/5000 (0.105 ug/ml) dilution, followed by a ready to use LeicaDS9800 (Bond™ Polymer Refine Detection).

Positive staining on human tonsil. The section was incubated with ab315108 for 30 mins at room temperature. The immunostaining was performed on a Leica Biosystems BOND® RX instrument Counterstained with Hematoxylin.

Secondary antibody only control : Secondary antibody is a ready to use LeicaDS9800 (Bond™ Polymer Refine Detection).

Heat mediated antigen retrieval was performed with Tris-EDTA buffer (pH 9.0, Epitope Retrieval Solution2) for 20 mins

Flow Cytometry - Anti-CD63 antibody [RM1095] (AB315108)
  • Flow Cyt

Supplier Data

Flow Cytometry - Anti-CD63 antibody [RM1095] (AB315108)

Flow cytometric analysis of Jurkat (human T cell leukemia T lymphocyte from peripheral blood, Left) / SK-MEL-28 (human malignant melanoma cell, Right) cells labelling CD63 with ab315108 at 1/500 dilution (0.1 ug)/Red compared with a Rabbit monoclonal IgG (ab172730) (Black) isotype control and an unlabelled control (cells without incubation with primary antibody and secondary antibody) (Blue).

Goat Anti-Rabbit IgG (Alexa Fluor® 488, ab150081) at 1/5000 dilution was used as the secondary antibody.

Low expression : Jurkat. Gated on viable cells.

Immunocytochemistry/ Immunofluorescence - Anti-CD63 antibody [RM1095] (AB315108)
  • ICC/IF

Supplier Data

Immunocytochemistry/ Immunofluorescence - Anti-CD63 antibody [RM1095] (AB315108)

Immunofluorescent analysis of 80% Methanol-fixed, 0.1% TritonX-100 permeabilized SK-MEL-28 (human malignant melanoma) cells labelling CD63 with ab315108 at 1/100 (5.24 ug/ml) dilution, followed by ab150077 Goat Anti-Rabbit IgG H&L (Alexa Fluor® 488) antibody at 1/1000 (2 ug/ml) dilution (Green).

Confocal image showing cytoplasmic staining in SK-MEL-28 cell line. Low expression cell line : Jurkat. Image was taken with a confocal microscope(Leica-Microsystems, TCS SP8).

ab7291 Anti-alpha Tubulin mouse monoclonal antibody was used to counterstain tubulin at 1/1000 (1 ug/ml) dilution (Red). The Nuclear counterstain was DAPI (Blue).

Secondary antibody only control : Secondary antibody is ab150077 Goat Anti-Rabbit IgG H&L (Alexa Fluor® 488) at 1/1000 (2 ug/ml) dilution.

Immunoprecipitation - Anti-CD63 antibody [RM1095] (AB315108)
  • IP

Supplier Data

Immunoprecipitation - Anti-CD63 antibody [RM1095] (AB315108)

CD63 was immunoprecipitated from 0.35 mg SK-MEL-28 (human malignant melanoma cell ) whole cell lysate with ab315108 at 1/30 dilution (2ug in 0.35mg lysates). Western blot was performed on the immunoprecipitate using ab315108 at 1/1000 dilution. VeriBlot for IP secondary antibody(HRP)(ab131366) was used at 1/5000 dilution.

Lane 1 : SK-MEL-28 (human malignant melanoma cell ) whole cell lysate

Lane 2 : ab315108 IP in SK-MEL-28 (human malignant melanoma cell ) whole cell lysate

Lane 3 : Rabbit monoclonal IgG (ab172730) instead of ab315108 in SK-MEL-28 whole cell lysate

Blocking and dilution buffer and concentration : 5% NFDM/TBST.

All lanes:

Immunoprecipitation - Anti-CD63 antibody [RM1095] (ab315108) at 1/30 dilution

All lanes:

SK-MEL-28 (human malignant melanoma cell ) whole cell lysate

Secondary

All lanes:

Immunoprecipitation - VeriBlot for IP Detection Reagent (HRP) (<a href='/en-us/products/reagents/veriblot-for-ip-detection-reagent-hrp-ab131366'>ab131366</a>) at 1/5000 dilution

false

Exposure time: 180s

Immunocytochemistry/ Immunofluorescence - Anti-CD63 antibody [RM1095] (AB315108)
  • ICC/IF

Supplier Data

Immunocytochemistry/ Immunofluorescence - Anti-CD63 antibody [RM1095] (AB315108)

Immunofluorescent analysis of 80% Methanol-fixed, 0.1% TritonX-100 permeabilized C2C12 (mouse myoblasts myoblast) cells labelling CD63 with ab315108 at 1/100 (5.24 ug/ml) dilution, followed by ab150077 Goat Anti-Rabbit IgG H&L (Alexa Fluor® 488) antibody at 1/1000 (2 ug/ml) dilution (Green).

Confocal image showing cytoplasmic staining in C2C12 cells. Image was taken with a confocal microscope(Leica-Microsystems, TCS SP8).

ab7291 Anti-alpha Tubulin mouse monoclonal antibody was used to counterstain tubulin at 1/1000 (1 ug/ml) dilution (Red). The Nuclear counterstain was DAPI (Blue).

Secondary antibody only control : Secondary antibody is ab150077 Goat Anti-Rabbit IgG H&L (Alexa Fluor® 488) at 1/1000 (2 ug/ml) dilution.

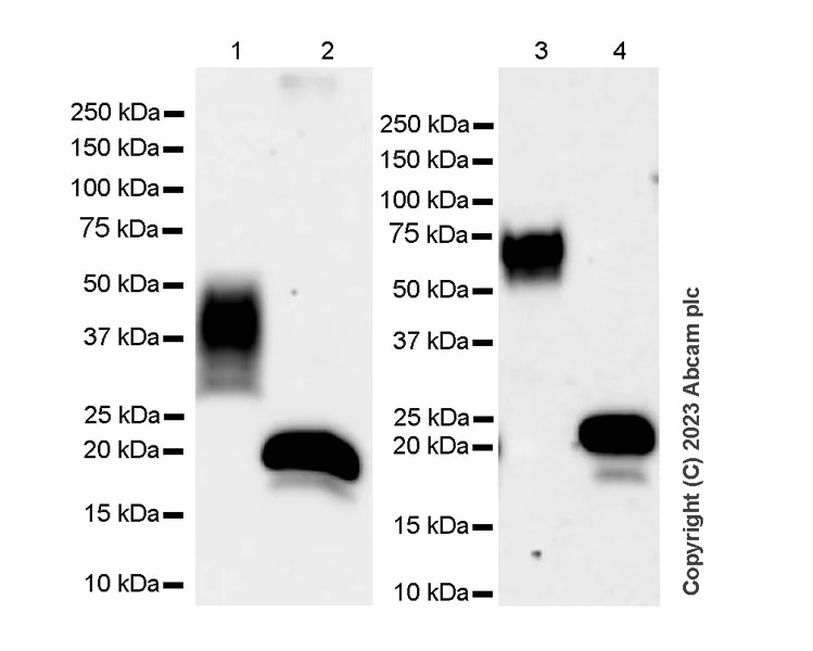
Western blot - Anti-CD63 antibody [RM1095] (AB315108)
  • WB

Supplier Data

Western blot - Anti-CD63 antibody [RM1095] (AB315108)

Blocking and diluting buffer and concentration : 5% NFDM/TBST.

Low expression : Jurkat.

In Western blot, Anti-GAPDH antibody [EPR16891] - Loading Control (ab181602) staining at 1/200000 dilution.

All lanes:

Western blot - Anti-CD63 antibody [RM1095] (ab315108) at 1/1000 dilution

Lane 1:

SK-MEL-28 (human malignant melanoma cell) whole cell lysate at 20 µg

Lane 2:

Jurkat (human T cell leukemia T lymphocyte from peripheral blood) whole cell lysate at 20 µg

Lane 3:

bEnd.3 (mouse brain endothelial cell) whole cell lysate at 20 µg

Lane 4:

NIH/3T3 (mouse embryonic fibroblast) whole cell lysate at 20 µg

Lane 5:

C2C12 (mouse myoblast) whole cell lysate at 20 µg

Secondary

All lanes:

Western blot - Goat Anti-Rabbit IgG H&L (HRP) (<a href='/en-us/products/secondary-antibodies/goat-rabbit-igg-h-l-hrp-ab97051'>ab97051</a>) at 1/100000 dilution

Observed band size: 30-65 kDa,36 kDa

false

Exposure time: 180s

Western blot - Anti-CD63 antibody [RM1095] (AB315108)
  • WB

Supplier Data

Western blot - Anti-CD63 antibody [RM1095] (AB315108)

Blocking and diluting buffer and concentration : 5% NFDM/TBST.

CD63 is a glycoprotein of approximately 30-65 kDa and detected as 25kDa bands after de-glycosylation treatment.

Exposure time : Lanes 1-2 : 37 seconds; Lanes 3-4 : 180 seconds

All lanes:

Western blot - Anti-CD63 antibody [RM1095] (ab315108) at 1/1000 dilution

Lane 1:

Untreated SK-MEL-28 (human malignant melanoma cell) whole cell lysate at 15 µg

Lane 2:

SK-MEL-28 whole cell lysate treated with Peptide:N-glycosidase F (PNGase F) at 15 µg

Lane 3:

Untreated bEnd.3 (mouse brain endothelial cell) whole cell lysate at 15 µg

Lane 4:

bEnd.3 whole cell lysate treated with Peptide:N-glycosidase F (PNGase F) at 15 µg

Secondary

All lanes:

Western blot - Goat Anti-Rabbit IgG H&L (HRP) (<a href='/en-us/products/secondary-antibodies/goat-rabbit-igg-h-l-hrp-ab97051'>ab97051</a>) at 1/100000 dilution

Observed band size: 30-65 kDa,25 kDa

false

  • Carrier free

    Anti-CD63 antibody [RM1095] - BSA and Azide free

Key facts

Host species

Rabbit

Clonality

Multiclonal

Clone number

RM1095

Isotype

IgG

Carrier free

No

Reacts with

Human, Mouse

Applications

WB, IHC-P, IP, ICC/IF, Flow Cyt

applications

Immunogen

This product was produced with the following immunogens:

The exact immunogen used to generate this antibody is proprietary information.

The exact immunogen used to generate this antibody is proprietary information.

Specificity

Unsuitable for mouse IHC, FC and IP.

Reactivity data

{ "title": "Reactivity Data", "filters": { "stats": ["", "Species", "Dilution Info", "Notes"], "tabs": { "all-applications": {"fullname" : "All Applications", "shortname": "All Applications"}, "WB" : {"fullname" : "Western blot", "shortname":"WB"}, "ICCIF" : {"fullname" : "Immunocytochemistry/ Immunofluorescence", "shortname":"ICC/IF"}, "IHCP" : {"fullname" : "Immunohistochemistry (Formalin/PFA-fixed paraffin-embedded sections)", "shortname":"IHC-P"}, "FlowCyt" : {"fullname" : "Flow Cytometry", "shortname":"Flow Cyt"}, "IP" : {"fullname" : "Immunoprecipitation", "shortname":"IP"} }, "product-promise": { "all": "all", "testedAndGuaranteed": "tested", "guaranteed": "expected", "predicted": "predicted", "notRecommended": "not-recommended" } }, "values": { "Human": { "WB-species-checked": "testedAndGuaranteed", "WB-species-dilution-info": "1/1000", "WB-species-notes": "<p></p>", "ICCIF-species-checked": "testedAndGuaranteed", "ICCIF-species-dilution-info": "1/100", "ICCIF-species-notes": "<p></p>", "IHCP-species-checked": "testedAndGuaranteed", "IHCP-species-dilution-info": "1/5000", "IHCP-species-notes": "<p></p> Perform heat-mediated antigen retrieval with Tris/EDTA buffer pH 9.0 before commencing with IHC staining protocol.", "FlowCyt-species-checked": "testedAndGuaranteed", "FlowCyt-species-dilution-info": "1/500", "FlowCyt-species-notes": "<p></p>", "IP-species-checked": "testedAndGuaranteed", "IP-species-dilution-info": "1/30", "IP-species-notes": "<p></p>" }, "Mouse": { "WB-species-checked": "testedAndGuaranteed", "WB-species-dilution-info": "1/1000", "WB-species-notes": "<p></p>", "ICCIF-species-checked": "testedAndGuaranteed", "ICCIF-species-dilution-info": "1/100", "ICCIF-species-notes": "<p></p>", "IHCP-species-checked": "notRecommended", "IHCP-species-dilution-info": "", "IHCP-species-notes": "<p></p>", "FlowCyt-species-checked": "notRecommended", "FlowCyt-species-dilution-info": "", "FlowCyt-species-notes": "<p></p>", "IP-species-checked": "notRecommended", "IP-species-dilution-info": "", "IP-species-notes": "<p></p>" }, "Rat": { "WB-species-checked": "notRecommended", "WB-species-dilution-info": "", "WB-species-notes": "", "ICCIF-species-checked": "notRecommended", "ICCIF-species-dilution-info": "", "ICCIF-species-notes": "", "IHCP-species-checked": "notRecommended", "IHCP-species-dilution-info": "", "IHCP-species-notes": "<p></p>", "FlowCyt-species-checked": "notRecommended", "FlowCyt-species-dilution-info": "", "FlowCyt-species-notes": "", "IP-species-checked": "notRecommended", "IP-species-dilution-info": "", "IP-species-notes": "" } } }

Product details

What is this antibody validated in?
Anti-CD63 antibody [RM1095] (ab315108) is a rabbit recombinant recombinant multiclonal antibody and is validated for use in Western Blot (WB), Flow Cytometry (Flow Cyt), Immunoprecipitation (IP), Immunohistochemistry (IHC-P), Immunocytochemistry/immunofluorescence (ICC/IF) in Human, Mouse samples.

What is the molecular weight of CD63?
Anti-CD63 [RM1095] (ab315108) specifically detects a band for CD63 (UniProt: P08962) at a molecular weight of 26kDa.

Trial sizes available!
Test your antibody or perform pre-screening before committing to a larger quantity. Sold in 10µl. Discover our selection of trial-size antibodies.

Other related products
We have a range of other formats of antibody clone [RM1095] also available for your convenience: ab315108, Carrier free - ab315109

What are recombinant multiclonals?
Recombinant multiclonals are a mixture of recombinant antibodies co-expressed from a library of heavy and light chains. They offer several advantages including:

  • - The sensitivity of polyclonal antibodies by recognising multiple epitopes
  • - High batch-to-batch consistency and reproducibility
  • - Improved sensitivity and specificity
  • - Long-term security of supply
  • - Animal-free batch production

View our range of recombinant multiclonal antibodies.

Patented technology
Our RabMAb® technology is a patented hybridoma-based technology for making rabbit monoclonal antibodies. For details on our patents, please refer to RabMAb® patents.

Properties and storage information

Form
Liquid
Purification technique
Affinity purification Protein A
Storage buffer
pH: 7.2 - 7.4 Preservative: 0.01% Sodium azide Constituents: PBS, 40% Glycerol (glycerin, glycerine), 0.05% BSA
Shipped at conditions
Blue Ice
Appropriate short-term storage duration
1-2 weeks
Appropriate short-term storage conditions
+4°C
Appropriate long-term storage conditions
-20°C
Aliquoting information
Upon delivery aliquot
Storage information
Avoid freeze / thaw cycle

Supplementary information

This supplementary information is collated from multiple sources and compiled automatically.

CD63 is a protein commonly known as LAMP-3 a member of the tetraspanin family with a molecular weight of approximately 25-65 kDa depending on post-translational modifications such as glycosylation. It resides mainly on the membrane of intracellular vesicles such as lysosomes and platelets. CD63 also appears on the surface of activated cells particularly in immune cells. Researchers often use CD63 as a marker in assays including CD63 western blot techniques due to its distinct expression patterns.
Biological function summary

CD63 participates in various cellular processes including membrane trafficking cell adhesion and signal transduction. It associates with integrins and other tetraspanins forming complexes that influence cellular adhesion and migration. Through its role in exosome formation CD63 contributes significantly to intercellular communication by facilitating the transfer of proteins lipids and RNA between cells.

Pathways

CD63 plays a role in pathways linked to cell proliferation and migration and immune response regulation. Within the integrin-mediated signaling pathway CD63 interacts with proteins such as integrins to promote cell adhesion and migration. CD63 also links to vesicle trafficking pathways collaborating with proteins involved in exocytosis and endocytosis which affect cell membrane restructuring and intracellular transport.

CD63 shows connections with cancer and immune system disorders. Its role in promoting cell adhesion and migration links it with cancer metastasis including melanoma and breast cancer where CD63 expression levels often rise. Additionally CD63 associates with allergic reactions due to its involvement in histamine release where it impacts immune proteins like FcεRI which participate in allergy pathogenesis.

Product protocols

For this product, it's our understanding that no specific protocols are required. You can visit:

Target data

The protein expressed by gene CD63 functions as a cell surface receptor for TIMP1 and is involved in the activation of various cellular signaling cascades. It plays a role in the activation of ITGB1 and integrin signaling, which leads to the activation of AKT, FAK/PTK2, and MAP kinases, promoting cell survival, actin cytoskeleton reorganization, and cell adhesion, spreading, and migration through the activation of AKT and FAK/PTK2. Additionally, it participates in VEGFA signaling by regulating the internalization of KDR/VEGFR2. CD63 is involved in intracellular vesicular transport processes and is essential for the normal trafficking of the PMEL luminal domain, crucial for melanocyte development and maturation. It also contributes to leukocyte adhesion onto endothelial cells by regulating SELP trafficking. CD63 may play a role in mast cell degranulation in response to Ms4a2/FceRI stimulation, but not in response to other stimuli. This supplementary information is collated from multiple sources and compiled automatically.
See full target information CD63

Additional targets

CD63 antigen

Publications (15)

Recent publications for all applications. Explore the full list and refine your search

Bioengineering & translational medicine 10:e70025 PubMed41030280

2025

Engineering biomimetic nanovesicles for PEBP1 mRNA delivery to inhibit ferroptosis in abdominal aortic aneurysm.

Applications

Unspecified application

Species

Unspecified reactive species

Lulu Chen,Bicheng Chen,Xiang Su

Journal of nanobiotechnology 23:443 PubMed40514658

2025

Overcoming acquired immunotherapy resistance in non-small cell lung cancer using ginsenoside Rb1-loaded, peptide-enhanced exosome delivery systems.

Applications

Unspecified application

Species

Unspecified reactive species

Xiangyuan Jin,Tanghesi Wuyun,Yu Zhang,Xiaohong Wang,Ling Zhao

Scientific reports 15:19179 PubMed40450055

2025

c-Myc-dependent LAMP3 regulates the proliferation, metastasis and metabolic reprogramming of tongue squamous cell carcinoma.

Applications

Unspecified application

Species

Unspecified reactive species

Jing Feng,Wei He,Jin Fang

Journal of orthopaedic surgery and research 20:539 PubMed40442730

2025

Insights into the potential role of BMSCs-exo delivered USP14 on SIRT1 deubiquitination in Staphylococcus aureus-induced model of osteomyelitis.

Applications

Unspecified application

Species

Unspecified reactive species

Jun Yu,Ming Yang,Yun Jin,Kaijie Yang,Haibo Yang

Biology direct 20:61 PubMed40399992

2025

Mechanism of LINC01018/miR-182-5p/Rab27B in the immune escape through PD-L1-mediated CD8 T cell suppression in glioma.

Applications

Unspecified application

Species

Unspecified reactive species

Su Hu,Guoshuo Chen,Aiping Luo,Hailin Zhao,Dan Li,Biao Peng,Jike Du,Dongdong Luo

Journal of nanobiotechnology 23:303 PubMed40259377

2025

PTEN as a prognostic factor for radiotherapy plus immunotherapy response in nasopharyngeal carcinoma.

Applications

Unspecified application

Species

Unspecified reactive species

Jiaxing Guo,Ming Zhang,Xiaoli Li,Jiashuo Wang

Cell reports. Medicine 6:102052 PubMed40239632

2025

Catalytic neural stem cell exosomes for multi-stage targeting and synergistical therapy of retinal ischemia-reperfusion injury.

Applications

Unspecified application

Species

Unspecified reactive species

Weiqiang Yang,Xiaojun Wang,Diwei Zheng,Jing Feng,Wenjun Kong,Yue Li,Guanghui Ma,Wei Wei,Yong Tao

International journal of molecular sciences 26: PubMed40141286

2025

Methamphetamine and Methamphetamine-Induced Neuronal Exosomes Modulate the Activity of Rab7a via PTEN to Exert an Influence on the Disordered Autophagic Flux Induced in Neurons.

Applications

Unspecified application

Species

Unspecified reactive species

Hai Qiu,Manting Zhang,Minchun Li,Chuanxiang Chen,Huijun Wang,Xia Yue

Biology direct 20:36 PubMed40140903

2025

Circulating extracellular vesicles regulate ELAVL1 by delivering miR-133a-3p which affecting NLRP3 mRNA stability inhibiting PANoptosome formation.

Applications

Unspecified application

Species

Unspecified reactive species

Deliang Wang,Zheng Dai,Lu Jiang,Ke Liu

Cell biology and toxicology 41:60 PubMed40111649

2025

Olfactory mucosal mesenchymal stem cell-derived exosome Lnc A2M-AS1 ameliorates oxidative stress by regulating TP53INP1-mediated mitochondrial autophagy through interacting with IGF2BP1 in Parkinson's diseases.

Applications

Unspecified application

Species

Unspecified reactive species

Jiangshan Zhang,Chuang Wang,Guoshuai Yang,Yanhui Zhou,Dan Hou,Ying Xia
View all publications

Product promise

We are committed to supporting your work with high-quality reagents, and we're here for you every step of the way. In the unlikely event that one of our products does not perform as expected, you're protected by our Product Promise.
For full details, please see our Terms & Conditions

Please note: All products are 'FOR RESEARCH USE ONLY. NOT FOR USE IN DIAGNOSTIC OR THERAPEUTIC PROCEDURES'.

For licensing inquiries, please contact partnerships@abcam.com