JavaScript is disabled in your browser. Please enable JavaScript to view this website.
AB192847

Anti-CD68 antibody [SP251]

  • BOND RX™ Validated
  • RabMAb
  • Recombinant
  • Lab Essentials
  • 20ul selling size
  • Advanced Validation
  • What is this?

5

(2 Reviews)

|

(17 Publications)

Anti-CD68 antibody [SP251] (ab192847) is a rabbit monoclonal antibody detecting CD68 in Flow Cytometry, IHC-P, mIHC. Suitable for Human.

- Multiplex IHC validated on the Leica BOND® MAX using Opal reagents
- Biophysical QC for unrivalled batch-batch consistency

View Alternative Names

CD68, Macrosialin, Gp110

7 Images
Multiplex immunohistochemistry - Anti-CD68 antibody [SP251] (AB192847)
  • mIHC

Collaborator

Multiplex immunohistochemistry - Anti-CD68 antibody [SP251] (AB192847)

10-color fluorescence multiplex immunohistochemical analysis of human lung cancer tissue (formalin-fixed paraffin-embedded section).

Merged staining of anti-FOXP3 (ab215206; Cyan; TG540N), anti-PD1 (ab52587; Red; TG700N), anti-CD163 (ab182422; Brown; TG650N), anti-HLA-DR (ab92511; Yellow; TG570N), anti-CD4 (ab133616; Violet; TG620N), anti-CD8 alpha (ab101500; Purple; TG540S), anti-CD20 (ab9475; Grey; TG660S), anti-CD68 (ab192847; Green; TG520N), anti-Cytokeratin 19 (ab52625; Light blue; TG440N). TG470SN (dark blue) was used as a nuclear counter stain. The inset image shows the separate CD68 signal.

The section was incubated in nine rounds of staining; in the order of ab215206 (1/100 dilution), ab52587 (1/200 dilution), ab182422 (1/300 dilution), ab92511 (1/200 dilution), ab133616 (1/600 dilution), ab101500 (1/300 dilution), ab9475 (1/100 dilution), ab192847 (1/300 dilution), ab52625 (1/400 dilution); each using a separate fluorescent tyramide signal amplification system.

Sodium citrate antigen retrieval (pH6.0) was used in between rounds of tyramide signal amplification to remove the antibody from the previous round, to avoid any cross-reactivity.

Image acquisition was performed with TissueFAXS Spectra (TissueGnostics).

This image is courtesy of TissueGnostics Asia Pacific Limited

Multiplex immunohistochemistry - Anti-CD68 antibody [SP251] (AB192847)
  • mIHC

Lab

Multiplex immunohistochemistry - Anti-CD68 antibody [SP251] (AB192847)

Chromogenic multiplex immunohistochemical staining of FFPE normal human tonsil tissue. ab16667 anti-Ki67 DAB chromogen. ab16669 anti-CD3 epsilon purple chromogen and ab192847 anti-CD68 teal chromogen plus haematoxylin II counterstain. Chromogenic immunostaining was performed on a Roche Ventana Benchmark Ultra instrument. The section was deparaffinised and incubated with CC1 solution for 24min 100°C. Following this with 3 rounds of staining in the order of ab16667 (1/500 dilution), ab192847 (1/4000 dilution) and ab16669 (1/1000 dilution). Between rounds of staining antibody denaturation was conducted using Ultra CC2 solution for 8min at 100oC to avoid cross reactivity. Signal was developed with anti-rabbit HQ followed by anti-HQ HRP coupled with Chromomap DAB kit Discovery purple or Discovery teal chromogens and haematoxylin II counterstain.

Flow Cytometry - Anti-CD68 antibody [SP251] (AB192847)
  • Flow Cyt

Supplier Data

Flow Cytometry - Anti-CD68 antibody [SP251] (AB192847)

Flow cytometric analysis of Raji (human Burkitt's lymphoma cell line) cells labeling CD68 with ab192847 at 1/100 dilution (green) compared with a negative control rabbit IgG (blue).

Immunohistochemistry (Formalin/PFA-fixed paraffin-embedded sections) - Anti-CD68 antibody [SP251] (AB192847)
  • IHC-P

Lab

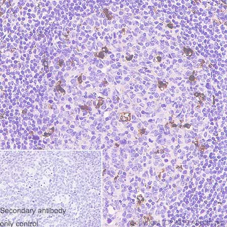
Immunohistochemistry (Formalin/PFA-fixed paraffin-embedded sections) - Anti-CD68 antibody [SP251] (AB192847)

Immunohistochemical analysis of formalin fixed paraffin (FFPE) embedded tonsil labelling CD68 with ab192847 at a dilution of 1/600. The immunostaining was performed on a Ventana DISCOVERY ULTRA (Roche Tissue Diagnostics) instrument with an ChromoMap DAB (RUO) IHC Detection Kit with anti rabbit HQ and anti HQ HRP. Heat mediated antigen retrieval was conducted for 24 min with DISCOVERY cell conditioning solution (CC1) 100°C, pH 8.5. ab192847 was incubated at 37°C for 16 min. Sections were counterstained is with Hematoxylin II. Image inset shows absence of staining in secondary antibody only control.

Immunohistochemistry (Formalin/PFA-fixed paraffin-embedded sections) - Anti-CD68 antibody [SP251] (AB192847)
  • IHC-P

Unknown

Immunohistochemistry (Formalin/PFA-fixed paraffin-embedded sections) - Anti-CD68 antibody [SP251] (AB192847)

Formalin-fixed paraffin-embedded human tonsil tissue stained for CD68 using ab192847 at 1/100 dilution in immunohistochemical analysis.

Immunohistochemistry (Formalin/PFA-fixed paraffin-embedded sections) - Anti-CD68 antibody [SP251] (AB192847)
  • IHC-P

Lab

Immunohistochemistry (Formalin/PFA-fixed paraffin-embedded sections) - Anti-CD68 antibody [SP251] (AB192847)

Immunohistochemistry (Formalin/PFA-fixed paraffin-embedded sections) analysis of human tonsil tissue sections labeling CD68 with ab192847 at 1/100 dilution (0.184 μg/ml) (incubated for 10 minutes at room temperature). Heat mediated antigen retrieval was performed with sodium citrate buffer (pH 6.0 epitope retrieval solution 1) for 20 minutes. Goat Anti-Rabbit & Mouse IgG (HRP) was used as the secondary antibody. Hematoxylin was used as a counterstain. Negative control : PBS instead of the primary antibody.

Positive staining on the macrophages in human tonsil performed on a Leica Biosystems BOND® RX instrument.

Multiplex immunohistochemistry - Anti-CD68 antibody [SP251] (AB192847)
  • mIHC

Supplier Data

Multiplex immunohistochemistry - Anti-CD68 antibody [SP251] (AB192847)

Fluorescence multiplex immunohistochemical analysis of normal human tonsil tissue (formalin-fixed paraffin-embedded section).

Merged staining of anti-PD1 (ab237728; orange; Opal™520) anti-PDL1 (ab237726; green; Opal™540) anti-CD68 (ab192847; yellow; Opal™570) anti-CD3 epsilon (ab16669; red; Opal™620) anti-Ki67 (ab16667; light blue; Opal™650) and anti-PanCK (ab7753; grey; Opal™690).

The immunostaining was performed on a Leica Biosystems BOND® RX instrument with an Opal™ 7-color automation IHC kit (NEL821001KT Akoya Biosciences®).

The section was incubated in six rounds of staining; in the order of ab237728 (1/500 dilution), ab237726 (1/500 dilution), ab192847 (1/300 dilution), ab16669 (1/300 dilution), ab16667 (1/200 dilution) and ab7753 (1/200 dilution); each using a separate fluorescent tyramide signal amplification system.

Sodium citrate antigen retrieval (Leica ER1 pH6.0 30 minutes) was used in between rounds of tyramide signal amplification to remove the antibody from the previous round to avoid any cross-reactivity.

DAPI (dark blue) was used as a nuclear counter stain.

Microscopy and pseudocoloring of individual Opal™ dyes was performed using a Vectra Polaris.

Key facts

Host species

Rabbit

Clonality

Monoclonal

Clone number

SP251

Isotype

IgG

Carrier free

No

Reacts with

Human

Applications

mIHC, IHC-P, Flow Cyt

applications

Immunogen

The exact immunogen used to generate this antibody is proprietary information.

Reactivity data

{ "title": "Reactivity Data", "filters": { "stats": ["", "Species", "Dilution Info", "Notes"], "tabs": { "all-applications": {"fullname" : "All Applications", "shortname": "All Applications"}, "FlowCyt" : {"fullname" : "Flow Cytometry", "shortname":"Flow Cyt"}, "mIHC" : {"fullname" : "Multiplex immunohistochemistry", "shortname":"mIHC"}, "IHCP" : {"fullname" : "Immunohistochemistry (Formalin/PFA-fixed paraffin-embedded sections)", "shortname":"IHC-P"} }, "product-promise": { "all": "all", "testedAndGuaranteed": "tested", "guaranteed": "expected", "predicted": "predicted", "notRecommended": "not-recommended" } }, "values": { "Human": { "FlowCyt-species-checked": "testedAndGuaranteed", "FlowCyt-species-dilution-info": "1/100", "FlowCyt-species-notes": "<p>Incubate with primary antibody for 30 minutes at 4 °C.</p>", "mIHC-species-checked": "testedAndGuaranteed", "mIHC-species-dilution-info": "1/300", "mIHC-species-notes": "<p></p>", "IHCP-species-checked": "testedAndGuaranteed", "IHCP-species-dilution-info": "1/100", "IHCP-species-notes": "<p>Boil tissue section in citrate buffer, pH 6.0 for 10 minutes followed by cooling at room temperature for 20 minutes.</p><p>Incubate with primary antibody for 10 minutes at room temperature.</p><p><strong>Recommend Hu species. </strong>IHC result showed staining on the macrophages in the human tissues such as tonsil, spleen and colon. The mouse and rat tissues showed no staining.</p>" } } }

Product details

What is this antibody validated in?
Anti-CD68 antibody [SP251] (ab192847) is a rabbit recombinant monoclonal antibody and is validated for use in Flow Cytometry (Flow Cyt), Immunohistochemistry (IHC-P), Multiplex IHC (mIHC) in Human samples.

Collaboration
Anti-CD68 [SP251] (ab192847) is a clone from the portfolio of Spring Bioscience (Roche) SP clones which have been optimised for immunohistochemistry (IHC).

Trial sizes available!
Test your antibody or perform pre-screening before committing to a larger quantity. Sold in 20µl. Discover our selection of trial-size antibodies.

Other related products
We have a range of other formats of antibody clone [SP251] also available for your convenience: ab192847, Carrier free - ab271959, Oligonucleotide - ab279358, PE - ab303134, APC - ab303135, HRP - ab303136, Alkaline Phosphatase - ab308997, Alexa Fluor® 488 - ab309940, Alexa Fluor® 647 - ab310307, Alexa Fluor® 594 - ab310770, Alexa Fluor® 555 - ab312297, Alexa Fluor® 568 - ab312792, Alexa Fluor® 750 - ab321328

Patented technology
Our RabMAb® technology is a patented hybridoma-based technology for making rabbit monoclonal antibodies. For details on our patents, please refer to RabMAb® patents.

What are the advantages of a recombinant monoclonal antibody?
This product is a recombinant monoclonal antibody, which offers several advantages including:

  • - High batch-to-batch consistency and reproducibility
  • - Improved sensitivity and specificity
  • - Long-term security of supply
  • - Animal-free batch production

For more information, read more on recombinant antibodies.

Properties and storage information

Form
Liquid
Purification technique
Affinity purification Protein A
Storage buffer
pH: 7.2 - 7.4 Preservative: 0.1% Sodium azide Constituents: PBS, 1% BSA
Shipped at conditions
Blue Ice
Appropriate short-term storage duration
1-2 weeks
Appropriate short-term storage conditions
+4°C
Appropriate long-term storage conditions
-20°C
Aliquoting information
Upon delivery aliquot
Storage information
Avoid freeze / thaw cycle

Supplementary information

This supplementary information is collated from multiple sources and compiled automatically.

CD68 is a glycoprotein that functions as a scavenger receptor. It plays an important role in the regulation of cellular debris and apoptotic cell clearance. Researchers often refer to it as KP1 or macrosialin in the literature. CD68 with a molecular weight of approximately 110 kDa is highly expressed in macrophages and monocytes. The mucin-like structure of CD68 allows it to be heavily glycosylated which aids in its function. Researchers detect CD68 in tissues through methods like immunohistochemistry (IHC) immunofluorescence and CD68 staining and it is widely used as a macrophage marker in research.
Biological function summary

CD68 facilitates functions associated with the innate immune response. It serves as an important part of macrophages which contribute to immune surveillance and tissue homeostasis. Though it primarily operates on its own in some contexts CD68 might assist in forming complexes with other receptors to modulate phagocytic activity. This target is significant in atherosclerotic plaque stability as macrophages engulf lipids and cell debris through processes facilitated by CD68.

Pathways

CD68 is involved in pathways connected to inflammation and phagocytosis. The CD68 protein works closely with other scavenger receptors like CD36 to mediate uptake of oxidized low-density lipoproteins (oxLDL) in the lipid metabolism pathway. Additionally CD68 engagement can influence the toll-like receptor (TLR) signaling pathways thereby linking innate immunity and inflammatory responses critical for host defense and disease progression.

CD68 is associated with atherosclerosis and multiple sclerosis. In atherosclerosis its role becomes evident as it accumulates in macrophages within the plaques making it a marker of disease severity. In multiple sclerosis CD68 expression in macrophages and microglia indicates active demyelination and inflammation. It also relates to proteins such as CD36 in atherosclerosis where both mediate the uptake of modified LDL contributing to foam cell formation in plaques.

Product protocols

For this product, it's our understanding that no specific protocols are required. You can visit:

Target data

Could play a role in phagocytic activities of tissue macrophages, both in intracellular lysosomal metabolism and extracellular cell-cell and cell-pathogen interactions. Binds to tissue- and organ-specific lectins or selectins, allowing homing of macrophage subsets to particular sites. Rapid recirculation of CD68 from endosomes and lysosomes to the plasma membrane may allow macrophages to crawl over selectin-bearing substrates or other cells.
See full target information CD68

Publications (17)

Recent publications for all applications. Explore the full list and refine your search

JCO precision oncology 9:e2500404 PubMed40749151

2025

Mucin 16-Directed Therapy in Pediatric Sarcomas: Case Evidence of Ubamatamab Efficacy in Epithelioid Sarcoma and Its Implications for Other Sarcoma Subtypes.

Applications

Unspecified application

Species

Unspecified reactive species

Denise M Connolly,Gabriel Revon-Rivière,Rose Chami,Denise Mills,Ailish C Coblentz,Thomas S Uldrick,David A Knorr,Priscila Goncalves,Michael Dobosz,Sumreen Jalal,Sarah Cohen-Gogo,Daniel A Morgenstern

Frontiers in immunology 16:1600527 PubMed40443651

2025

Integrated multi-omics profiling to establish an IGFBP-based prognostic score for pancreatic ductal adenocarcinoma: unraveling prognostic biomarkers, immune microenvironment crosstalk, and therapeutic implications.

Applications

Unspecified application

Species

Unspecified reactive species

Xiao Guan,Yongrun Mu,Xin Jin,Chengfeng Wang

Frontiers in oncology 15:1520948 PubMed40182033

2025

Polysialic acid is upregulated on activated immune cells and negatively regulates anticancer immune activity.

Applications

Unspecified application

Species

Unspecified reactive species

Olivia Drummond-Guy,John Daly,Angeline Wu,Natalie Stewart,Katy Milne,Chloe Duff,Brad H Nelson,Karla C Williams,Simon Wisnovsky

Scientific reports 15:6618 PubMed39994268

2025

Development and validation of an Immune-related Gene-based model for predicting prognosis and immunotherapy outcomes in hepatocellular carcinoma patients.

Applications

Unspecified application

Species

Unspecified reactive species

Penghui You,Xiaoling Liu,Min Wang,Yanbing Zhan,Lihong Chen,Yi Chen

Therapeutic advances in gastroenterology 17:17562848241309445 PubMed39735350

2024

CD8+ cell dominance in immune checkpoint inhibitor-induced colitis and its heterogeneity across endoscopic features.

Applications

Unspecified application

Species

Unspecified reactive species

Min Kyu Kim,Hye-Nam Son,Seung Wook Hong,Sang Hyoung Park,Dong-Hoon Yang,Byong Duk Ye,Jeong-Sik Byeon,Seung-Jae Myung,Suk-Kyun Yang,Shinkyo Yoon,Sung Wook Hwang

Genome medicine 16:138 PubMed39593114

2024

Integrated analyses of multi-omic data derived from paired primary lung cancer and brain metastasis reveal the metabolic vulnerability as a novel therapeutic target.

Applications

Unspecified application

Species

Unspecified reactive species

Hao Duan,Jianlan Ren,Shiyou Wei,Zhenyu Yang,Chuan Li,Zhenning Wang,Meichen Li,Zhi Wei,Yu Liu,Xiuqi Wang,Hongbin Lan,Zhen Zeng,Maodi Xie,Yuan Xie,Suwen Wu,Wanming Hu,Chengcheng Guo,Xiangheng Zhang,Lun Liang,Chengwei Yu,Yanhao Mou,Yu Jiang,Houde Li,Eric Sugarman,Rebecca A Deek,Zexin Chen,Tao Li,Yaohui Chen,Maojin Yao,Likun Chen,Lunxu Liu,Gao Zhang,Yonggao Mou

Experimental & molecular medicine 56:2382-2394 PubMed39482530

2024

Proteogenomic analysis dissects early-onset breast cancer patients with prognostic relevance.

Applications

Unspecified application

Species

Unspecified reactive species

Kyong-Ah Yoon,Youngwook Kim,So-Youn Jung,Jin-Sun Ryu,Kyung-Hee Kim,Eun-Gyeong Lee,Heejung Chae,Youngmee Kwon,Jaegil Kim,Jong Bae Park,Sun-Young Kong

Experimental hematology & oncology 13:106 PubMed39468696

2024

Spatial immunogenomic patterns associated with lymph node metastasis in lung adenocarcinoma.

Applications

Unspecified application

Species

Unspecified reactive species

Fanjie Meng,Hao Li,Ruoyi Jin,Airong Yang,Hao Luo,Xiao Li,Peiyu Wang,Yaxing Zhao,Olga Chervova,Kaicheng Tang,Sida Cheng,Bin Hu,Yun Li,Jianpeng Sheng,Fan Yang,David Carbone,Kezhong Chen,Jun Wang

Translational oncology 50:102154 PubMed39405605

2024

First in human intraarterial delivery of tislelizumab for the treatment of pMMR locally advanced rectal cancer: A single-arm, open label, phase II clinical trial.

Applications

Unspecified application

Species

Unspecified reactive species

Weina Yang,Chengyuan Qian,Jiamin Luo,Chuan Chen,Yan Feng,Nan Dai,Xuemei Li,He Xiao,Yuxin Yang,Mengxia Li,Chunxue Li,Dong Wang

International journal of molecular sciences 25: PubMed39337395

2024

Metabolomics-Based Study of the Protective Effect of 4-Hydroxybenzyl Alcohol on Ischemic Astrocytes.

Applications

Unspecified application

Species

Unspecified reactive species

Tian Xiao,Xingzhi Yu,Jie Tao,Liping Yang,Xiaohua Duan
View all publications

Product promise

We are committed to supporting your work with high-quality reagents, and we're here for you every step of the way. In the unlikely event that one of our products does not perform as expected, you're protected by our Product Promise.
For full details, please see our Terms & Conditions

Please note: All products are 'FOR RESEARCH USE ONLY. NOT FOR USE IN DIAGNOSTIC OR THERAPEUTIC PROCEDURES'.

For licensing inquiries, please contact partnerships@abcam.com