JavaScript is disabled in your browser. Please enable JavaScript to view this website.
AB288154

Anti-CD73 antibody [EPR25191-104]

2

(1 Review)

|

(6 Publications)

Rabbit Recombinant Monoclonal CD73 antibody. Suitable for IP, Flow Cyt, WB, ICC/IF and reacts with Mouse samples. Cited in 6 publications.

View Alternative Names

CD73, Nt5, Nte, Nt5e, 5'-nucleotidase, 5'-NT, 5'-deoxynucleotidase, Ecto-5'-nucleotidase, IMP-specific 5'-nucleotidase, Thymidylate 5'-phosphatase

6 Images
Flow Cytometry - Anti-CD73 antibody [EPR25191-104] (AB288154)
  • Flow Cyt

Supplier Data

Flow Cytometry - Anti-CD73 antibody [EPR25191-104] (AB288154)

Flow cytometric analysis of Mouse splenocytes cells labelling CD73 with ab288154 at 1/500 dilution (0.1ug) (Right) compared with a Rabbit monoclonal IgG (ab172730) (Left) isotype control. Goat Anti-Rabbit IgG (Alexa Fluor® 488, ab150081) at 1/2000 dilution was used as the secondary antibody. Cells were stained with rat IgG or ab288154. Then stained with anti-CD3 conjugated to Alexa Fluor® 647. Gated on viable cells.

Flow Cytometry - Anti-CD73 antibody [EPR25191-104] (AB288154)
  • Flow Cyt

Supplier Data

Flow Cytometry - Anti-CD73 antibody [EPR25191-104] (AB288154)

Flow cytometric analysis of RAW 264.7 (Mouse Abelson murine leukemia virus-induced tumor macrophage, Left) / 4T1 (Mouse mammary gland carcinoma epithelial cell, Right) cells labelling CD73 with ab288154 at 1/500 dilution (0.1ug) (red) compared with a Rabbit monoclonal IgG (ab172730) (Black) isotype control and an unlabelled control (cells without incubation with primary antibody and secondary antibody) (Blue). Goat Anti-Rabbit IgG (Alexa Fluor® 488, ab150081) at 1/2000 dilution was used as the secondary antibody. Gated on viable cells.

Negative control : RAW 264.7(PMID : 28060378) .

Immunocytochemistry/ Immunofluorescence - Anti-CD73 antibody [EPR25191-104] (AB288154)
  • ICC/IF

Supplier Data

Immunocytochemistry/ Immunofluorescence - Anti-CD73 antibody [EPR25191-104] (AB288154)

Immunofluorescent analysis of 4% Paraformaldehyde-fixed, 0.1% TritonX-100 permeabilized 4T1 cells labelling CD73 with ab288154 at 1/500 (1.038 ug/ml) dilution, followed by ab150081 Goat Anti-Rabbit IgG H&L (Alexa Fluor® 488) preadsorbed antibody at 1/1000 (2 ug/ml) dilution (Green). Confocal image showing membranous staining in 4T1 cells and no staining in RAW 264.7 cells. Negative control : RAW264.7(PMID : 28060378) is observed. ab195889 Anti-alpha Tubulin mouse monoclonal antibody - Microtubule Marker (Alexa Fluor® 594) was used to counterstain tubulin at 1/200 (2.5ug/ml) dilution (Red). The Nuclear counterstain was DAPI (Blue).

Secondary antibody only control : Secondary antibody is ab150081 Goat Anti-Rabbit IgG H&L (Alexa Fluor® 488) preadsorbed at 1/1000 (2 ug/ml) dilution.

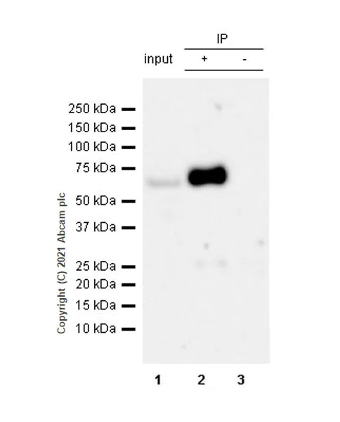
Immunoprecipitation - Anti-CD73 antibody [EPR25191-104] (AB288154)
  • IP

Supplier Data

Immunoprecipitation - Anti-CD73 antibody [EPR25191-104] (AB288154)

CD73 was immunoprecipitated from 0.35 mg 4T1 (mouse mammary gland carcinoma epithelial cell) whole cell lysate with ab288154 at 1/30 dilution (2ug in 0.35mg lysates). Western blot was performed on the immunoprecipitate using ab288154 at 1/1000 dilution. VeriBlot for IP secondary antibody(HRP)(ab131366) was used at 1/5000 dilution.

Lane 1 : 4T1 (mouse mammary gland carcinoma epithelial cell) whole cell lysate 10 ug

Lane 2 : ab288154 IP in 4T1 whole cell lysate

Lane 3 : Rabbit monoclonal IgG (ab172730) instead of ab288154 in 4T1 whole cell lysate

Blocking and dilution buffer and concentration : 5% NFDM/TBST.

Exposure time : 41 seconds

All lanes:

Immunoprecipitation - Anti-CD73 antibody [EPR25191-104] (ab288154)

Predicted band size: 63 kDa

Observed band size: 70 kDa

false

Western blot - Anti-CD73 antibody [EPR25191-104] (AB288154)
  • WB

Lab

Western blot - Anti-CD73 antibody [EPR25191-104] (AB288154)

Blocking and diluting buffer and concentration : 5% NFDM/TBST

Exposure time : 81 seconds

All lanes:

Western blot - Anti-CD73 antibody [EPR25191-104] (ab288154) at 1/1000 dilution

Lane 1:

Mouse bladder tissue lysate at 20 µg

Lane 2:

Mouse lung tissue lysate at 20 µg

Lane 3:

Mouse liver tissue lysate at 20 µg

Secondary

All lanes:

Goat Anti-Rabbit IgG (HRP) with minimal cross-reactivity with human IgG at 1/2000 dilution

Predicted band size: 63 kDa

Observed band size: 70 kDa

false

Western blot - Anti-CD73 antibody [EPR25191-104] (AB288154)
  • WB

Lab

Western blot - Anti-CD73 antibody [EPR25191-104] (AB288154)

Blocking and diluting buffer and concentration : 5% NFDM/TBST

The observed MW/expression profile is consistent with what has been described in the literature (PMID : 28399915;21533188).

Negative control : RAW264.7, J774A.1 (PMID : 28060378 )

Exposure time : 81 seconds

All lanes:

Western blot - Anti-CD73 antibody [EPR25191-104] (ab288154) at 1/1000 dilution

Lane 1:

4T1 (mouse mammary gland carcinoma epithelial cell) whole cell lysate at 20 µg

Lane 2:

RAW264.7 (mouse Abelson murine leukemia virus-induced tumor macrophage) whole cell lysate at 20 µg

Lane 3:

J774A.1 (mouse reticum cell sarcoma monocyte macrophage) whole cell lysate at 20 µg

Secondary

All lanes:

Western blot - Goat Anti-Rabbit IgG H&L (HRP) (<a href='/en-us/products/secondary-antibodies/goat-rabbit-igg-h-l-hrp-ab97051'>ab97051</a>) at 1/100000 dilution

Predicted band size: 63 kDa

Observed band size: 70 kDa

false

  • Carrier free

    Anti-CD73 antibody [EPR25191-104] - BSA and Azide free

Key facts

Host species

Rabbit

Clonality

Monoclonal

Clone number

EPR25191-104

Isotype

IgG

Carrier free

No

Reacts with

Mouse

Applications

WB, ICC/IF, Flow Cyt, IP

applications

Immunogen

The exact immunogen used to generate this antibody is proprietary information.

Reactivity data

{ "title": "Reactivity Data", "filters": { "stats": ["", "Species", "Dilution Info", "Notes"], "tabs": { "all-applications": {"fullname" : "All Applications", "shortname": "All Applications"}, "IP" : {"fullname" : "Immunoprecipitation", "shortname":"IP"}, "FlowCyt" : {"fullname" : "Flow Cytometry", "shortname":"Flow Cyt"}, "WB" : {"fullname" : "Western blot", "shortname":"WB"}, "IHCP" : {"fullname" : "Immunohistochemistry (Formalin/PFA-fixed paraffin-embedded sections)", "shortname":"IHC-P"}, "ICCIF" : {"fullname" : "Immunocytochemistry/ Immunofluorescence", "shortname":"ICC/IF"} }, "product-promise": { "all": "all", "testedAndGuaranteed": "tested", "guaranteed": "expected", "predicted": "predicted", "notRecommended": "not-recommended" } }, "values": { "Human": { "IP-species-checked": "notRecommended", "IP-species-dilution-info": "1/30", "IP-species-notes": "<p></p>", "FlowCyt-species-checked": "notRecommended", "FlowCyt-species-dilution-info": "1/500", "FlowCyt-species-notes": "<p></p>", "WB-species-checked": "notRecommended", "WB-species-dilution-info": "1/1000", "WB-species-notes": "<p></p>", "IHCP-species-checked": "notRecommended", "IHCP-species-dilution-info": "", "IHCP-species-notes": "<p></p>", "ICCIF-species-checked": "notRecommended", "ICCIF-species-dilution-info": "1/500", "ICCIF-species-notes": "<p></p>" }, "Mouse": { "IP-species-checked": "testedAndGuaranteed", "IP-species-dilution-info": "1/30", "IP-species-notes": "<p></p>", "FlowCyt-species-checked": "testedAndGuaranteed", "FlowCyt-species-dilution-info": "1/500", "FlowCyt-species-notes": "<p></p>", "WB-species-checked": "testedAndGuaranteed", "WB-species-dilution-info": "1/1000", "WB-species-notes": "<p></p>", "IHCP-species-checked": "notRecommended", "IHCP-species-dilution-info": "", "IHCP-species-notes": "<p></p>", "ICCIF-species-checked": "testedAndGuaranteed", "ICCIF-species-dilution-info": "1/5000", "ICCIF-species-notes": "<p></p>" }, "Rat": { "IP-species-checked": "notRecommended", "IP-species-dilution-info": "", "IP-species-notes": "", "FlowCyt-species-checked": "notRecommended", "FlowCyt-species-dilution-info": "", "FlowCyt-species-notes": "", "WB-species-checked": "notRecommended", "WB-species-dilution-info": "1/1000", "WB-species-notes": "<p></p>", "IHCP-species-checked": "notRecommended", "IHCP-species-dilution-info": "", "IHCP-species-notes": "<p></p>", "ICCIF-species-checked": "notRecommended", "ICCIF-species-dilution-info": "", "ICCIF-species-notes": "" } } }

Product details

Patented technology
Our RabMAb® technology is a patented hybridoma-based technology for making rabbit monoclonal antibodies. For details on our patents, please refer to RabMAb® patents.

What are the advantages of a recombinant monoclonal antibody?
This product is a recombinant monoclonal antibody, which offers several advantages including:

  • - High batch-to-batch consistency and reproducibility
  • - Improved sensitivity and specificity
  • - Long-term security of supply
  • - Animal-free batch production

For more information, read more on recombinant antibodies.

Properties and storage information

Form
Liquid
Purification technique
Affinity purification Protein A
Storage buffer
pH: 7.2 - 7.4 Preservative: 0.01% Sodium azide Constituents: PBS, 40% Glycerol (glycerin, glycerine), 0.05% BSA
Shipped at conditions
Blue Ice
Appropriate short-term storage duration
1-2 weeks
Appropriate short-term storage conditions
+4°C
Appropriate long-term storage conditions
-20°C
Aliquoting information
Upon delivery aliquot
Storage information
Avoid freeze / thaw cycle

Supplementary information

This supplementary information is collated from multiple sources and compiled automatically.

CD73 also known as ecto-5'-nucleotidase is an enzyme that functions at the cellular level. The CD73 protein hydrolyzes extracellular nucleotides into nucleosides by removing phosphate groups. It is a 70 kDa glycosylphosphatidylinositol-anchored molecule found on the surface of various cell types including endothelial cells lymphocytes and epithelial cells. Its presence is noted in a wide range of tissues across the human body highlighting its versatile role in cellular communication and metabolism.
Biological function summary

CD73 participates in the regulation of purinergic signaling through adenosine production. It acts in cooperation with other cell surface enzymes such as CD39 forming a functional complex that handles ATP breakdown to adenosine. This enzymatic activity modulates immune responses tissue protection and inflammation control. In addition to immune-related functions CD73 supports the maintenance of vascular integrity and proper cellular adhesion which is important in different physiological and pathological contexts.

Pathways

CD73 plays an important part in the adenosinergic pathway governing the conversion of AMP into adenosine. This activity impacts the signaling and function of the adenosine receptors on immune and non-immune cells. Another important pathway is the angiogenesis process where CD73 contributes by affecting endothelial cell migration and blood vessel development. Relationships with key proteins such as adenosine A2 receptors help facilitate these critical pathway activities.

CD73's involvement with immunosuppression and tumor progression becomes significant. Elevated levels of CD73 are frequently observed in some cancers where it aids in creating a favorable tumor microenvironment through increased adenosine production. This situation assists tumor cells in evading immune detection. Additionally CD73 is linked to autoimmune diseases like multiple sclerosis where it contributes to modulated lymphocyte activity. Connections with proteins such as TGF-beta further illustrate its role in disease-related pathways creating potential targets for therapeutic interventions through the use of anti-CD73 antibodies.

Product protocols

For this product, it's our understanding that no specific protocols are required. You can visit:

Target data

Catalyzes the hydrolysis of nucleotide monophosphates, releasing inorganic phosphate and the corresponding nucleoside (PubMed : 8224905). Hydrolyzes IMP (PubMed : 8224905). Shows a preference for ribonucleotide monophosphates over their equivalent deoxyribose forms (By similarity). Although AMP is the preferred substrate can also hydrolyze UMP, GMP, CMP, dAMP, dCMP, dTMP, NAD and NMN (By similarity).
See full target information Nt5e

Publications (6)

Recent publications for all applications. Explore the full list and refine your search

CNS neuroscience & therapeutics 31:e70463 PubMed40485217

2025

DeSUMOylation of IGF2BP2 Promotes Neuronal Differentiation of OM-MSCs by Stabilizing SOX11 to Ameliorate Brain Injury After Intracerebral Hemorrhage.

Applications

Unspecified application

Species

Unspecified reactive species

Jun He,Yuhan Luo,Chuang Wang,Chonghua Jiang,Jian Wang,Ying Xia

International journal of nanomedicine 20:1083-1100 PubMed39895982

2025

T Cell-Derived Apoptotic Extracellular Vesicles Ameliorate Bone Loss via CD39 and CD73-Mediated ATP Hydrolysis.

Applications

Unspecified application

Species

Unspecified reactive species

Xiaoshan Yang,Yang Zhou,Fuxing Zhou,Lili Bao,Zhengyan Wang,Zihan Li,Feng Ding,Huijuan Kuang,Huan Liu,Shenglong Tan,Xinyuan Qiu,Huan Jing,Shiyu Liu,Dandan Ma

Frontiers in microbiology 15:1355225 PubMed38572243

2024

Symbiotic combination of and inosine alleviates alcohol-induced liver injury by modulating gut dysbiosis and immune responses.

Applications

Unspecified application

Species

Unspecified reactive species

Li Wei,Yizhi Pan,Yu Guo,Yin Zhu,Haoran Jin,Yingying Gu,Chuanshuang Li,Yaqin Wang,Jingjing Lin,Yongping Chen,Chunhai Ke,Lanman Xu

Heliyon 10:e24042 PubMed38293485

2024

Synovial mesenchymal stem cell-derived exosomal miR-485-3p relieves cartilage damage in osteoarthritis by targeting the NRP1-mediated PI3K/Akt pathway: Exosomal miR-485-3p relieves cartilage damage.

Applications

Unspecified application

Species

Unspecified reactive species

Mingjun Qiu,Yanhua Xie,Guanghua Tan,Xiaoxu Wang,Peiguan Huang,Liang Hong

Heliyon 9:e18802 PubMed37576246

2023

Study on the function of Huazhuo Jiedu Decoction in promoting the homing of bone marrow mesenchymal stem cells and contributing to the treatment of ulcerative colitis.

Applications

Unspecified application

Species

Unspecified reactive species

Yumei Ma,Yongzhang Li,Shuo Zhang,Zongxiu Liu,Lipeng Du,Xiaoyan Zhang,Xuemei Jia,Qian Yang

Journal of orthopaedic surgery and research 18:168 PubMed36872331

2023

TGM2 accelerates migration and differentiation of BMSCs by activating Wnt/β-catenin signaling.

Applications

Unspecified application

Species

Unspecified reactive species

Feng Liu,Mingzheng Wu,Xixia Wu,Dan Chen,Ming Xie,Hao Pan
View all publications

Product promise

We are committed to supporting your work with high-quality reagents, and we're here for you every step of the way. In the unlikely event that one of our products does not perform as expected, you're protected by our Product Promise.
For full details, please see our Terms & Conditions

Please note: All products are 'FOR RESEARCH USE ONLY. NOT FOR USE IN DIAGNOSTIC OR THERAPEUTIC PROCEDURES'.

For licensing inquiries, please contact partnerships@abcam.com