JavaScript is disabled in your browser. Please enable JavaScript to view this website.
AB300123

Anti-CD66b antibody [EPR25354-2] (BSA and Azide free)

Be the first to review this product! Submit a review

|

(0 Publication)

Anti-CD66b antibody [EPR25354-2] (BSA and Azide free) (ab300123) is a rabbit recombinant monoclonal antibody provided in a PBS only buffer for easy conjugation detecting CD66b in Western Blot, IP, IHC-P. Suitable for Human.

- BSA, sodium azide, and glycerol-free for easy conjugation
- Biophysical QC for unrivalled batch-batch consistency

View Alternative Names

CD66b, CGM6, CEACAM8, Cell adhesion molecule CEACAM8, CD67 antigen, Carcinoembryonic antigen CGM6, Carcinoembryonic antigen-related cell adhesion molecule 8, Non-specific cross-reacting antigen NCA-95, CEA cell adhesion molecule 8

6 Images
Immunohistochemistry (Formalin/PFA-fixed paraffin-embedded sections) - Anti-CD66b antibody [EPR25354-2] (BSA and Azide free) (AB300123)
  • IHC-P

Lab

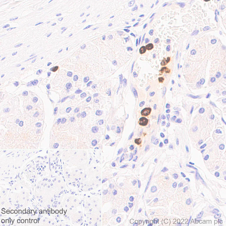
Immunohistochemistry (Formalin/PFA-fixed paraffin-embedded sections) - Anti-CD66b antibody [EPR25354-2] (BSA and Azide free) (AB300123)

This data was developed using ab300122, the same antibody clone in a different buffer formulation.

Immunohistochemical analysis of paraffin-embedded human stomach carcinoma tissue labelling CD66b with ab300122 at 1/20000 (0.026 µg/ml) followed by a ready to use LeicaDS9800 (BOND Polymer Refine Detection) was used.

Positive staining on neutrophils in human stomach carcinoma (PMID : 31329780).

The section was incubated with ab300122 for 30 mins at room temperature. The immunostaining was performed on a Leica Biosystems BOND® RX instrument. Counterstained with Hematoxylin.

Secondary antibody only control : Secondary antibody is a ready to use LeicaDS9800 (BOND Polymer Refine Detection) was used.

Heat mediated antigen retrieval with Tris-EDTA buffer (pH 9.0, epitope retrieval solution2) for 20 mins.

Immunohistochemistry (Formalin/PFA-fixed paraffin-embedded sections) - Anti-CD66b antibody [EPR25354-2] (BSA and Azide free) (AB300123)
  • IHC-P

Lab

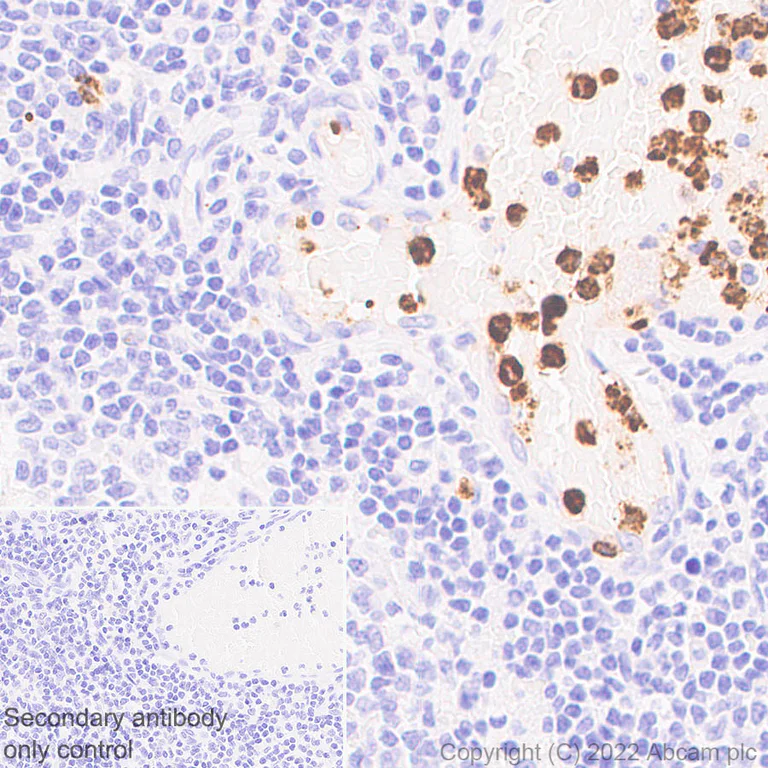
Immunohistochemistry (Formalin/PFA-fixed paraffin-embedded sections) - Anti-CD66b antibody [EPR25354-2] (BSA and Azide free) (AB300123)

This data was developed using ab300122, the same antibody clone in a different buffer formulation.

Immunohistochemical analysis of paraffin-embedded human stomach tissue labelling CD66b with ab300122 at 1/20000 (0.026 µg/ml) followed by a ready to use LeicaDS9800 (BOND Polymer Refine Detection) was used.

Positive staining on neutrophils in human stomach (PMID : 32096331).

The section was incubated with ab300122 for 30 mins at room temperature. The immunostaining was performed on a Leica Biosystems BOND® RX instrument. Counterstained with Hematoxylin.

Secondary antibody only control : PBS was used instead of primary antibody (ab300122) followed by ready to use secondary antibody LeicaDS9800 (BOND Polymer Refine Detection).

Heat mediated antigen retrieval with Tris-EDTA buffer (pH 9.0, epitope retrieval solution2) for 20 mins.

Immunohistochemistry (Formalin/PFA-fixed paraffin-embedded sections) - Anti-CD66b antibody [EPR25354-2] (BSA and Azide free) (AB300123)
  • IHC-P

Lab

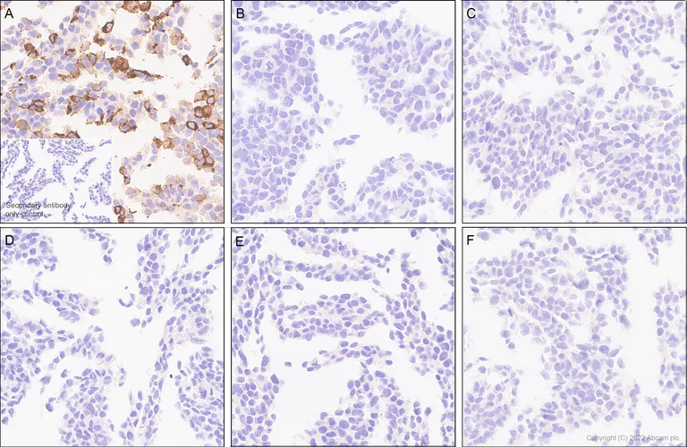
Immunohistochemistry (Formalin/PFA-fixed paraffin-embedded sections) - Anti-CD66b antibody [EPR25354-2] (BSA and Azide free) (AB300123)

This data was developed using ab300122, the same antibody clone in a different buffer formulation.

Immunohistochemical analysis of paraffin-embedded : (A) HEK-293T cells transfected with a CD66b expression vector containing a his tag.
(B) HEK-293T cells transfected with a CEACAM1 expression vector containing a his tag.
(C) HEK-293T cells transfected with a CEACAM3 expression vector containing a his tag.
(D) HEK-293T cells transfected with a CEACAM5 expression vector containing a his tag.
(E) HEK-293T cells transfected with a CEACAM6 expression vector containing a his tag.
(F) HEK-293T cells transfected with empty vector containing a his tag.

All tissues labelling CD66b with ab300122 at 1/20000 (0.027 µg/ml) followed by a ready to use LeicaDS9800 (BOND Polymer Refine Detection). This antibody does not cross-react with CEACAM1, CEACAM3, CEACAM5 and CEACAM6 proteins.

Positive staining on (A) HEK-293T cells transfected with a CEACAM8 expression vector containing a his tag. No staining on HEK-293T cells transfected with a CEACAM1 (B), CEACAM3 (C), CEACAM5 (D), CEACAM6 (E), and empty (F) expression vector containing a his tag.

The section was incubated with ab300122 for 30 mins at room temperature. The immunostaining was performed on a Leica Biosystems BOND® RX instrument. Counterstained with Hematoxylin.

Secondary antibody only control : PBS was used instead of primary antibody (ab300150) followed by ready to use secondary antibody LeicaDS9800 (BOND Polymer Refine Detection).

Heat mediated antigen retrieval with Tris-EDTA buffer (pH 9.0, epitope retrieval solution2) for 20 mins.

Immunohistochemistry (Formalin/PFA-fixed paraffin-embedded sections) - Anti-CD66b antibody [EPR25354-2] (BSA and Azide free) (AB300123)
  • IHC-P

Lab

Immunohistochemistry (Formalin/PFA-fixed paraffin-embedded sections) - Anti-CD66b antibody [EPR25354-2] (BSA and Azide free) (AB300123)

This data was developed using ab300122, the same antibody clone in a different buffer formulation.

Immunohistochemical analysis of paraffin-embedded human tonsil tissue labelling CD66b with ab300122 at 1/20000 (0.026 µg/ml) followed by a ready to use LeicaDS9800 (BOND Polymer Refine Detection).

Positive staining on human tonsil.

The section was incubated with ab300122 for 30 mins at room temperature. The immunostaining was performed on a Leica Biosystems BOND® RX instrument. Counterstained with Hematoxylin.

Secondary antibody only control : PBS was used instead of primary antibody (ab300122) followed by ready to use secondary antibody LeicaDS9800 (BOND Polymer Refine Detection).

Heat mediated antigen retrieval with Tris-EDTA buffer (pH 9.0, epitope retrieval solution2) for 20 mins.

Immunoprecipitation - Anti-CD66b antibody [EPR25354-2] (BSA and Azide free) (AB300123)
  • IP

Lab

Immunoprecipitation - Anti-CD66b antibody [EPR25354-2] (BSA and Azide free) (AB300123)

This data was developed using ab300122, the same antibody clone in a different buffer formulation.

CD66b was immunoprecipitated from 0.35 mg Human spleen tissue lysate 10 µg with ab300122 at 1/30 dilution (2µg in 0.35mg lysates). Western blot was performed on the immunoprecipitate using ab300122 at 1/1000 dilution. VeriBlot for IP secondary antibody(HRP)(ab131366) was used at 1/5000 dilution.

Blocking and dilution buffer and concentration : 5% NFDM/TBST.

All lanes:

Immunoprecipitation - Anti-CD66b antibody [EPR25354-2] (<a href='/en-us/products/primary-antibodies/cd66b-antibody-epr25354-2-ab300122'>ab300122</a>) at 1/1000 dilution

Lane 1:

Human spleen tissue lysate at 10 µg

Lane 2:

<a href='/en-us/products/primary-antibodies/cd66b-antibody-epr25354-2-ab300122'>ab300122</a> at 1/30 IP in human spleen tissue lysate at 10 µg

Lane 3:

Rabbit monoclonal IgG (<a href='/en-us/products/primary-antibodies/rabbit-igg-monoclonal-epr25a-isotype-control-ab172730'>ab172730</a>) instead of <a href='/en-us/products/primary-antibodies/cd66b-antibody-epr25354-2-ab300122'>ab300122</a> in Human spleen tissue lysate at 10 µg

Secondary

All lanes:

Immunoprecipitation - VeriBlot for IP Detection Reagent (HRP) (<a href='/en-us/products/reagents/veriblot-for-ip-detection-reagent-hrp-ab131366'>ab131366</a>) at 1/5000 dilution

Observed band size: 95 kDa

false

Exposure time: 7.75s

Western blot - Anti-CD66b antibody [EPR25354-2] (BSA and Azide free) (AB300123)
  • WB

Lab

Western blot - Anti-CD66b antibody [EPR25354-2] (BSA and Azide free) (AB300123)

This data was developed using ab300122, the same antibody clone in a different buffer formulation.

CD66b is a highly glycosylated protein, the molecular weight observed is consistent with what has been described in the literature (PMID : 15147383).

Samples are non-boiled as boiling may cause protein aggregates.

Bis-Tris gel was used for this blot.

Blocking and dilution buffer and concentration : 5% NFDM/TBST.

All lanes:

Western blot - Anti-CD66b antibody [EPR25354-2] (<a href='/en-us/products/primary-antibodies/cd66b-antibody-epr25354-2-ab300122'>ab300122</a>) at 1/1000 dilution

All lanes:

Human spleen tissue lysate  at 20 µg

Secondary

All lanes:

Western blot - Goat Anti-Rabbit IgG H&L (HRP) (<a href='/en-us/products/secondary-antibodies/goat-rabbit-igg-h-l-hrp-ab97051'>ab97051</a>) at 1/100000 dilution

Observed band size: 95 kDa

false

Exposure time: 10s

Key facts

Host species

Rabbit

Clonality

Monoclonal

Clone number

EPR25354-2

Isotype

IgG

Carrier free

Yes

Reacts with

Human

Applications

WB, IP, IHC-P

applications

Immunogen

The exact immunogen used to generate this antibody is proprietary information.

Reactivity data

{ "title": "Reactivity Data", "filters": { "stats": ["", "Species", "Dilution Info", "Notes"], "tabs": { "all-applications": {"fullname" : "All Applications", "shortname": "All Applications"}, "WB" : {"fullname" : "Western blot", "shortname":"WB"}, "IHCP" : {"fullname" : "Immunohistochemistry (Formalin/PFA-fixed paraffin-embedded sections)", "shortname":"IHC-P"}, "ICCIF" : {"fullname" : "Immunocytochemistry/ Immunofluorescence", "shortname":"ICC/IF"}, "FlowCyt" : {"fullname" : "Flow Cytometry", "shortname":"Flow Cyt"}, "IP" : {"fullname" : "Immunoprecipitation", "shortname":"IP"} }, "product-promise": { "all": "all", "testedAndGuaranteed": "tested", "guaranteed": "expected", "predicted": "predicted", "notRecommended": "not-recommended" } }, "values": { "Human": { "WB-species-checked": "testedAndGuaranteed", "WB-species-dilution-info": "", "WB-species-notes": "<p></p>", "IHCP-species-checked": "testedAndGuaranteed", "IHCP-species-dilution-info": "", "IHCP-species-notes": "<p></p>", "ICCIF-species-checked": "notRecommended", "ICCIF-species-dilution-info": "", "ICCIF-species-notes": "<p></p>", "FlowCyt-species-checked": "notRecommended", "FlowCyt-species-dilution-info": "", "FlowCyt-species-notes": "<p></p>", "IP-species-checked": "testedAndGuaranteed", "IP-species-dilution-info": "", "IP-species-notes": "<p></p>" }, "Mouse": { "WB-species-checked": "notRecommended", "WB-species-dilution-info": "", "WB-species-notes": "<p></p>", "IHCP-species-checked": "notRecommended", "IHCP-species-dilution-info": "", "IHCP-species-notes": "<p></p>", "ICCIF-species-checked": "notRecommended", "ICCIF-species-dilution-info": "", "ICCIF-species-notes": "", "FlowCyt-species-checked": "notRecommended", "FlowCyt-species-dilution-info": "", "FlowCyt-species-notes": "", "IP-species-checked": "notRecommended", "IP-species-dilution-info": "", "IP-species-notes": "" }, "Rat": { "WB-species-checked": "notRecommended", "WB-species-dilution-info": "", "WB-species-notes": "<p></p>", "IHCP-species-checked": "notRecommended", "IHCP-species-dilution-info": "", "IHCP-species-notes": "<p></p>", "ICCIF-species-checked": "notRecommended", "ICCIF-species-dilution-info": "", "ICCIF-species-notes": "", "FlowCyt-species-checked": "notRecommended", "FlowCyt-species-dilution-info": "", "FlowCyt-species-notes": "", "IP-species-checked": "notRecommended", "IP-species-dilution-info": "", "IP-species-notes": "" } } }

Product details

What is this antibody validated in?
Anti-CD66b antibody [EPR25354-2] (BSA and Azide free) (ab300123) is a rabbit recombinant monoclonal antibody and is validated for use in Western Blot (WB), Immunoprecipitation (IP), Immunohistochemistry (IHC-P) in Human samples.

What is the molecular weight of CD66b?
Anti-CD66b [EPR25354-2] (BSA and Azide free) (ab300123) specifically detects a band for CD66b (UniProt: P31997) at a molecular weight of 38kDa.

Other related products
We have a range of other formats of antibody clone [EPR25354-2] also available for your convenience: ab300122, Carrier free - ab300123, Alexa Fluor® 647 - ab307405, Alexa Fluor® 555 - ab307627

Conjugation ready
Our carrier-free antibodies are typically supplied in a PBS-only formulation, purified and free of BSA, sodium azide and glycerol. This conjugation-ready format is designed for use with fluorochromes, metal isotopes, oligonucleotides, and enzymes, which makes them ideal for antibody labelling, functional and cell-based assays, flow-based assays (e.g. mass cytometry) and Multiplex Imaging applications.

Use our conjugation kits for antibody conjugates that are ready-to-use in as little as 20 minutes with 1 minute hands-on-time and 100% antibody recovery: available for fluorescent dyes, HRP, biotin and gold.

Patented technology
Our RabMAb® technology is a patented hybridoma-based technology for making rabbit monoclonal antibodies. For details on our patents, please refer to RabMAb® patents.

Compatibility
This product is compatible with the Maxpar® Antibody Labeling Kit from Fluidigm, without the need for antibody preparation. Maxpar® is a trademark of Fluidigm Canada Inc.

What are the advantages of a recombinant monoclonal antibody?
This product is a recombinant monoclonal antibody, which offers several advantages including:

  • - High batch-to-batch consistency and reproducibility
  • - Improved sensitivity and specificity
  • - Long-term security of supply
  • - Animal-free batch production

For more information, read more on recombinant antibodies.

Properties and storage information

Form
Liquid
Purification technique
Affinity purification Protein A
Storage buffer
pH: 7.2 - 7.4 Constituents: PBS
Shipped at conditions
Blue Ice
Appropriate short-term storage conditions
+4°C
Appropriate long-term storage conditions
+4°C
Aliquoting information
Upon delivery aliquot

Supplementary information

This supplementary information is collated from multiple sources and compiled automatically.

CD66b also known as carcinoembryonic antigen-related cell adhesion molecule 8 (CEACAM8) is a glycoprotein with a molecular weight around 95 kDa. It is primarily expressed on the surface of granulocytes specifically on neutrophils—its expression on these cells makes it a useful marker in distinguishing stages of granulocyte maturation. The protein localizes to the cell membrane and serves as a cell adhesion molecule playing roles in intercellular interactions. Researchers often use CD66b-specific antibodies such as CD66b FITC for detecting and analyzing neutrophil populations commonly in flow cytometry applications.
Biological function summary

CD66b contributes to immune responses by facilitating leukocyte activation and migration during inflammation. It does not form part of a multi-protein complex but interacts with other cellular components. CD66b promotes neutrophil adhesion and transmigration to sites of infection or injury supporting their role in innate immunity. Additionally it participates in signaling pathways that influence cell survival proliferation and apoptosis in response to environmental cues.

Pathways

CD66b operates within neutrophil-related processes like the immune response and cell adhesion pathways. In the immune response pathway it collaborates with integrins to assist neutrophil extravasation through the endothelium. During inflammatory responses CD66b interaction with integrins and other adhesion molecules influences the intensity and duration of activity at inflammation sites. This interaction highlights its involvement with proteins such as ICAM-1 in mediating firm adhesion necessary for neutrophil migration.

CD66b levels and activity correlate with conditions involving inflammation such as chronic obstructive pulmonary disease (COPD) and rheumatoid arthritis. During COPD the altered expression and regulation of CD66b contribute to neutrophil-driven inflammation exacerbating disease symptoms. Similarly rheumatoid arthritis involves inflammatory pathways where aberrant CD66b activity enhances synovial inflammation often linked with other inflammatory markers like TNF-alpha. Understanding CD66b's role in such diseases aids the development of therapeutic strategies targeting neutrophil-mediated pathology.

Product protocols

For this product, it's our understanding that no specific protocols are required. You can visit:

Target data

Cell surface glycoprotein that plays a role in cell adhesion in a calcium-independent manner (PubMed : 11590190, PubMed : 2022629, PubMed : 8776764). Mediates heterophilic cell adhesion with other carcinoembryonic antigen-related cell adhesion molecules, such as CEACAM6 (PubMed : 11590190, PubMed : 2022629, PubMed : 8776764). Heterophilic interaction with CEACAM8 occurs in activated neutrophils (PubMed : 8776764).
See full target information CEACAM8

Product promise

We are committed to supporting your work with high-quality reagents, and we're here for you every step of the way. In the unlikely event that one of our products does not perform as expected, you're protected by our Product Promise.
For full details, please see our Terms & Conditions

Please note: All products are 'FOR RESEARCH USE ONLY. NOT FOR USE IN DIAGNOSTIC OR THERAPEUTIC PROCEDURES'.

For licensing inquiries, please contact partnerships@abcam.com