JavaScript is disabled in your browser. Please enable JavaScript to view this website.
AB214175

Anti-CD66b antibody

Be the first to review this product! Submit a review

|

(9 Publications)

Rabbit Polyclonal CD66b antibody. Suitable for IHC-P and reacts with Human samples. Cited in 9 publications. Immunogen corresponding to Synthetic Peptide within Human CEACAM8 aa 50-150 conjugated to Keyhole Limpet Haemocyanin.

View Alternative Names

CD66b, CGM6, CEACAM8, Cell adhesion molecule CEACAM8, CD67 antigen, Carcinoembryonic antigen CGM6, Carcinoembryonic antigen-related cell adhesion molecule 8, Non-specific cross-reacting antigen NCA-95, CEA cell adhesion molecule 8

1 Images
Immunohistochemistry (Formalin/PFA-fixed paraffin-embedded sections) - Anti-CD66b antibody (AB214175)
  • IHC-P

Supplier Data

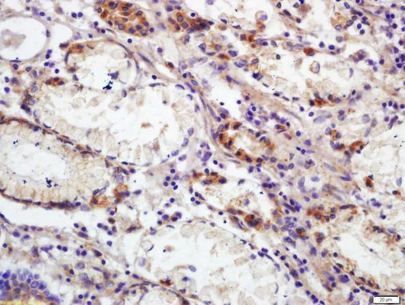
Immunohistochemistry (Formalin/PFA-fixed paraffin-embedded sections) - Anti-CD66b antibody (AB214175)

Immunohistochemical analysis of formalin-fixed, paraffin-embedded Human colon carcinoma tissue labeling CD66b with ab214175 at 1/200 dilution, followed by conjugation to a secondary antibody and DAB staining.

Key facts

Host species

Rabbit

Clonality

Polyclonal

Isotype

IgG

Carrier free

No

Reacts with

Human

Applications

IHC-P

applications

Immunogen

Synthetic Peptide within Human CEACAM8 aa 50-150 conjugated to Keyhole Limpet Haemocyanin. The exact immunogen used to generate this antibody is proprietary information.

P31997

Reactivity data

{ "title": "Reactivity Data", "filters": { "stats": ["", "Species", "Dilution Info", "Notes"], "tabs": { "all-applications": {"fullname" : "All Applications", "shortname": "All Applications"}, "IHCP" : {"fullname" : "Immunohistochemistry (Formalin/PFA-fixed paraffin-embedded sections)", "shortname":"IHC-P"} }, "product-promise": { "all": "all", "testedAndGuaranteed": "tested", "guaranteed": "expected", "predicted": "predicted", "notRecommended": "not-recommended" } }, "values": { "Human": { "IHCP-species-checked": "testedAndGuaranteed", "IHCP-species-dilution-info": "1/100 - 1/500", "IHCP-species-notes": "<p></p>" } } }

Properties and storage information

Form
Liquid
Purification technique
Affinity purification Protein A
Storage buffer
pH: 7.4 Preservative: 0.02% Proclin 300 Constituents: 50% Glycerol (glycerin, glycerine), 48.98% TBS, 1X, 1% BSA
Shipped at conditions
Blue Ice
Appropriate short-term storage duration
1-2 weeks
Appropriate short-term storage conditions
+4°C
Appropriate long-term storage conditions
-20°C
Aliquoting information
Upon delivery aliquot
Storage information
Avoid freeze / thaw cycle

Supplementary information

This supplementary information is collated from multiple sources and compiled automatically.

CD66b also known as carcinoembryonic antigen-related cell adhesion molecule 8 (CEACAM8) is a glycoprotein with a molecular weight around 95 kDa. It is primarily expressed on the surface of granulocytes specifically on neutrophils—its expression on these cells makes it a useful marker in distinguishing stages of granulocyte maturation. The protein localizes to the cell membrane and serves as a cell adhesion molecule playing roles in intercellular interactions. Researchers often use CD66b-specific antibodies such as CD66b FITC for detecting and analyzing neutrophil populations commonly in flow cytometry applications.
Biological function summary

CD66b contributes to immune responses by facilitating leukocyte activation and migration during inflammation. It does not form part of a multi-protein complex but interacts with other cellular components. CD66b promotes neutrophil adhesion and transmigration to sites of infection or injury supporting their role in innate immunity. Additionally it participates in signaling pathways that influence cell survival proliferation and apoptosis in response to environmental cues.

Pathways

CD66b operates within neutrophil-related processes like the immune response and cell adhesion pathways. In the immune response pathway it collaborates with integrins to assist neutrophil extravasation through the endothelium. During inflammatory responses CD66b interaction with integrins and other adhesion molecules influences the intensity and duration of activity at inflammation sites. This interaction highlights its involvement with proteins such as ICAM-1 in mediating firm adhesion necessary for neutrophil migration.

CD66b levels and activity correlate with conditions involving inflammation such as chronic obstructive pulmonary disease (COPD) and rheumatoid arthritis. During COPD the altered expression and regulation of CD66b contribute to neutrophil-driven inflammation exacerbating disease symptoms. Similarly rheumatoid arthritis involves inflammatory pathways where aberrant CD66b activity enhances synovial inflammation often linked with other inflammatory markers like TNF-alpha. Understanding CD66b's role in such diseases aids the development of therapeutic strategies targeting neutrophil-mediated pathology.

Product protocols

For this product, it's our understanding that no specific protocols are required. You can visit:

Target data

Cell surface glycoprotein that plays a role in cell adhesion in a calcium-independent manner (PubMed : 11590190, PubMed : 2022629, PubMed : 8776764). Mediates heterophilic cell adhesion with other carcinoembryonic antigen-related cell adhesion molecules, such as CEACAM6 (PubMed : 11590190, PubMed : 2022629, PubMed : 8776764). Heterophilic interaction with CEACAM8 occurs in activated neutrophils (PubMed : 8776764).
See full target information CEACAM8

Publications (9)

Recent publications for all applications. Explore the full list and refine your search

Frontiers in immunology 15:1500478 PubMed39687617

2024

PCDHGA10 as a potential prognostic biomarker and correlated with immune infiltration in gastric cancer.

Applications

Unspecified application

Species

Unspecified reactive species

Mingyang Zhong,Zhuoqun Yu,Qianqian Wu,Bing Lu,PingPing Sun,Xiaojing Zhang,Lei Yang,Han Wu

Journal of translational medicine 21:285 PubMed37118737

2023

The intratumour microbiota and neutrophilic inflammation in squamous cell vulvar carcinoma microenvironment.

Applications

Unspecified application

Species

Unspecified reactive species

Natalia Rustetska,Magdalena Szczepaniak,Krzysztof Goryca,Elwira Bakuła-Zalewska,Małgorzata Figat,Artur Kowalik,Stanisław Góźdź,Magdalena Kowalewska

Journal for immunotherapy of cancer 11: PubMed37072348

2023

Intratumoral tertiary lymphoid structure (TLS) maturation is influenced by draining lymph nodes of lung cancer.

Applications

Unspecified application

Species

Unspecified reactive species

Miao He,Qihua He,Xiuyu Cai,Jun Liu,Hongshen Deng,Feng Li,Ran Zhong,Yi Lu,Haoxin Peng,Xiangrong Wu,Zisheng Chen,Shen Lao,Caichen Li,Jianfu Li,Jianxing He,Wenhua Liang

International journal of molecular sciences 24: PubMed37047398

2023

Tobacco Alkaloid Assessment in a DSS-Induced Colitis Mouse Model with a Fully Humanized Immune System.

Applications

Unspecified application

Species

Unspecified reactive species

Catherine Verhaeghe,Marja Talikka,Alain Sewer,Nicolas Sierro,Mehdi Auberson,Dariusz Peric,David Bornand,Remi Dulize,Emmanuel Guedj,Patrick Nef,Sebastien P Tabruyn,Julia Hoeng,Manuel C Peitsch,Giuseppe Lo Sasso

Cancer science 113:4048-4058 PubMed35611468

2022

Survival impact of immune cells infiltrating peritumoral area of hepatocellular carcinoma.

Applications

Unspecified application

Species

Unspecified reactive species

Toshihiko Yusa,Yo-Ichi Yamashita,Hirohisa Okabe,Yosuke Nakao,Rumi Itoyama,Yuki Kitano,Takayoshi Kaida,Tatsunori Miyata,Kosuke Mima,Katsunori Imai,Hiromitsu Hayashi,Hideo Baba

Translational lung cancer research 11:523-542 PubMed35529784

2022

Macrophages-based immune-related risk score model for relapse prediction in stage I-III non-small cell lung cancer assessed by multiplex immunofluorescence.

Applications

Unspecified application

Species

Unspecified reactive species

Xiang-Rong Wu,Hao-Xin Peng,Miao He,Ran Zhong,Jun Liu,Yao-Kai Wen,Cai-Chen Li,Jian-Fu Li,Shan Xiong,Tao Yu,Hong-Bo Zheng,Yan-Hui Chen,Jian-Xing He,Wen-Hua Liang,Xiu-Yu Cai

Frontiers in immunology 12:750046 PubMed34804034

2021

Profiling Tumor Immune Microenvironment of Non-Small Cell Lung Cancer Using Multiplex Immunofluorescence.

Applications

Unspecified application

Species

Unspecified reactive species

Haoxin Peng,Xiangrong Wu,Ran Zhong,Tao Yu,Xiuyu Cai,Jun Liu,Yaokai Wen,Yiyuan Ao,Jiana Chen,Yutian Li,Miao He,Caichen Li,Hongbo Zheng,Yanhui Chen,Zhenkui Pan,Jianxing He,Wenhua Liang

International journal of cancer 146:1152-1163 PubMed31304591

2019

Development and validation of a seven-immune-feature-based prognostic score for oral squamous cell carcinoma after curative resection.

Applications

Unspecified application

Species

Unspecified reactive species

Chen Zhou,Pengfei Diao,Yaping Wu,Zicheng Wei,Lei Jiang,Wei Zhang,Zhongwu Li,Jinhai Ye,Xiaomeng Song,Heming Wu,Hongbing Jiang,Yanling Wang,Jie Cheng

Evidence-based complementary and alternative medic 2015:307594 PubMed25802536

2015

Comparisons of ethanol extracts of chinese propolis (poplar type) and poplar gums based on the antioxidant activities and molecular mechanism.

Applications

Unspecified application

Species

Unspecified reactive species

Jianglin Zhang,Xueping Cao,Shun Ping,Kai Wang,Jinhu Shi,Cuiping Zhang,Huoqing Zheng,Fuliang Hu
View all publications

Product promise

We are committed to supporting your work with high-quality reagents, and we're here for you every step of the way. In the unlikely event that one of our products does not perform as expected, you're protected by our Product Promise.
For full details, please see our Terms & Conditions

Please note: All products are 'FOR RESEARCH USE ONLY. NOT FOR USE IN DIAGNOSTIC OR THERAPEUTIC PROCEDURES'.

For licensing inquiries, please contact partnerships@abcam.com