JavaScript is disabled in your browser. Please enable JavaScript to view this website.
AB302901

Anti-CD64 antibody [EPR23840-139]

  • BOND RX™ Validated
  • 20ul selling size
  • RabMAb
  • Recombinant
  • What is this?

Be the first to review this product! Submit a review

|

(0 Publication)

Rabbit Recombinant Monoclonal CD64 antibody. Suitable for IHC-P and reacts with Human samples.

View Alternative Names

CD64, FCG1, FCGR1, IGFR1, FCGR1A, High affinity immunoglobulin gamma Fc receptor I, IgG Fc receptor I, Fc-gamma RI, Fc-gamma RIA, FcRI, FcgammaRIa

4 Images
Immunohistochemistry - Anti-CD64 antibody [EPR23840-139] (AB302901)
  • IHC

Supplier Data

Immunohistochemistry - Anti-CD64 antibody [EPR23840-139] (AB302901)

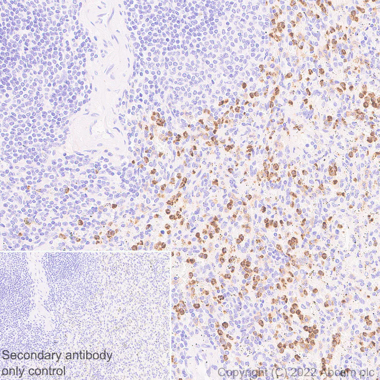
Immunohistochemical analysis of paraffin-embedded Human spleen tissue labeling CD64 with ab302901 at 1/500 (0.958 ug/ml) followed by a LeicaDS9800 (Bond™ Polymer Refine Detection) was used at Ready to use dilution. Positive staining on human spleen (PMID : 26512139).The section was incubated with ab302901 for 30 mins at room temperature.The immunostaining was performed on a Leica Biosystems BOND® RX instrument Counterstained with Hematoxylin. Secondary antibody only control : Secondary antibody is LeicaDS9800 (Bond™ Polymer Refine Detection) was used at Ready to use dilution. Heat mediated antigen retrieval with Tris-EDTA buffer (pH 9.0, epitope retrieval solution2) for 20 mins

Immunohistochemistry - Anti-CD64 antibody [EPR23840-139] (AB302901)
  • IHC

Supplier Data

Immunohistochemistry - Anti-CD64 antibody [EPR23840-139] (AB302901)

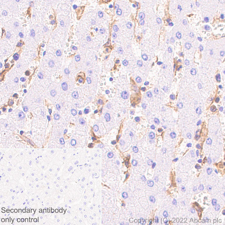
Immunohistochemical analysis of paraffin-embedded Human liver tissue labeling CD64 with ab302901 at 1/500 (0.958 ug/ml) followed by a LeicaDS9800 (Bond™ Polymer Refine Detection) was used at Ready to use dilution. Positive staining in kuffer cells of human liver (PMID : 26512139).The section was incubated with ab302901 for 30 mins at room temperature.The immunostaining was performed on a Leica Biosystems BOND® RX instrument Counterstained with Hematoxylin. Secondary antibody only control : Secondary antibody is LeicaDS9800 (Bond™ Polymer Refine Detection) was used at Ready to use dilution. Heat mediated antigen retrieval with Tris-EDTA buffer (pH 9.0, epitope retrieval solution2) for 20 mins

Immunohistochemistry - Anti-CD64 antibody [EPR23840-139] (AB302901)
  • IHC

Supplier Data

Immunohistochemistry - Anti-CD64 antibody [EPR23840-139] (AB302901)

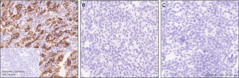
Immunohistochemical analysis of paraffin-embedded (A) HEK-293T cells t tissue labeling CD64 with ab302901 at 1/5000 (0.0958 ug/ml) followed by a LeicaDS9800 (Bond™ Polymer Refine Detection) was used at Ready to use dilution. Positive staining on (A) HEK-293T cells transfected with a FCGR1A (CD64) expression vector containing a his tag, no staining on (B) HEK-293T cells transfected with a FCGR1B expression vector containing a his tag and (C) HEK-293T cells transfected with empty vector containing a his tag.The section was incubated with ab302901 for 30 mins at room temperature.The immunostaining was performed on a Leica Biosystems BOND® RX instrument Counterstained with Hematoxylin. Secondary antibody only control : Secondary antibody is LeicaDS9800 (Bond™ Polymer Refine Detection) was used at Ready to use dilution. Heat mediated antigen retrieval with Tris-EDTA buffer (pH 9.0, epitope retrieval solution2) for 20 mins

Immunohistochemistry - Anti-CD64 antibody [EPR23840-139] (AB302901)
  • IHC

Supplier Data

Immunohistochemistry - Anti-CD64 antibody [EPR23840-139] (AB302901)

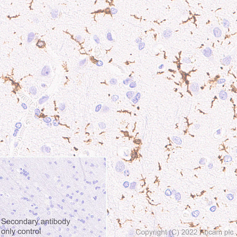
Immunohistochemical analysis of paraffin-embedded Human cerebrum tissue labeling CD64 with ab302901 at 1/500 (0.958 ug/ml) followed by a LeicaDS9800 (Bond™ Polymer Refine Detection) was used at Ready to use dilution. Positive staining on microglia of human cerebrum (PMID : 23452918).The section was incubated with ab302901 for 30 mins at room temperature.The immunostaining was performed on a Leica Biosystems BOND® RX instrument Counterstained with Hematoxylin. Secondary antibody only control : Secondary antibody is LeicaDS9800 (Bond™ Polymer Refine Detection) was used at Ready to use dilution. Heat mediated antigen retrieval with Tris-EDTA buffer (pH 9.0, epitope retrieval solution2) for 20 mins

  • Carrier free

    Anti-CD64 antibody [EPR23840-139] - BSA and Azide free

Key facts

Host species

Rabbit

Clonality

Monoclonal

Clone number

EPR23840-139

Isotype

IgG

Carrier free

No

Reacts with

Human

Applications

IHC-P

applications

Immunogen

The exact immunogen used to generate this antibody is proprietary information.

Reactivity data

{ "title": "Reactivity Data", "filters": { "stats": ["", "Species", "Dilution Info", "Notes"], "tabs": { "all-applications": {"fullname" : "All Applications", "shortname": "All Applications"}, "WB" : {"fullname" : "Western blot", "shortname":"WB"}, "IHCP" : {"fullname" : "Immunohistochemistry (Formalin/PFA-fixed paraffin-embedded sections)", "shortname":"IHC-P"}, "ICCIF" : {"fullname" : "Immunocytochemistry/ Immunofluorescence", "shortname":"ICC/IF"}, "FlowCyt" : {"fullname" : "Flow Cytometry", "shortname":"Flow Cyt"}, "IP" : {"fullname" : "Immunoprecipitation", "shortname":"IP"} }, "product-promise": { "all": "all", "testedAndGuaranteed": "tested", "guaranteed": "expected", "predicted": "predicted", "notRecommended": "not-recommended" } }, "values": { "Human": { "WB-species-checked": "notRecommended", "WB-species-dilution-info": "", "WB-species-notes": "<p></p>", "IHCP-species-checked": "testedAndGuaranteed", "IHCP-species-dilution-info": "1/500", "IHCP-species-notes": "<p></p> Perform heat-mediated antigen retrieval with Tris/EDTA buffer pH 9.0 before commencing with IHC staining protocol.", "ICCIF-species-checked": "notRecommended", "ICCIF-species-dilution-info": "", "ICCIF-species-notes": "<p></p>", "FlowCyt-species-checked": "notRecommended", "FlowCyt-species-dilution-info": "", "FlowCyt-species-notes": "<p></p>", "IP-species-checked": "notRecommended", "IP-species-dilution-info": "", "IP-species-notes": "<p></p>" }, "Mouse": { "WB-species-checked": "notRecommended", "WB-species-dilution-info": "", "WB-species-notes": "<p></p>", "IHCP-species-checked": "notRecommended", "IHCP-species-dilution-info": "1/500", "IHCP-species-notes": "<p></p> Perform heat-mediated antigen retrieval with Tris/EDTA buffer pH 9.0 before commencing with IHC staining protocol.", "ICCIF-species-checked": "notRecommended", "ICCIF-species-dilution-info": "", "ICCIF-species-notes": "", "FlowCyt-species-checked": "notRecommended", "FlowCyt-species-dilution-info": "", "FlowCyt-species-notes": "", "IP-species-checked": "notRecommended", "IP-species-dilution-info": "", "IP-species-notes": "" }, "Rat": { "WB-species-checked": "notRecommended", "WB-species-dilution-info": "", "WB-species-notes": "<p></p>", "IHCP-species-checked": "notRecommended", "IHCP-species-dilution-info": "", "IHCP-species-notes": "<p></p> Perform heat-mediated antigen retrieval with Tris/EDTA buffer pH 9.0 before commencing with IHC staining protocol.", "ICCIF-species-checked": "notRecommended", "ICCIF-species-dilution-info": "", "ICCIF-species-notes": "", "FlowCyt-species-checked": "notRecommended", "FlowCyt-species-dilution-info": "", "FlowCyt-species-notes": "", "IP-species-checked": "notRecommended", "IP-species-dilution-info": "", "IP-species-notes": "" } } }

Product details

Patented technology
Our RabMAb® technology is a patented hybridoma-based technology for making rabbit monoclonal antibodies. For details on our patents, please refer to RabMAb® patents.

What are the advantages of a recombinant monoclonal antibody?
This product is a recombinant monoclonal antibody, which offers several advantages including:

  • - High batch-to-batch consistency and reproducibility
  • - Improved sensitivity and specificity
  • - Long-term security of supply
  • - Animal-free batch production

For more information, read more on recombinant antibodies.

Properties and storage information

Form
Liquid
Purification technique
Affinity purification Protein A
Storage buffer
pH: 7.2 - 7.4 Preservative: 0.01% Sodium azide Constituents: PBS, 40% Glycerol (glycerin, glycerine), 0.05% BSA
Shipped at conditions
Blue Ice
Appropriate short-term storage duration
1-2 weeks
Appropriate short-term storage conditions
+4°C
Appropriate long-term storage conditions
-20°C
Aliquoting information
Upon delivery aliquot
Storage information
Avoid freeze / thaw cycle

Supplementary information

This supplementary information is collated from multiple sources and compiled automatically.

CD64 also known as Fc gamma receptor 1a (FCGR1A) is a high-affinity receptor for the Fc region of immunoglobulin G (IgG). This receptor weighs approximately 72 kDa and is expressed on the surface of immune cells such as macrophages monocytes and activated neutrophils. CD64 protein plays an important role in immune responses by binding to antibodies and mediating processes such as phagocytosis and antibody-dependent cellular cytotoxicity (ADCC). Researchers often use anti-CD64 antibodies and CD64 markers to study its expression in various cellular contexts especially in flow cytometry.
Biological function summary

CD64 expression involves the binding of IgG which serves as a pivotal mechanism to facilitate phagocytosis and clearance of opsonized pathogens. CD64 does not operate solely; it is part of a larger receptor family that includes other Fc gamma receptors like CD16 and CD32. The regulation of CD64 differs from its relatives due to its higher affinity for IgG. This attribute enables CD64 to play a more significant role in triggering immune responses especially during infections and inflammatory processes.

Pathways

CD64 participates in the immune response pathway and is critical in the regulation of inflammatory responses. Key proteins interacting with CD64 in these pathways include the aforementioned CD16 and CD32 forming a network that ensures efficient immune system activation. The interaction with IgG and subsequent signal transduction underpin the receptor's functionality in these pathways harmonizing innate and adaptive immune responses.

CD64 expression correlates strongly with autoimmune disorders and inflammatory conditions. The receptor's role in orchestrating immune cell activation makes it relevant in diseases such as rheumatoid arthritis and sepsis. In rheumatoid arthritis CD64 interacts with immune complexes intensifying inflammation through enhancement of phagocytic activity. In sepsis increased CD64 marker expression on neutrophils can serve as a diagnostic indicator. Related proteins like CD16 and CD32 also participate in these disorders by modulating immune complex handling and cellular activation.

Product protocols

For this product, it's our understanding that no specific protocols are required. You can visit:

Target data

High affinity receptor for the Fc region of immunoglobulins gamma. Functions in both innate and adaptive immune responses. Mediates IgG effector functions on monocytes triggering antibody-dependent cellular cytotoxicity (ADCC) of virus-infected cells.
See full target information FCGR1A

Product promise

We are committed to supporting your work with high-quality reagents, and we're here for you every step of the way. In the unlikely event that one of our products does not perform as expected, you're protected by our Product Promise.
For full details, please see our Terms & Conditions

Please note: All products are 'FOR RESEARCH USE ONLY. NOT FOR USE IN DIAGNOSTIC OR THERAPEUTIC PROCEDURES'.

For licensing inquiries, please contact partnerships@abcam.com