JavaScript is disabled in your browser. Please enable JavaScript to view this website.
AB319991

Anti-CD70 antibody [EPR28771-94] - BSA and Azide free

Be the first to review this product! Submit a review

|

(0 Publication)

Rabbit Recombinant Monoclonal CD70 antibody. Carrier free. Suitable for IHC-P, WB and reacts with Transfected cell line - Human, Mouse samples.

View Alternative Names

CD70, Cd27l, Cd27lg, Tnfsf7, Cd70, CD70 antigen, CD27 ligand, Tumor necrosis factor ligand superfamily member 7, CD27-L

6 Images
Immunohistochemistry (Formalin/PFA-fixed paraffin-embedded sections) - Anti-CD70 antibody [EPR28771-94] - BSA and Azide free (AB319991)
  • IHC-P

Supplier Data

Immunohistochemistry (Formalin/PFA-fixed paraffin-embedded sections) - Anti-CD70 antibody [EPR28771-94] - BSA and Azide free (AB319991)

This data was developed using ab319990, the same antibody clone in a different buffer formulation.

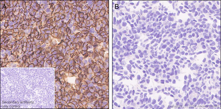
Immunohistochemical analysis of paraffin-embedded (A) HEK-293T (human epithelial cell line from embryonic kidney) transfected with a CD70 expression vector containing a Myc-His tag. (B) HEK-293T transfected with empty vector containing a Myc-His tag. tissue labeling CD70 with ab319990 at 1/2000 (0.255 ug/ml) dilution, followed by a ready to use LeicaDS9800 (Bond™ Polymer Refine Detection).

Positive staining on (A) HEK-293T (human epithelial cell line from embryonic kidney) transfected with a CD70 expression vector containing a Myc-His tag, negative staining on (B) HEK-293T transfected with empty vector containing a Myc-His tag. The section was incubated with ab319990 for 30 mins at room temperature.
The immunostaining was performed on a Leica Biosystems BOND® RX instrument

Counterstained with Hematoxylin.

Secondary antibody only control : Secondary antibody is a ready to use LeicaDS9800 (Bond™ Polymer Refine Detection).

Heat mediated antigen retrieval was performed with Tris-EDTA buffer (pH 9.0, Epitope Retrieval Solution2) for 20 mins

Immunohistochemistry (Formalin/PFA-fixed paraffin-embedded sections) - Anti-CD70 antibody [EPR28771-94] - BSA and Azide free (AB319991)
  • IHC-P

Supplier Data

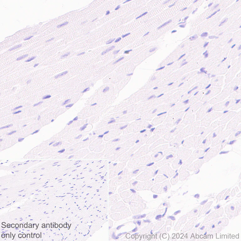
Immunohistochemistry (Formalin/PFA-fixed paraffin-embedded sections) - Anti-CD70 antibody [EPR28771-94] - BSA and Azide free (AB319991)

This data was developed using ab319990, the same antibody clone in a different buffer formulation.

Immunohistochemical analysis of paraffin-embedded Mouse skeletal muscle tissue labeling CD70 with ab319990 at 1/500 (1.018 ug/ml) dilution, followed by a ready to use LeicaDS9800 (Bond™ Polymer Refine Detection).

Low expression : no staining on mouse skeletal muscle. The section was incubated with ab319990 for 30 mins at room temperature.
The immunostaining was performed on a Leica Biosystems BOND® RX instrument

Counterstained with Hematoxylin.

Secondary antibody only control : Secondary antibody is a ready to use LeicaDS9800 (Bond™ Polymer Refine Detection).

Heat mediated antigen retrieval was performed with Tris-EDTA buffer (pH 9.0, Epitope Retrieval Solution2) for 20 mins

Immunohistochemistry (Formalin/PFA-fixed paraffin-embedded sections) - Anti-CD70 antibody [EPR28771-94] - BSA and Azide free (AB319991)
  • IHC-P

Supplier Data

Immunohistochemistry (Formalin/PFA-fixed paraffin-embedded sections) - Anti-CD70 antibody [EPR28771-94] - BSA and Azide free (AB319991)

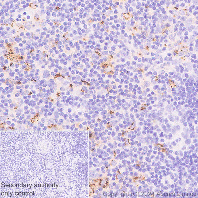
This data was developed using ab319990, the same antibody clone in a different buffer formulation.

Immunohistochemical analysis of paraffin-embedded Mouse thymus tissue labeling CD70 with ab319990 at 1/500 (1.018 ug/ml) dilution, followed by a ready to use LeicaDS9800 (Bond™ Polymer Refine Detection).

Positive staining on mouse thymus (PMID : 23547099; PMID : 35145909; PMID : 20664585). The section was incubated with ab319990 for 30 mins at room temperature.
The immunostaining was performed on a Leica Biosystems BOND® RX instrument

Counterstained with Hematoxylin.

Secondary antibody only control : Secondary antibody is a ready to use LeicaDS9800 (Bond™ Polymer Refine Detection).

Heat mediated antigen retrieval was performed with Tris-EDTA buffer (pH 9.0, Epitope Retrieval Solution2) for 20 mins

Immunohistochemistry (Formalin/PFA-fixed paraffin-embedded sections) - Anti-CD70 antibody [EPR28771-94] - BSA and Azide free (AB319991)
  • IHC-P

Supplier Data

Immunohistochemistry (Formalin/PFA-fixed paraffin-embedded sections) - Anti-CD70 antibody [EPR28771-94] - BSA and Azide free (AB319991)

This data was developed using ab319990, the same antibody clone in a different buffer formulation.

Immunohistochemical analysis of paraffin-embedded (A) WEHI-231 (mouse B cell lymphoma B lymphocyte) cell pellet and (B) P815 (mouse mastocytoma mast Cell) cell pellet labeling CD70 with ab319990 at 1/2000 (0.255 ug/ml) dilution, followed by a ready to use LeicaDS9800 (Bond ™ Polymer Refine Detection)

Positive staining on (A) WEHI-231 (mouse B cell lymphoma B lymphocyte) cell pellet, negative staining on (B) P815 (mouse mastocytoma mast Cell) cell pellet. The section was incubated with ab319990 for 30 mins at room temperature.
The immunostaining was performed on a Leica Biosystems BOND® RX instrument

Counterstained with Hematoxylin.

Secondary antibody only control : Secondary antibody is a ready to use LeicaDS9800 (Bond™ Polymer Refine Detection).

Heat mediated antigen retrieval was performed with Tris-EDTA buffer (pH 9.0, Epitope Retrieval Solution2) for 20 mins

Western blot - Anti-CD70 antibody [EPR28771-94] - BSA and Azide free (AB319991)
  • WB

Supplier Data

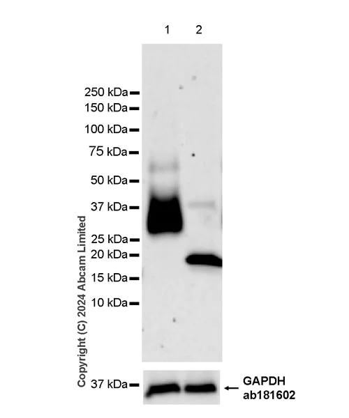
Western blot - Anti-CD70 antibody [EPR28771-94] - BSA and Azide free (AB319991)

This data was developed using ab319990, the same antibody clone in a different buffer formulation.

Blocking and diluting buffer and concentration : 5% NFDM/TBST.

CD70 is a glycoprotein of approximately 30-40 kDa and detected as a 20-kDa band after treated with Peptide : N-glycosidase F (PNGase F).

In Western blot, Anti-GAPDH antibody [EPR16891] - Loading Control (ab181602) staining at 1/200000 dilution.

All lanes:

Western blot - Anti-CD70 antibody [EPR28771-94] (<a href='/en-us/products/primary-antibodies/cd70-antibody-epr28771-94-ab319990'>ab319990</a>) at 1/1000 dilution

Lane 1:

Untreated WEHI-231 (mouse B cell lymphoma B lymphocyte) whole cell lysate at 20 µg

Lane 2:

WEHI-231 whole cell lysate treated with Peptide:N-glycosidase F (PNGase F) at 20 µg

Secondary

All lanes:

Western blot - Goat Anti-Rabbit IgG H&L (HRP) (<a href='/en-us/products/secondary-antibodies/goat-rabbit-igg-h-l-hrp-ab97051'>ab97051</a>) at 1/20000 dilution

Observed band size: 20 kDa,30-40 kDa,36 kDa

false

Exposure time: 92s

Western blot - Anti-CD70 antibody [EPR28771-94] - BSA and Azide free (AB319991)
  • WB

Supplier Data

Western blot - Anti-CD70 antibody [EPR28771-94] - BSA and Azide free (AB319991)

This data was developed using ab319990, the same antibody clone in a different buffer formulation.

Blocking and diluting buffer and concentration : 5% NFDM/TBST.

Negative control : P815 (PMID : 9620608), Neuro-2a.

Low expression : skeletal muscle.

90 kDa (trimer), 60 kDa (dimer) and 30 KDa (monomer) are due to polymerization (PMID : 26671750).

In Western blot, Anti-GAPDH antibody [EPR16891] - Loading Control (ab181602) staining at 1/200000 dilution.

All lanes:

Western blot - Anti-CD70 antibody [EPR28771-94] (<a href='/en-us/products/primary-antibodies/cd70-antibody-epr28771-94-ab319990'>ab319990</a>) at 1/1000 dilution

Lane 1:

WEHI-231 (mouse B cell lymphoma B lymphocyte) whole cell lysate at 50 µg

Lane 2:

P815 (mouse mastocytoma mast cell) whole cell lysate at 50 µg

Lane 3:

Neuro-2a (mouse neuroblastoma neuroblast) whole cell lysate at 50 µg

Lane 4:

Mouse thymus tissue lysate at 50 µg

Lane 5:

Mouse skeletal tissue lysate at 50 µg

Secondary

All lanes:

Western blot - Goat Anti-Rabbit IgG H&L (HRP) (<a href='/en-us/products/secondary-antibodies/goat-rabbit-igg-h-l-hrp-ab97051'>ab97051</a>) at 1/20000 dilution

Observed band size: 30-40 kDa,60 kDa,90 kDa,36 kDa

false

Exposure time: 92s

Key facts

Host species

Rabbit

Clonality

Monoclonal

Clone number

EPR28771-94

Isotype

IgG

Carrier free

Yes

Reacts with

Mouse

Applications

WB, IHC-P

applications

Immunogen

The exact immunogen used to generate this antibody is proprietary information.

Reactivity data

{ "title": "Reactivity Data", "filters": { "stats": ["", "Species", "Dilution Info", "Notes"], "tabs": { "all-applications": {"fullname" : "All Applications", "shortname": "All Applications"}, "IHCP" : {"fullname" : "Immunohistochemistry (Formalin/PFA-fixed paraffin-embedded sections)", "shortname":"IHC-P"}, "WB" : {"fullname" : "Western blot", "shortname":"WB"} }, "product-promise": { "all": "all", "testedAndGuaranteed": "tested", "guaranteed": "expected", "predicted": "predicted", "notRecommended": "not-recommended" } }, "values": { "Mouse": { "IHCP-species-checked": "testedAndGuaranteed", "IHCP-species-dilution-info": "", "IHCP-species-notes": "<p></p> Perform heat-mediated antigen retrieval with Tris/EDTA buffer pH 9.0 before commencing with IHC staining protocol.", "WB-species-checked": "testedAndGuaranteed", "WB-species-dilution-info": "", "WB-species-notes": "<p></p>" }, "Transfected cell line - Human": { "IHCP-species-checked": "testedAndGuaranteed", "IHCP-species-dilution-info": "", "IHCP-species-notes": "<p></p> Perform heat-mediated antigen retrieval with Tris/EDTA buffer pH 9.0 before commencing with IHC staining protocol.", "WB-species-checked": "notRecommended", "WB-species-dilution-info": "", "WB-species-notes": "" } } }

Product details

ab319991 is the carrier-free version of ab319990.

Patented technology
Our RabMAb® technology is a patented hybridoma-based technology for making rabbit monoclonal antibodies. For details on our patents, please refer to RabMAb® patents.

What are the advantages of a recombinant monoclonal antibody?
This product is a recombinant monoclonal antibody, which offers several advantages including:

  • - High batch-to-batch consistency and reproducibility
  • - Improved sensitivity and specificity
  • - Long-term security of supply
  • - Animal-free batch production

For more information, read more on recombinant antibodies.

Conjugation ready
Our carrier-free antibodies are typically supplied in a PBS-only formulation, purified and free of BSA, sodium azide and glycerol. This conjugation-ready format is designed for use with fluorochromes, metal isotopes, oligonucleotides, and enzymes, which makes them ideal for antibody labelling, functional and cell-based assays, flow-based assays (e.g. mass cytometry) and Multiplex Imaging applications.

Use our conjugation kits for antibody conjugates that are ready-to-use in as little as 20 minutes with 1 minute hands-on-time and 100% antibody recovery: available for fluorescent dyes, HRP, biotin and gold.

Compatibility
This product is compatible with the Maxpar® Antibody Labeling Kit from Fluidigm, without the need for antibody preparation. Maxpar® is a trademark of Fluidigm Canada Inc.

Properties and storage information

Form
Liquid
Purification technique
Affinity purification Protein A
Storage buffer
pH: 7.2 - 7.4 Constituents: PBS
Shipped at conditions
Blue Ice
Appropriate short-term storage conditions
+4°C
Appropriate long-term storage conditions
+4°C

Supplementary information

This supplementary information is collated from multiple sources and compiled automatically.

CD70 also known as CD27 ligand or CD27L is a type II transmembrane protein with a molecular mass of approximately 30 kDa. It belongs to the tumor necrosis factor (TNF) superfamily and is encoded by the CD70 gene. The expression of CD70 occurs mainly on activated T and B cells dendritic cells and some NK cells but not on resting lymphocytes. In addition CD70 expression is observed in certain malignancies and inflammatory conditions.
Biological function summary

CD70 plays an essential role in the regulation of immune responses. It does this by binding to its receptor CD27 forming a receptor-ligand complex that triggers signaling pathways vital for T cell proliferation survival and differentiation. This interaction also influences the production of immunoglobulins by B cells. CD70-CD27 signaling is particularly important in shaping adaptive immunity enhancing the body's ability to respond to pathogens effectively.

Pathways

CD70 is integral in the activation of the NF-κB and MAPK pathways. These pathways are activated upon the interaction of CD70 with CD27 promoting cell survival proliferation and pro-inflammatory cytokine production. Other proteins related to CD70 through these pathways include TRAF2 and TRAF3 which are essential for downstream signaling events that modulate immune responses.

CD70 has been implicated in autoimmune diseases and certain cancers. For instance it plays a role in the pathogenesis of lupus by contributing to abnormal immune activation. Overexpression of CD70 is also associated with various cancers such as renal cell carcinoma where it can support tumor cell growth and immune evasion. Through these conditions CD70 interacts with proteins like BCL-2 in cancer affecting cell survival pathways while its interaction with CD27 influences the immune deregulation seen in lupus.

Product protocols

For this product, it's our understanding that no specific protocols are required. You can visit:

Target data

Expressed at the plasma membrane of B cells, it is the ligand of the CD27 receptor which is specifically expressed at the surface of T cells. The CD70-CD27 signaling pathway mediates antigen-specific T cell activation and expansion which in turn provides immune surveillance of B cells.
See full target information Cd70

Product promise

We are committed to supporting your work with high-quality reagents, and we're here for you every step of the way. In the unlikely event that one of our products does not perform as expected, you're protected by our Product Promise.
For full details, please see our Terms & Conditions

Please note: All products are 'FOR RESEARCH USE ONLY. NOT FOR USE IN DIAGNOSTIC OR THERAPEUTIC PROCEDURES'.

For licensing inquiries, please contact partnerships@abcam.com