JavaScript is disabled in your browser. Please enable JavaScript to view this website.
AB125157

Anti-CD68 antibody

Be the first to review this product! Submit a review

|

(6 Publications)

Rabbit Polyclonal CD68 antibody. Suitable for IHC-P and reacts with Human samples. Cited in 6 publications.

View Alternative Names

CD68, Macrosialin, Gp110

1 Images
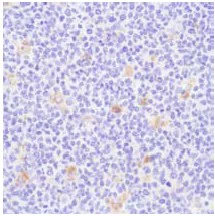
Immunohistochemistry (Formalin/PFA-fixed paraffin-embedded sections) - Anti-CD68 antibody (AB125157)
  • IHC-P

Unknown

Immunohistochemistry (Formalin/PFA-fixed paraffin-embedded sections) - Anti-CD68 antibody (AB125157)

Staining of CD68 in Paraffin-embedded Human tonsil tissue by Immunohistochemistry using ab125157 at a dilution of 1/100.

Key facts

Host species

Rabbit

Clonality

Polyclonal

Isotype

IgG

Carrier free

No

Reacts with

Human

Applications

IHC-P

applications

Immunogen

The exact immunogen used to generate this antibody is proprietary information.

Reactivity data

{ "title": "Reactivity Data", "filters": { "stats": ["", "Species", "Dilution Info", "Notes"], "tabs": { "all-applications": {"fullname" : "All Applications", "shortname": "All Applications"}, "IHCP" : {"fullname" : "Immunohistochemistry (Formalin/PFA-fixed paraffin-embedded sections)", "shortname":"IHC-P"} }, "product-promise": { "all": "all", "testedAndGuaranteed": "tested", "guaranteed": "expected", "predicted": "predicted", "notRecommended": "not-recommended" } }, "values": { "Human": { "IHCP-species-checked": "testedAndGuaranteed", "IHCP-species-dilution-info": "1/100", "IHCP-species-notes": "<p>Boil tissue section in EDTA buffer for 10 min followed by cooling at RT for 20 min.</p>" } } }

Properties and storage information

Form
Liquid
Purification technique
Affinity purification Immunogen
Storage buffer
pH: 7.6 Preservative: 0.1% Sodium azide Constituents: PBS, 1% BSA
Shipped at conditions
Blue Ice
Appropriate long-term storage conditions
-20°C
Aliquoting information
Upon delivery aliquot
Storage information
Avoid freeze / thaw cycle

Supplementary information

This supplementary information is collated from multiple sources and compiled automatically.

CD68 is a glycoprotein that functions as a scavenger receptor. It plays an important role in the regulation of cellular debris and apoptotic cell clearance. Researchers often refer to it as KP1 or macrosialin in the literature. CD68 with a molecular weight of approximately 110 kDa is highly expressed in macrophages and monocytes. The mucin-like structure of CD68 allows it to be heavily glycosylated which aids in its function. Researchers detect CD68 in tissues through methods like immunohistochemistry (IHC) immunofluorescence and CD68 staining and it is widely used as a macrophage marker in research.
Biological function summary

CD68 facilitates functions associated with the innate immune response. It serves as an important part of macrophages which contribute to immune surveillance and tissue homeostasis. Though it primarily operates on its own in some contexts CD68 might assist in forming complexes with other receptors to modulate phagocytic activity. This target is significant in atherosclerotic plaque stability as macrophages engulf lipids and cell debris through processes facilitated by CD68.

Pathways

CD68 is involved in pathways connected to inflammation and phagocytosis. The CD68 protein works closely with other scavenger receptors like CD36 to mediate uptake of oxidized low-density lipoproteins (oxLDL) in the lipid metabolism pathway. Additionally CD68 engagement can influence the toll-like receptor (TLR) signaling pathways thereby linking innate immunity and inflammatory responses critical for host defense and disease progression.

CD68 is associated with atherosclerosis and multiple sclerosis. In atherosclerosis its role becomes evident as it accumulates in macrophages within the plaques making it a marker of disease severity. In multiple sclerosis CD68 expression in macrophages and microglia indicates active demyelination and inflammation. It also relates to proteins such as CD36 in atherosclerosis where both mediate the uptake of modified LDL contributing to foam cell formation in plaques.

Product protocols

For this product, it's our understanding that no specific protocols are required. You can visit:

Target data

Could play a role in phagocytic activities of tissue macrophages, both in intracellular lysosomal metabolism and extracellular cell-cell and cell-pathogen interactions. Binds to tissue- and organ-specific lectins or selectins, allowing homing of macrophage subsets to particular sites. Rapid recirculation of CD68 from endosomes and lysosomes to the plasma membrane may allow macrophages to crawl over selectin-bearing substrates or other cells.
See full target information CD68

Publications (6)

Recent publications for all applications. Explore the full list and refine your search

JCI insight 7: PubMed36278486

2022

Distinct patterns of responses in endothelial cells and smooth muscle cells following vascular injury.

Applications

Unspecified application

Species

Unspecified reactive species

Xili Ding,Qin An,Weikang Zhao,Yang Song,Xiaokai Tang,Jing Wang,Chih-Chiang Chang,Gexin Zhao,Tzung Hsiai,Guoping Fan,Yubo Fan,Song Li

Retrovirology 14:47 PubMed29037245

2017

Reduced antiretroviral drug efficacy and concentration in HIV-infected microglia contributes to viral persistence in brain.

Applications

IHC-P

Species

Human

Eugene L Asahchop,Oussama Meziane,Manmeet K Mamik,Wing F Chan,William G Branton,Lothar Resch,M John Gill,Elie Haddad,Jean V Guimond,Mark A Wainberg,Glen B Baker,Eric A Cohen,Christopher Power

Clinical orthopaedics and related research 475:1369-1381 PubMed27488379

2016

Periprosthetic UHMWPE Wear Debris Induces Inflammation, Vascularization, and Innervation After Total Disc Replacement in the Lumbar Spine.

Applications

Unspecified application

Species

Unspecified reactive species

Sai Y Veruva,Todd H Lanman,Jorge E Isaza,Theresa A Freeman,Steven M Kurtz,Marla J Steinbeck

Journal of immunology (Baltimore, Md. : 1950) 196:4040-51 PubMed27183637

2016

Production of Proinflammatory Cytokines by Monocytes in Liver-Transplanted Recipients with De Novo Autoimmune Hepatitis Is Enhanced and Induces TH1-like Regulatory T Cells.

Applications

Unspecified application

Species

Unspecified reactive species

Adam S Arterbery,Awo Osafo-Addo,Yaron Avitzur,Maria Ciarleglio,Yanhong Deng,Steven J Lobritto,Mercedes Martinez,David A Hafler,Markus Kleinewietfeld,Udeme D Ekong

PloS one 10:e0133494 PubMed26200663

2015

Obesity Is a Positive Modulator of IL-6R and IL-6 Expression in the Subcutaneous Adipose Tissue: Significance for Metabolic Inflammation.

Applications

IHC-P

Species

Human

Sardar Sindhu,Reeby Thomas,Puthiyaveetil Shihab,Devarajan Sriraman,Kazem Behbehani,Rasheed Ahmad

International journal of nanomedicine 10:1759-68 PubMed25784803

2015

Quantum dot-based multiplexed imaging in malignant ascites: a new model for malignant ascites classification.

Applications

IHC-P

Species

Human

Wei-Juan Zeng,Chun-Wei Peng,Jing-Ping Yuan,Ran Cui,Yan Li
View all publications

Product promise

We are committed to supporting your work with high-quality reagents, and we're here for you every step of the way. In the unlikely event that one of our products does not perform as expected, you're protected by our Product Promise.
For full details, please see our Terms & Conditions

Please note: All products are 'FOR RESEARCH USE ONLY. NOT FOR USE IN DIAGNOSTIC OR THERAPEUTIC PROCEDURES'.

For licensing inquiries, please contact partnerships@abcam.com