JavaScript is disabled in your browser. Please enable JavaScript to view this website.
AB271959

Anti-CD68 antibody [SP251] - BSA and Azide free

  • BOND RX™ Validated
  • RabMAb
  • Advanced Validation
  • Recombinant
  • What is this?

Be the first to review this product! Submit a review

|

(0 Publication)

Rabbit Recombinant Monoclonal CD68 antibody. Carrier free. Suitable for Flow Cyt, mIHC, IHC-P and reacts with Human samples.

View Alternative Names

CD68, Macrosialin, Gp110

5 Images
Multiplex immunohistochemistry - Anti-CD68 antibody [SP251] - BSA and Azide free (AB271959)
  • mIHC

Collaborator

Multiplex immunohistochemistry - Anti-CD68 antibody [SP251] - BSA and Azide free (AB271959)

This data was developed using the same antibody clone in a different buffer formulation containing PBS, BSA, glycerol, and sodium azide (ab192847).

10-color fluorescence multiplex immunohistochemical analysis of human lung cancer tissue (formalin-fixed paraffin-embedded section).

Merged staining of anti-FOXP3 (ab215206; Cyan; TG540N), anti-PD1 (ab52587; Red; TG700N), anti-CD163 (ab182422; Brown; TG650N), anti-HLA-DR (ab92511; Yellow; TG570N), anti-CD4 (ab133616; Violet; TG620N), anti-CD8 alpha (ab101500; Purple; TG540S), anti-CD20 (ab9475; Grey; TG660S), anti-CD68 (ab192847; Green; TG520N), anti-Cytokeratin 19 (ab52625; Light blue; TG440N). TG470SN (dark blue) was used as a nuclear counter stain. The inset image shows the separate CD68 signal.

The section was incubated in nine rounds of staining; in the order of ab215206 (1/100 dilution), ab52587 (1/200 dilution), ab182422 (1/300 dilution), ab92511 (1/200 dilution), ab133616 (1/600 dilution), ab101500 (1/300 dilution), ab9475 (1/100 dilution), ab192847 (1/300 dilution), ab52625 (1/400 dilution); each using a separate fluorescent tyramide signal amplification system.

Sodium citrate antigen retrieval (pH6.0) was used in between rounds of tyramide signal amplification to remove the antibody from the previous round, to avoid any cross-reactivity.

Image acquisition was performed with TissueFAXS Spectra (TissueGnostics).

This image is courtesy of TissueGnostics Asia Pacific Limited

Flow Cytometry - Anti-CD68 antibody [SP251] - BSA and Azide free (AB271959)
  • Flow Cyt

Supplier Data

Flow Cytometry - Anti-CD68 antibody [SP251] - BSA and Azide free (AB271959)

Flow cytometric analysis of Raji (human Burkitt's lymphoma cell line) cells labeling CD68 with ab192847 at 1/100 dilution (green) compared with a negative control rabbit IgG (blue).

This data was developed using the same antibody clone in a different buffer formulation containing PBS, BSA, glycerol, and sodium azide (ab192847).

Immunohistochemistry (Formalin/PFA-fixed paraffin-embedded sections) - Anti-CD68 antibody [SP251] - BSA and Azide free (AB271959)
  • IHC-P

Unknown

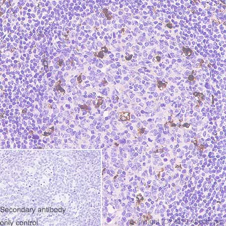
Immunohistochemistry (Formalin/PFA-fixed paraffin-embedded sections) - Anti-CD68 antibody [SP251] - BSA and Azide free (AB271959)

Formalin-fixed, paraffin-embedded human tonsil tissue stained for CD68 using ab192847 at 1/100 dilution in immunohistochemical analysis.

This data was developed using the same antibody clone in a different buffer formulation containing PBS, BSA, glycerol, and sodium azide (ab192847).

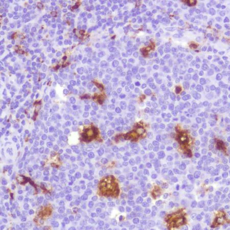
Immunohistochemistry (Formalin/PFA-fixed paraffin-embedded sections) - Anti-CD68 antibody [SP251] - BSA and Azide free (AB271959)
  • IHC-P

Lab

Immunohistochemistry (Formalin/PFA-fixed paraffin-embedded sections) - Anti-CD68 antibody [SP251] - BSA and Azide free (AB271959)

Immunohistochemistry (Formalin/PFA-fixed paraffin-embedded sections) analysis of human tonsil tissue sections labeling CD68 with ab192847 at 1/100 dilution (0.184 μg/ml) (incubated for 10 minutes at room temperature). Heat mediated antigen retrieval was performed with sodium citrate buffer (pH 6.0, epitope retrieval solution 1) for 20 minutes. Goat Anti-Rabbit & Mouse IgG (HRP) was used as the secondary antibody. Hematoxylin was used as a counterstain. Negative control : PBS instead of the primary antibody.

Positive staining on the macrophages in human tonsil, performed on a Leica Biosystems BOND® RX instrument.

This data was developed using the same antibody clone in a different buffer formulation containing PBS, BSA, glycerol, and sodium azide (ab192847).

Multiplex immunohistochemistry - Anti-CD68 antibody [SP251] - BSA and Azide free (AB271959)
  • mIHC

Supplier Data

Multiplex immunohistochemistry - Anti-CD68 antibody [SP251] - BSA and Azide free (AB271959)

Fluorescence multiplex immunohistochemical analysis of normal human tonsil tissue (formalin-fixed paraffin-embedded section).

Merged staining of anti-PD1 (ab237728; orange; Opal™520) anti-PDL1 (ab237726; green; Opal™540) anti-CD68 (ab192847; yellow; Opal™570) anti-CD3 epsilon (ab16669; red; Opal™620) anti-Ki67 (ab16667; light blue; Opal™650) and anti-PanCK (ab7753; grey; Opal™690).

The immunostaining was performed on a Leica Biosystems BOND® RX instrument with an Opal™ 7-color automation IHC kit (NEL821001KT Akoya Biosciences®).

The section was incubated in six rounds of staining; in the order of ab237728 (1/500 dilution), ab237726 (1/500 dilution), ab192847 (1/300 dilution), ab16669 (1/300 dilution), ab16667 (1/200 dilution) and ab7753 (1/200 dilution); each using a separate fluorescent tyramide signal amplification system.

Sodium citrate antigen retrieval (Leica ER1 pH6.0 30 minutes) was used in between rounds of tyramide signal amplification to remove the antibody from the previous round to avoid any cross-reactivity.

DAPI (dark blue) was used as a nuclear counter stain.

Microscopy and pseudocoloring of individual Opal™ dyes was performed using a Vectra Polaris.

This data was developed using the same antibody clone in a different buffer formulation containing PBS, BSA, glycerol, and sodium azide (ab192847).

Key facts

Host species

Rabbit

Clonality

Monoclonal

Clone number

SP251

Isotype

IgG

Carrier free

Yes

Reacts with

Human

Applications

mIHC, IHC-P, Flow Cyt

applications

Immunogen

The exact immunogen used to generate this antibody is proprietary information.

Reactivity data

{ "title": "Reactivity Data", "filters": { "stats": ["", "Species", "Dilution Info", "Notes"], "tabs": { "all-applications": {"fullname" : "All Applications", "shortname": "All Applications"}, "FlowCyt" : {"fullname" : "Flow Cytometry", "shortname":"Flow Cyt"}, "mIHC" : {"fullname" : "Multiplex immunohistochemistry", "shortname":"mIHC"}, "IHCP" : {"fullname" : "Immunohistochemistry (Formalin/PFA-fixed paraffin-embedded sections)", "shortname":"IHC-P"} }, "product-promise": { "all": "all", "testedAndGuaranteed": "tested", "guaranteed": "expected", "predicted": "predicted", "notRecommended": "not-recommended" } }, "values": { "Human": { "FlowCyt-species-checked": "testedAndGuaranteed", "FlowCyt-species-dilution-info": "", "FlowCyt-species-notes": "<p>Incubate with primary antibody for 30 minutes at 4 °;C.</p>", "mIHC-species-checked": "testedAndGuaranteed", "mIHC-species-dilution-info": "", "mIHC-species-notes": "<p></p>", "IHCP-species-checked": "testedAndGuaranteed", "IHCP-species-dilution-info": "", "IHCP-species-notes": "<p>Boil tissue section in citrate buffer, pH 6.0 for 10 minutes followed by cooling at room temperature for 20 minutes.Incubate with primary antibody for 10 minutes at room temperature.Recommend Hu species. IHC result showed staining on the macrophages in the human tissues such as tonsil, spleen and colon. The mouse and rat tissues showed no staining.</p>" } } }

Product details

ab271959 is the carrier-free version of ab192847.

Patented technology
Our RabMAb® technology is a patented hybridoma-based technology for making rabbit monoclonal antibodies. For details on our patents, please refer to RabMAb® patents.

What are the advantages of a recombinant monoclonal antibody?
This product is a recombinant monoclonal antibody, which offers several advantages including:

  • - High batch-to-batch consistency and reproducibility
  • - Improved sensitivity and specificity
  • - Long-term security of supply
  • - Animal-free batch production

For more information, read more on recombinant antibodies.

Conjugation ready
Our carrier-free antibodies are typically supplied in a PBS-only formulation, purified and free of BSA, sodium azide and glycerol. This conjugation-ready format is designed for use with fluorochromes, metal isotopes, oligonucleotides, and enzymes, which makes them ideal for antibody labelling, functional and cell-based assays, flow-based assays (e.g. mass cytometry) and Multiplex Imaging applications.

Use our conjugation kits for antibody conjugates that are ready-to-use in as little as 20 minutes with 1 minute hands-on-time and 100% antibody recovery: available for fluorescent dyes, HRP, biotin and gold.

Compatibility
This product is compatible with the Maxpar® Antibody Labeling Kit from Fluidigm, without the need for antibody preparation. Maxpar® is a trademark of Fluidigm Canada Inc.

Properties and storage information

Form
Liquid
Purification technique
Affinity purification Protein A
Storage buffer
pH: 7.2 - 7.4 Constituents: PBS
Shipped at conditions
Blue Ice
Appropriate short-term storage conditions
+4°C
Appropriate long-term storage conditions
+4°C
Storage information
Do Not Freeze

Supplementary information

This supplementary information is collated from multiple sources and compiled automatically.

CD68 is a glycoprotein that functions as a scavenger receptor. It plays an important role in the regulation of cellular debris and apoptotic cell clearance. Researchers often refer to it as KP1 or macrosialin in the literature. CD68 with a molecular weight of approximately 110 kDa is highly expressed in macrophages and monocytes. The mucin-like structure of CD68 allows it to be heavily glycosylated which aids in its function. Researchers detect CD68 in tissues through methods like immunohistochemistry (IHC) immunofluorescence and CD68 staining and it is widely used as a macrophage marker in research.
Biological function summary

CD68 facilitates functions associated with the innate immune response. It serves as an important part of macrophages which contribute to immune surveillance and tissue homeostasis. Though it primarily operates on its own in some contexts CD68 might assist in forming complexes with other receptors to modulate phagocytic activity. This target is significant in atherosclerotic plaque stability as macrophages engulf lipids and cell debris through processes facilitated by CD68.

Pathways

CD68 is involved in pathways connected to inflammation and phagocytosis. The CD68 protein works closely with other scavenger receptors like CD36 to mediate uptake of oxidized low-density lipoproteins (oxLDL) in the lipid metabolism pathway. Additionally CD68 engagement can influence the toll-like receptor (TLR) signaling pathways thereby linking innate immunity and inflammatory responses critical for host defense and disease progression.

CD68 is associated with atherosclerosis and multiple sclerosis. In atherosclerosis its role becomes evident as it accumulates in macrophages within the plaques making it a marker of disease severity. In multiple sclerosis CD68 expression in macrophages and microglia indicates active demyelination and inflammation. It also relates to proteins such as CD36 in atherosclerosis where both mediate the uptake of modified LDL contributing to foam cell formation in plaques.

Product protocols

For this product, it's our understanding that no specific protocols are required. You can visit:

Target data

Could play a role in phagocytic activities of tissue macrophages, both in intracellular lysosomal metabolism and extracellular cell-cell and cell-pathogen interactions. Binds to tissue- and organ-specific lectins or selectins, allowing homing of macrophage subsets to particular sites. Rapid recirculation of CD68 from endosomes and lysosomes to the plasma membrane may allow macrophages to crawl over selectin-bearing substrates or other cells.
See full target information CD68

Product promise

We are committed to supporting your work with high-quality reagents, and we're here for you every step of the way. In the unlikely event that one of our products does not perform as expected, you're protected by our Product Promise.
For full details, please see our Terms & Conditions

Please note: All products are 'FOR RESEARCH USE ONLY. NOT FOR USE IN DIAGNOSTIC OR THERAPEUTIC PROCEDURES'.

For licensing inquiries, please contact partnerships@abcam.com