JavaScript is disabled in your browser. Please enable JavaScript to view this website.
AB324360

Anti-CD72 antibody [EPR29739-578] - BSA and Azide free

  • BOND RX™ Validated
  • RabMAb
  • Recombinant
  • Advanced Validation
  • What is this?

Be the first to review this product! Submit a review

|

(0 Publication)

Rabbit Recombinant Monoclonal CD72 antibody. Carrier free. Suitable for Flow Cyt, IHC-P, mIHC and reacts with Human samples.

View Alternative Names

CD72, B-cell differentiation antigen CD72, Lyb-2

6 Images
Multiplex immunohistochemistry - Anti-CD72 antibody [EPR29739-578] - BSA and Azide free (AB324360)
  • mIHC

Supplier Data

Multiplex immunohistochemistry - Anti-CD72 antibody [EPR29739-578] - BSA and Azide free (AB324360)

This data was developed using ab324351, the same antibody clone in a different buffer formulation.

Multiplex immunohistochemistry analysis of formalin/PFA-fixed paraffin-embedded human hodgkin's lymphoma tissue staining CD72 with ab324351 at a 1 : 500 (1.018 ug/ml) dilution, ab227688 anti-CD19 used at 1 : 100 (0.15 ug/ml) dilution and ab237721 anti-CD3 used at a 1 : 2000 (0.26 ug/ml) dilution.

Panel A : merged staining of anti-CD72 (green; Opal™520), anti-CD19 (magenta; Opal™570) and anti-CD3 (yellow; Opal™690) on human Hodgkin's lymphoma.
Panel B : anti-CD72 staining immune cells in human Hodgkin's lymphoma.
Panel C : ant-CD19 staining B lymphocytes in human Hodgkin's lymphoma.
Panel D : ant-CD3 staining T lymphocytes in human Hodgkin's lymphoma.
Nuclear DNA was labeled with DAPI (shown in blue).

The section was incubated in three rounds of staining : in the order of ab324351, ab227688 and ab237721 for 30 mins at room temperature. Each round was followed by a separate fluorescent tyramide signal amplification system.

The immunostaining was performed on a Leica Biosystems BOND® RX instrument with an Opal™ 4-color kit. Image acquisition was performed with Leica SP8 confocal microscope.

Nuclear counter stain with DAPI.

Heat mediated antigen retrieval was performed with Tris-EDTA buffer (pH 9.0, Epitope Retrieval Solution2) for 20 mins.

Immunohistochemistry (Formalin/PFA-fixed paraffin-embedded sections) - Anti-CD72 antibody [EPR29739-578] - BSA and Azide free (AB324360)
  • IHC-P

Supplier Data

Immunohistochemistry (Formalin/PFA-fixed paraffin-embedded sections) - Anti-CD72 antibody [EPR29739-578] - BSA and Azide free (AB324360)

This data was developed using ab324351, the same antibody clone in a different buffer formulation.

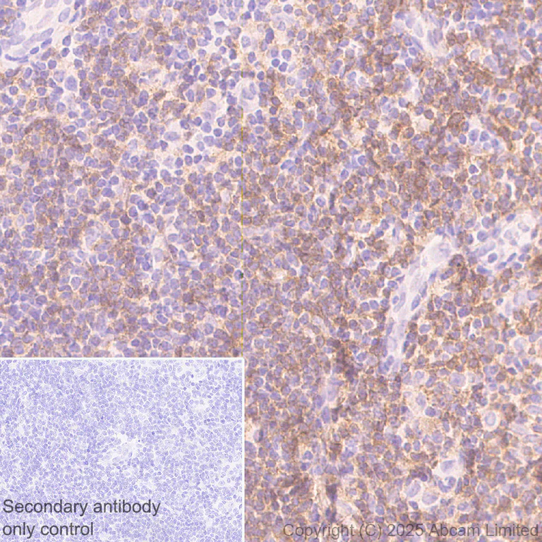
Immunohistochemical analysis of paraffin-embedded Human tonsil tissue labeling CD72 with ab324351 at 1/500 (1.018 ug/ml) dilution, followed by a ready to use Rabbit specific IHC polymer detection kit HRP/DAB (ab209101).

Positive staining on human tonsil.
The primary antibody was incubated for 30 mins at room temperature.
The immunostaining was performed on a Leica Biosystems BOND® RX instrument

Counterstained with Hematoxylin.

Secondary antibody only control : Secondary antibody is a ready to use Rabbit specific IHC polymer detection kit HRP/DAB (ab209101).

Heat mediated antigen retrieval was performed with Tris-EDTA buffer (pH 9.0, Epitope Retrieval Solution2) for 20 mins

Immunohistochemistry (Formalin/PFA-fixed paraffin-embedded sections) - Anti-CD72 antibody [EPR29739-578] - BSA and Azide free (AB324360)
  • IHC-P

Supplier Data

Immunohistochemistry (Formalin/PFA-fixed paraffin-embedded sections) - Anti-CD72 antibody [EPR29739-578] - BSA and Azide free (AB324360)

This data was developed using ab324351, the same antibody clone in a different buffer formulation.

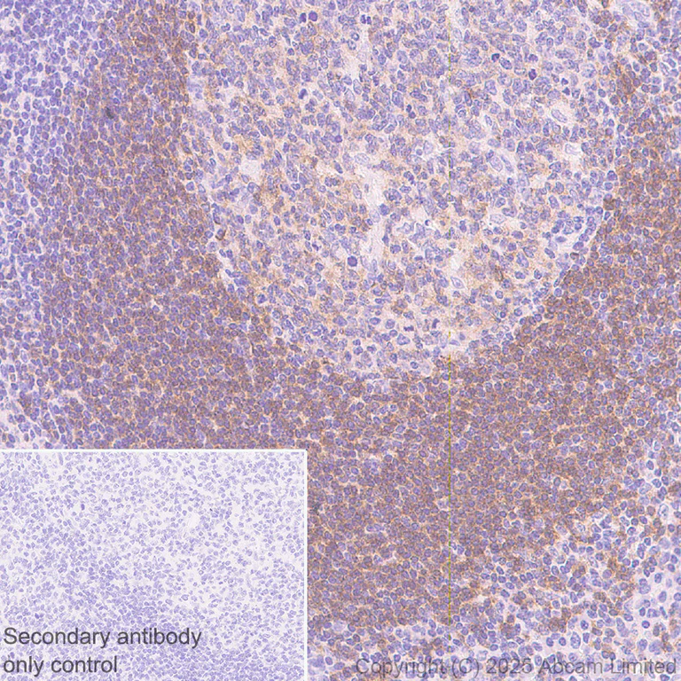
Immunohistochemical analysis of paraffin-embedded Human B-Cell follicular lymphoma tissue labeling CD72 with ab324351 at 1/500 (1.018 ug/ml) dilution, followed by a ready to use Rabbit specific IHC polymer detection kit HRP/DAB (ab209101).

Positive staining on human B-Cell follicular lymphoma.
The primary antibody was incubated for 30 mins at room temperature.
The immunostaining was performed on a Leica Biosystems BOND® RX instrument

Counterstained with Hematoxylin.

Secondary antibody only control : Secondary antibody is a ready to use Rabbit specific IHC polymer detection kit HRP/DAB (ab209101).

Heat mediated antigen retrieval was performed with Tris-EDTA buffer (pH 9.0, Epitope Retrieval Solution2) for 20 mins

Flow Cytometry - Anti-CD72 antibody [EPR29739-578] - BSA and Azide free (AB324360)
  • Flow Cyt

Supplier Data

Flow Cytometry - Anti-CD72 antibody [EPR29739-578] - BSA and Azide free (AB324360)

This data was developed using ab324351, the same antibody clone in a different buffer formulation.

Flow cytometric analysis of Human PBMC (human peripheral blood mononuclear cell) cells labelling CD72 with ab324351 at 1/500 dilution (0.1ug) / Right compared with a Rabbit monoclonal IgG (ab172730) / Left isotype control and an unlabelled control (cells without incubation with primary antibody and secondary antibody).

Goat Anti-Rabbit IgG (Alexa Fluor® 488, ab150081) at 1/5000 dilution was used as the secondary antibody.

Gated on viable cells.
Cells are co-stained with CD19 conjugated to Alexa Fluor® 647.

Flow Cytometry - Anti-CD72 antibody [EPR29739-578] - BSA and Azide free (AB324360)
  • Flow Cyt

Supplier Data

Flow Cytometry - Anti-CD72 antibody [EPR29739-578] - BSA and Azide free (AB324360)

This data was developed using ab324351, the same antibody clone in a different buffer formulation.

Flow cytometric analysis of Human PBMC (human peripheral blood mononuclear cell) cells labelling CD72 with ab324351 at 1/500 dilution (0.1ug) / Right compared with a Rabbit monoclonal IgG (ab172730) / Left isotype control and an unlabelled control (cells without incubation with primary antibody and secondary antibody).

Goat Anti-Rabbit IgG (Alexa Fluor® 488, ab150081) at 1/5000 dilution was used as the secondary antibody.

Gated on viable cells.
Cells are co-stained with CD3 conjugated to Brilliant Violet 421.

Immunohistochemistry (Formalin/PFA-fixed paraffin-embedded sections) - Anti-CD72 antibody [EPR29739-578] - BSA and Azide free (AB324360)
  • IHC-P

Supplier Data

Immunohistochemistry (Formalin/PFA-fixed paraffin-embedded sections) - Anti-CD72 antibody [EPR29739-578] - BSA and Azide free (AB324360)

This data was developed using ab324351, the same antibody clone in a different buffer formulation.

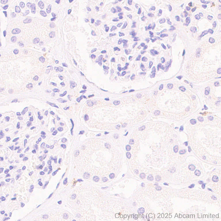
Immunohistochemical analysis of paraffin-embedded Human kidney tissue labeling CD72 with ab324351 at 1/500 (1.018 ug/ml) dilution, followed by a ready to use Rabbit specific IHC polymer detection kit HRP/DAB (ab209101).

Negative control : Weak staining on human kidney.
The primary antibody was incubated for 30 mins at room temperature.
The immunostaining was performed on a Leica Biosystems BOND® RX instrument

Counterstained with Hematoxylin.

Secondary antibody only control : Secondary antibody is a ready to use Rabbit specific IHC polymer detection kit HRP/DAB (ab209101).

Heat mediated antigen retrieval was performed with Tris-EDTA buffer (pH 9.0, Epitope Retrieval Solution2) for 20 mins

Key facts

Host species

Rabbit

Clonality

Monoclonal

Clone number

EPR29739-578

Isotype

IgG

Carrier free

Yes

Reacts with

Human

Applications

Flow Cyt, IHC-P, mIHC

applications

Immunogen

The exact immunogen used to generate this antibody is proprietary information.

Reactivity data

{ "title": "Reactivity Data", "filters": { "stats": ["", "Species", "Dilution Info", "Notes"], "tabs": { "all-applications": {"fullname" : "All Applications", "shortname": "All Applications"}, "FlowCyt" : {"fullname" : "Flow Cytometry", "shortname":"Flow Cyt"}, "IHCP" : {"fullname" : "Immunohistochemistry (Formalin/PFA-fixed paraffin-embedded sections)", "shortname":"IHC-P"}, "mIHC" : {"fullname" : "Multiplex immunohistochemistry", "shortname":"mIHC"}, "WB" : {"fullname" : "Western blot", "shortname":"WB"} }, "product-promise": { "all": "all", "testedAndGuaranteed": "tested", "guaranteed": "expected", "predicted": "predicted", "notRecommended": "not-recommended" } }, "values": { "Human": { "FlowCyt-species-checked": "testedAndGuaranteed", "FlowCyt-species-dilution-info": "", "FlowCyt-species-notes": "<p></p>", "IHCP-species-checked": "testedAndGuaranteed", "IHCP-species-dilution-info": "", "IHCP-species-notes": "<p></p>", "mIHC-species-checked": "testedAndGuaranteed", "mIHC-species-dilution-info": "", "mIHC-species-notes": "<p></p>", "WB-species-checked": "notRecommended", "WB-species-dilution-info": "", "WB-species-notes": "<p></p>" } } }

Product details

ab324360 is the carrier-free version of ab324351

Patented technology
Our RabMAb® technology is a patented hybridoma-based technology for making rabbit monoclonal antibodies. For details on our patents, please refer to RabMAb® patents.

What are the advantages of a recombinant monoclonal antibody?
This product is a recombinant monoclonal antibody, which offers several advantages including:

  • - High batch-to-batch consistency and reproducibility
  • - Improved sensitivity and specificity
  • - Long-term security of supply
  • - Animal-free batch production

For more information, read more on recombinant antibodies.

Conjugation ready
Our carrier-free antibodies are typically supplied in a PBS-only formulation, purified and free of BSA, sodium azide and glycerol. This conjugation-ready format is designed for use with fluorochromes, metal isotopes, oligonucleotides, and enzymes, which makes them ideal for antibody labelling, functional and cell-based assays, flow-based assays (e.g. mass cytometry) and Multiplex Imaging applications.

Use our conjugation kits for antibody conjugates that are ready-to-use in as little as 20 minutes with 1 minute hands-on-time and 100% antibody recovery: available for fluorescent dyes, HRP, biotin and gold.

Compatibility
This product is compatible with the Maxpar® Antibody Labeling Kit from Fluidigm, without the need for antibody preparation. Maxpar® is a trademark of Fluidigm Canada Inc.

Properties and storage information

Form
Liquid
Purification technique
Affinity purification Protein A
Storage buffer
pH: 7.2 - 7.4 Constituents: PBS
Shipped at conditions
Blue Ice
Appropriate short-term storage conditions
+4°C
Appropriate long-term storage conditions
+4°C

Product protocols

For this product, it's our understanding that no specific protocols are required. You can visit:

Target data

Co-receptor of B cell receptor (BCR) that plays both positive and negative roles on B-cell functions. Recognizes the Sm/ribonucleoprotein (RNP) self-antigen ligand, and coligation of CD72 and BCR inhibits BCR signaling. Mechanistically, ligand binding leads to the recruitment of PTPN6/SHP-1 to the BCR complex which is inhibitory to BCR signaling. Acts also as a ligand for CD5 and thereby plays a critical role in maintaining regulatory T and B-cell homeostasis.
See full target information CD72

Product promise

We are committed to supporting your work with high-quality reagents, and we're here for you every step of the way. In the unlikely event that one of our products does not perform as expected, you're protected by our Product Promise.
For full details, please see our Terms & Conditions

Please note: All products are 'FOR RESEARCH USE ONLY. NOT FOR USE IN DIAGNOSTIC OR THERAPEUTIC PROCEDURES'.

For licensing inquiries, please contact partnerships@abcam.com