JavaScript is disabled in your browser. Please enable JavaScript to view this website.
AB233396

Anti-CD69 antibody [EPR21814]

5

(4 Reviews)

|

(12 Publications)

Anti-CD69 antibody [EPR21814] (ab233396) is a rabbit monoclonal antibody detecting CD69 in Western Blot, IP, IHC-P. Suitable for Human.

- Biophysical QC for unrivalled batch-batch consistency
- Over 10 publications

View Alternative Names

CD69, CLEC2C, Early activation antigen CD69, Activation inducer molecule, BL-AC/P26, C-type lectin domain family 2 member C, EA1, Early T-cell activation antigen p60, GP32/28, Leukocyte surface antigen Leu-23, MLR-3, AIM

5 Images
Western blot - Anti-CD69 antibody [EPR21814] (AB233396)
  • WB

Supplier Data

Western blot - Anti-CD69 antibody [EPR21814] (AB233396)

Blocking/Dilution buffer : 5% NFDM/TBST.

Exposure times : Lanes 1-5 and 7-8 : 3 minutes; Lane 6 : 26 seconds.

We observe an extra band at approximately 15 kDa that we do not yet have an explanation for; it could be non-specific.

This blot was developed using a higher sensitive ECL substrate.

All lanes:

Western blot - Anti-CD69 antibody [EPR21814] (ab233396) at 1/1000 dilution

Lane 1:

HL-60 (human Acute Promyelocytic Leukemia promyeloblast) whole cell lysate at 20 µg

Lane 2:

K562 (human chronic myelogenous leukemia lymphoblast) whole cell lysate at 20 µg

Lane 3:

U937 (human histiocytic lymphoma monocyte) whole cell lysate at 20 µg

Lane 4:

Human tonsil at 20 µg

Lane 5:

Human lymphoma at 20 µg

Lane 6:

H9 (human lymphoma T lymphocyte) whole cell lysate at 20 µg

Lane 7:

Human thymus at 20 µg

Lane 8:

Human colon at 20 µg

Secondary

All lanes:

Western blot - Goat Anti-Rabbit IgG H&L (HRP) (<a href='/en-us/products/secondary-antibodies/goat-rabbit-igg-h-l-hrp-ab97051'>ab97051</a>) at 1/100000 dilution

Predicted band size: 23 kDa

Observed band size: 24 kDa,32 kDa

false

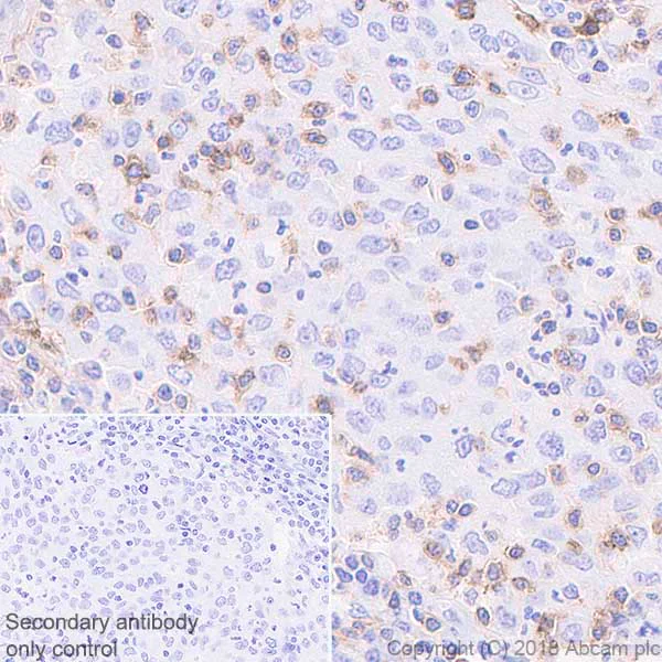
Immunohistochemistry (Formalin/PFA-fixed paraffin-embedded sections) - Anti-CD69 antibody [EPR21814] (AB233396)
  • IHC-P

Supplier Data

Immunohistochemistry (Formalin/PFA-fixed paraffin-embedded sections) - Anti-CD69 antibody [EPR21814] (AB233396)

Immunohistochemical analysis of paraffin-embedded human cervix cancer tissue labeling CD69 with ab233396 at 1/500 dilution, followed by a ready to use Goat Anti-Rabbit IgG H&L (HRP). Membranous and cytoplasmic staining in infiltrated lymphoid cells of human cervical cancer is observed. Counter stained with Hematoxylin.
Secondary antibody only control : Used PBS instead of primary antibody, secondary antibody is a ready to use Goat Anti-Rabbit IgG H&L (HRP).
Perform heat mediated antigen retrieval using ab93684 (Tris/EDTA buffer, pH 9.0).

Immunohistochemistry (Formalin/PFA-fixed paraffin-embedded sections) - Anti-CD69 antibody [EPR21814] (AB233396)
  • IHC-P

Supplier Data

Immunohistochemistry (Formalin/PFA-fixed paraffin-embedded sections) - Anti-CD69 antibody [EPR21814] (AB233396)

Immunohistochemical analysis of paraffin-embedded human tonsil tissue labeling CD69 with ab233396 at 1/500 dilution, followed by a ready to use Goat Anti-Rabbit IgG H&L (HRP). Membranous and cytoplasmic staining in lymphoid cells of human tonsil (PMID : 2807372) is observed. Counter stained with Hematoxylin.
Secondary antibody only control : Used PBS instead of primary antibody, secondary antibody is a ready to use Goat Anti-Rabbit IgG H&L (HRP).
Perform heat mediated antigen retrieval using ab93684 (Tris/EDTA buffer, pH 9.0).

Immunoprecipitation - Anti-CD69 antibody [EPR21814] (AB233396)
  • IP

Supplier Data

Immunoprecipitation - Anti-CD69 antibody [EPR21814] (AB233396)

CD69 was immunoprecipitated from 0.35 mg Daudi (human Burkitt's lymphoma lymphoblast) treated with 50 ng/ml phorbol-12-myristate-13-acetate (PMA, ab120297) for 24 hours whole cell lysate with ab233396 at 1/30 dilution. Western blot was performed from the immunoprecipitate using ab233396 at 1/5,000 dilution. VeriBlot for IP Detection Reagent (HRP) (ab131366), was used for detection at 1/5,000 dilution.

Lane 1 : Daudi (human Burkitt's lymphoma lymphoblast) treated with 50 ng/ml phorbol-12-myristate-13-acetate (PMA, ab120297) for 24 hours whole cell lysate 10 μg (Input).
Lane 2 : ab233396 IP in Daudi treated with 50 ng/ml phorbol-12-myristate-13-acetate (PMA, ab120297) for 24 hours whole cell lysate (+).
Lane 3 : Rabbit monoclonal IgG (ab172730) instead of ab233396 in Daudi treated with 50 ng/ml phorbol-12-myristate-13-acetate (PMA, ab120297) for 24 hours whole cell lysate (-).

Blocking/Dilution buffer : 5% NFDM/TBST.

All lanes:

Immunoprecipitation - Anti-CD69 antibody [EPR21814] (ab233396)

Predicted band size: 23 kDa

false

Exposure time: 30s

Western blot - Anti-CD69 antibody [EPR21814] (AB233396)
  • WB

Lab

Western blot - Anti-CD69 antibody [EPR21814] (AB233396)

Blocking/Dilution buffer : 5% NFDM/TBST.

PMA treatment increases the basal level of p28/32 on Daudi. PMID : 1617156.

All lanes:

Western blot - Anti-CD69 antibody [EPR21814] (ab233396) at 1/5000 dilution

Lane 1:

Un-treated Daudi (human Burkitt's lymphoma lymphoblast) whole cell lysate at 10 µg

Lane 2:

Daudi treated with 50 ng/ml phorbol-12-myristate-13-acetate (PMA, <a href='/en-us/products/biochemicals/phorbol-12-myristate-13-acetate-pma-pkc-activator-ab120297'>ab120297</a>) for 24 hours at 10 µg

Secondary

All lanes:

Western blot - Goat Anti-Rabbit IgG H&L (HRP) (<a href='/en-us/products/secondary-antibodies/goat-rabbit-igg-h-l-hrp-ab97051'>ab97051</a>) at 1/100000 dilution

Predicted band size: 23 kDa

Observed band size: 28 kDa,32 kDa

false

Exposure time: 92s

  • Carrier free

    Anti-CD69 antibody [EPR21814] - BSA and Azide free

  • 665 Alexa Fluor® 647

    Alexa Fluor® 647 Anti-CD69 antibody [EPR21814]

  • Biotin

    Biotin Anti-CD69 antibody [EPR21814]

Key facts

Host species

Rabbit

Clonality

Monoclonal

Clone number

EPR21814

Isotype

IgG

Carrier free

No

Reacts with

Human

Applications

IP, IHC-P, WB

applications

Immunogen

The exact immunogen used to generate this antibody is proprietary information.

Reactivity data

{ "title": "Reactivity Data", "filters": { "stats": ["", "Species", "Dilution Info", "Notes"], "tabs": { "all-applications": {"fullname" : "All Applications", "shortname": "All Applications"}, "IP" : {"fullname" : "Immunoprecipitation", "shortname":"IP"}, "WB" : {"fullname" : "Western blot", "shortname":"WB"}, "IHCP" : {"fullname" : "Immunohistochemistry (Formalin/PFA-fixed paraffin-embedded sections)", "shortname":"IHC-P"} }, "product-promise": { "all": "all", "testedAndGuaranteed": "tested", "guaranteed": "expected", "predicted": "predicted", "notRecommended": "not-recommended" } }, "values": { "Human": { "IP-species-checked": "testedAndGuaranteed", "IP-species-dilution-info": "1/30", "IP-species-notes": "<p></p>", "WB-species-checked": "testedAndGuaranteed", "WB-species-dilution-info": "1/1000", "WB-species-notes": "<p></p>", "IHCP-species-checked": "testedAndGuaranteed", "IHCP-species-dilution-info": "1/500", "IHCP-species-notes": "<p></p>" } } }

You may be interested in:

AB272464

Human CD69 ELISA Kit

0

0 Reviews

View product

We recommend this product because it’s often used in the same experiment or related research.

We advise that you always check the datasheet to ensure it fits your experiments, or contact ourtechnical teamfor help.

Product details

What is this antibody validated in?
Anti-CD69 antibody [EPR21814] (ab233396) is a rabbit recombinant monoclonal antibody and is validated for use in Western Blot (WB), Immunoprecipitation (IP), Immunohistochemistry (IHC-P) in Human samples.

What is the molecular weight of CD69?
Anti-CD69 [EPR21814] (ab233396) specifically detects a band for CD69 (UniProt: Q07108) at a molecular weight of 23kDa.

Trusted by the scientific community
Anti-CD69 [EPR21814] (ab233396) was first used in a scientific publication in 2018 and has been cited over 10 times in peer-reviewed journals.

Trial sizes available!
Test your antibody or perform pre-screening before committing to a larger quantity. Sold in 10µl. Discover our selection of trial-size antibodies.

Other related products
We have a range of other formats of antibody clone [EPR21814] also available for your convenience: ab233396, Carrier free - ab234512, Alexa Fluor® 647 - ab313397, Biotin - ab316301

Patented technology
Our RabMAb® technology is a patented hybridoma-based technology for making rabbit monoclonal antibodies. For details on our patents, please refer to RabMAb® patents.

What are the advantages of a recombinant monoclonal antibody?
This product is a recombinant monoclonal antibody, which offers several advantages including:

  • - High batch-to-batch consistency and reproducibility
  • - Improved sensitivity and specificity
  • - Long-term security of supply
  • - Animal-free batch production

For more information, read more on recombinant antibodies.

Properties and storage information

Form
Liquid
Purification technique
Affinity purification Protein A
Storage buffer
pH: 7.2 - 7.4 Preservative: 0.01% Sodium azide Constituents: PBS, 40% Glycerol (glycerin, glycerine), 0.05% BSA
Shipped at conditions
Blue Ice
Appropriate short-term storage duration
1-2 weeks
Appropriate short-term storage conditions
+4°C
Appropriate long-term storage conditions
-20°C
Aliquoting information
Upon delivery aliquot
Storage information
Avoid freeze / thaw cycle

Supplementary information

This supplementary information is collated from multiple sources and compiled automatically.

CD69 also known as Activation-Induced C-type Lectin or Early T-cell Activation Antigen is a type II transmembrane protein with a mass of approximately 28-32 kDa. It is expressed mainly on activated leukocytes including T cells B cells and natural killer (NK) cells. Expression occurs rapidly after cell activation making CD69 a robust early marker used in flow cytometry analysis like with CD69 FITC or CD69 PE conjugates to study immune cell activation. The mouse version of CD69 serves as an important model for understanding its function in human biology.
Biological function summary

CD69 functions as a signaling molecule during the immune response influencing both cell proliferation and cytokine production. It is a member of the C-type lectin superfamily and operates as a homodimer on the cell surface. CD69 helps modulate the migration of T cells to inflammatory sites by affecting sphingosine-1-phosphate receptor 1 (S1P1) downregulation directing their tissue retention and primary response roles.

Pathways

The protein plays an important role in the regulation of the NF-kB and JAK-STAT signaling pathways. These are important for immune cell communication and response and CD69 interacts with proteins like the IL-2 receptor complex in these pathways. Additionally its cross-linking can lead to altered expression of cytokines and chemokines impacting overall immune function.

Altered CD69 expression links to conditions like autoimmune diseases and chronic inflammation. Its involvement in rheumatoid arthritis shows how CD69 may regulate abnormal immune responses. Furthermore the modulation of CD69 expression can be associated with cancer progression highlighting connections to proteins like FN50 and FN61 which participate in tumor immunity and metastasis control.

Product protocols

For this product, it's our understanding that no specific protocols are required. You can visit:

Target data

Transmembrane protein expressed mainly on T-cells resident in mucosa that plays an essential role in immune cell homeostasis. Rapidly expressed on the surface of platelets, T-lymphocytes and NK cells upon activation by various stimuli, such as antigen recognition or cytokine signaling, stimulates different signaling pathways in different cell types (PubMed : 24752896, PubMed : 26296369, PubMed : 35930205). Negatively regulates Th17 cell differentiation through its carbohydrate dependent interaction with galectin-1/LGALS1 present on immature dendritic cells (PubMed : 24752896). Association of CD69 cytoplasmic tail with the JAK3/STAT5 signaling pathway regulates the transcription of RORgamma/RORC and, consequently, differentiation toward the Th17 lineage (By similarity). Acts also via the S100A8/S100A9 complex present on peripheral blood mononuclear cells to promote the conversion of naive CD4 T-cells into regulatory T-cells (PubMed : 26296369). Acts as an oxidized low-density lipoprotein (oxLDL) receptor in CD4 T-lymphocytes and negatively regulates the inflammatory response by inducing the expression of PDCD1 through the activation of NFAT (PubMed : 35930205). Participates in adipose tissue-derived mesenchymal stem cells (ASCs)-mediated protection against P. aeruginosa infection. Mechanistically, specifically recognizes P. aeruginosa to promote ERK1 activation, followed by granulocyte-macrophage colony-stimulating factor (GM-CSF) and other inflammatory cytokines secretion (PubMed : 34841721). In eosinophils, induces IL-10 production through the ERK1/2 pathway (By similarity). Negatively regulates the chemotactic responses of effector lymphocytes and dendritic cells (DCs) to sphingosine 1 phosphate/S1P by acting as a S1PR1 receptor agonist and facilitating the internalization and degradation of the receptor (PubMed : 37039481).
See full target information CD69

Publications (12)

Recent publications for all applications. Explore the full list and refine your search

BMC cancer 23:1011 PubMed37864146

2023

Significance of CD103 tissue-resident memory T cells for predicting the effectiveness of immune checkpoint inhibitors in esophageal cancer.

Applications

Unspecified application

Species

Unspecified reactive species

Seiji Natsuki,Hiroaki Tanaka,Masaki Nishiyama,Sota Deguchi,Yuichiro Miki,Mami Yoshii,Tatsuro Tamura,Takahiro Toyokawa,Shigeru Lee,Kiyoshi Maeda

Science advances 9:eadf5464 PubMed37327339

2023

Single-cell and spatial transcriptome analysis reveals the cellular heterogeneity of liver metastatic colorectal cancer.

Applications

Unspecified application

Species

Unspecified reactive species

Fei Wang,Jie Long,Liang Li,Zi-Xin Wu,Tian-Tian Da,Xiao-Qing Wang,Chuan Huang,Yi-Hua Jiang,Xue-Qing Yao,Hai-Qing Ma,Zhe-Xiong Lian,Zhi-Bin Zhao,Jie Cao

Frontiers in immunology 14:1182732 PubMed37090715

2023

Single-cell immune profiling reveals immune responses in oral lichen planus.

Applications

Unspecified application

Species

Unspecified reactive species

Qionghua Li,Fei Wang,Yujie Shi,Liang Zhong,Shumin Duan,Wenjing Kuang,Na Liu,En Luo,Yu Zhou,Lu Jiang,Hongxia Dan,Xiaobo Luo,Dunfang Zhang,Qianming Chen,Xin Zeng,Taiwen Li

Cellular and molecular life sciences : CMLS 79:582 PubMed36334153

2022

Induction of pulmonary HLA-G expression by SARS-CoV-2 infection.

Applications

Unspecified application

Species

Unspecified reactive species

Barbara Seliger,Simon Jasinski-Bergner,Chiara Massa,Anja Mueller,Katharina Biehl,Bo Yang,Michael Bachmann,Danny Jonigk,Philip Eichhorn,Arndt Hartmann,Claudia Wickenhauser,Marcus Bauer

Cell reports 40:111295 PubMed36044847

2022

Tumor-infiltrated activated B cells suppress liver metastasis of colorectal cancers.

Applications

Unspecified application

Species

Unspecified reactive species

Yuqiu Xu,Zhuang Wei,Mei Feng,Dexiang Zhu,Shenglin Mei,Zhongen Wu,Qingyang Feng,Wenju Chang,Meiling Ji,Chenglong Liu,Yuanyuan Zhu,Lian Shen,Fan Yang,Yijiao Chen,Yuxiong Feng,Jianmin Xu,Di Zhu

Cancer immunology research 10:1167-1174 PubMed35977003

2022

Checkpoint Blockade-Induced Dermatitis and Colitis Are Dominated by Tissue-Resident Memory T Cells and Th1/Tc1 Cytokines.

Applications

Unspecified application

Species

Unspecified reactive species

Robin Reschke,Jason W Shapiro,Jovian Yu,Sherin J Rouhani,Daniel J Olson,Yuanyuan Zha,Thomas F Gajewski

Bioengineered 12:7188-7204 PubMed34546854

2021

Exosomal-mediated transfer of APCDD1L-AS1 induces 5-fluorouracil resistance in oral squamous cell carcinoma via miR-1224-5p/nuclear receptor binding SET domain protein 2 (NSD2) axis.

Applications

Unspecified application

Species

Unspecified reactive species

Shen Li,Zhiyan Shi,Suwei Fu,Qingfu Li,Bei Li,Lixiao Sang,Donghong Wu

Immunity 54:2117-2132.e7 PubMed34525340

2021

Resident memory CD8 T cells in regional lymph nodes mediate immunity to metastatic melanoma.

Applications

Unspecified application

Species

Unspecified reactive species

Aleksey K Molodtsov,Nikhil Khatwani,Jennifer L Vella,Kathryn A Lewis,Yanding Zhao,Jichang Han,Delaney E Sullivan,Tyler G Searles,Nicholas K Preiss,Tamer B Shabaneh,Peisheng Zhang,Aaron R Hawkes,Brian T Malik,Fred W Kolling,Edward J Usherwood,Sandra L Wong,Joseph D Phillips,Keisuke Shirai,Christina V Angeles,Shaofeng Yan,Tyler J Curiel,Yina H Huang,Chao Cheng,Mary Jo Turk

Frontiers in oncology 11:685577 PubMed34604029

2021

The Clinical Significance of Mesenteric Lymphocytes in Human Colorectal Cancer.

Applications

Unspecified application

Species

Unspecified reactive species

Zi-Xin Wu,Fei Wang,Liang Li,Yuan Yao,Jie Long,Qing-Qing Luo,Zhi-Bin Zhao,Wang-Lin Li,Jie Cao,Zhe-Xiong Lian

Clinical cancer research : an official journal of the American Association for Cancer Research 27:6543-6558 PubMed34426437

2021

Fresh Tissue Multi-omics Profiling Reveals Immune Classification and Suggests Immunotherapy Candidates for Conventional Chondrosarcoma.

Applications

Unspecified application

Species

Unspecified reactive species

Binghao Li,Guoqi Li,Xiaobo Yan,Dan Zhu,Patrick P Lin,Zenan Wang,Hao Qu,Xuexin He,Yanbiao Fu,Xiuliang Zhu,Peng Lin,Jiangnan Zhang,Xiaoya Li,Hui Dai,Huabiao Chen,Mark C Poznansky,Nong Lin,Zhaoming Ye
View all publications

Product promise

We are committed to supporting your work with high-quality reagents, and we're here for you every step of the way. In the unlikely event that one of our products does not perform as expected, you're protected by our Product Promise.
For full details, please see our Terms & Conditions

Associated Products

Select an associated product type
Alternative Product
Primary Antibodies

AB187772

Alexa Fluor® 647 Anti-CD69 antibody [FN50]

primary-antibodies

alexa-fluor-647-cd69-antibody-fn50-ab187772

0

(0 reviews)

Alternative Product
Primary Antibodies

AB135933

PerCP Anti-CD69 antibody [FN50]

primary-antibodies

percp-cd69-antibody-fn50-ab135933

3

(4 reviews)

Alternative Product
Primary Antibodies

AB51862

Anti-CD69 antibody [FN50]

primary-antibodies

cd69-antibody-fn50-ab51862

0

(0 reviews)

Alternative Product
Primary Antibodies

AB25190

Anti-CD69 antibody [H1.2F3]

primary-antibodies

cd69-antibody-h12f3-ab25190

0

(1 reviews)

Alternative Product
Primary Antibodies

AB25529

PE/Cy7® Anti-CD69 antibody [H1.2F3]

primary-antibodies

pe-cy7-cd69-antibody-h12f3-ab25529

0

(0 reviews)

Alternative Product
Primary Antibodies

AB202909

Anti-CD69 antibody

primary-antibodies

cd69-antibody-ab202909

5

(3 reviews)

Alternative Product
Primary Antibodies

AB95611

APC Anti-CD69 antibody [H1.2F3]

primary-antibodies

apc-cd69-antibody-h12f3-ab95611

0

(0 reviews)

Alternative Product
Primary Antibodies

AB95609

APC Anti-CD69 antibody [FN50]

primary-antibodies

apc-cd69-antibody-fn50-ab95609

3

(5 reviews)

Alternative Product
Primary Antibodies

AB233395

Anti-CD69 antibody [EPR21811]

primary-antibodies

cd69-antibody-epr21811-ab233395

0

(0 reviews)

Alternative Product
Primary Antibodies

AB25008

Biotin Anti-CD69 antibody [H1.2F3]

primary-antibodies

biotin-cd69-antibody-h12f3-ab25008

0

(0 reviews)

Alternative Product
Primary Antibodies

AB233573

PE/Cy7® Anti-CD69 antibody [FN50]

primary-antibodies

pe-cy7-cd69-antibody-fn50-ab233573

0

(0 reviews)

Alternative Product
Primary Antibodies

AB234511

Anti-CD69 antibody [EPR21811] - BSA and Azide free

primary-antibodies

cd69-antibody-epr21811-bsa-and-azide-free-ab234511

0

(0 reviews)

Please note: All products are 'FOR RESEARCH USE ONLY. NOT FOR USE IN DIAGNOSTIC OR THERAPEUTIC PROCEDURES'.

For licensing inquiries, please contact partnerships@abcam.com