JavaScript is disabled in your browser. Please enable JavaScript to view this website.
AB300122

Anti-CD66b antibody [EPR25354-2]

  • BOND RX™ Validated
  • 20ul selling size
  • RabMAb
  • Recombinant
  • What is this?

5

(1 Review)

|

(9 Publications)

Anti-CD66b antibody [EPR25354-2] (ab300122) is a rabbit monoclonal antibody detecting CD66b in Western Blot, IP, IHC-P. Suitable for Human.

- Biophysical QC for unrivalled batch-batch consistency

View Alternative Names

CD66b, CGM6, CEACAM8, Cell adhesion molecule CEACAM8, CD67 antigen, Carcinoembryonic antigen CGM6, Carcinoembryonic antigen-related cell adhesion molecule 8, Non-specific cross-reacting antigen NCA-95, CEA cell adhesion molecule 8

6 Images
Immunohistochemistry (Formalin/PFA-fixed paraffin-embedded sections) - Anti-CD66b antibody [EPR25354-2] (AB300122)
  • IHC-P

Lab

Immunohistochemistry (Formalin/PFA-fixed paraffin-embedded sections) - Anti-CD66b antibody [EPR25354-2] (AB300122)

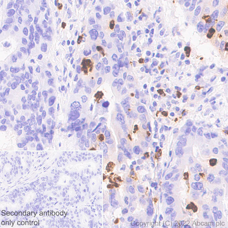
Immunohistochemical analysis of paraffin-embedded human stomach carcinoma tissue labelling CD66b with ab300122 at 1/20000 (0.026 µg/ml) followed by a ready to use LeicaDS9800 (BOND Polymer Refine Detection) was used.

Positive staining on neutrophils in human stomach carcinoma (PMID : 31329780).

The section was incubated with ab300122 for 30 mins at room temperature. The immunostaining was performed on a Leica Biosystems BOND® RX instrument. Counterstained with Hematoxylin.

Secondary antibody only control : Secondary antibody is a ready to use LeicaDS9800 (BOND Polymer Refine Detection) was used.

Heat mediated antigen retrieval with Tris-EDTA buffer (pH 9.0, epitope retrieval solution2) for 20 mins.

Immunohistochemistry (Formalin/PFA-fixed paraffin-embedded sections) - Anti-CD66b antibody [EPR25354-2] (AB300122)
  • IHC-P

Lab

Immunohistochemistry (Formalin/PFA-fixed paraffin-embedded sections) - Anti-CD66b antibody [EPR25354-2] (AB300122)

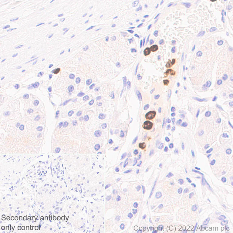
Immunohistochemical analysis of paraffin-embedded human stomach tissue labelling CD66b with ab300122 at 1/20000 (0.026 µg/ml) followed by a ready to use LeicaDS9800 (BOND Polymer Refine Detection) was used.

Positive staining on neutrophils in human stomach (PMID : 32096331).

The section was incubated with ab300122 for 30 mins at room temperature. The immunostaining was performed on a Leica Biosystems BOND® RX instrument. Counterstained with Hematoxylin.

Secondary antibody only control : PBS was used instead of primary antibody (ab300122) followed by ready to use secondary antibody LeicaDS9800 (BOND Polymer Refine Detection).

Heat mediated antigen retrieval with Tris-EDTA buffer (pH 9.0, epitope retrieval solution2) for 20 mins.

Immunohistochemistry (Formalin/PFA-fixed paraffin-embedded sections) - Anti-CD66b antibody [EPR25354-2] (AB300122)
  • IHC-P

Lab

Immunohistochemistry (Formalin/PFA-fixed paraffin-embedded sections) - Anti-CD66b antibody [EPR25354-2] (AB300122)

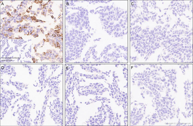
Immunohistochemical analysis of paraffin-embedded : (A) HEK-293T cells transfected with a CD66b expression vector containing a his tag.
(B) HEK-293T cells transfected with a CEACAM1 expression vector containing a his tag.
(C) HEK-293T cells transfected with a CEACAM3 expression vector containing a his tag.
(D) HEK-293T cells transfected with a CEACAM5 expression vector containing a his tag.
(E) HEK-293T cells transfected with a CEACAM6 expression vector containing a his tag.
(F) HEK-293T cells transfected with empty vector containing a his tag.

All tissues labelling CD66b with ab300122 at 1/20000 (0.027 µg/ml) followed by a ready to use LeicaDS9800 (BOND Polymer Refine Detection). This antibody does not cross-react with CEACAM1, CEACAM3, CEACAM5 and CEACAM6 proteins.

Positive staining on (A) HEK-293T cells transfected with a CEACAM8 expression vector containing a his tag. No staining on HEK-293T cells transfected with a CEACAM1 (B), CEACAM3 (C), CEACAM5 (D), CEACAM6 (E), and empty (F) expression vector containing a his tag.

The section was incubated with ab300122 for 30 mins at room temperature. The immunostaining was performed on a Leica Biosystems BOND® RX instrument. Counterstained with Hematoxylin.

Secondary antibody only control : PBS was used instead of primary antibody (ab300150) followed by ready to use secondary antibody LeicaDS9800 (BOND Polymer Refine Detection).

Heat mediated antigen retrieval with Tris-EDTA buffer (pH 9.0, epitope retrieval solution2) for 20 mins.

Immunohistochemistry (Formalin/PFA-fixed paraffin-embedded sections) - Anti-CD66b antibody [EPR25354-2] (AB300122)
  • IHC-P

Lab

Immunohistochemistry (Formalin/PFA-fixed paraffin-embedded sections) - Anti-CD66b antibody [EPR25354-2] (AB300122)

Immunohistochemical analysis of paraffin-embedded human tonsil tissue labelling CD66b with ab300122 at 1/20000 (0.026 µg/ml) followed by a ready to use LeicaDS9800 (BOND Polymer Refine Detection).

Positive staining on human tonsil.

The section was incubated with ab300122 for 30 mins at room temperature. The immunostaining was performed on a Leica Biosystems BOND® RX instrument. Counterstained with Hematoxylin.

Secondary antibody only control : PBS was used instead of primary antibody (ab300122) followed by ready to use secondary antibody LeicaDS9800 (BOND Polymer Refine Detection).

Heat mediated antigen retrieval with Tris-EDTA buffer (pH 9.0, epitope retrieval solution2) for 20 mins.

Immunoprecipitation - Anti-CD66b antibody [EPR25354-2] (AB300122)
  • IP

Lab

Immunoprecipitation - Anti-CD66b antibody [EPR25354-2] (AB300122)

CD66b was immunoprecipitated from 0.35 mg Human spleen tissue lysate 10 µg with ab300122 at 1/30 dilution (2µg in 0.35mg lysates). Western blot was performed on the immunoprecipitate using ab300122 at 1/1000 dilution. VeriBlot for IP secondary antibody(HRP)(ab131366) was used at 1/5000 dilution.

Blocking and dilution buffer and concentration : 5% NFDM/TBST.

All lanes:

Immunoprecipitation - Anti-CD66b antibody [EPR25354-2] (ab300122) at 1/1000 dilution

Lane 1:

Human spleen tissue lysate at 10 µg

Lane 2:

ab300122 at 1/30 IP in human spleen tissue lysate at 10 µg

Lane 3:

Rabbit monoclonal IgG (<a href='/en-us/products/primary-antibodies/rabbit-igg-monoclonal-epr25a-isotype-control-ab172730'>ab172730</a>) instead of ab300122 in Human spleen tissue lysate at 10 µg

Secondary

All lanes:

Immunoprecipitation - VeriBlot for IP Detection Reagent (HRP) (<a href='/en-us/products/reagents/veriblot-for-ip-detection-reagent-hrp-ab131366'>ab131366</a>) at 1/5000 dilution

Observed band size: 95 kDa

false

Exposure time: 7.75s

Western blot - Anti-CD66b antibody [EPR25354-2] (AB300122)
  • WB

Lab

Western blot - Anti-CD66b antibody [EPR25354-2] (AB300122)

CD66b is a highly glycosylated protein, the molecular weight observed is consistent with what has been described in the literature (PMID : 15147383)

Samples are non-boiled as boiling may cause protein aggregates.

Bis-Tris gel was used for this blot.

Blocking and dilution buffer and concentration : 5% NFDM/TBST.

All lanes:

Western blot - Anti-CD66b antibody [EPR25354-2] (ab300122) at 1/1000 dilution

All lanes:

Human spleen tissue lysate  at 20 µg

Secondary

All lanes:

Western blot - Goat Anti-Rabbit IgG H&L (HRP) (<a href='/en-us/products/secondary-antibodies/goat-rabbit-igg-h-l-hrp-ab97051'>ab97051</a>) at 1/100000 dilution

Observed band size: 95 kDa

false

Exposure time: 10s

Key facts

Host species

Rabbit

Clonality

Monoclonal

Clone number

EPR25354-2

Isotype

IgG

Carrier free

No

Reacts with

Human

Applications

IHC-P, WB, IP

applications

Immunogen

The exact immunogen used to generate this antibody is proprietary information.

Reactivity data

{ "title": "Reactivity Data", "filters": { "stats": ["", "Species", "Dilution Info", "Notes"], "tabs": { "all-applications": {"fullname" : "All Applications", "shortname": "All Applications"}, "ICCIF" : {"fullname" : "Immunocytochemistry/ Immunofluorescence", "shortname":"ICC/IF"}, "FlowCyt" : {"fullname" : "Flow Cytometry", "shortname":"Flow Cyt"}, "WB" : {"fullname" : "Western blot", "shortname":"WB"}, "IHCP" : {"fullname" : "Immunohistochemistry (Formalin/PFA-fixed paraffin-embedded sections)", "shortname":"IHC-P"}, "IP" : {"fullname" : "Immunoprecipitation", "shortname":"IP"} }, "product-promise": { "all": "all", "testedAndGuaranteed": "tested", "guaranteed": "expected", "predicted": "predicted", "notRecommended": "not-recommended" } }, "values": { "Human": { "ICCIF-species-checked": "notRecommended", "ICCIF-species-dilution-info": "", "ICCIF-species-notes": "<p></p>", "FlowCyt-species-checked": "notRecommended", "FlowCyt-species-dilution-info": "", "FlowCyt-species-notes": "<p></p>", "WB-species-checked": "testedAndGuaranteed", "WB-species-dilution-info": "1/1000", "WB-species-notes": "<p></p>", "IHCP-species-checked": "testedAndGuaranteed", "IHCP-species-dilution-info": "1/20000", "IHCP-species-notes": "<p></p> Perform heat-mediated antigen retrieval with Tris/EDTA buffer pH 9.0 before commencing with IHC staining protocol.", "IP-species-checked": "testedAndGuaranteed", "IP-species-dilution-info": "1/30", "IP-species-notes": "<p></p>" }, "Mouse": { "ICCIF-species-checked": "notRecommended", "ICCIF-species-dilution-info": "", "ICCIF-species-notes": "", "FlowCyt-species-checked": "notRecommended", "FlowCyt-species-dilution-info": "", "FlowCyt-species-notes": "", "WB-species-checked": "notRecommended", "WB-species-dilution-info": "1/1000", "WB-species-notes": "<p></p>", "IHCP-species-checked": "notRecommended", "IHCP-species-dilution-info": "1/20000", "IHCP-species-notes": "<p></p> Perform heat-mediated antigen retrieval with Tris/EDTA buffer pH 9.0 before commencing with IHC staining protocol.", "IP-species-checked": "notRecommended", "IP-species-dilution-info": "", "IP-species-notes": "" }, "Rat": { "ICCIF-species-checked": "notRecommended", "ICCIF-species-dilution-info": "", "ICCIF-species-notes": "", "FlowCyt-species-checked": "notRecommended", "FlowCyt-species-dilution-info": "", "FlowCyt-species-notes": "", "WB-species-checked": "notRecommended", "WB-species-dilution-info": "1/1000", "WB-species-notes": "<p></p>", "IHCP-species-checked": "notRecommended", "IHCP-species-dilution-info": "1/20000", "IHCP-species-notes": "<p></p> Perform heat-mediated antigen retrieval with Tris/EDTA buffer pH 9.0 before commencing with IHC staining protocol.", "IP-species-checked": "notRecommended", "IP-species-dilution-info": "", "IP-species-notes": "" } } }

Product details

What is this antibody validated in?
Anti-CD66b antibody [EPR25354-2] (ab300122) is a rabbit recombinant monoclonal antibody and is validated for use in Western Blot (WB), Immunoprecipitation (IP), Immunohistochemistry (IHC-P) in Human samples.

What is the molecular weight of CD66b?
Anti-CD66b [EPR25354-2] (ab300122) specifically detects a band for CD66b (UniProt: P31997) at a molecular weight of 38kDa.

Trial sizes available!
Test your antibody or perform pre-screening before committing to a larger quantity. Sold in 10µl. Discover our selection of trial-size antibodies.

Other related products
We have a range of other formats of antibody clone [EPR25354-2] also available for your convenience: ab300122, Carrier free - ab300123, Alexa Fluor® 647 - ab307405, Alexa Fluor® 555 - ab307627

Patented technology
Our RabMAb® technology is a patented hybridoma-based technology for making rabbit monoclonal antibodies. For details on our patents, please refer to RabMAb® patents.

What are the advantages of a recombinant monoclonal antibody?
This product is a recombinant monoclonal antibody, which offers several advantages including:

  • - High batch-to-batch consistency and reproducibility
  • - Improved sensitivity and specificity
  • - Long-term security of supply
  • - Animal-free batch production

For more information, read more on recombinant antibodies.

Properties and storage information

Form
Liquid
Purification technique
Affinity purification Protein A
Storage buffer
pH: 7.2 - 7.4 Preservative: 0.01% Sodium azide Constituents: PBS, 40% Glycerol (glycerin, glycerine), 0.05% BSA
Shipped at conditions
Blue Ice
Appropriate short-term storage duration
1-2 weeks
Appropriate short-term storage conditions
+4°C
Appropriate long-term storage conditions
-20°C
Aliquoting information
Upon delivery aliquot
Storage information
Avoid freeze / thaw cycle

Supplementary information

This supplementary information is collated from multiple sources and compiled automatically.

CD66b also known as carcinoembryonic antigen-related cell adhesion molecule 8 (CEACAM8) is a glycoprotein with a molecular weight around 95 kDa. It is primarily expressed on the surface of granulocytes specifically on neutrophils—its expression on these cells makes it a useful marker in distinguishing stages of granulocyte maturation. The protein localizes to the cell membrane and serves as a cell adhesion molecule playing roles in intercellular interactions. Researchers often use CD66b-specific antibodies such as CD66b FITC for detecting and analyzing neutrophil populations commonly in flow cytometry applications.
Biological function summary

CD66b contributes to immune responses by facilitating leukocyte activation and migration during inflammation. It does not form part of a multi-protein complex but interacts with other cellular components. CD66b promotes neutrophil adhesion and transmigration to sites of infection or injury supporting their role in innate immunity. Additionally it participates in signaling pathways that influence cell survival proliferation and apoptosis in response to environmental cues.

Pathways

CD66b operates within neutrophil-related processes like the immune response and cell adhesion pathways. In the immune response pathway it collaborates with integrins to assist neutrophil extravasation through the endothelium. During inflammatory responses CD66b interaction with integrins and other adhesion molecules influences the intensity and duration of activity at inflammation sites. This interaction highlights its involvement with proteins such as ICAM-1 in mediating firm adhesion necessary for neutrophil migration.

CD66b levels and activity correlate with conditions involving inflammation such as chronic obstructive pulmonary disease (COPD) and rheumatoid arthritis. During COPD the altered expression and regulation of CD66b contribute to neutrophil-driven inflammation exacerbating disease symptoms. Similarly rheumatoid arthritis involves inflammatory pathways where aberrant CD66b activity enhances synovial inflammation often linked with other inflammatory markers like TNF-alpha. Understanding CD66b's role in such diseases aids the development of therapeutic strategies targeting neutrophil-mediated pathology.

Product protocols

For this product, it's our understanding that no specific protocols are required. You can visit:

Target data

Cell surface glycoprotein that plays a role in cell adhesion in a calcium-independent manner (PubMed : 11590190, PubMed : 2022629, PubMed : 8776764). Mediates heterophilic cell adhesion with other carcinoembryonic antigen-related cell adhesion molecules, such as CEACAM6 (PubMed : 11590190, PubMed : 2022629, PubMed : 8776764). Heterophilic interaction with CEACAM8 occurs in activated neutrophils (PubMed : 8776764).
See full target information CEACAM8

Publications (9)

Recent publications for all applications. Explore the full list and refine your search

Journal of translational medicine 23:878 PubMed40775351

2025

Calcium overload via PVT1 reprograms neutrophil fate and constrains gastric cancer progression.

Applications

Unspecified application

Species

Unspecified reactive species

Dong Wang,Yunlong Li,Xiaoyu Peng,Lulu Zhang,Ying Zhang,Xue Guan,Xiao Liang,Songbin Fu,Jingcui Yu

Molecular brain 18:53 PubMed40545530

2025

Distinct composition of different types of Abeta plaques in the pathogenesis of Alzheimer's disease and the role of neutrophil-derived myeloperoxidase.

Applications

Unspecified application

Species

Unspecified reactive species

Jianru Sun,Xiangqi Shao,Xue Wang,Xiang-Sha Yin,Wenying Qiu,Xiaojing Qian,Fan Liu,Yongmei Chen,Chao Ma

Scientific reports 15:12278 PubMed40210693

2025

ARL8B regulates lysosomal function and predicts poor prognosis in hepatocellular carcinoma.

Applications

Unspecified application

Species

Unspecified reactive species

Liyan Wu,Zelin Weng,Xia Yang,Yuhua Huang,Yansong Lin,Shuo Li,Lingyi Fu,Jingping Yun

ACS nano 19:10078-10092 PubMed40059332

2025

Integrated Microfluidic Chip for Neutrophil Extracellular Vesicle Analysis and Gastric Cancer Diagnosis.

Applications

Unspecified application

Species

Unspecified reactive species

Dan Yu,Jianmei Gu,Jiahui Zhang,Maoye Wang,Runbi Ji,Chunlai Feng,Hélder A Santos,Hongbo Zhang,Xu Zhang

Journal for immunotherapy of cancer 12: PubMed39209452

2024

Tumor microenvironment biomarkers predicting pathological response to neoadjuvant chemoimmunotherapy in locally advanced esophageal squamous cell carcinoma: post-hoc analysis of a single center, phase 2 study.

Applications

Unspecified application

Species

Unspecified reactive species

Tingting Feng,Qian Li,Rui Zhu,Chang Yu,Liwei Xu,Lisha Ying,Canming Wang,Weiming Xu,Jinchao Wang,Jing Zhu,Minran Huang,Chenyang Xu,Jiaoyue Jin,Xiaotian Zhang,Tingting Lu,Ying Yang,Changbin Zhu,Qixun Chen,Dan Su

Heliyon 10:e33738 PubMed39050439

2024

Identification of lncRNA-mRNA network linking ferroptosis and immune infiltration to colon adenocarcinoma suppression.

Applications

Unspecified application

Species

Unspecified reactive species

Xiao-Qiong Chen,Xuan Zhang,Ding-Guo Pan,Guo-Yu Li,Rui-Xi Hu,Tao Wu,Tao Shen,Xin-Yi Cai,Xian-Shuo Cheng,Junying Qin,Fu-Hui Xiao,Yun-Feng Li

Journal of extracellular vesicles 13:e12480 PubMed38978304

2024

The immunomodulatory ballet of tumour-derived extracellular vesicles and neutrophils orchestrating the dynamic CD73/PD-L1 pathway in cancer.

Applications

Unspecified application

Species

Unspecified reactive species

Dominique S Rubenich,Jordana L Domagalski,Gabriela F S Gentil,Jonas Eichberger,Mathias Fiedler,Florian Weber,Marianne Federlin,Hendrik Poeck,Torsten E Reichert,Tobias Ettl,Richard J Bauer,Elizandra Braganhol,Daniela Schulz

Diagnostic pathology 19:28 PubMed38331905

2024

Diagnostic potential of NRG1 in benign nerve sheath tumors and its influence on the PI3K-Akt signaling and tumor immunity.

Applications

Unspecified application

Species

Unspecified reactive species

Suwei Yan,Jingnan Zhao,Pengyang Gao,Zhaoxu Li,Zhao Li,Xiaobing Liu,Pengfei Wang

Cancer science 114:1240-1255 PubMed36478349

2022

Characterization of myeloid signature genes for predicting prognosis and immune landscape in Ewing sarcoma.

Applications

Unspecified application

Species

Unspecified reactive species

Zhao Zhang,Yubo Shi,Zhijie Zhu,Jun Fu,Dong Liu,Xincheng Liu,Jingyi Dang,Huiren Tao,Hongbin Fan
View all publications

Product promise

We are committed to supporting your work with high-quality reagents, and we're here for you every step of the way. In the unlikely event that one of our products does not perform as expected, you're protected by our Product Promise.
For full details, please see our Terms & Conditions

Please note: All products are 'FOR RESEARCH USE ONLY. NOT FOR USE IN DIAGNOSTIC OR THERAPEUTIC PROCEDURES'.

For licensing inquiries, please contact partnerships@abcam.com