JavaScript is disabled in your browser. Please enable JavaScript to view this website.
AB300083

Anti-CD70 antibody [EPR26536-122]

  • BOND RX™ Validated
  • 20ul selling size
  • RabMAb
  • Recombinant
  • What is this?

Be the first to review this product! Submit a review

|

(3 Publications)

Anti-CD70 antibody [EPR26536-122] (ab300083) is a rabbit monoclonal antibody detecting CD70 in Western Blot, IP, IHC-P, ICC/IF. Suitable for Human.

- Biophysical QC for unrivalled batch-batch consistency

View Alternative Names

CD70, CD27L, CD27LG, TNFSF7, CD70 antigen, CD27 ligand, Tumor necrosis factor ligand superfamily member 7, CD27-L

8 Images
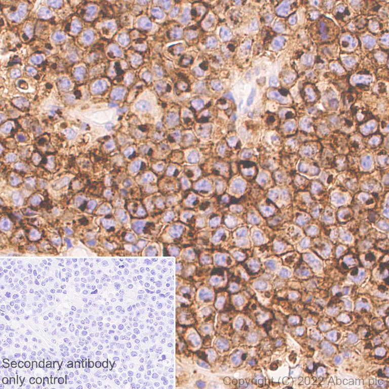
Immunohistochemistry (Formalin/PFA-fixed paraffin-embedded sections) - Anti-CD70 antibody [EPR26536-122] (AB300083)
  • IHC-P

Supplier Data

Immunohistochemistry (Formalin/PFA-fixed paraffin-embedded sections) - Anti-CD70 antibody [EPR26536-122] (AB300083)

Immunohistochemical analysis of paraffin-embedded human lung cancer tissue labeling CD70 with ab300083 at 1/500 dilution (0.868 μg/ml), followed by a ready to use Leica DS9800 (BOND™ Polymer Refine Detection). Positive staining in human lung cancer is observed. The section was incubated with ab300083 for 30 mins at room temperature. The immunostaining was performed on a Leica Biosystems BOND® RX instrument. Counterstained with Hematoxylin.

Secondary antibody only control : Secondary antibody is a ready to use Leica DS9800 (BOND™ Polymer Refine Detection) kit.

Heat mediated antigen retrieval with Tris-EDTA buffer (pH 9.0, epitope retrieval solution 2) for 20 mins was used.

Immunohistochemistry (Formalin/PFA-fixed paraffin-embedded sections) - Anti-CD70 antibody [EPR26536-122] (AB300083)
  • IHC-P

Supplier Data

Immunohistochemistry (Formalin/PFA-fixed paraffin-embedded sections) - Anti-CD70 antibody [EPR26536-122] (AB300083)

Immunohistochemical analysis of paraffin-embedded human NKT lymphoma tissue labeling CD70 with ab300083 at 1/500 dilution (0.868 μg/ml), followed by a ready to use Leica DS9800 (BOND™ Polymer Refine Detection) kit. Positive staining in human NKT lymphoma is observed. The section was incubated with ab300083 for 30 mins at room temperature. The immunostaining was performed on a Leica Biosystems BOND® RX instrument. Counterstained with Hematoxylin.

Secondary antibody only control : Secondary antibody is a ready to use Leica DS9800 (BOND™ Polymer Refine Detection) kit.

Heat mediated antigen retrieval with Tris-EDTA buffer (pH 9.0, epitope retrieval solution 2) for 20 mins was used.

Immunohistochemistry (Formalin/PFA-fixed paraffin-embedded sections) - Anti-CD70 antibody [EPR26536-122] (AB300083)
  • IHC-P

Supplier Data

Immunohistochemistry (Formalin/PFA-fixed paraffin-embedded sections) - Anti-CD70 antibody [EPR26536-122] (AB300083)

Immunohistochemical analysis of paraffin-embedded human lymph node tissue labeling CD70 with ab300083 at 1/500 dilution (0.868 μg/ml), followed by a ready to use Leica DS9800 (BOND™ Polymer Refine Detection) kit. Positive staining in human lymph node is observed. The section was incubated with ab300083 for 30 mins at room temperature. The immunostaining was performed on a Leica Biosystems BOND® RX instrument. Counterstained with Hematoxylin.

Secondary antibody only control : Secondary antibody is a ready to use Leica DS9800 (BOND™ Polymer Refine Detection) kit.

Heat mediated antigen retrieval with Tris-EDTA buffer (pH 9.0, epitope retrieval solution 2) for 20 mins was used.

Immunohistochemistry (Formalin/PFA-fixed paraffin-embedded sections) - Anti-CD70 antibody [EPR26536-122] (AB300083)
  • IHC-P

Supplier Data

Immunohistochemistry (Formalin/PFA-fixed paraffin-embedded sections) - Anti-CD70 antibody [EPR26536-122] (AB300083)

Immunohistochemical analysis of paraffin-embedded clear cell carcinoma tissue labeling CD70 with ab300083 at 1/500 dilution (0.868 μg/ml), followed by a ready to use Leica DS9800 (BOND™ Polymer Refine Detection) kit. Positive staining in clear cell carcinoma of human kidney is observed. The section was incubated with ab300083 for 30 mins at room temperature. The immunostaining was performed on a Leica Biosystems BOND® RX instrument. Counterstained with Hematoxylin.

Secondary antibody only control : Secondary antibody is a ready to use Leica DS9800 (BOND™ Polymer Refine Detection) kit.

Heat mediated antigen retrieval with Tris-EDTA buffer (pH 9.0, epitope retrieval solution 2) for 20 mins was used.

Immunocytochemistry/ Immunofluorescence - Anti-CD70 antibody [EPR26536-122] (AB300083)
  • ICC/IF

Supplier Data

Immunocytochemistry/ Immunofluorescence - Anti-CD70 antibody [EPR26536-122] (AB300083)

Immunofluorescent analysis of 100% methanol-fixed, 0.1% TritonX-100 permeabilized A-498 (human kidney epithelial) cells labeling CD70 with ab300083 at 1/50 (8.68 μg/ml) dilution, followed by ab150081 Goat Anti-Rabbit IgG H&L (Alexa Fluor® 488) preadsorbed antibody at 1/1000 (2 μg/ml) dilution (Green). Confocal showing cytoplasmic and membranous staining in A-498 cell line. Negative control : Jurkat (PMID : 15226368). ab195889 Anti-alpha Tubulin mouse monoclonal antibody - Microtubule Marker (Alexa Fluor® 594) was used to counterstain tubulin at 1/200 (2.5 μg/ml) dilution (Red). The Nuclear counterstain was DAPI (Blue).

Secondary antibody only control : Secondary antibody is ab150081 Goat Anti-Rabbit IgG H&L (Alexa Fluor® 488) preadsorbed at 1/1000 (2 μg/ml) dilution.

Immunoprecipitation - Anti-CD70 antibody [EPR26536-122] (AB300083)
  • IP

Supplier Data

Immunoprecipitation - Anti-CD70 antibody [EPR26536-122] (AB300083)

CD70 was immunoprecipitated from 0.35 mg A-498 (Human kidney carcinoma) whole cell lysate with anti CD70 antibody ab300083 at 1/30 dilution (2 μg in 0.35mg lysates). Western blot was performed on the immunoprecipitate using ab300083 at 1/1000 dilution. VeriBlot for IP secondary antibody(HRP)(ab131366) was used at 1/5000 dilution.

Lane 1 : A-498 (Human kidney carcinoma) whole cell lysate 10 μg (Inset)

Lane 2 : ab300083 IP in A-498 whole cell lysate

Lane 3 : Rabbit monoclonal IgG (ab172730) instead of ab300083 in A-498 whole cell lysate

Blocking and dilution buffer and concentration : 5% NFDM/TBST.

Exposure time : 32 seconds

The CD27 monomer and dimer were enriched by IP.

All lanes:

Immunoprecipitation - Anti-CD70 antibody [EPR26536-122] (ab300083)

Predicted band size: 21 kDa

false

Western blot - Anti-CD70 antibody [EPR26536-122] (AB300083)
  • WB

Supplier Data

Western blot - Anti-CD70 antibody [EPR26536-122] (AB300083)

5% NFDM/TBST was used as blosking and diluting buffer.

Samples are non-boiled as boiling may cause protein aggregates.
The expression profile/molecular weight observed is consistent with that described in the literature (PMID : 25691774, 11980654).
Low expression : Jurkat, SH-SY5Y ( PMID : 16892042).

Exposure time :

Lane1 : 48 seconds;
Lane2 : 10 seconds

All lanes:

Western blot - Anti-CD70 antibody [EPR26536-122] (ab300083) at 1/1000 dilution

Lane 1:

U266B1 (human multiple myeloma B lymphocyte) whole cell lysate at 20 µg

Lane 2:

SK-OV-3 (human ovarian cancer epithelial cell) whole cell lysate at 20 µg

Lane 3:

A-498 (Human kidney carcinoma) whole cell lysate at 20 µg

Lane 4:

786-O (Human kidney renal cell adenocarcinoma) whole cell lysate at 20 µg

Lane 5:

Jurkat (human T cell leukemia T lymphocyte) whole cell lysate at 20 µg

Lane 6:

SH-SY5Y (human neuroblastoma epithelial cell) whole cell lysate at 20 µg

Secondary

All lanes:

Goat Anti-Rabbit IgG (HRP) with minimal cross-reactivity with human IgG at 1/5000 dilution

Predicted band size: 21 kDa

Observed band size: 27 kDa,54 kDa,81 kDa

false

Western blot - Anti-CD70 antibody [EPR26536-122] (AB300083)
  • WB

Supplier Data

Western blot - Anti-CD70 antibody [EPR26536-122] (AB300083)

5% NFDM/TBST was used as blocking and diluting buffer.

This blot was developed using a higher sensitivity ECL substrate.
Samples are non-boiled as boiling may cause protein aggregates.
The expression profile/molecular weight observed is consistent with that described in the literature (PMID : 25691774, 11980654).

All lanes:

Western blot - Anti-CD70 antibody [EPR26536-122] (ab300083) at 1/1000 dilution

All lanes:

Human lymphoma tissue lysate at 20 µg

Secondary

All lanes:

Goat Anti-Rabbit IgG (HRP) with minimal cross-reactivity with human IgG at 1/5000 dilution

Predicted band size: 21 kDa

Observed band size: 27 kDa,54 kDa,81 kDa

false

Exposure time: 81s

  • Carrier free

    Anti-CD70 antibody [EPR26536-122] (BSA and Azide free)

Key facts

Host species

Rabbit

Clonality

Monoclonal

Clone number

EPR26536-122

Isotype

IgG

Carrier free

No

Reacts with

Human

Applications

IP, IHC-P, ICC/IF, WB

applications

Immunogen

The exact immunogen used to generate this antibody is proprietary information.

Reactivity data

{ "title": "Reactivity Data", "filters": { "stats": ["", "Species", "Dilution Info", "Notes"], "tabs": { "all-applications": {"fullname" : "All Applications", "shortname": "All Applications"}, "IHCP" : {"fullname" : "Immunohistochemistry (Formalin/PFA-fixed paraffin-embedded sections)", "shortname":"IHC-P"}, "FlowCyt" : {"fullname" : "Flow Cytometry", "shortname":"Flow Cyt"}, "WB" : {"fullname" : "Western blot", "shortname":"WB"}, "IP" : {"fullname" : "Immunoprecipitation", "shortname":"IP"}, "ICCIF" : {"fullname" : "Immunocytochemistry/ Immunofluorescence", "shortname":"ICC/IF"} }, "product-promise": { "all": "all", "testedAndGuaranteed": "tested", "guaranteed": "expected", "predicted": "predicted", "notRecommended": "not-recommended" } }, "values": { "Human": { "IHCP-species-checked": "testedAndGuaranteed", "IHCP-species-dilution-info": "1/500", "IHCP-species-notes": "<p></p> Perform heat-mediated antigen retrieval with Tris/EDTA buffer pH 9.0 before commencing with IHC staining protocol.", "FlowCyt-species-checked": "notRecommended", "FlowCyt-species-dilution-info": "", "FlowCyt-species-notes": "<p></p>", "WB-species-checked": "testedAndGuaranteed", "WB-species-dilution-info": "1/1000", "WB-species-notes": "<p></p>", "IP-species-checked": "testedAndGuaranteed", "IP-species-dilution-info": "1/30", "IP-species-notes": "<p></p>", "ICCIF-species-checked": "testedAndGuaranteed", "ICCIF-species-dilution-info": "1/50", "ICCIF-species-notes": "<p></p>" }, "Mouse": { "IHCP-species-checked": "notRecommended", "IHCP-species-dilution-info": "1/500", "IHCP-species-notes": "<p></p> Perform heat-mediated antigen retrieval with Tris/EDTA buffer pH 9.0 before commencing with IHC staining protocol.", "FlowCyt-species-checked": "notRecommended", "FlowCyt-species-dilution-info": "", "FlowCyt-species-notes": "", "WB-species-checked": "notRecommended", "WB-species-dilution-info": "", "WB-species-notes": "", "IP-species-checked": "notRecommended", "IP-species-dilution-info": "", "IP-species-notes": "", "ICCIF-species-checked": "notRecommended", "ICCIF-species-dilution-info": "", "ICCIF-species-notes": "" }, "Rat": { "IHCP-species-checked": "notRecommended", "IHCP-species-dilution-info": "1/500", "IHCP-species-notes": "<p></p> Perform heat-mediated antigen retrieval with Tris/EDTA buffer pH 9.0 before commencing with IHC staining protocol.", "FlowCyt-species-checked": "notRecommended", "FlowCyt-species-dilution-info": "", "FlowCyt-species-notes": "", "WB-species-checked": "notRecommended", "WB-species-dilution-info": "", "WB-species-notes": "", "IP-species-checked": "notRecommended", "IP-species-dilution-info": "", "IP-species-notes": "", "ICCIF-species-checked": "notRecommended", "ICCIF-species-dilution-info": "", "ICCIF-species-notes": "" } } }

Product details

What is this antibody validated in?
Anti-CD70 antibody [EPR26536-122] (ab300083) is a rabbit recombinant monoclonal antibody and is validated for use in Western Blot (WB), Immunoprecipitation (IP), Immunohistochemistry (IHC-P), Immunocytochemistry/immunofluorescence (ICC/IF) in Human samples.

What is the molecular weight of CD70?
Anti-CD70 [EPR26536-122] (ab300083) specifically detects a band for CD70 (UniProt: P32970) at a molecular weight of 21kDa.

Trial sizes available!
Test your antibody or perform pre-screening before committing to a larger quantity. Sold in 10µl. Discover our selection of trial-size antibodies.

Other related products
We have a range of other formats of antibody clone [EPR26536-122] also available for your convenience: ab300083, Carrier free - ab300084, Carrier free - ab302869

Patented technology
Our RabMAb® technology is a patented hybridoma-based technology for making rabbit monoclonal antibodies. For details on our patents, please refer to RabMAb® patents.

What are the advantages of a recombinant monoclonal antibody?
This product is a recombinant monoclonal antibody, which offers several advantages including:

  • - High batch-to-batch consistency and reproducibility
  • - Improved sensitivity and specificity
  • - Long-term security of supply
  • - Animal-free batch production

For more information, read more on recombinant antibodies.

Properties and storage information

Form
Liquid
Purification technique
Affinity purification Protein A
Storage buffer
pH: 7.2 - 7.4 Preservative: 0.01% Sodium azide Constituents: PBS, 40% Glycerol (glycerin, glycerine), 0.05% BSA
Shipped at conditions
Blue Ice
Appropriate short-term storage duration
1-2 weeks
Appropriate short-term storage conditions
+4°C
Appropriate long-term storage conditions
-20°C
Aliquoting information
Upon delivery aliquot
Storage information
Avoid freeze / thaw cycle

Supplementary information

This supplementary information is collated from multiple sources and compiled automatically.

CD70 also known as CD27 ligand or CD27L is a type II transmembrane protein with a molecular mass of approximately 30 kDa. It belongs to the tumor necrosis factor (TNF) superfamily and is encoded by the CD70 gene. The expression of CD70 occurs mainly on activated T and B cells dendritic cells and some NK cells but not on resting lymphocytes. In addition CD70 expression is observed in certain malignancies and inflammatory conditions.
Biological function summary

CD70 plays an essential role in the regulation of immune responses. It does this by binding to its receptor CD27 forming a receptor-ligand complex that triggers signaling pathways vital for T cell proliferation survival and differentiation. This interaction also influences the production of immunoglobulins by B cells. CD70-CD27 signaling is particularly important in shaping adaptive immunity enhancing the body's ability to respond to pathogens effectively.

Pathways

CD70 is integral in the activation of the NF-κB and MAPK pathways. These pathways are activated upon the interaction of CD70 with CD27 promoting cell survival proliferation and pro-inflammatory cytokine production. Other proteins related to CD70 through these pathways include TRAF2 and TRAF3 which are essential for downstream signaling events that modulate immune responses.

CD70 has been implicated in autoimmune diseases and certain cancers. For instance it plays a role in the pathogenesis of lupus by contributing to abnormal immune activation. Overexpression of CD70 is also associated with various cancers such as renal cell carcinoma where it can support tumor cell growth and immune evasion. Through these conditions CD70 interacts with proteins like BCL-2 in cancer affecting cell survival pathways while its interaction with CD27 influences the immune deregulation seen in lupus.

Product protocols

For this product, it's our understanding that no specific protocols are required. You can visit:

Target data

Expressed at the plasma membrane of B cells, it is the ligand of the CD27 receptor which is specifically expressed at the surface of T cells (PubMed : 28011863, PubMed : 28011864, PubMed : 8387892). The CD70-CD27 signaling pathway mediates antigen-specific T cell activation and expansion which in turn provides immune surveillance of B cells (PubMed : 28011863, PubMed : 28011864).
See full target information CD70

Publications (3)

Recent publications for all applications. Explore the full list and refine your search

Frontiers in immunology 16:1508559 PubMed40078987

2025

Single-cell RNA-sequencing reveals cellular heterogeneity and immune microenvironment characteristics between ocular adnexal mucosa-associated lymphoid lymphoma and IgG4-related ophthalmic disease.

Applications

Unspecified application

Species

Unspecified reactive species

Yu Yang,Yujiao Wang,Xuelian Jin,Weimin He

Cell reports. Medicine 5:101351 PubMed38134930

2023

B cell depletion attenuates CD27 signaling of T helper cells in multiple sclerosis.

Applications

Unspecified application

Species

Unspecified reactive species

Can Ulutekin,Edoardo Galli,Bettina Schreiner,Mohsen Khademi,Ilaria Callegari,Fredrik Piehl,Nicholas Sanderson,Daniel Kirschenbaum,Sarah Mundt,Massimo Filippi,Roberto Furlan,Tomas Olsson,Tobias Derfuss,Florian Ingelfinger,Burkhard Becher

Cancer cell 41:340-355.e6 PubMed36787696

2023

CD70 is a therapeutic target upregulated in EMT-associated EGFR tyrosine kinase inhibitor resistance.

Applications

Unspecified application

Species

Unspecified reactive species

Monique B Nilsson,Yan Yang,Simon Heeke,Sonia A Patel,Alissa Poteete,Hibiki Udagawa,Yasir Y Elamin,Cesar A Moran,Yukie Kashima,Thiruvengadam Arumugam,Xiaoxing Yu,Xiaoyang Ren,Lixia Diao,Li Shen,Qi Wang,Minying Zhang,Jacqulyne P Robichaux,Chunhua Shi,Allyson N Pfeil,Hai Tran,Don L Gibbons,Jason Bock,Jing Wang,John D Minna,Susumu S Kobayashi,Xiuning Le,John V Heymach
View all publications

Product promise

We are committed to supporting your work with high-quality reagents, and we're here for you every step of the way. In the unlikely event that one of our products does not perform as expected, you're protected by our Product Promise.
For full details, please see our Terms & Conditions

Please note: All products are 'FOR RESEARCH USE ONLY. NOT FOR USE IN DIAGNOSTIC OR THERAPEUTIC PROCEDURES'.

For licensing inquiries, please contact partnerships@abcam.com