JavaScript is disabled in your browser. Please enable JavaScript to view this website.
AB283338

Anti-CD68 antibody [EPR20545] - Mouse IgG1 (Chimeric) - BSA and Azide free

Be the first to review this product! Submit a review

|

(0 Publication)

Mouse Recombinant Monoclonal CD68 antibody. Carrier free. Suitable for IHC-P, ICC/IF, WB, Flow Cyt (Intra) and reacts with Human samples.

View Alternative Names

CD68, Macrosialin, Gp110

6 Images
Immunohistochemistry (Formalin/PFA-fixed paraffin-embedded sections) - Anti-CD68 antibody [EPR20545] - Mouse IgG1 (Chimeric) - BSA and Azide free (AB283338)
  • IHC-P

Supplier Data

Immunohistochemistry (Formalin/PFA-fixed paraffin-embedded sections) - Anti-CD68 antibody [EPR20545] - Mouse IgG1 (Chimeric) - BSA and Azide free (AB283338)

This data was developed using ab283316 the same antibody clone in a different buffer formulation.

Immunohistochemical analysis of paraffin-embedded Human liver carcinoma tissue labeling CD68 with ab283316 at 1/5000 (0.212 ug/ml) dilution followed by a ready to use LeicaDS9800 (Bond™ Polymer Refine Detection). Positive staining on the stroma cells in the human liver carcinoma. The section was incubated with ab283316 for 30 mins at room temperature and followed by mouse specific IgG antibody (ab125913) for 8 mins. The immunostaining was performed on a Leica Biosystems BOND® RX instrument Counterstained with Hematoxylin.

Secondary antibody only control : Secondary antibody is a ready to use LeicaDS9800 (Bond™ Polymer Refine Detection).

Heat mediated antigen retrieval with Citrate buffer (pH 6.0, epitope retrieval solution 1) for 20 mins.

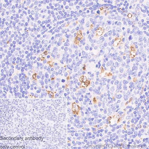
Immunohistochemistry (Formalin/PFA-fixed paraffin-embedded sections) - Anti-CD68 antibody [EPR20545] - Mouse IgG1 (Chimeric) - BSA and Azide free (AB283338)
  • IHC-P

Supplier Data

Immunohistochemistry (Formalin/PFA-fixed paraffin-embedded sections) - Anti-CD68 antibody [EPR20545] - Mouse IgG1 (Chimeric) - BSA and Azide free (AB283338)

This data was developed using ab283316 the same antibody clone in a different buffer formulation.

Immunohistochemical analysis of paraffin-embedded Human tonsil tissue labeling CD68 with ab283316 at 1/5000 (0.212 ug/ml) dilution followed by a ready to use LeicaDS9800 (Bond™ Polymer Refine Detection). Positive staining on the macrophages in human tonsil. The section was incubated with ab283316 for 30 mins at room temperature and followed by mouse specific IgG antibody (ab125913) for 8 mins. The immunostaining was performed on a Leica Biosystems BOND® RX instrument Counterstained with Hematoxylin.

Secondary antibody only control : Secondary antibody is a ready to use LeicaDS9800 (Bond™ Polymer Refine Detection).

Heat mediated antigen retrieval with Citrate buffer (pH 6.0, epitope retrieval solution 1) for 20 mins.

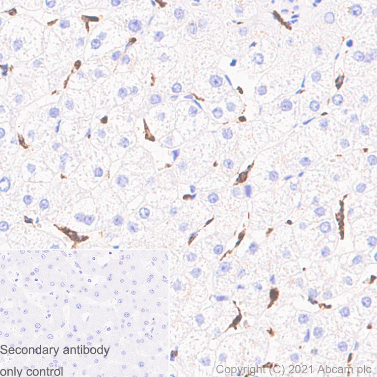
Immunohistochemistry (Formalin/PFA-fixed paraffin-embedded sections) - Anti-CD68 antibody [EPR20545] - Mouse IgG1 (Chimeric) - BSA and Azide free (AB283338)
  • IHC-P

Supplier Data

Immunohistochemistry (Formalin/PFA-fixed paraffin-embedded sections) - Anti-CD68 antibody [EPR20545] - Mouse IgG1 (Chimeric) - BSA and Azide free (AB283338)

This data was developed using ab283316 the same antibody clone in a different buffer formulation.

Immunohistochemical analysis of paraffin-embedded Human liver tissue labeling CD68 with ab283316 at 1/5000 (0.212 ug/ml) dilution followed by a ready to use LeicaDS9800 (Bond™ Polymer Refine Detection). Positive staining on the Kuffer cells in the human liver. The section was incubated with ab283316 for 30 mins at room temperature and followed by mouse specific IgG antibody (ab125913) for 8 mins. The immunostaining was performed on a Leica Biosystems BOND® RX instrument Counterstained with Hematoxylin.

Secondary antibody only control : Secondary antibody is a ready to use LeicaDS9800 (Bond™ Polymer Refine Detection).

Heat mediated antigen retrieval with Citrate buffer (pH 6.0, epitope retrieval solution 1) for 20 mins.

Immunocytochemistry/ Immunofluorescence - Anti-CD68 antibody [EPR20545] - Mouse IgG1 (Chimeric) - BSA and Azide free (AB283338)
  • ICC/IF

Supplier Data

Immunocytochemistry/ Immunofluorescence - Anti-CD68 antibody [EPR20545] - Mouse IgG1 (Chimeric) - BSA and Azide free (AB283338)

This data was developed using ab283316 the same antibody clone in a different buffer formulation.Immunofluorescent analysis of 100% methanol-fixed, 0.1% TritonX-100 permeabilized THP-1 cells labelling CD68 with ab283316 at 1/50 (21.24 ug/ml) dilution, followed by ab150117 Goat Anti-Mouse IgG H&L (Alexa Fluor® 488) preadsorbed antibody at 1/1000 dilution (Green). Confocal image showing cytoplasmic staining in THP-1 cell line. ab179513 Anti-beta Tubulin rabbit monoclonal antibody was used to counterstain tubulin at 1/200 dilution (Red). The Nuclear counterstain was DAPI (Blue).

Secondary antibody only control : Secondary antibody is ab150117 Goat Anti-Mouse IgG H&L (Alexa Fluor® 488) preadsorbed at 1/1000 dilution.

Flow Cytometry (Intracellular) - Anti-CD68 antibody [EPR20545] - Mouse IgG1 (Chimeric) - BSA and Azide free (AB283338)
  • Flow Cyt (Intra)

Supplier Data

Flow Cytometry (Intracellular) - Anti-CD68 antibody [EPR20545] - Mouse IgG1 (Chimeric) - BSA and Azide free (AB283338)

This data was developed using ab283316 the same antibody clone in a different buffer formulation.Flow cytometric analysis of 4% paraformaldehyde fixed 90% methanol permeabilized THP-1 (Human monocytic leukemia monocyte) cells labelling CD68 with ab283316 at 1/1000 dilution (0.1ug) (Red) compared with a Mouse monoclonal IgG (Black) isotype control and an unlabelled control (cells without incubation with primary antibody and secondary antibody) (Blue). A Goat anti mouse IgG (Alexa Fluor® 488, ab150113) at 1/2000 dilution was used as the secondary antibody.

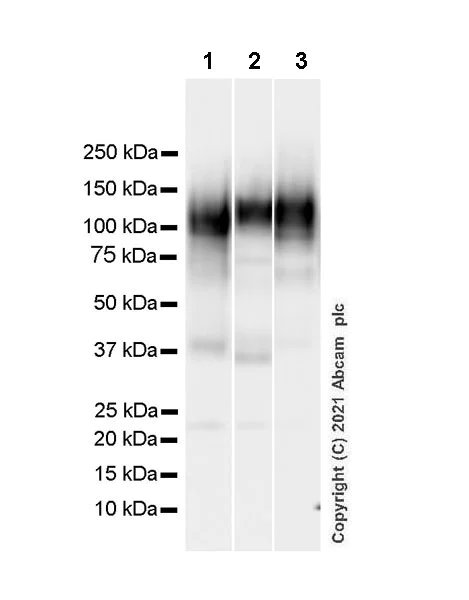
Western blot - Anti-CD68 antibody [EPR20545] - Mouse IgG1 (Chimeric) - BSA and Azide free (AB283338)
  • WB

Lab

Western blot - Anti-CD68 antibody [EPR20545] - Mouse IgG1 (Chimeric) - BSA and Azide free (AB283338)

This data was developed using ab283316, the same antibody clone in a different buffer formulation.

Blocking and diluting buffer and concentration : 5% NFDM/TBST

The observed molecular weight is consistent with the literature (PMID : 18405323, 11739566, 16710801).

Exposure time : Lane 1-2 : 59 seconds

Lane 3 : 37 seconds.

All lanes:

Western blot - Anti-CD68 antibody [EPR20545] - Mouse IgG1 (Chimeric) (<a href='/en-us/products/primary-antibodies/cd68-antibody-epr20545-mouse-igg1-chimeric-ab283316'>ab283316</a>) at 1/1000 dilution

Lane 1:

Human tonsil tissue lysate at 20 µg

Lane 2:

Human liver tissue lysate at 20 µg

Lane 3:

THP-1 (human monocytic leukemia monocyte), whole cell lysate at 20 µg

Secondary

All lanes:

Peroxidase-Conjugated Goat anti-Mouse IgG (H+L) at 1/5000 dilution

Predicted band size: 37 kDa

Observed band size: 110 kDa

false

  • Unconjugated

    Anti-CD68 antibody [EPR20545] - Mouse IgG1 (Chimeric)

Key facts

Host species

Mouse

Clonality

Monoclonal

Clone number

EPR20545

Isotype

IgG1

Carrier free

Yes

Reacts with

Human

Applications

Flow Cyt (Intra), IHC-P, ICC/IF, WB

applications

Immunogen

The exact immunogen used to generate this antibody is proprietary information.

Reactivity data

{ "title": "Reactivity Data", "filters": { "stats": ["", "Species", "Dilution Info", "Notes"], "tabs": { "all-applications": {"fullname" : "All Applications", "shortname": "All Applications"}, "IHCP" : {"fullname" : "Immunohistochemistry (Formalin/PFA-fixed paraffin-embedded sections)", "shortname":"IHC-P"}, "ICCIF" : {"fullname" : "Immunocytochemistry/ Immunofluorescence", "shortname":"ICC/IF"}, "WB" : {"fullname" : "Western blot", "shortname":"WB"}, "FlowCytIntra" : {"fullname" : "Flow Cytometry (Intracellular)", "shortname":"Flow Cyt (Intra)"} }, "product-promise": { "all": "all", "testedAndGuaranteed": "tested", "guaranteed": "expected", "predicted": "predicted", "notRecommended": "not-recommended" } }, "values": { "Human": { "IHCP-species-checked": "testedAndGuaranteed", "IHCP-species-dilution-info": "", "IHCP-species-notes": "<p></p>", "ICCIF-species-checked": "testedAndGuaranteed", "ICCIF-species-dilution-info": "", "ICCIF-species-notes": "<p></p>", "WB-species-checked": "testedAndGuaranteed", "WB-species-dilution-info": "", "WB-species-notes": "<p></p>", "FlowCytIntra-species-checked": "testedAndGuaranteed", "FlowCytIntra-species-dilution-info": "", "FlowCytIntra-species-notes": "<p></p>" } } }

Product details

ab283338 is the carrier-free version of ab283316.

This mouse monoclonal chimeric antibody has been engineered from a RabMAb parent antibody (ab213363). By necessity, some rabbit sequence is retained as part of the variable domain. When multiplexing with other rabbit-derived antibodies, using cross absorbed Fc-reactive secondary antibodies are recommended.

What are the advantages of a recombinant monoclonal antibody?
This product is a recombinant monoclonal antibody, which offers several advantages including:

  • - High batch-to-batch consistency and reproducibility
  • - Improved sensitivity and specificity
  • - Long-term security of supply
  • - Animal-free batch production

For more information, read more on recombinant antibodies.

Conjugation ready
Our carrier-free antibodies are typically supplied in a PBS-only formulation, purified and free of BSA, sodium azide and glycerol. This conjugation-ready format is designed for use with fluorochromes, metal isotopes, oligonucleotides, and enzymes, which makes them ideal for antibody labelling, functional and cell-based assays, flow-based assays (e.g. mass cytometry) and Multiplex Imaging applications.

Use our conjugation kits for antibody conjugates that are ready-to-use in as little as 20 minutes with 1 minute hands-on-time and 100% antibody recovery: available for fluorescent dyes, HRP, biotin and gold.

Compatibility
This product is compatible with the Maxpar® Antibody Labeling Kit from Fluidigm, without the need for antibody preparation. Maxpar® is a trademark of Fluidigm Canada Inc.

Properties and storage information

Form
Liquid
Purification technique
Affinity purification Protein A
Storage buffer
pH: 7.2 - 7.4 Constituents: PBS
Shipped at conditions
Blue Ice
Appropriate short-term storage conditions
+4°C
Appropriate long-term storage conditions
+4°C
Storage information
Do Not Freeze

Supplementary information

This supplementary information is collated from multiple sources and compiled automatically.

CD68 is a glycoprotein that functions as a scavenger receptor. It plays an important role in the regulation of cellular debris and apoptotic cell clearance. Researchers often refer to it as KP1 or macrosialin in the literature. CD68 with a molecular weight of approximately 110 kDa is highly expressed in macrophages and monocytes. The mucin-like structure of CD68 allows it to be heavily glycosylated which aids in its function. Researchers detect CD68 in tissues through methods like immunohistochemistry (IHC) immunofluorescence and CD68 staining and it is widely used as a macrophage marker in research.
Biological function summary

CD68 facilitates functions associated with the innate immune response. It serves as an important part of macrophages which contribute to immune surveillance and tissue homeostasis. Though it primarily operates on its own in some contexts CD68 might assist in forming complexes with other receptors to modulate phagocytic activity. This target is significant in atherosclerotic plaque stability as macrophages engulf lipids and cell debris through processes facilitated by CD68.

Pathways

CD68 is involved in pathways connected to inflammation and phagocytosis. The CD68 protein works closely with other scavenger receptors like CD36 to mediate uptake of oxidized low-density lipoproteins (oxLDL) in the lipid metabolism pathway. Additionally CD68 engagement can influence the toll-like receptor (TLR) signaling pathways thereby linking innate immunity and inflammatory responses critical for host defense and disease progression.

CD68 is associated with atherosclerosis and multiple sclerosis. In atherosclerosis its role becomes evident as it accumulates in macrophages within the plaques making it a marker of disease severity. In multiple sclerosis CD68 expression in macrophages and microglia indicates active demyelination and inflammation. It also relates to proteins such as CD36 in atherosclerosis where both mediate the uptake of modified LDL contributing to foam cell formation in plaques.

Product protocols

For this product, it's our understanding that no specific protocols are required. You can visit:

Target data

Could play a role in phagocytic activities of tissue macrophages, both in intracellular lysosomal metabolism and extracellular cell-cell and cell-pathogen interactions. Binds to tissue- and organ-specific lectins or selectins, allowing homing of macrophage subsets to particular sites. Rapid recirculation of CD68 from endosomes and lysosomes to the plasma membrane may allow macrophages to crawl over selectin-bearing substrates or other cells.
See full target information CD68

Product promise

We are committed to supporting your work with high-quality reagents, and we're here for you every step of the way. In the unlikely event that one of our products does not perform as expected, you're protected by our Product Promise.
For full details, please see our Terms & Conditions

Please note: All products are 'FOR RESEARCH USE ONLY. NOT FOR USE IN DIAGNOSTIC OR THERAPEUTIC PROCEDURES'.

For licensing inquiries, please contact partnerships@abcam.com