JavaScript is disabled in your browser. Please enable JavaScript to view this website.
AB227458

Anti-CD68 antibody [EPR20545] - BSA and Azide free

  • BOND RX™ Validated
  • RabMAb
  • Advanced Validation
  • Recombinant
  • What is this?

4

(1 Review)

|

(3 Publications)

Anti-CD68 antibody [EPR20545] - BSA and Azide free (ab227458) is a rabbit recombinant monoclonal antibody provided in a PBS only buffer for easy conjugation detecting CD68 in Western Blot, IHC-P, ICC/IF, mIHC. Suitable for Human.

- BSA, sodium azide, and glycerol-free for easy conjugation
- Multiplex IHC validated on the Leica BOND® MAX using Opal reagents
- Biophysical QC for unrivalled batch-batch consistency

View Alternative Names

CD68, Macrosialin, Gp110

22 Images
Multiplex immunohistochemistry - Anti-CD68 antibody [EPR20545] - BSA and Azide free (AB227458)
  • mIHC

Lab

Multiplex immunohistochemistry - Anti-CD68 antibody [EPR20545] - BSA and Azide free (AB227458)

This data was developed using ab213363, the same antibody clone in a different buffer formulation.

Multiplex immunohistochemistry analysis of formalin/PFA-fixed paraffin-embedded human spleen tissue staining LOX 1 with ab325339 at a 1/100 (5.05 μg/ml) dilution, ab310335 anti-Neutrophil Elastase used at a 1/100 (5.20 μg/ml) dilution and ab213363 anti-CD68 used at a 1/500 (1.314 μg/ml) dilution.

Panel A : anti-LOX 1 (green; Opal™520), anti-Neutrophil Elastase (magenta; Opal™570), anti-CD68 (yellow; Opal™690) on human spleen.

Panel B : anti-LOX 1 staining neutrophils in human spleen.

Panel C : anti-Neutrophil Elastase staining neutrophils in human spleen.

Panel D : anti-CD68 staining on macrophages in human spleen.

Nuclear DNA was labeled with DAPI (shown in blue).

The section was incubated in three rounds of staining : in the order of ab325339, ab310335 and ab213363 for 30 mins at room temperature. Each round was followed by a separate fluorescent tyramide signal amplification system.

The immunostaining was performed on a Leica Biosystems BOND® RX instrument with an Opal™ 4-color kit. Image acquisition was performed with Leica SP8 confocal microscope.

Heat mediated antigen retrieval was performed with Tris-EDTA buffer (pH 9.0, Epitope Retrieval Solution2) for 20 mins.

Multiplex immunohistochemistry - Anti-CD68 antibody [EPR20545] - BSA and Azide free (AB227458)
  • mIHC

Lab

Multiplex immunohistochemistry - Anti-CD68 antibody [EPR20545] - BSA and Azide free (AB227458)

This data was developed using ab213363, the same antibody clone in a different buffer formulation.

Multiplex immunohistochemistry analysis of formalin/PFA-fixed paraffin-embedded human heart atherosclerosis tissue staining LOX 1 with ab325339 at a 1/100 (5.05 μg/ml) dilution, ab310335 anti-Neutrophil Elastase used at a 1/100 (5.20 μg/ml) dilution and ab213363 anti-CD68 used at a 1/500 (1.314 μg/ml) dilution.

Panel A : anti-LOX 1 (green; Opal™520), anti-Neutrophil Elastase (magenta; Opal™570), anti-CD68 (yellow; Opal™690) on human heart atherosclerosis.

Panel B : anti-LOX 1 staining neutrophils in human heart atherosclerosis.

Panel C : anti-Neutrophil Elastase staining neutrophils in human heart atherosclerosis.

Panel D : anti-CD68 staining on macrophages in human heart atherosclerosis.

Nuclear DNA was labeled with DAPI (shown in blue).

The section was incubated in three rounds of staining : in the order of ab325339, ab310335 and ab213363 for 30 mins at room temperature. Each round was followed by a separate fluorescent tyramide signal amplification system.

The immunostaining was performed on a Leica Biosystems BOND® RX instrument with an Opal™ 4-color kit. Image acquisition was performed with Leica SP8 confocal microscope.

Heat mediated antigen retrieval was performed with Tris-EDTA buffer (pH 9.0, Epitope Retrieval Solution2) for 20 mins.

Multiplex immunohistochemistry - Anti-CD68 antibody [EPR20545] - BSA and Azide free (AB227458)
  • mIHC

Lab

Multiplex immunohistochemistry - Anti-CD68 antibody [EPR20545] - BSA and Azide free (AB227458)

This data was developed using ab213363, the same antibody clone in a different buffer formulation.

Multiplex immunohistochemistry analysis of formalin/PFA-fixed paraffin-embedded human liver tissue staining LOX 1 with ab325339 at a 1/100 (5.05 μg/ml) dilution, ab310335 anti-Neutrophil Elastase used at a 1/100 (5.20 μg/ml) dilution and ab213363 anti-CD68 used at a 1/500 (1.314 μg/ml) dilution.

Panel A : anti-LOX 1 (green; Opal™520), anti-Neutrophil Elastase (magenta; Opal™570), anti-CD68 (yellow; Opal™690) on human liver.

Panel B : anti-LOX 1 staining neutrophils in human liver.

Panel C : anti-Neutrophil Elastase staining neutrophils in human liver.

Panel D : anti-CD68 staining on macrophages in human liver.

Nuclear DNA was labeled with DAPI (shown in blue).

The section was incubated in three rounds of staining : in the order of ab325339, ab310335 and ab213363 for 30 mins at room temperature. Each round was followed by a separate fluorescent tyramide signal amplification system.

The immunostaining was performed on a Leica Biosystems BOND® RX instrument with an Opal™ 4-color kit. Image acquisition was performed with Leica SP8 confocal microscope.

Heat mediated antigen retrieval was performed with Tris-EDTA buffer (pH 9.0, Epitope Retrieval Solution2) for 20 mins.

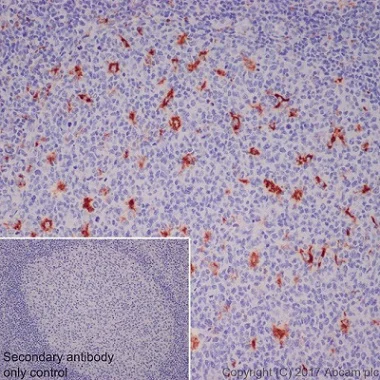
Immunohistochemistry (Formalin/PFA-fixed paraffin-embedded sections) - Anti-CD68 antibody [EPR20545] - BSA and Azide free (AB227458)
  • IHC-P

Lab

Immunohistochemistry (Formalin/PFA-fixed paraffin-embedded sections) - Anti-CD68 antibody [EPR20545] - BSA and Azide free (AB227458)

Immunohistochemical analysis of paraffin-embedded human tonsil tissue, labeling CD68 with ab213363 at 1/8000 dilution, followed by Goat anti-Rabbit IgG H&L (HRP) Ready to use. Cytoplasmic staining on macrophages of human tonsil is observed (PMID : 19543531). Counter stained with hematoxylin.

Secondary antibody only control : Used PBS instead of primary antibody, secondary antibody is Goat anti-Rabbit IgG H&L (HRP) Ready to use.

This data was developed using the same antibody clone in a different buffer formulation containing PBS, BSA, glycerol, and sodium azide (ab213363).

Perform heat mediated antigen retrieval with Tris/EDTA buffer pH 9.0 before commencing with IHC staining protocol.

Multiplex immunohistochemistry - Anti-CD68 antibody [EPR20545] - BSA and Azide free (AB227458)
  • mIHC

Lab

Multiplex immunohistochemistry - Anti-CD68 antibody [EPR20545] - BSA and Azide free (AB227458)

This data was developed using ab213363, the same antibody clone in a different buffer formulation. Panel A : merged staining of anti-CD68 (magenta; Opal™690), anti-CD3 epsilon (green; Opal™520) and anti-CD19 (red; Opal™570) on Formalin/PFA-fixed paraffin-embedded sections of human spleen. Secondary antibody was Opal Polymer HRP Ms + Rb, and couterstaining was with DAPI. Panel B : anti-CD3 epsilon stained on T cells with ab16669 at 1/500 dilution Panel C : anti-CD19 stained on B cells with ab237772 at 1/5000 dilution Panel D : anti-CD68 stained on macrophages with ab213363 1/500 dilution The section was incubated in three rounds of staining : in the order of ab213363 and ab16669 for 30 mins, then ab237772 for 10 mins at room temperature. Each round was followed by a separate fluorescent tyramide signal amplification system. Heat mediated antigen retrieval with Tris-EDTA buffer (pH 9.0, epitope retrieval solution2) for 20 mins. The immunostaining was performed on a Leica Biosystems BOND® RX instrument with an Opal™ 4-color kit. Image acquisition was performed with Leica SP8 confocal microscope.

Immunohistochemistry (Formalin/PFA-fixed paraffin-embedded sections) - Anti-CD68 antibody [EPR20545] - BSA and Azide free (AB227458)
  • IHC-P

Lab

Immunohistochemistry (Formalin/PFA-fixed paraffin-embedded sections) - Anti-CD68 antibody [EPR20545] - BSA and Azide free (AB227458)

Clone EPR20545 (ab227458) has been successfully conjugated by Abcam. This image was generated using Anti-CD68 antibody [EPR20545] (Alexa Fluor® 647). Please refer to ab224029 for protocol details.

IHC image of CD68 staining in a section of formalin-fixed paraffin-embedded human prefrontal cortex tissue.

The section was pre-treated using heat mediated antigen retrieval with sodium citrate buffer (pH 6) in a Biocare Medical NxGen pressure cooker using retrieval settings of 110oC for 20 minutes. Non-specific protein-protein interactions were then blocked in TBS containing 0.025% (v/v) Triton X-100, 0.3M (w/v) glycine and 1% (w/v) BSA for 1h at room temperature.  The section was then incubated overnight at +4°C in TBS containing 0.025% (v/v) Triton X-100 and 1% (w/v) BSA with ab224029 at 1/1000 dilution (shown in red) and counterstained using ab195887, Mouse monoclonal to alpha Tubulin (Alexa Fluor® 488), at 1/250 dilution (shown in green). Nuclear DNA was labeled with DAPI (shown in blue). The section was then mounted using Fluoromount®.

Image was taken with a confocal microscope (Leica-Microsystems, TCS SP8).

For other IHC staining systems (automated and non-automated), customers should optimize variable parameters such as antigen retrieval conditions, antibody concentrations and incubation times.

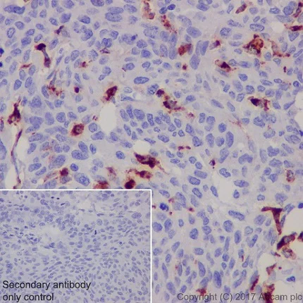
Immunohistochemistry (Formalin/PFA-fixed paraffin-embedded sections) - Anti-CD68 antibody [EPR20545] - BSA and Azide free (AB227458)
  • IHC-P

Lab

Immunohistochemistry (Formalin/PFA-fixed paraffin-embedded sections) - Anti-CD68 antibody [EPR20545] - BSA and Azide free (AB227458)

Immunohistochemical analysis of paraffin-embedded human liver tissue labeling CD68 with ab213363 at 1/8000 dilution, followed by Goat anti-Rabbit IgG H&L (HRP) Ready to use. Cytoplasmic staining on Kupffer cells of human liver is observed (PMID : 12118106). Counter stained with hematoxylin.

Secondary antibody only control : Used PBS instead of primary antibody, secondary antibody is Goat anti-Rabbit IgG H&L (HRP) Ready to use.

This data was developed using the same antibody clone in a different buffer formulation containing PBS, BSA, glycerol, and sodium azide (ab213363).

Perform heat mediated antigen retrieval with Tris/EDTA buffer pH 9.0 before commencing with IHC staining protocol.

Immunocytochemistry/ Immunofluorescence - Anti-CD68 antibody [EPR20545] - BSA and Azide free (AB227458)
  • ICC/IF

Lab

Immunocytochemistry/ Immunofluorescence - Anti-CD68 antibody [EPR20545] - BSA and Azide free (AB227458)

Immunofluorescent analysis of 100% methanol-fixed U937 (human histiocytic lymphoma cell line) cells labeling CD68 with ab213363 at 1/100 dilution followed by Goat Anti-Rabbit IgG H&L (Alexa Fluor® 488) (ab150077) secondary antibody at 1/1000 dilution (green). Confocal image showing cytoplasmic staining on U937 cells.

The nuclear counter stain is DAPI (blue). Tubulin is detected with Anti-alpha Tubulin antibody [DM1A] - Microtubule Marker (Alexa Fluor® 594) (ab195889) (red) at 1/200 dilution.

Secondary antibody only control : Used PBS instead of primary antibody, secondary antibody is Goat Anti-Rabbit IgG H&L (Alexa Fluor® 488) (ab150077) secondary antibody at 1/1000 dilution.

This data was developed using the same antibody clone in a different buffer formulation containing PBS, BSA, glycerol, and sodium azide (ab213363).

Immunocytochemistry/ Immunofluorescence - Anti-CD68 antibody [EPR20545] - BSA and Azide free (AB227458)
  • ICC/IF

Lab

Immunocytochemistry/ Immunofluorescence - Anti-CD68 antibody [EPR20545] - BSA and Azide free (AB227458)

Immunofluorescent analysis of 100% methanol-fixed THP-1 (human monocytic leukemia cell line) cells labeling CD68 with ab213363 at 1/100 dilution followed by Goat Anti-Rabbit IgG H&L (Alexa Fluor® 488) (ab150077) secondary antibody at 1/1000 dilution (green). Confocal image showing cytoplasmic staining on THP-1 cells.

The nuclear counter stain is DAPI (blue). Tubulin is detected with Anti-alpha Tubulin antibody [DM1A] - Microtubule Marker (Alexa Fluor® 594) (ab195889) (red) at 1/200 dilution.

Secondary antibody only control : Used PBS instead of primary antibody, secondary antibody is Goat Anti-Rabbit IgG H&L (Alexa Fluor® 488) (ab150077) secondary antibody at 1/1000 dilution.

This data was developed using the same antibody clone in a different buffer formulation containing PBS, BSA, glycerol, and sodium azide (ab213363).

Immunohistochemistry (Formalin/PFA-fixed paraffin-embedded sections) - Anti-CD68 antibody [EPR20545] - BSA and Azide free (AB227458)
  • IHC-P

Lab

Immunohistochemistry (Formalin/PFA-fixed paraffin-embedded sections) - Anti-CD68 antibody [EPR20545] - BSA and Azide free (AB227458)

This IHC data was generated using the same anti-CD68 antibody clone, EPR20545, in a different buffer formulation (cat# ab213363).

Immunohistochemical analysis of paraffin-embedded human cervical carcinoma tissue labeling CD68 with ab213363 at 1/8000 dilution, followed by Goat anti-Rabbit IgG H&L (HRP) Ready to use. Cytoplasmic staining on macrophages of human cervical carcinoma is observed (PMID : 12118106). Counter stained with hematoxylin.

Secondary antibody only control : Used PBS instead of primary antibody, secondary antibody is Goat anti-Rabbit IgG H&L (HRP) Ready to use.

Perform heat mediated antigen retrieval with Tris/EDTA buffer pH 9.0 before commencing with IHC staining protocol.

Immunohistochemistry (Formalin/PFA-fixed paraffin-embedded sections) - Anti-CD68 antibody [EPR20545] - BSA and Azide free (AB227458)
  • IHC-P

Lab

Immunohistochemistry (Formalin/PFA-fixed paraffin-embedded sections) - Anti-CD68 antibody [EPR20545] - BSA and Azide free (AB227458)

Tissue Microarrays stained for "Anti-CD68 antibody [EPR20545]" using "ab213363"in immunohistochemical analysis. This table provides a detailed overview of positive (tick mark) and negative (cross mark) staining per sample type tested. The sections were pre-treated using Heat mediated antigen retrieval using ab93684 (Tris/EDTA buffer, pH 9.0). The sections were incubated with ab213363 at +4°C overnight followed by a ready to use Goat Anti-Rabbit IgG H&L (HRP polymer).

Multiplex immunohistochemistry - Anti-CD68 antibody [EPR20545] - BSA and Azide free (AB227458)
  • mIHC

Lab

Multiplex immunohistochemistry - Anti-CD68 antibody [EPR20545] - BSA and Azide free (AB227458)

Fluorescence multiplex immunohistochemical analysis of the human duodenum (Formalin/PFA-fixed paraffin-embedded sections). Panel A : merged staining of anti-liver FABP (ab240401 gray; Opal™690), anti-CD3 epsilon (ab16669 green; Opal™520) and anti-CD68 (ab213363 red; Opal™570) on human duodenum. Panel B : anti-liver FABP stained on enterocytes. Panel C : anti-CD3 epsilon stained on T cells. Panel D : anti-CD68 stained on macrophages. Opal Polymer HRP Ms + Rb was used as a secondary antibody. The immunostaining was performed on a Leica Biosystems BOND® RX instrument with an Opal™ 4-color kit. The section was incubated in three rounds of staining : in the order of ab240401 (1/8000 dilution), ab16669 (1/150 dilution) and ab213363 (1/500 dilution) for 30 mins at room temperature. Each round was followed by a separate fluorescent tyramide signal amplification system. Heat mediated antigen retrieval with Tris-EDTA buffer (pH 9.0 epitope retrieval solution2) for 20 mins. DAPI (blue) was used as a nuclear counter stain. Image acquisition was performed with Leica SP8 confocal microscope.

This data was developed using the same antibody clone in a different buffer formulation containing PBS, BSA, glycerol, and sodium azide (ab213363).

Multiplex immunohistochemistry - Anti-CD68 antibody [EPR20545] - BSA and Azide free (AB227458)
  • mIHC

Supplier Data

Multiplex immunohistochemistry - Anti-CD68 antibody [EPR20545] - BSA and Azide free (AB227458)

This data was developed using ab213363, the same antibody clone in a different buffer formulation. Multiplex immunohistochemistry analysis of formalin/PFA-fixed paraffin-embedded Human thymus tissue labeling CD3 epsilon with ab16669 at 1/500 dilution, LY75/DEC-205 with ab208649 at 1/15000, and CD68 with ab213363 at 1/500 dilution. Panel A : merged staining of anti-CD68 (magenta; Opal™690), anti-CD3 epsilon (green; Opal™520) and anti-LY75/DEC-205 (red; Opal™570) on human thymus. Panel B : anti-CD3 epsilon stained on T cells. Panel C : anti-LY75/DEC-205 stained on thymic cortical epithelium and dendritic cells. Panel D : anti-CD68 stained on macrophages. Sections  were treated using heat mediated antigen retrieval with Tris-EDTA buffer (pH 9.0, epitope retrieval solution2) for 20 mins before antibody incubation. The section was incubated in three rounds of staining : in the order of ab213363, ab16669, and ab208649 for 30 mins at room temperature. Each round was followed by a separate fluorescent tyramide signal amplification system. DAPI was used as a nuclear counterstain. The immunostaining was performed on a Leica Biosystems BOND® RX instrument with an Opal™ 4-color kit. Image acquisition was performed with Leica SP8 confocal microscope.

Multiplex immunohistochemistry - Anti-CD68 antibody [EPR20545] - BSA and Azide free (AB227458)
  • mIHC

Lab

Multiplex immunohistochemistry - Anti-CD68 antibody [EPR20545] - BSA and Azide free (AB227458)

This data was developed using ab213363, the same antibody clone in a different buffer formulation. Panel A : merged staining of anti-CD68 (gray; Opal™690), anti-CD3 epsilon (green; Opal™520) and anti-CD19 (red; Opal™570) on Formalin/PFA-fixed paraffin-embedded sections of human tonsil. Secondary antibody was Opal Polymer HRP Ms + Rb, and counterstaining was with DAPI. Panel B : anti-CD3 epsilon stained on T cells with ab16669 at 1/500 dilution Panel C : anti-CD19 stained on B cells with ab237772 at 1/5000 dilution Panel D : anti-CD68 stained on macrophages with ab213363 1/500 dilution The section was incubated in three rounds of staining : in the order of ab213363 and ab16669 for 30 mins, then ab237772 for 10 mins at room temperature. Each round was followed by a separate fluorescent tyramide signal amplification system. Heat mediated antigen retrieval with Tris-EDTA buffer (pH 9.0, epitope retrieval solution2) for 20 mins. The immunostaining was performed on a Leica Biosystems BOND® RX instrument with an Opal™ 4-color kit. Image acquisition was performed with Leica SP8 confocal microscope.

Multiplex immunohistochemistry - Anti-CD68 antibody [EPR20545] - BSA and Azide free (AB227458)
  • mIHC

Lab

Multiplex immunohistochemistry - Anti-CD68 antibody [EPR20545] - BSA and Azide free (AB227458)

Fluorescence multiplex immunohistochemical analysis of the human colon (Formalin/PFA-fixed paraffin-embedded sections). Panel A : merged staining of anti-liver FABP (ab240401 gray; Opal™690), anti-CD3 epsilon (ab16669 green; Opal™520) and anti-CD68 (ab213363 red; Opal™570) on human colon. Panel B : anti-liver FABP stained on enterocytes. Panel C : anti-CD3 epsilon stained on T cells. Panel D : anti-CD68 stained on macrophages. Opal Polymer HRP Ms + Rb was used as a secondary antibody. The immunostaining was performed on a Leica Biosystems BOND® RX instrument with an Opal™ 4-color kit. The section was incubated in three rounds of staining : in the order of ab240401 (1/8000 dilution), ab16669 (1/150 dilution) and ab213363 (1/500 dilution) for 30 mins at room temperature. Each round was followed by a separate fluorescent tyramide signal amplification system. Heat mediated antigen retrieval with Tris-EDTA buffer (pH 9.0 epitope retrieval solution2) for 20 mins. DAPI (blue) was used as a nuclear counter stain. Image acquisition was performed with Leica SP8 confocal microscope.

This data was developed using the same antibody clone in a different buffer formulation containing PBS, BSA, glycerol, and sodium azide (ab213363).

Multiplex immunohistochemistry - Anti-CD68 antibody [EPR20545] - BSA and Azide free (AB227458)
  • mIHC

Lab

Multiplex immunohistochemistry - Anti-CD68 antibody [EPR20545] - BSA and Azide free (AB227458)

This data was developed using ab213363, the same antibody clone in a different buffer formulation.

Multiplex immunohistochemistry analysis of formalin/PFA-fixed paraffin-embedded human placenta tissue staining CD68 with ab213363 at a 1/500 dilution, ab315802 anti-CD34 used at 1/2000 dilution and ab255296 anti-CD177 used at a 1/2000 dilution.

Panel A : merged staining of anti-CD68 (green; Opal™520), anti-CD34 (magenta; Opal™690) and anti-CD177 (gray; Opal™570) on human placenta.

Panel B : anti-CD68 staining macrophages in human placenta.

Panel C : ant-CD34 staining endothelium in human placenta.

Panel D : ant-CD177 staining neutrophils in human placenta.

Nuclear DNA was labeled with DAPI (shown in blue).

The section was incubated in three rounds of staining : in the order of ab213363, ab315802 and ab255296 for 30 mins at room temperature. Each round was followed by a separate fluorescent tyramide signal amplification system.

The immunostaining was performed on a Leica Biosystems BOND® RX instrument with an Opal™ 4-color kit. Image acquisition was performed with Leica SP8 confocal microscope.

Heat mediated antigen retrieval with Tris-EDTA buffer (pH 9.0, epitope retrieval solution 2) for 20 mins.

Multiplex immunohistochemistry - Anti-CD68 antibody [EPR20545] - BSA and Azide free (AB227458)
  • mIHC

Lab

Multiplex immunohistochemistry - Anti-CD68 antibody [EPR20545] - BSA and Azide free (AB227458)

This data was developed using ab213363, the same antibody clone in a different buffer formulation.

Multiplex immunohistochemistry analysis of formalin/PFA-fixed paraffin-embedded human lung tissue staining SFTPA1 + SFTPA2 with ab320648 at a 1/1000 dilution, ab213363 anti-CD68 used at 1/500 dilution and ab307666 anti-Uteroglobin used at a 1/2000 dilution.

Panel A : merged staining of anti-SFTPA1+SFTPA2 (magenta; Opal690), anti-CD68 (green; Opal520) and anti-Uteroglobin (gray; Opal570) on human lung.
Panel B : anti-SFTPA1+SFTPA2 staining alveolar type II cells in human lung.
Panel C : ant-CD68 staining macrophages in human lung.
Panel D : ant-Uteroglobin staining club cells in human lung.
Nuclear DNA was labeled with DAPI (shown in blue).

The section was incubated in three rounds of staining : in the order of ab320648, ab211363 and ab307666 for 30 mins at room temperature. Each round was followed by a separate fluorescent tyramide signal amplification system.

The immunostaining was performed on a Leica Biosystems BOND® RX instrument with an Opal 4-color kit. Image acquisition was performed with Leica SP8 confocal microscope.

Heat mediated antigen retrieval with Tris-EDTA buffer (pH 9.0, epitope retrieval solution2) for 20 mins..

Multiplex immunohistochemistry - Anti-CD68 antibody [EPR20545] - BSA and Azide free (AB227458)
  • mIHC

Lab

Multiplex immunohistochemistry - Anti-CD68 antibody [EPR20545] - BSA and Azide free (AB227458)

This data was developed using the same antibody clone in a different buffer formulation (ab213363).

Multiplex immunohistochemistry analysis of formalin/PFA-fixed paraffin-embedded human liver cancer tissue staining CD5L with ab323268 at a 1/2000 dilution (0.246 μg/ml) and CD68 with ab213363 at 1/500 dilution (1.26 μg/ml), followed by a ready to use secondary antibody Opal Polymer HRP Ms + Rb.

Panel A : merged staining of anti-CD5L (green; Opal™520) and anti-CD68 (magenta; Opal™690) on human liver cancer.
Panel B : anti-CD5L staining Kupffer cells in human liver cancer.
Panel C : anti-CD68 staining Kupffer cells in human liver cancer.
Panel D : Nuclear DNA was labeled with DAPI (shown in blue).

The section was incubated in three rounds of staining : in the order of ab323268 and ab213363 for 30 mins at room temperature. Each round was followed by a separate fluorescent tyramide signal amplification system.

Heat mediated antigen retrieval with Tris-EDTA buffer (pH 9.0, epitope retrieval solution2) for 20 mins.

Multiplex immunohistochemistry - Anti-CD68 antibody [EPR20545] - BSA and Azide free (AB227458)
  • mIHC

Lab

Multiplex immunohistochemistry - Anti-CD68 antibody [EPR20545] - BSA and Azide free (AB227458)

This data was developed using the same antibody clone in a different buffer formulation (ab213363).

Multiplex immunohistochemistry analysis of formalin/PFA-fixed paraffin-embedded human spleen tissue staining CD5L with ab323268 at a 1/2000 dilution (0.246 μg/ml) and CD68 with ab213363 at 1/500 dilution (1.26 μg/ml), followed by a ready to use secondary antibody Opal Polymer HRP Ms + Rb.

Panel A : merged staining of anti-CD5L (green; Opal™520) and anti-CD68 (magenta; Opal™690) on human spleen.
Panel B : anti-CD5L staining Kupffer cells in human spleen.
Panel C : anti-CD68 staining Kupffer cells in human spleen.
Panel D : Nuclear DNA was labeled with DAPI (shown in blue).

The section was incubated in three rounds of staining : in the order of ab323268 and ab213363 for 30 mins at room temperature. Each round was followed by a separate fluorescent tyramide signal amplification system.

Heat mediated antigen retrieval with Tris-EDTA buffer (pH 9.0, epitope retrieval solution2) for 20 mins.

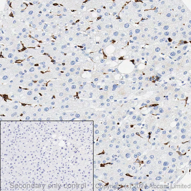
Immunohistochemistry (Formalin/PFA-fixed paraffin-embedded sections) - Anti-CD68 antibody [EPR20545] - BSA and Azide free (AB227458)
  • IHC-P

Lab

Immunohistochemistry (Formalin/PFA-fixed paraffin-embedded sections) - Anti-CD68 antibody [EPR20545] - BSA and Azide free (AB227458)

This data was developed using the same antibody clone in a different buffer formulation containing PBS, BSA, glycerol, and sodium azide (ab213363).

Immunohistochemical analysis of formalin fixed paraffin embedded Human liver labelling active CD68 with ab213363 at a concentration of 0.08 µg/ml. The immunostaining was performed on a Ventana DISCOVERY ULTRA (Roche Tissue Diagnostics) instrument with a OptiView DAB IHC Detection Kit. Heat mediated antigen retrieval was performed with DISCOVERY cell conditioning solution (CC1) 100°C, pH8.5 for 32mins.

ab213363 Anti CD68 antibody EPR20545 was incubated for 16mins at 37°C. Sections were counterstained with Hematoxylin II. Image inset shows absence of staining in secondary antibody only control.

Customers are encouraged to optimise antigen retrieval conditions, antibody concentration, incubation times and temperature for best results in their own IHC assay workflow (automated and manual)

Multiplex immunohistochemistry - Anti-CD68 antibody [EPR20545] - BSA and Azide free (AB227458)
  • mIHC

Lab

Multiplex immunohistochemistry - Anti-CD68 antibody [EPR20545] - BSA and Azide free (AB227458)

This data was developed using the same antibody clone in a different buffer formulation (ab213363).

Multiplex immunohistochemistry analysis of formalin/PFA-fixed paraffin-embedded human liver tissue staining CD5L with ab323268 at a 1/2000 dilution (0.246 μg/ml) and CD68 with ab213363 at 1/500 dilution (1.26 μg/ml), followed by a ready to use secondary antibody Opal Polymer HRP Ms + Rb.

Panel A : merged staining of anti-CD5L (green; Opal™520) and anti-CD68 (magenta; Opal™690) on human liver.
Panel B : anti-CD5L staining Kupffer cells in human liver.
Panel C : anti-CD68 staining Kupffer cells in human liver.
Panel D : Nuclear DNA was labeled with DAPI (shown in blue).

The section was incubated in three rounds of staining : in the order of ab323268 and ab213363 for 30 mins at room temperature. Each round was followed by a separate fluorescent tyramide signal amplification system.

Heat mediated antigen retrieval with Tris-EDTA buffer (pH 9.0, epitope retrieval solution2) for 20 mins.

Multiplex immunohistochemistry - Anti-CD68 antibody [EPR20545] - BSA and Azide free (AB227458)
  • mIHC

Lab

Multiplex immunohistochemistry - Anti-CD68 antibody [EPR20545] - BSA and Azide free (AB227458)

This data was developed using ab213363, the same antibody clone in a different buffer formulation.

Multiplex immunohistochemistry analysis of formalin/PFA-fixed paraffin-embedded Human tonsil tissue staining PD-L1 with ab205921 at a 1 : 500 (2.19 ug/ml) dilution; PD1 with ab237728 at 1 : 2000 (0.525 ug/ml) dilution and CD68 with ab213363 at 1 : 500 (1.26 ug/ml) dilution followed by a ready to use secondary antibody Opal Polymer HRP Ms + Rb.

Panel A : merged staining of anti-CD68 (magenta; Opal690), anti-PD-L1 (green; Opal520) and anti-PD1 (red; Opal570) on human tonsil.
Panel B : anti-PD-L1 stained on cells involved in T cell inhibition.
Panel C : anti-PD1 stained on antigen-stimulated T cells.
Panel D : anti-CD68 stained on macrophages.

The section was incubated in three rounds of staining : in the order of ab213363 and ab205921 for 30 mins, then ab237728 for 10 mins at room temperature. Each round was followed by a separate fluorescent tyramide signal amplification system.

The immunostaining was performed on a Leica Biosystems BOND® RX instrument with an Opal 4-color kit. Image acquisition was performed with Leica SP8 confocal microscope.

Heat mediated antigen retrieval with Tris-EDTA buffer (pH 9.0, epitope retrieval solution2) for 20 mins

Key facts

Host species

Rabbit

Clonality

Monoclonal

Clone number

EPR20545

Isotype

IgG

Carrier free

Yes

Reacts with

Human

Applications

IHC-P, WB, mIHC, ICC/IF

applications

Immunogen

The exact immunogen used to generate this antibody is proprietary information.

Reactivity data

{ "title": "Reactivity Data", "filters": { "stats": ["", "Species", "Dilution Info", "Notes"], "tabs": { "all-applications": {"fullname" : "All Applications", "shortname": "All Applications"}, "WB" : {"fullname" : "Western blot", "shortname":"WB"}, "ICCIF" : {"fullname" : "Immunocytochemistry/ Immunofluorescence", "shortname":"ICC/IF"}, "mIHC" : {"fullname" : "Multiplex immunohistochemistry", "shortname":"mIHC"}, "IHCP" : {"fullname" : "Immunohistochemistry (Formalin/PFA-fixed paraffin-embedded sections)", "shortname":"IHC-P"} }, "product-promise": { "all": "all", "testedAndGuaranteed": "tested", "guaranteed": "expected", "predicted": "predicted", "notRecommended": "not-recommended" } }, "values": { "Human": { "WB-species-checked": "guaranteed", "WB-species-dilution-info": "", "WB-species-notes": "<p></p>", "ICCIF-species-checked": "testedAndGuaranteed", "ICCIF-species-dilution-info": "", "ICCIF-species-notes": "<p></p>", "mIHC-species-checked": "testedAndGuaranteed", "mIHC-species-dilution-info": "", "mIHC-species-notes": "<p></p> Perform heat-mediated antigen retrieval with Tris/EDTA buffer pH 9.0 before commencing with IHC staining protocol.", "IHCP-species-checked": "testedAndGuaranteed", "IHCP-species-dilution-info": "", "IHCP-species-notes": "<p></p> Perform heat-mediated antigen retrieval with Tris/EDTA buffer pH 9.0 before commencing with IHC staining protocol." } } }

Product details

What is this antibody validated in?
Anti-CD68 antibody [EPR20545] - BSA and Azide free (ab227458) is a rabbit recombinant monoclonal antibody and is validated for use in Western Blot (WB), Immunohistochemistry (IHC-P), Immunocytochemistry/immunofluorescence (ICC/IF), Multiplex IHC (mIHC) in Human samples.

What is the molecular weight of CD68?
Anti-CD68 [EPR20545] - BSA and Azide free (ab227458) specifically detects a band for CD68 (UniProt: P34810) at a molecular weight of 37kDa.

Other related products
We have a range of other formats of antibody clone [EPR20545] also available for your convenience: ab213363, Alexa Fluor® 647 - ab224029, Carrier free - ab227458, Alexa Fluor® 488 - ab277276, Alexa Fluor® 594 - ab277938, Alexa Fluor® 555 - ab280860, ab283316, Carrier free - ab283338, ab289671, Carrier free - ab289677

Conjugation ready
Our carrier-free antibodies are typically supplied in a PBS-only formulation, purified and free of BSA, sodium azide and glycerol. This conjugation-ready format is designed for use with fluorochromes, metal isotopes, oligonucleotides, and enzymes, which makes them ideal for antibody labelling, functional and cell-based assays, flow-based assays (e.g. mass cytometry) and Multiplex Imaging applications.

Use our conjugation kits for antibody conjugates that are ready-to-use in as little as 20 minutes with 1 minute hands-on-time and 100% antibody recovery: available for fluorescent dyes, HRP, biotin and gold.

Compatibility
This product is compatible with the Maxpar® Antibody Labeling Kit from Fluidigm, without the need for antibody preparation. Maxpar® is a trademark of Fluidigm Canada Inc.

Properties and storage information

Form
Liquid
Purification technique
Affinity purification Protein A
Storage buffer
pH: 7.2 - 7.4 Constituents: PBS
Shipped at conditions
Blue Ice
Appropriate short-term storage conditions
+4°C
Appropriate long-term storage conditions
+4°C
Storage information
Do Not Freeze

Supplementary information

This supplementary information is collated from multiple sources and compiled automatically.

CD68 is a glycoprotein that functions as a scavenger receptor. It plays an important role in the regulation of cellular debris and apoptotic cell clearance. Researchers often refer to it as KP1 or macrosialin in the literature. CD68 with a molecular weight of approximately 110 kDa is highly expressed in macrophages and monocytes. The mucin-like structure of CD68 allows it to be heavily glycosylated which aids in its function. Researchers detect CD68 in tissues through methods like immunohistochemistry (IHC) immunofluorescence and CD68 staining and it is widely used as a macrophage marker in research.
Biological function summary

CD68 facilitates functions associated with the innate immune response. It serves as an important part of macrophages which contribute to immune surveillance and tissue homeostasis. Though it primarily operates on its own in some contexts CD68 might assist in forming complexes with other receptors to modulate phagocytic activity. This target is significant in atherosclerotic plaque stability as macrophages engulf lipids and cell debris through processes facilitated by CD68.

Pathways

CD68 is involved in pathways connected to inflammation and phagocytosis. The CD68 protein works closely with other scavenger receptors like CD36 to mediate uptake of oxidized low-density lipoproteins (oxLDL) in the lipid metabolism pathway. Additionally CD68 engagement can influence the toll-like receptor (TLR) signaling pathways thereby linking innate immunity and inflammatory responses critical for host defense and disease progression.

CD68 is associated with atherosclerosis and multiple sclerosis. In atherosclerosis its role becomes evident as it accumulates in macrophages within the plaques making it a marker of disease severity. In multiple sclerosis CD68 expression in macrophages and microglia indicates active demyelination and inflammation. It also relates to proteins such as CD36 in atherosclerosis where both mediate the uptake of modified LDL contributing to foam cell formation in plaques.

Product protocols

For this product, it's our understanding that no specific protocols are required. You can visit:

Target data

Could play a role in phagocytic activities of tissue macrophages, both in intracellular lysosomal metabolism and extracellular cell-cell and cell-pathogen interactions. Binds to tissue- and organ-specific lectins or selectins, allowing homing of macrophage subsets to particular sites. Rapid recirculation of CD68 from endosomes and lysosomes to the plasma membrane may allow macrophages to crawl over selectin-bearing substrates or other cells.
See full target information CD68

Publications (3)

Recent publications for all applications. Explore the full list and refine your search

Molecular & cellular proteomics : MCP 23:100701 PubMed38122899

2023

Interactome Analysis Reveals a Link of the Novel ALMS1-CEP70 Complex to Centrosomal Clusters.

Applications

Unspecified application

Species

Unspecified reactive species

Franziska Woerz,Felix Hoffmann,Shibu Antony,Sylvia Bolz,Mohamed Ali Jarboui,Katrin Junger,Franziska Klose,Isabel F Stehle,Karsten Boldt,Marius Ueffing,Tina Beyer

Nature communications 14:4416 PubMed37479718

2023

Elastin stabilization prevents impaired biomechanics in human pulmonary arteries and pulmonary hypertension in rats with left heart disease.

Applications

Unspecified application

Species

Unspecified reactive species

Mariya M Kucherenko,Pengchao Sang,Juquan Yao,Tara Gransar,Saphala Dhital,Jana Grune,Szandor Simmons,Laura Michalick,Dag Wulsten,Mario Thiele,Orr Shomroni,Felix Hennig,Ruhi Yeter,Natalia Solowjowa,Gabriela Salinas,Georg N Duda,Volkmar Falk,Naren R Vyavahare,Wolfgang M Kuebler,Christoph Knosalla

Frontiers in immunology 14:1162669 PubMed37207208

2023

Naproxen chemoprevention induces proliferation of cytotoxic lymphocytes in Lynch Syndrome colorectal mucosa.

Applications

Unspecified application

Species

Unspecified reactive species

Charles M Bowen,Nan Deng,Laura Reyes-Uribe,Edwin Roger Parra,Pedro Rocha,Luisa M Solis,Ignacio I Wistuba,Valerie O Sepeda,Lana Vornik,Marjorie Perloff,Eva Szabo,Asad Umar,Krishna M Sinha,Powel H Brown,Eduardo Vilar
View all publications

Product promise

We are committed to supporting your work with high-quality reagents, and we're here for you every step of the way. In the unlikely event that one of our products does not perform as expected, you're protected by our Product Promise.
For full details, please see our Terms & Conditions

Please note: All products are 'FOR RESEARCH USE ONLY. NOT FOR USE IN DIAGNOSTIC OR THERAPEUTIC PROCEDURES'.

For licensing inquiries, please contact partnerships@abcam.com