JavaScript is disabled in your browser. Please enable JavaScript to view this website.
AB283667

Anti-CD68 antibody [EPR23917-164] - BSA and Azide free

  • BOND RX™ Validated
  • Advanced Validation
  • RabMAb
  • Recombinant
  • KO Validated
  • What is this?

5

(1 Review)

|

(2 Publications)

Rabbit Recombinant Monoclonal CD68 antibody. Carrier free. Suitable for mIHC, ICC/IF, Flow Cyt (Intra), WB, IHC-P, IHC-Fr and reacts with Mouse, Rat samples. Cited in 2 publications.

View Alternative Names

CD68, Macrosialin, Cd68

17 Images
Flow Cytometry (Intracellular) - Anti-CD68 antibody [EPR23917-164] - BSA and Azide free (AB283667)
  • Flow Cyt (Intra)

Lab

Flow Cytometry (Intracellular) - Anti-CD68 antibody [EPR23917-164] - BSA and Azide free (AB283667)

This data was developed using ab283654, the same antibody clone in a different buffer formulation.

Flow cytometry staining of C57BL/6 mouse splenocytes (top) or C57BL/6 Mouse Bone Marrow Cell-derived Macrophages (bottom) with ab283654 (right) or Recombinant Rabbit IgG, monoclonal [EPR25A] - Isotype Control (left). Cells were fixed and permeabilised with BD Cytofix/Cytoperm™ for 20 min. Cells were incubated for 30min on ice in 1x PBS containing 10μg/ml anti CD16/CD32 and 10% normal goat serum to block FC receptors and non-specific protein-protein interaction followed by the antibody ab283654 or Recombinant Rabbit IgG, monoclonal [EPR25A] - Isotype Control (1x 106in 100 μl at 1.0 μg/ml (1/2212)) for 30min at 22°C. The cells were simultaneously stained with F4/80.

The secondary antibody Goat Anti-Rabbit IgG H&L (Alexa Fluor® 488) preadsorbed was incubated at 1/4000 for 30min at 22°C

Acquisition of >30000 events were collected using a 50 mW Blue laser (488nm) and 525/40 bandpass filter. Events were gated on live cells.

Immunohistochemistry (Formalin/PFA-fixed paraffin-embedded sections) - Anti-CD68 antibody [EPR23917-164] - BSA and Azide free (AB283667)
  • IHC-P

Supplier Data

Immunohistochemistry (Formalin/PFA-fixed paraffin-embedded sections) - Anti-CD68 antibody [EPR23917-164] - BSA and Azide free (AB283667)

This data was developed using ab283654, the same antibody clone in a different buffer formulation.

Immunohistochemical analysis of paraffin-embedded Mouse spleen tissue labelling CD68 with ab283654 at 1/100 (4.66 ug/ml) followed by a ready to use LeicaDS9800 (Bond™ Polymer Refine Detection). Positive staining on mouse spleen. The section was incubated with ab283654 for 30 mins at room temperature. The immunostaining was performed on a Leica Biosystems BOND® RX instrument Counterstained with Hematoxylin.

Secondary antibody only control : Secondary antibody is a ready to use LeicaDS9800 (Bond™ Polymer Refine Detection).

Heat mediated antigen retrieval with Tris-EDTA buffer (pH 9.0, epitope retrieval solution2) for 20 mins

Flow Cytometry - Anti-CD68 antibody [EPR23917-164] - BSA and Azide free (AB283667)
  • Flow Cyt

Supplier Data

Flow Cytometry - Anti-CD68 antibody [EPR23917-164] - BSA and Azide free (AB283667)

This data was developed using ab283654, the same antibody clone in a different buffer formulation.

Flow cytometric analysis of 4% paraformaldehyde fixed 90% methanol permeabilized RAW 264.7 (mouse Abelson murine leukemia virus-induced tumor macrophage) cells labelling CD68 with ab283654 at 1/500 dilution (0.1ug) (Red) compared with a Rabbit monoclonal IgG (ab172730) (Black) isotype control and an unlabelled control (cells without incubation with primary antibody and secondary antibody) (Blue). A Goat F(ab')2 Anti-Rabbit IgG(DyLight® 488, ab98507) at 1/500 dilution was used as the secondary antibody.

Multiplex immunohistochemistry - Anti-CD68 antibody [EPR23917-164] - BSA and Azide free (AB283667)
  • mIHC

Lab

Multiplex immunohistochemistry - Anti-CD68 antibody [EPR23917-164] - BSA and Azide free (AB283667)

This data was developed using ab283654, the same antibody clone in a different buffer formulation.

Multiplex immunohistochemistry analysis of formalin/PFA-fixed paraffin-embedded mouse small intestine tissue staining CD68 with ab283654 at a 1/100 dilution, ab245235 anti-CD19 used at 1/1000 dilution and ab237721 anti-CD3 used at a 1/2000 dilution. Opal Polymer HRP Ms + Rb was used as a secondary antibody, and DAPI was used for a nuclear counter stain. Heat mediated antigen retrieval with Tris-EDTA buffer (pH 9.0, epitope retrieval solution2) for 20 mins.

Panel A : merged staining of anti-CD68 (magenta; Opal520), anti-CD19 (green; Opal690) and anti-CD3 (grey; Opal570) on mouse small intestine.
Panel B : anti-CD68 staining macrophages in mouse small intestine.
Panel C : anti-CD19 staining B lymphocytes in mouse small intestine.
Panel D : anti-CD3 staining T lymphocytes in mouse small intestine.
Nuclear DNA was labeled with DAPI (shown in blue).

The section was incubated in three rounds of staining : in the order of ab283654, ab245235 and ab237721 for 30 mins at room temperature. Each round was followed by a separate fluorescent tyramide signal amplification system.

The immunostaining was performed on a Leica Biosystems BOND®RX instrument with an Opal 4-color kit. Image acquisition was performed with Leica SP8 confocal microscope.

Multiplex immunohistochemistry - Anti-CD68 antibody [EPR23917-164] - BSA and Azide free (AB283667)
  • mIHC

Lab

Multiplex immunohistochemistry - Anti-CD68 antibody [EPR23917-164] - BSA and Azide free (AB283667)

This data was developed using ab283654, the same antibody clone in a different buffer formulation.

Multiplex immunohistochemistry analysis of formalin/PFA-fixed paraffin-embedded mouse colon tissue staining CD68 with ab283654 at a 1/100 dilution, ab245235 anti-CD19 used at 1/1000 dilution and ab237721 anti-CD3 used at a 1/2000 dilution. Opal Polymer HRP Ms + Rb was used as a secondary antibody, and DAPI was used for a nuclear counter stain. Heat mediated antigen retrieval with Tris-EDTA buffer (pH 9.0, epitope retrieval solution2) for 20 mins.

Panel A : merged staining of anti-CD68 (magenta; Opal520), anti-CD19 (green; Opal690) and anti-CD3 (grey; Opal570) on mouse colon.
Panel B : anti-CD68 staining macrophages in mouse colon.
Panel C : anti-CD19 staining B lymphocytes in mouse colon.
Panel D : anti-CD3 staining T lymphocytes in mouse colon.
Nuclear DNA was labeled with DAPI (shown in blue).

The section was incubated in three rounds of staining : in the order of ab283654, ab245235 and ab237721 for 30 mins at room temperature. Each round was followed by a separate fluorescent tyramide signal amplification system.

The immunostaining was performed on a Leica Biosystems BOND®RX instrument with an Opal 4-color kit. Image acquisition was performed with Leica SP8 confocal microscope.

Immunohistochemistry (Frozen sections) - Anti-CD68 antibody [EPR23917-164] - BSA and Azide free (AB283667)
  • IHC-Fr

Supplier Data

Immunohistochemistry (Frozen sections) - Anti-CD68 antibody [EPR23917-164] - BSA and Azide free (AB283667)

This data was developed using ab283654, the same antibody clone in a different buffer formulation.

Immunohistochemical analysis of 4% PFA-fixed, 0.2% Triton X-100 permeabilized frozen Rat liver (fresh) tissue labeling CD68 with ab283654 at 1/100 (4.66 ug/ml) dilution followed by ab150081 Goat Anti-Rabbit IgG H&L (Alexa Fluor® 488) preadsorbed at 1/1000 (2 ug/ml) dilution (Green). Positive staining on Kupffer cells of rat liver is observed. The nuclear counterstain was DAPI (Blue).

Secondary antibody control : Secondary antibody is ab150081 Goat Anti-Rabbit IgG H&L (Alexa Fluor® 488) preadsorbed at 1/1000 (2 ug/ml) dilution.

Immunohistochemistry (Formalin/PFA-fixed paraffin-embedded sections) - Anti-CD68 antibody [EPR23917-164] - BSA and Azide free (AB283667)
  • IHC-P

Supplier Data

Immunohistochemistry (Formalin/PFA-fixed paraffin-embedded sections) - Anti-CD68 antibody [EPR23917-164] - BSA and Azide free (AB283667)

This data was developed using ab283654, the same antibody clone in a different buffer formulation.

Immunohistochemical analysis of paraffin-embedded Mouse colon tissue labelling CD68 with ab283654 at 1/100 (4.66 ug/ml) followed by a ready to use LeicaDS9800 (Bond™ Polymer Refine Detection). Positive staining on immune cells in mouse colon. The section was incubated with ab283654 for 30 mins at room temperature. The immunostaining was performed on a Leica Biosystems BOND® RX instrument Counterstained with Hematoxylin.

Secondary antibody only control : Secondary antibody is a ready to use LeicaDS9800 (Bond™ Polymer Refine Detection).

Heat mediated antigen retrieval with Tris-EDTA buffer (pH 9.0, epitope retrieval solution2) for 20 mins

Immunocytochemistry/ Immunofluorescence - Anti-CD68 antibody [EPR23917-164] - BSA and Azide free (AB283667)
  • ICC/IF

Supplier Data

Immunocytochemistry/ Immunofluorescence - Anti-CD68 antibody [EPR23917-164] - BSA and Azide free (AB283667)

This data was developed using ab283654, the same antibody clone in a different buffer formulation.

Immunofluorescent analysis of 4% Paraformaldehyde-fixed, 0.1% TritonX-100 permeabilized J774A.1 cells labelling CD68 with ab283654 at 1/50 (9.32 ug/ml) dilution, followed by ab150081 Goat Anti-Rabbit IgG H&L (Alexa Fluor® 488) preadsorbed antibody at 1/1000 (2 ug/ml) dilution (Green). Confocal image showing cytoplasmic staining in J774A.1 cell line. ab195889 Anti-alpha Tubulin mouse monoclonal antibody - Microtubule Marker (Alexa Fluor® 594) was used to counterstain tubulin at 1/200 (2.5 ug/ml) dilution (Red). The Nuclear counterstain was DAPI (Blue).

Secondary antibody only control : Secondary antibody is ab150081 Goat Anti-Rabbit IgG H&L (Alexa Fluor® 488) preadsorbed at 1/1000 (2 ug/ml) dilution.

Immunohistochemistry (Formalin/PFA-fixed paraffin-embedded sections) - Anti-CD68 antibody [EPR23917-164] - BSA and Azide free (AB283667)
  • IHC-P

Supplier Data

Immunohistochemistry (Formalin/PFA-fixed paraffin-embedded sections) - Anti-CD68 antibody [EPR23917-164] - BSA and Azide free (AB283667)

This data was developed using ab283654, the same antibody clone in a different buffer formulation.

Immunohistochemical analysis of paraffin-embedded Rat lung tissue labelling CD68 with ab283654 at 1/100 (4.66 ug/ml) followed by a ready to use LeicaDS9800 (Bond™ Polymer Refine Detection). Positive staining on macrophages in rat lung. The section was incubated with ab283654 for 30 mins at room temperature. The immunostaining was performed on a Leica Biosystems BOND® RX instrument Counterstained with Hematoxylin.

Secondary antibody only control : Secondary antibody is a ready to use LeicaDS9800 (Bond™ Polymer Refine Detection).

Heat mediated antigen retrieval with Tris-EDTA buffer (pH 9.0, epitope retrieval solution2) for 20 mins

Immunohistochemistry (Formalin/PFA-fixed paraffin-embedded sections) - Anti-CD68 antibody [EPR23917-164] - BSA and Azide free (AB283667)
  • IHC-P

Supplier Data

Immunohistochemistry (Formalin/PFA-fixed paraffin-embedded sections) - Anti-CD68 antibody [EPR23917-164] - BSA and Azide free (AB283667)

This data was developed using ab283654, the same antibody clone in a different buffer formulation.

Immunohistochemical analysis of paraffin-embedded Rat spleen tissue labelling CD68 with ab283654 at 1/100 (4.66 ug/ml) followed by a ready to use LeicaDS9800 (Bond™ Polymer Refine Detection). Positive staining on rat spleen. The section was incubated with ab283654 for 30 mins at room temperature. The immunostaining was performed on a Leica Biosystems BOND® RX instrument Counterstained with Hematoxylin.

Secondary antibody only control : Secondary antibody is a ready to use LeicaDS9800 (Bond™ Polymer Refine Detection).

Heat mediated antigen retrieval with Tris-EDTA buffer (pH 9.0, epitope retrieval solution2) for 20 mins

Immunohistochemistry (Formalin/PFA-fixed paraffin-embedded sections) - Anti-CD68 antibody [EPR23917-164] - BSA and Azide free (AB283667)
  • IHC-P

Supplier Data

Immunohistochemistry (Formalin/PFA-fixed paraffin-embedded sections) - Anti-CD68 antibody [EPR23917-164] - BSA and Azide free (AB283667)

This data was developed using ab283654, the same antibody clone in a different buffer formulation.

Immunohistochemical analysis of paraffin-embedded Rat liver tissue labelling CD68 with ab283654 at 1/100 (4.66 ug/ml) followed by a ready to use LeicaDS9800 (Bond™ Polymer Refine Detection). Positive staining on Kupffer cells in rat liver. The section was incubated with ab283654 for 30 mins at room temperature. The immunostaining was performed on a Leica Biosystems BOND® RX instrument Counterstained with Hematoxylin.

Secondary antibody only control : Secondary antibody is a ready to use LeicaDS9800 (Bond™ Polymer Refine Detection).

Heat mediated antigen retrieval with Tris-EDTA buffer (pH 9.0, epitope retrieval solution2) for 20 mins

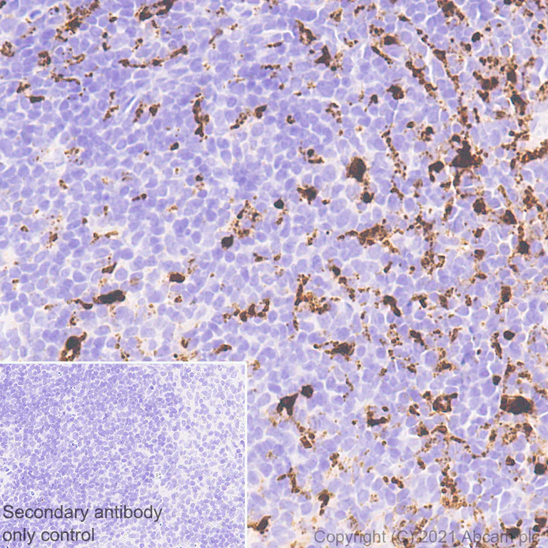
Immunohistochemistry (Formalin/PFA-fixed paraffin-embedded sections) - Anti-CD68 antibody [EPR23917-164] - BSA and Azide free (AB283667)
  • IHC-P

Supplier Data

Immunohistochemistry (Formalin/PFA-fixed paraffin-embedded sections) - Anti-CD68 antibody [EPR23917-164] - BSA and Azide free (AB283667)

This data was developed using ab283654, the same antibody clone in a different buffer formulation.

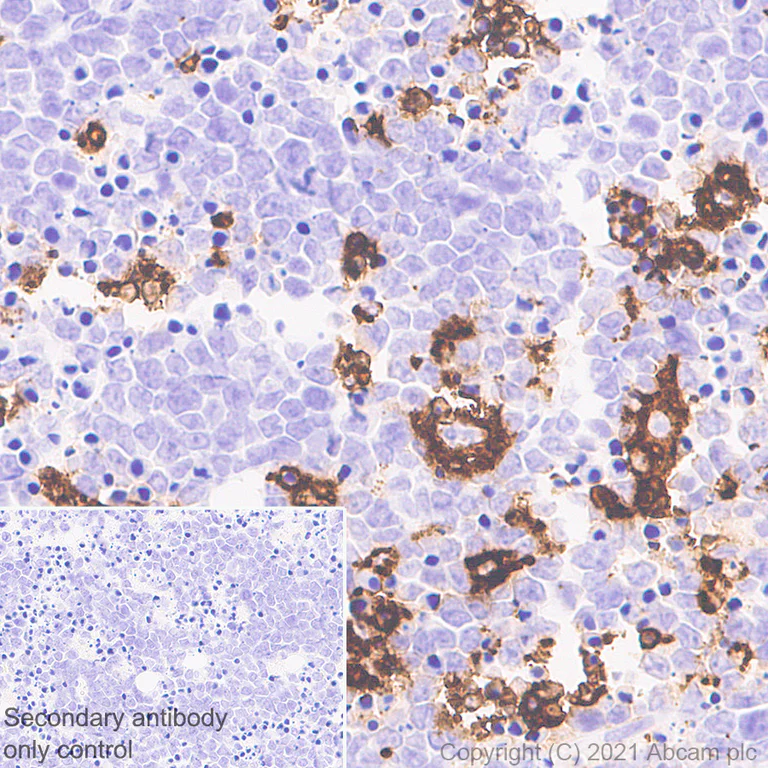
Immunohistochemical analysis of paraffin-embedded Mouse large B cell lymphoma tissue labelling CD68 with ab283654 at 1/100 (4.66 ug/ml) followed by a ready to use LeicaDS9800 (Bond™ Polymer Refine Detection). Positive staining on mouse large B cell lymphoma. The section was incubated with ab283654 for 30 mins at room temperature. The immunostaining was performed on a Leica Biosystems BOND® RX instrument Counterstained with Hematoxylin.

Secondary antibody only control : Secondary antibody is a ready to use LeicaDS9800 (Bond™ Polymer Refine Detection) .

Heat mediated antigen retrieval with Tris-EDTA buffer (pH 9.0, epitope retrieval solution2) for 20 mins

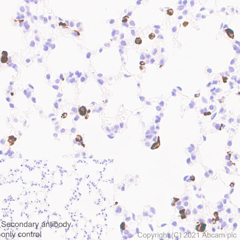
Immunohistochemistry (Frozen sections) - Anti-CD68 antibody [EPR23917-164] - BSA and Azide free (AB283667)
  • IHC-Fr

Supplier Data

Immunohistochemistry (Frozen sections) - Anti-CD68 antibody [EPR23917-164] - BSA and Azide free (AB283667)

This data was developed using ab283654, the same antibody clone in a different buffer formulation.

Immunohistochemical analysis of 4% PFA-fixed, 0.2% Triton X-100 permeabilized frozen Rat spleen (fresh) tissue labeling CD68 with ab283654 at 1/100 (4.66 ug/ml) dilution followed by ab150081 Goat Anti-Rabbit IgG H&L (Alexa Fluor® 488) preadsorbed at 1/1000 (2 ug/ml) dilution (Green). Positive staining on macrophage of rat spleen is observed. The nuclear counterstain was DAPI (Blue).

Secondary antibody control : Secondary antibody is ab150081 Goat Anti-Rabbit IgG H&L (Alexa Fluor® 488) preadsorbed at 1/1000 (2 ug/ml) dilution.

Western blot - Anti-CD68 antibody [EPR23917-164] - BSA and Azide free (AB283667)
  • WB

Lab

Western blot - Anti-CD68 antibody [EPR23917-164] - BSA and Azide free (AB283667)

This data was developed using ab283654, the same antibody clone in a different buffer formulation.

Blocking and diluting buffer and concentration : 5% NFDM/TBST

Macrosialin (CD68) is a glycoprotein and can be de-glycosylated by PNGase F. The molecular mass observed is consistent with the literature (PMID : 7680921)

Exposure time : Lane 1-2 : 7.75 seconds; Lane 3-4 : 48 seconds

All lanes:

Western blot - Anti-CD68 antibody [EPR23917-164] (<a href='/en-us/products/primary-antibodies/cd68-antibody-epr23917-164-ab283654'>ab283654</a>) at 1/1000 dilution

Lane 1:

RAW264.7 (mouse Abelson murine leukemia virus-induced tumor macrophage), whole cell lysate at 15 µg

Lane 2:

RAW264.7 treated with PNGase F whole cell lysate at 15 µg

Lane 3:

Mouse spleen tissue lysate at 15 µg

Lane 4:

Mouse spleen treated with PNGase F tissue lysate at 15 µg

Secondary

All lanes:

Goat Anti-Rabbit IgG, (H+L), Peroxidase conjugated (<a href='/en-us/products/secondary-antibodies/goat-rabbit-igg-h-l-hrp-ab97051'>ab97051</a>) at 1/20000 dilution

Predicted band size: 37 kDa

Observed band size: 100 kDa

false

Western blot - Anti-CD68 antibody [EPR23917-164] - BSA and Azide free (AB283667)
  • WB

Supplier Data

Western blot - Anti-CD68 antibody [EPR23917-164] - BSA and Azide free (AB283667)

This data was developed using ab283654, the same antibody clone in a different buffer formulation.

Blocking and diluting buffer and concentration : Intercept® (TBS) Blocking Buffer diluted with an equal volume of 0.1% TBS.

Lanes 1-2 : Merged signal (red and green). Green - ab283654 observed at 100 kDa. Red - loading control ab8245 observed at 36 kDa.
ab283654 Anti-CD68 antibody [EPR23917-164] was shown to specifically react with CD68 in wild-type RAW264.7 cells. Loss of signal was observed when knockout cell line (knockout cell lysate - ab280106) was used. Wild-type and CD68 knockout samples were subjected to SDS-PAGE. ab283654 and Anti-GAPDH antibody [6C5] - Loading Control (ab8245) were incubated at 4℃ overnight at 1 in 1000 dilution and 1 in 20000 dilution respectively. Blots were developed with Goat anti-Rabbit IgG H&L (IRDye® 800CW) preadsorbed (ab216773) and Goat anti-Mouse IgG H&L (IRDye® 680RD) preadsorbed (ab216776) secondary antibodies at 1 in 10000 dilution for 1 hour at room temperature before imaging.

All lanes:

Western blot - Anti-CD68 antibody [EPR23917-164] (<a href='/en-us/products/primary-antibodies/cd68-antibody-epr23917-164-ab283654'>ab283654</a>) at 1/1000 dilution

Lane 1:

Wild-type RAW264.7 (mouse Abelson murine leukemia virus-induced tumor macrophage) whole cell lysate at 20 µg

Lane 2:

Western blot - Mouse CD68 knockout RAW 264.7 cell lysate (<a href='/en-us/products/cell-lysates/mouse-cd68-knockout-raw-2647-cell-lysate-ab280106'>ab280106</a>) at 20 µg

Secondary

All lanes:

Goat Anti-Rabbit IgG H&L (IRDye® 800CW) (<a href='/en-us/products/secondary-antibodies/goat-rabbit-igg-h-l-irdye-800cw-preadsorbed-ab216773'>ab216773</a>) and Goat Anti-Mouse IgG H&L (IRDye® 680RD) (<a href='/en-us/products/secondary-antibodies/goat-mouse-igg-h-l-irdye-680rd-preadsorbed-ab216776'>ab216776</a>) at 1/10000 dilution

Predicted band size: 37 kDa

Observed band size: 100 kDa

false

Western blot - Anti-CD68 antibody [EPR23917-164] - BSA and Azide free (AB283667)
  • WB

Lab

Western blot - Anti-CD68 antibody [EPR23917-164] - BSA and Azide free (AB283667)

This data was developed using ab283654, the same antibody clone in a different buffer formulation.

Blocking and diluting buffer and concentration : 5% NFDM/TBST

Negative control : mouse skeletal muscle (PMID : 28091823).

Exposure time : 37 seconds

All lanes:

Western blot - Anti-CD68 antibody [EPR23917-164] (<a href='/en-us/products/primary-antibodies/cd68-antibody-epr23917-164-ab283654'>ab283654</a>) at 1/1000 dilution

Lane 1:

Mouse spleen tissue lysate at 20 µg

Lane 2:

Mouse skeletal muscle tissue lysate at 20 µg

Secondary

All lanes:

Goat Anti-Rabbit IgG, (H+L), Peroxidase conjugated (<a href='/en-us/products/secondary-antibodies/goat-rabbit-igg-h-l-hrp-ab97051'>ab97051</a>) at 1/50000 dilution

Predicted band size: 37 kDa

Observed band size: 100 kDa

false

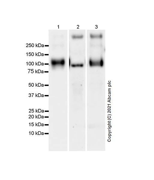
Western blot - Anti-CD68 antibody [EPR23917-164] - BSA and Azide free (AB283667)
  • WB

Lab

Western blot - Anti-CD68 antibody [EPR23917-164] - BSA and Azide free (AB283667)

This data was developed using ab283654, the same antibody clone in a different buffer formulation.

Blocking and diluting buffer and concentration : 5% NFDM/TBST

Exposure time : Lane 1 : 7.75 seconds; Lane 2 : 125 seconds; Lane 3 : 92 seconds

All lanes:

Western blot - Anti-CD68 antibody [EPR23917-164] (<a href='/en-us/products/primary-antibodies/cd68-antibody-epr23917-164-ab283654'>ab283654</a>) at 1/1000 dilution

Lane 1:

J774A.1 (mouse reticum cell sarcoma monocyte macrophage) whole cell lysate 20 at 20 µg

Lane 2:

Rat liver tissue lysate at 20 µg

Lane 3:

Rat spleen tissue lysate at 20 µg

Secondary

All lanes:

Goat Anti-Rabbit IgG, (H+L), Peroxidase conjugated (<a href='/en-us/products/secondary-antibodies/goat-rabbit-igg-h-l-hrp-ab97051'>ab97051</a>) at 1/50000 dilution

Predicted band size: 37 kDa

Observed band size: 100 kDa

false

  • Unconjugated

    Anti-CD68 antibody [EPR23917-164]

  • 660 APC

    APC Anti-CD68 antibody [EPR23917-164]

  • Carrier free

    Anti-CD68 antibody [EPR23917-164] – Chicken IgY (Chimeric) – BSA and Azide Free

  • 519 Alexa Fluor® 488

    Alexa Fluor® 488 Anti-CD68 antibody [EPR23917-164]

  • 578 PE

    PE Anti-CD68 antibody [EPR23917-164]

  • 519 FITC

    FITC Anti-CD68 antibody [EPR23917-164]

  • 665 Alexa Fluor® 647

    Alexa Fluor® 647 Anti-CD68 antibody [EPR23917-164]

  • 617 Alexa Fluor® 594

    Alexa Fluor® 594 Anti-CD68 antibody [EPR23917-164]

Key facts

Host species

Rabbit

Clonality

Monoclonal

Clone number

EPR23917-164

Isotype

IgG

Carrier free

Yes

Reacts with

Rat, Mouse

Applications

Flow Cyt (Intra), IHC-P, ICC/IF, IHC-Fr, mIHC, WB

applications

Immunogen

The exact immunogen used to generate this antibody is proprietary information.

Specificity

Mouse unsuitable for IHC-Fr application

Reactivity data

{ "title": "Reactivity Data", "filters": { "stats": ["", "Species", "Dilution Info", "Notes"], "tabs": { "all-applications": {"fullname" : "All Applications", "shortname": "All Applications"}, "mIHC" : {"fullname" : "Multiplex immunohistochemistry", "shortname":"mIHC"}, "ICCIF" : {"fullname" : "Immunocytochemistry/ Immunofluorescence", "shortname":"ICC/IF"}, "IP" : {"fullname" : "Immunoprecipitation", "shortname":"IP"}, "FlowCytIntra" : {"fullname" : "Flow Cytometry (Intracellular)", "shortname":"Flow Cyt (Intra)"}, "WB" : {"fullname" : "Western blot", "shortname":"WB"}, "IHCP" : {"fullname" : "Immunohistochemistry (Formalin/PFA-fixed paraffin-embedded sections)", "shortname":"IHC-P"}, "IHCFr" : {"fullname" : "Immunohistochemistry (Frozen sections)", "shortname":"IHC-Fr"} }, "product-promise": { "all": "all", "testedAndGuaranteed": "tested", "guaranteed": "expected", "predicted": "predicted", "notRecommended": "not-recommended" } }, "values": { "Human": { "mIHC-species-checked": "notRecommended", "mIHC-species-dilution-info": "", "mIHC-species-notes": "", "ICCIF-species-checked": "notRecommended", "ICCIF-species-dilution-info": "", "ICCIF-species-notes": "<p></p>", "IP-species-checked": "notRecommended", "IP-species-dilution-info": "", "IP-species-notes": "<p></p>", "FlowCytIntra-species-checked": "notRecommended", "FlowCytIntra-species-dilution-info": "", "FlowCytIntra-species-notes": "<p></p>", "WB-species-checked": "notRecommended", "WB-species-dilution-info": "", "WB-species-notes": "<p></p>", "IHCP-species-checked": "notRecommended", "IHCP-species-dilution-info": "", "IHCP-species-notes": "<p></p>", "IHCFr-species-checked": "notRecommended", "IHCFr-species-dilution-info": "", "IHCFr-species-notes": "" }, "Mouse": { "mIHC-species-checked": "testedAndGuaranteed", "mIHC-species-dilution-info": "", "mIHC-species-notes": "<p></p> Perform heat-mediated antigen retrieval with Tris/EDTA buffer pH 9.0 before commencing with IHC staining protocol.", "ICCIF-species-checked": "testedAndGuaranteed", "ICCIF-species-dilution-info": "", "ICCIF-species-notes": "<p></p>", "IP-species-checked": "notRecommended", "IP-species-dilution-info": "", "IP-species-notes": "<p></p>", "FlowCytIntra-species-checked": "testedAndGuaranteed", "FlowCytIntra-species-dilution-info": "", "FlowCytIntra-species-notes": "<p></p>", "WB-species-checked": "testedAndGuaranteed", "WB-species-dilution-info": "", "WB-species-notes": "<p></p>", "IHCP-species-checked": "testedAndGuaranteed", "IHCP-species-dilution-info": "", "IHCP-species-notes": "<p></p> Perform heat-mediated antigen retrieval with Tris/EDTA buffer pH 9.0 before commencing with IHC staining protocol.", "IHCFr-species-checked": "notRecommended", "IHCFr-species-dilution-info": "", "IHCFr-species-notes": "<p>Mouse unsuitable for IHC-Fr application</p>" }, "Rat": { "mIHC-species-checked": "guaranteed", "mIHC-species-dilution-info": "", "mIHC-species-notes": "", "ICCIF-species-checked": "guaranteed", "ICCIF-species-dilution-info": "", "ICCIF-species-notes": "", "IP-species-checked": "notRecommended", "IP-species-dilution-info": "", "IP-species-notes": "<p></p>", "FlowCytIntra-species-checked": "guaranteed", "FlowCytIntra-species-dilution-info": "", "FlowCytIntra-species-notes": "", "WB-species-checked": "testedAndGuaranteed", "WB-species-dilution-info": "", "WB-species-notes": "<p></p>", "IHCP-species-checked": "testedAndGuaranteed", "IHCP-species-dilution-info": "", "IHCP-species-notes": "<p></p> Perform heat-mediated antigen retrieval with Tris/EDTA buffer pH 9.0 before commencing with IHC staining protocol.", "IHCFr-species-checked": "testedAndGuaranteed", "IHCFr-species-dilution-info": "", "IHCFr-species-notes": "<p>Mouse unsuitable for IHC-Fr application</p>" } } }

Product details

ab283667 is the carrier-free version of ab283654.

Patented technology
Our RabMAb® technology is a patented hybridoma-based technology for making rabbit monoclonal antibodies. For details on our patents, please refer to RabMAb® patents.

What are the advantages of a recombinant monoclonal antibody?
This product is a recombinant monoclonal antibody, which offers several advantages including:

  • - High batch-to-batch consistency and reproducibility
  • - Improved sensitivity and specificity
  • - Long-term security of supply
  • - Animal-free batch production

For more information, read more on recombinant antibodies.

Conjugation ready
Our carrier-free antibodies are typically supplied in a PBS-only formulation, purified and free of BSA, sodium azide and glycerol. This conjugation-ready format is designed for use with fluorochromes, metal isotopes, oligonucleotides, and enzymes, which makes them ideal for antibody labelling, functional and cell-based assays, flow-based assays (e.g. mass cytometry) and Multiplex Imaging applications.

Use our conjugation kits for antibody conjugates that are ready-to-use in as little as 20 minutes with 1 minute hands-on-time and 100% antibody recovery: available for fluorescent dyes, HRP, biotin and gold.

Compatibility
This product is compatible with the Maxpar® Antibody Labeling Kit from Fluidigm, without the need for antibody preparation. Maxpar® is a trademark of Fluidigm Canada Inc.

Properties and storage information

Form
Liquid
Purification technique
Affinity purification Protein A
Storage buffer
pH: 7.2 - 7.4 Constituents: PBS
Shipped at conditions
Blue Ice
Appropriate short-term storage conditions
+4°C
Appropriate long-term storage conditions
+4°C

Supplementary information

This supplementary information is collated from multiple sources and compiled automatically.

CD68 is a glycoprotein that functions as a scavenger receptor. It plays an important role in the regulation of cellular debris and apoptotic cell clearance. Researchers often refer to it as KP1 or macrosialin in the literature. CD68 with a molecular weight of approximately 110 kDa is highly expressed in macrophages and monocytes. The mucin-like structure of CD68 allows it to be heavily glycosylated which aids in its function. Researchers detect CD68 in tissues through methods like immunohistochemistry (IHC) immunofluorescence and CD68 staining and it is widely used as a macrophage marker in research.
Biological function summary

CD68 facilitates functions associated with the innate immune response. It serves as an important part of macrophages which contribute to immune surveillance and tissue homeostasis. Though it primarily operates on its own in some contexts CD68 might assist in forming complexes with other receptors to modulate phagocytic activity. This target is significant in atherosclerotic plaque stability as macrophages engulf lipids and cell debris through processes facilitated by CD68.

Pathways

CD68 is involved in pathways connected to inflammation and phagocytosis. The CD68 protein works closely with other scavenger receptors like CD36 to mediate uptake of oxidized low-density lipoproteins (oxLDL) in the lipid metabolism pathway. Additionally CD68 engagement can influence the toll-like receptor (TLR) signaling pathways thereby linking innate immunity and inflammatory responses critical for host defense and disease progression.

CD68 is associated with atherosclerosis and multiple sclerosis. In atherosclerosis its role becomes evident as it accumulates in macrophages within the plaques making it a marker of disease severity. In multiple sclerosis CD68 expression in macrophages and microglia indicates active demyelination and inflammation. It also relates to proteins such as CD36 in atherosclerosis where both mediate the uptake of modified LDL contributing to foam cell formation in plaques.

Product protocols

For this product, it's our understanding that no specific protocols are required. You can visit:

Target data

Could play a role in phagocytic activities of tissue macrophages, both in intracellular lysosomal metabolism and extracellular cell-cell and cell-pathogen interactions. Binds to tissue- and organ-specific lectins or selectins, allowing homing of macrophage subsets to particular sites. Rapid recirculation of CD68 from endosomes and lysosomes to the plasma membrane may allow macrophages to crawl over selectin-bearing substrates or other cells.
See full target information Cd68

Publications (2)

Recent publications for all applications. Explore the full list and refine your search

Communications biology 8:1040 PubMed40640354

2025

Fortilin deficiency induces anti-atherosclerotic phenotypes in macrophages and protects hypercholesterolemic mice against atherosclerosis.

Applications

Unspecified application

Species

Unspecified reactive species

Nattaporn Wanachottrakul,Decha Pinkaew,Sandipan Mukherjee,Preedakorn Chunhacha,Mari Nakashima,Asa A Brockman,Uttariya Pal,Hasseri B Halim,Yuhong Wei,Lena Tanaka,Hanna Huynh,Kota Ramana,Shiyou Chen,Rebecca A Ihrie,Ken Fujise

Nature communications 15:5985 PubMed39013850

2024

Aging aggravates aortic aneurysm and dissection via miR-1204-MYLK signaling axis in mice.

Applications

Unspecified application

Species

Unspecified reactive species

Ze-Long Liu,Yan Li,Yi-Jun Lin,Mao-Mao Shi,Meng-Xia Fu,Zhi-Qing Li,Da-Sheng Ning,Xiang-Ming Zeng,Xiang Liu,Qing-Hua Cui,Yue-Ming Peng,Xin-Min Zhou,Ye-Rong Hu,Jia-Sheng Liu,Yu-Jia Liu,Mian Wang,Chun-Xiang Zhang,Wei Kong,Zhi-Jun Ou,Jing-Song Ou
View all publications

Product promise

We are committed to supporting your work with high-quality reagents, and we're here for you every step of the way. In the unlikely event that one of our products does not perform as expected, you're protected by our Product Promise.
For full details, please see our Terms & Conditions

Please note: All products are 'FOR RESEARCH USE ONLY. NOT FOR USE IN DIAGNOSTIC OR THERAPEUTIC PROCEDURES'.

For licensing inquiries, please contact partnerships@abcam.com