JavaScript is disabled in your browser. Please enable JavaScript to view this website.
AB233395

Anti-CD69 antibody [EPR21811]

Be the first to review this product! Submit a review

|

(1 Publication)

Rabbit Recombinant Monoclonal CD69 antibody. Suitable for WB, IHC-P and reacts with Human samples. Cited in 1 publication.

View Alternative Names

CD69, CLEC2C, Early activation antigen CD69, Activation inducer molecule, BL-AC/P26, C-type lectin domain family 2 member C, EA1, Early T-cell activation antigen p60, GP32/28, Leukocyte surface antigen Leu-23, MLR-3, AIM

4 Images
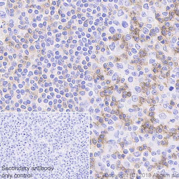
Immunohistochemistry (Formalin/PFA-fixed paraffin-embedded sections) - Anti-CD69 antibody [EPR21811] (AB233395)
  • IHC-P

Supplier Data

Immunohistochemistry (Formalin/PFA-fixed paraffin-embedded sections) - Anti-CD69 antibody [EPR21811] (AB233395)

Immunohistochemical analysis of paraffin-embedded human tonsil tissue labeling CD69 with ab233395 at 1/250 dilution, followed by Goat Anti-Rabbit IgG H&L (HRP) Ready to use. Membranous and cytoplasmic staining in lymphoid cells of human tonsil (PMID : 2807372). Counter stained with Hematoxylin.

Secondary antibody only control : Used PBS instead of primary antibody, secondary antibody is Goat Anti-Rabbit IgG H&L (HRP) Ready to use.

Heat mediated antigen retrieval was performed with Tris/EDTA buffer pH 9.0 before commencing with IHC staining protocol.

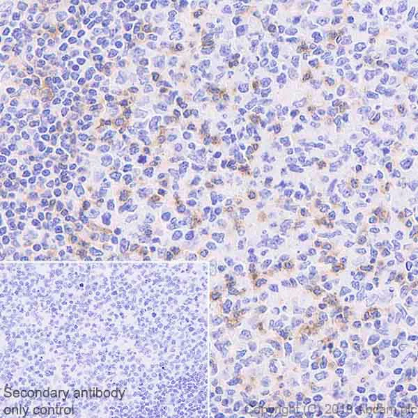
Immunohistochemistry (Formalin/PFA-fixed paraffin-embedded sections) - Anti-CD69 antibody [EPR21811] (AB233395)
  • IHC-P

Supplier Data

Immunohistochemistry (Formalin/PFA-fixed paraffin-embedded sections) - Anti-CD69 antibody [EPR21811] (AB233395)

Immunohistochemical analysis of paraffin-embedded human cervix cancer tissue labeling CD69 with ab233395 at 1/250 dilution, followed by Goat Anti-Rabbit IgG H&L (HRP) Ready to use. Membranous and cytoplasmic staining in infiltrated lymphoid cells of human cervical cancer is observed. Counter stained with Hematoxylin.

Secondary antibody only control : Used PBS instead of primary antibody, secondary antibody is Goat Anti-Rabbit IgG H&L (HRP) Ready to use.

Heat mediated antigen retrieval was performed with Tris/EDTA buffer pH 9.0 before commencing with IHC staining protocol.

Western blot - Anti-CD69 antibody [EPR21811] (AB233395)
  • WB

Supplier Data

Western blot - Anti-CD69 antibody [EPR21811] (AB233395)

Blocking/Dilution buffer : 5% NFDM/TBST.

A distinct band with an apparent molecular mass of 24 kDa and a fainter band with an apparent molecular mass of 27kDa were observed (PMID : 2784767).

All lanes:

Western blot - Anti-CD69 antibody [EPR21811] (ab233395) at 1/1000 dilution

All lanes:

H9 (human cutaneous T lymphocyte lymphoma cell line) whole cell lysate at 10 µg

Secondary

All lanes:

Western blot - Goat Anti-Rabbit IgG H&L (HRP) (<a href='/en-us/products/secondary-antibodies/goat-rabbit-igg-h-l-hrp-ab97051'>ab97051</a>) at 1/100000 dilution

Predicted band size: 23 kDa

Observed band size: 24 kDa,27 kDa

true

Exposure time: 6min

Western blot - Anti-CD69 antibody [EPR21811] (AB233395)
  • WB

Supplier Data

Western blot - Anti-CD69 antibody [EPR21811] (AB233395)

Blocking/Dilution buffer : 5% NFDM/TBST.

PMA treatment increases the basal level of p28/32 in Daudi cells (PMID : 1617156).

All lanes:

Western blot - Anti-CD69 antibody [EPR21811] (ab233395) at 1/1000 dilution

Lane 1:

Un-treated Daudi (human Burkitt's lymphoma cell line) whole cell lysate at 10 µg

Lane 2:

Daudi, treated with 50 ng/ml phorbol-12-myristate-13-acetate (PMA) for 24 hours, whole cell lysate at 10 µg

Secondary

All lanes:

Western blot - Goat Anti-Rabbit IgG H&L (HRP) (<a href='/en-us/products/secondary-antibodies/goat-rabbit-igg-h-l-hrp-ab97051'>ab97051</a>) at 1/100000 dilution

Predicted band size: 23 kDa

Observed band size: 28 kDa,32 kDa

true

Exposure time: 3min

Key facts

Host species

Rabbit

Clonality

Monoclonal

Clone number

EPR21811

Isotype

IgG

Carrier free

No

Reacts with

Human

Applications

WB, IHC-P

applications

Immunogen

The exact immunogen used to generate this antibody is proprietary information.

Reactivity data

{ "title": "Reactivity Data", "filters": { "stats": ["", "Species", "Dilution Info", "Notes"], "tabs": { "all-applications": {"fullname" : "All Applications", "shortname": "All Applications"}, "WB" : {"fullname" : "Western blot", "shortname":"WB"}, "IHCP" : {"fullname" : "Immunohistochemistry (Formalin/PFA-fixed paraffin-embedded sections)", "shortname":"IHC-P"} }, "product-promise": { "all": "all", "testedAndGuaranteed": "tested", "guaranteed": "expected", "predicted": "predicted", "notRecommended": "not-recommended" } }, "values": { "Human": { "WB-species-checked": "testedAndGuaranteed", "WB-species-dilution-info": "1/1000", "WB-species-notes": "<p></p>", "IHCP-species-checked": "testedAndGuaranteed", "IHCP-species-dilution-info": "1/250", "IHCP-species-notes": "<p></p>" } } }

Product details

Patented technology
Our RabMAb® technology is a patented hybridoma-based technology for making rabbit monoclonal antibodies. For details on our patents, please refer to RabMAb® patents.

What are the advantages of a recombinant monoclonal antibody?
This product is a recombinant monoclonal antibody, which offers several advantages including:

  • - High batch-to-batch consistency and reproducibility
  • - Improved sensitivity and specificity
  • - Long-term security of supply
  • - Animal-free batch production

For more information, read more on recombinant antibodies.

Properties and storage information

Form
Liquid
Purification technique
Affinity purification Protein A
Storage buffer
pH: 7.2 - 7.4 Preservative: 0.01% Sodium azide Constituents: PBS, 40% Glycerol (glycerin, glycerine), 0.05% BSA
Shipped at conditions
Blue Ice
Appropriate short-term storage duration
1-2 weeks
Appropriate short-term storage conditions
+4°C
Appropriate long-term storage conditions
-20°C
Aliquoting information
Upon delivery aliquot
Storage information
Avoid freeze / thaw cycle

Supplementary information

This supplementary information is collated from multiple sources and compiled automatically.

CD69 also known as Activation-Induced C-type Lectin or Early T-cell Activation Antigen is a type II transmembrane protein with a mass of approximately 28-32 kDa. It is expressed mainly on activated leukocytes including T cells B cells and natural killer (NK) cells. Expression occurs rapidly after cell activation making CD69 a robust early marker used in flow cytometry analysis like with CD69 FITC or CD69 PE conjugates to study immune cell activation. The mouse version of CD69 serves as an important model for understanding its function in human biology.
Biological function summary

CD69 functions as a signaling molecule during the immune response influencing both cell proliferation and cytokine production. It is a member of the C-type lectin superfamily and operates as a homodimer on the cell surface. CD69 helps modulate the migration of T cells to inflammatory sites by affecting sphingosine-1-phosphate receptor 1 (S1P1) downregulation directing their tissue retention and primary response roles.

Pathways

The protein plays an important role in the regulation of the NF-kB and JAK-STAT signaling pathways. These are important for immune cell communication and response and CD69 interacts with proteins like the IL-2 receptor complex in these pathways. Additionally its cross-linking can lead to altered expression of cytokines and chemokines impacting overall immune function.

Altered CD69 expression links to conditions like autoimmune diseases and chronic inflammation. Its involvement in rheumatoid arthritis shows how CD69 may regulate abnormal immune responses. Furthermore the modulation of CD69 expression can be associated with cancer progression highlighting connections to proteins like FN50 and FN61 which participate in tumor immunity and metastasis control.

Product protocols

For this product, it's our understanding that no specific protocols are required. You can visit:

Target data

Transmembrane protein expressed mainly on T-cells resident in mucosa that plays an essential role in immune cell homeostasis. Rapidly expressed on the surface of platelets, T-lymphocytes and NK cells upon activation by various stimuli, such as antigen recognition or cytokine signaling, stimulates different signaling pathways in different cell types (PubMed : 24752896, PubMed : 26296369, PubMed : 35930205). Negatively regulates Th17 cell differentiation through its carbohydrate dependent interaction with galectin-1/LGALS1 present on immature dendritic cells (PubMed : 24752896). Association of CD69 cytoplasmic tail with the JAK3/STAT5 signaling pathway regulates the transcription of RORgamma/RORC and, consequently, differentiation toward the Th17 lineage (By similarity). Acts also via the S100A8/S100A9 complex present on peripheral blood mononuclear cells to promote the conversion of naive CD4 T-cells into regulatory T-cells (PubMed : 26296369). Acts as an oxidized low-density lipoprotein (oxLDL) receptor in CD4 T-lymphocytes and negatively regulates the inflammatory response by inducing the expression of PDCD1 through the activation of NFAT (PubMed : 35930205). Participates in adipose tissue-derived mesenchymal stem cells (ASCs)-mediated protection against P. aeruginosa infection. Mechanistically, specifically recognizes P. aeruginosa to promote ERK1 activation, followed by granulocyte-macrophage colony-stimulating factor (GM-CSF) and other inflammatory cytokines secretion (PubMed : 34841721). In eosinophils, induces IL-10 production through the ERK1/2 pathway (By similarity). Negatively regulates the chemotactic responses of effector lymphocytes and dendritic cells (DCs) to sphingosine 1 phosphate/S1P by acting as a S1PR1 receptor agonist and facilitating the internalization and degradation of the receptor (PubMed : 37039481).
See full target information CD69

Publications (1)

Recent publications for all applications. Explore the full list and refine your search

Frontiers in pharmacology 15:1475102 PubMed39494346

2024

Proteomic study of medicinal mushroom extracts reveals antitumor mechanisms in an advanced colon cancer animal model via ribosomal biogenesis, translation, and metabolic pathways.

Applications

Unspecified application

Species

Unspecified reactive species

Boris Jakopovic,Anita Horvatić,Jurica Baranasic,Iris Car,Nada Oršolić,Ivan Jakopovich,Mirela Sedić,Sandra Kraljević Pavelić
View all publications

Product promise

We are committed to supporting your work with high-quality reagents, and we're here for you every step of the way. In the unlikely event that one of our products does not perform as expected, you're protected by our Product Promise.
For full details, please see our Terms & Conditions

Please note: All products are 'FOR RESEARCH USE ONLY. NOT FOR USE IN DIAGNOSTIC OR THERAPEUTIC PROCEDURES'.

For licensing inquiries, please contact partnerships@abcam.com