JavaScript is disabled in your browser. Please enable JavaScript to view this website.
AB133398

Anti-CD70 antibody

Be the first to review this product! Submit a review

|

(1 Publication)

Rabbit Polyclonal CD70 antibody. Suitable for IHC-P and reacts with Human samples. Cited in 1 publication. Immunogen corresponding to Synthetic Peptide within Human CD70.

View Alternative Names

CD70, CD27L, CD27LG, TNFSF7, CD70 antigen, CD27 ligand, Tumor necrosis factor ligand superfamily member 7, CD27-L

2 Images
Immunohistochemistry (Formalin/PFA-fixed paraffin-embedded sections) - Anti-CD70 antibody (AB133398)
  • IHC-P

Unknown

Immunohistochemistry (Formalin/PFA-fixed paraffin-embedded sections) - Anti-CD70 antibody (AB133398)

Immunohistochemical analysis of paraffin embedded Human tonsil tissue labelling CD70 with ab133398 antibody at 10μg/ml, followed by biotinylated secondary antibody, alkaline phosphatase-streptavidin and chromogen.

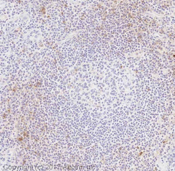
Immunohistochemistry (Formalin/PFA-fixed paraffin-embedded sections) - Anti-CD70 antibody (AB133398)
  • IHC-P

Unknown

Immunohistochemistry (Formalin/PFA-fixed paraffin-embedded sections) - Anti-CD70 antibody (AB133398)

Immunohistochemical analysis of paraffin embedded Human spleen tissue labelling CD70 with ab133398 antibody at 10μg/ml, followed by biotinylated secondary antibody, alkaline phosphatase-streptavidin and chromogen.

Key facts

Host species

Rabbit

Clonality

Polyclonal

Isotype

IgG

Carrier free

No

Reacts with

Human

Applications

IHC-P

applications

Immunogen

Synthetic Peptide within Human CD70. The exact immunogen used to generate this antibody is proprietary information.

P32970

Specificity

BLAST analysis of the peptide immunogen showed no homology with other Human proteins.

Reactivity data

{ "title": "Reactivity Data", "filters": { "stats": ["", "Species", "Dilution Info", "Notes"], "tabs": { "all-applications": {"fullname" : "All Applications", "shortname": "All Applications"}, "IHCP" : {"fullname" : "Immunohistochemistry (Formalin/PFA-fixed paraffin-embedded sections)", "shortname":"IHC-P"} }, "product-promise": { "all": "all", "testedAndGuaranteed": "tested", "guaranteed": "expected", "predicted": "predicted", "notRecommended": "not-recommended" } }, "values": { "Human": { "IHCP-species-checked": "testedAndGuaranteed", "IHCP-species-dilution-info": "5-10 µg/mL", "IHCP-species-notes": "<p></p> Perform heat-mediated antigen retrieval with citrate buffer pH 6 before commencing with IHC staining protocol." }, "Common marmoset": { "IHCP-species-checked": "predicted", "IHCP-species-dilution-info": "", "IHCP-species-notes": "" }, "Gorilla": { "IHCP-species-checked": "predicted", "IHCP-species-dilution-info": "", "IHCP-species-notes": "" }, "Monkey": { "IHCP-species-checked": "predicted", "IHCP-species-dilution-info": "", "IHCP-species-notes": "" } } }

Properties and storage information

Form
Liquid
Purification technique
Affinity purification Immunogen
Storage buffer
pH: 7.4 Preservative: 0.1% Sodium azide Constituents: PBS
Shipped at conditions
Blue Ice
Appropriate short-term storage conditions
+4°C
Appropriate long-term storage conditions
-80°C
Aliquoting information
Upon delivery aliquot
Storage information
Avoid freeze / thaw cycle

Supplementary information

This supplementary information is collated from multiple sources and compiled automatically.

CD70 also known as CD27 ligand or CD27L is a type II transmembrane protein with a molecular mass of approximately 30 kDa. It belongs to the tumor necrosis factor (TNF) superfamily and is encoded by the CD70 gene. The expression of CD70 occurs mainly on activated T and B cells dendritic cells and some NK cells but not on resting lymphocytes. In addition CD70 expression is observed in certain malignancies and inflammatory conditions.
Biological function summary

CD70 plays an essential role in the regulation of immune responses. It does this by binding to its receptor CD27 forming a receptor-ligand complex that triggers signaling pathways vital for T cell proliferation survival and differentiation. This interaction also influences the production of immunoglobulins by B cells. CD70-CD27 signaling is particularly important in shaping adaptive immunity enhancing the body's ability to respond to pathogens effectively.

Pathways

CD70 is integral in the activation of the NF-κB and MAPK pathways. These pathways are activated upon the interaction of CD70 with CD27 promoting cell survival proliferation and pro-inflammatory cytokine production. Other proteins related to CD70 through these pathways include TRAF2 and TRAF3 which are essential for downstream signaling events that modulate immune responses.

CD70 has been implicated in autoimmune diseases and certain cancers. For instance it plays a role in the pathogenesis of lupus by contributing to abnormal immune activation. Overexpression of CD70 is also associated with various cancers such as renal cell carcinoma where it can support tumor cell growth and immune evasion. Through these conditions CD70 interacts with proteins like BCL-2 in cancer affecting cell survival pathways while its interaction with CD27 influences the immune deregulation seen in lupus.

Product protocols

For this product, it's our understanding that no specific protocols are required. You can visit:

Target data

Expressed at the plasma membrane of B cells, it is the ligand of the CD27 receptor which is specifically expressed at the surface of T cells (PubMed : 28011863, PubMed : 28011864, PubMed : 8387892). The CD70-CD27 signaling pathway mediates antigen-specific T cell activation and expansion which in turn provides immune surveillance of B cells (PubMed : 28011863, PubMed : 28011864).
See full target information CD70

Publications (1)

Recent publications for all applications. Explore the full list and refine your search

Journal of virology 95:e0097120 PubMed34011540

2021

Human Immunodeficiency Virus Type 1 Vpr Mediates Degradation of APC1, a Scaffolding Component of the Anaphase-Promoting Complex/Cyclosome.

Applications

Unspecified application

Species

Unspecified reactive species

Jérémy A Ferreira Barbosa,Samantha Sparapani,Jonathan Boulais,Robert Lodge,Éric A Cohen
View all publications

Product promise

We are committed to supporting your work with high-quality reagents, and we're here for you every step of the way. In the unlikely event that one of our products does not perform as expected, you're protected by our Product Promise.
For full details, please see our Terms & Conditions

Please note: All products are 'FOR RESEARCH USE ONLY. NOT FOR USE IN DIAGNOSTIC OR THERAPEUTIC PROCEDURES'.

For licensing inquiries, please contact partnerships@abcam.com