JavaScript is disabled in your browser. Please enable JavaScript to view this website.
AB230904

Anti-CD7 antibody [SP94] - BSA and Azide free

Be the first to review this product! Submit a review

|

(1 Publication)

Rabbit Recombinant Monoclonal CD7 antibody. Carrier free. Suitable for IHC-P and reacts with Human samples. Cited in 1 publication.

View Alternative Names

CD7, T-cell antigen CD7, GP40, T-cell leukemia antigen, T-cell surface antigen Leu-9, TP41

14 Images
Immunohistochemistry (Formalin/PFA-fixed paraffin-embedded sections) - Anti-CD7 antibody [SP94] - BSA and Azide free (AB230904)
  • IHC-P

Supplier Data

Immunohistochemistry (Formalin/PFA-fixed paraffin-embedded sections) - Anti-CD7 antibody [SP94] - BSA and Azide free (AB230904)

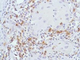
Immunohistochemical analysis of paraffin embedded Human renal cell carcinoma tissue labeling CD7 with ab183325 at 1/50.

This data was developed using the same antibody clone in a different buffer formulation containing PBS, BSA, glycerol, and sodium azide (ab183325).

Immunohistochemistry (Formalin/PFA-fixed paraffin-embedded sections) - Anti-CD7 antibody [SP94] - BSA and Azide free (AB230904)
  • IHC-P

Unknown

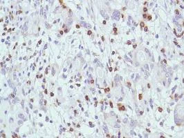
Immunohistochemistry (Formalin/PFA-fixed paraffin-embedded sections) - Anti-CD7 antibody [SP94] - BSA and Azide free (AB230904)

Immunohistochemical analysis of paraffin embedded Human skin squamous cell carcinoma tissue labeling CD7 with ab183325 at 1/50.

This data was developed using the same antibody clone in a different buffer formulation containing PBS, BSA, glycerol, and sodium azide (ab183325).

Immunohistochemistry (Formalin/PFA-fixed paraffin-embedded sections) - Anti-CD7 antibody [SP94] - BSA and Azide free (AB230904)
  • IHC-P

Supplier Data

Immunohistochemistry (Formalin/PFA-fixed paraffin-embedded sections) - Anti-CD7 antibody [SP94] - BSA and Azide free (AB230904)

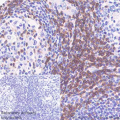
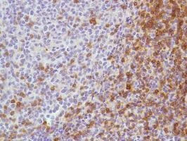
Immunohistochemical analysis of paraffin embedded Human tonsil tissue labeling CD7 with ab183325 at 1/50.

This data was developed using the same antibody clone in a different buffer formulation containing PBS, BSA, glycerol, and sodium azide (ab183325).

Immunohistochemistry (Formalin/PFA-fixed paraffin-embedded sections) - Anti-CD7 antibody [SP94] - BSA and Azide free (AB230904)
  • IHC-P

Supplier Data

Immunohistochemistry (Formalin/PFA-fixed paraffin-embedded sections) - Anti-CD7 antibody [SP94] - BSA and Azide free (AB230904)

Immunohistochemical analysis of paraffin embedded Human B cell lymphoma tissue labeling CD7 with ab183325 at 1/50.

This data was developed using the same antibody clone in a different buffer formulation containing PBS, BSA, glycerol, and sodium azide (ab183325).

Immunohistochemistry (Formalin/PFA-fixed paraffin-embedded sections) - Anti-CD7 antibody [SP94] - BSA and Azide free (AB230904)
  • IHC-P

Unknown

Immunohistochemistry (Formalin/PFA-fixed paraffin-embedded sections) - Anti-CD7 antibody [SP94] - BSA and Azide free (AB230904)

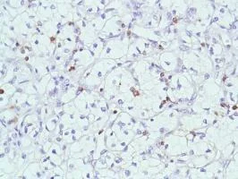
Immunohistochemistry (Formalin/PFA-fixed paraffin-embedded sections) analysis of Human stomach carcinoma tissue sections labeling CD7 with ab183325 at 1 : 50 dilution (2.0 μg/ml). Heat mediated antigen retrieval with Tris-EDTA buffer (pH 9.0, epitope retrieval solution 2) for 10mins. Rabbit specific IHC polymer detection kit HRP/DAB (ab209101) was used as the secondary antibody. Hematoxylin was used as a counterstain. Positive staining on the stromal cells in human stomach carcinoma, performed on a Leica Biosystems BOND™ RX instrument.
The section was incubated with ab183325 for 30 mins at room temperature. This image was generated using ab183325, the same clone, but with a different buffer formulation.

Immunohistochemistry (Formalin/PFA-fixed paraffin-embedded sections) - Anti-CD7 antibody [SP94] - BSA and Azide free (AB230904)
  • IHC-P

Unknown

Immunohistochemistry (Formalin/PFA-fixed paraffin-embedded sections) - Anti-CD7 antibody [SP94] - BSA and Azide free (AB230904)

Immunohistochemical analysis of paraffin embedded Human thymus tissue labeling CD7 with ab183325 at 1/50.

This data was developed using the same antibody clone in a different buffer formulation containing PBS, BSA, glycerol, and sodium azide (ab183325).

Immunohistochemistry (Formalin/PFA-fixed paraffin-embedded sections) - Anti-CD7 antibody [SP94] - BSA and Azide free (AB230904)
  • IHC-P

Supplier Data

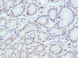
Immunohistochemistry (Formalin/PFA-fixed paraffin-embedded sections) - Anti-CD7 antibody [SP94] - BSA and Azide free (AB230904)

Immunohistochemical analysis of paraffin embedded Human stomach tissue labeling CD7 with ab183325 at 1/50.

This data was developed using the same antibody clone in a different buffer formulation containing PBS, BSA, glycerol, and sodium azide (ab183325).

Immunohistochemistry (Formalin/PFA-fixed paraffin-embedded sections) - Anti-CD7 antibody [SP94] - BSA and Azide free (AB230904)
  • IHC-P

Supplier Data

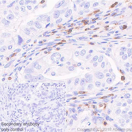
Immunohistochemistry (Formalin/PFA-fixed paraffin-embedded sections) - Anti-CD7 antibody [SP94] - BSA and Azide free (AB230904)

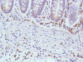
Paraffin-embedded human colon tissue stained for CD7 with ab183325 at a 1/50 dilution in immunohistochemical analysis.

This data was developed using the same antibody clone in a different buffer formulation containing PBS, BSA and sodium azide (ab183325).

Immunohistochemistry (Formalin/PFA-fixed paraffin-embedded sections) - Anti-CD7 antibody [SP94] - BSA and Azide free (AB230904)
  • IHC-P

Unknown

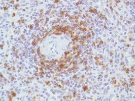
Immunohistochemistry (Formalin/PFA-fixed paraffin-embedded sections) - Anti-CD7 antibody [SP94] - BSA and Azide free (AB230904)

Immunohistochemistry (Formalin/PFA-fixed paraffin-embedded sections) analysis of Human tonsil tissue sections labeling CD7 with ab183325 at 1 : 50 dilution (2.0 μg/ml). Heat mediated antigen retrieval with Tris-EDTA buffer (pH 9.0, epitope retrieval solution 2) for 10mins. Rabbit specific IHC polymer detection kit HRP/DAB (ab209101) was used as the secondary antibody. Hematoxylin was used as a counterstain. Positive staining on the human tonsil, performed on a Leica Biosystems BOND™ RX instrument.
The section was incubated with ab183325 for 30 mins at room temperature. This image was generated using ab183325, the same clone, but with a different buffer formulation.

Immunohistochemistry (Formalin/PFA-fixed paraffin-embedded sections) - Anti-CD7 antibody [SP94] - BSA and Azide free (AB230904)
  • IHC-P

Supplier Data

Immunohistochemistry (Formalin/PFA-fixed paraffin-embedded sections) - Anti-CD7 antibody [SP94] - BSA and Azide free (AB230904)

Immunohistochemical analysis of paraffin embedded Human stomach adenocarcinoma tissue labeling CD7 with ab183325 at 1/50.

This data was developed using the same antibody clone in a different buffer formulation containing PBS, BSA, glycerol, and sodium azide (ab183325).

Immunohistochemistry (Formalin/PFA-fixed paraffin-embedded sections) - Anti-CD7 antibody [SP94] - BSA and Azide free (AB230904)
  • IHC-P

Supplier Data

Immunohistochemistry (Formalin/PFA-fixed paraffin-embedded sections) - Anti-CD7 antibody [SP94] - BSA and Azide free (AB230904)

Immunohistochemical analysis of paraffin embedded Human tonsil tissue labeling CD7 with ab183325 at 1/50.

This data was developed using the same antibody clone in a different buffer formulation containing PBS, BSA, glycerol, and sodium azide (ab183325).

Immunohistochemistry (Formalin/PFA-fixed paraffin-embedded sections) - Anti-CD7 antibody [SP94] - BSA and Azide free (AB230904)
  • IHC-P

Supplier Data

Immunohistochemistry (Formalin/PFA-fixed paraffin-embedded sections) - Anti-CD7 antibody [SP94] - BSA and Azide free (AB230904)

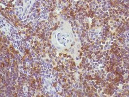
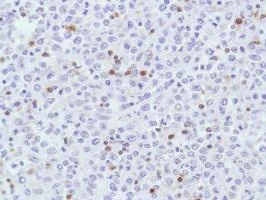
Immunohistochemical analysis of paraffin embedded Human spleen tissue labeling CD7 with ab183325 at 1/50.

This data was developed using the same antibody clone in a different buffer formulation containing PBS, BSA, glycerol, and sodium azide (ab183325).

Immunohistochemistry (Formalin/PFA-fixed paraffin-embedded sections) - Anti-CD7 antibody [SP94] - BSA and Azide free (AB230904)
  • IHC-P

Supplier Data

Immunohistochemistry (Formalin/PFA-fixed paraffin-embedded sections) - Anti-CD7 antibody [SP94] - BSA and Azide free (AB230904)

Immunohistochemical analysis of paraffin embedded Human reactive lymph node tissue labeling CD7 with ab183325 at 1/50.

This data was developed using the same antibody clone in a different buffer formulation containing PBS, BSA, glycerol, and sodium azide (ab183325).

Immunohistochemistry (Formalin/PFA-fixed paraffin-embedded sections) - Anti-CD7 antibody [SP94] - BSA and Azide free (AB230904)
  • IHC-P

Supplier Data

Immunohistochemistry (Formalin/PFA-fixed paraffin-embedded sections) - Anti-CD7 antibody [SP94] - BSA and Azide free (AB230904)

Immunohistochemical analysis of paraffin embedded Human tonsil tissue labeling CD7 with ab183325 at 1/50.

This data was developed using the same antibody clone in a different buffer formulation containing PBS, BSA, glycerol, and sodium azide (ab183325).

Key facts

Host species

Rabbit

Clonality

Monoclonal

Clone number

SP94

Isotype

IgG

Carrier free

Yes

Reacts with

Human

Applications

IHC-P

applications

Immunogen

The exact immunogen used to generate this antibody is proprietary information.

Reactivity data

{ "title": "Reactivity Data", "filters": { "stats": ["", "Species", "Dilution Info", "Notes"], "tabs": { "all-applications": {"fullname" : "All Applications", "shortname": "All Applications"}, "IHCP" : {"fullname" : "Immunohistochemistry (Formalin/PFA-fixed paraffin-embedded sections)", "shortname":"IHC-P"} }, "product-promise": { "all": "all", "testedAndGuaranteed": "tested", "guaranteed": "expected", "predicted": "predicted", "notRecommended": "not-recommended" } }, "values": { "Human": { "IHCP-species-checked": "testedAndGuaranteed", "IHCP-species-dilution-info": "", "IHCP-species-notes": "<p>Antigen Retrieval: Boil tissue section in 1 mM EDTA, pH 8.0 for 10 minutes followed by cooling at room temperature for 20 minutes.</p>" } } }

Product details

ab230904 is the carrier-free version of ab183325.

What are the advantages of a recombinant monoclonal antibody?
This product is a recombinant monoclonal antibody, which offers several advantages including:

  • - High batch-to-batch consistency and reproducibility
  • - Improved sensitivity and specificity
  • - Long-term security of supply
  • - Animal-free batch production

For more information, read more on recombinant antibodies.

Conjugation ready
Our carrier-free antibodies are typically supplied in a PBS-only formulation, purified and free of BSA, sodium azide and glycerol. This conjugation-ready format is designed for use with fluorochromes, metal isotopes, oligonucleotides, and enzymes, which makes them ideal for antibody labelling, functional and cell-based assays, flow-based assays (e.g. mass cytometry) and Multiplex Imaging applications.

Use our conjugation kits for antibody conjugates that are ready-to-use in as little as 20 minutes with 1 minute hands-on-time and 100% antibody recovery: available for fluorescent dyes, HRP, biotin and gold.

Compatibility
This product is compatible with the Maxpar® Antibody Labeling Kit from Fluidigm, without the need for antibody preparation. Maxpar® is a trademark of Fluidigm Canada Inc.

Properties and storage information

Form
Liquid
Purification technique
Affinity purification Protein A/G
Purification notes
Purified from TCS by protein A/G.
Storage buffer
pH: 7.2 - 7.4 Constituents: PBS
Shipped at conditions
Blue Ice
Appropriate short-term storage conditions
+4°C
Appropriate long-term storage conditions
+4°C
Storage information
Do Not Freeze

Supplementary information

This supplementary information is collated from multiple sources and compiled automatically.

CD7 also known as Leu-9 or GP40 is a cell surface protein with a mass of approximately 40 kDa. The target is mainly expressed on T cells and NK cells and can be found during early T-cell development. Researchers also report CD7 expression in some B cell lineage progenitors. The CD7 function involves mediating cell signal transduction which contributes to the activation and differentiation of immune cells making it an important target in immunology studies.
Biological function summary

CD7 plays a role in modulating interactions between immune cells without being part of a larger complex. It bridges interactions promoting immune responses by influencing T cell proliferation and cytokine production. CD7 control is important in regulating immune response intensity and provides an essential checkpoint in immune system modulation. Variations in CD7 function can significantly influence immune cell behavior impacting host defense mechanisms.

Pathways

CD7 participates in immune signaling pathways such as the T-cell receptor (TCR) signaling pathway. This pathway is essential for T cell activation and involves proteins like CD3 and ZAP-70 which work together with CD7 to transduce activation signals. Alterations in the CD7 pathway can affect the downstream signaling events leading to changes in immune cell activation and function.

Aberrations in CD7 expression or function link to conditions like T-cell acute lymphoblastic leukemia (T-ALL) and certain autoimmune diseases. In T-ALL abnormal CD7 expression serves as an indicator for diagnosis and disease progression monitoring. CD7 also interacts with proteins such as CD45 and CD3 which play roles in leukemogenesis and immune system dysregulation. Studies also explore anti-CD7 strategies for therapeutic interventions aiming to modulate its activity for treating these conditions effectively.

Product protocols

For this product, it's our understanding that no specific protocols are required. You can visit:

Target data

Transmembrane glycoprotein expressed by T-cells and natural killer (NK) cells and their precursors (PubMed : 7506726). Plays a costimulatory role in T-cell activation upon binding to its ligand K12/SECTM1 (PubMed : 10652336). In turn, mediates the production of cytokines such as IL-2 (PubMed : 1709867). On resting NK-cells, CD7 activation results in a significant induction of interferon-gamma levels (PubMed : 7506726).
See full target information CD7

Publications (1)

Recent publications for all applications. Explore the full list and refine your search

Cell 187:3120-3140.e29 PubMed38714197

2024

Mapping the cellular biogeography of human bone marrow niches using single-cell transcriptomics and proteomic imaging.

Applications

Unspecified application

Species

Unspecified reactive species

Shovik Bandyopadhyay,Michael P Duffy,Kyung Jin Ahn,Jonathan H Sussman,Minxing Pang,David Smith,Gwendolyn Duncan,Iris Zhang,Jeffrey Huang,Yulieh Lin,Barbara Xiong,Tamjid Imtiaz,Chia-Hui Chen,Anusha Thadi,Changya Chen,Jason Xu,Melissa Reichart,Zachary Martinez,Caroline Diorio,Chider Chen,Vinodh Pillai,Oraine Snaith,Derek Oldridge,Siddharth Bhattacharyya,Ivan Maillard,Martin Carroll,Charles Nelson,Ling Qin,Kai Tan
View all publications

Product promise

We are committed to supporting your work with high-quality reagents, and we're here for you every step of the way. In the unlikely event that one of our products does not perform as expected, you're protected by our Product Promise.
For full details, please see our Terms & Conditions

Please note: All products are 'FOR RESEARCH USE ONLY. NOT FOR USE IN DIAGNOSTIC OR THERAPEUTIC PROCEDURES'.

For licensing inquiries, please contact partnerships@abcam.com