JavaScript is disabled in your browser. Please enable JavaScript to view this website.
AB196571

Anti-CD64 antibody

Be the first to review this product! Submit a review

|

(1 Publication)

Rabbit Polyclonal CD64 antibody. Suitable for IHC-P, ICC/IF and reacts with Human samples. Cited in 1 publication. Immunogen corresponding to Recombinant Fragment Protein within Human FCGR1A aa 250-300.

View Alternative Names

CD64, FCG1, FCGR1, IGFR1, FCGR1A, High affinity immunoglobulin gamma Fc receptor I, IgG Fc receptor I, Fc-gamma RI, Fc-gamma RIA, FcRI, FcgammaRIa

4 Images
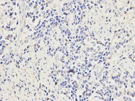
Immunohistochemistry (Formalin/PFA-fixed paraffin-embedded sections) - Anti-CD64 antibody (AB196571)
  • IHC-P

Supplier Data

Immunohistochemistry (Formalin/PFA-fixed paraffin-embedded sections) - Anti-CD64 antibody (AB196571)

Immunohistochemical analysis of paraffin-embedded human rectal cancer tissue labeling CD64 with ab196571 at a 1/200 dilution.

Immunocytochemistry/ Immunofluorescence - Anti-CD64 antibody (AB196571)
  • ICC/IF

Supplier Data

Immunocytochemistry/ Immunofluorescence - Anti-CD64 antibody (AB196571)

Immunofluorescent analysis of MCF7 cells labeling CD64 with ab196571 at a 1/50 dilution.

Immunohistochemistry (Formalin/PFA-fixed paraffin-embedded sections) - Anti-CD64 antibody (AB196571)
  • IHC-P

Supplier Data

Immunohistochemistry (Formalin/PFA-fixed paraffin-embedded sections) - Anti-CD64 antibody (AB196571)

Immunohistochemical analysis of paraffin-embedded human stomach cancer tissue labeling CD64 with ab196571 at a 1/200 dilution.

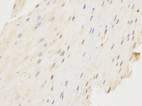
Immunohistochemistry (Formalin/PFA-fixed paraffin-embedded sections) - Anti-CD64 antibody (AB196571)
  • IHC-P

Supplier Data

Immunohistochemistry (Formalin/PFA-fixed paraffin-embedded sections) - Anti-CD64 antibody (AB196571)

Immunohistochemical analysis of paraffin-embedded human esophagus tissue labeling CD64 with ab196571 at a 1/200 dilution.

Key facts

Host species

Rabbit

Clonality

Polyclonal

Isotype

IgG

Carrier free

No

Reacts with

Human

Applications

ICC/IF, IHC-P

applications

Immunogen

Recombinant Fragment Protein within Human FCGR1A aa 250-300. The exact immunogen used to generate this antibody is proprietary information.

P12314

Reactivity data

{ "title": "Reactivity Data", "filters": { "stats": ["", "Species", "Dilution Info", "Notes"], "tabs": { "all-applications": {"fullname" : "All Applications", "shortname": "All Applications"}, "IHCP" : {"fullname" : "Immunohistochemistry (Formalin/PFA-fixed paraffin-embedded sections)", "shortname":"IHC-P"}, "ICCIF" : {"fullname" : "Immunocytochemistry/ Immunofluorescence", "shortname":"ICC/IF"} }, "product-promise": { "all": "all", "testedAndGuaranteed": "tested", "guaranteed": "expected", "predicted": "predicted", "notRecommended": "not-recommended" } }, "values": { "Human": { "IHCP-species-checked": "testedAndGuaranteed", "IHCP-species-dilution-info": "1/50 - 1/200", "IHCP-species-notes": "<p></p>", "ICCIF-species-checked": "testedAndGuaranteed", "ICCIF-species-dilution-info": "1/50 - 1/200", "ICCIF-species-notes": "<p></p>" } } }

Properties and storage information

Form
Liquid
Purification technique
Affinity purification Immunogen
Storage buffer
pH: 7.4 Preservative: 0.02% Sodium azide Constituents: PBS, 50% Glycerol (glycerin, glycerine), 0.87% Sodium chloride
Shipped at conditions
Blue Ice
Appropriate short-term storage duration
1-2 weeks
Appropriate short-term storage conditions
+4°C
Appropriate long-term storage conditions
-20°C
Aliquoting information
Upon delivery aliquot
Storage information
Avoid freeze / thaw cycle

Supplementary information

This supplementary information is collated from multiple sources and compiled automatically.

CD64 also known as Fc gamma receptor 1a (FCGR1A) is a high-affinity receptor for the Fc region of immunoglobulin G (IgG). This receptor weighs approximately 72 kDa and is expressed on the surface of immune cells such as macrophages monocytes and activated neutrophils. CD64 protein plays an important role in immune responses by binding to antibodies and mediating processes such as phagocytosis and antibody-dependent cellular cytotoxicity (ADCC). Researchers often use anti-CD64 antibodies and CD64 markers to study its expression in various cellular contexts especially in flow cytometry.
Biological function summary

CD64 expression involves the binding of IgG which serves as a pivotal mechanism to facilitate phagocytosis and clearance of opsonized pathogens. CD64 does not operate solely; it is part of a larger receptor family that includes other Fc gamma receptors like CD16 and CD32. The regulation of CD64 differs from its relatives due to its higher affinity for IgG. This attribute enables CD64 to play a more significant role in triggering immune responses especially during infections and inflammatory processes.

Pathways

CD64 participates in the immune response pathway and is critical in the regulation of inflammatory responses. Key proteins interacting with CD64 in these pathways include the aforementioned CD16 and CD32 forming a network that ensures efficient immune system activation. The interaction with IgG and subsequent signal transduction underpin the receptor's functionality in these pathways harmonizing innate and adaptive immune responses.

CD64 expression correlates strongly with autoimmune disorders and inflammatory conditions. The receptor's role in orchestrating immune cell activation makes it relevant in diseases such as rheumatoid arthritis and sepsis. In rheumatoid arthritis CD64 interacts with immune complexes intensifying inflammation through enhancement of phagocytic activity. In sepsis increased CD64 marker expression on neutrophils can serve as a diagnostic indicator. Related proteins like CD16 and CD32 also participate in these disorders by modulating immune complex handling and cellular activation.

Product protocols

For this product, it's our understanding that no specific protocols are required. You can visit:

Target data

High affinity receptor for the Fc region of immunoglobulins gamma. Functions in both innate and adaptive immune responses. Mediates IgG effector functions on monocytes triggering antibody-dependent cellular cytotoxicity (ADCC) of virus-infected cells.
See full target information FCGR1A

Publications (1)

Recent publications for all applications. Explore the full list and refine your search

Cell proliferation 58:e13818 PubMed39902627

2025

New Anti-Fibrotic Strategies for Keloids: Insights From Single-Cell Multi-Omics.

Applications

Unspecified application

Species

Unspecified reactive species

Songyun Zhao,Jiaheng Xie,Qian Zhang,Tianyi Ni,Jinde Lin,Weicheng Gao,Liping Zhao,Min Yi,Liying Tu,Pengpeng Zhang,Dan Wu,Qikai Tang,Chenfeng Ma,Yucang He,Liqun Li,Guoping Wu,Wei Yan
View all publications

Product promise

We are committed to supporting your work with high-quality reagents, and we're here for you every step of the way. In the unlikely event that one of our products does not perform as expected, you're protected by our Product Promise.
For full details, please see our Terms & Conditions

Please note: All products are 'FOR RESEARCH USE ONLY. NOT FOR USE IN DIAGNOSTIC OR THERAPEUTIC PROCEDURES'.

For licensing inquiries, please contact partnerships@abcam.com