JavaScript is disabled in your browser. Please enable JavaScript to view this website.
AB125212

Anti-CD68 antibody

4

(56 Reviews)

|

(997 Publications)

Anti-CD68 antibody (ab125212) is a rabbit polyclonal antibody detecting CD68 in Western Blot, IHC-P. Suitable for Mouse, Rat.

- Over 720 publications

View Alternative Names

CD68, Macrosialin, Cd68

12 Images
Immunohistochemistry (Formalin/PFA-fixed paraffin-embedded sections) - Anti-CD68 antibody (AB125212)
  • IHC-P

Supplier Data

Immunohistochemistry (Formalin/PFA-fixed paraffin-embedded sections) - Anti-CD68 antibody (AB125212)

Immunohistochemical analysis of paraffin-embedded Rat spleen tissue labeling CD68 with ab125212 at 2 µg/ml. Heat mediated antigen retrieval was performed in EDTA buffer (pH 8.0, epitope retrieval solution). The tissue section was blocked with 10% goat serum. The tissue section was then incubated with ab125212 overnight at 4°C. Peroxidase Conjugated Goat Anti-rabbit IgG was used as secondary antibody and incubated for 30 minutes at 37°C. The tissue section was developed using a HRP conjugated Rabbit IgG with DAB as the chromogen.

Immunohistochemistry (Formalin/PFA-fixed paraffin-embedded sections) - Anti-CD68 antibody (AB125212)
  • IHC-P

AbReview46192****

Immunohistochemistry (Formalin/PFA-fixed paraffin-embedded sections) - Anti-CD68 antibody (AB125212)

ab125212 staining CD68 in Mouse skin tissue sections by Immunohistochemistry (IHC-P - paraformaldehyde-fixed, paraffin-embedded sections). Tissue was fixed with formaldehyde and blocked with 10% serum for 30 minutes at 24°C; antigen retrieval was by heat mediation in a citrate buffer. Samples were incubated with primary antibody (1/2000 in 10% goat serum) for 16 hours at 4°C. A Biotin-conjugated goat anti-rabbit IgG polyclonal (1/500) was used as the secondary antibody.

This image is courtesy of an anonymous Abreview.

Immunohistochemistry (Formalin/PFA-fixed paraffin-embedded sections) - Anti-CD68 antibody (AB125212)
  • IHC-P

AbReview29942****

Immunohistochemistry (Formalin/PFA-fixed paraffin-embedded sections) - Anti-CD68 antibody (AB125212)

ab125212 staining CD68 in Mouse spleen tissue sections by Immunohistochemistry (IHC-P - paraformaldehyde-fixed, paraffin-embedded sections). Tissue was fixed with paraformaldehyde and blocked with 5% serum for 30 minutes at 20°C; antigen retrieval was by heat mediation in a citrate buffer. Samples were incubated with primary antibody (1/100 in PBS + 2% BSA + 10% FCS) for 45 minutes at 20°C. A HRP-conjugated goat anti-rabbit IgG polyclonal (1/200) was used as the secondary antibody.

This image is courtesy of an anonymous Abreview.

Immunohistochemistry (Formalin/PFA-fixed paraffin-embedded sections) - Anti-CD68 antibody (AB125212)
  • IHC-P

Supplier Data

Immunohistochemistry (Formalin/PFA-fixed paraffin-embedded sections) - Anti-CD68 antibody (AB125212)

Immunohistochemical analysis of paraffin-embedded Rat liver tissue labeling CD68 with ab125212 at 2 µg/ml. Heat mediated antigen retrieval was performed in EDTA buffer (pH 8.0, epitope retrieval solution). The tissue section was blocked with 10% goat serum. The tissue section was then incubated with ab125212 overnight at 4°C. Peroxidase Conjugated Goat Anti-rabbit IgG was used as secondary antibody and incubated for 30 minutes at 37°C. The tissue section was developed using a HRP conjugated Rabbit IgG with DAB as the chromogen.

Immunohistochemistry (Formalin/PFA-fixed paraffin-embedded sections) - Anti-CD68 antibody (AB125212)
  • IHC-P

Supplier Data

Immunohistochemistry (Formalin/PFA-fixed paraffin-embedded sections) - Anti-CD68 antibody (AB125212)

Immunohistochemical analysis of paraffin-embedded Mouse liver tissue labeling CD68 with ab125212 at 2 µg/ml. Heat mediated antigen retrieval was performed in EDTA buffer (pH 8.0, epitope retrieval solution). The tissue section was blocked with 10% goat serum. The tissue section was then incubated with ab125212 overnight at 4°C. Peroxidase Conjugated Goat Anti-rabbit IgG was used as secondary antibody and incubated for 30 minutes at 37°C. The tissue section was developed using a HRP conjugated Rabbit IgG with DAB as the chromogen.

Immunohistochemistry (Formalin/PFA-fixed paraffin-embedded sections) - Anti-CD68 antibody (AB125212)
  • IHC-P

Supplier Data

Immunohistochemistry (Formalin/PFA-fixed paraffin-embedded sections) - Anti-CD68 antibody (AB125212)

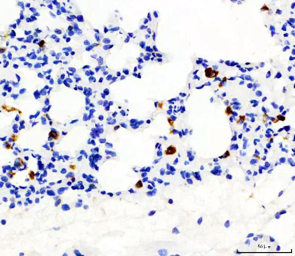
Immunohistochemical analysis of paraffin-embedded Rat lung tissue labeling CD68 with ab125212 at 2 µg/ml. Heat mediated antigen retrieval was performed in EDTA buffer (pH 8.0, epitope retrieval solution). The tissue section was blocked with 10% goat serum. The tissue section was then incubated with ab125212 overnight at 4°C. Peroxidase Conjugated Goat Anti-rabbit IgG was used as secondary antibody and incubated for 30 minutes at 37°C. The tissue section was developed using a HRP conjugated Rabbit IgG with DAB as the chromogen.

Immunohistochemistry (Formalin/PFA-fixed paraffin-embedded sections) - Anti-CD68 antibody (AB125212)
  • IHC-P

Supplier Data

Immunohistochemistry (Formalin/PFA-fixed paraffin-embedded sections) - Anti-CD68 antibody (AB125212)

Immunohistochemical analysis of paraffin-embedded Mouse spleen tissue labeling CD68 with ab125212 at 2 µg/ml. Heat mediated antigen retrieval was performed in EDTA buffer (pH 8.0, epitope retrieval solution). The tissue section was blocked with 10% goat serum. The tissue section was then incubated with ab125212 overnight at 4°C. Peroxidase Conjugated Goat Anti-rabbit IgG was used as secondary antibody and incubated for 30 minutes at 37°C. The tissue section was developed using a HRP conjugated Rabbit IgG with DAB as the chromogen.

Immunohistochemistry (Formalin/PFA-fixed paraffin-embedded sections) - Anti-CD68 antibody (AB125212)
  • IHC-P

AbReview33578****

Immunohistochemistry (Formalin/PFA-fixed paraffin-embedded sections) - Anti-CD68 antibody (AB125212)

Immunohistochemical analysis of murine spleen tissue, staining CD68 with ab125212.

Tissue was fixed with paraformaldehyde and blocked with 5% serum for 1 hour at room temperature; antigen retrieval was by heat mediation in citrate buffer (pH 6). Samples were incubated with primary antibody (undiluted) for 16 hours at 4°C. An undiluted HRP-conjugated horse anti-rat polyclonal IgG was used as the secondary antibody.

This image is courtesy of an anonymous Abreview

Immunohistochemistry (Formalin/PFA-fixed paraffin-embedded sections) - Anti-CD68 antibody (AB125212)
  • IHC-P

PubMed

Immunohistochemistry (Formalin/PFA-fixed paraffin-embedded sections) - Anti-CD68 antibody (AB125212)

Immunohistochemistry of microglial marker in mouse brain

Cortical staining for the microglial marker, CD68 increased as a function of age in rTg4510 animals, but remained unchanged in tTA animals. Scale bar, 200 μm, inset scale bar, 50 μm.

(After Figure 10 A of Wes et al.)

Wes, P.D. PLoS One. 2014 Aug 25;9(8):e106050. doi: 10.1371/journal.pone.0106050. eCollection 2014 Reproduced under the Creative Commons license http://creativecommons.org/licenses/by/4.0/

Western blot - Anti-CD68 antibody (AB125212)
  • WB

Supplier Data

Western blot - Anti-CD68 antibody (AB125212)

Electrophoresis was performed on a 5-20% SDS-PAGE gel at 70V (Stacking gel) / 90V (Resolving gel) for 2-3 hours. The sample well of each lane was loaded with 30 ug of sample under reducing conditions. After electrophoresis, proteins were transferred to a nitrocellulose membrane at 150 mA for 50-90 minutes. Blocked the membrane with 5% non-fat milk/TBS for 1.5 hour at RT. The membrane was incubated with ab125212 at 0.5 µg/mL overnight at 4°C, then washed with TBS-0.1%Tween 3 times with 5 minutes each and probed with a goat anti-rabbit IgG-HRP secondary antibody at 1/5000 dilution for 1.5 hour at RT. The signal is developed using an Enhanced Chemiluminescent detection (ECL) kit with Tanon 5200 system. A specific band was detected for CD68 at approximately 90-100 kDa.

All lanes:

Western blot - Anti-CD68 antibody (ab125212) at 0.5 µg/mL

Lane 1:

Rat spleen tissue lysates

Lane 2:

Mouse spleen tissue lysates

Lane 3:

RAW264.7 whole cell lysates

Secondary

All lanes:

Goat anti-rabbit IgG-HRP at 1/5000 dilution

false

Western blot - Anti-CD68 antibody (AB125212)
  • WB

Lab

Western blot - Anti-CD68 antibody (AB125212)

False colour image of Western blot : Anti-CD68 antibody staining at 0.2 μg/ml, shown in green; Mouse anti-Alpha Tubulin [DM1A] (ab7291) loading control staining at 1/20000 dilution, shown in red. In Western blot, ab125212 was shown to bind specifically to CD68. A band was observed at 95-102 kDa in wild-type RAW 264.7 cell lysates with no signal observed at this size in CD68 knockout cell line ab280047 (knockout cell lysate ab280106). To generate this image, wild-type and CD68 knockout RAW 264.7 cell lysates were analysed. First, samples were run on an SDS-PAGE gel then transferred onto a nitrocellulose membrane. Membranes were blocked in fluorescent western blot (TBS-based) blocking solution before incubation with primary antibodies overnight at 4°C. Blots were washed four times in TBS-T, incubated with secondary antibodies for 1 h at room temperature, washed again four times then imaged. Secondary antibodies used were Goat anti-Rabbit IgG H&L (IRDye® 800CW) preabsorbed (ab216773) and Goat anti-Mouse IgG H&L (IRDye® 680RD) preabsorbed (ab216776) at 1/20000 dilution.

All lanes:

Western blot - Anti-CD68 antibody (ab125212) at 0.2 µg/mL

Lane 1:

Wild-type RAW 264.7 cell lysate at 20 µg

Lane 2:

CD68 knockout RAW 264.7 cell lysate at 20 µg

Lane 2:

Western blot - Mouse CD68 knockout RAW 264.7 cell line (<a href='/en-us/products/cell-lines/mouse-cd68-knockout-raw-2647-cell-line-ab280047'>ab280047</a>)

Lane 3:

Mouse spleen cell lysate at 20 µg

Lane 4:

Neuro-2a cell lysate at 20 µg

Predicted band size: 37 kDa

Observed band size: 95-102 kDa

false

Western blot - Anti-CD68 antibody (AB125212)
  • WB

CiteAb

Western blot - Anti-CD68 antibody (AB125212)

CD68 western blot using anti-CD68 antibody ab125212. Publication image and figure legend from Guido, M. C., Marques, A. F., et al., 2017, Oxid Med Cell Longev, PubMed 28781721.

ab125212 was used in this publication in western blot. This may not be the same as the application(s) guaranteed by Abcam. For a full list of applications guaranteed by Abcam for ab125212 please see the product overview.

(a) Total inflammatory cell count in SEN and INT areas. HE-stained sections, under 400x magnification. θp < 0.05 versus the DM SEN area; *p < 0.01 versus the CT SEN area, #p < 0.01 versus the DM SEN area; †p < 0.01 versus the CT INT area. Data expressed in mean ± SEM. Western blot protein expression analysis depicting CD68 (b), CD3 (c), MCP-1 (d), TNF-α (e), IL1-β (f), and IL-6 (g) was performed 8 weeks after diabetes induction. *p < 0.05 and †p < 0.001 versus the CT group. Data expressed in mean ± SEM in all plots.

false

Key facts

Host species

Rabbit

Clonality

Polyclonal

Isotype

IgG

Carrier free

No

Reacts with

Mouse, Rat

Applications

WB, IHC-P

applications

Immunogen

Synthetic Peptide within Mouse Cd68 aa 300 to C-terminus. The exact immunogen used to generate this antibody is proprietary information.

P31996

Reactivity data

{ "title": "Reactivity Data", "filters": { "stats": ["", "Species", "Dilution Info", "Notes"], "tabs": { "all-applications": {"fullname" : "All Applications", "shortname": "All Applications"}, "IHCP" : {"fullname" : "Immunohistochemistry (Formalin/PFA-fixed paraffin-embedded sections)", "shortname":"IHC-P"}, "WB" : {"fullname" : "Western blot", "shortname":"WB"} }, "product-promise": { "all": "all", "testedAndGuaranteed": "tested", "guaranteed": "expected", "predicted": "predicted", "notRecommended": "not-recommended" } }, "values": { "Mouse": { "IHCP-species-checked": "testedAndGuaranteed", "IHCP-species-dilution-info": "0.5-1 µg/mL", "IHCP-species-notes": "<p></p> Perform heat-mediated antigen retrieval before commencing with IHC staining protocol.", "WB-species-checked": "testedAndGuaranteed", "WB-species-dilution-info": "0.1-0.5 µg/mL", "WB-species-notes": "<p>The detection limit for ab125212 is approximately 0.1ng/lane under non-reducing and reducing conditions.</p>" }, "Rat": { "IHCP-species-checked": "testedAndGuaranteed", "IHCP-species-dilution-info": "0.5-1 µg/mL", "IHCP-species-notes": "<p></p> Perform heat-mediated antigen retrieval before commencing with IHC staining protocol.", "WB-species-checked": "testedAndGuaranteed", "WB-species-dilution-info": "0.1-0.5 µg/mL", "WB-species-notes": "<p>The detection limit for ab125212 is approximately 0.1ng/lane under non-reducing and reducing conditions.</p>" } } }

Product details

Anti-CD68 antibody (ab125212) is a rabbit polyclonal antibody and is validated for use in IHC-Fr, IHC-P and WB.

Anti-CD68 antibody (ab125212) was first used in a scientific publication in 2012 and has been cited over 726 times in peer reviewed journals. It's performance in Western blot, immunofluorescence and IHC in human, mouse and rat samples is trusted by the scientific community.

Abcam's high quality validation processes ensure Anti-CD68 antibody (ab125212) has high sensitivity and specificity.

Anti-CD68 antibody (ab125212) has 55 independent reviews from customers.

Anti-CD68 antibody (ab125212) specifically detects CD68 (UniProt ID: P31996; Molecular weight: 33kDa) and is sold in 100 ug selling sizes.

CD68 levels is implicated in autoimmune conditions like rheumatoid arthritis, where macrophages contribute to joint inflammation and damage. Cited in over 924 publications.

Properties and storage information

Form
Liquid
Purification technique
Affinity purification Immunogen
Storage buffer
Constituents: 5.61% Trehalose, 0.45% Sodium chloride, 0.1% Disodium hydrogenorthophosphate
Shipped at conditions
Blue Ice
Appropriate short-term storage conditions
+4°C
Appropriate long-term storage conditions
-20°C
Aliquoting information
Upon delivery aliquot
Storage information
Avoid freeze / thaw cycle

Supplementary information

This supplementary information is collated from multiple sources and compiled automatically.

CD68 is a glycoprotein that functions as a scavenger receptor. It plays an important role in the regulation of cellular debris and apoptotic cell clearance. Researchers often refer to it as KP1 or macrosialin in the literature. CD68 with a molecular weight of approximately 110 kDa is highly expressed in macrophages and monocytes. The mucin-like structure of CD68 allows it to be heavily glycosylated which aids in its function. Researchers detect CD68 in tissues through methods like immunohistochemistry (IHC) immunofluorescence and CD68 staining and it is widely used as a macrophage marker in research.
Biological function summary

CD68 facilitates functions associated with the innate immune response. It serves as an important part of macrophages which contribute to immune surveillance and tissue homeostasis. Though it primarily operates on its own in some contexts CD68 might assist in forming complexes with other receptors to modulate phagocytic activity. This target is significant in atherosclerotic plaque stability as macrophages engulf lipids and cell debris through processes facilitated by CD68.

Pathways

CD68 is involved in pathways connected to inflammation and phagocytosis. The CD68 protein works closely with other scavenger receptors like CD36 to mediate uptake of oxidized low-density lipoproteins (oxLDL) in the lipid metabolism pathway. Additionally CD68 engagement can influence the toll-like receptor (TLR) signaling pathways thereby linking innate immunity and inflammatory responses critical for host defense and disease progression.

CD68 is associated with atherosclerosis and multiple sclerosis. In atherosclerosis its role becomes evident as it accumulates in macrophages within the plaques making it a marker of disease severity. In multiple sclerosis CD68 expression in macrophages and microglia indicates active demyelination and inflammation. It also relates to proteins such as CD36 in atherosclerosis where both mediate the uptake of modified LDL contributing to foam cell formation in plaques.

Product protocols

For this product, it's our understanding that no specific protocols are required. You can visit:

Target data

Could play a role in phagocytic activities of tissue macrophages, both in intracellular lysosomal metabolism and extracellular cell-cell and cell-pathogen interactions. Binds to tissue- and organ-specific lectins or selectins, allowing homing of macrophage subsets to particular sites. Rapid recirculation of CD68 from endosomes and lysosomes to the plasma membrane may allow macrophages to crawl over selectin-bearing substrates or other cells.
See full target information Cd68

Publications (997)

Recent publications for all applications. Explore the full list and refine your search

npj aging 11:87 PubMed41068121

2025

Timing and duration of calorie restriction determine its impact on ovarian aging in female mice.

Applications

Unspecified application

Species

Unspecified reactive species

Juliane B Prosczek,Jéssica D Hense,Driele N Garcia,Shara P Sodré,Gabriela A Blanco,César A Pinzón-Osorio,Larissa S Magalhães,Giulia C Pereira,Bianka M Zanini,Renata P Ramirez,Luis A X Cruz,Rafael G Mondadori,Augusto Schneider

The Journal of clinical investigation 135: PubMed41031886

2025

Pharmacological targeting of the IL-17/neutrophil axis attenuates calcific deposits in rat models of calciphylaxis.

Applications

Unspecified application

Species

Unspecified reactive species

Bo Tao,Edward Z Cao,James Hyun,Sivakumar Ramadoss,Juan F Alvarez,Lianjiu Su,Qihao Sun,Zhihao Liu,Linlin Zhang,Alejandro Espinoza,Yiqian Gu,Feiyang Ma,Shen Li,Matteo Pellegrini,Arjun Deb

International journal of molecular sciences 26: PubMed41009430

2025

In Vivo Immune Cell Responses and Long-Term Effects of Cold Atmospheric Plasma in the Upper Respiratory Tract.

Applications

Unspecified application

Species

Unspecified reactive species

Stephanie Arndt,Petra Unger,Lisa Gebhardt,Robert Schober,Mark Berneburg,Sigrid Karrer

The European journal of neuroscience 62:e70235 PubMed40960371

2025

Electrical Stimulation-Induced Muscle Damage Alters Hippocampal BDNF Signaling.

Applications

Unspecified application

Species

Unspecified reactive species

Julien Wirtz,Rémi Chaney,Marina Cefis,Alexandre Méloux,Yuan Wang,Stéphanie Lemaire,Aurore Quirié,Julien Delezie,Gilles Gouspillou,Anne Prigent-Tessier,Philippe Garnier

Nature cardiovascular research 4:1241-1257 PubMed40958051

2025

Smooth muscle expression of RNA editing enzyme ADAR1 controls activation of the RNA sensor MDA5 in atherosclerosis.

Applications

Unspecified application

Species

Unspecified reactive species

Chad S Weldy,Qin Li,João P Monteiro,Tim S Peters,Hongchao Guo,Drew Galls,Wenduo Gu,Paul P Cheng,Markus Ramste,Daniel Li,Brian T Palmisano,Disha Sharma,Matthew D Worssam,Quanyi Zhao,Amruta Bhate,Ramendra K Kundu,Trieu Nguyen,Michal Mokry,Clint L Miller,Sander W van der Laan,Jin Billy Li,Thomas Quertermous

The Journal of neuroscience : the official journal of the Society for Neuroscience 45: PubMed40935666

2025

Early Life Injury Alters Spinal Astrocyte Development.

Applications

Unspecified application

Species

Unspecified reactive species

Judy J Yoo,Elizabeth K Serafin,J Matthew Kofron,Mark L Baccei

Diabetologia : PubMed40897924

2025

Improved wound healing by dual inhibition of miR-146a-5p and miR-29a-3p supports a network action of dysregulated miRNAs in diabetic skin.

Applications

Unspecified application

Species

Unspecified reactive species

Marija Petkovic,Ermelindo C Leal,Anja E Sørensen,Per T Jørgensen,Jesper T Wengel,Rosa R Jersie-Christensen,Jesper T Troelsen,Eugenia Carvalho,Louise T Dalgaard

JCI insight 10: PubMed40839386

2025

Essential role of protein kinase R in the pathogenesis of pulmonary veno-occlusive disease.

Applications

Unspecified application

Species

Unspecified reactive species

Amit Prabhakar,Rahul Kumar,Meetu Wadhwa,Abhilash Barpanda,Joseph Lyons,Asavari Gowda,Simren Gupta,Ananyaa Arvind,Prajakta Ghatpande,Arun P Wiita,Brian B Graham,Giorgio Lagna,Akiko Hata

Cancers 17: PubMed40805151

2025

Evaluating Therapeutic Efficacy of Intravesical Xenogeneic Urothelial Cell Treatment Alone and in Combination with Chemotherapy or Immune Checkpoint Inhibition in a Mouse Non-Muscle-Invasive Bladder Cancer Model.

Applications

Unspecified application

Species

Unspecified reactive species

Chih-Rong Shyr,Ching-Feng Wu,Kai-Cheng Yang,Wen-Lung Ma,Chi-Ping Huang

European journal of nuclear medicine and molecular imaging : PubMed40802092

2025

In vivo optoacoustic imaging of endothelin receptor expression and treatment response in the hypoxic tumor microenvironment.

Applications

Unspecified application

Species

Unspecified reactive species

Carsten Höltke,Moushami Mallik,Miriam Stölting,Emily Hoffmann,Christiane Geyer,Raghu Erapaneedi,Friedemann Kiefer,Anne Helfen
View all publications

Product promise

We are committed to supporting your work with high-quality reagents, and we're here for you every step of the way. In the unlikely event that one of our products does not perform as expected, you're protected by our Product Promise.
For full details, please see our Terms & Conditions

Please note: All products are 'FOR RESEARCH USE ONLY. NOT FOR USE IN DIAGNOSTIC OR THERAPEUTIC PROCEDURES'.

For licensing inquiries, please contact partnerships@abcam.com