JavaScript is disabled in your browser. Please enable JavaScript to view this website.
AB300084

Anti-CD70 antibody [EPR26536-122] (BSA and Azide free)

Be the first to review this product! Submit a review

|

(0 Publication)

Rabbit Recombinant Monoclonal CD70 antibody. Carrier free. Suitable for IHC-P, WB, IP, ICC/IF and reacts with Human samples.

View Alternative Names

CD70, CD27L, CD27LG, TNFSF7, CD70 antigen, CD27 ligand, Tumor necrosis factor ligand superfamily member 7, CD27-L

8 Images
Immunohistochemistry (Formalin/PFA-fixed paraffin-embedded sections) - Anti-CD70 antibody [EPR26536-122] (BSA and Azide free) (AB300084)
  • IHC-P

Supplier Data

Immunohistochemistry (Formalin/PFA-fixed paraffin-embedded sections) - Anti-CD70 antibody [EPR26536-122] (BSA and Azide free) (AB300084)

This data was developed using ab300083, the same antibody clone in a different buffer formulation.

Immunohistochemical analysis of paraffin-embedded human lung cancer tissue labeling CD70 with ab300083 at 1/500 dilution (0.868 μg/ml), followed by a ready to use Leica DS9800 (BOND™ Polymer Refine Detection). Positive staining in human lung cancer is observed. The section was incubated with ab300083 for 30 mins at room temperature. The immunostaining was performed on a Leica Biosystems BOND® RX instrument. Counterstained with Hematoxylin.

Secondary antibody only control : Secondary antibody is a ready to use Leica DS9800 (BOND™ Polymer Refine Detection) kit.

Heat mediated antigen retrieval with Tris-EDTA buffer (pH 9.0, epitope retrieval solution 2) for 20 mins was used.

Immunohistochemistry (Formalin/PFA-fixed paraffin-embedded sections) - Anti-CD70 antibody [EPR26536-122] (BSA and Azide free) (AB300084)
  • IHC-P

Supplier Data

Immunohistochemistry (Formalin/PFA-fixed paraffin-embedded sections) - Anti-CD70 antibody [EPR26536-122] (BSA and Azide free) (AB300084)

This data was developed using ab300083, the same antibody clone in a different buffer formulation.

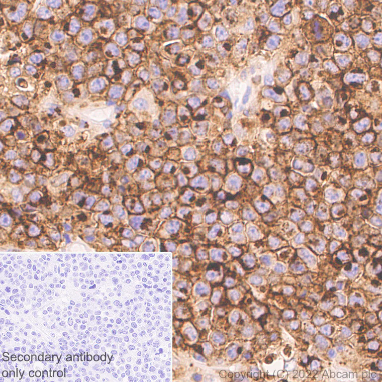
Immunohistochemical analysis of paraffin-embedded human NKT lymphoma tissue labeling CD70 with ab300083 at 1/500 dilution (0.868 μg/ml), followed by a ready to use Leica DS9800 (BOND™ Polymer Refine Detection) kit. Positive staining in human NKT lymphoma is observed. The section was incubated with ab300083 for 30 mins at room temperature. The immunostaining was performed on a Leica Biosystems BOND® RX instrument. Counterstained with Hematoxylin.

Secondary antibody only control : Secondary antibody is a ready to use Leica DS9800 (BOND™ Polymer Refine Detection) kit.

Heat mediated antigen retrieval with Tris-EDTA buffer (pH 9.0, epitope retrieval solution 2) for 20 mins was used.

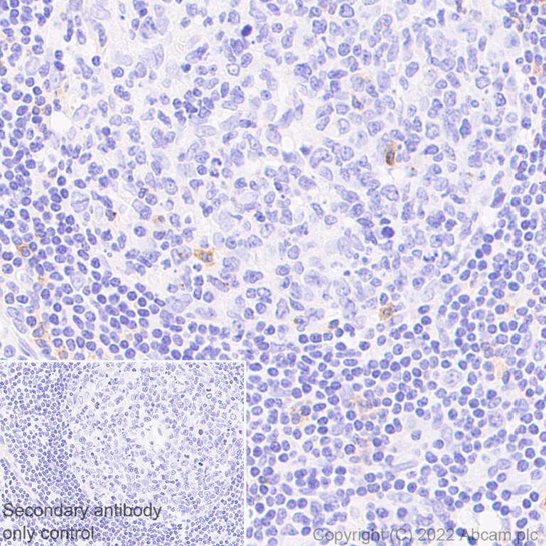
Immunohistochemistry (Formalin/PFA-fixed paraffin-embedded sections) - Anti-CD70 antibody [EPR26536-122] (BSA and Azide free) (AB300084)
  • IHC-P

Supplier Data

Immunohistochemistry (Formalin/PFA-fixed paraffin-embedded sections) - Anti-CD70 antibody [EPR26536-122] (BSA and Azide free) (AB300084)

This data was developed using ab300083, the same antibody clone in a different buffer formulation.

Immunohistochemical analysis of paraffin-embedded human lymph node tissue labeling CD70 with ab300083 at 1/500 dilution (0.868 μg/ml), followed by a ready to use Leica DS9800 (BOND™ Polymer Refine Detection) kit. Positive staining in human lymph node is observed. The section was incubated with ab300083 for 30 mins at room temperature. The immunostaining was performed on a Leica Biosystems BOND® RX instrument. Counterstained with Hematoxylin.

Secondary antibody only control : Secondary antibody is a ready to use Leica DS9800 (BOND™ Polymer Refine Detection) kit.

Heat mediated antigen retrieval with Tris-EDTA buffer (pH 9.0, epitope retrieval solution 2) for 20 mins was used.

Immunohistochemistry (Formalin/PFA-fixed paraffin-embedded sections) - Anti-CD70 antibody [EPR26536-122] (BSA and Azide free) (AB300084)
  • IHC-P

Supplier Data

Immunohistochemistry (Formalin/PFA-fixed paraffin-embedded sections) - Anti-CD70 antibody [EPR26536-122] (BSA and Azide free) (AB300084)

This data was developed using ab300083, the same antibody clone in a different buffer formulation.

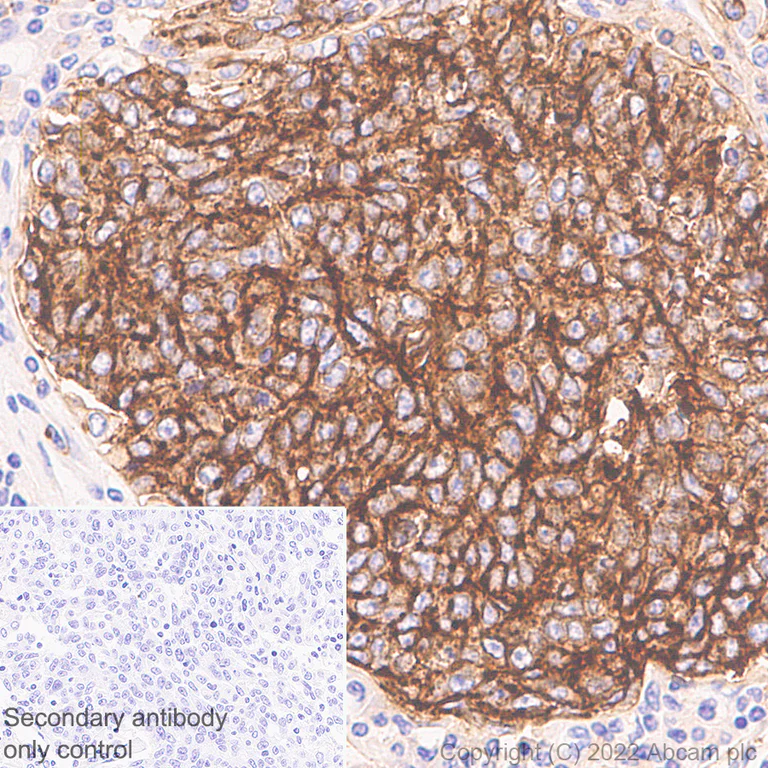
Immunohistochemical analysis of paraffin-embedded clear cell carcinoma tissue labeling CD70 with ab300083 at 1/500 dilution (0.868 μg/ml), followed by a ready to use Leica DS9800 (BOND™ Polymer Refine Detection) kit. Positive staining in clear cell carcinoma of human kidney is observed. The section was incubated with ab300083 for 30 mins at room temperature. The immunostaining was performed on a Leica Biosystems BOND® RX instrument. Counterstained with Hematoxylin.

Secondary antibody only control : Secondary antibody is a ready to use Leica DS9800 (BOND™ Polymer Refine Detection) kit.

Heat mediated antigen retrieval with Tris-EDTA buffer (pH 9.0, epitope retrieval solution 2) for 20 mins was used.

Immunocytochemistry/ Immunofluorescence - Anti-CD70 antibody [EPR26536-122] (BSA and Azide free) (AB300084)
  • ICC/IF

Supplier Data

Immunocytochemistry/ Immunofluorescence - Anti-CD70 antibody [EPR26536-122] (BSA and Azide free) (AB300084)

This data was developed using ab300083, the same antibody clone in a different buffer formulation.

Immunofluorescent analysis of 100% methanol-fixed, 0.1% TritonX-100 permeabilized A-498 (human kidney epithelial) cells labeling CD70 with ab300083 at 1/50 (8.68 μg/ml) dilution, followed by ab150081 Goat Anti-Rabbit IgG H&L (Alexa Fluor® 488) preadsorbed antibody at 1/1000 (2 μg/ml) dilution (Green). Confocal showing cytoplasmic and membranous staining in A-498 cell line. Negative control : Jurkat (PMID : 15226368). ab195889 Anti-alpha Tubulin mouse monoclonal antibody - Microtubule Marker (Alexa Fluor® 594) was used to counterstain tubulin at 1/200 (2.5 μg/ml) dilution (Red). The Nuclear counterstain was DAPI (Blue).

Secondary antibody only control : Secondary antibody is ab150081 Goat Anti-Rabbit IgG H&L (Alexa Fluor® 488) preadsorbed at 1/1000 (2 μg/ml) dilution.

Immunoprecipitation - Anti-CD70 antibody [EPR26536-122] (BSA and Azide free) (AB300084)
  • IP

Supplier Data

Immunoprecipitation - Anti-CD70 antibody [EPR26536-122] (BSA and Azide free) (AB300084)

This data was developed using anti CD70 antibody [EPR26536-122] the same antibody clone in a different buffer formulation.

CD70 was immunoprecipitated from 0.35 mg A-498 (Human kidney carcinoma) whole cell lysate with anti CD70 antibody ab300083 at 1/30 dilution (2 μg in 0.35mg lysates). Western blot was performed on the immunoprecipitate using ab300083 at 1/1000 dilution. VeriBlot for IP secondary antibody(HRP)(ab131366) was used at 1/5000 dilution.

Lane 1 : A-498 (Human kidney carcinoma) whole cell lysate 10 μg (Inset)

Lane 2 : ab300083 IP in A-498 whole cell lysate

Lane 3 : Rabbit monoclonal IgG (ab172730) instead of ab300083 in A-498 whole cell lysate

Blocking and dilution buffer and concentration : 5% NFDM/TBST.

Exposure time : 32 seconds

The CD27 monomer and dimer were enriched by IP.

All lanes:

Immunoprecipitation - Anti-CD70 antibody [EPR26536-122] (<a href='/en-us/products/primary-antibodies/cd70-antibody-epr26536-122-ab300083'>ab300083</a>)

Predicted band size: 21 kDa

false

Western blot - Anti-CD70 antibody [EPR26536-122] (BSA and Azide free) (AB300084)
  • WB

Supplier Data

Western blot - Anti-CD70 antibody [EPR26536-122] (BSA and Azide free) (AB300084)

This data was developed using ab300083, the same antibody clone in a different buffer formulation.

5% NFDM/TBST was used as blosking and diluting buffer.

Samples are non-boiled as boiling may cause protein aggregates.
The expression profile/molecular weight observed is consistent with that described in the literature (PMID : 25691774, 11980654).
Low expression : Jurkat, SH-SY5Y ( PMID : 16892042).

Exposure time :

Lane1 : 48 seconds;
Lane2 : 10 seconds

All lanes:

Western blot - Anti-CD70 antibody [EPR26536-122] (<a href='/en-us/products/primary-antibodies/cd70-antibody-epr26536-122-ab300083'>ab300083</a>) at 1/1000 dilution

Lane 1:

U266B1 (human multiple myeloma B lymphocyte) whole cell lysate at 20 µg

Lane 2:

SK-OV-3 (human ovarian cancer epithelial cell) whole cell lysate at 20 µg

Lane 3:

A-498 (Human kidney carcinoma) whole cell lysate at 20 µg

Lane 4:

786-O (Human kidney renal cell adenocarcinoma) whole cell lysate at 20 µg

Lane 5:

Jurkat (human T cell leukemia T lymphocyte) whole cell lysate at 20 µg

Lane 6:

SH-SY5Y (human neuroblastoma epithelial cell) whole cell lysate at 20 µg

Secondary

All lanes:

Goat Anti-Rabbit IgG (HRP) with minimal cross-reactivity with human IgG at 1/5000 dilution

Predicted band size: 21 kDa

Observed band size: 27 kDa,54 kDa,81 kDa

false

Western blot - Anti-CD70 antibody [EPR26536-122] (BSA and Azide free) (AB300084)
  • WB

Supplier Data

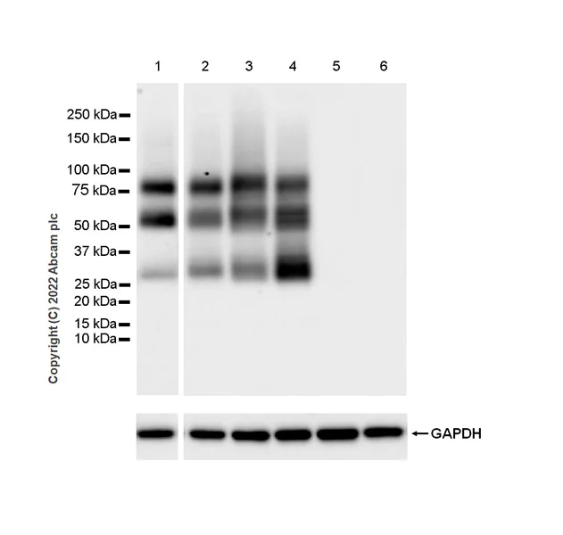
Western blot - Anti-CD70 antibody [EPR26536-122] (BSA and Azide free) (AB300084)

This data was developed using ab300083, the same antibody clone in a different buffer formulation.

5% NFDM/TBST was used as blocking and diluting buffer.

This blot was developed using a higher sensitivity ECL substrate.
Samples are non-boiled as boiling may cause protein aggregates.
The expression profile/molecular weight observed is consistent with that described in the literature (PMID : 25691774, 11980654).

All lanes:

Western blot - Anti-CD70 antibody [EPR26536-122] (<a href='/en-us/products/primary-antibodies/cd70-antibody-epr26536-122-ab300083'>ab300083</a>) at 1/1000 dilution

All lanes:

Human lymphoma tissue lysate at 20 µg

Secondary

All lanes:

Goat Anti-Rabbit IgG (HRP) with minimal cross-reactivity with human IgG at 1/5000 dilution

Predicted band size: 21 kDa

Observed band size: 27 kDa,54 kDa,81 kDa

false

Exposure time: 81s

Key facts

Host species

Rabbit

Clonality

Monoclonal

Clone number

EPR26536-122

Isotype

IgG

Carrier free

Yes

Reacts with

Human

Applications

WB, IP, IHC-P, ICC/IF

applications

Immunogen

The exact immunogen used to generate this antibody is proprietary information.

Reactivity data

{ "title": "Reactivity Data", "filters": { "stats": ["", "Species", "Dilution Info", "Notes"], "tabs": { "all-applications": {"fullname" : "All Applications", "shortname": "All Applications"}, "IHCP" : {"fullname" : "Immunohistochemistry (Formalin/PFA-fixed paraffin-embedded sections)", "shortname":"IHC-P"}, "FlowCyt" : {"fullname" : "Flow Cytometry", "shortname":"Flow Cyt"}, "WB" : {"fullname" : "Western blot", "shortname":"WB"}, "IP" : {"fullname" : "Immunoprecipitation", "shortname":"IP"}, "ICCIF" : {"fullname" : "Immunocytochemistry/ Immunofluorescence", "shortname":"ICC/IF"} }, "product-promise": { "all": "all", "testedAndGuaranteed": "tested", "guaranteed": "expected", "predicted": "predicted", "notRecommended": "not-recommended" } }, "values": { "Human": { "IHCP-species-checked": "testedAndGuaranteed", "IHCP-species-dilution-info": "", "IHCP-species-notes": "<p></p>", "FlowCyt-species-checked": "notRecommended", "FlowCyt-species-dilution-info": "", "FlowCyt-species-notes": "<p></p>", "WB-species-checked": "testedAndGuaranteed", "WB-species-dilution-info": "", "WB-species-notes": "<p></p>", "IP-species-checked": "testedAndGuaranteed", "IP-species-dilution-info": "", "IP-species-notes": "<p></p>", "ICCIF-species-checked": "testedAndGuaranteed", "ICCIF-species-dilution-info": "", "ICCIF-species-notes": "<p></p>" }, "Mouse": { "IHCP-species-checked": "notRecommended", "IHCP-species-dilution-info": "", "IHCP-species-notes": "<p></p>", "FlowCyt-species-checked": "notRecommended", "FlowCyt-species-dilution-info": "", "FlowCyt-species-notes": "", "WB-species-checked": "notRecommended", "WB-species-dilution-info": "", "WB-species-notes": "", "IP-species-checked": "notRecommended", "IP-species-dilution-info": "", "IP-species-notes": "", "ICCIF-species-checked": "notRecommended", "ICCIF-species-dilution-info": "", "ICCIF-species-notes": "" }, "Rat": { "IHCP-species-checked": "notRecommended", "IHCP-species-dilution-info": "", "IHCP-species-notes": "<p></p>", "FlowCyt-species-checked": "notRecommended", "FlowCyt-species-dilution-info": "", "FlowCyt-species-notes": "", "WB-species-checked": "notRecommended", "WB-species-dilution-info": "", "WB-species-notes": "", "IP-species-checked": "notRecommended", "IP-species-dilution-info": "", "IP-species-notes": "", "ICCIF-species-checked": "notRecommended", "ICCIF-species-dilution-info": "", "ICCIF-species-notes": "" } } }

Product details

Conjugation ready
Our carrier-free antibodies are typically supplied in a PBS-only formulation, purified and free of BSA, sodium azide and glycerol. This conjugation-ready format is designed for use with fluorochromes, metal isotopes, oligonucleotides, and enzymes, which makes them ideal for antibody labelling, functional and cell-based assays, flow-based assays (e.g. mass cytometry) and Multiplex Imaging applications.

Use our conjugation kits for antibody conjugates that are ready-to-use in as little as 20 minutes with 1 minute hands-on-time and 100% antibody recovery: available for fluorescent dyes, HRP, biotin and gold.

Patented technology
Our RabMAb® technology is a patented hybridoma-based technology for making rabbit monoclonal antibodies. For details on our patents, please refer to RabMAb® patents.

Compatibility
This product is compatible with the Maxpar® Antibody Labeling Kit from Fluidigm, without the need for antibody preparation. Maxpar® is a trademark of Fluidigm Canada Inc.

What are the advantages of a recombinant monoclonal antibody?
This product is a recombinant monoclonal antibody, which offers several advantages including:

  • - High batch-to-batch consistency and reproducibility
  • - Improved sensitivity and specificity
  • - Long-term security of supply
  • - Animal-free batch production

For more information, read more on recombinant antibodies.

Properties and storage information

Form
Liquid
Purification technique
Affinity purification Protein A
Storage buffer
pH: 7.2 - 7.4 Constituents: PBS
Shipped at conditions
Blue Ice
Appropriate short-term storage conditions
+4°C
Appropriate long-term storage conditions
+4°C
Aliquoting information
Upon delivery aliquot

Supplementary information

This supplementary information is collated from multiple sources and compiled automatically.

CD70 also known as CD27 ligand or CD27L is a type II transmembrane protein with a molecular mass of approximately 30 kDa. It belongs to the tumor necrosis factor (TNF) superfamily and is encoded by the CD70 gene. The expression of CD70 occurs mainly on activated T and B cells dendritic cells and some NK cells but not on resting lymphocytes. In addition CD70 expression is observed in certain malignancies and inflammatory conditions.
Biological function summary

CD70 plays an essential role in the regulation of immune responses. It does this by binding to its receptor CD27 forming a receptor-ligand complex that triggers signaling pathways vital for T cell proliferation survival and differentiation. This interaction also influences the production of immunoglobulins by B cells. CD70-CD27 signaling is particularly important in shaping adaptive immunity enhancing the body's ability to respond to pathogens effectively.

Pathways

CD70 is integral in the activation of the NF-κB and MAPK pathways. These pathways are activated upon the interaction of CD70 with CD27 promoting cell survival proliferation and pro-inflammatory cytokine production. Other proteins related to CD70 through these pathways include TRAF2 and TRAF3 which are essential for downstream signaling events that modulate immune responses.

CD70 has been implicated in autoimmune diseases and certain cancers. For instance it plays a role in the pathogenesis of lupus by contributing to abnormal immune activation. Overexpression of CD70 is also associated with various cancers such as renal cell carcinoma where it can support tumor cell growth and immune evasion. Through these conditions CD70 interacts with proteins like BCL-2 in cancer affecting cell survival pathways while its interaction with CD27 influences the immune deregulation seen in lupus.

Product protocols

For this product, it's our understanding that no specific protocols are required. You can visit:

Target data

Expressed at the plasma membrane of B cells, it is the ligand of the CD27 receptor which is specifically expressed at the surface of T cells (PubMed : 28011863, PubMed : 28011864, PubMed : 8387892). The CD70-CD27 signaling pathway mediates antigen-specific T cell activation and expansion which in turn provides immune surveillance of B cells (PubMed : 28011863, PubMed : 28011864).
See full target information CD70

Product promise

We are committed to supporting your work with high-quality reagents, and we're here for you every step of the way. In the unlikely event that one of our products does not perform as expected, you're protected by our Product Promise.
For full details, please see our Terms & Conditions

Please note: All products are 'FOR RESEARCH USE ONLY. NOT FOR USE IN DIAGNOSTIC OR THERAPEUTIC PROCEDURES'.

For licensing inquiries, please contact partnerships@abcam.com